JavaScript is disabled in your browser. Please enable JavaScript to view this website.
AB225536

Anti-CTAG1B antibody [EPR13780] - BSA and Azide free

Be the first to review this product! Submit a review

|

(1 Publication)

Rabbit Recombinant Monoclonal CTAG1B antibody. Carrier free. Suitable for IHC-P and reacts with Human samples. Cited in 1 publication.

View Alternative Names

CTAG, CTAG1, ESO1, LAGE2, LAGE2A, CTAG1B, LAGE2B, CTAG1A, Cancer/testis antigen 1, Autoimmunogenic cancer/testis antigen NY-ESO-1, Cancer/testis antigen 6.1, L antigen family member 2, CT6.1, LAGE-2

3 Images
Immunohistochemistry (Formalin/PFA-fixed paraffin-embedded sections) - Anti-CTAG1B antibody [EPR13780] - BSA and Azide free (AB225536)
  • IHC-P

Supplier Data

Immunohistochemistry (Formalin/PFA-fixed paraffin-embedded sections) - Anti-CTAG1B antibody [EPR13780] - BSA and Azide free (AB225536)

This IHC data was generated using the same anti-CTAG1B antibody clone [EPR13780] in a different buffer formulation (cat# ab183740).

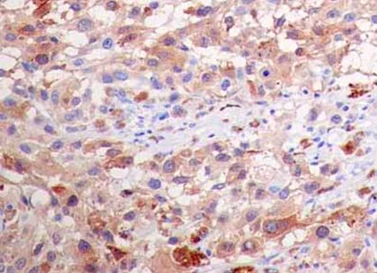
Immunohistochemical analysis of paraffin-embedded Human melanoma tissue labeling CTAG1B with ab183740 at 1/4000 dilution. The slide is counterstained with Hematoxylin.

Perform heat mediated antigen retrieval with EDTA buffer pH 9 before commencing with IHC staining protocol.

Immunohistochemistry (Formalin/PFA-fixed paraffin-embedded sections) - Anti-CTAG1B antibody [EPR13780] - BSA and Azide free (AB225536)
  • IHC-P

Supplier Data

Immunohistochemistry (Formalin/PFA-fixed paraffin-embedded sections) - Anti-CTAG1B antibody [EPR13780] - BSA and Azide free (AB225536)

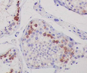
Immunohistochemical analysis of paraffin-embedded Human testis tissue labeling CTAG1B with ab183740 at 1/4000 dilution. The slide is counterstained with Hematoxylin.

This data was developed using the same antibody clone in a different buffer formulation containing PBS, BSA, glycerol, and sodium azide (ab183740).

Perform heat mediated antigen retrieval with EDTA buffer pH 9 before commencing with IHC staining protocol.

Immunohistochemistry (Formalin/PFA-fixed paraffin-embedded sections) - Anti-CTAG1B antibody [EPR13780] - BSA and Azide free (AB225536)
  • IHC-P

Lab

Immunohistochemistry (Formalin/PFA-fixed paraffin-embedded sections) - Anti-CTAG1B antibody [EPR13780] - BSA and Azide free (AB225536)

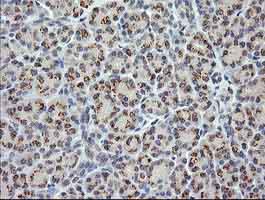
Tissue Microarrays stained for "Anti-CTAG1B antibody [EPR13780]" using "ab183740"in immunohistochemical analysis. This table provides a detailed overview of positive (tick mark) and negative (cross mark) staining per sample type tested. The sections were pre-treated using Heat mediated antigen retrieval using Bond™ Epitope Retrieval Solution 2 (pH 9.0) for 20 minutes. The sections were incubated with ab183740 for 10 mins at room temperature followed by a ready to use Rabbit specific IHC polymer detection kit HRP/DAB (ab209101). The immunostaining was performed on a Leica Biosystems BOND® RX instrument.

Key facts

Host species

Rabbit

Clonality

Monoclonal

Clone number

EPR13780

Isotype

IgG

Carrier free

Yes

Reacts with

Human

Applications

IHC-P

applications

Immunogen

The exact immunogen used to generate this antibody is proprietary information.

Specificity

The immunogen used for this product shares 85% homology with CTAG2/LAGE1. Cross-reactivity with this protein has not been confirmed experimentally.

