JavaScript is disabled in your browser. Please enable JavaScript to view this website.
AB249762

Anti-CSRP3 antibody [EPR12616(B)] - BSA and Azide free

Be the first to review this product! Submit a review

|

(0 Publication)

Rabbit Recombinant Monoclonal CSRP3 antibody. Carrier free. Suitable for IHC-P, WB and reacts with Human samples.

View Alternative Names

CLP, MLP, CSRP3, Cysteine and glycine-rich protein 3, Cardiac LIM protein, Cysteine-rich protein 3, Muscle LIM protein, CRP3

3 Images
Immunohistochemistry (Formalin/PFA-fixed paraffin-embedded sections) - Anti-CSRP3 antibody [EPR12616(B)] - BSA and Azide free (AB249762)
  • IHC-P

Supplier Data

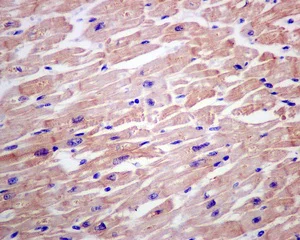
Immunohistochemistry (Formalin/PFA-fixed paraffin-embedded sections) - Anti-CSRP3 antibody [EPR12616(B)] - BSA and Azide free (AB249762)

This data was developed using ab173301, the same antibody clone in a different buffer formulation.

Immunohistochemical analysis of paraffin embedded Human heart tissue labeling CSRP3 with ab173301 at 1/100.

Perform heat mediated antigen retrieval with citrate buffer pH 6 before commencing with IHC staining protocol.

Immunohistochemistry (Formalin/PFA-fixed paraffin-embedded sections) - Anti-CSRP3 antibody [EPR12616(B)] - BSA and Azide free (AB249762)
  • IHC-P

Supplier Data

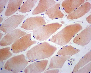
Immunohistochemistry (Formalin/PFA-fixed paraffin-embedded sections) - Anti-CSRP3 antibody [EPR12616(B)] - BSA and Azide free (AB249762)

This data was developed using ab173301, the same antibody clone in a different buffer formulation.

Immunohistochemical analysis of paraffin embedded Human skeletal muscle tissue labeling CSRP3 with ab173301 at 1/100.

Perform heat mediated antigen retrieval with citrate buffer pH 6 before commencing with IHC staining protocol.

Western blot - Anti-CSRP3 antibody [EPR12616(B)] - BSA and Azide free (AB249762)
  • WB

Supplier Data

Western blot - Anti-CSRP3 antibody [EPR12616(B)] - BSA and Azide free (AB249762)

This data was developed using ab173301, the same antibody clone in a different buffer formulation.

All lanes:

Western blot - Anti-CSRP3 antibody [EPR12616(B)] (<a href='/en-us/products/primary-antibodies/csrp3-antibody-epr12616b-ab173301'>ab173301</a>) at 1/1000 dilution

Lane 1:

Fetal heart tissue lysate at 10 µg

Lane 2:

fetal muscle tissue lysate at 10 µg

Predicted band size: 21 kDa

false

Key facts

Host species

Rabbit

Clonality

Monoclonal

Clone number

EPR12616(B)

Isotype

IgG

Carrier free

Yes

Reacts with

Human

Applications

WB, IHC-P

applications

Immunogen

The exact immunogen used to generate this antibody is proprietary information.

Reactivity data

{ "title": "Reactivity Data", "filters": { "stats": ["", "Species", "Dilution Info", "Notes"], "tabs": { "all-applications": {"fullname" : "All Applications", "shortname": "All Applications"}, "IHCP" : {"fullname" : "Immunohistochemistry (Formalin/PFA-fixed paraffin-embedded sections)", "shortname":"IHC-P"}, "WB" : {"fullname" : "Western blot", "shortname":"WB"}, "ICCIF" : {"fullname" : "Immunocytochemistry/ Immunofluorescence", "shortname":"ICC/IF"}, "IP" : {"fullname" : "Immunoprecipitation", "shortname":"IP"} }, "product-promise": { "all": "all", "testedAndGuaranteed": "tested", "guaranteed": "expected", "predicted": "predicted", "notRecommended": "not-recommended" } }, "values": { "Human": { "IHCP-species-checked": "testedAndGuaranteed", "IHCP-species-dilution-info": "", "IHCP-species-notes": "<p></p>", "WB-species-checked": "testedAndGuaranteed", "WB-species-dilution-info": "", "WB-species-notes": "<p></p>", "ICCIF-species-checked": "notRecommended", "ICCIF-species-dilution-info": "", "ICCIF-species-notes": "<p></p>", "IP-species-checked": "notRecommended", "IP-species-dilution-info": "", "IP-species-notes": "<p></p>" }, "Mouse": { "IHCP-species-checked": "predicted", "IHCP-species-dilution-info": "", "IHCP-species-notes": "", "WB-species-checked": "predicted", "WB-species-dilution-info": "", "WB-species-notes": "", "ICCIF-species-checked": "notRecommended", "ICCIF-species-dilution-info": "", "ICCIF-species-notes": "", "IP-species-checked": "notRecommended", "IP-species-dilution-info": "", "IP-species-notes": "" }, "Rat": { "IHCP-species-checked": "predicted", "IHCP-species-dilution-info": "", "IHCP-species-notes": "", "WB-species-checked": "predicted", "WB-species-dilution-info": "", "WB-species-notes": "", "ICCIF-species-checked": "notRecommended", "ICCIF-species-dilution-info": "", "ICCIF-species-notes": "", "IP-species-checked": "notRecommended", "IP-species-dilution-info": "", "IP-species-notes": "" } } }

