JavaScript is disabled in your browser. Please enable JavaScript to view this website.
AB313769

Anti-CSN2 (phospho S24) antibody [EPR25868-2]

  • BOND RX™ Validated
  • 20ul selling size
  • RabMAb
  • Recombinant
  • What is this?

Be the first to review this product! Submit a review

|

(0 Publication)

Rabbit Recombinant Monoclonal CSN2 phospho S24 antibody. Suitable for WB, IHC-P, Dot and reacts with Human, Mouse, Rat, Synthetic peptide samples.

View Alternative Names

CSN2, TRIP15, COPS2, COP9 signalosome complex subunit 2, SGN2, Signalosome subunit 2, Alien homolog, JAB1-containing signalosome subunit 2, Thyroid receptor-interacting protein 15, TR-interacting protein 15, TRIP-15

7 Images
Immunohistochemistry (Formalin/PFA-fixed paraffin-embedded sections) - Anti-CSN2 (phospho S24) antibody [EPR25868-2] (AB313769)
  • IHC-P

Supplier Data

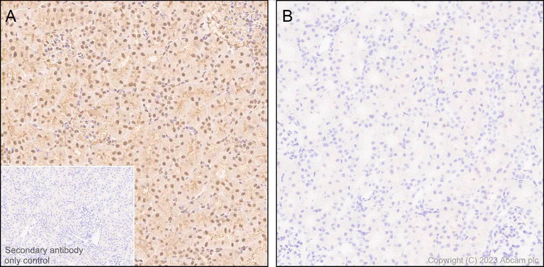
Immunohistochemistry (Formalin/PFA-fixed paraffin-embedded sections) - Anti-CSN2 (phospho S24) antibody [EPR25868-2] (AB313769)

Immunohistochemical analysis of paraffin-embedded Human kidney tissue labeling CSN2 (phospho S24) with ab313769 at 1/5000 (0.091 ug/ml) followed by a ready to use LeicaDS9800 (Bond™ Polymer Refine Detection). Positive staining on human kidney without alkaline phosphatase treatment (image A). No signal was detected when tissues were treated with alkaline phosphatase (image B). The section was incubated with ab313769 for 30 mins at room temperature.The immunostaining was performed on a Leica Biosystems BOND® RX instrument Counterstained with Hematoxylin. Secondary antibody only control : Secondary antibody is a ready to use LeicaDS9800 (Bond™ Polymer Refine Detection). Heat mediated antigen retrieval was performed with Tris-EDTA buffer (pH 9.0, Epitope Retrieval Solution2) for 20 mins

Immunohistochemistry (Formalin/PFA-fixed paraffin-embedded sections) - Anti-CSN2 (phospho S24) antibody [EPR25868-2] (AB313769)
  • IHC-P

Supplier Data

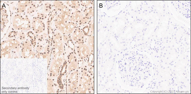
Immunohistochemistry (Formalin/PFA-fixed paraffin-embedded sections) - Anti-CSN2 (phospho S24) antibody [EPR25868-2] (AB313769)

Immunohistochemical analysis of paraffin-embedded Mouse kidney tissue labeling CSN2 (phospho S24) with ab313769 at 1/10000 (0.046 ug/ml) followed by a ready to use LeicaDS9800 (Bond™ Polymer Refine Detection). Positive staining on mouse kidney without alkaline phosphatase treatment (image A). No signal was detected when tissues were treated with alkaline phosphatase (image B). The section was incubated with ab313769 for 30 mins at room temperature.The immunostaining was performed on a Leica Biosystems BOND® RX instrument Counterstained with Hematoxylin. Secondary antibody only control : Secondary antibody is a ready to use LeicaDS9800 (Bond™ Polymer Refine Detection). Heat mediated antigen retrieval was performed with Tris-EDTA buffer (pH 9.0, Epitope Retrieval Solution2) for 20 mins

Immunohistochemistry (Formalin/PFA-fixed paraffin-embedded sections) - Anti-CSN2 (phospho S24) antibody [EPR25868-2] (AB313769)
  • IHC-P

