JavaScript is disabled in your browser. Please enable JavaScript to view this website.
AB323553

Anti-CT45 antibody [EPR29691-71]

  • BOND RX™ Validated
  • Recombinant
  • 20ul selling size
  • RabMAb
  • Advanced Validation
  • What is this?

Be the first to review this product! Submit a review

|

(0 Publication)

Rabbit Recombinant Monoclonal CT451 antibody. Suitable for WB, ICC/IF, IHC-P, mIHC and reacts with Transfected cell lysate - Human, Human samples.

View Alternative Names

CT45-1, Cancer/testis antigen family 45 member A1, Cancer/testis antigen 45-1, Cancer/testis antigen 45A1

10 Images
Immunohistochemistry (Formalin/PFA-fixed paraffin-embedded sections) - Anti-CT45 antibody [EPR29691-71] (AB323553)
  • IHC-P

Supplier Data

Immunohistochemistry (Formalin/PFA-fixed paraffin-embedded sections) - Anti-CT45 antibody [EPR29691-71] (AB323553)

Immunohistochemical analysis of paraffin-embedded Human bladder cancer tissue labeling CT45 with ab323553 at 1/500 (1.016 ug/ml) dilution, followed by a ready to use LeicaDS9800 (Bond™ Polymer Refine Detection).

Positive staining on human bladder cancer. The section was incubated with ab323553 for 30 mins at room temperature.
The immunostaining was performed on a Leica Biosystems BOND® RX instrument

Counterstained with Hematoxylin.

Secondary antibody only control : Secondary antibody is a ready to use LeicaDS9800 (Bond™ Polymer Refine Detection).

Heat mediated antigen retrieval was performed with Tris-EDTA buffer (pH 9.0, Epitope Retrieval Solution2) for 20 mins

Immunohistochemistry (Formalin/PFA-fixed paraffin-embedded sections) - Anti-CT45 antibody [EPR29691-71] (AB323553)
  • IHC-P

Supplier Data

Immunohistochemistry (Formalin/PFA-fixed paraffin-embedded sections) - Anti-CT45 antibody [EPR29691-71] (AB323553)

Immunohistochemical analysis of paraffin-embedded Human lung tissue labeling CT45 with ab323553 at 1/500 (1.016 ug/ml) dilution, followed by a ready to use LeicaDS9800 (Bond™ Polymer Refine Detection).

Low expression tissue : no staining on human lung. The section was incubated with ab323553 for 30 mins at room temperature.
The immunostaining was performed on a Leica Biosystems BOND® RX instrument

Counterstained with Hematoxylin.

Secondary antibody only control : Secondary antibody is a ready to use LeicaDS9800 (Bond™ Polymer Refine Detection).

Heat mediated antigen retrieval was performed with Tris-EDTA buffer (pH 9.0, Epitope Retrieval Solution2) for 20 mins

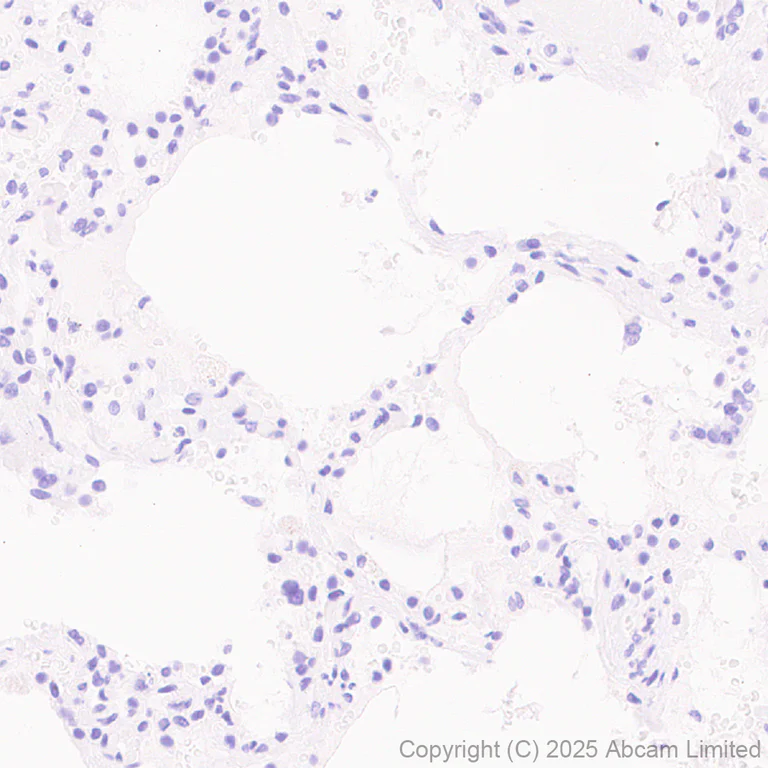
Immunohistochemistry (Formalin/PFA-fixed paraffin-embedded sections) - Anti-CT45 antibody [EPR29691-71] (AB323553)
  • IHC-P

