JavaScript is disabled in your browser. Please enable JavaScript to view this website.
AB322066

Anti-CTBS antibody [EPR29368-588] - BSA and Azide free

  • Advanced Validation
  • RabMAb
  • Recombinant
  • BOND RX™ Validated
  • What is this?

Be the first to review this product! Submit a review

|

(0 Publication)

Rabbit Recombinant Monoclonal antibody. Carrier free. Suitable for mIHC, IHC-P, WB and reacts with Human samples.
8 Images
Multiplex immunohistochemistry - Anti-CTBS antibody [EPR29368-588] - BSA and Azide free (AB322066)
  • mIHC

Supplier Data

Multiplex immunohistochemistry - Anti-CTBS antibody [EPR29368-588] - BSA and Azide free (AB322066)

This data was developed using ab322065, the same antibody clone in a different buffer formulation.

Multiplex immunohistochemistry analysis of formalin/PFA-fixed paraffin-embedded human liver tissue staining CTBS with ab322065 at a 1 : 2000 (0.249 ug/ml) dilution, ab108597 anti-LAMP1 used at 1 : 400 (0.37 ug/ml) dilution.

Panel A : merged staining of anti-CTBS (green; Opal™520) and anti-LAMP1 (magenta; Opal™570) on human liver.
Panel B : anti-CTBS showed granular staining in human liver.
Panel C : anti-LAMP1 showed granular staining in human liver.
Panel D : Nuclear DNA was labeled with DAPI (shown in blue).

The section was incubated in three rounds of staining : in the order of ab322065 and ab108597 for 30 mins at room temperature. Each round was followed by a separate fluorescent tyramide signal amplification system.

The immunostaining was performed on a Leica Biosystems BOND® RX instrument with an Opal™ 4-color kit. Image acquisition was performed with Leica SP8 confocal microscope.

Nuclear counter stain with DAPI.

Heat mediated antigen retrieval with Tris-EDTA buffer (pH 9.0, epitope retrieval solution2) for 20 mins.

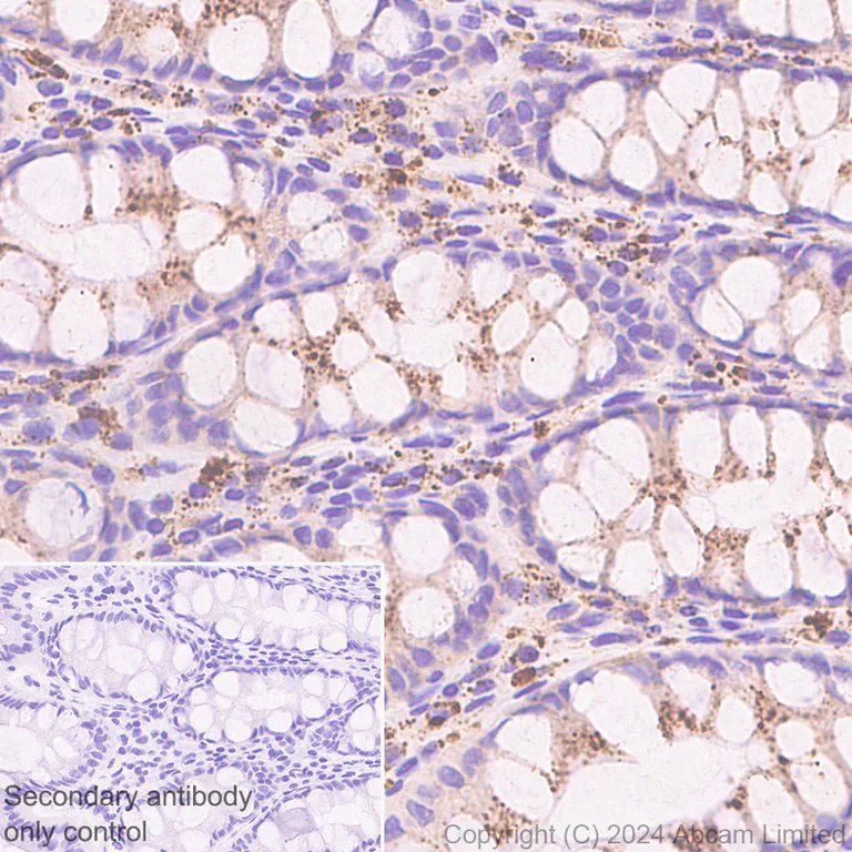
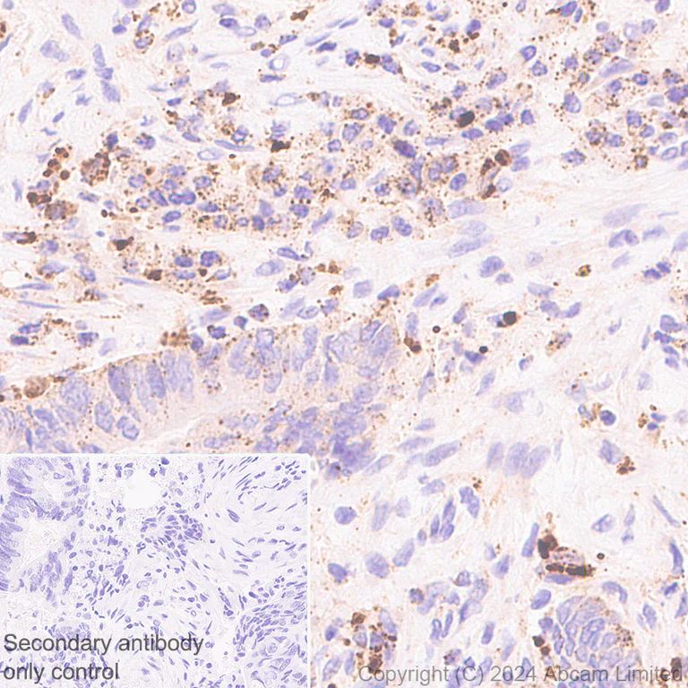
Immunohistochemistry (Formalin/PFA-fixed paraffin-embedded sections) - Anti-CTBS antibody [EPR29368-588] - BSA and Azide free (AB322066)
  • IHC-P

