JavaScript is disabled in your browser. Please enable JavaScript to view this website.
AB188408

Anti-CTCF antibody [EPR18253] - ChIP Grade

Be the first to review this product! Submit a review

|

(21 Publications)

Rabbit Recombinant Monoclonal CTCF antibody. Suitable for CUT&Tag, ChIC/CUT&RUN-seq, ChIP, WB, ICC/IF, ChIP-seq, IHC-P and reacts with Mouse, Human, Rat samples. Cited in 21 publications.

View Alternative Names

Transcriptional repressor CTCF, 11-zinc finger protein, CCCTC-binding factor, CTCFL paralog, CTCF

19 Images
Immunohistochemistry (Formalin/PFA-fixed paraffin-embedded sections) - Anti-CTCF antibody [EPR18253] - ChIP Grade (AB188408)
  • IHC-P

Supplier Data

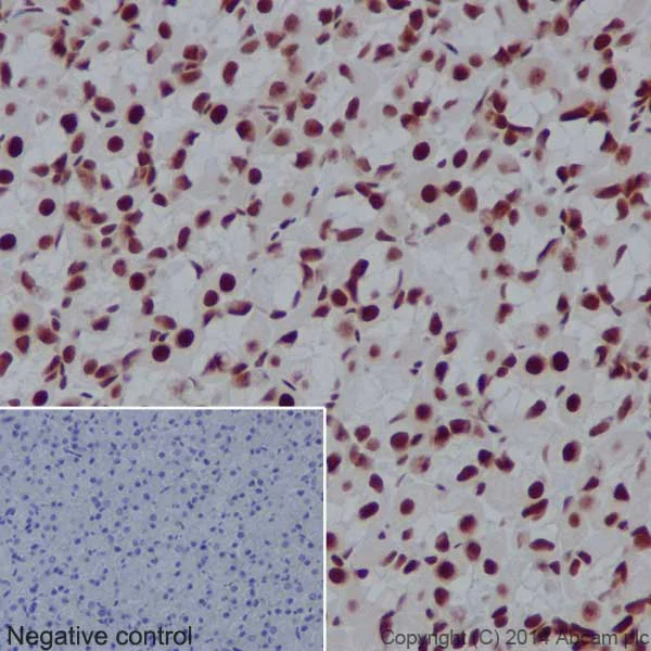
Immunohistochemistry (Formalin/PFA-fixed paraffin-embedded sections) - Anti-CTCF antibody [EPR18253] - ChIP Grade (AB188408)

Immunohistochemical analysis of paraffin-embedded human endometrium tissue labeling CTCF with ab188408 at 1/4000 dilution, followed by Goat Anti-Rabbit IgG H&L (HRP) (ab97051) at 1/500 dilution. Nuclear staining on human endometrium is observed. Counter stained with Hematoxylin.

Negative control : Used PBS instead of primary antibody, secondary antibody is Goat Anti-Rabbit IgG H&L (HRP) (ab97051) at 1/500 dilution.

Perform heat mediated antigen retrieval with Tris/EDTA buffer pH 9.0 before commencing with IHC staining protocol.

Immunocytochemistry/ Immunofluorescence - Anti-CTCF antibody [EPR18253] - ChIP Grade (AB188408)
  • ICC/IF

Supplier Data

Immunocytochemistry/ Immunofluorescence - Anti-CTCF antibody [EPR18253] - ChIP Grade (AB188408)

Immunofluorescent analysis of 4% paraformaldehyde-fixed, 0.1% Triton X-100 permeabilized HeLa (Human epithelial cells from cervix adenocarcinoma) cells labeling CTCF with ab188408 at 1/2000 dilution, followed by Goat Anti-Rabbit IgG (Alexa Fluor® 488) (ab150077) secondary antibody at 1/1000 dilution (green). Confocal image showing nuclear staining on HeLa cell line. The nuclear counter stain is DAPI (blue).

Tubulin is detected with Anti-alpha Tubulin mouse MAb (ab7291) at 1/1000 dilution, followed by Goat Anti-Mouse IgG H&L (Alexa Fluor® 594) (ab150120) secondary antibody at 1/1000 dilution (red).
The negative controls are as follows :
-ve control 1 : ab188408 at 1/2000 dilution followed by Goat Anti-Mouse IgG H&L (Alexa Fluor® 594) (ab150120) secondary antibody at 1/1000 dilution.
-ve control 2 : ab7291 Anti-alpha Tubulin mouse MAb (ab7291) at 1/1000 dilution followed by Goat Anti-Rabbit IgG H&L (Alexa Fluor® 488) (ab150077) secondary antibody at 1/1000 dilution.

ChIP-sequencing - Anti-CTCF antibody [EPR18253] - ChIP Grade (AB188408)
  • ChIP-seq

Lab

ChIP-sequencing - Anti-CTCF antibody [EPR18253] - ChIP Grade (AB188408)

Chromatin was prepared from HeLa cells. Cells were fixed with 1% formaldehyde for 10 minutes. ChIP was performed with 30 μg of chromatin and 4 μg of ab188408. ChIP DNA was sequenced on the Illumina NovaSeq 6000 to a depth of 30 million reads. ChIP-Seq validation performed with ChIP-Kit Transcription Factors ChIP-Seq (ab270813). Additional screenshots of mapped reads can be downloaded here.

