JavaScript is disabled in your browser. Please enable JavaScript to view this website.
AB138486

Anti-CSTF2T + CSTF2 antibody [EPR8924]

Be the first to review this product! Submit a review

|

(5 Publications)

Rabbit Recombinant Monoclonal CSTF2T antibody. Suitable for IHC-P, WB, ICC/IF and reacts with Human samples. Cited in 5 publications.

View Alternative Names

KIAA0689, CSTF2T, Cleavage stimulation factor subunit 2 tau variant, CF-1 64 kDa subunit tau variant, Cleavage stimulation factor 64 kDa subunit tau variant, TauCstF-64, CSTF 64 kDa subunit tau variant

4 Images
Immunohistochemistry (Formalin/PFA-fixed paraffin-embedded sections) - Anti-CSTF2T + CSTF2 antibody [EPR8924] (AB138486)
  • IHC-P

Unknown

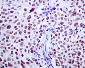
Immunohistochemistry (Formalin/PFA-fixed paraffin-embedded sections) - Anti-CSTF2T + CSTF2 antibody [EPR8924] (AB138486)

Immunohistochemical analysis of paraffin-embedded Human lung adenocarcinoma tissue labelling CSTF2T + CSTF2 with ab138486 at 1/250 dilution.

Perform heat mediated antigen retrieval with citrate buffer pH 6 before commencing with IHC staining protocol.

Immunohistochemistry (Formalin/PFA-fixed paraffin-embedded sections) - Anti-CSTF2T + CSTF2 antibody [EPR8924] (AB138486)
  • IHC-P

Unknown

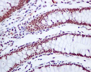
Immunohistochemistry (Formalin/PFA-fixed paraffin-embedded sections) - Anti-CSTF2T + CSTF2 antibody [EPR8924] (AB138486)

Immunohistochemical analysis of paraffin-embedded Human colon adenocarcinoma tissue labelling CSTF2T +CSTF2 with ab138486 at 1/250 dilution.

Perform heat mediated antigen retrieval with citrate buffer pH 6 before commencing with IHC staining protocol.

Immunocytochemistry/ Immunofluorescence - Anti-CSTF2T + CSTF2 antibody [EPR8924] (AB138486)
  • ICC/IF

Unknown

Immunocytochemistry/ Immunofluorescence - Anti-CSTF2T + CSTF2 antibody [EPR8924] (AB138486)

Immunofluorescent analysis of HeLa cells labelling CSTF2T + CSTF2 with ab138486 at 1/250 dilution.

Western blot - Anti-CSTF2T + CSTF2 antibody [EPR8924] (AB138486)
  • WB

Unknown

Western blot - Anti-CSTF2T + CSTF2 antibody [EPR8924] (AB138486)

All lanes:

Western blot - Anti-CSTF2T + CSTF2 antibody [EPR8924] (ab138486) at 1/1000 dilution

Lane 1:

Jurkat cell lysate at 10 µg

Lane 2:

PC3 cell lysate at 10 µg

Lane 3:

HeLa cell lysate at 10 µg

Secondary

All lanes:

HRP labelled goat anti-rabbit at 1/2000 dilution

Predicted band size: 64 kDa

false

Key facts

Host species

Rabbit

Clonality

Monoclonal

Clone number

EPR8924

Isotype

IgG

Carrier free

No

Reacts with

Human

Applications

IHC-P, ICC/IF, WB

applications

Immunogen

The exact immunogen used to generate this antibody is proprietary information.

Reactivity data

{ "title": "Reactivity Data", "filters": { "stats": ["", "Species", "Dilution Info", "Notes"], "tabs": { "all-applications": {"fullname" : "All Applications", "shortname": "All Applications"}, "IHCP" : {"fullname" : "Immunohistochemistry (Formalin/PFA-fixed paraffin-embedded sections)", "shortname":"IHC-P"}, "WB" : {"fullname" : "Western blot", "shortname":"WB"}, "ICCIF" : {"fullname" : "Immunocytochemistry/ Immunofluorescence", "shortname":"ICC/IF"} }, "product-promise": { "all": "all", "testedAndGuaranteed": "tested", "guaranteed": "expected", "predicted": "predicted", "notRecommended": "not-recommended" } }, "values": { "Human": { "IHCP-species-checked": "testedAndGuaranteed", "IHCP-species-dilution-info": "1/250 - 1/500", "IHCP-species-notes": "<p></p> Perform heat-mediated antigen retrieval with citrate buffer pH 6 before commencing with IHC staining protocol.", "WB-species-checked": "testedAndGuaranteed", "WB-species-dilution-info": "1/1000 - 1/10000", "WB-species-notes": "<p></p>", "ICCIF-species-checked": "testedAndGuaranteed", "ICCIF-species-dilution-info": "1/250 - 1/500", "ICCIF-species-notes": "<p></p>" } } }

Product details

Species reactivity
Mouse, Rat: We have preliminary internal testing data to indicate this antibody may not react with these species.
Please contact us for more information.

