JavaScript is disabled in your browser. Please enable JavaScript to view this website.
AB190933

Anti-CTBP2 antibody - C-terminal

Be the first to review this product! Submit a review

|

(1 Publication)

Rabbit Polyclonal CTBP2 antibody. C-terminal. Suitable for IHC-P, ICC, WB, IHC-Fr and reacts with Mouse, Rat, Human samples. Cited in 1 publication. Immunogen corresponding to Synthetic Peptide within Human CTBP2 aa 400 to C-terminus.

View Alternative Names

C-terminal-binding protein 2, CtBP2, CTBP2

7 Images
Immunohistochemistry (Formalin/PFA-fixed paraffin-embedded sections) - Anti-CTBP2 antibody - C-terminal (AB190933)
  • IHC-P

Supplier Data

Immunohistochemistry (Formalin/PFA-fixed paraffin-embedded sections) - Anti-CTBP2 antibody - C-terminal (AB190933)

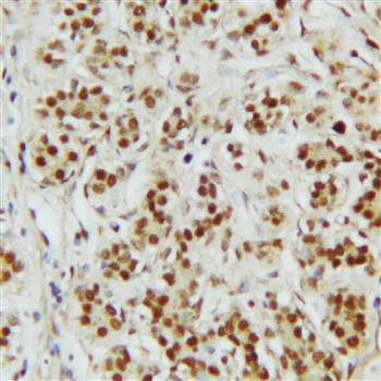
CTBP2 was detected in paraffin-embedded section of human mammary cancer tissues. Heat mediated antigen retrieval was performed in citrate buffer (pH6, epitope retrieval solution) for 20 mins. The tissue section was blocked with 10% goat serum. The tissue section was then incubated with 1μg/ml ab190933 overnight at 4°C. Biotinylated goat anti-rabbit IgG was used as secondary antibody and incubated for 30 minutes at 37°C. The tissue section was developed using Strepavidin-Biotin-Complex with DAB as the chromogen.

Immunocytochemistry - Anti-CTBP2 antibody - C-terminal (AB190933)
  • ICC

Supplier Data

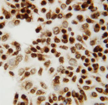
Immunocytochemistry - Anti-CTBP2 antibody - C-terminal (AB190933)

CTBP2 was detected in immunocytochemical section of human Hela cell. Enzyme antigen retrieval was performed using IHC enzyme antigen retrieval reagent for 15 mins. The cells were blocked with 10% goat serum. And then incubated with 1μg/ml ab190933 overnight at 4°C. Biotinylated goat anti-rabbit IgG was used as secondary antibody and incubated for 30 minutes at 37°C. The section was developed using Strepavidin-Biotin-Complex with DAB as the chromogen.

Immunohistochemistry (Formalin/PFA-fixed paraffin-embedded sections) - Anti-CTBP2 antibody - C-terminal (AB190933)
  • IHC-P

Supplier Data

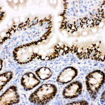
Immunohistochemistry (Formalin/PFA-fixed paraffin-embedded sections) - Anti-CTBP2 antibody - C-terminal (AB190933)

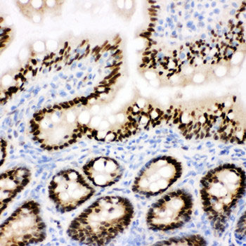
CTBP2 was detected in paraffin-embedded section of rat intestine tissues. Heat mediated antigen retrieval was performed in citrate buffer (pH6, epitope retrieval solution) for 20 mins. The tissue section was blocked with 10% goat serum. The tissue section was then incubated with 1μg/ml ab190933 overnight at 4°C. Biotinylated goat anti-rabbit IgG was used as secondary antibody and incubated for 30 minutes at 37°C. The tissue section was developed using Strepavidin-Biotin-Complex with DAB as the chromogen.

Immunohistochemistry (Frozen sections) - Anti-CTBP2 antibody - C-terminal (AB190933)
  • IHC-Fr

Supplier Data

Immunohistochemistry (Frozen sections) - Anti-CTBP2 antibody - C-terminal (AB190933)

CTBP2 was detected in frozen section of rat intestine tissue. The tissue section was blocked with 10% goat serum. The tissue section was then incubated with 1μg/ml ab190933 overnight at 4°C. Biotinylated goat anti-rabbit IgG was used as secondary antibody and incubated for 30 minutes at 37°C. The tissue section was developed using Strepavidin-Biotin-Complex with DAB as the chromogen.