Supplier Data

Immunohistochemistry (Formalin/PFA-fixed paraffin-embedded sections) - Anti-CTBS antibody [EPR29368-588] - BSA and Azide free (AB322066)

This data was developed using ab322065, the same antibody clone in a different buffer formulation.

Immunohistochemical analysis of paraffin-embedded Human colon cancer tissue labeling CTBS with ab322065 at 1/2000 (0.249 ug/ml) dilution, followed by a ready to use LeicaDS9800 (Bond™ Polymer Refine Detection).

Positive staining on human colon cancer. The section was incubated with ab322065 for 30 mins at room temperature.
The immunostaining was performed on a Leica Biosystems BOND® RX instrument

Counterstained with Hematoxylin.

Secondary antibody only control : Secondary antibody is a ready to use LeicaDS9800 (Bond™ Polymer Refine Detection).

Heat mediated antigen retrieval was performed with Tris-EDTA buffer (pH 9.0, Epitope Retrieval Solution2) for 20 mins

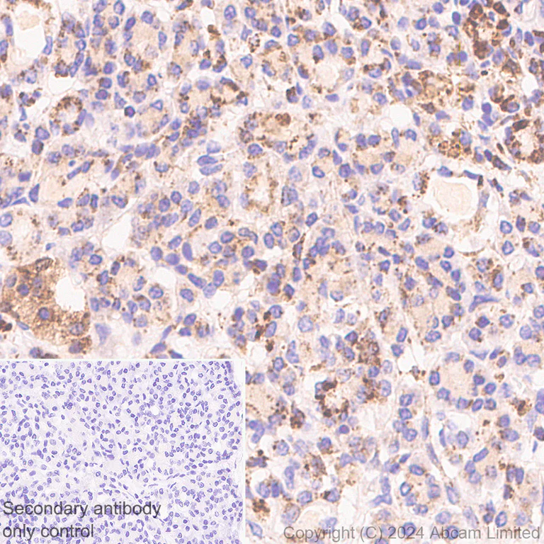
Immunohistochemistry (Formalin/PFA-fixed paraffin-embedded sections) - Anti-CTBS antibody [EPR29368-588] - BSA and Azide free (AB322066)
  • IHC-P

Supplier Data

Immunohistochemistry (Formalin/PFA-fixed paraffin-embedded sections) - Anti-CTBS antibody [EPR29368-588] - BSA and Azide free (AB322066)

This data was developed using ab322065, the same antibody clone in a different buffer formulation.

Immunohistochemical analysis of paraffin-embedded Human pancreas tissue labeling CTBS with ab322065 at 1/2000 (0.249 ug/ml) dilution, followed by a ready to use LeicaDS9800 (Bond™ Polymer Refine Detection).

