JavaScript is disabled in your browser. Please enable JavaScript to view this website.
AB246326

Anti-CstF-64 antibody [EPR15698] - BSA and Azide free

Be the first to review this product! Submit a review

|

(1 Publication)

Rabbit Recombinant Monoclonal CstF-64 antibody. Carrier free. Suitable for IP, WB, ICC/IF, Flow Cyt (Intra), IHC-P and reacts with Human samples. Cited in 1 publication.

View Alternative Names

Cleavage stimulation factor subunit 2, CF-1 64 kDa subunit, Cleavage stimulation factor 64 kDa subunit, CSTF 64 kDa subunit, CstF-64, CSTF2

7 Images
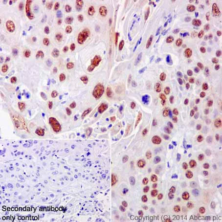
Immunohistochemistry (Formalin/PFA-fixed paraffin-embedded sections) - Anti-CstF-64 antibody [EPR15698] - BSA and Azide free (AB246326)
  • IHC-P

Supplier Data

Immunohistochemistry (Formalin/PFA-fixed paraffin-embedded sections) - Anti-CstF-64 antibody [EPR15698] - BSA and Azide free (AB246326)

Immunohistochemical analysis of paraffin-embedded Human cervix carcinoma tissue labeling CstF-64 with ab200837 at 1/100 dilution, followed by Goat Anti-Rabbit IgG H&L (HRP) (ab97051) secondary antibody at 1/500 dilution. Nuclear staining on Human cervix carcinoma tissue is observed. Counter stained with Hematoxylin.

Secondary antibody only control : Used PBS instead of primary antibody, secondary antibody is Goat Anti-Rabbit IgG H&L (HRP) (ab97051) at 1/500 dilution.

This data was developed using the same antibody clone in a different buffer formulation containing PBS, BSA, glycerol, and sodium azide (ab200837).

Perform heat mediated antigen retrieval with Tris/EDTA buffer pH 9.0 before commencing with IHC staining protocol.

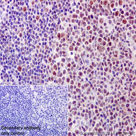
Immunohistochemistry (Formalin/PFA-fixed paraffin-embedded sections) - Anti-CstF-64 antibody [EPR15698] - BSA and Azide free (AB246326)
  • IHC-P

Supplier Data

Immunohistochemistry (Formalin/PFA-fixed paraffin-embedded sections) - Anti-CstF-64 antibody [EPR15698] - BSA and Azide free (AB246326)

Immunohistochemical analysis of paraffin-embedded Human tonsil tissue labeling CstF-64 with ab200837 at 1/100 dilution, followed by Goat Anti-Rabbit IgG H&L (HRP) (ab97051) secondary antibody at 1/500 dilution. Nuclear staining on Human tonsil tissue is observed. Counter stained with Hematoxylin.

Secondary antibody only : Used PBS instead of primary antibody, secondary antibody is Goat Anti-Rabbit IgG H&L (HRP) (ab97051) at 1/500 dilution.

This data was developed using the same antibody clone in a different buffer formulation containing PBS, BSA, glycerol, and sodium azide (ab200837).

Perform heat mediated antigen retrieval with Tris/EDTA buffer pH 9.0 before commencing with IHC staining protocol.

Immunocytochemistry/ Immunofluorescence - Anti-CstF-64 antibody [EPR15698] - BSA and Azide free (AB246326)
  • ICC/IF

Supplier Data

Immunocytochemistry/ Immunofluorescence - Anti-CstF-64 antibody [EPR15698] - BSA and Azide free (AB246326)

Immunofluorescent analysis of 4% paraformaldehyde-fixed, 0.1% Triton X-100 permeabilized Jurkat (Human T cell leukemia cells from peripheral blood) cells labeling CstF-64 with ab200837 at 1/500 dilution, followed by Goat anti-rabbit IgG (Alexa Fluor® 488) (ab150077) secondary antibody at 1/500 dilution (green). Nuclear staining on Jurkat cell line is observed. The nuclear counter stain is DAPI (blue). Tubulin is detected with ab7291 (anti-Tubulin mouse mAb) at 1/1000 dilution and ab150120 (AlexaFluor®594 Goat anti-Mouse secondary) at 1/500 dilution (red).
The negative controls are as follows;
-ve control 1 : ab200837 at 1/500 dilution followed by ab150120 (AlexaFluor®594 Goat anti-Mouse secondary) at 1/500 dilution.
-ve control 2 : ab7291 (anti-Tubulin mouse mAb) at 1/1000 dilution followed by ab150077 (Alexa Fluor®488 Goat Anti-Rabbit IgG H&L) at 1/500 dilution.

