JavaScript is disabled in your browser. Please enable JavaScript to view this website.
AB128871

Anti-CTBP2 antibody [EPR7611(B)]

Be the first to review this product! Submit a review

|

(17 Publications)

Rabbit Recombinant Monoclonal CTBP2 antibody. Suitable for IHC-P, WB, ICC/IF, Flow Cyt (Intra) and reacts with Mouse, Rat, Human samples. Cited in 17 publications.

View Alternative Names

C-terminal-binding protein 2, CtBP2, CTBP2

7 Images
Immunohistochemistry (Formalin/PFA-fixed paraffin-embedded sections) - Anti-CTBP2 antibody [EPR7611(B)] (AB128871)
  • IHC-P

Supplier Data

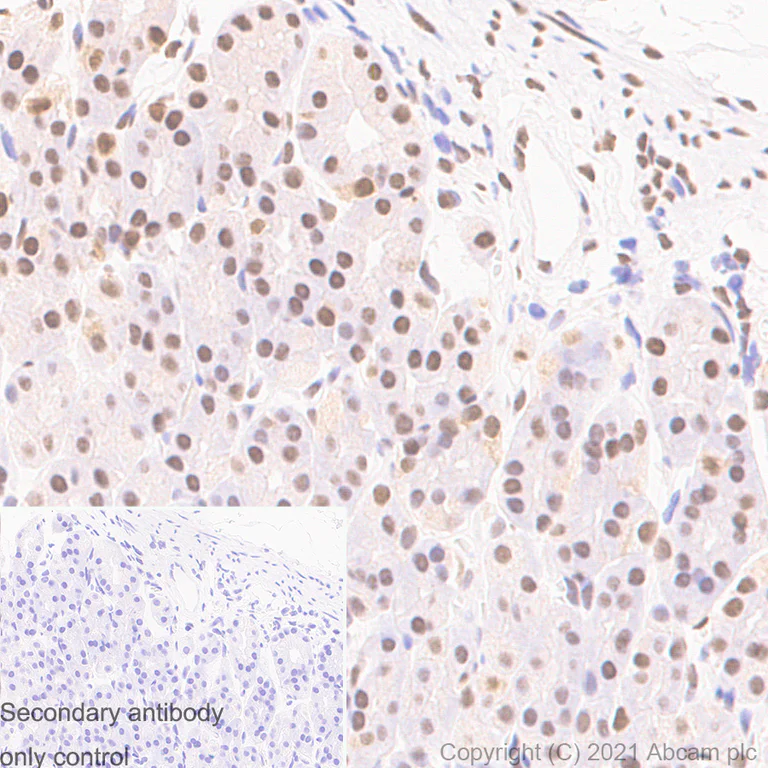
Immunohistochemistry (Formalin/PFA-fixed paraffin-embedded sections) - Anti-CTBP2 antibody [EPR7611(B)] (AB128871)

Immunohistochemistry (Formalin/PFA-fixed paraffin-embedded sections) analysis of human ovarian carcinoma tissue sections labeling CTBP2 with purified ab128871 at 1 : 6000 (0.021 μg/ml). Heat mediated antigen retrieval was performed using Bond™ Epitope Retrieval Solution 2 (pH 9.0). Tissue was counterstained with Hematoxylin. LeicaDS9800 (BondTM Polymer Refine Detection) was used at 1 : 0 dilution. PBS instead of the primary antibody was used as the negative control. The immunostaining was performed on a Leica Biosystems BOND® RX instrument.

