JavaScript is disabled in your browser. Please enable JavaScript to view this website.
AB128873

Anti-CTCF antibody [EPR7314(B)] - ChIP Grade

  • RabMAb
  • Advanced Validation
  • Recombinant
  • 20ul selling size
  • What is this?

5

(1 Review)

|

(42 Publications)

Anti-CTCF antibody [EPR7314(B)] - ChIP Grade (ab128873) is a rabbit monoclonal antibody detecting CTCF in Western Blot, Flow Cytometry (Intra), Flow Cytometry, IP, IHC-P, ICC/IF, ChIP. Suitable for Human, Mouse, Rat.

- Biophysical QC for unrivalled batch-batch consistency
- Over 20 publications

View Alternative Names

Transcriptional repressor CTCF, 11-zinc finger protein, CCCTC-binding factor, CTCFL paralog, CTCF

20 Images
Flow Cytometry (Intracellular) - Anti-CTCF antibody [EPR7314(B)] - ChIP Grade (AB128873)
  • Flow Cyt (Intra)

Unknown

Flow Cytometry (Intracellular) - Anti-CTCF antibody [EPR7314(B)] - ChIP Grade (AB128873)

Overlay histogram showing Hela cells stained with un-purified ab128873 (red line). The cells were fixed with 80% methanol (5 min) and then permeabilized with 0.1% PBS-Tween for 20 min. The cells were then incubated in 1x PBS / 10% normal goat serum / 0.3M glycine to block non-specific protein-protein interactions followed by the antibody (ab128873, 1/1000 dilution) for 30 min at 22°C. The secondary antibody used was Alexa Fluor® 488 goat anti-rabbit IgG (H&L) (ab150077) at 1/2000 dilution for 30 min at 22°C. Isotype control antibody (black line) was rabbit IgG (monoclonal) (0.1μg/1x106 cells) used under the same conditions. Unlabelled sample (blue line) was also used as a control. Acquisition of >5,000 events were collected using a 20mW Argon ion laser (488nm) and 525/30 bandpass filter. This antibody gave a positive signal in HeLa cells fixed with 4% paraformaldehyde (10 min)/permeabilized with 0.1% PBS-Tween for 20 min used under the same conditions.

Immunocytochemistry/ Immunofluorescence - Anti-CTCF antibody [EPR7314(B)] - ChIP Grade (AB128873)
  • ICC/IF

Unknown

Immunocytochemistry/ Immunofluorescence - Anti-CTCF antibody [EPR7314(B)] - ChIP Grade (AB128873)

Immunocytochemistry/immunofluorescence staining of 4% paraformaldehyde fixed; 0.1% triton X 100 permeabilized HeLa (human cervix adenocarcinoma) cells with purified ab128873 at dilution of 1/500. The secondary antibody used was Alexa Fluor® 488; goat anti-rabbit IgG (ab150077) at a dilution of 1/1000. Nucleus was counter-stained with DAPI (blue). ab7291, a mouse anti-tubulin antibody (1/1000) was used to stain tubulin along with ab150120 (AlexaFluor®594 goat anti-mouse secondary, 1/1000) shown in the top right hand panel. The negative controls are shown in the bottom middle and right hand panels- for negative control 1 rabbit primary antibody and anti-mouse secondary antibody (ab150120) was used. For negative control 2 mouse primary antibody (ab7291) and anti-rabbit secondary antibody (ab150077) was used.

Immunohistochemistry (Formalin/PFA-fixed paraffin-embedded sections) - Anti-CTCF antibody [EPR7314(B)] - ChIP Grade (AB128873)
  • IHC-P

Unknown

Immunohistochemistry (Formalin/PFA-fixed paraffin-embedded sections) - Anti-CTCF antibody [EPR7314(B)] - ChIP Grade (AB128873)

Immunohistochemical staining of paraffin-embedded human breast carcinoma sections labelling CTCF with purified ab128873 at dilution of 1 : 1000. The secondary antibody used was ab97051; a goat anti-rabbit IgG H&L (HRP) at dilution of 1/500. The sample was counter-stained with hematoxylin. Antigen retrieval was performed using EDTA Buffer; pH 9.0. PBS was used instead of the primary antibody as the negative control and is shown in the inset.