Supplier Data

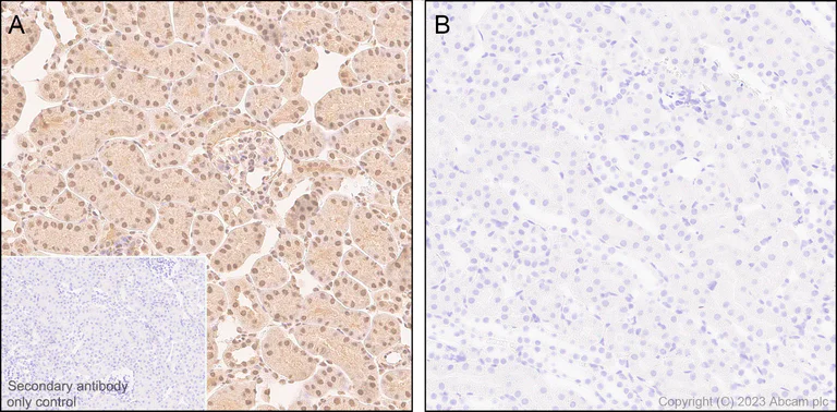
Immunohistochemistry (Formalin/PFA-fixed paraffin-embedded sections) - Anti-CSN2 (phospho S24) antibody [EPR25868-2] (AB313769)

Immunohistochemical analysis of paraffin-embedded Rat kidney tissue labeling CSN2 (phospho S24) with ab313769 at 1/10000 (0.046 ug/ml) followed by a ready to use LeicaDS9800 (Bond™ Polymer Refine Detection). Positive staining on rat kidney without alkaline phosphatase treatment (image A). No signal was detected when tissues were treated with alkaline phosphatase (image B). The section was incubated with ab313769 for 30 mins at room temperature.The immunostaining was performed on a Leica Biosystems BOND® RX instrument Counterstained with Hematoxylin. Secondary antibody only control : Secondary antibody is a ready to use LeicaDS9800 (Bond™ Polymer Refine Detection). Heat mediated antigen retrieval was performed with Tris-EDTA buffer (pH 9.0, Epitope Retrieval Solution2) for 20 mins

Western blot - Anti-CSN2 (phospho S24) antibody [EPR25868-2] (AB313769)
  • WB

Supplier Data

Western blot - Anti-CSN2 (phospho S24) antibody [EPR25868-2] (AB313769)

Blocking and diluting buffer and concentration : 5% NFDM/TBST The expression profile observed is consistent with what has been described in the literature (PMID : 12628923; PMID : 21159648; PMID : 27758824). CX-4945, an Orally Bioavailable Selective Inhibitor of Protein kinase CK2, Protein kinase CK2 promote phosphorylation of CSN2. In Western blot, anti-GAPDH antibody (ab181602) loading control staining at 1/200000 dilution. Exposure time : 26 seconds

All lanes:

Western blot - Anti-CSN2 (phospho S24) antibody [EPR25868-2] (ab313769) at 1/1000 dilution

Lane 1:

Untreated Jurkat (human t cell leukemia t lymphocyte from peripheral blood) whole cell lysate (untreated membrane) at 20 µg

Lane 2:

Jurkat treated with 15 um CX-4945 for 4 hours whole cell lysate (untreated membrane) at 20 µg

Lane 3:

Jurkat treated with 15 um CX-4945 for 4 hours whole cell lysate (phosphatase treated membrane) at 20 µg

Secondary

All lanes:

Western blot - Goat Anti-Rabbit IgG H&L (HRP) (<a href='/en-us/products/secondary-antibodies/goat-rabbit-igg-h-l-hrp-ab97051'>ab97051</a>) at 1/20000 dilution

Observed band size: 52 kDa

false

Exposure time: 26s

Western blot - Anti-CSN2 (phospho S24) antibody [EPR25868-2] (AB313769)
  • WB

Supplier Data

Western blot - Anti-CSN2 (phospho S24) antibody [EPR25868-2] (AB313769)

Blocking and diluting buffer and concentration : 5% NFDM/TBST Exposure time : 48 seconds

All lanes:

Western blot - Anti-CSN2 (phospho S24) antibody [EPR25868-2] (ab313769) at 1/1000 dilution

Lane 1:

293T (human embryonic kidney epithelial cell) whole cell lysate at 20 µg

Lane 2:

HeLa (human cervical adenocarcinoma epithelial cell) whole cell lysate at 20 µg

Lane 3:

Mouse kidney tissue lysate at 20 µg

Lane 4:

NIH/3T3 (mouse embryonic fibroblast) whole cell lysate at 20 µg

Lane 5:

Neuro-2a (mouse neuroblastoma neuroblast) whole cell lysate at 20 µg

Lane 6:

Rat kidney tissue lysate at 20 µg

Secondary

All lanes:

Western blot - Goat Anti-Rabbit IgG H&L (HRP) (<a href='/en-us/products/secondary-antibodies/goat-rabbit-igg-h-l-hrp-ab97051'>ab97051</a>) at 1/20000 dilution