This data was developed using the same antibody clone in a different buffer formulation containing PBS, BSA, glycerol, and sodium azide (ab200837).

Flow Cytometry (Intracellular) - Anti-CstF-64 antibody [EPR15698] - BSA and Azide free (AB246326)
  • Flow Cyt (Intra)

Unknown

Flow Cytometry (Intracellular) - Anti-CstF-64 antibody [EPR15698] - BSA and Azide free (AB246326)

Intracellular Flow Cytometry analysis of Jurkat (human acute T cell leukemia) labelling CstF-64with purified ab200837 at 1/25000 (red). Cells were fixed with 4% paraformaldehyde and permeabilised with 90% methanol. Alexa Fluor® 488 goat anti-rabbit IgG (1/2000) was used as the secondary antibody. Black - Isotype control, rabbit monoclonal IgG. Blue - Unlabelled control, cells without incubation with primary and secondary antibodies.

This data was developed using the same antibody clone in a different buffer formulation containing PBS, BSA, glycerol, and sodium azide (ab200837).

Immunocytochemistry/ Immunofluorescence - Anti-CstF-64 antibody [EPR15698] - BSA and Azide free (AB246326)
  • ICC/IF

Supplier Data

Immunocytochemistry/ Immunofluorescence - Anti-CstF-64 antibody [EPR15698] - BSA and Azide free (AB246326)

Immunofluorescent analysis of 4% paraformaldehyde-fixed, 0.1% Triton X-100 permeabilized HeLa (Human epithelial cells from cervix adenocarcinoma) cells labeling CstF-64 with ab200837 at 1/500 dilution, followed by Goat anti-rabbit IgG (Alexa Fluor® 488) (ab150077) secondary antibody at 1/500 dilution (green). Nuclear staining on HeLa cell line is observed. The nuclear counter stain is DAPI (blue). Tubulin is detected with ab7291 (anti-Tubulin mouse mAb) at 1/1000 dilution and ab150120 (AlexaFluor®594 Goat anti-Mouse secondary) at 1/500 dilution (red).
The negative controls are as follows;
-ve control 1 : ab200837 at 1/500 dilution followed by ab150120 (AlexaFluor®594 Goat anti-Mouse secondary) at 1/500 dilution.
-ve control 2 : ab7291 (anti-Tubulin mouse mAb) at 1/1000 dilution followed by ab150077 (Alexa Fluor®488 Goat Anti-Rabbit IgG H&L) at 1/500 dilution.

This data was developed using the same antibody clone in a different buffer formulation containing PBS, BSA, glycerol, and sodium azide (ab200837).

Immunoprecipitation - Anti-CstF-64 antibody [EPR15698] - BSA and Azide free (AB246326)
  • IP

Supplier Data

Immunoprecipitation - Anti-CstF-64 antibody [EPR15698] - BSA and Azide free (AB246326)

CstF-64 was immunoprecipitated from 1mg of K562 (Human chronic myelogenous leukemia cells from bone marrow) whole cell lysate with ab200837 at 1/30 dilution. Western blot was performed from the immunoprecipitate using ab200837 at 1/1000 dilution. Anti-Rabbit IgG (HRP), specific to the non-reduced form of IgG, was used as secondary antibody at 1/1500 dilution.

Lane 1 : K562 whole cell lysate10 μg (Input). Lane 2 : ab200837 IP in K562 whole cell lysate. Lane 3 : Rabbit monoclonal IgG (ab172730) instead of ab200837 in K562 whole cell lysate.
Blocking and dilution buffer and concentration : 5% NFDM/TBST.