Flow Cytometry (Intracellular) - Anti-CTCF antibody [EPR7314(B)] - ChIP Grade (AB128873)
  • Flow Cyt (Intra)

Unknown

Flow Cytometry (Intracellular) - Anti-CTCF antibody [EPR7314(B)] - ChIP Grade (AB128873)

Flow cytometry analysis showing 4% paraformaldehyde fixed 293T (human embryonic kidney) cells labelling CTCF with purified ab128873 at dilution of 1/40 followed by the secondary antibody; Alexa Fluor® 488 goat-anti-rabbit IgG at dilution of 1/500 (red line). A non-specific IgG antibody (rabbit monoclonal) was used as isotype control (black line). The blue line shows cells without incubation with primary antibody and secondary antibody.

Immunohistochemistry (Formalin/PFA-fixed paraffin-embedded sections) - Anti-CTCF antibody [EPR7314(B)] - ChIP Grade (AB128873)
  • IHC-P

Unknown

Immunohistochemistry (Formalin/PFA-fixed paraffin-embedded sections) - Anti-CTCF antibody [EPR7314(B)] - ChIP Grade (AB128873)

Immunohistochemical analysis of paraffin embedded Human colon tissue labelling CTCF with un-purified ab128873 at 1/250 dilution.

Perform heat mediated antigen retrieval before commencing with IHC staining protocol.

Immunocytochemistry/ Immunofluorescence - Anti-CTCF antibody [EPR7314(B)] - ChIP Grade (AB128873)
  • ICC/IF

Unknown

Immunocytochemistry/ Immunofluorescence - Anti-CTCF antibody [EPR7314(B)] - ChIP Grade (AB128873)

Immunocytochemistry/Immunofluorescence analysis of HeLa cells labelling CTCF with un-purified ab128873 at 1/250 dilution.

ChIP-sequencing - Anti-CTCF antibody [EPR7314(B)] - ChIP Grade (AB128873)
  • ChIP-seq

Lab

ChIP-sequencing - Anti-CTCF antibody [EPR7314(B)] - ChIP Grade (AB128873)

Chromatin was prepared from HeLa cells. Cells were fixed with 1% formaldehyde for 10 minutes. ChIP was performed with 30 μg of chromatin and 4 μg of ab128873. ChIP DNA was sequenced on the Illumina NextSeq 500 to a depth of 30 million reads. ChIP-Seq validation performed with ChIP-Ki Transcription Factors ChIP-Seq (ab270813). Additional screenshots of mapped reads can be downloaded here.

ChIP - Anti-CTCF antibody [EPR7314(B)] - ChIP Grade (AB128873)
  • ChIP

Unknown

ChIP - Anti-CTCF antibody [EPR7314(B)] - ChIP Grade (AB128873)

Chromatin was prepared from HeLa cells according to the Abcam X-ChIP protocol. Cells were fixed with 1% formaldehyde for 10 minutes. The ChIP was performed with 25μg of chromatin, 5μg of ab128873 (red), and 20μl of protein A/G sepharose beads slurry (10μl of sepharose A beads + 10μl of sepharose G beads). 5μg of rabbit normal IgG was added to the beads control (grey). The immunoprecipitated DNA was quantified by real time PCR (Sybr green approach).

Immunohistochemistry (Formalin/PFA-fixed paraffin-embedded sections) - Anti-CTCF antibody [EPR7314(B)] - ChIP Grade (AB128873)
  • IHC-P

Unknown

Immunohistochemistry (Formalin/PFA-fixed paraffin-embedded sections) - Anti-CTCF antibody [EPR7314(B)] - ChIP Grade (AB128873)

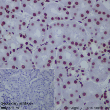
Immunohistochemical staining of paraffin-embedded rat kidney sections labelling CTCF with purified ab128873 at dilution of 1 : 1000. The secondary antibody used was ab97051; a goat anti-rabbit IgG H&L (HRP) at dilution of 1/500. The sample was counter-stained with hematoxylin. Antigen retrieval was performed using EDTA Buffer; pH 9.0. PBS was used instead of the primary antibody as the negative control and is shown in the inset.