ChIP-sequencing - Anti-CTCF antibody [EPR18253] - ChIP Grade (AB188408)
  • ChIP-seq

Supplier Data

ChIP-sequencing - Anti-CTCF antibody [EPR18253] - ChIP Grade (AB188408)

Chromatin was prepared from HeLa cells. Cells were fixed with 1% formaldehyde for 10 minutes. ChIP was performed with 30 μg of chromatin and 4 μg of Anti-CTCF antibody [EPR18253] - ChIP Grade (ab188408). ChIP DNA was sequenced on the Illumina NextSeq 500 to a depth of 30 million reads. ChIP-Seq validation performed by Active Motif, Carlsbad, CA. Additional screenshots of mapped reads can be downloaded here.

ChIP - Anti-CTCF antibody [EPR18253] - ChIP Grade (AB188408)
  • ChIP

Unknown

ChIP - Anti-CTCF antibody [EPR18253] - ChIP Grade (AB188408)

Chromatin was prepared from HeLa (Human epithelial cells from cervix adenocarcinoma) cells according to the Abcam X-ChIP protocol. Cells were fixed with formaldehyde for 10 minutes. The ChIP was performed with 25μg of chromatin, 2μg of ab188408 (blue), and 20μl of Anti Rabbit IgG sepharose beads. 2μg of rabbit normal IgG was added to the beads control (yellow). The immunoprecipitated DNA was quantified by real time PCR (Sybr green approach).

Immunocytochemistry/ Immunofluorescence - Anti-CTCF antibody [EPR18253] - ChIP Grade (AB188408)
  • ICC/IF

Supplier Data

Immunocytochemistry/ Immunofluorescence - Anti-CTCF antibody [EPR18253] - ChIP Grade (AB188408)

Immunofluorescent analysis of 4% paraformaldehyde-fixed, 0.1% Triton X-100 permeabilized NIH/3T3 (Mouse embyronic fibroblast cells) cells labeling CTCF with ab188408 at 1/2000 dilution, followed by Goat Anti-Rabbit IgG H&L (Alexa Fluor® 488) (ab150077) secondary antibody at 1/1000 dilution (green). Confocal image showing nuclear staining on NIH/3T3 cell line. The nuclear counter stain is DAPI (blue).

Tubulin is detected with Anti-alpha Tubulin mouse MAb (ab7291) at 1/1000 dilution, followed by Goat Anti-Mouse IgG H&L (Alexa Fluor® 594) (ab150120) seconday antibody at 1/1000 dilution (red).
The negative controls are as follows :
-ve control 1 : ab188408 at 1/2000 dilution, followed by Goat Anti-Mouse IgG H&L (Alexa Fluor® 594) (ab150120) secondary antibody at 1/1000 dilution.
-ve control 2 : Anti-alpha Tubulin mouse MAb (ab7291) at 1/1000 dilution, followed by Goat Anti-Rabbit IgG H&L (Alexa Fluor® 488) (ab150077) secondary antibody at 1/1000 dilution.

Immunohistochemistry (Formalin/PFA-fixed paraffin-embedded sections) - Anti-CTCF antibody [EPR18253] - ChIP Grade (AB188408)
  • IHC-P

Supplier Data

Immunohistochemistry (Formalin/PFA-fixed paraffin-embedded sections) - Anti-CTCF antibody [EPR18253] - ChIP Grade (AB188408)

Immunohistochemical analysis of paraffin-embedded rat stomach tissue labeling CTCF with ab188408 at 1/4000 dilution, followed by Goat Anti-Rabbit IgG H&L (HRP) (ab97051) at 1/500 dilution. Nuclear staining on the epithelium cells of rat stomach is observed. Counter stained with Hematoxylin.

Negative control : Used PBS instead of primary antibody, secondary antibody is Goat Anti-Rabbit IgG H&L (HRP) (ab97051) at 1/500 dilution.

Perform heat mediated antigen retrieval with Tris/EDTA buffer pH 9.0 before commencing with IHC staining protocol.

Immunohistochemistry (Formalin/PFA-fixed paraffin-embedded sections) - Anti-CTCF antibody [EPR18253] - ChIP Grade (AB188408)
  • IHC-P

Supplier Data

Immunohistochemistry (Formalin/PFA-fixed paraffin-embedded sections) - Anti-CTCF antibody [EPR18253] - ChIP Grade (AB188408)

Immunohistochemical analysis of paraffin-embedded mouse liver tissue labeling CTCF with ab188408 at 1/4000 dilution, followed by Goat Anti-Rabbit IgG H&L (HRP) (ab97051) at 1/500 dilution. Nuclear staining on hepatocytes of mouse liver is observed. Counter stained with Hematoxylin.

Negative control : Used PBS instead of primary antibody, secondary antibody is Goat Anti-Rabbit IgG H&L (HRP) (ab97051) at 1/500 dilution.