Supplier Data

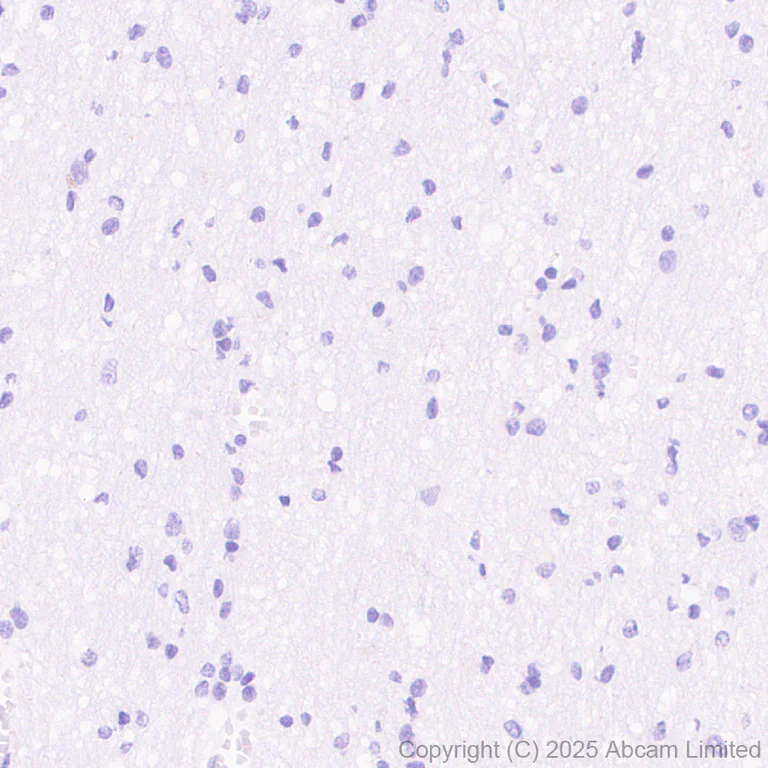
Immunohistochemistry (Formalin/PFA-fixed paraffin-embedded sections) - Anti-CT45 antibody [EPR29691-71] (AB323553)

Immunohistochemical analysis of paraffin-embedded Human cerebrum tissue labeling CT45 with ab323553 at 1/500 (1.016 ug/ml) dilution, followed by a ready to use LeicaDS9800 (Bond™ Polymer Refine Detection).

Low expression tissue : no staining on human cerebrum. The section was incubated with ab323553 for 30 mins at room temperature.
The immunostaining was performed on a Leica Biosystems BOND® RX instrument

Counterstained with Hematoxylin.

Secondary antibody only control : Secondary antibody is a ready to use LeicaDS9800 (Bond™ Polymer Refine Detection).

Heat mediated antigen retrieval was performed with Tris-EDTA buffer (pH 9.0, Epitope Retrieval Solution2) for 20 mins

Multiplex immunohistochemistry - Anti-CT45 antibody [EPR29691-71] (AB323553)
  • mIHC

Lab

Multiplex immunohistochemistry - Anti-CT45 antibody [EPR29691-71] (AB323553)

Multiplex immunohistochemistry analysis of formalin/PFA-fixed paraffin-embedded human testis tissue staining CT45 with ab323553 at a 1/1000 dilution, ab315275 anti-LAMA1 used at 1/500 dilution and ab323317 anti-Oligodendrocyte Specific Protein used at a 1/500 dilution.

Panel A : anti-CT45 (green; Opal™520), anti-LAMA1 (magenta; Opal™690) and anti-Oligodendrocyte Specific Protein (gray; Opal™570) on human testis.