Immunohistochemistry (Formalin/PFA-fixed paraffin-embedded sections) - Anti-CTCF antibody [EPR7314(B)] - ChIP Grade (AB128873)
  • IHC-P

Unknown

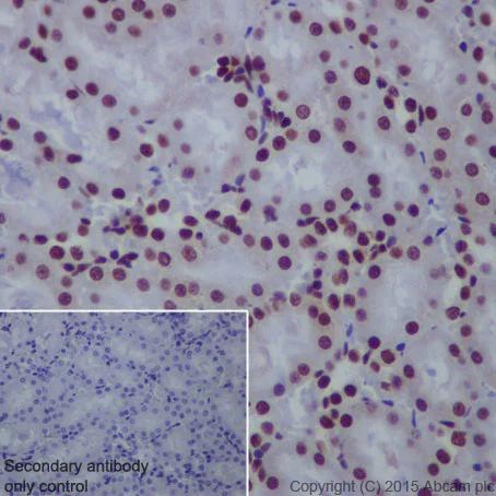
Immunohistochemistry (Formalin/PFA-fixed paraffin-embedded sections) - Anti-CTCF antibody [EPR7314(B)] - ChIP Grade (AB128873)

Immunohistochemical staining of paraffin-embedded mouse kidney sections labelling CTCF with purified ab128873 at dilution of 1 : 1000. The secondary antibody used was ab97051; a goat anti-rabbit IgG H&L (HRP) at dilution of 1/500. The sample was counter-stained with hematoxylin. Antigen retrieval was performed using EDTA Buffer; pH 9.0. PBS was used instead of the primary antibody as the negative control and is shown in the inset.

Western blot - Anti-CTCF antibody [EPR7314(B)] - ChIP Grade (AB128873)
  • WB

Supplier Data

Western blot - Anti-CTCF antibody [EPR7314(B)] - ChIP Grade (AB128873)

In Western blot, Anti-GAPDH antibody [EPR16891] - Loading Control (ab181602) staining at 1/200000 dilution.

In Western blot, Anti-CTCF antibody [EPR7314 (B)] - ChIP Grade (ab128873) staining at 1/1000 dilution.

All lanes:

Western blot - Anti-T7 tag® antibody [EPR28033-8] (<a href='/en-us/products/primary-antibodies/t7-tag-antibody-epr28033-8-ab317258'>ab317258</a>) at 1/1000 dilution

Lane 1:

HeLa (human cervix adenocarcinoma epithelial cell) transfected with empty vector, whole cell lysate at 20 µg

Lane 2:

HeLa transfected with an Human CTCF expression vector containi a T7 tag®, whole cell lysate at 20 µg

Secondary

All lanes:

Western blot - Goat Anti-Rabbit IgG H&L (HRP) (<a href='/en-us/products/secondary-antibodies/goat-rabbit-igg-h-l-hrp-ab97051'>ab97051</a>) at 1/100000 dilution

Observed band size: 150 kDa,36 kDa

false

Exposure time: 8s

Western blot - Anti-CTCF antibody [EPR7314(B)] - ChIP Grade (AB128873)
  • WB

Unknown

Western blot - Anti-CTCF antibody [EPR7314(B)] - ChIP Grade (AB128873)

Blocking and diluting buffer 5% NFDM/TBST

All lanes:

Western blot - Anti-CTCF antibody [EPR7314(B)] - ChIP Grade (ab128873) at 1/10000 dilution

Lane 1:

HeLa (human cervix adenocarcinoma) whole cell lysate at 20 µg

Lane 2:

293T (human embryonic kidney) whole cell lysate at 20 µg

Secondary

All lanes:

Western blot - Goat Anti-Rabbit IgG H&L (HRP) (<a href='/en-us/products/secondary-antibodies/goat-rabbit-igg-h-l-hrp-ab97051'>ab97051</a>) at 1/20000 dilution

Predicted band size: 29 kDa,83 kDa

Observed band size: 140 kDa,35 kDa

false

Western blot - Anti-CTCF antibody [EPR7314(B)] - ChIP Grade (AB128873)
  • WB

Unknown

Western blot - Anti-CTCF antibody [EPR7314(B)] - ChIP Grade (AB128873)

All lanes:

Western blot - Anti-CTCF antibody [EPR7314(B)] - ChIP Grade (ab128873) at 1/1000 dilution

Lane 1:

HeLa cell lysate at 10 µg

Lane 2:

293T cell lysate at 10 µg

Secondary

All lanes:

Goat anti-Rabbit HRP at 1/2000 dilution

Predicted band size: 83 kDa

false

ChIC/CUT&RUN sequencing - Anti-CTCF antibody [EPR7314(B)] - ChIP Grade (AB128873)
  • ChIC/CUT&RUN-seq