Immunohistochemistry (Formalin/PFA-fixed paraffin-embedded sections) - Anti-CTBP2 antibody [EPR7611(B)] (AB128871)
  • IHC-P

Supplier Data

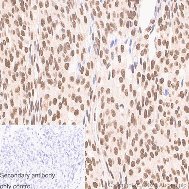
Immunohistochemistry (Formalin/PFA-fixed paraffin-embedded sections) - Anti-CTBP2 antibody [EPR7611(B)] (AB128871)

Immunohistochemistry (Formalin/PFA-fixed paraffin-embedded sections) analysis of human glioma tissue sections labeling CTBP2 with purified ab128871 at 1 : 6000 (0.021 μg/ml). Heat mediated antigen retrieval was performed using Bond™ Epitope Retrieval Solution 2 (pH 9.0). Tissue was counterstained with Hematoxylin. LeicaDS9800 (BondTM Polymer Refine Detection) was used at 1 : 0 dilution. PBS instead of the primary antibody was used as the negative control. The immunostaining was performed on a Leica Biosystems BOND® RX instrument.

Immunocytochemistry/ Immunofluorescence - Anti-CTBP2 antibody [EPR7611(B)] (AB128871)
  • ICC/IF

Supplier Data

Immunocytochemistry/ Immunofluorescence - Anti-CTBP2 antibody [EPR7611(B)] (AB128871)

Immunocytochemistry analysis of SH-SY5Y (Human neuroblastoma epithelial cell) cells labeling CTBP2 with purified ab128871 at 1 : 50 dilution (2.5 µg/ml). Cells were fixed in 4% Paraformaldehyde and permeabilized with 0.1% tritonX-100. Cells were counterstained with Anti-alpha Tubulin antibody [DM1A] - Microtubule Marker (Alexa Fluor® 594) at 1/200 dilution (2.5 µg/ml) (ab195889) (red). Goat anti-rabbit IgG (Alexa Fluor® 488) (ab150077) was used as the secondary antibody at 1 : 1000 (2 µg/ml) dilution. DAPI (blue) was used as a nuclear counterstain. PBS instead of the primary antibody was used as the secondary antibody only control.

Flow Cytometry (Intracellular) - Anti-CTBP2 antibody [EPR7611(B)] (AB128871)
  • Flow Cyt (Intra)

Supplier Data

Flow Cytometry (Intracellular) - Anti-CTBP2 antibody [EPR7611(B)] (AB128871)

Flow Cytometry analysis of MCF7 (Human breast adenocarcinoma epithelial cell) cells labelling CTBP2 with purified ab128871 at 1/20 dilution (5 µg/ml) (red). Cells were fixed with 4% Paraformaldehyde and permeabilised with 90% Methanol. A Goat anti-rabbit IgG (Alexa Fluor® 488) (ab150081) secondary antibody was used at 1/2000. Isotype control - Rabbit monoclonal IgG (black). Unlabelled control - Cell without incubation with primary antibody and secondary antibody (blue).

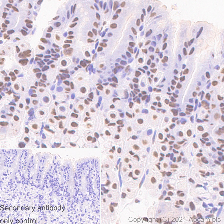
Immunohistochemistry (Formalin/PFA-fixed paraffin-embedded sections) - Anti-CTBP2 antibody [EPR7611(B)] (AB128871)
  • IHC-P

Supplier Data

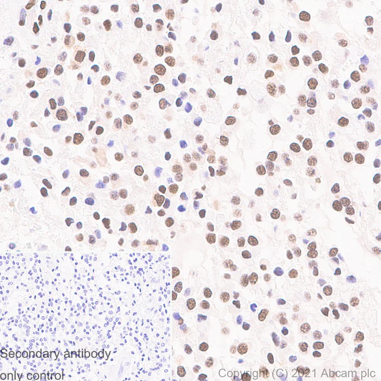
Immunohistochemistry (Formalin/PFA-fixed paraffin-embedded sections) - Anti-CTBP2 antibody [EPR7611(B)] (AB128871)

Immunohistochemistry (Formalin/PFA-fixed paraffin-embedded sections) analysis of mouse stomach tissue sections labeling CTBP2 with purified ab128871 at 1 : 12000 (0.011 μg/ml). Heat mediated antigen retrieval was performed using Bond™ Epitope Retrieval Solution 2 (pH 9.0). Tissue was counterstained with Hematoxylin. LeicaDS9800 (BondTM Polymer Refine Detection) was used at 1 : 0 dilution. PBS instead of the primary antibody was used as the negative control. The immunostaining was performed on a Leica Biosystems BOND® RX instrument.

