JavaScript is disabled in your browser. Please enable JavaScript to view this website.
AB70303

Anti-CTCF antibody

4

(12 Reviews)

|

(100 Publications)

Anti-CTCF antibody (ab70303) is a rabbit polyclonal antibody detecting CTCF in Western Blot, IP, IHC-P. Suitable for Human, Mouse.

- Over 80 publications
- Trusted since 2008

View Alternative Names

Transcriptional repressor CTCF, 11-zinc finger protein, CCCTC-binding factor, CTCFL paralog, CTCF

4 Images
Immunoprecipitation - Anti-CTCF antibody (AB70303)
  • IP

Supplier Data

Immunoprecipitation - Anti-CTCF antibody (AB70303)

Whole cell lysate (1.0 mg per IP reaction; 20% of IP loaded) from HEK293T cells prepared using NETN lysis buffer. ab70303 was used at 6 µg per reaction. Lane 1 : antibody against a different epitope of CTCF Lane 2 : Previous lot Lane 3 : Current lot Lane 4 : control IgG

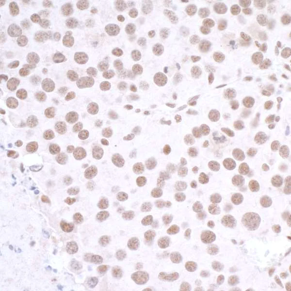
Immunohistochemistry (Formalin/PFA-fixed paraffin-embedded sections) - Anti-CTCF antibody (AB70303)
  • IHC-P

Supplier Data

Immunohistochemistry (Formalin/PFA-fixed paraffin-embedded sections) - Anti-CTCF antibody (AB70303)

Immunohistochemical analysis of formalin-fixed, paraffin-embedded human small cell lung cancer tissue, labeling CTCF with ab70303 at a 1/1000 dilution. HRP-conjugated goat anti-rabbit IgG was used as a secondary antibody.

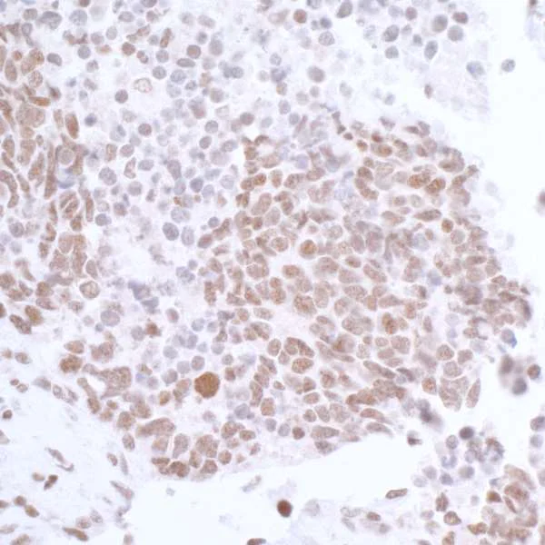
Immunohistochemistry (Formalin/PFA-fixed paraffin-embedded sections) - Anti-CTCF antibody (AB70303)
  • IHC-P

Supplier Data

Immunohistochemistry (Formalin/PFA-fixed paraffin-embedded sections) - Anti-CTCF antibody (AB70303)

Immunohistochemical analysis of formalin-fixed, paraffin-embedded mouse renal cancer tissue, labeling CTCF with ab70303 at a 1/1000 dilution. HRP-conjugated goat anti-rabbit IgG was used as a secondary antibody.

Western blot - Anti-CTCF antibody (AB70303)
  • WB

Supplier Data

Western blot - Anti-CTCF antibody (AB70303)

The multiples bands observed in the WB have been reported in literature (PMID : 12878173) belonging to different isoforms of CTCF

All lanes:

Western blot - Anti-CTCF antibody (ab70303) at 0.1 µg/mL

Lane 1:

CT26 Whole cell lysate at 50 µg

Lane 2:

TCMK-1 Whole cell lysate at 50 µg

Lane 3:

BW5147.3 Whole cell lysate at 50 µg

false

Exposure time: 30s

Key facts

Host species

Rabbit

Clonality

Polyclonal

Isotype

IgG

Carrier free

No

Reacts with

Mouse, Human

Applications

IP, WB, IHC-P

applications

Immunogen

Synthetic Peptide within Human CTCF aa 650-700. The exact immunogen used to generate this antibody is proprietary information.