Supplier Data

ChIC/CUT&RUN sequencing - Anti-CTCF antibody [EPR7314(B)] - ChIP Grade (AB128873)

ChIC/CUT&RUN was performed using a pAG-MNAse at a final concentration of 700 ng/mL, 2.5 x 10^5 HeLa (Human cervix adenocarcinoma epithelial cell line) cells and 2 µg of ab128873 [EPR7314(B)]. The resulting DNA was sequenced on the Illumina NovaSeq 6000 to a depth of 10 million reads. The negative IgG control ab172730 is also shown. The ChIP data was conducted on chromatin prepared from HeLa cells. Cells were fixed with 1% formaldehyde for 10 minutes. ChIP was performed with 10^7 HeLa cells and 4 µg of ab128873. ChIP DNA was sequenced on the Illumina NovaSeq 6000 to a depth of 30 million reads. Additional screenshots of mapped reads can be found in the Protocol booklet in the Product Protocol section. The University of Geneva owns patents relevant to ChIC (Chromatin Immuno-Cleavage) methods.

ChIC/CUT&RUN sequencing - Anti-CTCF antibody [EPR7314(B)] - ChIP Grade (AB128873)
  • ChIC/CUT&RUN-seq

Lab

ChIC/CUT&RUN sequencing - Anti-CTCF antibody [EPR7314(B)] - ChIP Grade (AB128873)

ChIP was performed with 1x10^7 HeLa cells and 4 µg of ab128873. ChIP DNA was sequenced on the Illumina NovaSeq 6000 to a depth of 30 million reads. ChIP-Seq validation performed with ChIP-Kit Transcription Factors ChIP-Seq (ab270813).

Western blot - Anti-CTCF antibody [EPR7314(B)] - ChIP Grade (AB128873)
  • WB

Unknown

Western blot - Anti-CTCF antibody [EPR7314(B)] - ChIP Grade (AB128873)

Blocking and diluting buffer 5% NFDM/TBST

All lanes:

Western blot - Anti-CTCF antibody [EPR7314(B)] - ChIP Grade (ab128873) at 1/10000 dilution

All lanes:

Rat heart at 20 µg

Secondary

All lanes:

Western blot - Goat Anti-Rabbit IgG H&L (HRP) (<a href='/en-us/products/secondary-antibodies/goat-rabbit-igg-h-l-hrp-ab97051'>ab97051</a>) at 1/20000 dilution

Predicted band size: 148 kDa,23 kDa,35 kDa,52 kDa,60 kDa,83 kDa,95 kDa

Observed band size: 110 kDa,140 kDa,146 kDa,32 kDa,35 kDa,50 kDa,60 kDa

false

Western blot - Anti-CTCF antibody [EPR7314(B)] - ChIP Grade (AB128873)
  • WB

Unknown

Western blot - Anti-CTCF antibody [EPR7314(B)] - ChIP Grade (AB128873)

Blocking and diluting buffer 5% NFDM/TBST

All lanes:

Western blot - Anti-CTCF antibody [EPR7314(B)] - ChIP Grade (ab128873) at 1/10000 dilution

All lanes:

Mouse brain at 20 µg

Secondary

All lanes:

Western blot - Goat Anti-Rabbit IgG H&L (HRP) (<a href='/en-us/products/secondary-antibodies/goat-rabbit-igg-h-l-hrp-ab97051'>ab97051</a>) at 1/100000 dilution

Predicted band size: 83 kDa

Observed band size: 140 kDa

false

OI-RD Scanning - Anti-CTCF antibody [EPR7314(B)] - ChIP Grade (AB128873)
  • OI-RD Scanning

Unknown

OI-RD Scanning - Anti-CTCF antibody [EPR7314(B)] - ChIP Grade (AB128873)

We have systematically measured KD (the equilibrium dissociation constant between the antibody and its antigen), of more than 840 recombinant antibodies to assess not only their individual KD values but also to see the average affinity of antibody. Based on the comparison with published literature values for mouse monoclonal antibodies, Recombinant antibodies appear to be on average 1-2 order of magnitude higher affinity.