Positive staining on human pancreas. The section was incubated with ab322065 for 30 mins at room temperature.
The immunostaining was performed on a Leica Biosystems BOND® RX instrument

Counterstained with Hematoxylin.

Secondary antibody only control : Secondary antibody is a ready to use LeicaDS9800 (Bond™ Polymer Refine Detection).

Heat mediated antigen retrieval was performed with Tris-EDTA buffer (pH 9.0, Epitope Retrieval Solution2) for 20 mins

Multiplex immunohistochemistry - Anti-CTBS antibody [EPR29368-588] - BSA and Azide free (AB322066)
  • mIHC

Supplier Data

Multiplex immunohistochemistry - Anti-CTBS antibody [EPR29368-588] - BSA and Azide free (AB322066)

This data was developed using ab322065, the same antibody clone in a different buffer formulation.

Multiplex immunohistochemistry analysis of formalin/PFA-fixed paraffin-embedded human colon tissue staining CTBS with ab322065 at a 1 : 2000 (0.249 ug/ml) dilution, ab108597 anti-LAMP1 used at 1 : 400 (0.37 ug/ml) dilution.

Panel A : merged staining of anti-CTBS (green; Opal™520) and anti-LAMP1 (magenta; Opal™570) on human colon.
Panel B : anti-CTBS showed granular staining in human colon.
Panel C : anti-LAMP1 showed granular staining in human colon.
Panel D : Nuclear DNA was labeled with DAPI (shown in blue).

The section was incubated in three rounds of staining : in the order of ab322065 and ab108597 for 30 mins at room temperature. Each round was followed by a separate fluorescent tyramide signal amplification system.

The immunostaining was performed on a Leica Biosystems BOND® RX instrument with an Opal™ 4-color kit. Image acquisition was performed with Leica SP8 confocal microscope.

Nuclear counter stain with DAPI.

Heat mediated antigen retrieval with Tris-EDTA buffer (pH 9.0, epitope retrieval solution2) for 20 mins.

Immunohistochemistry (Formalin/PFA-fixed paraffin-embedded sections) - Anti-CTBS antibody [EPR29368-588] - BSA and Azide free (AB322066)
  • IHC-P

Supplier Data

Immunohistochemistry (Formalin/PFA-fixed paraffin-embedded sections) - Anti-CTBS antibody [EPR29368-588] - BSA and Azide free (AB322066)

This data was developed using ab322065, the same antibody clone in a different buffer formulation.

Immunohistochemical analysis of paraffin-embedded Human colon tissue labeling CTBS with ab322065 at 1/2000 (0.249 ug/ml) dilution, followed by a ready to use LeicaDS9800 (Bond™ Polymer Refine Detection).

Positive staining on human colon. The section was incubated with ab322065 for 30 mins at room temperature.
The immunostaining was performed on a Leica Biosystems BOND® RX instrument

Counterstained with Hematoxylin.

Secondary antibody only control : Secondary antibody is a ready to use LeicaDS9800 (Bond™ Polymer Refine Detection).

Heat mediated antigen retrieval was performed with Tris-EDTA buffer (pH 9.0, Epitope Retrieval Solution2) for 20 mins

Western blot - Anti-CTBS antibody [EPR29368-588] - BSA and Azide free (AB322066)
  • WB

Supplier Data

Western blot - Anti-CTBS antibody [EPR29368-588] - BSA and Azide free (AB322066)

This data was developed using ab322065, the same antibody clone in a different buffer formulation.

Blocking and diluting buffer and concentration : 5% NFDM/TBST.

The identity of the bands lower than 37 kDa are unknown.

All lanes:

Western blot - Anti-CTBS antibody [EPR29368-588] (ab322065) at 1/1000 dilution

Lane 1:

Human spleen tissue lysate at 7 µg

Lane 2:

Human liver tissue lysate at 7 µg

Lane 3:

Human tonsil tissue lysate at 7 µg

Secondary

All lanes:

Goat Anti-Rabbit IgG (HRP) with minimal cross-reactivity with human IgG at 1/2000 dilution

false

Exposure time: 103s

Western blot - Anti-CTBS antibody [EPR29368-588] - BSA and Azide free (AB322066)
  • WB

Supplier Data

Western blot - Anti-CTBS antibody [EPR29368-588] - BSA and Azide free (AB322066)

This data was developed using ab322065, the same antibody clone in a different buffer formulation.

