JavaScript is disabled in your browser. Please enable JavaScript to view this website.
AB137788

Anti-CSNK2A1 antibody

Be the first to review this product! Submit a review

|

(2 Publications)

Rabbit Polyclonal CSNK2A1 antibody. Suitable for IHC-P, WB, ICC/IF and reacts with Human samples. Cited in 2 publications. Immunogen corresponding to Recombinant Fragment Protein within Human CSNK2A1 aa 150 to C-terminus.

View Alternative Names

CK2A1, CSNK2A1, Casein kinase II subunit alpha, CK II alpha

6 Images
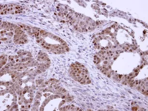
Immunohistochemistry (Formalin/PFA-fixed paraffin-embedded sections) - Anti-CSNK2A1 antibody (AB137788)
  • IHC-P

Unknown

Immunohistochemistry (Formalin/PFA-fixed paraffin-embedded sections) - Anti-CSNK2A1 antibody (AB137788)

Immunohistochemical analysis of paraffin embedded Cal27 xenograft tissue labelling CSNK2A1 using ab137788 at 1/100 dilution.

Immunocytochemistry/ Immunofluorescence - Anti-CSNK2A1 antibody (AB137788)
  • ICC/IF

Supplier Data

Immunocytochemistry/ Immunofluorescence - Anti-CSNK2A1 antibody (AB137788)

Sample : HeLa cells were fixed in 4% paraformaldehyde at RT for 15 min.
Green : CSNK2A1 protein stained by Casein Kinase 2 alpha antibody (GTX107897) diluted at 1 : 500.
Blue : Hoechst 33342 staining.

Casein Kinase 2 alpha antibody detects CSNK2A1 protein at cytoplasm and nucleus by immunofluorescent analysis.

Western blot - Anti-CSNK2A1 antibody (AB137788)
  • WB

Supplier Data

Western blot - Anti-CSNK2A1 antibody (AB137788)

Samples were separated by 10% SDS-PAGE. The signal was developed with Trident ECL plus-Enhanced. Corresponding RNA expression data for the same cell lines are based on Human Protein Atlas program.

All lanes:

Western blot - Anti-CSNK2A1 antibody (ab137788) at 1/1000 dilution

Lane 1:

HeLa whole cell extracts at 30 µg

Lane 2:

HepG2 whole cell extracts at 30 µg

Secondary

All lanes:

HRP-conjugated anti-rabbit IgG

Predicted band size: 45 kDa

true

Western blot - Anti-CSNK2A1 antibody (AB137788)
  • WB

Unknown

Western blot - Anti-CSNK2A1 antibody (AB137788)

All lanes:

Western blot - Anti-CSNK2A1 antibody (ab137788)

Predicted band size: 45 kDa

false

Western blot - Anti-CSNK2A1 antibody (AB137788)
  • WB

Supplier Data

Western blot - Anti-CSNK2A1 antibody (AB137788)

All lanes:

Western blot - Anti-CSNK2A1 antibody (ab137788)

Predicted band size: 45 kDa

false

Western blot - Anti-CSNK2A1 antibody (AB137788)
  • WB

Unknown

Western blot - Anti-CSNK2A1 antibody (AB137788)

All lanes:

Western blot - Anti-CSNK2A1 antibody (ab137788)

Predicted band size: 45 kDa

false

Key facts

Host species

Rabbit

Clonality

Polyclonal

Isotype

IgG

Carrier free

No

Reacts with

Human

Applications

WB, ICC/IF, IHC-P

applications

Immunogen

Recombinant Fragment Protein within Human CSNK2A1 aa 150 to C-terminus. The exact immunogen used to generate this antibody is proprietary information.

