JavaScript is disabled in your browser. Please enable JavaScript to view this website.
AB247811

Anti-CT A antibody [EPR3940(2)] - BSA and Azide free

Be the first to review this product! Submit a review

|

(0 Publication)

Rabbit Recombinant Monoclonal CT A antibody. Carrier free. Suitable for IHC-P, WB, ICC/IF and reacts with Mouse, Human samples.

View Alternative Names

CTPCT, PCYT1, PCYT1A, Choline-phosphate cytidylyltransferase A, CCT-alpha, CTP:phosphocholine cytidylyltransferase A, Phosphorylcholine transferase A, CCT A, CT A

3 Images
Immunocytochemistry/ Immunofluorescence - Anti-CT A antibody [EPR3940(2)] - BSA and Azide free (AB247811)
  • ICC/IF

Unknown

Immunocytochemistry/ Immunofluorescence - Anti-CT A antibody [EPR3940(2)] - BSA and Azide free (AB247811)

Immunocytochemistry/ Immunofluorescence analysis of HeLa (Human cervix adenocarcinoma epithelial cell) cells labeling CT A with Purified ab109263 at 1 : 50 dilution (10 µg/ml). Cells were fixed in 4% Paraformaldehyde and permeabilized with 0.1% tritonX-100. Cells were counterstained with ab195889 Anti-alpha Tubulin antibody [DM1A] - Microtubule Marker (Alexa Fluor® 594) 1 : 200 (2.5 µg/ml). Goat anti rabbit IgG (Alexa Fluor® 488, ab150077) was used as the secondary antibody at 1 : 1000 (2 µg/ml) dilution. DAPI (blue) was used as nuclear counterstain. PBS instead of the primary antibody was used as the secondary antibody only control.
This data was developed using the same antibody clone in a different buffer formulation containing PBS, BSA, glycerol, and sodium azide (ab109263)

Immunohistochemistry (Formalin/PFA-fixed paraffin-embedded sections) - Anti-CT A antibody [EPR3940(2)] - BSA and Azide free (AB247811)
  • IHC-P

Unknown

Immunohistochemistry (Formalin/PFA-fixed paraffin-embedded sections) - Anti-CT A antibody [EPR3940(2)] - BSA and Azide free (AB247811)

Immunohistochemistry (Formalin/PFA-fixed paraffin-embedded sections) analysis of human colon tissue sections labeling CT A with Purified ab109263 at 1 : 500 dilution (1.06 µg/ml). Perform heat mediated antigen retrieval using ab93684 (Tris/EDTA buffer, pH 9.0). Purified)ImmunoHistoProbe one step HRP Polymer (ready to use) was used for detection. Negative control : PBS instead of the primary antibody. Hematoxylin was used as a counterstain.
This data was developed using the same antibody clone in a different buffer formulation containing PBS, BSA, glycerol, and sodium azide (ab109263)

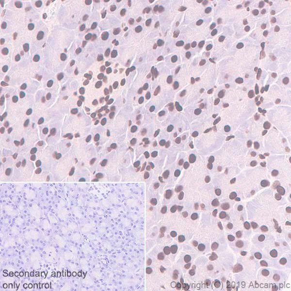
Immunohistochemistry (Formalin/PFA-fixed paraffin-embedded sections) - Anti-CT A antibody [EPR3940(2)] - BSA and Azide free (AB247811)
  • IHC-P

Unknown

Immunohistochemistry (Formalin/PFA-fixed paraffin-embedded sections) - Anti-CT A antibody [EPR3940(2)] - BSA and Azide free (AB247811)

Immunohistochemistry (Formalin/PFA-fixed paraffin-embedded sections) analysis of mouse pancreas tissue sections labeling CT A with Purified ab109263 at 1 : 1000 dilution (0.53 µg/ml). Perform heat mediated antigen retrieval using ab93684 (Tris/EDTA buffer, pH 9.0). Purified)ImmunoHistoProbe one step HRP Polymer (ready to use) was used for detection. Negative control : PBS instead of the primary antibody. Hematoxylin was used as a counterstain.
This data was developed using the same antibody clone in a different buffer formulation containing PBS, BSA, glycerol, and sodium azide (ab109263)

Key facts

Host species

Rabbit

Clonality

Monoclonal

Clone number

EPR3940(2)

Isotype

IgG

Carrier free

Yes

Reacts with

Mouse, Human

Applications

IHC-P, WB, ICC/IF

applications

Immunogen

The exact immunogen used to generate this antibody is proprietary information.