CUT&Tag sequencing - Anti-CTCF antibody [EPR7314(B)] - ChIP Grade (AB128873)
  • CUT&Tag-seq

Collaborator

CUT&Tag sequencing - Anti-CTCF antibody [EPR7314(B)] - ChIP Grade (AB128873)

CUT&Tag-seq was performed using 200,000 Oli-neu (Oligodendrocyte progenitor) cells. Cells were permeabilized with 0.05% Digitonin and 0.01% NP-40 for 3 minutes. A 1 : 100 dilution of Recombinant Anti-CTCF antibody [EPR7314(B)] - ChIP Grade (ab128873) was used, along with a Guinea pig anti-rabbit Secondary. DNA was seg using Illumina NovaSeq S Prime to a depth of 24 million reads.

This image is courtesy of Dr Marek Bartosovic, Gonçalo Castelo-Branco Group, Karolinska Institutet.

This experiment and image is courtesy of Dr Marek Bartosovic, Gonçalo Castelo-Branco Group, Karolinska Institutet.

CUT&Tag - Anti-CTCF antibody [EPR7314(B)] - ChIP Grade (AB128873)
  • CUT&Tag

Supplier Data

CUT&Tag - Anti-CTCF antibody [EPR7314(B)] - ChIP Grade (AB128873)

CUT&Tag-seq was performed using 200,000 Oli-neu (Oligodendrocyte progenitor) cells. Cells were permeabilized with 0.05% Digitonin and 0.01% NP-40 for 3 minutes. A 1 : 100 dilution of Recombinant Anti-CTCF antibody [EPR7314(B)] - ChIP Grade (ab128873) was used, along with a Guinea pig anti-rabbit Secondary. DNA was seg using Illumina NovaSeq S Prime to a depth of 24 million reads. This image is courtesy of Dr Marek Bartosovic, Gonçalo Castelo-Branco Group, Karolinska Institutet. The University of Geneva owns patents relevant to ChIC (Chromatin Immuno-Cleavage) methods.

This experiment and image is courtesy of Dr Marek Bartosovic, Gonçalo Castelo-Branco Group, Karolinska Institutet.

  • 665 Alexa Fluor® 647

    Alexa Fluor® 647 Anti-CTCF antibody [EPR7314(B)]

  • 519 Alexa Fluor® 488

    Alexa Fluor® 488 Anti-CTCF antibody [EPR7314(B)]

  • 578 PE

    PE Anti-CTCF antibody [EPR7314(B)]

  • 660 APC

    APC Anti-CTCF antibody [EPR7314(B)]

  • HRP

    HRP Anti-CTCF antibody [EPR7314(B)]

  • 617 Alexa Fluor® 594

    Alexa Fluor® 594 Anti-CTCF antibody [EPR7314(B)]

  • 603 Alexa Fluor® 568

    Alexa Fluor® 568 Anti-CTCF antibody [EPR7314(B)]

  • Carrier free

    Anti-CTCF antibody [EPR7314(B)] - ChIP Grade - BSA and Azide free

  • 565 Alexa Fluor® 555

    Alexa Fluor® 555 Anti-CTCF antibody [EPR7314(B)]

  • 775 Alexa Fluor® 750

    Alexa Fluor® 750 Anti-CTCF antibody [EPR7314(B)] - ChIP Grade

Key facts

Host species

Rabbit

Clonality

Monoclonal

Clone number

EPR7314(B)

Isotype

IgG

Carrier free

No

Reacts with

Mouse, Rat, Human

Applications

WB, ChIC/CUT&RUN-seq, Flow Cyt (Intra), ChIP, IHC-P, ChIP-seq, CUT&Tag, ICC/IF

applications

Immunogen

The exact immunogen used to generate this antibody is proprietary information.