Patented technology
Our RabMAb® technology is a patented hybridoma-based technology for making rabbit monoclonal antibodies. For details on our patents, please refer to RabMAb® patents.

What are the advantages of a recombinant monoclonal antibody?
This product is a recombinant monoclonal antibody, which offers several advantages including:

  • - High batch-to-batch consistency and reproducibility
  • - Improved sensitivity and specificity
  • - Long-term security of supply
  • - Animal-free batch production

For more information, read more on recombinant antibodies.

Properties and storage information

Form
Liquid
Purification technique
Affinity purification Protein A
Storage buffer
pH: 7.2 - 7.4 Preservative: 0.01% Sodium azide Constituents: PBS, 50% Tissue culture supernatant, 40% Glycerol (glycerin, glycerine), 0.05% BSA
Shipped at conditions
Blue Ice
Appropriate short-term storage conditions
+4°C
Appropriate long-term storage conditions
-20°C

Product protocols

For this product, it's our understanding that no specific protocols are required. You can visit:

Target data

May play a significant role in AAUAAA-independent mRNA polyadenylation in germ cells. Directly involved in the binding to pre-mRNAs (By similarity).
See full target information CSTF2T

Additional targets

Cleavage stimulation factor subunit 2

Publications (5)

Recent publications for all applications. Explore the full list and refine your search

Cancer biology & therapy 24:2216041 PubMed37287122

2023

CSTF2T facilitates pancreatic adenocarcinoma growth and metastasis by elevating H3K4Me1 methylation of CALB2 via ASH2L.

Applications

Unspecified application

Species

Unspecified reactive species

Wei Liu,Dongwei Hu,Jinjie Li,Qigang Xu,Zongjing Chen,Bo Xu

ESC heart failure 9:2955-2966 PubMed35730141

2022

HOXA cluster antisense RNA 2 elevates KIAA1522 expression through microRNA-520d-3p and insulin like growth factor 2 mRNA binding protein 3 to promote the growth of vascular smooth muscle cells in thoracic aortic aneurysm.

Applications

Unspecified application

Species

Unspecified reactive species

Minghui Ou,Yaonan Chu,Qian Zhang,Huidong Zhao,Qiang Song

BMC infectious diseases 21:655 PubMed34233649

2021

Identification of novel genes involved in apoptosis of HIV-infected macrophages using unbiased genome-wide screening.

Applications

Unspecified application

Species

Unspecified reactive species

Simon X M Dong,Frederick S Vizeacoumar,Kalpana K Bhanumathy,Nezeka Alli,Cristina Gonzalez-Lopez,Niranjala Gajanayaka,Ramon Caballero,Hamza Ali,Andrew Freywald,Edana Cassol,Jonathan B Angel,Franco J Vizeacoumar,Ashok Kumar

Cancer biology & therapy 22:311-323 PubMed33879018

2021

LINC00668 cooperated with HuR dependent upregulation of PKN2 to facilitate gastric cancer metastasis.

Applications

Unspecified application

Species

Unspecified reactive species

Jutang Li,Wei Dong,Qixia Jiang,Fenglian Zhang,Hui Dong

Nucleic acids research 47:8239-8254 PubMed31216022

2019

XAB2 depletion induces intron retention in POLR2A to impair global transcription and promote cellular senescence.

Applications

Unspecified application

Species

Unspecified reactive species

Shuai Hou,Dajun Qu,Yue Li,Baohui Zhu,Dapeng Liang,Xinyue Wei,Wei Tang,Qian Zhang,Jiaojiao Hao,Wei Guo,Weijie Wang,Siqi Zhao,Qi Wang,Sikandar Azam,Misbah Khan,Haidong Zhao,Liye Zhang,Haixin Lei
View all publications

Product promise

We are committed to supporting your work with high-quality reagents, and we're here for you every step of the way. In the unlikely event that one of our products does not perform as expected, you're protected by our Product Promise.
For full details, please see our Terms & Conditions

Please note: All products are 'FOR RESEARCH USE ONLY. NOT FOR USE IN DIAGNOSTIC OR THERAPEUTIC PROCEDURES'.

For licensing inquiries, please contact partnerships@abcam.com