P49711

Reactivity data

{ "title": "Reactivity Data", "filters": { "stats": ["", "Species", "Dilution Info", "Notes"], "tabs": { "all-applications": {"fullname" : "All Applications", "shortname": "All Applications"}, "IP" : {"fullname" : "Immunoprecipitation", "shortname":"IP"}, "WB" : {"fullname" : "Western blot", "shortname":"WB"}, "IHCP" : {"fullname" : "Immunohistochemistry (Formalin/PFA-fixed paraffin-embedded sections)", "shortname":"IHC-P"} }, "product-promise": { "all": "all", "testedAndGuaranteed": "tested", "guaranteed": "expected", "predicted": "predicted", "notRecommended": "not-recommended" } }, "values": { "Human": { "IP-species-checked": "testedAndGuaranteed", "IP-species-dilution-info": "2-5 µg/mg of lysate", "IP-species-notes": "<p></p>", "WB-species-checked": "testedAndGuaranteed", "WB-species-dilution-info": "1/2500 - 1/10000", "WB-species-notes": "<p>Detects a band of approximately 100 kDa (predicted molecular weight: 83 kDa). The multiples bands observed in the WB have been reported in literature (PMID: 12878173) belonging to different isoforms of CTCF</p>", "IHCP-species-checked": "testedAndGuaranteed", "IHCP-species-dilution-info": "1/100 - 1/500", "IHCP-species-notes": "<p></p>" }, "Mouse": { "IP-species-checked": "guaranteed", "IP-species-dilution-info": "", "IP-species-notes": "", "WB-species-checked": "testedAndGuaranteed", "WB-species-dilution-info": "1/2500 - 1/10000", "WB-species-notes": "<p>Detects a band of approximately 100 kDa (predicted molecular weight: 83 kDa). The multiples bands observed in the WB have been reported in literature (PMID: 12878173) belonging to different isoforms of CTCF</p>", "IHCP-species-checked": "testedAndGuaranteed", "IHCP-species-dilution-info": "1/100 - 1/500", "IHCP-species-notes": "<p></p>" }, "Rat": { "IP-species-checked": "predicted", "IP-species-dilution-info": "", "IP-species-notes": "", "WB-species-checked": "predicted", "WB-species-dilution-info": "", "WB-species-notes": "", "IHCP-species-checked": "predicted", "IHCP-species-dilution-info": "", "IHCP-species-notes": "" }, "Chimpanzee": { "IP-species-checked": "predicted", "IP-species-dilution-info": "", "IP-species-notes": "", "WB-species-checked": "predicted", "WB-species-dilution-info": "", "WB-species-notes": "", "IHCP-species-checked": "predicted", "IHCP-species-dilution-info": "", "IHCP-species-notes": "" }, "Cow": { "IP-species-checked": "predicted", "IP-species-dilution-info": "", "IP-species-notes": "", "WB-species-checked": "predicted", "WB-species-dilution-info": "", "WB-species-notes": "", "IHCP-species-checked": "predicted", "IHCP-species-dilution-info": "", "IHCP-species-notes": "" }, "Elephant": { "IP-species-checked": "predicted", "IP-species-dilution-info": "", "IP-species-notes": "", "WB-species-checked": "predicted", "WB-species-dilution-info": "", "WB-species-notes": "", "IHCP-species-checked": "predicted", "IHCP-species-dilution-info": "", "IHCP-species-notes": "" }, "Gorilla": { "IP-species-checked": "predicted", "IP-species-dilution-info": "", "IP-species-notes": "", "WB-species-checked": "predicted", "WB-species-dilution-info": "", "WB-species-notes": "", "IHCP-species-checked": "predicted", "IHCP-species-dilution-info": "", "IHCP-species-notes": "" }, "Orangutan": { "IP-species-checked": "predicted", "IP-species-dilution-info": "", "IP-species-notes": "", "WB-species-checked": "predicted", "WB-species-dilution-info": "", "WB-species-notes": "", "IHCP-species-checked": "predicted", "IHCP-species-dilution-info": "", "IHCP-species-notes": "" }, "Pig": { "IP-species-checked": "predicted", "IP-species-dilution-info": "", "IP-species-notes": "", "WB-species-checked": "predicted", "WB-species-dilution-info": "", "WB-species-notes": "", "IHCP-species-checked": "predicted", "IHCP-species-dilution-info": "", "IHCP-species-notes": "" }, "Rhesus monkey": { "IP-species-checked": "predicted", "IP-species-dilution-info": "", "IP-species-notes": "", "WB-species-checked": "predicted", "WB-species-dilution-info": "", "WB-species-notes": "", "IHCP-species-checked": "predicted", "IHCP-species-dilution-info": "", "IHCP-species-notes": "" } } }

