JavaScript is disabled in your browser. Please enable JavaScript to view this website.
AB272091

Anti-CTCF antibody [BLR041F] - BSA free

Be the first to review this product! Submit a review

|

(1 Publication)

Rabbit Recombinant Monoclonal CTCF antibody. Suitable for IHC-P, ICC, IP and reacts with Mouse, Human samples. Cited in 1 publication. Immunogen corresponding to Synthetic Peptide within Human CTCF aa 650-700.

View Alternative Names

Transcriptional repressor CTCF, 11-zinc finger protein, CCCTC-binding factor, CTCFL paralog, CTCF

4 Images
Immunocytochemistry - Anti-CTCF antibody [BLR041F] - BSA free (AB272091)
  • ICC

Unknown

Immunocytochemistry - Anti-CTCF antibody [BLR041F] - BSA free (AB272091)

Formalin-fixed, paraffin-embedded MCF7 (human breast adenocarcinoma cell line) cells labeling CTCF using ab243897 at 1/100 dilution in ICC analysis. A HRP-conjugated goat-anti rabbit IgG was used as the secondary. DAB staining.

This data was developed using the same antibody clone in a different buffer formulation containing Borate buffered saline, BSA, glycerol and sodium azide (ab243897).

Immunohistochemistry (Formalin/PFA-fixed paraffin-embedded sections) - Anti-CTCF antibody [BLR041F] - BSA free (AB272091)
  • IHC-P

Unknown

Immunohistochemistry (Formalin/PFA-fixed paraffin-embedded sections) - Anti-CTCF antibody [BLR041F] - BSA free (AB272091)

Formalin-fixed, paraffin-embedded human lung carcinoma tissue stained for CTCF using ab243897 at 1/100 dilution in immunohistochemical analysis. A HRP-conjugated goat anti-rabbit antibody was used as the secondary. DAB staining.

This data was developed using the same antibody clone in a different buffer formulation containing Borate buffered saline, BSA, glycerol and sodium azide (ab243897).

Immunoprecipitation - Anti-CTCF antibody [BLR041F] - BSA free (AB272091)
  • IP

Unknown

Immunoprecipitation - Anti-CTCF antibody [BLR041F] - BSA free (AB272091)

CTCF was immunoprecipitated from 1.0 mg HEK-293T (human epithelial cell line from embryonic kidney transformed with large T antigen) whole cell lysate with ab243897 at 20 μl per reaction Western blot was performed on the immunoprecipitate using ab243897 at 1/1000 dilution.

Lane 1 : ab243897 IP in HEK-293T whole cell lysate.

Lane 2 : Control IgG in HEK-293T whole cell lysate.

Detection : Chemiluminescence with an exposure time of 30 seconds.

This data was developed using the same antibody clone in a different buffer formulation containing Borate buffered saline, BSA, glycerol and sodium azide (ab243897).

All lanes:

Immunoprecipitation - Anti-CTCF antibody [BLR041F] (<a href='/en-us/products/primary-antibodies/ctcf-antibody-blr041f-ab243897'>ab243897</a>)

Predicted band size: 83 kDa

false

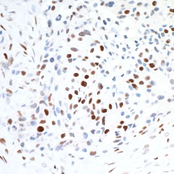
Immunohistochemistry (Formalin/PFA-fixed paraffin-embedded sections) - Anti-CTCF antibody [BLR041F] - BSA free (AB272091)
  • IHC-P

Unknown

Immunohistochemistry (Formalin/PFA-fixed paraffin-embedded sections) - Anti-CTCF antibody [BLR041F] - BSA free (AB272091)

Formalin-fixed, paraffin-embedded mouse renal cell carcinoma tissue stained for CTCF using ab243897 at 1/100 dilution in immunohistochemical analysis. A HRP-conjugated goat anti-rabbit antibody was used as the secondary. DAB staining.

This data was developed using the same antibody clone in a different buffer formulation containing Borate buffered saline, BSA, glycerol and sodium azide (ab243897).

Key facts

Host species

Rabbit

Clonality

Monoclonal

Clone number

BLR041F

Isotype

IgG

Carrier free

No

Reacts with

Mouse, Human

Applications

IHC-P, ICC, IP

applications

Immunogen

Synthetic Peptide within Human CTCF aa 650-700. The exact immunogen used to generate this antibody is proprietary information.