Perform heat mediated antigen retrieval with Tris/EDTA buffer pH 9.0 before commencing with IHC staining protocol.

ChIP-sequencing - Anti-CTCF antibody [EPR18253] - ChIP Grade (AB188408)
  • ChIP-seq

Supplier Data

ChIP-sequencing - Anti-CTCF antibody [EPR18253] - ChIP Grade (AB188408)

Chromatin was prepared from Mouse Embryonic Fibroblast cells. Cells were fixed with 1% formaldehyde for 10 minutes. ChIP was performed with 10^7 cells and 8 µg of [Anti-CTCF antibody]( ab188408). ChIP DNA was sequenced on the Illumina NovaSeq 6000 to a depth of 30 million reads. The Input control is also shown. Additional screenshots of mapped reads can be found in the Protocol booklet in the Product Protocol section.

Western blot - Anti-CTCF antibody [EPR18253] - ChIP Grade (AB188408)
  • WB

Supplier Data

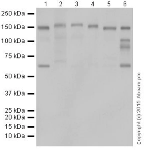
Western blot - Anti-CTCF antibody [EPR18253] - ChIP Grade (AB188408)

Blocking/Dilution buffer : 5% NFDM/TBST.

Observed MW : 140, 130, 97, 80, 73, 70, 55 kDa.

The multiples bands observed in the WB have been reported in literature (PMID : 12878173, PMID : 8246978).

All lanes:

Western blot - Anti-CTCF antibody [EPR18253] - ChIP Grade (ab188408) at 1/1000 dilution

Lane 1:

Human fetal brain lysate at 10 µg

Lane 2:

Human fetal heart lysate at 10 µg

Lane 3:

Human fetal kidney lysate at 10 µg

Lane 4:

Human fetal spleen lysate at 10 µg

Secondary

All lanes:

Anti-Rabbit IgG (HRP), specific to the non-reduced form of IgG at 1/100000 dilution

Predicted band size: 83 kDa

false

Exposure time: 15s

Western blot - Anti-CTCF antibody [EPR18253] - ChIP Grade (AB188408)
  • WB

Supplier Data

Western blot - Anti-CTCF antibody [EPR18253] - ChIP Grade (AB188408)

Blocking/Dilution buffer : 5% NFDM/TBST.

Observed MW : 140, 97, 80, 73, 70, 55 kDa.

The multiples bands observed in the WB have been reported in literature (PMID : 12878173, PMID : 8246978).

All lanes:

Western blot - Anti-CTCF antibody [EPR18253] - ChIP Grade (ab188408) at 1/5000 dilution

Lane 1:

HeLa (Human epithelial cells from cervix adenocarcinoma) whole cell lysate at 20 µg

Lane 2:

LLC (Mouse lung carcinoma) whole cell lysate at 20 µg

Lane 3:

RAW 264.7 (Mouse macrophage cells transformed with Abelson murine leukemia virus) whole cell lysate at 20 µg

Lane 4:

HEK-293 (Human epithelial cells from embryonic kidney) whole cell lysate at 20 µg

Lane 5:

HepG2 (Human liver hepatocellular carcinoma) whole cell lysate at 20 µg

Lane 6:

MCF7 (Human breast adenocarcinoma cell line) whole cell lysate at 20 µg

Secondary

All lanes:

Western blot - Goat Anti-Rabbit IgG H&L (HRP) (<a href='/en-us/products/secondary-antibodies/goat-rabbit-igg-h-l-hrp-ab97051'>ab97051</a>) at 1/100000 dilution

Predicted band size: 83 kDa

false

Exposure time: 1s

ChIC/CUT&RUN sequencing - Anti-CTCF antibody [EPR18253] - ChIP Grade (AB188408)
  • ChIC/CUT&RUN-seq

Supplier Data

ChIC/CUT&RUN sequencing - Anti-CTCF antibody [EPR18253] - ChIP Grade (AB188408)

CUT&RUN was performed using the ChIC/CUT&RUN pAG-MNAse ab285373, 105 HeLa cells and 5μg of ab188408 [EPR18253]. The resulting DNA was sequenced on the Illumina NovaSeq 6000 to a depth of 10 million reads. The ChIP data was conducted on chromatin prepared from HeLa cells. Cells were fixed with 1% formaldehyde for 10 minutes. ChIP was performed with 107 HeLa cells and 4 μg of ab188408 [EPR18253]. ChIP DNA was sequenced on the Illumina NovaSeq 6000 to a depth of 30 million reads. Additional screenshots of mapped reads can be downloaded here.

