JavaScript is disabled in your browser. Please enable JavaScript to view this website.
AB223094

Anti-CT054 antibody

Be the first to review this product! Submit a review

|

(1 Publication)

Rabbit Polyclonal CT054 antibody. Suitable for WB, IHC-P, ICC/IF and reacts with Mouse, Human samples. Cited in 1 publication. Immunogen corresponding to Recombinant Fragment Protein within Human SLC52A3 aa 150-250.

View Alternative Names

C20orf54, RFT2, RFVT3, SLC52A3, Riboflavin transporter 2, hRFT2

3 Images
Immunohistochemistry (Formalin/PFA-fixed paraffin-embedded sections) - Anti-CT054 antibody (AB223094)
  • IHC-P

Supplier Data

Immunohistochemistry (Formalin/PFA-fixed paraffin-embedded sections) - Anti-CT054 antibody (AB223094)

Paraffin-embedded human testis tissue stained for CT054 using ab223094 at 1/100 dilution in immunohistochemical analysis.

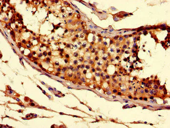
Immunocytochemistry/ Immunofluorescence - Anti-CT054 antibody (AB223094)
  • ICC/IF

Supplier Data

Immunocytochemistry/ Immunofluorescence - Anti-CT054 antibody (AB223094)

HepG2 (human liver hepatocellular carcinoma cell line) cells stained for CT054 (green) using ab223094 at 1/100 dilution in ICC/IF. Secondary : Alexa Fluor 488-conjugated Goat Anti-Rabbit IgG(H+L).

Western blot - Anti-CT054 antibody (AB223094)
  • WB

Supplier Data

Western blot - Anti-CT054 antibody (AB223094)

All lanes:

Western blot - Anti-CT054 antibody (ab223094) at 1/1000 dilution

All lanes:

Mouse lung tissue lysate

Secondary

All lanes:

Goat Anti-Rabbit IgG at 1/50000 dilution

Predicted band size: 51 kDa

Observed band size: 51 kDa

false

Key facts

Host species

Rabbit

Clonality

Polyclonal

Isotype

IgG

Carrier free

No

Reacts with

Mouse, Human

Applications

IHC-P, WB, ICC/IF

applications

Immunogen

Recombinant Fragment Protein within Human SLC52A3 aa 150-250. The exact immunogen used to generate this antibody is proprietary information.

Q9NQ40

Reactivity data

{ "title": "Reactivity Data", "filters": { "stats": ["", "Species", "Dilution Info", "Notes"], "tabs": { "all-applications": {"fullname" : "All Applications", "shortname": "All Applications"}, "WB" : {"fullname" : "Western blot", "shortname":"WB"}, "IHCP" : {"fullname" : "Immunohistochemistry (Formalin/PFA-fixed paraffin-embedded sections)", "shortname":"IHC-P"}, "ICCIF" : {"fullname" : "Immunocytochemistry/ Immunofluorescence", "shortname":"ICC/IF"} }, "product-promise": { "all": "all", "testedAndGuaranteed": "tested", "guaranteed": "expected", "predicted": "predicted", "notRecommended": "not-recommended" } }, "values": { "Human": { "WB-species-checked": "guaranteed", "WB-species-dilution-info": "", "WB-species-notes": "", "IHCP-species-checked": "testedAndGuaranteed", "IHCP-species-dilution-info": "1/20 - 1/200", "IHCP-species-notes": "<p></p>", "ICCIF-species-checked": "testedAndGuaranteed", "ICCIF-species-dilution-info": "1/50 - 1/200", "ICCIF-species-notes": "<p></p>" }, "Mouse": { "WB-species-checked": "testedAndGuaranteed", "WB-species-dilution-info": "1/1000 - 1/5000", "WB-species-notes": "<p></p>", "IHCP-species-checked": "guaranteed", "IHCP-species-dilution-info": "", "IHCP-species-notes": "", "ICCIF-species-checked": "guaranteed", "ICCIF-species-dilution-info": "", "ICCIF-species-notes": "" } } }

Properties and storage information

Form
Liquid
Purification technique
Affinity purification Protein G
Purification notes
Purity >95%
Storage buffer
pH: 7.4 Preservative: 0.03% Proclin 300 Constituents: PBS, 50% Glycerol (glycerin, glycerine)
Shipped at conditions
Blue Ice
Appropriate short-term storage duration
1-2 weeks
Appropriate short-term storage conditions
+4°C
Appropriate long-term storage conditions
-20°C
Aliquoting information
Upon delivery aliquot
Storage information
Avoid freeze / thaw cycle

Product protocols

For this product, it's our understanding that no specific protocols are required. You can visit:

Target data

Plasma membrane transporter mediating the uptake by cells of the water soluble vitamin B2/riboflavin that plays a key role in biochemical oxidation-reduction reactions of the carbohydrate, lipid, and amino acid metabolism (PubMed : 20463145, PubMed : 22273710, PubMed : 24264046, PubMed : 27702554). Humans are unable to synthesize vitamin B2/riboflavin and must obtain it via intestinal absorption (PubMed : 20463145).
See full target information SLC52A3

Publications (1)

Recent publications for all applications. Explore the full list and refine your search

Journal of cellular and molecular medicine 23:5329-5339 PubMed31187586

2019

Lumiflavin increases the sensitivity of ovarian cancer stem-like cells to cisplatin by interfering with riboflavin.

Applications

Unspecified application

Species

Unspecified reactive species

Ruhui Yang,Zhe Wei,Songquan Wu
View all publications

Product promise

We are committed to supporting your work with high-quality reagents, and we're here for you every step of the way. In the unlikely event that one of our products does not perform as expected, you're protected by our Product Promise.
For full details, please see our Terms & Conditions

Please note: All products are 'FOR RESEARCH USE ONLY. NOT FOR USE IN DIAGNOSTIC OR THERAPEUTIC PROCEDURES'.

For licensing inquiries, please contact partnerships@abcam.com