Reactivity data

{ "title": "Reactivity Data", "filters": { "stats": ["", "Species", "Dilution Info", "Notes"], "tabs": { "all-applications": {"fullname" : "All Applications", "shortname": "All Applications"}, "IHCP" : {"fullname" : "Immunohistochemistry (Formalin/PFA-fixed paraffin-embedded sections)", "shortname":"IHC-P"}, "IP" : {"fullname" : "Immunoprecipitation", "shortname":"IP"}, "FlowCyt" : {"fullname" : "Flow Cytometry", "shortname":"Flow Cyt"}, "WB" : {"fullname" : "Western blot", "shortname":"WB"}, "ICCIF" : {"fullname" : "Immunocytochemistry/ Immunofluorescence", "shortname":"ICC/IF"} }, "product-promise": { "all": "all", "testedAndGuaranteed": "tested", "guaranteed": "expected", "predicted": "predicted", "notRecommended": "not-recommended" } }, "values": { "Human": { "IHCP-species-checked": "guaranteed", "IHCP-species-dilution-info": "", "IHCP-species-notes": "", "IP-species-checked": "notRecommended", "IP-species-dilution-info": "", "IP-species-notes": "<p></p>", "FlowCyt-species-checked": "notRecommended", "FlowCyt-species-dilution-info": "", "FlowCyt-species-notes": "<p></p>", "WB-species-checked": "guaranteed", "WB-species-dilution-info": "", "WB-species-notes": "<p></p>", "ICCIF-species-checked": "testedAndGuaranteed", "ICCIF-species-dilution-info": "", "ICCIF-species-notes": "<p></p>" }, "Mouse": { "IHCP-species-checked": "testedAndGuaranteed", "IHCP-species-dilution-info": "", "IHCP-species-notes": "<p></p>", "IP-species-checked": "notRecommended", "IP-species-dilution-info": "", "IP-species-notes": "<p></p>", "FlowCyt-species-checked": "notRecommended", "FlowCyt-species-dilution-info": "", "FlowCyt-species-notes": "<p></p>", "WB-species-checked": "guaranteed", "WB-species-dilution-info": "", "WB-species-notes": "<p></p>", "ICCIF-species-checked": "guaranteed", "ICCIF-species-dilution-info": "", "ICCIF-species-notes": "" } } }

Product details

ab247811 is the carrier-free version of ab109263.

Patented technology
Our RabMAb® technology is a patented hybridoma-based technology for making rabbit monoclonal antibodies. For details on our patents, please refer to RabMAb® patents.

What are the advantages of a recombinant monoclonal antibody?
This product is a recombinant monoclonal antibody, which offers several advantages including:

  • - High batch-to-batch consistency and reproducibility
  • - Improved sensitivity and specificity
  • - Long-term security of supply
  • - Animal-free batch production

For more information, read more on recombinant antibodies.

Species reactivity
Rat: We have preliminary internal testing data to indicate this antibody may not react with this species.
Please contact us for more information.

Conjugation ready
Our carrier-free antibodies are typically supplied in a PBS-only formulation, purified and free of BSA, sodium azide and glycerol. This conjugation-ready format is designed for use with fluorochromes, metal isotopes, oligonucleotides, and enzymes, which makes them ideal for antibody labelling, functional and cell-based assays, flow-based assays (e.g. mass cytometry) and Multiplex Imaging applications.

Use our conjugation kits for antibody conjugates that are ready-to-use in as little as 20 minutes with 1 minute hands-on-time and 100% antibody recovery: available for fluorescent dyes, HRP, biotin and gold.

Compatibility
This product is compatible with the Maxpar® Antibody Labeling Kit from Fluidigm, without the need for antibody preparation. Maxpar® is a trademark of Fluidigm Canada Inc.

Properties and storage information

Form
Liquid
Purification technique
Affinity purification Protein A
Storage buffer
pH: 7.2 - 7.4 Constituents: PBS
Shipped at conditions
Blue Ice
Appropriate short-term storage conditions
+4°C
Appropriate long-term storage conditions
+4°C
Storage information
Do Not Freeze

Product protocols

For this product, it's our understanding that no specific protocols are required. You can visit:

Target data

Catalyzes the key rate-limiting step in the CDP-choline pathway for phosphatidylcholine biosynthesis.
See full target information PCYT1A

Product promise

We are committed to supporting your work with high-quality reagents, and we're here for you every step of the way. In the unlikely event that one of our products does not perform as expected, you're protected by our Product Promise.
For full details, please see our Terms & Conditions

Please note: All products are 'FOR RESEARCH USE ONLY. NOT FOR USE IN DIAGNOSTIC OR THERAPEUTIC PROCEDURES'.

For licensing inquiries, please contact partnerships@abcam.com