Panel B : anti-CT45 staining nucleus in human testis.

Panel C : anti-LAMA1 staining basement membrane in human testis.

Panel D : anti-Oligodendrocyte Specific Protein staining apical Sertoli cell crypts in human testis.

Nuclear DNA was labeled with DAPI (shown in blue).

The section was incubated in three rounds of staining : in the order of ab323553, ab315275 and ab323317 for 30 mins at room temperature. Each round was followed by a separate fluorescent tyramide signal amplification system.

The immunostaining was performed on a Leica Biosystems BOND® RX instrument with an Opal™ 4-color kit. Image acquisition was performed with Leica SP8 confocal microscope.

Heat mediated antigen retrieval was performed with Tris-EDTA buffer (pH 9.0, Epitope Retrieval Solution2) for 20 mins.

Immunocytochemistry/ Immunofluorescence - Anti-CT45 antibody [EPR29691-71] (AB323553)
  • ICC/IF

Supplier Data

Immunocytochemistry/ Immunofluorescence - Anti-CT45 antibody [EPR29691-71] (AB323553)

Immunofluorescent analysis of 4% Paraformaldehyde-fixed, 0.1% TritonX-100 permeabilized A375 (human malignant melanoma epithelial cell) cells labelling CT45 with ab323553 at 1/1000 (0.508 ug/ml) dilution, followed by ab150081 Goat Anti-Rabbit IgG H&L (Alexa Fluor® 488) preadsorbed antibody at 1/1000 dilution (Green).

Confocal image showing nuclear staining in A375 cell line (shown in green). The counterstain was observed in magenta. Nuclear DNA was labelled with DAPI (shown in blue). Image was taken with a confocal microscope (Leica-Microsystems, TCS SP8).
Negative control : WI-38 (PMID : 28901509).

ab195889 Anti-alpha Tubulin mouse monoclonal antibody - Microtubule Marker (Alexa Fluor® 594) was used to counterstain tubulin at 1/200 dilution (Magenta). The Nuclear counterstain was DAPI (Blue).

Secondary antibody only control : Secondary antibody is ab150081 Goat Anti-Rabbit IgG H&L (Alexa Fluor® 488) preadsorbed at 1/1000 dilution.

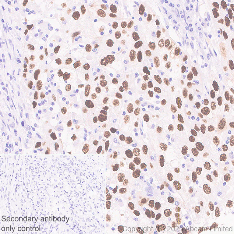
Immunohistochemistry (Formalin/PFA-fixed paraffin-embedded sections) - Anti-CT45 antibody [EPR29691-71] (AB323553)
  • IHC-P

Supplier Data

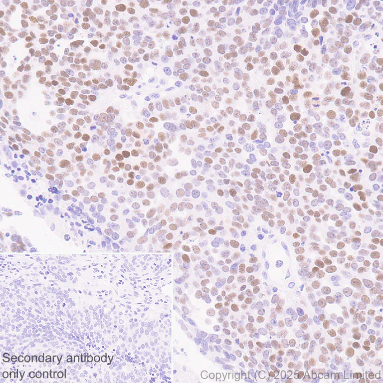
Immunohistochemistry (Formalin/PFA-fixed paraffin-embedded sections) - Anti-CT45 antibody [EPR29691-71] (AB323553)

Immunohistochemical analysis of paraffin-embedded Human endometrial carcinoma tissue labeling CT45 with ab323553 at 1/500 (1.016 ug/ml) dilution, followed by a ready to use LeicaDS9800 (Bond™ Polymer Refine Detection).

Positive staining on human endometrial carcinoma. The section was incubated with ab323553 for 30 mins at room temperature.
The immunostaining was performed on a Leica Biosystems BOND® RX instrument

Counterstained with Hematoxylin.

Secondary antibody only control : Secondary antibody is a ready to use LeicaDS9800 (Bond™ Polymer Refine Detection).

