JavaScript is disabled in your browser. Please enable JavaScript to view this website.
AB242416

Anti-CTAG1B antibody [SP349] - BSA and Azide free

Be the first to review this product! Submit a review

|

(1 Publication)

Rabbit Recombinant Monoclonal CTAG1B antibody. Carrier free. Suitable for Flow Cyt, WB, IHC-P and reacts with Human samples. Cited in 1 publication.

View Alternative Names

CTAG, CTAG1, ESO1, LAGE2, LAGE2A, CTAG1B, LAGE2B, CTAG1A, Cancer/testis antigen 1, Autoimmunogenic cancer/testis antigen NY-ESO-1, Cancer/testis antigen 6.1, L antigen family member 2, CT6.1, LAGE-2

6 Images
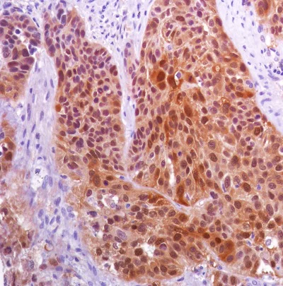
Immunohistochemistry (Formalin/PFA-fixed paraffin-embedded sections) - Anti-CTAG1B antibody [SP349] - BSA and Azide free (AB242416)
  • IHC-P

Supplier Data

Immunohistochemistry (Formalin/PFA-fixed paraffin-embedded sections) - Anti-CTAG1B antibody [SP349] - BSA and Azide free (AB242416)

Formalin-fixed, paraffin-embedded human lung squamous cell carcinoma tissue stained for CTAG1B with ab223498 at 1/100 dilution in immunohistochemical analysis.

This data was developed using the same antibody clone in a different buffer formulation containing PBS, BSA, glycerol, and sodium azide (ab223498)

Immunohistochemistry (Formalin/PFA-fixed paraffin-embedded sections) - Anti-CTAG1B antibody [SP349] - BSA and Azide free (AB242416)
  • IHC-P

Supplier Data

Immunohistochemistry (Formalin/PFA-fixed paraffin-embedded sections) - Anti-CTAG1B antibody [SP349] - BSA and Azide free (AB242416)

Formalin-fixed, paraffin-embedded human testis tissue stained for CTAG1B using ab223498 at 1/100 dilution in immunohistochemical analysis.

This data was developed using the same antibody clone in a different buffer formulation containing PBS, BSA, glycerol, and sodium azide (ab223498)

Flow Cytometry - Anti-CTAG1B antibody [SP349] - BSA and Azide free (AB242416)
  • Flow Cyt

Supplier Data

Flow Cytometry - Anti-CTAG1B antibody [SP349] - BSA and Azide free (AB242416)

Flow cytometric analysis of ab223498 staining HeLa (human epithelial cell line from cervix adenocarcinoma) cells for CTAG1B (green) at 1/100 dilution compared to negative control of rabbit IgG (blue).

This data was developed using the same antibody clone in a different buffer formulation containing PBS, BSA, glycerol, and sodium azide (ab223498)

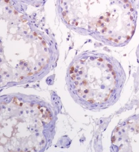
Immunohistochemistry (Formalin/PFA-fixed paraffin-embedded sections) - Anti-CTAG1B antibody [SP349] - BSA and Azide free (AB242416)
  • IHC-P

Unknown

Immunohistochemistry (Formalin/PFA-fixed paraffin-embedded sections) - Anti-CTAG1B antibody [SP349] - BSA and Azide free (AB242416)

Immunohistochemistry (Formalin/PFA-fixed paraffin-embedded sections) analysis of Human testis tissue sections labeling CTAG1B with Purified ab223498 at 1/100 dilution (3.83 µg/ml). Heat mediated antigen retrieval was performed Heat mediated antigen retrieval with sodium citrate buffer (pH 6.0, epitope retrieval solution 1) for 10mins. Goat Anti-Rabbit & Mouse IgG (HRP) was used as the secondary antibody. Negative control : PBS instead of the primary antibody. Hematoxylin was used as a counterstain.
This data was developed using the same antibody clone in a different buffer formulation containing PBS, BSA, glycerol, and sodium azide (ab223498)