Product details

ab249762 is the carrier-free version of ab173301.

Patented technology
Our RabMAb® technology is a patented hybridoma-based technology for making rabbit monoclonal antibodies. For details on our patents, please refer to RabMAb® patents.

What are the advantages of a recombinant monoclonal antibody?
This product is a recombinant monoclonal antibody, which offers several advantages including:

  • - High batch-to-batch consistency and reproducibility
  • - Improved sensitivity and specificity
  • - Long-term security of supply
  • - Animal-free batch production

For more information, read more on recombinant antibodies.

Conjugation ready
Our carrier-free antibodies are typically supplied in a PBS-only formulation, purified and free of BSA, sodium azide and glycerol. This conjugation-ready format is designed for use with fluorochromes, metal isotopes, oligonucleotides, and enzymes, which makes them ideal for antibody labelling, functional and cell-based assays, flow-based assays (e.g. mass cytometry) and Multiplex Imaging applications.

Use our conjugation kits for antibody conjugates that are ready-to-use in as little as 20 minutes with 1 minute hands-on-time and 100% antibody recovery: available for fluorescent dyes, HRP, biotin and gold.

Compatibility
This product is compatible with the Maxpar® Antibody Labeling Kit from Fluidigm, without the need for antibody preparation. Maxpar® is a trademark of Fluidigm Canada Inc.

Properties and storage information

Form
Liquid
Purification technique
Affinity purification Protein A
Storage buffer
pH: 7.2 - 7.4 Constituents: PBS
Shipped at conditions
Blue Ice
Appropriate short-term storage conditions
+4°C
Appropriate long-term storage conditions
+4°C
Storage information
Do Not Freeze

Product protocols

For this product, it's our understanding that no specific protocols are required. You can visit:

Target data

Positive regulator of myogenesis. Acts as a cofactor for myogenic bHLH transcription factors such as MYOD1, and probably MYOG and MYF6. Enhances the DNA-binding activity of the MYOD1 : TCF3 isoform E47 complex and may promote formation of a functional MYOD1 : TCF3 isoform E47 : MEF2A complex involved in myogenesis (By similarity). Plays a crucial and specific role in the organization of cytosolic structures in cardiomyocytes. Could play a role in mechanical stretch sensing. May be a scaffold protein that promotes the assembly of interacting proteins at Z-line structures. It is essential for calcineurin anchorage to the Z line. Required for stress-induced calcineurin-NFAT activation (By similarity). The role in regulation of cytoskeleton dynamics by association with CFL2 is reported conflictingly : Shown to enhance CFL2-mediated F-actin depolymerization dependent on the CSRP3 : CFL2 molecular ratio, and also shown to reduce the ability of CLF1 and CFL2 to enhance actin depolymerization (PubMed : 19752190, PubMed : 24934443). Proposed to contribute to the maintenance of muscle cell integrity through an actin-based mechanism. Can directly bind to actin filaments, cross-link actin filaments into bundles without polarity selectivity and protect them from dilution- and cofilin-mediated depolymerization; the function seems to involve its self-association (PubMed : 24934443). In vitro can inhibit PKC/PRKCA activity (PubMed : 27353086). Proposed to be involved in cardiac stress signaling by down-regulating excessive PKC/PRKCA signaling (By similarity).. Isoform 2. May play a role in early sarcomere organization. Overexpression in myotubes negatively regulates myotube differentiation. By association with isoform 1 and thus changing the CSRP3 isoform 1 : CFL2 stoichiometry is proposed to down-regulate CFL2-mediated F-actin depolymerization.
See full target information CSRP3

Product promise

We are committed to supporting your work with high-quality reagents, and we're here for you every step of the way. In the unlikely event that one of our products does not perform as expected, you're protected by our Product Promise.
For full details, please see our Terms & Conditions

Please note: All products are 'FOR RESEARCH USE ONLY. NOT FOR USE IN DIAGNOSTIC OR THERAPEUTIC PROCEDURES'.

For licensing inquiries, please contact partnerships@abcam.com