Immunohistochemistry (Frozen sections) - Anti-CTBP2 antibody - C-terminal (AB190933)
  • IHC-Fr

Supplier Data

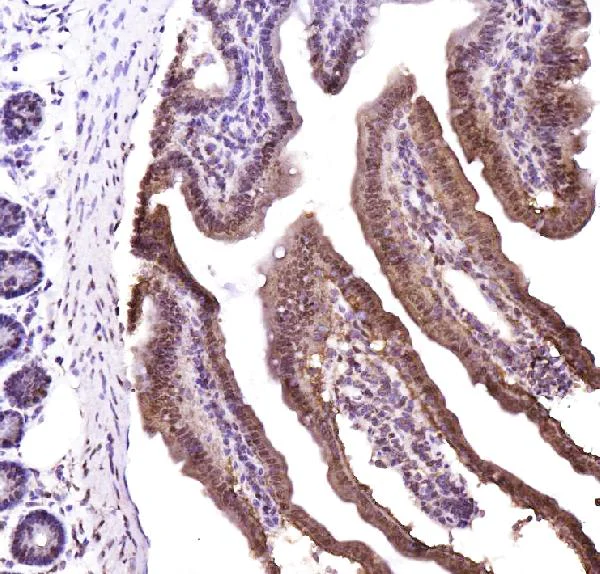
Immunohistochemistry (Frozen sections) - Anti-CTBP2 antibody - C-terminal (AB190933)

CTBP2 was detected in frozen section of mouse intestine tissues. The tissue section was blocked with 10% goat serum. The tissue section was then incubated with 1μg/ml ab190933 overnight at 4°C. Biotinylated goat anti-rabbit IgG was used as secondary antibody and incubated for 30 minutes at 37°C. The tissue section was developed using Strepavidin-Biotin-Complex with DAB as the chromogen.

Immunohistochemistry (Formalin/PFA-fixed paraffin-embedded sections) - Anti-CTBP2 antibody - C-terminal (AB190933)
  • IHC-P

Supplier Data

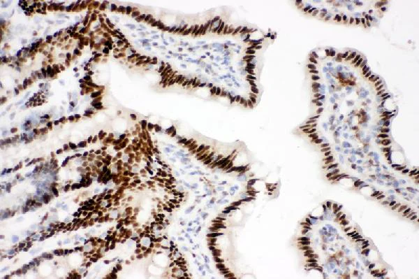
Immunohistochemistry (Formalin/PFA-fixed paraffin-embedded sections) - Anti-CTBP2 antibody - C-terminal (AB190933)

CTBP2 was detected in paraffin-embedded section of mouse intestine tissues. Heat mediated antigen retrieval was performed in citrate buffer (pH6, epitope retrieval solution) for 20 mins. The tissue section was blocked with 10% goat serum. The tissue section was then incubated with 1μg/ml ab190933 overnight at 4°C. Biotinylated goat anti-rabbit IgG was used as secondary antibody and incubated for 30 minutes at 37°C. The tissue section was developed using Strepavidin-Biotin-Complex with DAB as the chromogen.

Western blot - Anti-CTBP2 antibody - C-terminal (AB190933)
  • WB

Supplier Data

Western blot - Anti-CTBP2 antibody - C-terminal (AB190933)

All lanes:

Western blot - Anti-CTBP2 antibody - C-terminal (ab190933) at 0.5 µg/mL

Lane 1:

Rat brain tissue lysate

Lane 2:

Rat spleen tissue lysate

Lane 3:

HeLa cell lysate

Lane 4:

293T cell lysate

Lane 5:

COLO320 cell lysate

Lane 6:

U87 cell lysate

Lane 7:

SW620 cell lysate

Predicted band size: 49 kDa

false

Key facts

Host species

Rabbit

Clonality

Polyclonal

Isotype

IgG

Carrier free

No

Reacts with

Mouse, Rat, Human

Applications

WB, ICC, IHC-P, IHC-Fr

applications

Immunogen

Synthetic Peptide within Human CTBP2 aa 400 to C-terminus. The exact immunogen used to generate this antibody is proprietary information.

P56545

Reactivity data

{ "title": "Reactivity Data", "filters": { "stats": ["", "Species", "Dilution Info", "Notes"], "tabs": { "all-applications": {"fullname" : "All Applications", "shortname": "All Applications"}, "IHCP" : {"fullname" : "Immunohistochemistry (Formalin/PFA-fixed paraffin-embedded sections)", "shortname":"IHC-P"}, "ICC" : {"fullname" : "Immunocytochemistry", "shortname":"ICC"}, "WB" : {"fullname" : "Western blot", "shortname":"WB"}, "IHCFr" : {"fullname" : "Immunohistochemistry (Frozen sections)", "shortname":"IHC-Fr"} }, "product-promise": { "all": "all", "testedAndGuaranteed": "tested", "guaranteed": "expected", "predicted": "predicted", "notRecommended": "not-recommended" } }, "values": { "Human": { "IHCP-species-checked": "testedAndGuaranteed", "IHCP-species-dilution-info": "0.5-1 µg/mL", "IHCP-species-notes": "<p></p> Perform heat-mediated antigen retrieval with citrate buffer pH 6 before commencing with IHC staining protocol.", "ICC-species-checked": "testedAndGuaranteed", "ICC-species-dilution-info": "0.5-1 µg/mL", "ICC-species-notes": "<p></p>", "WB-species-checked": "guaranteed", "WB-species-dilution-info": "", "WB-species-notes": "", "IHCFr-species-checked": "guaranteed", "IHCFr-species-dilution-info": "", "IHCFr-species-notes": "" }, "Mouse": { "IHCP-species-checked": "testedAndGuaranteed", "IHCP-species-dilution-info": "0.5-1 µg/mL", "IHCP-species-notes": "<p></p> Perform heat-mediated antigen retrieval with citrate buffer pH 6 before commencing with IHC staining protocol.", "ICC-species-checked": "guaranteed", "ICC-species-dilution-info": "", "ICC-species-notes": "", "WB-species-checked": "guaranteed", "WB-species-dilution-info": "", "WB-species-notes": "", "IHCFr-species-checked": "testedAndGuaranteed", "IHCFr-species-dilution-info": "0.5-1 µg/mL", "IHCFr-species-notes": "<p></p>" }, "Rat": { "IHCP-species-checked": "testedAndGuaranteed", "IHCP-species-dilution-info": "0.5-1 µg/mL", "IHCP-species-notes": "<p></p> Perform heat-mediated antigen retrieval with citrate buffer pH 6 before commencing with IHC staining protocol.", "ICC-species-checked": "guaranteed", "ICC-species-dilution-info": "", "ICC-species-notes": "", "WB-species-checked": "testedAndGuaranteed", "WB-species-dilution-info": "0.1-0.5 µg/mL", "WB-species-notes": "<p></p>", "IHCFr-species-checked": "testedAndGuaranteed", "IHCFr-species-dilution-info": "0.5-1 µg/mL", "IHCFr-species-notes": "<p></p>" }, "Cow": { "IHCP-species-checked": "predicted", "IHCP-species-dilution-info": "", "IHCP-species-notes": "", "ICC-species-checked": "predicted", "ICC-species-dilution-info": "", "ICC-species-notes": "", "WB-species-checked": "predicted", "WB-species-dilution-info": "", "WB-species-notes": "", "IHCFr-species-checked": "predicted", "IHCFr-species-dilution-info": "", "IHCFr-species-notes": "" } } }