ChIC/CUT&RUN sequencing - Anti-CTCF antibody [EPR18253] - ChIP Grade (AB188408)
  • ChIC/CUT&RUN-seq

Supplier Data

ChIC/CUT&RUN sequencing - Anti-CTCF antibody [EPR18253] - ChIP Grade (AB188408)

ChIC/CUT&RUN was performed using a pAG-MNAse at a final concentration of 700 ng/mL, 2 x 10^5 HeLa (Human cervix adenocarcinoma epithelial cell line) cells and 5 µg of ab188408 [EPR18253]. The resulting DNA was sequenced on the Illumina NovaSeq 6000 to a depth of 10 million reads. The negative IgG control ab172730 is also shown. The ChIP data was conducted on chromatin prepared from HeLa cells. Cells were fixed with 1% formaldehyde for 10 minutes. ChIP was performed with 10^7 HeLa cells and 8 µg of ab188408. ChIP DNA was sequenced on the Illumina NovaSeq 6000 to a depth of 30 million reads. Additional screenshots of mapped reads can be found in the Protocol booklet in the Product Protocol section. The University of Geneva owns patents relevant to ChIC (Chromatin Immuno-Cleavage) methods.

Western blot - Anti-CTCF antibody [EPR18253] - ChIP Grade (AB188408)
  • WB

Supplier Data

Western blot - Anti-CTCF antibody [EPR18253] - ChIP Grade (AB188408)

Blocking/Dilution buffer : 5% NFDM/TBST.

Observed MW : 140, 130, 97, 80, 73, 70, 55 kDa.

The multiples bands observed in the WB have been reported in literature (PMID : 12878173, PMID : 8246978).

All lanes:

Western blot - Anti-CTCF antibody [EPR18253] - ChIP Grade (ab188408) at 1/1000 dilution

Lane 1:

Mouse brain lysate at 10 µg

Lane 2:

Mouse heart lysate at 10 µg

Lane 3:

Mouse kidney lysate at 10 µg

Lane 4:

Mouse spleen lysate at 10 µg

Secondary

All lanes:

Western blot - Goat Anti-Rabbit IgG H&L (HRP) (<a href='/en-us/products/secondary-antibodies/goat-rabbit-igg-h-l-hrp-ab97051'>ab97051</a>) at 1/100000 dilution

Predicted band size: 83 kDa

false

Exposure time: 15s

Western blot - Anti-CTCF antibody [EPR18253] - ChIP Grade (AB188408)
  • WB

Supplier Data

Western blot - Anti-CTCF antibody [EPR18253] - ChIP Grade (AB188408)

Blocking/Dilution buffer : 5% NFDM/TBST.

Observed MW : 140, 130, 97, 80, 73, 70, 55 kDa.

The multiples bands observed in the WB have been reported in literature (PMID : 12878173, PMID : 8246978).

All lanes:

Western blot - Anti-CTCF antibody [EPR18253] - ChIP Grade (ab188408) at 1/1000 dilution

Lane 1:

C6 (Rat glial tumor cells) whole cell lysate at 10 µg

Lane 2:

PC-12 (Rat adrenal gland pheochromocytoma) whole cell lysate at 10 µg

Lane 3:

NIH/3T3 (Mouse embryonic fibroblast cells) whole cell lysate at 10 µg

Secondary

All lanes:

Western blot - Goat Anti-Rabbit IgG H&L (HRP) (<a href='/en-us/products/secondary-antibodies/goat-rabbit-igg-h-l-hrp-ab97051'>ab97051</a>) at 1/100000 dilution

Predicted band size: 83 kDa

false

Exposure time: 1s

Western blot - Anti-CTCF antibody [EPR18253] - ChIP Grade (AB188408)
  • WB

Unknown

Western blot - Anti-CTCF antibody [EPR18253] - ChIP Grade (AB188408)

Blocking/Dilution buffer : 5% NFDM/TBST.

Observed MW 140, 130, 97, 80, 73, 70, 55 kDa.

The multiples bands observed in the WB have been reported in literature (PMID : 12878173, PMID : 8246978).

All lanes:

Western blot - Anti-CTCF antibody [EPR18253] - ChIP Grade (ab188408) at 1/1000 dilution

Lane 1:

Rat brain lysate at 10 µg

Lane 2:

Rat heart lysate at 10 µg

Lane 3:

Rat kidney lysate at 10 µg

Lane 4:

Rat spleen lysate at 10 µg

Secondary

All lanes:

Western blot - Goat Anti-Rabbit IgG H&L (HRP) (<a href='/en-us/products/secondary-antibodies/goat-rabbit-igg-h-l-hrp-ab97051'>ab97051</a>) at 1/100000 dilution

Predicted band size: 83 kDa

false

Exposure time: 2s

ChIC/CUT&RUN sequencing - Anti-CTCF antibody [EPR18253] - ChIP Grade (AB188408)
  • ChIC/CUT&RUN-seq

Supplier Data

ChIC/CUT&RUN sequencing - Anti-CTCF antibody [EPR18253] - ChIP Grade (AB188408)

ChIC/CUT&RUN was performed using a pAG-MNAse at a final concentration of 700 ng/mL, 2.5 x 10^5 F9 (Mouse embryonic testicular cancer cell line) cells and 5µg of ab188408 [EPR18253]. The resulting DNA was sequenced on the Illumina NovaSeq 6000 to a depth of 10 million reads. The negative IgG control ab172730 is also shown. Additional screenshots of mapped reads can be found in the Protocol booklet in the Product Protocol section. The University of Geneva owns patents relevant to ChIC (Chromatin Immuno-Cleavage) methods.

