JavaScript is disabled in your browser. Please enable JavaScript to view this website.
AB248197

Anti-CTBP2 antibody [EPR7611(B)] - BSA and Azide free

Be the first to review this product! Submit a review

|

(0 Publication)

Rabbit Recombinant Monoclonal CTBP2 antibody. Carrier free. Suitable for IHC-P, ICC/IF, WB, Flow Cyt (Intra) and reacts with Mouse, Rat, Human samples.

View Alternative Names

C-terminal-binding protein 2, CtBP2, CTBP2

7 Images
Flow Cytometry (Intracellular) - Anti-CTBP2 antibody [EPR7611(B)] - BSA and Azide free (AB248197)
  • Flow Cyt (Intra)

Supplier Data

Flow Cytometry (Intracellular) - Anti-CTBP2 antibody [EPR7611(B)] - BSA and Azide free (AB248197)

This data was developed using ab128871, the same antibody clone in a different buffer formulation.
Flow Cytometry analysis of MCF7 (Human breast adenocarcinoma epithelial cell) cells labelling CTBP2 with purified ab128871 at 1/20 dilution (5 µg/ml) (red). Cells were fixed with 4% Paraformaldehyde and permeabilised with 90% Methanol. A Goat anti-rabbit IgG (Alexa Fluor® 488) (ab150081) secondary antibody was used at 1/2000. Isotype control - Rabbit monoclonal IgG (black). Unlabelled control - Cell without incubation with primary antibody and secondary antibody (blue).

Immunocytochemistry/ Immunofluorescence - Anti-CTBP2 antibody [EPR7611(B)] - BSA and Azide free (AB248197)
  • ICC/IF

Supplier Data

Immunocytochemistry/ Immunofluorescence - Anti-CTBP2 antibody [EPR7611(B)] - BSA and Azide free (AB248197)

This data was developed using ab128871, the same antibody clone in a different buffer formulation.
Immunocytochemistry analysis of SH-SY5Y (Human neuroblastoma epithelial cell) cells labeling CTBP2 with purified ab128871 at 1 : 50 dilution (2.5 µg/ml). Cells were fixed in 4% Paraformaldehyde and permeabilized with 0.1% tritonX-100. Cells were counterstained with Anti-alpha Tubulin antibody [DM1A] - Microtubule Marker (Alexa Fluor® 594) at 1/200 dilution (2.5 µg/ml) (ab195889) (red). Goat anti-rabbit IgG (Alexa Fluor® 488) (ab150077) was used as the secondary antibody at 1 : 1000 (2 µg/ml) dilution. DAPI (blue) was used as a nuclear counterstain. PBS instead of the primary antibody was used as the secondary antibody only control.

Immunohistochemistry (Formalin/PFA-fixed paraffin-embedded sections) - Anti-CTBP2 antibody [EPR7611(B)] - BSA and Azide free (AB248197)
  • IHC-P

Supplier Data

Immunohistochemistry (Formalin/PFA-fixed paraffin-embedded sections) - Anti-CTBP2 antibody [EPR7611(B)] - BSA and Azide free (AB248197)

This data was developed using ab128871, the same antibody clone in a different buffer formulation.
Immunohistochemistry (Formalin/PFA-fixed paraffin-embedded sections) analysis of human glioma tissue sections labeling CTBP2 with purified ab128871 at 1 : 6000 (0.021 μg/ml). Heat mediated antigen retrieval was performed using Bond™ Epitope Retrieval Solution 2 (pH 9.0). Tissue was counterstained with Hematoxylin. LeicaDS9800 (BondTM Polymer Refine Detection) was used at 1 : 0 dilution. PBS instead of the primary antibody was used as the negative control. The immunostaining was performed on a Leica Biosystems BOND® RX instrument.