Reactivity data

{ "title": "Reactivity Data", "filters": { "stats": ["", "Species", "Dilution Info", "Notes"], "tabs": { "all-applications": {"fullname" : "All Applications", "shortname": "All Applications"}, "CUTTag" : {"fullname" : "CUT&Tag", "shortname":"CUT&Tag"}, "ChICCUTRUNseq" : {"fullname" : "ChIC/CUT&RUN sequencing", "shortname":"ChIC/CUT&RUN-seq"}, "IHCP" : {"fullname" : "Immunohistochemistry (Formalin/PFA-fixed paraffin-embedded sections)", "shortname":"IHC-P"}, "ChIP" : {"fullname" : "ChIP", "shortname":"ChIP"}, "WB" : {"fullname" : "Western blot", "shortname":"WB"}, "ICCIF" : {"fullname" : "Immunocytochemistry/ Immunofluorescence", "shortname":"ICC/IF"}, "ChIPseq" : {"fullname" : "ChIP-sequencing", "shortname":"ChIP-seq"}, "FlowCytIntra" : {"fullname" : "Flow Cytometry (Intracellular)", "shortname":"Flow Cyt (Intra)"} }, "product-promise": { "all": "all", "testedAndGuaranteed": "tested", "guaranteed": "expected", "predicted": "predicted", "notRecommended": "not-recommended" } }, "values": { "Human": { "CUTTag-species-checked": "guaranteed", "CUTTag-species-dilution-info": "", "CUTTag-species-notes": "", "ChICCUTRUNseq-species-checked": "testedAndGuaranteed", "ChICCUTRUNseq-species-dilution-info": "2 µg for 10^5 Cells", "ChICCUTRUNseq-species-notes": "<p></p>", "IHCP-species-checked": "testedAndGuaranteed", "IHCP-species-dilution-info": "1/250 - 1/1000", "IHCP-species-notes": "<p></p> Perform heat-mediated antigen retrieval before commencing with IHC staining protocol.", "ChIP-species-checked": "testedAndGuaranteed", "ChIP-species-dilution-info": "", "ChIP-species-notes": "<p></p>", "WB-species-checked": "testedAndGuaranteed", "WB-species-dilution-info": "1/1000 - 1/10000", "WB-species-notes": "<p></p>", "ICCIF-species-checked": "testedAndGuaranteed", "ICCIF-species-dilution-info": "1/250 - 1/500", "ICCIF-species-notes": "<p></p>", "ChIPseq-species-checked": "testedAndGuaranteed", "ChIPseq-species-dilution-info": "4 µg for 30 µg chromatin", "ChIPseq-species-notes": "<p></p>", "FlowCytIntra-species-checked": "testedAndGuaranteed", "FlowCytIntra-species-dilution-info": "1/40 - 1/1000", "FlowCytIntra-species-notes": "<p><a href='/en-us/products/primary-antibodies/rabbit-igg-monoclonal-epr25a-isotype-control-ab172730'>ab172730</a> - Rabbit monoclonal IgG, is suitable for use as an isotype control with this antibody.</p>" }, "Mouse": { "CUTTag-species-checked": "testedAndGuaranteed", "CUTTag-species-dilution-info": "1/100", "CUTTag-species-notes": "<p></p>", "ChICCUTRUNseq-species-checked": "guaranteed", "ChICCUTRUNseq-species-dilution-info": "", "ChICCUTRUNseq-species-notes": "", "IHCP-species-checked": "testedAndGuaranteed", "IHCP-species-dilution-info": "1/250 - 1/1000", "IHCP-species-notes": "<p></p> Perform heat-mediated antigen retrieval before commencing with IHC staining protocol.", "ChIP-species-checked": "guaranteed", "ChIP-species-dilution-info": "", "ChIP-species-notes": "", "WB-species-checked": "testedAndGuaranteed", "WB-species-dilution-info": "1/1000 - 1/10000", "WB-species-notes": "<p></p>", "ICCIF-species-checked": "guaranteed", "ICCIF-species-dilution-info": "", "ICCIF-species-notes": "", "ChIPseq-species-checked": "guaranteed", "ChIPseq-species-dilution-info": "", "ChIPseq-species-notes": "", "FlowCytIntra-species-checked": "guaranteed", "FlowCytIntra-species-dilution-info": "", "FlowCytIntra-species-notes": "" }, "Rat": { "CUTTag-species-checked": "guaranteed", "CUTTag-species-dilution-info": "", "CUTTag-species-notes": "", "ChICCUTRUNseq-species-checked": "guaranteed", "ChICCUTRUNseq-species-dilution-info": "", "ChICCUTRUNseq-species-notes": "", "IHCP-species-checked": "testedAndGuaranteed", "IHCP-species-dilution-info": "1/250 - 1/1000", "IHCP-species-notes": "<p></p> Perform heat-mediated antigen retrieval before commencing with IHC staining protocol.", "ChIP-species-checked": "guaranteed", "ChIP-species-dilution-info": "", "ChIP-species-notes": "", "WB-species-checked": "testedAndGuaranteed", "WB-species-dilution-info": "1/1000 - 1/10000", "WB-species-notes": "<p></p>", "ICCIF-species-checked": "guaranteed", "ICCIF-species-dilution-info": "", "ICCIF-species-notes": "", "ChIPseq-species-checked": "guaranteed", "ChIPseq-species-dilution-info": "", "ChIPseq-species-notes": "", "FlowCytIntra-species-checked": "guaranteed", "FlowCytIntra-species-dilution-info": "", "FlowCytIntra-species-notes": "" } } }