CUT&Tag sequencing - Anti-CTCF antibody [EPR18253] - ChIP Grade (AB188408)
  • CUT&Tag-seq

Supplier Data

CUT&Tag sequencing - Anti-CTCF antibody [EPR18253] - ChIP Grade (AB188408)

CUT&Tag-seq was performed using 200,000 Oli-neu (Oligodendrocyte progenitor) cells. Cells were permeabilized with 0.05% Digitonin and 0.01% NP-40 for 3 minutes. A 1 : 100 dilution of Recombinant Anti-CTCF antibody [EPR18253] - ChIP Grade (ab188408) was used, along with a Guinea pig anti-rabbit Secondary. DNA was seg using Illumina NovaSeq S Prime to a depth of 24 million reads.

This image is courtesy of Dr Marek Bartosovic, Gonçalo Castelo-Branco Group, Karolinska Institutet.

This experiment and image is courtesy of Dr Marek Bartosovic, Gonçalo Castelo-Branco Group, Karolinska Institutet.

CUT&Tag - Anti-CTCF antibody [EPR18253] - ChIP Grade (AB188408)
  • CUT&Tag

Supplier Data

CUT&Tag - Anti-CTCF antibody [EPR18253] - ChIP Grade (AB188408)

CUT&Tag-seq was performed using 200,000 Oli-neu (Oligodendrocyte progenitor) cells. Cells were permeabilized with 0.05% Digitonin and 0.01% NP-40 for 3 minutes. A 1 : 100 dilution of Recombinant Anti-CTCF antibody [EPR18253] - ChIP Grade (ab188408) was used, along with a Guinea pig anti-rabbit Secondary. DNA was seg using Illumina NovaSeq S Prime to a depth of 24 million reads. This image is courtesy of Dr Marek Bartosovic, Gonçalo Castelo-Branco Group, Karolinska Institutet. The University of Geneva owns patents relevant to ChIC (Chromatin Immuno-Cleavage) methods.

This experiment and image is courtesy of Dr Marek Bartosovic, Gonçalo Castelo-Branco Group, Karolinska Institutet.

  • Carrier free

    Anti-CTCF antibody [EPR18253] - ChIP Grade - BSA and Azide free

  • 578 PE

    PE Anti-CTCF antibody [EPR18253] - ChIP Grade

  • 617 Alexa Fluor® 594

    Alexa Fluor® 594 Anti-CTCF antibody [EPR18253] - ChIP Grade

  • 519 Alexa Fluor® 488

    Alexa Fluor® 488 Anti-CTCF antibody [EPR18253] - ChIP Grade

  • 565 Alexa Fluor® 555

    Alexa Fluor® 555 Anti-CTCF antibody [EPR18253] - ChIP Grade

  • 665 Alexa Fluor® 647

    Alexa Fluor® 647 Anti-CTCF antibody [EPR18253] - ChIP Grade

  • 660 APC

    APC Anti-CTCF antibody [EPR18253] - ChIP Grade

  • 775 Alexa Fluor® 750

    Alexa Fluor® 750 Anti-CTCF antibody [EPR18253] - ChIP Grade

Key facts

Host species

Rabbit

Clonality

Monoclonal

Clone number

EPR18253

Isotype

IgG

Carrier free

No

Reacts with

Mouse, Rat, Human

Applications

IHC-P, WB, ICC/IF, ChIP, ChIC/CUT&RUN-seq, CUT&Tag, ChIP-seq

applications

Immunogen

The exact immunogen used to generate this antibody is proprietary information.