P68400

Reactivity data

{ "title": "Reactivity Data", "filters": { "stats": ["", "Species", "Dilution Info", "Notes"], "tabs": { "all-applications": {"fullname" : "All Applications", "shortname": "All Applications"}, "IHCP" : {"fullname" : "Immunohistochemistry (Formalin/PFA-fixed paraffin-embedded sections)", "shortname":"IHC-P"}, "WB" : {"fullname" : "Western blot", "shortname":"WB"}, "ICCIF" : {"fullname" : "Immunocytochemistry/ Immunofluorescence", "shortname":"ICC/IF"} }, "product-promise": { "all": "all", "testedAndGuaranteed": "tested", "guaranteed": "expected", "predicted": "predicted", "notRecommended": "not-recommended" } }, "values": { "Human": { "IHCP-species-checked": "testedAndGuaranteed", "IHCP-species-dilution-info": "1/100 - 1/1000", "IHCP-species-notes": "<p></p>", "WB-species-checked": "testedAndGuaranteed", "WB-species-dilution-info": "1/500 - 1/3000", "WB-species-notes": "<p></p>", "ICCIF-species-checked": "testedAndGuaranteed", "ICCIF-species-dilution-info": "1/100 - 1/1000", "ICCIF-species-notes": "<p></p>" }, "Mouse": { "IHCP-species-checked": "predicted", "IHCP-species-dilution-info": "", "IHCP-species-notes": "", "WB-species-checked": "predicted", "WB-species-dilution-info": "", "WB-species-notes": "", "ICCIF-species-checked": "predicted", "ICCIF-species-dilution-info": "", "ICCIF-species-notes": "" }, "Rat": { "IHCP-species-checked": "predicted", "IHCP-species-dilution-info": "", "IHCP-species-notes": "", "WB-species-checked": "predicted", "WB-species-dilution-info": "", "WB-species-notes": "", "ICCIF-species-checked": "predicted", "ICCIF-species-dilution-info": "", "ICCIF-species-notes": "" }, "Chicken": { "IHCP-species-checked": "predicted", "IHCP-species-dilution-info": "", "IHCP-species-notes": "", "WB-species-checked": "predicted", "WB-species-dilution-info": "", "WB-species-notes": "", "ICCIF-species-checked": "predicted", "ICCIF-species-dilution-info": "", "ICCIF-species-notes": "" }, "Cow": { "IHCP-species-checked": "predicted", "IHCP-species-dilution-info": "", "IHCP-species-notes": "", "WB-species-checked": "predicted", "WB-species-dilution-info": "", "WB-species-notes": "", "ICCIF-species-checked": "predicted", "ICCIF-species-dilution-info": "", "ICCIF-species-notes": "" } } }

Properties and storage information

Form
Liquid
Purification technique
Affinity purification Immunogen
Storage buffer
pH: 7 Preservative: 0.01% Thimerosal (merthiolate) Constituents: 10% Glycerol (glycerin, glycerine), 1.21% Tris, 0.75% Glycine
Shipped at conditions
Blue Ice
Appropriate short-term storage conditions
+4°C
Appropriate long-term storage conditions
-20°C
Aliquoting information
Upon delivery aliquot
Storage information
Avoid freeze / thaw cycle

Product protocols

For this product, it's our understanding that no specific protocols are required. You can visit:

Target data

Catalytic subunit of a constitutively active serine/threonine-protein kinase complex that phosphorylates a large number of substrates containing acidic residues C-terminal to the phosphorylated serine or threonine (PubMed : 11239457, PubMed : 11704824, PubMed : 16193064, PubMed : 18411307, PubMed : 18583988, PubMed : 18678890, PubMed : 19188443, PubMed : 20545769, PubMed : 20625391, PubMed : 22017874, PubMed : 22406621, PubMed : 24962073, PubMed : 30898438, PubMed : 31439799). Regulates numerous cellular processes, such as cell cycle progression, apoptosis and transcription, as well as viral infection (PubMed : 12631575, PubMed : 19387551, PubMed : 19387552). May act as a regulatory node which integrates and coordinates numerous signals leading to an appropriate cellular response (PubMed : 12631575, PubMed : 19387551, PubMed : 19387552). During mitosis, functions as a component of the p53/TP53-dependent spindle assembly checkpoint (SAC) that maintains cyclin-B-CDK1 activity and G2 arrest in response to spindle damage (PubMed : 11704824, PubMed : 19188443). Also required for p53/TP53-mediated apoptosis, phosphorylating 'Ser-392' of p53/TP53 following UV irradiation (PubMed : 11239457). Phosphorylates a number of DNA repair proteins in response to DNA damage, such as MDC1, MRE11, RAD9A, RAD51 and HTATSF1, promoting their recruitment to DNA damage sites (PubMed : 18411307, PubMed : 18583988, PubMed : 18678890, PubMed : 20545769, PubMed : 21482717, PubMed : 22325354, PubMed : 26811421, PubMed : 28512243, PubMed : 30898438, PubMed : 35597237). Can also negatively regulate apoptosis (PubMed : 16193064, PubMed : 22184066). Phosphorylates the caspases CASP9 and CASP2 and the apoptotic regulator NOL3 (PubMed : 16193064). Phosphorylation protects CASP9 from cleavage and activation by CASP8, and inhibits the dimerization of CASP2 and activation of CASP8 (PubMed : 16193064). Phosphorylates YY1, protecting YY1 from cleavage by CASP7 during apoptosis (PubMed : 22184066). Regulates transcription by direct phosphorylation of RNA polymerases I, II, III and IV (PubMed : 12631575, PubMed : 19387550, PubMed : 19387551, PubMed : 19387552, PubMed : 23123191). Also phosphorylates and regulates numerous transcription factors including NF-kappa-B, STAT1, CREB1, IRF1, IRF2, ATF1, ATF4, SRF, MAX, JUN, FOS, MYC and MYB (PubMed : 12631575, PubMed : 19387550, PubMed : 19387551, PubMed : 19387552, PubMed : 23123191). Phosphorylates Hsp90 and its co-chaperones FKBP4 and CDC37, which is essential for chaperone function (PubMed : 19387550). Mediates sequential phosphorylation of FNIP1, promoting its gradual interaction with Hsp90, leading to activate both kinase and non-kinase client proteins of Hsp90 (PubMed : 30699359). Regulates Wnt signaling by phosphorylating CTNNB1 and the transcription factor LEF1 (PubMed : 19387549). Acts as an ectokinase that phosphorylates several extracellular proteins (PubMed : 12631575, PubMed : 19387550, PubMed : 19387551, PubMed : 19387552). During viral infection, phosphorylates various proteins involved in the viral life cycles of EBV, HSV, HBV, HCV, HIV, CMV and HPV (PubMed : 12631575, PubMed : 19387550, PubMed : 19387551, PubMed : 19387552). Phosphorylates PML at 'Ser-565' and primes it for ubiquitin-mediated degradation (PubMed : 20625391, PubMed : 22406621). Plays an important role in the circadian clock function by phosphorylating BMAL1 at 'Ser-90' which is pivotal for its interaction with CLOCK and which controls CLOCK nuclear entry (By similarity). Phosphorylates CCAR2 at 'Thr-454' in gastric carcinoma tissue (PubMed : 24962073). Phosphorylates FMR1, promoting FMR1-dependent formation of a membraneless compartment (PubMed : 30765518, PubMed : 31439799). May phosphorylate histone H2A on 'Ser-1' (PubMed : 38334665).
See full target information CSNK2A1

Publications (2)

Recent publications for all applications. Explore the full list and refine your search

Diabetology & metabolic syndrome 17:362 PubMed40883798

2025

Activation of M1 macrophages promotes diabetic kidney disease by modulating glycolysis via HIF-1α-HK2 signaling pathway.

Applications

Unspecified application

Species

Unspecified reactive species

Xiaoyan Pei,Lijuan Lu,Ziqiong Huang,Yu Wei,Yu Li,Qiong Wang,Yanli Yang,Langen Zhuang,Guoxi Jin

Oncogenesis 10:27 PubMed33712563

2021

Resistance to BET inhibitors in lung adenocarcinoma is mediated by casein kinase phosphorylation of BRD4.

Applications

Unspecified application

Species

Unspecified reactive species

Jack Calder,Amy Nagelberg,Jennifer Luu,Daniel Lu,William W Lockwood
View all publications

Product promise

We are committed to supporting your work with high-quality reagents, and we're here for you every step of the way. In the unlikely event that one of our products does not perform as expected, you're protected by our Product Promise.
For full details, please see our Terms & Conditions

Please note: All products are 'FOR RESEARCH USE ONLY. NOT FOR USE IN DIAGNOSTIC OR THERAPEUTIC PROCEDURES'.

For licensing inquiries, please contact partnerships@abcam.com