P49711

Reactivity data

{ "title": "Reactivity Data", "filters": { "stats": ["", "Species", "Dilution Info", "Notes"], "tabs": { "all-applications": {"fullname" : "All Applications", "shortname": "All Applications"}, "IHCP" : {"fullname" : "Immunohistochemistry (Formalin/PFA-fixed paraffin-embedded sections)", "shortname":"IHC-P"}, "ICC" : {"fullname" : "Immunocytochemistry", "shortname":"ICC"}, "IP" : {"fullname" : "Immunoprecipitation", "shortname":"IP"} }, "product-promise": { "all": "all", "testedAndGuaranteed": "tested", "guaranteed": "expected", "predicted": "predicted", "notRecommended": "not-recommended" } }, "values": { "Human": { "IHCP-species-checked": "testedAndGuaranteed", "IHCP-species-dilution-info": "", "IHCP-species-notes": "<p></p>", "ICC-species-checked": "testedAndGuaranteed", "ICC-species-dilution-info": "", "ICC-species-notes": "<p></p>", "IP-species-checked": "testedAndGuaranteed", "IP-species-dilution-info": "", "IP-species-notes": "<p></p>" }, "Mouse": { "IHCP-species-checked": "testedAndGuaranteed", "IHCP-species-dilution-info": "", "IHCP-species-notes": "<p></p>", "ICC-species-checked": "guaranteed", "ICC-species-dilution-info": "", "ICC-species-notes": "", "IP-species-checked": "guaranteed", "IP-species-dilution-info": "", "IP-species-notes": "" } } }

Product details

ab272091 is the BSA-free version of ab243897.

REACH authorisation
Abcam has not and does not intend to apply for the REACH Authorisation of customers' uses of products that contain European Authorisation list (Annex XIV) substances.
It is the responsibility of our customers to check the necessity of application of REACH Authorisation, and any other relevant authorisations, for their intended uses.

This product is sold under License from Bethyl Laboratories, Inc.

Properties and storage information

Form
Liquid
Purification notes
Recombinant antibody was purified from cell culture supernatant.
Storage buffer
pH: 8.2 Preservative: 0.09% Sodium azide Constituents: 98% Borate buffered saline
Shipped at conditions
Blue Ice
Appropriate short-term storage duration
1-2 weeks
Appropriate short-term storage conditions
+4°C
Appropriate long-term storage conditions
-20°C
Aliquoting information
Upon delivery aliquot
Storage information
Avoid freeze / thaw cycle

Supplementary information

This supplementary information is collated from multiple sources and compiled automatically.

CTCF also known as the CCCTC-binding factor is a highly conserved zinc finger protein involved in transcriptional regulation and chromatin organization. It has a molecular weight of approximately 82 kDa. The CTCF protein plays a critical mechanical role in controlling the three-dimensional architecture of the genome by binding to specific DNA sequences and forming chromatin loops. It is widely expressed in various cell types across tissues where it acts as a transcriptional repressor and activator depending on the context. CTCF immunofluorescence techniques enable the visualization of its dynamic distribution and expression within the nucleus.
Biological function summary

The multipurpose CTCF protein acts in coordinating the spatial organization of the genome. It functions as an insulator by regulating the boundaries between different chromosomal domains and controlling gene expression. CTCF operates within various complexes interacting with cohesin a vital protein complex that facilitates loop formation and influences genome architecture. This interaction helps in maintaining the integrity of the genome structure and proper chromatin insulation which are essential for normal gene function.

Pathways

CTCF plays significant roles in epigenetic regulatory networks and transcriptional pathways. In the epigenetic landscape it influences gene expression through modulation of DNA methylation states at CpG islands interacting with proteins like DNA methyltransferases. In transcriptional pathways CTCF interacts with nuclear factor Y (NF-Y) which contributes to cell cycle regulation by modulating the expression of cell cycle genes. These pathways reflect CTCF's versatility in gene regulation and its influence on maintaining cellular homeostasis.

CTCF disruptions have been implicated in cancer and intellectual disabilities. Mutations or altered expression of CTCF can lead to tumorigenesis as CTCF acts as a tumor suppressor by controlling oncogene and tumor suppressor gene expression. In intellectual disabilities CTCF mutations affect brain development by disrupting the expression of neuronal genes. The protein's interaction with cohesin has links to disorders such as Cornelia de Lange syndrome where cohesin complex dysfunction parallels the phenotypes seen with CTCF aberrations.