Exposure time : 5 seconds

This data was developed using the same antibody clone in a different buffer formulation containing PBS, BSA, glycerol, and sodium azide (ab200837).

All lanes:

Immunoprecipitation - Anti-CstF-64 antibody [EPR15698] (<a href='/en-us/products/primary-antibodies/cstf-64-antibody-epr15698-ab200837'>ab200837</a>)

Predicted band size: 61 kDa

false

Western blot - Anti-CstF-64 antibody [EPR15698] - BSA and Azide free (AB246326)
  • WB

Lab

Western blot - Anti-CstF-64 antibody [EPR15698] - BSA and Azide free (AB246326)

This data was developed using the same antibody clone in a different buffer formulation (ab200837).

Lanes 1-3 : Merged signal (red and green). Green - ab200837 observed at 65 kDa. Red - loading control ab8245 observed at 36 kDa.

ab200837 Anti-CstF-64 antibody [EPR15698] was shown to specifically react with CstF-64 in wild-type HeLa cells. Loss of signal was observed when knockout cell line ab265207 (knockout cell lysate ab257402) was used. Wild-type and CstF-64 knockout samples were subjected to SDS-PAGE. ab200837 and Anti-GAPDH antibody [6C5] - Loading Control (ab8245) were incubated overnight at 4°C at 1 in 1000 dilution and 1 in 20000 dilution respectively. Blots were developed with Goat anti-Rabbit IgG H&L (IRDye® 800CW) preadsorbed (ab216773) and Goat anti-Mouse IgG H&L (IRDye® 680RD) preadsorbed (ab216776) secondary antibodies at 1 in 20000 dilution for 1 hour at room temperature before imaging.

All lanes:

Western blot - Anti-CstF-64 antibody [EPR15698] (<a href='/en-us/products/primary-antibodies/cstf-64-antibody-epr15698-ab200837'>ab200837</a>) at 1/1000 dilution

Lane 1:

Wild-type HeLa cell lysate at 20 µg

Lane 2:

CSTF2 knockout HeLa cell lysate at 20 µg

Lane 2:

Western blot - Human CSTF2 (CstF-64) knockout HeLa cell line (<a href='/en-us/products/cell-lines/human-cstf2-cstf-64-knockout-hela-cell-line-ab265207'>ab265207</a>)

Lane 3:

K-562 cell lysate at 20 µg

Secondary

All lanes:

Western blot - Goat anti-Rabbit IgG H&L (IRDye® 800CW) preadsorbed (<a href='/en-us/products/secondary-antibodies/goat-rabbit-igg-h-l-irdye-800cw-preadsorbed-ab216773'>ab216773</a>) at 1/10000 dilution

Predicted band size: 61 kDa

Observed band size: 65 kDa

false

Key facts

Host species

Rabbit

Clonality

Monoclonal

Clone number

EPR15698

Isotype

IgG

Carrier free

Yes

Reacts with

Human

Applications

WB, IP, ICC/IF, Flow Cyt (Intra), IHC-P

applications

Immunogen

The exact immunogen used to generate this antibody is proprietary information.

Reactivity data

{ "title": "Reactivity Data", "filters": { "stats": ["", "Species", "Dilution Info", "Notes"], "tabs": { "all-applications": {"fullname" : "All Applications", "shortname": "All Applications"}, "IP" : {"fullname" : "Immunoprecipitation", "shortname":"IP"}, "WB" : {"fullname" : "Western blot", "shortname":"WB"}, "ICCIF" : {"fullname" : "Immunocytochemistry/ Immunofluorescence", "shortname":"ICC/IF"}, "FlowCytIntra" : {"fullname" : "Flow Cytometry (Intracellular)", "shortname":"Flow Cyt (Intra)"}, "IHCP" : {"fullname" : "Immunohistochemistry (Formalin/PFA-fixed paraffin-embedded sections)", "shortname":"IHC-P"} }, "product-promise": { "all": "all", "testedAndGuaranteed": "tested", "guaranteed": "expected", "predicted": "predicted", "notRecommended": "not-recommended" } }, "values": { "Human": { "IP-species-checked": "testedAndGuaranteed", "IP-species-dilution-info": "", "IP-species-notes": "<p></p>", "WB-species-checked": "testedAndGuaranteed", "WB-species-dilution-info": "", "WB-species-notes": "<p></p>", "ICCIF-species-checked": "testedAndGuaranteed", "ICCIF-species-dilution-info": "", "ICCIF-species-notes": "<p></p>", "FlowCytIntra-species-checked": "testedAndGuaranteed", "FlowCytIntra-species-dilution-info": "", "FlowCytIntra-species-notes": "<p></p>", "IHCP-species-checked": "testedAndGuaranteed", "IHCP-species-dilution-info": "", "IHCP-species-notes": "<p></p>" } } }