Reactivity data

{ "title": "Reactivity Data", "filters": { "stats": ["", "Species", "Dilution Info", "Notes"], "tabs": { "all-applications": {"fullname" : "All Applications", "shortname": "All Applications"}, "CUTTag" : {"fullname" : "CUT&Tag", "shortname":"CUT&Tag"}, "ChICCUTRUNseq" : {"fullname" : "ChIC/CUT&RUN sequencing", "shortname":"ChIC/CUT&RUN-seq"}, "ChIP" : {"fullname" : "ChIP", "shortname":"ChIP"}, "WB" : {"fullname" : "Western blot", "shortname":"WB"}, "ICCIF" : {"fullname" : "Immunocytochemistry/ Immunofluorescence", "shortname":"ICC/IF"}, "ChIPseq" : {"fullname" : "ChIP-sequencing", "shortname":"ChIP-seq"}, "IHCP" : {"fullname" : "Immunohistochemistry (Formalin/PFA-fixed paraffin-embedded sections)", "shortname":"IHC-P"} }, "product-promise": { "all": "all", "testedAndGuaranteed": "tested", "guaranteed": "expected", "predicted": "predicted", "notRecommended": "not-recommended" } }, "values": { "Human": { "CUTTag-species-checked": "guaranteed", "CUTTag-species-dilution-info": "", "CUTTag-species-notes": "", "ChICCUTRUNseq-species-checked": "testedAndGuaranteed", "ChICCUTRUNseq-species-dilution-info": "5 µg", "ChICCUTRUNseq-species-notes": "<p></p>", "ChIP-species-checked": "testedAndGuaranteed", "ChIP-species-dilution-info": "2 µg for 25 µg chromatin", "ChIP-species-notes": "<p></p>", "WB-species-checked": "testedAndGuaranteed", "WB-species-dilution-info": "1/5000", "WB-species-notes": "<p></p>", "ICCIF-species-checked": "testedAndGuaranteed", "ICCIF-species-dilution-info": "1/2000", "ICCIF-species-notes": "<p></p>", "ChIPseq-species-checked": "testedAndGuaranteed", "ChIPseq-species-dilution-info": "4 µg for 10^7 Cells", "ChIPseq-species-notes": "<p></p>", "IHCP-species-checked": "guaranteed", "IHCP-species-dilution-info": "", "IHCP-species-notes": "" }, "Mouse": { "CUTTag-species-checked": "testedAndGuaranteed", "CUTTag-species-dilution-info": "1/100", "CUTTag-species-notes": "<p></p>", "ChICCUTRUNseq-species-checked": "testedAndGuaranteed", "ChICCUTRUNseq-species-dilution-info": "5 µg", "ChICCUTRUNseq-species-notes": "<p></p>", "ChIP-species-checked": "guaranteed", "ChIP-species-dilution-info": "", "ChIP-species-notes": "", "WB-species-checked": "testedAndGuaranteed", "WB-species-dilution-info": "1/5000", "WB-species-notes": "<p></p>", "ICCIF-species-checked": "testedAndGuaranteed", "ICCIF-species-dilution-info": "1/2000", "ICCIF-species-notes": "<p></p>", "ChIPseq-species-checked": "testedAndGuaranteed", "ChIPseq-species-dilution-info": "8 µg for 10^7 Cells", "ChIPseq-species-notes": "<p></p>", "IHCP-species-checked": "testedAndGuaranteed", "IHCP-species-dilution-info": "1/4000", "IHCP-species-notes": "<p></p>" }, "Rat": { "CUTTag-species-checked": "guaranteed", "CUTTag-species-dilution-info": "", "CUTTag-species-notes": "", "ChICCUTRUNseq-species-checked": "guaranteed", "ChICCUTRUNseq-species-dilution-info": "", "ChICCUTRUNseq-species-notes": "", "ChIP-species-checked": "guaranteed", "ChIP-species-dilution-info": "", "ChIP-species-notes": "", "WB-species-checked": "testedAndGuaranteed", "WB-species-dilution-info": "1/5000", "WB-species-notes": "<p></p>", "ICCIF-species-checked": "guaranteed", "ICCIF-species-dilution-info": "", "ICCIF-species-notes": "", "ChIPseq-species-checked": "guaranteed", "ChIPseq-species-dilution-info": "", "ChIPseq-species-notes": "", "IHCP-species-checked": "testedAndGuaranteed", "IHCP-species-dilution-info": "1/4000", "IHCP-species-notes": "<p></p>" } } }

Product details

Patented technology
Our RabMAb® technology is a patented hybridoma-based technology for making rabbit monoclonal antibodies. For details on our patents, please refer to RabMAb® patents.

What are the advantages of a recombinant monoclonal antibody?
This product is a recombinant monoclonal antibody, which offers several advantages including:

  • - High batch-to-batch consistency and reproducibility
  • - Improved sensitivity and specificity
  • - Long-term security of supply
  • - Animal-free batch production

For more information, read more on recombinant antibodies.

Properties and storage information

Form
Liquid
Purification technique
Affinity purification Protein A
Storage buffer
pH: 7.2 - 7.4 Preservative: 0.01% Sodium azide Constituents: PBS, 40% Glycerol (glycerin, glycerine), 0.05% BSA
Shipped at conditions
Blue Ice
Appropriate short-term storage duration
1-2 weeks
Appropriate short-term storage conditions
+4°C
Appropriate long-term storage conditions
-20°C
Aliquoting information
Upon delivery aliquot
Storage information
Avoid freeze / thaw cycle

Supplementary information

This supplementary information is collated from multiple sources and compiled automatically.

CTCF also known as the CCCTC-binding factor is a highly conserved zinc finger protein involved in transcriptional regulation and chromatin organization. It has a molecular weight of approximately 82 kDa. The CTCF protein plays a critical mechanical role in controlling the three-dimensional architecture of the genome by binding to specific DNA sequences and forming chromatin loops. It is widely expressed in various cell types across tissues where it acts as a transcriptional repressor and activator depending on the context. CTCF immunofluorescence techniques enable the visualization of its dynamic distribution and expression within the nucleus.
Biological function summary

The multipurpose CTCF protein acts in coordinating the spatial organization of the genome. It functions as an insulator by regulating the boundaries between different chromosomal domains and controlling gene expression. CTCF operates within various complexes interacting with cohesin a vital protein complex that facilitates loop formation and influences genome architecture. This interaction helps in maintaining the integrity of the genome structure and proper chromatin insulation which are essential for normal gene function.

