JavaScript is disabled in your browser. Please enable JavaScript to view this website.
AB74407

Anti-CSTF3 antibody

Be the first to review this product! Submit a review

|

(1 Publication)

Rabbit Polyclonal CSTF3 antibody. Suitable for IHC-P and reacts with Mouse, Human samples. Cited in 1 publication. Immunogen corresponding to Synthetic Peptide within Human Cleavage stimulation factor subunit 3 aa 650 to C-terminus.

View Alternative Names

Cleavage stimulation factor subunit 3, CF-1 77 kDa subunit, Cleavage stimulation factor 77 kDa subunit, CSTF 77 kDa subunit, CstF-77, CSTF3

2 Images
Immunohistochemistry (Formalin/PFA-fixed paraffin-embedded sections) - Anti-CSTF3 antibody (AB74407)
  • IHC-P

Unknown

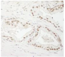
Immunohistochemistry (Formalin/PFA-fixed paraffin-embedded sections) - Anti-CSTF3 antibody (AB74407)

ab74407, at 1/250 dilution, staining CSTF3 in formalin fixed, paraffin embedded human prostate carcinoma tissue by Immunohistochemistry. Detection : DAB staining.

Immunohistochemistry (Formalin/PFA-fixed paraffin-embedded sections) - Anti-CSTF3 antibody (AB74407)
  • IHC-P

Unknown

Immunohistochemistry (Formalin/PFA-fixed paraffin-embedded sections) - Anti-CSTF3 antibody (AB74407)

ab74407, at 1/250 dilution, staining CSTF3 in formalin fixed, paraffin embedded mouse teratoma tissue by Immunohistochemistry. Detection : DAB staining.

Key facts

Host species

Rabbit

Clonality

Polyclonal

Isotype

IgG

Carrier free

No

Reacts with

Mouse, Human

Applications

IHC-P

applications

Immunogen

Synthetic Peptide within Human Cleavage stimulation factor subunit 3 aa 650 to C-terminus. The exact immunogen used to generate this antibody is proprietary information.

Q12996

Reactivity data

{ "title": "Reactivity Data", "filters": { "stats": ["", "Species", "Dilution Info", "Notes"], "tabs": { "all-applications": {"fullname" : "All Applications", "shortname": "All Applications"}, "IHCP" : {"fullname" : "Immunohistochemistry (Formalin/PFA-fixed paraffin-embedded sections)", "shortname":"IHC-P"} }, "product-promise": { "all": "all", "testedAndGuaranteed": "tested", "guaranteed": "expected", "predicted": "predicted", "notRecommended": "not-recommended" } }, "values": { "Human": { "IHCP-species-checked": "testedAndGuaranteed", "IHCP-species-dilution-info": "1/100 - 1/500", "IHCP-species-notes": "<p></p>" }, "Mouse": { "IHCP-species-checked": "testedAndGuaranteed", "IHCP-species-dilution-info": "1/100 - 1/500", "IHCP-species-notes": "<p></p>" }, "Rat": { "IHCP-species-checked": "predicted", "IHCP-species-dilution-info": "", "IHCP-species-notes": "" }, "Chicken": { "IHCP-species-checked": "predicted", "IHCP-species-dilution-info": "", "IHCP-species-notes": "" }, "Chimpanzee": { "IHCP-species-checked": "predicted", "IHCP-species-dilution-info": "", "IHCP-species-notes": "" }, "Cow": { "IHCP-species-checked": "predicted", "IHCP-species-dilution-info": "", "IHCP-species-notes": "" }, "Dog": { "IHCP-species-checked": "predicted", "IHCP-species-dilution-info": "", "IHCP-species-notes": "" }, "Gorilla": { "IHCP-species-checked": "predicted", "IHCP-species-dilution-info": "", "IHCP-species-notes": "" }, "Guinea pig": { "IHCP-species-checked": "predicted", "IHCP-species-dilution-info": "", "IHCP-species-notes": "" }, "Horse": { "IHCP-species-checked": "predicted", "IHCP-species-dilution-info": "", "IHCP-species-notes": "" }, "Orangutan": { "IHCP-species-checked": "predicted", "IHCP-species-dilution-info": "", "IHCP-species-notes": "" }, "Platypus": { "IHCP-species-checked": "predicted", "IHCP-species-dilution-info": "", "IHCP-species-notes": "" }, "Rabbit": { "IHCP-species-checked": "predicted", "IHCP-species-dilution-info": "", "IHCP-species-notes": "" }, "Rhesus monkey": { "IHCP-species-checked": "predicted", "IHCP-species-dilution-info": "", "IHCP-species-notes": "" }, "Turkey": { "IHCP-species-checked": "predicted", "IHCP-species-dilution-info": "", "IHCP-species-notes": "" } } }

Properties and storage information

Form
Liquid
Purification technique
Affinity purification Immunogen
Purification notes
ab74407 was affinity purified using an epitope specific to CSTF3 immobilized on solid support.
Storage buffer
pH: 6.8 - 7.4 Preservative: 0.09% Sodium azide Constituents: Tris buffered saline, 0.1% BSA
Shipped at conditions
Blue Ice
Appropriate short-term storage conditions
+4°C
Appropriate long-term storage conditions
-20°C
Aliquoting information
Upon delivery aliquot
Storage information
Avoid freeze / thaw cycle

Product protocols

For this product, it's our understanding that no specific protocols are required. You can visit:

Target data

One of the multiple factors required for polyadenylation and 3'-end cleavage of mammalian pre-mRNAs.
See full target information Cleavage stimulation factor subunit 3

Publications (1)

Recent publications for all applications. Explore the full list and refine your search

Nature 574:273-277 PubMed31578525

2019

Coordinated alterations in RNA splicing and epigenetic regulation drive leukaemogenesis.

Applications

Unspecified application

Species

Unspecified reactive species

Akihide Yoshimi,Kuan-Ting Lin,Daniel H Wiseman,Mohammad Alinoor Rahman,Alessandro Pastore,Bo Wang,Stanley Chun-Wei Lee,Jean-Baptiste Micol,Xiao Jing Zhang,Stephane de Botton,Virginie Penard-Lacronique,Eytan M Stein,Hana Cho,Rachel E Miles,Daichi Inoue,Todd R Albrecht,Tim C P Somervaille,Kiran Batta,Fabio Amaral,Fabrizio Simeoni,Deepti P Wilks,Catherine Cargo,Andrew M Intlekofer,Ross L Levine,Heidi Dvinge,Robert K Bradley,Eric J Wagner,Adrian R Krainer,Omar Abdel-Wahab
View all publications

Product promise

We are committed to supporting your work with high-quality reagents, and we're here for you every step of the way. In the unlikely event that one of our products does not perform as expected, you're protected by our Product Promise.
For full details, please see our Terms & Conditions

Please note: All products are 'FOR RESEARCH USE ONLY. NOT FOR USE IN DIAGNOSTIC OR THERAPEUTIC PROCEDURES'.

For licensing inquiries, please contact partnerships@abcam.com