Immunohistochemistry (Formalin/PFA-fixed paraffin-embedded sections) - Anti-CTBP2 antibody [EPR7611(B)] - BSA and Azide free (AB248197)
  • IHC-P

Supplier Data

Immunohistochemistry (Formalin/PFA-fixed paraffin-embedded sections) - Anti-CTBP2 antibody [EPR7611(B)] - BSA and Azide free (AB248197)

This data was developed using ab128871, the same antibody clone in a different buffer formulation.
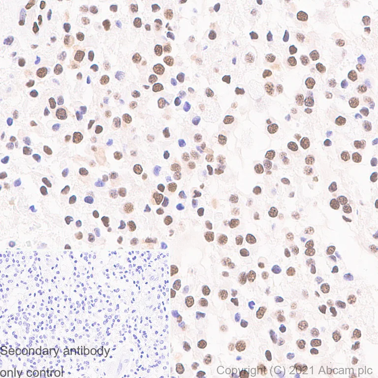
Immunohistochemistry (Formalin/PFA-fixed paraffin-embedded sections) analysis of human ovarian carcinoma tissue sections labeling CTBP2 with purified ab128871 at 1 : 6000 (0.021 μg/ml). Heat mediated antigen retrieval was performed using Bond™ Epitope Retrieval Solution 2 (pH 9.0). Tissue was counterstained with Hematoxylin. LeicaDS9800 (BondTM Polymer Refine Detection) was used at 1 : 0 dilution. PBS instead of the primary antibody was used as the negative control. The immunostaining was performed on a Leica Biosystems BOND® RX instrument.

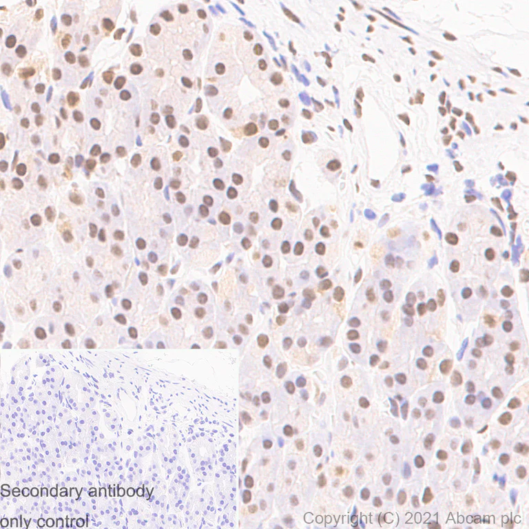
Immunohistochemistry (Formalin/PFA-fixed paraffin-embedded sections) - Anti-CTBP2 antibody [EPR7611(B)] - BSA and Azide free (AB248197)
  • IHC-P

Supplier Data

Immunohistochemistry (Formalin/PFA-fixed paraffin-embedded sections) - Anti-CTBP2 antibody [EPR7611(B)] - BSA and Azide free (AB248197)

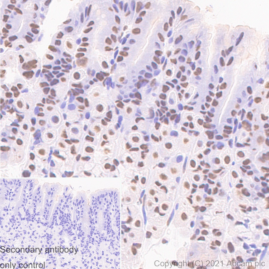
This data was developed using ab128871, the same antibody clone in a different buffer formulation.
Immunohistochemistry (Formalin/PFA-fixed paraffin-embedded sections) analysis of mouse stomach tissue sections labeling CTBP2 with purified ab128871 at 1 : 12000 (0.011 μg/ml). Heat mediated antigen retrieval was performed using Bond™ Epitope Retrieval Solution 2 (pH 9.0). Tissue was counterstained with Hematoxylin. LeicaDS9800 (BondTM Polymer Refine Detection) was used at 1 : 0 dilution. PBS instead of the primary antibody was used as the negative control. The immunostaining was performed on a Leica Biosystems BOND® RX instrument.

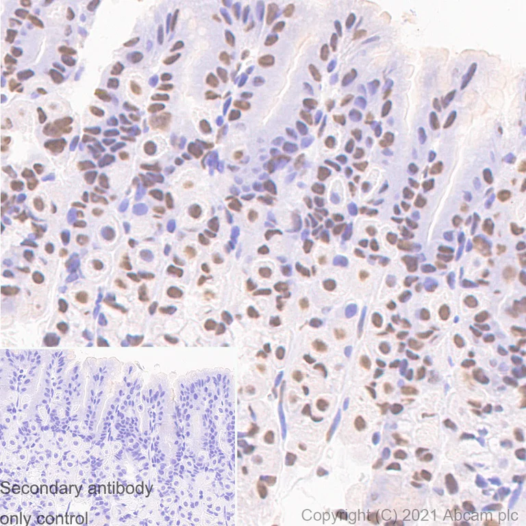
Immunohistochemistry (Formalin/PFA-fixed paraffin-embedded sections) - Anti-CTBP2 antibody [EPR7611(B)] - BSA and Azide free (AB248197)
  • IHC-P