Observed band size: 52 kDa

false

Exposure time: 48s

Western blot - Anti-CSN2 (phospho S24) antibody [EPR25868-2] (AB313769)
  • WB

Supplier Data

Western blot - Anti-CSN2 (phospho S24) antibody [EPR25868-2] (AB313769)

Blocking and diluting buffer and concentration : 5% NFDM/TBST The expression profile observed is consistent with what has been described in the literature (PMID : 12628923; PMID : 21159648; PMID : 27758824). CX-4945, an Orally Bioavailable Selective Inhibitor of Protein kinase CK2, Protein kinase CK2 promote phosphorylation of CSN2. In Western blot, anti-GAPDH antibody (ab181602) loading control staining at 1/200000 dilution. Exposure time : 37 seconds

All lanes:

Western blot - Anti-CSN2 (phospho S24) antibody [EPR25868-2] (ab313769) at 1/1000 dilution

Lane 1:

Untreated MCF7 (human breast adenocarcinoma epithelial cell) whole cell lysate (untreated membrane) at 20 µg

Lane 2:

MCF7 treated with 10 um CX-4945 for 4 hours whole cell lysate (untreated membrane) at 20 µg

Lane 3:

MCF7 treated with 10 um CX-4945 for 4 hours whole cell lysate (phosphatase treated membrane) at 20 µg

Secondary

All lanes:

Western blot - Goat Anti-Rabbit IgG H&L (HRP) (<a href='/en-us/products/secondary-antibodies/goat-rabbit-igg-h-l-hrp-ab97051'>ab97051</a>) at 1/20000 dilution

Observed band size: 58 kDa

false

Exposure time: 37s

Dot Blot - Anti-CSN2 (phospho S24) antibody [EPR25868-2] (AB313769)
  • Dot

Supplier Data

Dot Blot - Anti-CSN2 (phospho S24) antibody [EPR25868-2] (AB313769)

Dot blot analysis of CSN2 (phospho S24) using ab313769 at 1 : 1000 (0.456 ug/ml) followed by a Goat Anti-Rabbit IgG, (H+L), Peroxidase conjugated (ab97051) at 1 : 100,000 dilution. Lane 1 : CSN2 (phospho S21 + S24) peptide a Lane 2 : CSN2 (phospho S21 + S24) peptide b Lane 3 : CSN2 non-phospho peptide Lane 4 : CSN2 (phospho S21) peptide Lane 5 : CSN2 (phospho S24) peptide Exposure time : 180 seconds Blocking and diluting buffer and concentration : 5% NFDM/TBST

Key facts

Host species

Rabbit

Clonality

Monoclonal

Clone number

EPR25868-2

Isotype

IgG

Carrier free

No

Reacts with

Human, Mouse, Rat

Applications

IHC-P, WB, Dot

applications

Immunogen

The exact immunogen used to generate this antibody is proprietary information.