Flow Cytometry - Anti-CTAG1B antibody [SP349] - BSA and Azide free (AB242416)
  • Flow Cyt

Unknown

Flow Cytometry - Anti-CTAG1B antibody [SP349] - BSA and Azide free (AB242416)

Flow Cytometry analysis of NCI-H1299 (human lung carcinoma epithelial cell) cells labeling CTAG1B with purified ab223498 at 1 : 380 dilution (1.01 µg/ml) - Red. Cells were fixed with 4% paraformaldehyde . A Goat anti rabbit IgG (Alexa Fluor® 488, ab150081) secondary antibody was used at 1 : 2000 dilution. Isotype control - Rabbit monoclonal IgG (ab172730) - Black. Unlabeled control - Blue.This data was developed using the same antibody clone in a different buffer formulation containing PBS, BSA, glycerol, and sodium azide (ab242416)

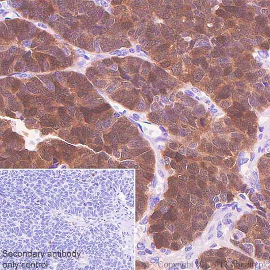
Immunohistochemistry (Formalin/PFA-fixed paraffin-embedded sections) - Anti-CTAG1B antibody [SP349] - BSA and Azide free (AB242416)
  • IHC-P

Unknown

Immunohistochemistry (Formalin/PFA-fixed paraffin-embedded sections) - Anti-CTAG1B antibody [SP349] - BSA and Azide free (AB242416)

Immunohistochemistry (Formalin/PFA-fixed paraffin-embedded sections) analysis of Human gastric carcinoma tissue sections labeling CTAG1B with Purified ab223498 at 1/100 dilution (3.83 µg/ml). Heat mediated antigen retrieval was performed Heat mediated antigen retrieval with sodium citrate buffer (pH 6.0, epitope retrieval solution 1) for 10mins. Goat Anti-Rabbit & Mouse IgG (HRP) was used as the secondary antibody. Negative control : PBS instead of the primary antibody. Hematoxylin was used as a counterstain.
This data was developed using the same antibody clone in a different buffer formulation containing PBS, BSA, glycerol, and sodium azide (ab223498)

Key facts

Host species

Rabbit

Clonality

Monoclonal

Clone number

SP349

Isotype

IgG

Carrier free

Yes

Reacts with

Human

Applications

WB, IHC-P, Flow Cyt

applications

Immunogen

The exact immunogen used to generate this antibody is proprietary information.

Reactivity data

{ "title": "Reactivity Data", "filters": { "stats": ["", "Species", "Dilution Info", "Notes"], "tabs": { "all-applications": {"fullname" : "All Applications", "shortname": "All Applications"}, "FlowCyt" : {"fullname" : "Flow Cytometry", "shortname":"Flow Cyt"}, "WB" : {"fullname" : "Western blot", "shortname":"WB"}, "IHCP" : {"fullname" : "Immunohistochemistry (Formalin/PFA-fixed paraffin-embedded sections)", "shortname":"IHC-P"} }, "product-promise": { "all": "all", "testedAndGuaranteed": "tested", "guaranteed": "expected", "predicted": "predicted", "notRecommended": "not-recommended" } }, "values": { "Human": { "FlowCyt-species-checked": "testedAndGuaranteed", "FlowCyt-species-dilution-info": "", "FlowCyt-species-notes": "<p></p>", "WB-species-checked": "guaranteed", "WB-species-dilution-info": "", "WB-species-notes": "<p></p>", "IHCP-species-checked": "testedAndGuaranteed", "IHCP-species-dilution-info": "", "IHCP-species-notes": "<p></p>" } } }

Product details

ab242416 is the carrier-free version of ab223498.

What are the advantages of a recombinant monoclonal antibody?
This product is a recombinant monoclonal antibody, which offers several advantages including:

  • - High batch-to-batch consistency and reproducibility
  • - Improved sensitivity and specificity
  • - Long-term security of supply
  • - Animal-free batch production

For more information, read more on recombinant antibodies.