Properties and storage information

Form
Liquid
Purification technique
Affinity purification Immunogen
Storage buffer
Preservative: 0.025% Sodium azide, 0.025% Thimerosal (merthiolate) Constituents: 2.5% BSA, 0.45% Sodium chloride, 0.1% Sodium phosphate
Shipped at conditions
Blue Ice
Appropriate short-term storage duration
1-2 weeks
Appropriate short-term storage conditions
+4°C
Appropriate long-term storage conditions
-20°C
Aliquoting information
Upon delivery aliquot
Storage information
Avoid freeze / thaw cycle

Supplementary information

This supplementary information is collated from multiple sources and compiled automatically.

CTBP2 also known as C-terminal binding protein 2 is a transcriptional co-repressor involved in regulating gene expression. It is a protein with a molecular mass of approximately 48 kDa. CTBP2 is expressed in various tissues with high levels in neural muscular and epithelial cells. Mechanically CTBP2 operates by interacting with transcription factors and histone-modifying enzymes modulating chromatin structure to control access to DNA.
Biological function summary

CTBP2 plays a significant role in cellular processes such as development and differentiation. It frequently acts as part of multi-protein complexes interacting with diverse partners to facilitate transcriptional repression. These interactions are essential for balancing gene activity ensuring appropriate tissue development and function. CTBP2 influences cellular dynamics by regulating target genes implicated in growth survival and metabolic pathways.

Pathways

CTBP2 integrates into significant signaling pathways like Wnt and TGF-beta where it reinforces regulatory control by interacting with critical factors such as beta-catenin or Smad proteins. It collaborates with other proteins like CTBP1 dictating cellular responses and influencing pathophysiological processes. By coordinating these pathways CTBP2 supports cellular homeostasis impacting tissues in response to external and internal cues.

CTBP2 has associations with cancer and neurodegenerative diseases. Its overexpression or altered activity links to cancer progression as it promotes a transcriptional environment conducive to tumor growth. Proteins such as E-cadherin connect with CTBP2 in metastasis exemplifying its role in cancer cell dissemination. Additionally changes in CTBP2 function relate to neurodegenerative conditions affecting nerve cell survival and synaptic activity pointing to its involvement in neuronal health and disease mechanisms.

Product protocols

For this product, it's our understanding that no specific protocols are required. You can visit:

Target data

Corepressor targeting diverse transcription regulators. Functions in brown adipose tissue (BAT) differentiation (By similarity).. Isoform 2 probably acts as a scaffold for specialized synapses.
See full target information CTBP2

Publications (1)

Recent publications for all applications. Explore the full list and refine your search

Molecular medicine reports 14:3662-8 PubMed27600753

2016

Liraglutide attenuates the osteoblastic differentiation of MC3T3‑E1 cells by modulating AMPK/mTOR signaling.

Applications

Unspecified application

Species

Unspecified reactive species

Xiong-Ke Hu,Xin-Hua Yin,Hong-Qi Zhang,Chao-Feng Guo,Ming-Xing Tang
View all publications

Product promise

We are committed to supporting your work with high-quality reagents, and we're here for you every step of the way. In the unlikely event that one of our products does not perform as expected, you're protected by our Product Promise.
For full details, please see our Terms & Conditions

Please note: All products are 'FOR RESEARCH USE ONLY. NOT FOR USE IN DIAGNOSTIC OR THERAPEUTIC PROCEDURES'.

For licensing inquiries, please contact partnerships@abcam.com