Immunohistochemistry (Formalin/PFA-fixed paraffin-embedded sections) - Anti-CTBP2 antibody [EPR7611(B)] (AB128871)
  • IHC-P

Supplier Data

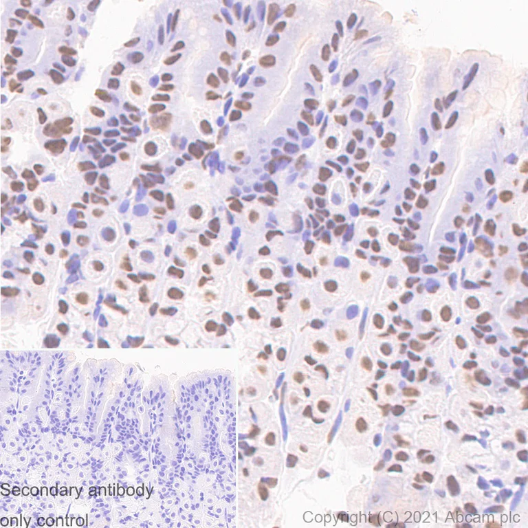
Immunohistochemistry (Formalin/PFA-fixed paraffin-embedded sections) - Anti-CTBP2 antibody [EPR7611(B)] (AB128871)

Immunohistochemistry (Formalin/PFA-fixed paraffin-embedded sections) analysis of rat stomach tissue sections labeling CTBP2 with Purified ab128871 at 1 : 12000 (0.011 μg/ml). Heat mediated antigen retrieval was performed using Bond™ Epitope Retrieval Solution 2 (pH 9.0). Tissue was counterstained with Hematoxylin. LeicaDS9800 (BondTM Polymer Refine Detection) was used at 1 : 0 dilution. PBS instead of the primary antibody was used as the negative control. The immunostaining was performed on a Leica Biosystems BOND® RX instrument.

Western blot - Anti-CTBP2 antibody [EPR7611(B)] (AB128871)
  • WB

Supplier Data

Western blot - Anti-CTBP2 antibody [EPR7611(B)] (AB128871)

All lanes:

Western blot - Anti-CTBP2 antibody [EPR7611(B)] (ab128871) at 1/10000 dilution

Lane 1:

HeLa (Human cervix adenocarcinoma epithelial cell) whole cell lysate at 20 µg

Lane 2:

SK-BR-3 (Human breast adenocarcinoma epithelial cell) whole cell lysate at 20 µg

Lane 3:

Mouse brain lysate at 20 µg

Lane 4:

Rat brain lysate at 20 µg

Secondary

All lanes:

Western blot - Goat Anti-Rabbit IgG H&L (HRP) (<a href='/en-us/products/secondary-antibodies/goat-rabbit-igg-h-l-hrp-ab97051'>ab97051</a>) at 1/20000 dilution

Predicted band size: 49 kDa

Observed band size: 49 kDa

false

  • 519 Alexa Fluor® 488

    Alexa Fluor® 488 Anti-CTBP2 antibody [EPR7611(B)]

  • 665 Alexa Fluor® 647

    Alexa Fluor® 647 Anti-CTBP2 antibody [EPR7611(B)]

  • Carrier free

    Anti-CTBP2 antibody [EPR7611(B)] - BSA and Azide free

  • 660 APC

    APC Anti-CTBP2 antibody [EPR7611(B)]

  • HRP

    HRP Anti-CTBP2 antibody [EPR7611(B)]

  • 603 Alexa Fluor® 568

    Alexa Fluor® 568 Anti-CTBP2 antibody [EPR7611(B)]

  • 578 PE

    PE Anti-CTBP2 antibody [EPR7611(B)]

  • 617 Alexa Fluor® 594

    Alexa Fluor® 594 Anti-CTBP2 antibody [EPR7611(B)]

  • 565 Alexa Fluor® 555

    Alexa Fluor® 555 Anti-CTBP2 antibody [EPR7611(B)]

  • 775 Alexa Fluor® 750

    Alexa Fluor® 750 Anti-CTBP2 antibody [EPR7611(B)]

Key facts

Host species

Rabbit

Clonality

Monoclonal

Clone number

EPR7611(B)

Isotype

IgG

Carrier free

No

Reacts with

Human, Rat, Mouse

Applications

WB, IHC-P, ICC/IF, Flow Cyt (Intra)

applications

Immunogen

The exact immunogen used to generate this antibody is proprietary information.