Product details

ab246326 is the carrier-free version of ab200837.

Patented technology
Our RabMAb® technology is a patented hybridoma-based technology for making rabbit monoclonal antibodies. For details on our patents, please refer to RabMAb® patents.

What are the advantages of a recombinant monoclonal antibody?
This product is a recombinant monoclonal antibody, which offers several advantages including:

  • - High batch-to-batch consistency and reproducibility
  • - Improved sensitivity and specificity
  • - Long-term security of supply
  • - Animal-free batch production

For more information, read more on recombinant antibodies.

Conjugation ready
Our carrier-free antibodies are typically supplied in a PBS-only formulation, purified and free of BSA, sodium azide and glycerol. This conjugation-ready format is designed for use with fluorochromes, metal isotopes, oligonucleotides, and enzymes, which makes them ideal for antibody labelling, functional and cell-based assays, flow-based assays (e.g. mass cytometry) and Multiplex Imaging applications.

Use our conjugation kits for antibody conjugates that are ready-to-use in as little as 20 minutes with 1 minute hands-on-time and 100% antibody recovery: available for fluorescent dyes, HRP, biotin and gold.

Compatibility
This product is compatible with the Maxpar® Antibody Labeling Kit from Fluidigm, without the need for antibody preparation. Maxpar® is a trademark of Fluidigm Canada Inc.

Properties and storage information

Form
Liquid
Purification technique
Affinity purification Protein A
Storage buffer
pH: 7.2 - 7.4 Constituents: PBS
Shipped at conditions
Blue Ice
Appropriate short-term storage conditions
+4°C
Appropriate long-term storage conditions
+4°C
Storage information
Do Not Freeze

Product protocols

For this product, it's our understanding that no specific protocols are required. You can visit:

Target data

One of the multiple factors required for polyadenylation and 3'-end cleavage of mammalian pre-mRNAs. This subunit is directly involved in the binding to pre-mRNAs.
See full target information Cleavage stimulation factor subunit 2

Publications (1)

Recent publications for all applications. Explore the full list and refine your search

Nature communications 15:1312 PubMed38346978

2024

Residual ANTXR1+ myofibroblasts after chemotherapy inhibit anti-tumor immunity via YAP1 signaling pathway.

Applications

Unspecified application

Species

Unspecified reactive species

Monika Licaj,Rana Mhaidly,Yann Kieffer,Hugo Croizer,Claire Bonneau,Arnaud Meng,Lounes Djerroudi,Kevin Mujangi-Ebeka,Hocine R Hocine,Brigitte Bourachot,Ilaria Magagna,Renaud Leclere,Lea Guyonnet,Mylene Bohec,Coralie Guérin,Sylvain Baulande,Maud Kamal,Christophe Le Tourneau,Fabrice Lecuru,Véronique Becette,Roman Rouzier,Anne Vincent-Salomon,Geraldine Gentric,Fatima Mechta-Grigoriou
View all publications

Product promise

We are committed to supporting your work with high-quality reagents, and we're here for you every step of the way. In the unlikely event that one of our products does not perform as expected, you're protected by our Product Promise.
For full details, please see our Terms & Conditions

Please note: All products are 'FOR RESEARCH USE ONLY. NOT FOR USE IN DIAGNOSTIC OR THERAPEUTIC PROCEDURES'.

For licensing inquiries, please contact partnerships@abcam.com