Heat mediated antigen retrieval was performed with Tris-EDTA buffer (pH 9.0, Epitope Retrieval Solution2) for 20 mins

Immunohistochemistry (Formalin/PFA-fixed paraffin-embedded sections) - Anti-CT45 antibody [EPR29691-71] (AB323553)
  • IHC-P

Supplier Data

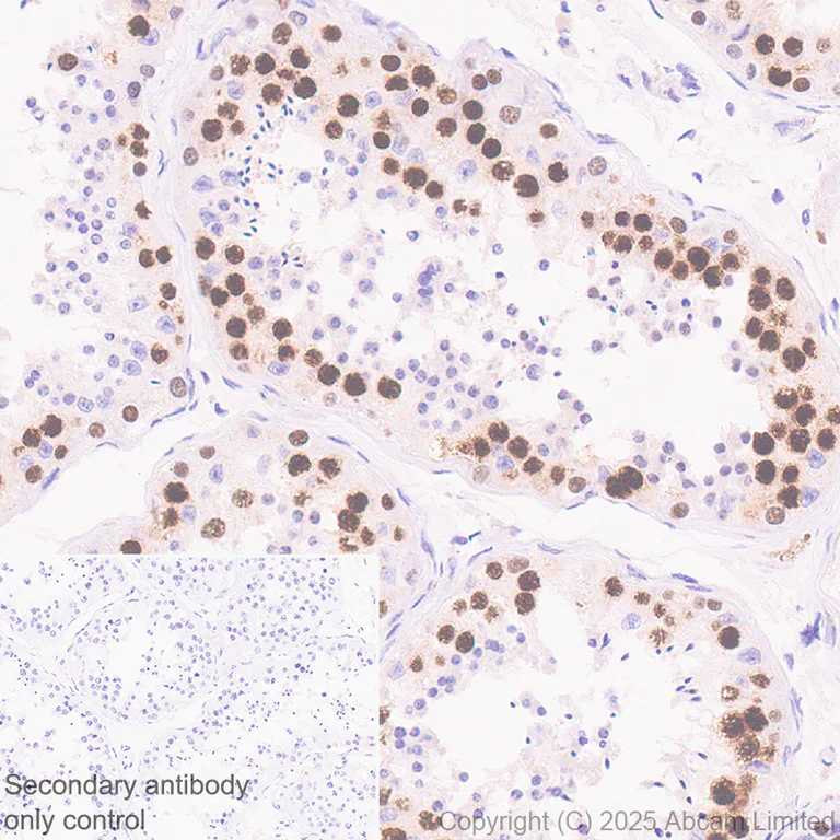
Immunohistochemistry (Formalin/PFA-fixed paraffin-embedded sections) - Anti-CT45 antibody [EPR29691-71] (AB323553)

Immunohistochemical analysis of paraffin-embedded Human testis tissue labeling CT45 with ab323553 at 1/500 (1.016 ug/ml) dilution, followed by a ready to use LeicaDS9800 (Bond™ Polymer Refine Detection).

Positive staining on human testis. The section was incubated with ab323553 for 30 mins at room temperature.
The immunostaining was performed on a Leica Biosystems BOND® RX instrument

Counterstained with Hematoxylin.

Secondary antibody only control : Secondary antibody is a ready to use LeicaDS9800 (Bond™ Polymer Refine Detection).

Heat mediated antigen retrieval was performed with Tris-EDTA buffer (pH 9.0, Epitope Retrieval Solution2) for 20 mins

Western blot - Anti-CT45 antibody [EPR29691-71] (AB323553)
  • WB

Supplier Data

Western blot - Anti-CT45 antibody [EPR29691-71] (AB323553)

Blocking and diluting buffer and concentration : 5% NFDM/TBST.

Low expression : brainstem, breast, lung (PMID : 30241606).

The bands beneath the target band (25 kDa) are likely to be degraded target fragments.

The expression profile/ molecular weight observed is consistent with what has been described in the literature (PMID : 23758873).

In Western blot, Anti-GAPDH antibody [EPR16891] - Loading Control (ab181602) staining at 1/200000 dilution.

All lanes:

Western blot - Anti-CT45 antibody [EPR29691-71] (ab323553) at 1/1000 dilution

Lane 1:

Human testis tissue at 20 µg with NFDM/TBST

Lane 2:

Human breast tissue at 20 µg with NFDM/TBST

Lane 3:

Human brainstem tissue at 20 µg with NFDM/TBST

Lane 4:

Human lung tissue at 20 µg with NFDM/TBST

Secondary

All lanes:

Goat Anti-Rabbit IgG (HRP) with minimal cross-reactivity with human IgG at 1/2000 dilution

Observed band size: 25 kDa,36 kDa

false

Exposure time: 10s

Western blot - Anti-CT45 antibody [EPR29691-71] (AB323553)
  • WB

Supplier Data

Western blot - Anti-CT45 antibody [EPR29691-71] (AB323553)

Blocking and diluting buffer and concentration : 5% NFDM/TBST.