Reactivity data

{ "title": "Reactivity Data", "filters": { "stats": ["", "Species", "Dilution Info", "Notes"], "tabs": { "all-applications": {"fullname" : "All Applications", "shortname": "All Applications"}, "IHCP" : {"fullname" : "Immunohistochemistry (Formalin/PFA-fixed paraffin-embedded sections)", "shortname":"IHC-P"}, "WB" : {"fullname" : "Western blot", "shortname":"WB"}, "ICCIF" : {"fullname" : "Immunocytochemistry/ Immunofluorescence", "shortname":"ICC/IF"}, "FlowCytIntra" : {"fullname" : "Flow Cytometry (Intracellular)", "shortname":"Flow Cyt (Intra)"} }, "product-promise": { "all": "all", "testedAndGuaranteed": "tested", "guaranteed": "expected", "predicted": "predicted", "notRecommended": "not-recommended" } }, "values": { "Human": { "IHCP-species-checked": "testedAndGuaranteed", "IHCP-species-dilution-info": "1/6000", "IHCP-species-notes": "<p>For mouse and rat, use at 1:12000.</p><p><strong>For unpurified, use at 1/250 - 1/500.</strong></p> Perform heat-mediated antigen retrieval before commencing with IHC staining protocol.", "WB-species-checked": "testedAndGuaranteed", "WB-species-dilution-info": "1/10000 - 1/50000", "WB-species-notes": "<p></p>", "ICCIF-species-checked": "testedAndGuaranteed", "ICCIF-species-dilution-info": "1/50", "ICCIF-species-notes": "<p><strong>For unpurified use at 1/100 - 1/250.</strong></p>", "FlowCytIntra-species-checked": "testedAndGuaranteed", "FlowCytIntra-species-dilution-info": "1/20", "FlowCytIntra-species-notes": "<p></p>" }, "Mouse": { "IHCP-species-checked": "testedAndGuaranteed", "IHCP-species-dilution-info": "1/6000", "IHCP-species-notes": "<p>For mouse and rat, use at 1:12000.</p><p><strong>For unpurified, use at 1/250 - 1/500.</strong></p> Perform heat-mediated antigen retrieval before commencing with IHC staining protocol.", "WB-species-checked": "testedAndGuaranteed", "WB-species-dilution-info": "1/10000 - 1/50000", "WB-species-notes": "<p></p>", "ICCIF-species-checked": "guaranteed", "ICCIF-species-dilution-info": "", "ICCIF-species-notes": "", "FlowCytIntra-species-checked": "guaranteed", "FlowCytIntra-species-dilution-info": "1/20", "FlowCytIntra-species-notes": "<p></p>" }, "Rat": { "IHCP-species-checked": "testedAndGuaranteed", "IHCP-species-dilution-info": "1/6000", "IHCP-species-notes": "<p>For mouse and rat, use at 1:12000.</p><p><strong>For unpurified, use at 1/250 - 1/500.</strong></p> Perform heat-mediated antigen retrieval before commencing with IHC staining protocol.", "WB-species-checked": "testedAndGuaranteed", "WB-species-dilution-info": "1/10000 - 1/50000", "WB-species-notes": "<p></p>", "ICCIF-species-checked": "guaranteed", "ICCIF-species-dilution-info": "", "ICCIF-species-notes": "", "FlowCytIntra-species-checked": "guaranteed", "FlowCytIntra-species-dilution-info": "1/20", "FlowCytIntra-species-notes": "<p></p>" } } }

Product details

Patented technology
Our RabMAb® technology is a patented hybridoma-based technology for making rabbit monoclonal antibodies. For details on our patents, please refer to RabMAb® patents.