Product details

What is this antibody validated in?
Anti-CTCF antibody (ab70303) is a rabbit polyclonal antibody and is validated for use in Western Blot (WB), Immunoprecipitation (IP), Immunohistochemistry (IHC-P) in Human, Mouse samples.

Trusted by the scientific community
Anti-CTCF (ab70303) was first used in a scientific publication in 2008 and has been cited over 80 times in peer-reviewed journals.

Reviewed by scientists
Anti-CTCF (ab70303) has over 10 independent reviews from customers.

Properties and storage information

Form
Liquid
Purification technique
Affinity purification Immunogen
Purification notes
ab70303 was affinity purified using an epitope specific to CTCF immobilized on solid support.
Storage buffer
pH: 6.8 - 7.4 Preservative: 0.09% Sodium azide Constituents: PBS, 1.815% Tris, 1.764% Sodium citrate
Shipped at conditions
Blue Ice
Appropriate short-term storage duration
1-2 weeks
Appropriate short-term storage conditions
+4°C
Appropriate long-term storage conditions
-20°C
Aliquoting information
Upon delivery aliquot
Storage information
Avoid freeze / thaw cycle

Supplementary information

This supplementary information is collated from multiple sources and compiled automatically.

CTCF also known as the CCCTC-binding factor is a highly conserved zinc finger protein involved in transcriptional regulation and chromatin organization. It has a molecular weight of approximately 82 kDa. The CTCF protein plays a critical mechanical role in controlling the three-dimensional architecture of the genome by binding to specific DNA sequences and forming chromatin loops. It is widely expressed in various cell types across tissues where it acts as a transcriptional repressor and activator depending on the context. CTCF immunofluorescence techniques enable the visualization of its dynamic distribution and expression within the nucleus.
Biological function summary

The multipurpose CTCF protein acts in coordinating the spatial organization of the genome. It functions as an insulator by regulating the boundaries between different chromosomal domains and controlling gene expression. CTCF operates within various complexes interacting with cohesin a vital protein complex that facilitates loop formation and influences genome architecture. This interaction helps in maintaining the integrity of the genome structure and proper chromatin insulation which are essential for normal gene function.

Pathways

CTCF plays significant roles in epigenetic regulatory networks and transcriptional pathways. In the epigenetic landscape it influences gene expression through modulation of DNA methylation states at CpG islands interacting with proteins like DNA methyltransferases. In transcriptional pathways CTCF interacts with nuclear factor Y (NF-Y) which contributes to cell cycle regulation by modulating the expression of cell cycle genes. These pathways reflect CTCF's versatility in gene regulation and its influence on maintaining cellular homeostasis.

CTCF disruptions have been implicated in cancer and intellectual disabilities. Mutations or altered expression of CTCF can lead to tumorigenesis as CTCF acts as a tumor suppressor by controlling oncogene and tumor suppressor gene expression. In intellectual disabilities CTCF mutations affect brain development by disrupting the expression of neuronal genes. The protein's interaction with cohesin has links to disorders such as Cornelia de Lange syndrome where cohesin complex dysfunction parallels the phenotypes seen with CTCF aberrations.