Blocking and diluting buffer and concentration : 5% NFDM/TBST.

Low expression : 293T (PMID : 26837576).

The identity of the bands lower than 37 kDa are unknown.

In Western blot, Anti-GAPDH antibody [EPR16891] - Loading Control (ab181602) staining at 1/200000 dilution.

Exposure time : Lanes 1-2 : 10 seconds; Lanes 3-4 : 70 seconds; Lane 5 : 26 seconds.

All lanes:

Western blot - Anti-CTBS antibody [EPR29368-588] (ab322065) at 1/1000 dilution

Lane 1:

LNCaP (human prostate carcinoma epithelial cell) whole cell lysate at 20 µg

Lane 2:

293T (human embryonic kidney epithelial cell) whole cell lysate at 20 µg

Lane 3:

MCF7 (human breast adenocarcinoma epithelial cell) whole cell lysate at 20 µg

Lane 4:

HepG2 (human hepatocellular carcinoma epithelial cell) whole cell lysate at 20 µg

Lane 5:

PANC-1 (human pancreatic epithelioid carcinoma epithelial cell) whole cell lysate at 20 µg

Secondary

All lanes:

Western blot - Goat Anti-Rabbit IgG H&L (HRP) (<a href='/en-us/products/secondary-antibodies/goat-rabbit-igg-h-l-hrp-ab97051'>ab97051</a>) at 1/20000 dilution

false

Western blot - Anti-CTBS antibody [EPR29368-588] - BSA and Azide free (AB322066)
  • WB

Supplier Data

Western blot - Anti-CTBS antibody [EPR29368-588] - BSA and Azide free (AB322066)

This data was developed using ab322065, the same antibody clone in a different buffer formulation.

Blocking and diluting buffer and concentration : 5% NFDM/TBST.

The identity of the bands higher than 50 kDa and lower than 37 kDa are unknown.

In Western blot, Anti-GAPDH antibody [EPR16891] - Loading Control (ab181602) staining at 1/200000 dilution.

Exposure time : Lanes 1-2 : 92 seconds; Lane 3 : 15 seconds.

All lanes:

Western blot - Anti-CTBS antibody [EPR29368-588] (ab322065) at 1/1000 dilution

Lane 1:

HeLa (human cervical adenocarcinoma epithelial cell) transfected with scrambled siRNA control whole cell lysate at 20 µg

Lane 2:

HeLa transfected with siRNA specifically targeting CTBS whole cell lysate at 20 µg

Lane 3:

HCT 116 (human colorectal carcinoma epithelial cell) whole cell lysate at 20 µg

Secondary

All lanes:

Western blot - Goat Anti-Rabbit IgG H&L (HRP) (<a href='/en-us/products/secondary-antibodies/goat-rabbit-igg-h-l-hrp-ab97051'>ab97051</a>) at 1/20000 dilution

false

Key facts

Host species

Rabbit

Clonality

Monoclonal

Clone number

EPR29368-588

Isotype

IgG

Carrier free

Yes

Reacts with

Human

Applications

mIHC, WB, IHC-P

applications

Immunogen

The exact immunogen used to generate this antibody is proprietary information.

Reactivity data

{ "title": "Reactivity Data", "filters": { "stats": ["", "Species", "Dilution Info", "Notes"], "tabs": { "all-applications": {"fullname" : "All Applications", "shortname": "All Applications"}, "mIHC" : {"fullname" : "Multiplex immunohistochemistry", "shortname":"mIHC"}, "IHCP" : {"fullname" : "Immunohistochemistry (Formalin/PFA-fixed paraffin-embedded sections)", "shortname":"IHC-P"}, "WB" : {"fullname" : "Western blot", "shortname":"WB"} }, "product-promise": { "all": "all", "testedAndGuaranteed": "tested", "guaranteed": "expected", "predicted": "predicted", "notRecommended": "not-recommended" } }, "values": { "Human": { "mIHC-species-checked": "testedAndGuaranteed", "mIHC-species-dilution-info": "", "mIHC-species-notes": "<p></p>", "IHCP-species-checked": "testedAndGuaranteed", "IHCP-species-dilution-info": "", "IHCP-species-notes": "<p></p> Perform heat-mediated antigen retrieval with Tris/EDTA buffer pH 9.0 before commencing with IHC staining protocol.", "WB-species-checked": "testedAndGuaranteed", "WB-species-dilution-info": "", "WB-species-notes": "<p></p>" } } }

Product details

ab322066 is the carrier-free version of ab322065.