Conjugation ready
Our carrier-free antibodies are typically supplied in a PBS-only formulation, purified and free of BSA, sodium azide and glycerol. This conjugation-ready format is designed for use with fluorochromes, metal isotopes, oligonucleotides, and enzymes, which makes them ideal for antibody labelling, functional and cell-based assays, flow-based assays (e.g. mass cytometry) and Multiplex Imaging applications.

Use our conjugation kits for antibody conjugates that are ready-to-use in as little as 20 minutes with 1 minute hands-on-time and 100% antibody recovery: available for fluorescent dyes, HRP, biotin and gold.

Compatibility
This product is compatible with the Maxpar® Antibody Labeling Kit from Fluidigm, without the need for antibody preparation. Maxpar® is a trademark of Fluidigm Canada Inc.

Properties and storage information

Form
Liquid
Purification technique
Affinity purification Protein A/G
Storage buffer
pH: 7.2 - 7.4 Constituents: PBS
Shipped at conditions
Blue Ice
Appropriate short-term storage conditions
+4°C
Appropriate long-term storage conditions
+4°C
Storage information
Do Not Freeze

Supplementary information

This supplementary information is collated from multiple sources and compiled automatically.

CTAG1B also known as NY-ESO-1 is a cancer/testis antigen with an approximate molecular mass of 22 kDa. This protein is absent in most normal tissues but shows expression in the testes and a variety of tumors. CTAG1B is recognized for its potential role in immune targeting due to its restricted expression profile. The protein plays a part in antigenic presentation and stimulates T-cell response making it a significant focus for cancer immunotherapy research.
Biological function summary

CTAG1B is involved in the immune response against tumors. It is part of the group called cancer/testis antigens due to its low expression in normal tissues except the testes. This restricted pattern allows CTAG1B to function in distinguishing between tumor and normal cells which is important for targeted therapies. It does not belong to a specific multiprotein complex but contributes to immune recognition by presenting as an antigenic determinant.

Pathways

CTAG1B engages predominantly in cellular processes associated with the immune system's adaptive arm. It plays a role in the antigen processing and presentation pathway where it functions to engage CD8+ T cells. The protein associates with other antigens expressed in cancer such as MAGE-A1 in enabling an immune response against tumor cells. By acting alongside these proteins CTAG1B supports pathways leading to the recognition and destruction of malignant cells.

CTAG1B shows a strong connection to cancer particularly in melanoma and ovarian cancer. It is considered a biomarker for these cancers due to its restricted expression and detection in tumor tissues. In cancer CTAG1B interacts with immune checkpoint proteins such as PD-L1 where it helps sustain and enhance immune responses. This relationship has made CTAG1B a promising target in immunotherapy aiming to improve cancer treatment outcomes.

Product protocols

For this product, it's our understanding that no specific protocols are required. You can visit:

Publications (1)

Recent publications for all applications. Explore the full list and refine your search

Cell reports. Medicine 5:101572 PubMed38754420

2024

CD37 is a safe chimeric antigen receptor target to treat acute myeloid leukemia.

Applications

Unspecified application

Species

Unspecified reactive species

Benjamin Caulier,Sandy Joaquina,Pascal Gelebart,Tara Helén Dowling,Fatemeh Kaveh,Moritz Thomas,Luka Tandaric,Patrik Wernhoff,Niveditha Umesh Katyayini,Cara Wogsland,May Eriksen Gjerstad,Yngvar Fløisand,Gunnar Kvalheim,Carsten Marr,Sebastian Kobold,Jorrit M Enserink,Bjørn Tore Gjertsen,Emmet McCormack,Else Marit Inderberg,Sébastien Wälchli
View all publications

Product promise

We are committed to supporting your work with high-quality reagents, and we're here for you every step of the way. In the unlikely event that one of our products does not perform as expected, you're protected by our Product Promise.
For full details, please see our Terms & Conditions

Please note: All products are 'FOR RESEARCH USE ONLY. NOT FOR USE IN DIAGNOSTIC OR THERAPEUTIC PROCEDURES'.

For licensing inquiries, please contact partnerships@abcam.com