Product details

What is this antibody validated in?
Anti-CTCF antibody [EPR7314(B)] - ChIP Grade (ab128873) is a rabbit recombinant monoclonal antibody and is validated for use in Western Blot (WB), Flow Cytometry (Intra), Flow Cytometry (Flow Cyt), Immunoprecipitation (IP), Immunohistochemistry (IHC-P), Immunocytochemistry/immunofluorescence (ICC/IF), ChIP in Human, Mouse, Rat samples.

What is the molecular weight of CTCF?
Anti-CTCF [EPR7314(B)] - ChIP Grade (ab128873) specifically detects a band for CTCF (UniProt: P49711) at a molecular weight of 83kDa.

Trusted by the scientific community
Anti-CTCF [EPR7314(B)] - ChIP Grade (ab128873) was first used in a scientific publication in 2012 and has been cited over 20 times in peer-reviewed journals.

Trial sizes available!
Test your antibody or perform pre-screening before committing to a larger quantity. Sold in 10µl. Discover our selection of trial-size antibodies.

Other related products
We have a range of other formats of antibody clone [EPR7314(B)] also available for your convenience: ab128873, Alexa Fluor® 488 - ab203704, Alexa Fluor® 647 - ab203705, Carrier free - ab240035, PE - ab305764, APC - ab305765, HRP - ab305766, Alkaline Phosphatase - ab308816, Alexa Fluor® 594 - ab310547, Alexa Fluor® 555 - ab312077, Alexa Fluor® 568 - ab312554, Alexa Fluor® 750 - ab321018

Patented technology
Our RabMAb® technology is a patented hybridoma-based technology for making rabbit monoclonal antibodies. For details on our patents, please refer to RabMAb® patents.

What are the advantages of a recombinant monoclonal antibody?
This product is a recombinant monoclonal antibody, which offers several advantages including:

  • - High batch-to-batch consistency and reproducibility
  • - Improved sensitivity and specificity
  • - Long-term security of supply
  • - Animal-free batch production

For more information, read more on recombinant antibodies.

Shipping conditions update: ambient shipping

This product will be delivered at ambient temperature instead of chilled – this is by design. Extensive stability testing confirmed that our products are suitable for shipment under ambient conditions and maintain expected quality.

Why the change?

It’s part of our commitment to more sustainable packaging solutions, with ambient deliveries using eco-friendly materials such as recyclable cardboard instead of polystyrene.

What you need to know

  • Ambient shipments come clearly marked on the delivery note.
  • No ice will be included in ambient shipments, but mixed orders (ambient and cold-chain items) will still arrive with ice packs to protect temperature-sensitive products.
  • Warranty coverage remains fully valid, aligned with our validated shipping method.
  • Please store the product as per the datasheet instructions upon receipt.

Find out more - https://www.abcam.com/en-us/support/shipping-storage-support/ambient-shipping

Properties and storage information

Form
Liquid
Purification technique
Affinity purification Protein A
Storage buffer
pH: 7.2 - 7.4 Preservative: 0.01% Sodium azide Constituents: PBS, 40% Glycerol (glycerin, glycerine), 0.2% BSA
Shipped at conditions
Conditional Ambient
Appropriate short-term storage duration
1-2 weeks
Appropriate short-term storage conditions
+4°C
Appropriate long-term storage conditions
-20°C
Aliquoting information
Upon delivery aliquot
Storage information
Stable for 12 months at -20°C

Supplementary information

This supplementary information is collated from multiple sources and compiled automatically.

CTCF also known as the CCCTC-binding factor is a highly conserved zinc finger protein involved in transcriptional regulation and chromatin organization. It has a molecular weight of approximately 82 kDa. The CTCF protein plays a critical mechanical role in controlling the three-dimensional architecture of the genome by binding to specific DNA sequences and forming chromatin loops. It is widely expressed in various cell types across tissues where it acts as a transcriptional repressor and activator depending on the context. CTCF immunofluorescence techniques enable the visualization of its dynamic distribution and expression within the nucleus.
Biological function summary

The multipurpose CTCF protein acts in coordinating the spatial organization of the genome. It functions as an insulator by regulating the boundaries between different chromosomal domains and controlling gene expression. CTCF operates within various complexes interacting with cohesin a vital protein complex that facilitates loop formation and influences genome architecture. This interaction helps in maintaining the integrity of the genome structure and proper chromatin insulation which are essential for normal gene function.