Product protocols

For this product, it's our understanding that no specific protocols are required. You can visit:

Target data

Chromatin binding factor that binds to DNA sequence specific sites and regulates the 3D structure of chromatin (PubMed : 18347100, PubMed : 18654629, PubMed : 19322193). Binds together strands of DNA, thus forming chromatin loops, and anchors DNA to cellular structures, such as the nuclear lamina (PubMed : 18347100, PubMed : 18654629, PubMed : 19322193). Defines the boundaries between active and heterochromatic DNA via binding to chromatin insulators, thereby preventing interaction between promoter and nearby enhancers and silencers (PubMed : 18347100, PubMed : 18654629, PubMed : 19322193). Plays a critical role in the epigenetic regulation (PubMed : 16949368). Participates in the allele-specific gene expression at the imprinted IGF2/H19 gene locus (PubMed : 16107875, PubMed : 16815976, PubMed : 17827499). On the maternal allele, binding within the H19 imprinting control region (ICR) mediates maternally inherited higher-order chromatin conformation to restrict enhancer access to IGF2 (By similarity). Mediates interchromosomal association between IGF2/H19 and WSB1/NF1 and may direct distant DNA segments to a common transcription factory (By similarity). Regulates asynchronous replication of IGF2/H19 (By similarity). Plays a critical role in gene silencing over considerable distances in the genome (By similarity). Preferentially interacts with unmethylated DNA, preventing spreading of CpG methylation and maintaining methylation-free zones (PubMed : 18413740). Inversely, binding to target sites is prevented by CpG methylation (PubMed : 18413740). Plays an important role in chromatin remodeling (PubMed : 18413740). Can dimerize when it is bound to different DNA sequences, mediating long-range chromatin looping (PubMed : 12191639). Causes local loss of histone acetylation and gain of histone methylation in the beta-globin locus, without affecting transcription (PubMed : 12191639). When bound to chromatin, it provides an anchor point for nucleosomes positioning (PubMed : 12191639). Seems to be essential for homologous X-chromosome pairing (By similarity). May participate with Tsix in establishing a regulatable epigenetic switch for X chromosome inactivation (PubMed : 11743158). May play a role in preventing the propagation of stable methylation at the escape genes from X-inactivation (PubMed : 11743158). Involved in sister chromatid cohesion (PubMed : 12191639). Associates with both centromeres and chromosomal arms during metaphase and required for cohesin localization to CTCF sites (PubMed : 18550811). Plays a role in the recruitment of CENPE to the pericentromeric/centromeric regions of the chromosome during mitosis (PubMed : 26321640). Acts as a transcriptional repressor binding to promoters of vertebrate MYC gene and BAG1 gene (PubMed : 18413740, PubMed : 8649389, PubMed : 9591631). Also binds to the PLK and PIM1 promoters (PubMed : 12191639). Acts as a transcriptional activator of APP (PubMed : 9407128). Regulates APOA1/C3/A4/A5 gene cluster and controls MHC class II gene expression (PubMed : 18347100, PubMed : 19322193). Plays an essential role in oocyte and preimplantation embryo development by activating or repressing transcription (By similarity). Seems to act as tumor suppressor (PubMed : 12191639).
See full target information CTCF

Publications (100)

Recent publications for all applications. Explore the full list and refine your search

eLife 14: PubMed41036778

2025

Genome organization by SATB1 binding to base-unpairing regions (BURs) provides a scaffold for SATB1-regulated gene expression.

Applications

Unspecified application

Species

Unspecified reactive species

Yoshinori Kohwi,Xianrong Wong,Mari Grange,Thomas Sexton,Hunter W Richards,Yohko Kitagawa,Shimon Sakaguchi,Ya-Chen Liang,Cheng-Ming Chuong,Vladimir A Botchkarev,Ichiro Taniuchi,Karen L Reddy,Terumi Kohwi-Shigematsu

Genome research 35:1701-1716 PubMed40550689

2025

Wnt signaling activation induces CTCF binding and loop formation at -regulatory elements of target genes.

Applications

Unspecified application

Species

Unspecified reactive species

Anna Nordin,Chaitali Chakraborty,Mattias Jonasson,Orgena Dano,Gianluca Zambanini,Pierfrancesco Pagella,Silvia Remeseiro,Claudio Cantù

Frontiers in cell and developmental biology 13:1572405 PubMed40433546

2025

Benchmark of chromatin-protein interaction methods in haploid round spermatids.