What are the advantages of a recombinant monoclonal antibody?
This product is a recombinant monoclonal antibody, which offers several advantages including:

  • - High batch-to-batch consistency and reproducibility
  • - Improved sensitivity and specificity
  • - Long-term security of supply
  • - Animal-free batch production

For more information, read more on recombinant antibodies.

Properties and storage information

Form
Liquid
Purification technique
Affinity purification Protein A
Storage buffer
pH: 7.2 - 7.4 Preservative: 0.01% Sodium azide Constituents: PBS, 40% Glycerol (glycerin, glycerine), 0.05% BSA
Shipped at conditions
Blue Ice
Appropriate short-term storage duration
1-2 weeks
Appropriate short-term storage conditions
+4°C
Appropriate long-term storage conditions
-20°C
Aliquoting information
Upon delivery aliquot
Storage information
Avoid freeze / thaw cycle|Stable for 12 months at -20°C

Supplementary information

This supplementary information is collated from multiple sources and compiled automatically.

CTBP2 also known as C-terminal binding protein 2 is a transcriptional co-repressor involved in regulating gene expression. It is a protein with a molecular mass of approximately 48 kDa. CTBP2 is expressed in various tissues with high levels in neural muscular and epithelial cells. Mechanically CTBP2 operates by interacting with transcription factors and histone-modifying enzymes modulating chromatin structure to control access to DNA.
Biological function summary

CTBP2 plays a significant role in cellular processes such as development and differentiation. It frequently acts as part of multi-protein complexes interacting with diverse partners to facilitate transcriptional repression. These interactions are essential for balancing gene activity ensuring appropriate tissue development and function. CTBP2 influences cellular dynamics by regulating target genes implicated in growth survival and metabolic pathways.

Pathways

CTBP2 integrates into significant signaling pathways like Wnt and TGF-beta where it reinforces regulatory control by interacting with critical factors such as beta-catenin or Smad proteins. It collaborates with other proteins like CTBP1 dictating cellular responses and influencing pathophysiological processes. By coordinating these pathways CTBP2 supports cellular homeostasis impacting tissues in response to external and internal cues.

CTBP2 has associations with cancer and neurodegenerative diseases. Its overexpression or altered activity links to cancer progression as it promotes a transcriptional environment conducive to tumor growth. Proteins such as E-cadherin connect with CTBP2 in metastasis exemplifying its role in cancer cell dissemination. Additionally changes in CTBP2 function relate to neurodegenerative conditions affecting nerve cell survival and synaptic activity pointing to its involvement in neuronal health and disease mechanisms.

Product protocols

For this product, it's our understanding that no specific protocols are required. You can visit:

Target data

Corepressor targeting diverse transcription regulators. Functions in brown adipose tissue (BAT) differentiation (By similarity).. Isoform 2 probably acts as a scaffold for specialized synapses.
See full target information CTBP2

Publications (17)

Recent publications for all applications. Explore the full list and refine your search

Molecular medicine (Cambridge, Mass.) 31:119 PubMed40140769

2025

The transcriptional repressor Ctbp2 as a metabolite sensor regulating cardiomyocytes proliferation and heart regeneration.

Applications

Unspecified application

Species

Unspecified reactive species

Yanting Meng,Jianwen Ding,Yanping Wang,Jing Wang,Wei Huang,Wenkang Jiang,Jiayi Li,Xiujuan Lang,Sifan Zhang,Yumei Liu,Xijun Liu,Hulun Li,Bo Sun

Cell biology international 49:262-276 PubMed39618038

2024

The potential role of the SIRT1-Nrf2 signaling pathway in alleviating hidden hearing loss via antioxidant stress.