Reactivity data

{ "title": "Reactivity Data", "filters": { "stats": ["", "Species", "Dilution Info", "Notes"], "tabs": { "all-applications": {"fullname" : "All Applications", "shortname": "All Applications"}, "WB" : {"fullname" : "Western blot", "shortname":"WB"}, "IHCP" : {"fullname" : "Immunohistochemistry (Formalin/PFA-fixed paraffin-embedded sections)", "shortname":"IHC-P"}, "Dot" : {"fullname" : "Dot Blot", "shortname":"Dot"}, "ICCIF" : {"fullname" : "Immunocytochemistry/ Immunofluorescence", "shortname":"ICC/IF"}, "FlowCytIntra" : {"fullname" : "Flow Cytometry (Intracellular)", "shortname":"Flow Cyt (Intra)"} }, "product-promise": { "all": "all", "testedAndGuaranteed": "tested", "guaranteed": "expected", "predicted": "predicted", "notRecommended": "not-recommended" } }, "values": { "Human": { "WB-species-checked": "testedAndGuaranteed", "WB-species-dilution-info": "1/1000", "WB-species-notes": "<p></p>", "IHCP-species-checked": "testedAndGuaranteed", "IHCP-species-dilution-info": "1/5000", "IHCP-species-notes": "<p></p> Perform heat-mediated antigen retrieval with Tris/EDTA buffer pH 9.0 before commencing with IHC staining protocol.", "Dot-species-checked": "guaranteed", "Dot-species-dilution-info": "", "Dot-species-notes": "", "ICCIF-species-checked": "notRecommended", "ICCIF-species-dilution-info": "", "ICCIF-species-notes": "<p></p>", "FlowCytIntra-species-checked": "notRecommended", "FlowCytIntra-species-dilution-info": "", "FlowCytIntra-species-notes": "<p></p>" }, "Mouse": { "WB-species-checked": "testedAndGuaranteed", "WB-species-dilution-info": "1/1000", "WB-species-notes": "<p></p>", "IHCP-species-checked": "testedAndGuaranteed", "IHCP-species-dilution-info": "1/5000", "IHCP-species-notes": "<p></p> Perform heat-mediated antigen retrieval with Tris/EDTA buffer pH 9.0 before commencing with IHC staining protocol.", "Dot-species-checked": "guaranteed", "Dot-species-dilution-info": "", "Dot-species-notes": "", "ICCIF-species-checked": "notRecommended", "ICCIF-species-dilution-info": "", "ICCIF-species-notes": "", "FlowCytIntra-species-checked": "notRecommended", "FlowCytIntra-species-dilution-info": "", "FlowCytIntra-species-notes": "" }, "Rat": { "WB-species-checked": "testedAndGuaranteed", "WB-species-dilution-info": "1/1000", "WB-species-notes": "<p></p>", "IHCP-species-checked": "testedAndGuaranteed", "IHCP-species-dilution-info": "1/5000", "IHCP-species-notes": "<p></p> Perform heat-mediated antigen retrieval with Tris/EDTA buffer pH 9.0 before commencing with IHC staining protocol.", "Dot-species-checked": "guaranteed", "Dot-species-dilution-info": "", "Dot-species-notes": "", "ICCIF-species-checked": "notRecommended", "ICCIF-species-dilution-info": "", "ICCIF-species-notes": "", "FlowCytIntra-species-checked": "notRecommended", "FlowCytIntra-species-dilution-info": "", "FlowCytIntra-species-notes": "" }, "Synthetic peptide": { "WB-species-checked": "notRecommended", "WB-species-dilution-info": "", "WB-species-notes": "", "IHCP-species-checked": "notRecommended", "IHCP-species-dilution-info": "", "IHCP-species-notes": "", "Dot-species-checked": "testedAndGuaranteed", "Dot-species-dilution-info": "1/1000", "Dot-species-notes": "<p></p>", "ICCIF-species-checked": "notRecommended", "ICCIF-species-dilution-info": "", "ICCIF-species-notes": "", "FlowCytIntra-species-checked": "notRecommended", "FlowCytIntra-species-dilution-info": "", "FlowCytIntra-species-notes": "" } } }

Product details

Patented technology
Our RabMAb® technology is a patented hybridoma-based technology for making rabbit monoclonal antibodies. For details on our patents, please refer to RabMAb® patents.

What are the advantages of a recombinant monoclonal antibody?
This product is a recombinant monoclonal antibody, which offers several advantages including:

  • - High batch-to-batch consistency and reproducibility
  • - Improved sensitivity and specificity
  • - Long-term security of supply
  • - Animal-free batch production

For more information, read more on recombinant antibodies.

Properties and storage information

Form
Liquid
Purification technique
Affinity purification Protein A
Storage buffer
pH: 7.2 - 7.4 Preservative: 0.01% Sodium azide Constituents: PBS, 40% Glycerol (glycerin, glycerine), 0.05% BSA
Shipped at conditions
Blue Ice
Appropriate short-term storage duration
1-2 weeks
Appropriate short-term storage conditions
+4°C
Appropriate long-term storage conditions
-20°C
Aliquoting information
Upon delivery aliquot
Storage information
Avoid freeze / thaw cycle

Product protocols

For this product, it's our understanding that no specific protocols are required. You can visit:

Target data

Essential component of the COP9 signalosome complex (CSN), a complex involved in various cellular and developmental processes. The CSN complex is an essential regulator of the ubiquitin (Ubl) conjugation pathway by mediating the deneddylation of the cullin subunits of SCF-type E3 ligase complexes, leading to decrease the Ubl ligase activity of SCF-type complexes such as SCF, CSA or DDB2. The complex is also involved in phosphorylation of p53/TP53, c-jun/JUN, IkappaBalpha/NFKBIA, ITPK1 and IRF8/ICSBP, possibly via its association with CK2 and PKD kinases. CSN-dependent phosphorylation of TP53 and JUN promotes and protects degradation by the Ubl system, respectively. Involved in early stage of neuronal differentiation via its interaction with NIF3L1.
See full target information COPS2 phospho S24

Product promise

We are committed to supporting your work with high-quality reagents, and we're here for you every step of the way. In the unlikely event that one of our products does not perform as expected, you're protected by our Product Promise.
For full details, please see our Terms & Conditions

Please note: All products are 'FOR RESEARCH USE ONLY. NOT FOR USE IN DIAGNOSTIC OR THERAPEUTIC PROCEDURES'.

For licensing inquiries, please contact partnerships@abcam.com