JavaScript is disabled in your browser. Please enable JavaScript to view this website.
AB155920

Anti-CSN2 antibody

Be the first to review this product! Submit a review

|

(2 Publications)

Rabbit Polyclonal CSN2 antibody. Suitable for WB, IHC-P and reacts with Mouse, Human samples. Cited in 2 publications. Immunogen corresponding to Recombinant Fragment Protein within Human COPS2 aa 1 to C-terminus.

View Alternative Names

CSN2, TRIP15, COPS2, COP9 signalosome complex subunit 2, SGN2, Signalosome subunit 2, Alien homolog, JAB1-containing signalosome subunit 2, Thyroid receptor-interacting protein 15, TR-interacting protein 15, TRIP-15

3 Images
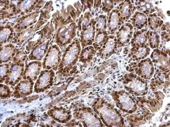
Immunohistochemistry (Formalin/PFA-fixed paraffin-embedded sections) - Anti-CSN2 antibody (AB155920)
  • IHC-P

Supplier Data

Immunohistochemistry (Formalin/PFA-fixed paraffin-embedded sections) - Anti-CSN2 antibody (AB155920)

Immunohistochemical analysis of paraffin-embedded mouse colon tissue stained for TRIP15 protein at cytosol and nucleus with ab155920 at a 1/500 dilution.

Antigen retrieval : Trilogy™ (EDTA based, pH 8.0) buffer, 15min.

Western blot - Anti-CSN2 antibody (AB155920)
  • WB

Supplier Data

Western blot - Anti-CSN2 antibody (AB155920)

10% SDS PAGE

All lanes:

Western blot - Anti-CSN2 antibody (ab155920) at 1/10000 dilution

Lane 1:

293T whole cell lysate at 30 µg

Lane 2:

A431 whole cell lysate at 30 µg

Lane 3:

HeLa whole cell lysate at 30 µg

Lane 4:

HepG2 whole cell lysate at 30 µg

Predicted band size: 52 kDa

false

Western blot - Anti-CSN2 antibody (AB155920)
  • WB

Supplier Data

Western blot - Anti-CSN2 antibody (AB155920)

10% SDS PAGE

All lanes:

Western blot - Anti-CSN2 antibody (ab155920) at 1/5000 dilution

Lane 1:

NIH 3T3 whole cell lysate at 30 µg

Lane 2:

JC whole cell lysate at 30 µg

Lane 3:

BCL1 whole cell lysate at 30 µg

Predicted band size: 52 kDa

false

Key facts

Host species

Rabbit

Clonality

Polyclonal

Isotype

IgG

Carrier free

No

Reacts with

Mouse, Human

Applications

IHC-P, WB

applications

Immunogen

Recombinant Fragment Protein within Human COPS2 aa 1 to C-terminus. The exact immunogen used to generate this antibody is proprietary information.