Reactivity data

{ "title": "Reactivity Data", "filters": { "stats": ["", "Species", "Dilution Info", "Notes"], "tabs": { "all-applications": {"fullname" : "All Applications", "shortname": "All Applications"}, "IHCP" : {"fullname" : "Immunohistochemistry (Formalin/PFA-fixed paraffin-embedded sections)", "shortname":"IHC-P"} }, "product-promise": { "all": "all", "testedAndGuaranteed": "tested", "guaranteed": "expected", "predicted": "predicted", "notRecommended": "not-recommended" } }, "values": { "Human": { "IHCP-species-checked": "testedAndGuaranteed", "IHCP-species-dilution-info": "", "IHCP-species-notes": "<p></p>" } } }

Product details

ab225536 is the carrier-free version of ab183740.

Patented technology
Our RabMAb® technology is a patented hybridoma-based technology for making rabbit monoclonal antibodies. For details on our patents, please refer to RabMAb® patents.

Conjugation ready
Our carrier-free antibodies are typically supplied in a PBS-only formulation, purified and free of BSA, sodium azide and glycerol. This conjugation-ready format is designed for use with fluorochromes, metal isotopes, oligonucleotides, and enzymes, which makes them ideal for antibody labelling, functional and cell-based assays, flow-based assays (e.g. mass cytometry) and Multiplex Imaging applications.

Use our conjugation kits for antibody conjugates that are ready-to-use in as little as 20 minutes with 1 minute hands-on-time and 100% antibody recovery: available for fluorescent dyes, HRP, biotin and gold.

Compatibility
This product is compatible with the Maxpar® Antibody Labeling Kit from Fluidigm, without the need for antibody preparation. Maxpar® is a trademark of Fluidigm Canada Inc.

Properties and storage information

Form
Liquid
Purification technique
Affinity purification Protein A
Storage buffer
pH: 7.2 - 7.4 Constituents: PBS
Shipped at conditions
Blue Ice
Appropriate short-term storage conditions
+4°C
Appropriate long-term storage conditions
+4°C
Storage information
Do Not Freeze

Supplementary information

This supplementary information is collated from multiple sources and compiled automatically.

CTAG1B also known as NY-ESO-1 is a cancer/testis antigen with an approximate molecular mass of 22 kDa. This protein is absent in most normal tissues but shows expression in the testes and a variety of tumors. CTAG1B is recognized for its potential role in immune targeting due to its restricted expression profile. The protein plays a part in antigenic presentation and stimulates T-cell response making it a significant focus for cancer immunotherapy research.
Biological function summary

CTAG1B is involved in the immune response against tumors. It is part of the group called cancer/testis antigens due to its low expression in normal tissues except the testes. This restricted pattern allows CTAG1B to function in distinguishing between tumor and normal cells which is important for targeted therapies. It does not belong to a specific multiprotein complex but contributes to immune recognition by presenting as an antigenic determinant.

Pathways

CTAG1B engages predominantly in cellular processes associated with the immune system's adaptive arm. It plays a role in the antigen processing and presentation pathway where it functions to engage CD8+ T cells. The protein associates with other antigens expressed in cancer such as MAGE-A1 in enabling an immune response against tumor cells. By acting alongside these proteins CTAG1B supports pathways leading to the recognition and destruction of malignant cells.

CTAG1B shows a strong connection to cancer particularly in melanoma and ovarian cancer. It is considered a biomarker for these cancers due to its restricted expression and detection in tumor tissues. In cancer CTAG1B interacts with immune checkpoint proteins such as PD-L1 where it helps sustain and enhance immune responses. This relationship has made CTAG1B a promising target in immunotherapy aiming to improve cancer treatment outcomes.

Product protocols

For this product, it's our understanding that no specific protocols are required. You can visit:

Publications (1)

Recent publications for all applications. Explore the full list and refine your search

eLife 6: PubMed28195531

2017

Multiplex image-based autophagy RNAi screening identifies SMCR8 as ULK1 kinase activity and gene expression regulator.

Applications

Unspecified application

Species

Unspecified reactive species

Jennifer Jung,Arnab Nayak,Véronique Schaeffer,Tatjana Starzetz,Achim K Kirsch,Stefan Müller,Ivan Dikic,Michel Mittelbronn,Christian Behrends
View all publications

Product promise

We are committed to supporting your work with high-quality reagents, and we're here for you every step of the way. In the unlikely event that one of our products does not perform as expected, you're protected by our Product Promise.
For full details, please see our Terms & Conditions

Please note: All products are 'FOR RESEARCH USE ONLY. NOT FOR USE IN DIAGNOSTIC OR THERAPEUTIC PROCEDURES'.

For licensing inquiries, please contact partnerships@abcam.com