Supplier Data

Immunohistochemistry (Formalin/PFA-fixed paraffin-embedded sections) - Anti-CTBP2 antibody [EPR7611(B)] - BSA and Azide free (AB248197)

This data was developed using ab128871, the same antibody clone in a different buffer formulation.
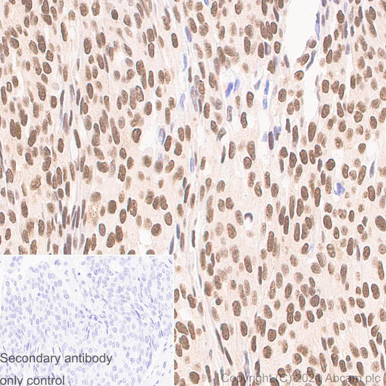
Immunohistochemistry (Formalin/PFA-fixed paraffin-embedded sections) analysis of rat stomach tissue sections labeling CTBP2 with purified ab128871 at 1 : 12000 (0.011 μg/ml). Heat mediated antigen retrieval was performed using Bond™ Epitope Retrieval Solution 2 (pH 9.0). Tissue was counterstained with Hematoxylin. LeicaDS9800 (BondTM Polymer Refine Detection) was used at 1 : 0 dilution. PBS instead of the primary antibody was used as the negative control. The immunostaining was performed on a Leica Biosystems BOND® RX instrument.

Western blot - Anti-CTBP2 antibody [EPR7611(B)] - BSA and Azide free (AB248197)
  • WB

Supplier Data

Western blot - Anti-CTBP2 antibody [EPR7611(B)] - BSA and Azide free (AB248197)

This data was developed using ab128871, the same antibody clone in a different buffer formulation.

All lanes:

Western blot - Anti-CTBP2 antibody [EPR7611(B)] (<a href='/en-us/products/primary-antibodies/ctbp2-antibody-epr7611b-ab128871'>ab128871</a>) at 1/10000 dilution

Lane 1:

HeLa (Human cervix adenocarcinoma epithelial cell) whole cell lysate at 20 µg

Lane 2:

SK-BR-3 (Human breast adenocarcinoma epithelial cell) whole cell lysate at 20 µg

Lane 3:

Mouse brain lysate at 20 µg

Lane 4:

Rat brain lysate at 20 µg

Secondary

All lanes:

Western blot - Goat Anti-Rabbit IgG H&L (HRP) (<a href='/en-us/products/secondary-antibodies/goat-rabbit-igg-h-l-hrp-ab97051'>ab97051</a>) at 1/20000 dilution

Predicted band size: 49 kDa

Observed band size: 49 kDa

false

  • Unconjugated

    Anti-CTBP2 antibody [EPR7611(B)]

  • 775 Alexa Fluor® 750

    Alexa Fluor® 750 Anti-CTBP2 antibody [EPR7611(B)]

  • 519 Alexa Fluor® 488

    Alexa Fluor® 488 Anti-CTBP2 antibody [EPR7611(B)]

  • 665 Alexa Fluor® 647

    Alexa Fluor® 647 Anti-CTBP2 antibody [EPR7611(B)]

  • 660 APC

    APC Anti-CTBP2 antibody [EPR7611(B)]

  • HRP

    HRP Anti-CTBP2 antibody [EPR7611(B)]

  • 603 Alexa Fluor® 568

    Alexa Fluor® 568 Anti-CTBP2 antibody [EPR7611(B)]

  • 578 PE

    PE Anti-CTBP2 antibody [EPR7611(B)]

  • 617 Alexa Fluor® 594

    Alexa Fluor® 594 Anti-CTBP2 antibody [EPR7611(B)]

  • 565 Alexa Fluor® 555

    Alexa Fluor® 555 Anti-CTBP2 antibody [EPR7611(B)]

Key facts

Host species

Rabbit

Clonality

Monoclonal

Clone number

EPR7611(B)

Isotype

IgG

Carrier free

Yes

Reacts with

Human, Mouse, Rat

Applications

ICC/IF, Flow Cyt (Intra), WB, IHC-P

applications

Immunogen

The exact immunogen used to generate this antibody is proprietary information.