P61201

Reactivity data

{ "title": "Reactivity Data", "filters": { "stats": ["", "Species", "Dilution Info", "Notes"], "tabs": { "all-applications": {"fullname" : "All Applications", "shortname": "All Applications"}, "WB" : {"fullname" : "Western blot", "shortname":"WB"}, "IHCP" : {"fullname" : "Immunohistochemistry (Formalin/PFA-fixed paraffin-embedded sections)", "shortname":"IHC-P"} }, "product-promise": { "all": "all", "testedAndGuaranteed": "tested", "guaranteed": "expected", "predicted": "predicted", "notRecommended": "not-recommended" } }, "values": { "Human": { "WB-species-checked": "testedAndGuaranteed", "WB-species-dilution-info": "1/5000 - 1/20000", "WB-species-notes": "<p></p>", "IHCP-species-checked": "guaranteed", "IHCP-species-dilution-info": "1/100 - 1/1000", "IHCP-species-notes": "<p></p>" }, "Mouse": { "WB-species-checked": "testedAndGuaranteed", "WB-species-dilution-info": "1/5000 - 1/20000", "WB-species-notes": "<p></p>", "IHCP-species-checked": "testedAndGuaranteed", "IHCP-species-dilution-info": "1/100 - 1/1000", "IHCP-species-notes": "<p></p>" }, "Rat": { "WB-species-checked": "predicted", "WB-species-dilution-info": "", "WB-species-notes": "", "IHCP-species-checked": "predicted", "IHCP-species-dilution-info": "", "IHCP-species-notes": "" }, "Chicken": { "WB-species-checked": "predicted", "WB-species-dilution-info": "", "WB-species-notes": "", "IHCP-species-checked": "predicted", "IHCP-species-dilution-info": "", "IHCP-species-notes": "" }, "Monkey": { "WB-species-checked": "predicted", "WB-species-dilution-info": "", "WB-species-notes": "", "IHCP-species-checked": "predicted", "IHCP-species-dilution-info": "", "IHCP-species-notes": "" }, "Pig": { "WB-species-checked": "predicted", "WB-species-dilution-info": "", "WB-species-notes": "", "IHCP-species-checked": "predicted", "IHCP-species-dilution-info": "", "IHCP-species-notes": "" }, "Xenopus laevis": { "WB-species-checked": "predicted", "WB-species-dilution-info": "", "WB-species-notes": "", "IHCP-species-checked": "predicted", "IHCP-species-dilution-info": "", "IHCP-species-notes": "" }, "Xenopus tropicalis": { "WB-species-checked": "predicted", "WB-species-dilution-info": "", "WB-species-notes": "", "IHCP-species-checked": "predicted", "IHCP-species-dilution-info": "", "IHCP-species-notes": "" }, "Zebrafish": { "WB-species-checked": "predicted", "WB-species-dilution-info": "", "WB-species-notes": "", "IHCP-species-checked": "predicted", "IHCP-species-dilution-info": "", "IHCP-species-notes": "" } } }

Properties and storage information

Form
Liquid
Purification technique
Affinity purification Immunogen
Storage buffer
pH: 7 Preservative: 0.01% Thimerosal (merthiolate) Constituents: 79.99% PBS, 20% Glycerol (glycerin, glycerine)
Shipped at conditions
Blue Ice
Appropriate short-term storage conditions
+4°C
Appropriate long-term storage conditions
-20°C
Aliquoting information
Upon delivery aliquot
Storage information
Avoid freeze / thaw cycle

Product protocols

For this product, it's our understanding that no specific protocols are required. You can visit:

Target data

Essential component of the COP9 signalosome complex (CSN), a complex involved in various cellular and developmental processes. The CSN complex is an essential regulator of the ubiquitin (Ubl) conjugation pathway by mediating the deneddylation of the cullin subunits of SCF-type E3 ligase complexes, leading to decrease the Ubl ligase activity of SCF-type complexes such as SCF, CSA or DDB2. The complex is also involved in phosphorylation of p53/TP53, c-jun/JUN, IkappaBalpha/NFKBIA, ITPK1 and IRF8/ICSBP, possibly via its association with CK2 and PKD kinases. CSN-dependent phosphorylation of TP53 and JUN promotes and protects degradation by the Ubl system, respectively. Involved in early stage of neuronal differentiation via its interaction with NIF3L1.
See full target information COPS2

Publications (2)

Recent publications for all applications. Explore the full list and refine your search

Cell death and differentiation 28:780-798 PubMed32968199

2020

Thrombin-Par1 signaling axis disrupts COP9 signalosome subunit 3-mediated ABCA1 stabilization in inducing foam cell formation and atherogenesis.

Applications

Unspecified application

Species

Unspecified reactive species

Monoranjan Boro,Suresh Govatati,Raj Kumar,Nikhlesh K Singh,Prahalathan Pichavaram,James G Traylor,A Wayne Orr,Gadiparthi N Rao

Experimental and therapeutic medicine 14:862-866 PubMed28673011

2017

Tribbles homolog 1 enhances cholesterol efflux from oxidized low-density lipoprotein-loaded THP-1 macrophages.

Applications

Unspecified application

Species

Unspecified reactive species

Yanhua Fu,Yang Zhao,Bin Huang
View all publications

Product promise

We are committed to supporting your work with high-quality reagents, and we're here for you every step of the way. In the unlikely event that one of our products does not perform as expected, you're protected by our Product Promise.
For full details, please see our Terms & Conditions

Please note: All products are 'FOR RESEARCH USE ONLY. NOT FOR USE IN DIAGNOSTIC OR THERAPEUTIC PROCEDURES'.

For licensing inquiries, please contact partnerships@abcam.com