Pathways

CTCF plays significant roles in epigenetic regulatory networks and transcriptional pathways. In the epigenetic landscape it influences gene expression through modulation of DNA methylation states at CpG islands interacting with proteins like DNA methyltransferases. In transcriptional pathways CTCF interacts with nuclear factor Y (NF-Y) which contributes to cell cycle regulation by modulating the expression of cell cycle genes. These pathways reflect CTCF's versatility in gene regulation and its influence on maintaining cellular homeostasis.

CTCF disruptions have been implicated in cancer and intellectual disabilities. Mutations or altered expression of CTCF can lead to tumorigenesis as CTCF acts as a tumor suppressor by controlling oncogene and tumor suppressor gene expression. In intellectual disabilities CTCF mutations affect brain development by disrupting the expression of neuronal genes. The protein's interaction with cohesin has links to disorders such as Cornelia de Lange syndrome where cohesin complex dysfunction parallels the phenotypes seen with CTCF aberrations.

Product protocols

For this product, it's our understanding that no specific protocols are required. You can visit:

Target data

Chromatin binding factor that binds to DNA sequence specific sites and regulates the 3D structure of chromatin (PubMed : 18347100, PubMed : 18654629, PubMed : 19322193). Binds together strands of DNA, thus forming chromatin loops, and anchors DNA to cellular structures, such as the nuclear lamina (PubMed : 18347100, PubMed : 18654629, PubMed : 19322193). Defines the boundaries between active and heterochromatic DNA via binding to chromatin insulators, thereby preventing interaction between promoter and nearby enhancers and silencers (PubMed : 18347100, PubMed : 18654629, PubMed : 19322193). Plays a critical role in the epigenetic regulation (PubMed : 16949368). Participates in the allele-specific gene expression at the imprinted IGF2/H19 gene locus (PubMed : 16107875, PubMed : 16815976, PubMed : 17827499). On the maternal allele, binding within the H19 imprinting control region (ICR) mediates maternally inherited higher-order chromatin conformation to restrict enhancer access to IGF2 (By similarity). Mediates interchromosomal association between IGF2/H19 and WSB1/NF1 and may direct distant DNA segments to a common transcription factory (By similarity). Regulates asynchronous replication of IGF2/H19 (By similarity). Plays a critical role in gene silencing over considerable distances in the genome (By similarity). Preferentially interacts with unmethylated DNA, preventing spreading of CpG methylation and maintaining methylation-free zones (PubMed : 18413740). Inversely, binding to target sites is prevented by CpG methylation (PubMed : 18413740). Plays an important role in chromatin remodeling (PubMed : 18413740). Can dimerize when it is bound to different DNA sequences, mediating long-range chromatin looping (PubMed : 12191639). Causes local loss of histone acetylation and gain of histone methylation in the beta-globin locus, without affecting transcription (PubMed : 12191639). When bound to chromatin, it provides an anchor point for nucleosomes positioning (PubMed : 12191639). Seems to be essential for homologous X-chromosome pairing (By similarity). May participate with Tsix in establishing a regulatable epigenetic switch for X chromosome inactivation (PubMed : 11743158). May play a role in preventing the propagation of stable methylation at the escape genes from X-inactivation (PubMed : 11743158). Involved in sister chromatid cohesion (PubMed : 12191639). Associates with both centromeres and chromosomal arms during metaphase and required for cohesin localization to CTCF sites (PubMed : 18550811). Plays a role in the recruitment of CENPE to the pericentromeric/centromeric regions of the chromosome during mitosis (PubMed : 26321640). Acts as a transcriptional repressor binding to promoters of vertebrate MYC gene and BAG1 gene (PubMed : 18413740, PubMed : 8649389, PubMed : 9591631). Also binds to the PLK and PIM1 promoters (PubMed : 12191639). Acts as a transcriptional activator of APP (PubMed : 9407128). Regulates APOA1/C3/A4/A5 gene cluster and controls MHC class II gene expression (PubMed : 18347100, PubMed : 19322193). Plays an essential role in oocyte and preimplantation embryo development by activating or repressing transcription (By similarity). Seems to act as tumor suppressor (PubMed : 12191639).
See full target information CTCF

Publications (21)

Recent publications for all applications. Explore the full list and refine your search

Nature communications 16:1500 PubMed39929795

2025

Simultaneous profiling of chromatin-associated RNA at targeted DNA loci and RNA-RNA Interactions through TaDRIM-seq.

Applications

Unspecified application

Species

Unspecified reactive species

Cheng Ding,Guoting Chen,Shiping Luan,Runxin Gao,Yudong Fan,Ying Zhang,Xiaoting Wang,Guoliang Li,Mohamed F Foda,Jiapei Yan,Xingwang Li

Nature structural & molecular biology 32:137-149 PubMed39304765

2024

Super-silencer perturbation by EZH2 and REST inhibition leads to large loss of chromatin interactions and reduction in cancer growth.