Negative control : WI-38 (PMID : 28901509), NIH : OVCAR-3 (PMID : 30241606).

In lanes 1-5, the lysates were stored at -80°C prior to Western Blotting. The bands beneath the target band (25 kDa) are likey to be degradation products. In lane 6, To minimize protein degradation, cell was lysed immediately after harvest and then applied to a gel and transfer membrane for Western blotting as soon as possible.

The expression profile/molecular weight observed is consistent with what has been described in the literature (PMID : 23758873).

In Western blot, Anti-GAPDH antibody [EPR16891] - Loading Control (ab181602) staining at 1/200000 dilution.

All lanes:

Western blot - Anti-CT45 antibody [EPR29691-71] (ab323553) at 1/1000 dilution

Lane 1:

K-562 (human chronic myelogenous leukemia lymphoblast) whole cell lysate at 20 µg with NFDM/TBST

Lane 2:

T-47D (human ductal breast epithelial tumor epithelial cell) whole cell lysate at 20 µg with NFDM/TBST

Lanes 3 and 6:

A375 (human malignant melanoma epithelial cell) whole cell lysate at 20 µg with NFDM/TBST

Lane 4:

WI-38 (human fetal lung fibroblast) whole cell lysate at 20 µg with NFDM/TBST

Lane 5:

NIH:OVCAR-3 (human ovary adenocarcinoma epithelial cell) whole cell lysate at 20 µg with NFDM/TBST

Secondary

All lanes:

Western blot - Goat Anti-Rabbit IgG H&L (HRP) (<a href='/en-us/products/secondary-antibodies/goat-rabbit-igg-h-l-hrp-ab97051'>ab97051</a>) at 1/100000 dilution

Observed band size: 25 kDa,36 kDa

false

Exposure time: 15s

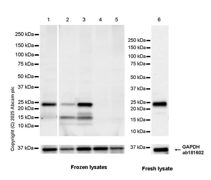
Western blot - Anti-CT45 antibody [EPR29691-71] (AB323553)
  • WB

Supplier Data

Western blot - Anti-CT45 antibody [EPR29691-71] (AB323553)

Blocking and diluting buffer and concentration : 5% NFDM/TBST.

This antibody does recognize all the CT45A family members 1-10.

The bands beneath the target band (25 kDa) are likely to be degraded target fragments.

The expression profile/ molecular weight observed is consistent with what has been described in the literature (PMID : 23758873).

In Western blot, Anti-GAPDH antibody [EPR16891] - Loading Control (ab181602) staining at 1/200000 dilution.

In Western blot, Anti-6X His tag® antibody [EPR20547] - ChIP Grade (ab213204) staining at 1/5000 dilution.

All lanes:

Western blot - Anti-CT45 antibody [EPR29691-71] (ab323553) at 1/1000 dilution

Lane 1:

293T cells transfected with an empty vector containing a His-tag, whole cell lysate at 20 µg with NFDM/TBST

Lane 2:

293T cells transfected with a human CT45A1 expression vector containing a His-tag, whole cell lysate at 20 µg with NFDM/TBST

Lane 3:

293T cells transfected with a human CT45A2/8/9 expression vector containing a His-tag, whole cell lysate at 20 µg with NFDM/TBST

Lane 4:

293T cells transfected with a human CT45A3/4 expression vector containing a His-tag, whole cell lysate at 20 µg with NFDM/TBST

Lane 5:

293T cells transfected with a human CT45A5/6/7 expression vector containing a His-tag, whole cell lysate at 20 µg with NFDM/TBST

Lane 6:

293T cells transfected with a human CT45A10 expression vector containing a His-tag, whole cell lysate at 20 µg with NFDM/TBST

Secondary

All lanes:

Western blot - Goat Anti-Rabbit IgG H&L (HRP) (<a href='/en-us/products/secondary-antibodies/goat-rabbit-igg-h-l-hrp-ab97051'>ab97051</a>) at 1/100000 dilution

Observed band size: 25 kDa,36 kDa,15-25 kDa

false

Exposure time: 15s

Key facts

Host species

Rabbit

Clonality

Monoclonal

Clone number

EPR29691-71

Isotype

IgG

Carrier free

No

Reacts with

Human

Applications

ICC/IF, mIHC, IHC-P, WB

applications

Immunogen

The exact immunogen used to generate this antibody is proprietary information.