Applications

Unspecified application

Species

Unspecified reactive species

Zeyu Zheng,Peng Zhang,Yang Fu,Yihong Jiang,Jing Zhu,Fei Wang,Shaoheng Li,Zhuoru Zhang,Tong Chang,Tian Li,Min Zhang,Bai Ruan,Xiaocheng Wang

Cell biology and toxicology 40:79 PubMed39289208

2024

The role of GDF15 in attenuating noise-induced hidden hearing loss by alleviating oxidative stress.

Applications

Unspecified application

Species

Unspecified reactive species

Yihong Jiang,Zeyu Zheng,Jing Zhu,Peng Zhang,Shaoheng Li,Yang Fu,Fei Wang,Zhuoru Zhang,Tong Chang,Min Zhang,Bai Ruan,Xiaocheng Wang

Redox biology 74:103218 PubMed38870779

2024

ABCC1 deficiency potentiated noise-induced hearing loss in mice by impairing cochlear antioxidant capacity.

Applications

Unspecified application

Species

Unspecified reactive species

Jing Liu,Yijiang Bai,Yong Feng,Xianlin Liu,Bo Pang,Shuai Zhang,Mengzhu Jiang,Anhai Chen,Huping Huang,Yongjia Chen,Jie Ling,Lingyun Mei

International journal of molecular sciences 24: PubMed37372954

2023

p53 Affects Zeb1 Interactome of Breast Cancer Stem Cells.

Applications

Unspecified application

Species

Unspecified reactive species

Sergey E Parfenyev,Sergey V Shabelnikov,Elena N Tolkunova,Nickolai A Barlev,Alexey G Mittenberg

Frontiers in physiology 13:798395 PubMed35620603

2022

Involvement of the SIRT1/PGC-1α Signaling Pathway in Noise-Induced Hidden Hearing Loss.

Applications

Unspecified application

Species

Unspecified reactive species

Yu-Hui Liu,Yi-Hong Jiang,Cong-Cong Li,Xue-Min Chen,Li-Gui Huang,Min Zhang,Bai Ruan,Xiao-Cheng Wang

Frontiers in oncology 12:805290 PubMed35299743

2022

Retinoic Acid-Induced 2 (RAI2) Is a Novel Antagonist of Wnt/β-Catenin Signaling Pathway and Potential Biomarker of Chemosensitivity in Colorectal Cancer.

Applications

Unspecified application

Species

Unspecified reactive species

Weitao Zhang,Lu Kong,Hongbin Zhu,Decong Sun,Quanli Han,Bin Yan,Zhi Cui,Weiwei Zhang,Shurong Zhang,Xindan Kang,Guanghai Dai,Niansong Qian,Wenji Yan

Molecules (Basel, Switzerland) 26: PubMed34074001

2021

Proteomic Analysis of Zeb1 Interactome in Breast Carcinoma Cells.

Applications

Unspecified application

Species

Unspecified reactive species

Sergey E Parfenyev,Sergey V Shabelnikov,Danila Y Pozdnyakov,Olga O Gnedina,Leonid S Adonin,Nickolai A Barlev,Alexey G Mittenberg

Bioscience reports 41: PubMed33734328

2021

Hidden hearing loss is associated with loss of ribbon synapses of cochlea inner hair cells.

Applications

Unspecified application

Species

Unspecified reactive species

Feng Song,Bin Gan,Na Wang,Zhe Wang,An-Ting Xu

Aging 12:6456-6466 PubMed32271716

2020

FGF22 promotes generation of ribbon synapses through downregulating MEF2D.

Applications

Unspecified application

Species

Unspecified reactive species

Shuna Li,Jingchun He,Yupeng Liu,Jun Yang
View all publications

Product promise

We are committed to supporting your work with high-quality reagents, and we're here for you every step of the way. In the unlikely event that one of our products does not perform as expected, you're protected by our Product Promise.
For full details, please see our Terms & Conditions

Please note: All products are 'FOR RESEARCH USE ONLY. NOT FOR USE IN DIAGNOSTIC OR THERAPEUTIC PROCEDURES'.

For licensing inquiries, please contact partnerships@abcam.com