Patented technology
Our RabMAb® technology is a patented hybridoma-based technology for making rabbit monoclonal antibodies. For details on our patents, please refer to RabMAb® patents.

What are the advantages of a recombinant monoclonal antibody?
This product is a recombinant monoclonal antibody, which offers several advantages including:

  • - High batch-to-batch consistency and reproducibility
  • - Improved sensitivity and specificity
  • - Long-term security of supply
  • - Animal-free batch production

For more information, read more on recombinant antibodies.

Conjugation ready
Our carrier-free antibodies are typically supplied in a PBS-only formulation, purified and free of BSA, sodium azide and glycerol. This conjugation-ready format is designed for use with fluorochromes, metal isotopes, oligonucleotides, and enzymes, which makes them ideal for antibody labelling, functional and cell-based assays, flow-based assays (e.g. mass cytometry) and Multiplex Imaging applications.

Use our conjugation kits for antibody conjugates that are ready-to-use in as little as 20 minutes with 1 minute hands-on-time and 100% antibody recovery: available for fluorescent dyes, HRP, biotin and gold.

Compatibility
This product is compatible with the Maxpar® Antibody Labeling Kit from Fluidigm, without the need for antibody preparation. Maxpar® is a trademark of Fluidigm Canada Inc.

Properties and storage information

Form
Liquid
Purification technique
Affinity purification Protein A
Storage buffer
pH: 7.2 - 7.4 Constituents: 100% PBS
Shipped at conditions
Blue Ice
Appropriate short-term storage conditions
+4°C
Appropriate long-term storage conditions
+4°C

Supplementary information

This supplementary information is collated from multiple sources and compiled automatically.

CTBS also known as chitobiase is a lysosomal enzyme that plays a role in the breakdown of chitinous substances. The protein has an approximate mass of 55 kDa. It is expressed mainly in tissues involved in the degradation processes such as the liver kidney and spleen. CTBS facilitates the hydrolysis of chitobiose into its monosaccharide components. This enzymatic activity is important for regulating cellular turnover and recycling materials within the lysosome.
Biological function summary

CTBS participates in the catabolism of glycoproteins and glycolipids contributing to the proper functioning of lysosomal degradation. The protein does not form a part of a complex but functions independently within the lysosome to assist in processing lysosomal storage materials. The activity of CTBS influences cellular homeostasis and the elimination of unnecessary macromolecular structures. Proper CTBS function prevents accumulation of partially degraded molecules that might disrupt cellular operations.

Pathways

The CTBS enzyme acts significantly within the lysosomal degradation pathway. This pathway involves the breakdown and recycling of various biomolecules which is important in maintaining metabolic balance. CTBS interacts with other enzymes like hexosaminidases which further process the breakdown products of its enzymatic activity. The lysosomal degradation pathway plays a role in cellular nutrition and waste elimination ensuring cells receive necessary substrates while disposing of metabolic waste.

CTBS has links to lysosomal storage disorders. These diseases occur when substrates accumulate within the lysosome due to deficient enzymatic activity leading to cellular dysfunction. One notable disorder related to CTBS dysfunction is Sandhoff disease where deficient enzyme activity causes buildup of glycosphingolipids. In this context CTBS is associated with proteins like hexosaminidase A which cooperatively contribute to lysosomal degradation processes. Understanding the role of CTBS in these disorders can help develop therapeutic strategies to manage or treat the conditions associated with lysosomal malfunction.

Product protocols

For this product, it's our understanding that no specific protocols are required. You can visit:

Target data

Involved in the degradation of asparagine-linked glycoproteins. Hydrolyze of N-acetyl-beta-D-glucosamine (1-4)N-acetylglucosamine chitobiose core from the reducing end of the bond, it requires prior cleavage by glycosylasparaginase.

Product promise

We are committed to supporting your work with high-quality reagents, and we're here for you every step of the way. In the unlikely event that one of our products does not perform as expected, you're protected by our Product Promise.
For full details, please see our Terms & Conditions

Please note: All products are 'FOR RESEARCH USE ONLY. NOT FOR USE IN DIAGNOSTIC OR THERAPEUTIC PROCEDURES'.

For licensing inquiries, please contact partnerships@abcam.com