Reactivity data

{ "title": "Reactivity Data", "filters": { "stats": ["", "Species", "Dilution Info", "Notes"], "tabs": { "all-applications": {"fullname" : "All Applications", "shortname": "All Applications"}, "WB" : {"fullname" : "Western blot", "shortname":"WB"}, "ICCIF" : {"fullname" : "Immunocytochemistry/ Immunofluorescence", "shortname":"ICC/IF"}, "IHCP" : {"fullname" : "Immunohistochemistry (Formalin/PFA-fixed paraffin-embedded sections)", "shortname":"IHC-P"}, "mIHC" : {"fullname" : "Multiplex immunohistochemistry", "shortname":"mIHC"} }, "product-promise": { "all": "all", "testedAndGuaranteed": "tested", "guaranteed": "expected", "predicted": "predicted", "notRecommended": "not-recommended" } }, "values": { "Human": { "WB-species-checked": "testedAndGuaranteed", "WB-species-dilution-info": "1/1000", "WB-species-notes": "<p></p>", "ICCIF-species-checked": "testedAndGuaranteed", "ICCIF-species-dilution-info": "1/1000", "ICCIF-species-notes": "<p></p>", "IHCP-species-checked": "testedAndGuaranteed", "IHCP-species-dilution-info": "1/500", "IHCP-species-notes": "<p></p> Perform heat-mediated antigen retrieval with Tris/EDTA buffer pH 9.0 before commencing with IHC staining protocol.", "mIHC-species-checked": "testedAndGuaranteed", "mIHC-species-dilution-info": "1/1000", "mIHC-species-notes": "<p></p> Perform heat-mediated antigen retrieval with Tris/EDTA buffer pH 9.0 before commencing with IHC staining protocol." }, "Transfected cell lysate - Human": { "WB-species-checked": "testedAndGuaranteed", "WB-species-dilution-info": "1/1000", "WB-species-notes": "<p></p>", "ICCIF-species-checked": "notRecommended", "ICCIF-species-dilution-info": "", "ICCIF-species-notes": "", "IHCP-species-checked": "notRecommended", "IHCP-species-dilution-info": "", "IHCP-species-notes": "", "mIHC-species-checked": "notRecommended", "mIHC-species-dilution-info": "", "mIHC-species-notes": "" } } }

Product details

Patented technology
Our RabMAb® technology is a patented hybridoma-based technology for making rabbit monoclonal antibodies. For details on our patents, please refer to RabMAb® patents.

What are the advantages of a recombinant monoclonal antibody?
This product is a recombinant monoclonal antibody, which offers several advantages including:

  • - High batch-to-batch consistency and reproducibility
  • - Improved sensitivity and specificity
  • - Long-term security of supply
  • - Animal-free batch production

For more information, read more on recombinant antibodies.

Properties and storage information

Form
Liquid
Purification technique
Affinity purification Protein A
Storage buffer
pH: 7.2 - 7.4 Preservative: 0.01% Sodium azide Constituents: PBS, 40% Glycerol (glycerin, glycerine), 0.05% BSA
Shipped at conditions
Blue Ice
Appropriate short-term storage duration
1-2 weeks
Appropriate short-term storage conditions
+4°C
Appropriate long-term storage conditions
-20°C
Aliquoting information
Upon delivery aliquot
Storage information
Avoid freeze / thaw cycle

Product protocols

For this product, it's our understanding that no specific protocols are required. You can visit:

Product promise

We are committed to supporting your work with high-quality reagents, and we're here for you every step of the way. In the unlikely event that one of our products does not perform as expected, you're protected by our Product Promise.
For full details, please see our Terms & Conditions

Please note: All products are 'FOR RESEARCH USE ONLY. NOT FOR USE IN DIAGNOSTIC OR THERAPEUTIC PROCEDURES'.

For licensing inquiries, please contact partnerships@abcam.com