Reactivity data

{ "title": "Reactivity Data", "filters": { "stats": ["", "Species", "Dilution Info", "Notes"], "tabs": { "all-applications": {"fullname" : "All Applications", "shortname": "All Applications"}, "IHCP" : {"fullname" : "Immunohistochemistry (Formalin/PFA-fixed paraffin-embedded sections)", "shortname":"IHC-P"}, "ICCIF" : {"fullname" : "Immunocytochemistry/ Immunofluorescence", "shortname":"ICC/IF"}, "WB" : {"fullname" : "Western blot", "shortname":"WB"}, "FlowCytIntra" : {"fullname" : "Flow Cytometry (Intracellular)", "shortname":"Flow Cyt (Intra)"} }, "product-promise": { "all": "all", "testedAndGuaranteed": "tested", "guaranteed": "expected", "predicted": "predicted", "notRecommended": "not-recommended" } }, "values": { "Human": { "IHCP-species-checked": "testedAndGuaranteed", "IHCP-species-dilution-info": "", "IHCP-species-notes": "<p></p> Perform heat-mediated antigen retrieval before commencing with IHC staining protocol.", "ICCIF-species-checked": "testedAndGuaranteed", "ICCIF-species-dilution-info": "", "ICCIF-species-notes": "<p></p>", "WB-species-checked": "testedAndGuaranteed", "WB-species-dilution-info": "", "WB-species-notes": "<p></p>", "FlowCytIntra-species-checked": "testedAndGuaranteed", "FlowCytIntra-species-dilution-info": "", "FlowCytIntra-species-notes": "<p></p>" }, "Mouse": { "IHCP-species-checked": "testedAndGuaranteed", "IHCP-species-dilution-info": "", "IHCP-species-notes": "<p></p> Perform heat-mediated antigen retrieval before commencing with IHC staining protocol.", "ICCIF-species-checked": "guaranteed", "ICCIF-species-dilution-info": "", "ICCIF-species-notes": "", "WB-species-checked": "testedAndGuaranteed", "WB-species-dilution-info": "", "WB-species-notes": "<p></p>", "FlowCytIntra-species-checked": "guaranteed", "FlowCytIntra-species-dilution-info": "", "FlowCytIntra-species-notes": "<p></p>" }, "Rat": { "IHCP-species-checked": "testedAndGuaranteed", "IHCP-species-dilution-info": "", "IHCP-species-notes": "<p></p> Perform heat-mediated antigen retrieval before commencing with IHC staining protocol.", "ICCIF-species-checked": "guaranteed", "ICCIF-species-dilution-info": "", "ICCIF-species-notes": "", "WB-species-checked": "testedAndGuaranteed", "WB-species-dilution-info": "", "WB-species-notes": "<p></p>", "FlowCytIntra-species-checked": "guaranteed", "FlowCytIntra-species-dilution-info": "", "FlowCytIntra-species-notes": "<p></p>" } } }

Product details

ab248197 is the carrier-free version of ab128871.

Patented technology
Our RabMAb® technology is a patented hybridoma-based technology for making rabbit monoclonal antibodies. For details on our patents, please refer to RabMAb® patents.

What are the advantages of a recombinant monoclonal antibody?
This product is a recombinant monoclonal antibody, which offers several advantages including:

  • - High batch-to-batch consistency and reproducibility
  • - Improved sensitivity and specificity
  • - Long-term security of supply
  • - Animal-free batch production

For more information, read more on recombinant antibodies.

Conjugation ready
Our carrier-free antibodies are typically supplied in a PBS-only formulation, purified and free of BSA, sodium azide and glycerol. This conjugation-ready format is designed for use with fluorochromes, metal isotopes, oligonucleotides, and enzymes, which makes them ideal for antibody labelling, functional and cell-based assays, flow-based assays (e.g. mass cytometry) and Multiplex Imaging applications.

Use our conjugation kits for antibody conjugates that are ready-to-use in as little as 20 minutes with 1 minute hands-on-time and 100% antibody recovery: available for fluorescent dyes, HRP, biotin and gold.

Compatibility
This product is compatible with the Maxpar® Antibody Labeling Kit from Fluidigm, without the need for antibody preparation. Maxpar® is a trademark of Fluidigm Canada Inc.

Properties and storage information

Form
Liquid
Purification technique
Affinity purification Protein A
Storage buffer
pH: 7.2 - 7.4 Constituents: 100% PBS
Shipped at conditions
Blue Ice
Appropriate short-term storage conditions
+4°C
Appropriate long-term storage conditions
+4°C
Storage information
Do Not Freeze

Supplementary information

This supplementary information is collated from multiple sources and compiled automatically.