Applications

Unspecified application

Species

Unspecified reactive species

Ying Zhang,Kaijing Chen,Seng Chuan Tang,Yichao Cai,Akiko Nambu,Yi Xiang See,Chaoyu Fu,Anandhkumar Raju,Benjamin Lebeau,Zixun Ling,Jia Jia Chan,Yvonne Tay,Marek Mutwil,Manikandan Lakshmanan,Greg Tucker-Kellogg,Wee Joo Chng,Daniel G Tenen,Motomi Osato,Vinay Tergaonkar,Melissa Jane Fullwood

Genome biology 25:117 PubMed38715110

2024

Disruption of maternal vascular remodeling by a fetal endoretrovirus-derived gene in preeclampsia.

Applications

Unspecified application

Species

Unspecified reactive species

Xiaoli Gong,Wei He,Wan Jin,Hongwei Ma,Gang Wang,Jiaxin Li,Yu Xiao,Yangyu Zhao,Qiong Chen,Huanhuan Guo,Jiexia Yang,Yiming Qi,Wei Dong,Meng Fu,Xiaojuan Li,Jiusi Liu,Xinghui Liu,Aihua Yin,Yi Zhang,Yuan Wei

iScience 27:109744 PubMed38711442

2024

AKAP8 promotes ovarian cancer progression and antagonizes PARP inhibitor sensitivity through regulating hnRNPUL1 transcription.

Applications

Unspecified application

Species

Unspecified reactive species

Youchaou Mobet,Haocheng Wang,Qinglv Wei,Xiaoyi Liu,Dan Yang,Hongyan Zhao,Yu Yang,Rosalie Anne Ngono Ngane,Jacob Souopgui,Jing Xu,Tao Liu,Ping Yi

Cell communication and signaling : CCS 22:240 PubMed38664711

2024

MSC-derived mitochondria promote axonal regeneration via Atf3 gene up-regulation by ROS induced DNA double strand breaks at transcription initiation region.

Applications

Unspecified application

Species

Unspecified reactive species

Yingchi Zhang,Tao Xu,Jie Xie,Hua Wu,Weihua Hu,Xuefeng Yuan

Proceedings of the National Academy of Sciences of the United States of America 121:e2315860121 PubMed38408244

2024

Host-encoded CTCF regulates human cytomegalovirus latency via chromatin looping.

Applications

Unspecified application

Species

Unspecified reactive species

Ian J Groves,Stephen M Matthews,Christine M O'Connor

Cell communication and signaling : CCS 21:294 PubMed37853416

2023

Transgenerational inheritance of adrenal steroidogenesis inhibition induced by prenatal dexamethasone exposure and its intrauterine mechanism.

Applications

Unspecified application

Species

Unspecified reactive species

Zheng He,Jinzhi Zhang,Yawen Chen,Can Ai,Xiaohan Gong,Dan Xu,Hui Wang

iScience 26:107128 PubMed37416476

2023

Metabolic regulation of CTCF expression and chromatin association dictates starvation response in mice and flies.

Applications

Unspecified application

Species

Unspecified reactive species

Devashish Sen,Babukrishna Maniyadath,Shreyam Chowdhury,Arshdeep Kaur,Subhash Khatri,Arnab Chakraborty,Neelay Mehendale,Snigdha Nadagouda,U S Sandra,Siddhesh S Kamat,Ullas Kolthur-Seetharam

Nature cancer 4:682-698 PubMed37169843

2023

A sense-antisense RNA interaction promotes breast cancer metastasis via regulation of NQO1 expression.

Applications

Unspecified application

Species

Unspecified reactive species

Bruce Culbertson,Kristle Garcia,Daniel Markett,Hosseinali Asgharian,Li Chen,Lisa Fish,Albertas Navickas,Johnny Yu,Brian Woo,Arjun Scott Nanda,Benedict Choi,Shaopu Zhou,Joshua Rabinowitz,Hani Goodarzi

Cellular and molecular gastroenterology and hepatology 14:1177-1198 PubMed35987451

2022

cccDNA Surrogate MC-HBV-Based Screen Identifies Cohesin Complex as a Novel HBV Restriction Factor.

Applications

Unspecified application

Species

Unspecified reactive species

Zhuanchang Wu,Liyuan Wang,Xin Wang,Yang Sun,Haoran Li,Zhaoying Zhang,Caiyue Ren,Xiaohui Zhang,Shuangjie Li,Jinghui Lu,Leiqi Xu,Xuetian Yue,Yue Hong,Qiang Li,Haizhen Zhu,Yaoqin Gong,Chengjiang Gao,Huili Hu,Lifen Gao,Xiaohong Liang,Chunhong Ma
View all publications
chicCutRunSequencingBooklet
en
chipSequencingBooklet
en
chicCutRunSequencingBooklet
en

Product promise

We are committed to supporting your work with high-quality reagents, and we're here for you every step of the way. In the unlikely event that one of our products does not perform as expected, you're protected by our Product Promise.
For full details, please see our Terms & Conditions

Please note: All products are 'FOR RESEARCH USE ONLY. NOT FOR USE IN DIAGNOSTIC OR THERAPEUTIC PROCEDURES'.

For licensing inquiries, please contact partnerships@abcam.com