Product protocols

For this product, it's our understanding that no specific protocols are required. You can visit:

Target data

Chromatin binding factor that binds to DNA sequence specific sites and regulates the 3D structure of chromatin (PubMed : 18347100, PubMed : 18654629, PubMed : 19322193). Binds together strands of DNA, thus forming chromatin loops, and anchors DNA to cellular structures, such as the nuclear lamina (PubMed : 18347100, PubMed : 18654629, PubMed : 19322193). Defines the boundaries between active and heterochromatic DNA via binding to chromatin insulators, thereby preventing interaction between promoter and nearby enhancers and silencers (PubMed : 18347100, PubMed : 18654629, PubMed : 19322193). Plays a critical role in the epigenetic regulation (PubMed : 16949368). Participates in the allele-specific gene expression at the imprinted IGF2/H19 gene locus (PubMed : 16107875, PubMed : 16815976, PubMed : 17827499). On the maternal allele, binding within the H19 imprinting control region (ICR) mediates maternally inherited higher-order chromatin conformation to restrict enhancer access to IGF2 (By similarity). Mediates interchromosomal association between IGF2/H19 and WSB1/NF1 and may direct distant DNA segments to a common transcription factory (By similarity). Regulates asynchronous replication of IGF2/H19 (By similarity). Plays a critical role in gene silencing over considerable distances in the genome (By similarity). Preferentially interacts with unmethylated DNA, preventing spreading of CpG methylation and maintaining methylation-free zones (PubMed : 18413740). Inversely, binding to target sites is prevented by CpG methylation (PubMed : 18413740). Plays an important role in chromatin remodeling (PubMed : 18413740). Can dimerize when it is bound to different DNA sequences, mediating long-range chromatin looping (PubMed : 12191639). Causes local loss of histone acetylation and gain of histone methylation in the beta-globin locus, without affecting transcription (PubMed : 12191639). When bound to chromatin, it provides an anchor point for nucleosomes positioning (PubMed : 12191639). Seems to be essential for homologous X-chromosome pairing (By similarity). May participate with Tsix in establishing a regulatable epigenetic switch for X chromosome inactivation (PubMed : 11743158). May play a role in preventing the propagation of stable methylation at the escape genes from X-inactivation (PubMed : 11743158). Involved in sister chromatid cohesion (PubMed : 12191639). Associates with both centromeres and chromosomal arms during metaphase and required for cohesin localization to CTCF sites (PubMed : 18550811). Plays a role in the recruitment of CENPE to the pericentromeric/centromeric regions of the chromosome during mitosis (PubMed : 26321640). Acts as a transcriptional repressor binding to promoters of vertebrate MYC gene and BAG1 gene (PubMed : 18413740, PubMed : 8649389, PubMed : 9591631). Also binds to the PLK and PIM1 promoters (PubMed : 12191639). Acts as a transcriptional activator of APP (PubMed : 9407128). Regulates APOA1/C3/A4/A5 gene cluster and controls MHC class II gene expression (PubMed : 18347100, PubMed : 19322193). Plays an essential role in oocyte and preimplantation embryo development by activating or repressing transcription (By similarity). Seems to act as tumor suppressor (PubMed : 12191639).
See full target information CTCF

Publications (1)

Recent publications for all applications. Explore the full list and refine your search

Cell reports. Medicine 5:101851 PubMed39657667

2024

Multi-modal analysis reveals tumor and immune features distinguishing EBV-positive and EBV-negative post-transplant lymphoproliferative disorders.

Applications

Unspecified application

Species

Unspecified reactive species

Jiaying Toh,Andrea J Reitsma,Tetsuya Tajima,Sheren F Younes,Chimere Ezeiruaku,Kayla C Jenkins,Josselyn K Peña,Shuchun Zhao,Xi Wang,Esmond Y Z Lee,Marla C Glass,Laurynas Kalesinskas,Ananthakrishnan Ganesan,Irene Liang,Joy A Pai,James T Harden,Francesco Vallania,Edward A Vizcarra,Govind Bhagat,Fiona E Craig,Steven H Swerdlow,Julie Morscio,Daan Dierickx,Thomas Tousseyn,Ansuman T Satpathy,Sheri M Krams,Yasodha Natkunam,Purvesh Khatri,Olivia M Martinez
View all publications

Product promise

We are committed to supporting your work with high-quality reagents, and we're here for you every step of the way. In the unlikely event that one of our products does not perform as expected, you're protected by our Product Promise.
For full details, please see our Terms & Conditions

Please note: All products are 'FOR RESEARCH USE ONLY. NOT FOR USE IN DIAGNOSTIC OR THERAPEUTIC PROCEDURES'.

For licensing inquiries, please contact partnerships@abcam.com