CTBP2 also known as C-terminal binding protein 2 is a transcriptional co-repressor involved in regulating gene expression. It is a protein with a molecular mass of approximately 48 kDa. CTBP2 is expressed in various tissues with high levels in neural muscular and epithelial cells. Mechanically CTBP2 operates by interacting with transcription factors and histone-modifying enzymes modulating chromatin structure to control access to DNA.
Biological function summary

CTBP2 plays a significant role in cellular processes such as development and differentiation. It frequently acts as part of multi-protein complexes interacting with diverse partners to facilitate transcriptional repression. These interactions are essential for balancing gene activity ensuring appropriate tissue development and function. CTBP2 influences cellular dynamics by regulating target genes implicated in growth survival and metabolic pathways.

Pathways

CTBP2 integrates into significant signaling pathways like Wnt and TGF-beta where it reinforces regulatory control by interacting with critical factors such as beta-catenin or Smad proteins. It collaborates with other proteins like CTBP1 dictating cellular responses and influencing pathophysiological processes. By coordinating these pathways CTBP2 supports cellular homeostasis impacting tissues in response to external and internal cues.

CTBP2 has associations with cancer and neurodegenerative diseases. Its overexpression or altered activity links to cancer progression as it promotes a transcriptional environment conducive to tumor growth. Proteins such as E-cadherin connect with CTBP2 in metastasis exemplifying its role in cancer cell dissemination. Additionally changes in CTBP2 function relate to neurodegenerative conditions affecting nerve cell survival and synaptic activity pointing to its involvement in neuronal health and disease mechanisms.

Product protocols

For this product, it's our understanding that no specific protocols are required. You can visit:

Target data

Corepressor targeting diverse transcription regulators. Functions in brown adipose tissue (BAT) differentiation (By similarity).. Isoform 2 probably acts as a scaffold for specialized synapses.
See full target information CTBP2

Product promise

We are committed to supporting your work with high-quality reagents, and we're here for you every step of the way. In the unlikely event that one of our products does not perform as expected, you're protected by our Product Promise.
For full details, please see our Terms & Conditions

Associated Products

Select an associated product type
Alternative Version
Primary Antibodies

AB204662

Alexa Fluor® 488 Anti-CTBP2 antibody [EPR7611(B)]

primary-antibodies

alexa-fluor-488-ctbp2-antibody-epr7611b-ab204662

0

(0 reviews)

Alternative Version
Primary Antibodies

AB204663

Alexa Fluor® 647 Anti-CTBP2 antibody [EPR7611(B)]

primary-antibodies

alexa-fluor-647-ctbp2-antibody-epr7611b-ab204663

0

(0 reviews)

Alternative Version
Primary Antibodies

AB303203

APC Anti-CTBP2 antibody [EPR7611(B)]

primary-antibodies

apc-ctbp2-antibody-epr7611b-ab303203

0

(0 reviews)

Alternative Version
Primary Antibodies

AB303204

HRP Anti-CTBP2 antibody [EPR7611(B)]

primary-antibodies

hrp-ctbp2-antibody-epr7611b-ab303204

0

(0 reviews)

Alternative Version
Primary Antibodies

AB312538

Alexa Fluor® 568 Anti-CTBP2 antibody [EPR7611(B)]

primary-antibodies

alexa-fluor-568-ctbp2-antibody-epr7611b-ab312538

0

(0 reviews)

Alternative Version
Primary Antibodies

AB303202

PE Anti-CTBP2 antibody [EPR7611(B)]

primary-antibodies

pe-ctbp2-antibody-epr7611b-ab303202

0

(0 reviews)

Alternative Version
Primary Antibodies

AB310531

Alexa Fluor® 594 Anti-CTBP2 antibody [EPR7611(B)]

primary-antibodies

alexa-fluor-594-ctbp2-antibody-epr7611b-ab310531

0

(0 reviews)

Alternative Version
Primary Antibodies

AB312061

Alexa Fluor® 555 Anti-CTBP2 antibody [EPR7611(B)]

primary-antibodies

alexa-fluor-555-ctbp2-antibody-epr7611b-ab312061

0

(0 reviews)

Please note: All products are 'FOR RESEARCH USE ONLY. NOT FOR USE IN DIAGNOSTIC OR THERAPEUTIC PROCEDURES'.

For licensing inquiries, please contact partnerships@abcam.com