Applications

Unspecified application

Species

Unspecified reactive species

Ruolei Wang,Yue Wu,Ze Zhou,Yicheng Ma,Weidong Zhang,Zihang Wang,Weihan Luo,Peng Hua

Nature communications 16:2148 PubMed40032827

2025

Interplay between CTCF-binding and CTCF-lacking regulatory elements in generating an architectural stripe at the Igh locus.

Applications

Unspecified application

Species

Unspecified reactive species

Fei Ma,Noah Ollikainen,Hansen Du,Fatima Zohra Braikia,Nina Cui,Aisha Haley Bianchi,Christopher Dunn,Cuong Nguyen,Jinshui Fan,Supriyo De,Ranjan Sen,Xiang Qiu

Nature communications 16:1431 PubMed39920158

2025

D-2-hydroxyglutarate impairs DNA repair through epigenetic reprogramming.

Applications

Unspecified application

Species

Unspecified reactive species

Fengchao Lang,Karambir Kaur,Haiqing Fu,Javeria Zaheer,Diego Luis Ribeiro,Mirit I Aladjem,Chunzhang Yang

Cell reports 43:114991 PubMed39570746

2024

ZBTB7A is a modulator of KDM5-driven transcriptional networks in basal breast cancer.

Applications

Unspecified application

Species

Unspecified reactive species

Benedetto DiCiaccio,Marco Seehawer,Zheqi Li,Andriana Patmanidis,Triet Bui,Pierre Foidart,Jun Nishida,Clive S D'Santos,Evangelia K Papachristou,Malvina Papanastasiou,Andrew H Reiter,Xintao Qiu,Rong Li,Yijia Jiang,Xiao-Yun Huang,Anton Simeonov,Stephen C Kales,Ganesha Rai,Madhu Lal-Nag,Ajit Jadhav,Myles Brown,Jason S Carroll,Henry W Long,Kornelia Polyak

The Journal of biological chemistry 300:107946 PubMed39481601

2024

The Drosophila ribonucleoprotein Clueless is required for ribosome biogenesis in vivo.

Applications

Unspecified application

Species

Unspecified reactive species

Aditya Sen,Ambar Rodriguez-Martinez,Sara K Young-Baird,Rachel T Cox

Nature communications 15:9171 PubMed39448645

2024

Epigenetic modulation via the C-terminal tail of H2A.Z.

Applications

Unspecified application

Species

Unspecified reactive species

László Imre,Péter Nánási,Ibtissem Benhamza,Kata Nóra Enyedi,Gábor Mocsár,Rosevalentine Bosire,Éva Hegedüs,Erfaneh Firouzi Niaki,Ágota Csóti,Zsuzsanna Darula,Éva Csősz,Szilárd Póliska,Beáta Scholtz,Gábor Mező,Zsolt Bacsó,H T Marc Timmers,Masayuki Kusakabe,Margit Balázs,György Vámosi,Juan Ausio,Peter Cheung,Katalin Tóth,David Tremethick,Masahiko Harata,Gábor Szabó

EMBO reports 25:4950-4978 PubMed39358551

2024

SCAR-6 elncRNA locus epigenetically regulates PROZ and modulates coagulation and vascular function.

Applications

Unspecified application

Species

Unspecified reactive species

Gyan Ranjan,Paras Sehgal,Vinod Scaria,Sridhar Sivasubbu

Genomics, proteomics & bioinformatics 22: PubMed39312688

2024

Virus Infection Induces Immune Gene Activation with CTCF-anchored Enhancers and Chromatin Interactions in Pig Genome.

Applications

Unspecified application

Species

Unspecified reactive species

Jianhua Cao,Ruimin Ren,Xiaolong Li,Xiaoqian Zhang,Yan Sun,Xiaohuan Tian,Ru Liu,Xiangdong Liu,Yijun Ruan,Guoliang Li,Shuhong Zhao
View all publications

Product promise

We are committed to supporting your work with high-quality reagents, and we're here for you every step of the way. In the unlikely event that one of our products does not perform as expected, you're protected by our Product Promise.
For full details, please see our Terms & Conditions

Please note: All products are 'FOR RESEARCH USE ONLY. NOT FOR USE IN DIAGNOSTIC OR THERAPEUTIC PROCEDURES'.

For licensing inquiries, please contact partnerships@abcam.com