JavaScript is disabled in your browser. Please enable JavaScript to view this website.
AB196684

Anti-CSNK1A1 + CSNK1A1L antibody

Be the first to review this product! Submit a review

|

(1 Publication)

Rabbit Polyclonal CSNK1A1L antibody. Suitable for IHC-P, ICC/IF and reacts with Human samples. Cited in 1 publication. Immunogen corresponding to Recombinant Fragment Protein within Human Casein kinase I isoform alpha-like.

View Alternative Names

Casein kinase I isoform alpha-like, CKI-alpha-like, CK1, CSNK1A1L

2 Images
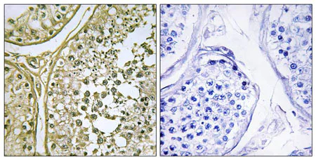
Immunohistochemistry (Formalin/PFA-fixed paraffin-embedded sections) - Anti-CSNK1A1 + CSNK1A1L antibody (AB196684)
  • IHC-P

Supplier Data

Immunohistochemistry (Formalin/PFA-fixed paraffin-embedded sections) - Anti-CSNK1A1 + CSNK1A1L antibody (AB196684)

Immunohistochemical analysis of paraffin-embedded Human testis tissue labeling CSNK1A1L with ab196684 at 1/50 dilution. The image on the right is preincubated with blocking peptide.

Immunocytochemistry/ Immunofluorescence - Anti-CSNK1A1 + CSNK1A1L antibody (AB196684)
  • ICC/IF

Supplier Data

Immunocytochemistry/ Immunofluorescence - Anti-CSNK1A1 + CSNK1A1L antibody (AB196684)

Immunofluorescent analysis of A549 cells labeling CSNK1A1L with ab196684 at 1/100 dilution. The image on the right is preincubated with blocking peptide.

Key facts

Host species

Rabbit

Clonality

Polyclonal

Isotype

IgG

Carrier free

No

Reacts with

Human

Applications

ICC/IF, IHC-P

applications

Immunogen

Recombinant Fragment Protein within Human Casein kinase I isoform alpha-like. The exact immunogen used to generate this antibody is proprietary information.

Q8N752

Specificity

ab196684 detects endogenous levels of total CSNK1A1L protein.

Reactivity data

{ "title": "Reactivity Data", "filters": { "stats": ["", "Species", "Dilution Info", "Notes"], "tabs": { "all-applications": {"fullname" : "All Applications", "shortname": "All Applications"}, "IHCP" : {"fullname" : "Immunohistochemistry (Formalin/PFA-fixed paraffin-embedded sections)", "shortname":"IHC-P"}, "ICCIF" : {"fullname" : "Immunocytochemistry/ Immunofluorescence", "shortname":"ICC/IF"} }, "product-promise": { "all": "all", "testedAndGuaranteed": "tested", "guaranteed": "expected", "predicted": "predicted", "notRecommended": "not-recommended" } }, "values": { "Human": { "IHCP-species-checked": "testedAndGuaranteed", "IHCP-species-dilution-info": "1/50 - 1/100", "IHCP-species-notes": "<p></p>", "ICCIF-species-checked": "testedAndGuaranteed", "ICCIF-species-dilution-info": "1/100 - 1/500", "ICCIF-species-notes": "<p></p>" }, "Mouse": { "IHCP-species-checked": "predicted", "IHCP-species-dilution-info": "", "IHCP-species-notes": "", "ICCIF-species-checked": "predicted", "ICCIF-species-dilution-info": "", "ICCIF-species-notes": "" } } }

Properties and storage information

Form
Liquid
Purification technique
Affinity purification Immunogen
Storage buffer
pH: 7.4 Preservative: 0.02% Sodium azide Constituents: PBS, 50% Glycerol (glycerin, glycerine), 0.87% Sodium chloride
Shipped at conditions
Blue Ice
Appropriate short-term storage duration
1-2 weeks
Appropriate short-term storage conditions
+4°C
Appropriate long-term storage conditions
-20°C
Aliquoting information
Upon delivery aliquot
Storage information
Avoid freeze / thaw cycle

Product protocols

For this product, it's our understanding that no specific protocols are required. You can visit:

Target data

Casein kinases are operationally defined by their preferential utilization of acidic proteins such as caseins as substrates. It can phosphorylate a large number of proteins. Participates in Wnt signaling (By similarity).
See full target information Casein kinase I isoform alpha-like

Additional targets

Casein kinase I isoform alpha

Publications (1)

Recent publications for all applications. Explore the full list and refine your search

Cell death & disease 12:220 PubMed33637706

2021

Sunitinib treatment promotes metastasis of drug-resistant renal cell carcinoma via TFE3 signaling pathway.

Applications

Unspecified application

Species

Unspecified reactive species

Luchao Li,Shuo Zhao,Zhengfang Liu,Nianzhao Zhang,Shuo Pang,Jikai Liu,Cheng Liu,Yidong Fan
View all publications

Product promise

We are committed to supporting your work with high-quality reagents, and we're here for you every step of the way. In the unlikely event that one of our products does not perform as expected, you're protected by our Product Promise.
For full details, please see our Terms & Conditions

Please note: All products are 'FOR RESEARCH USE ONLY. NOT FOR USE IN DIAGNOSTIC OR THERAPEUTIC PROCEDURES'.

For licensing inquiries, please contact partnerships@abcam.com