Pathways

CTCF plays significant roles in epigenetic regulatory networks and transcriptional pathways. In the epigenetic landscape it influences gene expression through modulation of DNA methylation states at CpG islands interacting with proteins like DNA methyltransferases. In transcriptional pathways CTCF interacts with nuclear factor Y (NF-Y) which contributes to cell cycle regulation by modulating the expression of cell cycle genes. These pathways reflect CTCF's versatility in gene regulation and its influence on maintaining cellular homeostasis.

CTCF disruptions have been implicated in cancer and intellectual disabilities. Mutations or altered expression of CTCF can lead to tumorigenesis as CTCF acts as a tumor suppressor by controlling oncogene and tumor suppressor gene expression. In intellectual disabilities CTCF mutations affect brain development by disrupting the expression of neuronal genes. The protein's interaction with cohesin has links to disorders such as Cornelia de Lange syndrome where cohesin complex dysfunction parallels the phenotypes seen with CTCF aberrations.

Product protocols

For this product, it's our understanding that no specific protocols are required. You can visit:

Target data

Chromatin binding factor that binds to DNA sequence specific sites and regulates the 3D structure of chromatin (PubMed : 18347100, PubMed : 18654629, PubMed : 19322193). Binds together strands of DNA, thus forming chromatin loops, and anchors DNA to cellular structures, such as the nuclear lamina (PubMed : 18347100, PubMed : 18654629, PubMed : 19322193). Defines the boundaries between active and heterochromatic DNA via binding to chromatin insulators, thereby preventing interaction between promoter and nearby enhancers and silencers (PubMed : 18347100, PubMed : 18654629, PubMed : 19322193). Plays a critical role in the epigenetic regulation (PubMed : 16949368). Participates in the allele-specific gene expression at the imprinted IGF2/H19 gene locus (PubMed : 16107875, PubMed : 16815976, PubMed : 17827499). On the maternal allele, binding within the H19 imprinting control region (ICR) mediates maternally inherited higher-order chromatin conformation to restrict enhancer access to IGF2 (By similarity). Mediates interchromosomal association between IGF2/H19 and WSB1/NF1 and may direct distant DNA segments to a common transcription factory (By similarity). Regulates asynchronous replication of IGF2/H19 (By similarity). Plays a critical role in gene silencing over considerable distances in the genome (By similarity). Preferentially interacts with unmethylated DNA, preventing spreading of CpG methylation and maintaining methylation-free zones (PubMed : 18413740). Inversely, binding to target sites is prevented by CpG methylation (PubMed : 18413740). Plays an important role in chromatin remodeling (PubMed : 18413740). Can dimerize when it is bound to different DNA sequences, mediating long-range chromatin looping (PubMed : 12191639). Causes local loss of histone acetylation and gain of histone methylation in the beta-globin locus, without affecting transcription (PubMed : 12191639). When bound to chromatin, it provides an anchor point for nucleosomes positioning (PubMed : 12191639). Seems to be essential for homologous X-chromosome pairing (By similarity). May participate with Tsix in establishing a regulatable epigenetic switch for X chromosome inactivation (PubMed : 11743158). May play a role in preventing the propagation of stable methylation at the escape genes from X-inactivation (PubMed : 11743158). Involved in sister chromatid cohesion (PubMed : 12191639). Associates with both centromeres and chromosomal arms during metaphase and required for cohesin localization to CTCF sites (PubMed : 18550811). Plays a role in the recruitment of CENPE to the pericentromeric/centromeric regions of the chromosome during mitosis (PubMed : 26321640). Acts as a transcriptional repressor binding to promoters of vertebrate MYC gene and BAG1 gene (PubMed : 18413740, PubMed : 8649389, PubMed : 9591631). Also binds to the PLK and PIM1 promoters (PubMed : 12191639). Acts as a transcriptional activator of APP (PubMed : 9407128). Regulates APOA1/C3/A4/A5 gene cluster and controls MHC class II gene expression (PubMed : 18347100, PubMed : 19322193). Plays an essential role in oocyte and preimplantation embryo development by activating or repressing transcription (By similarity). Seems to act as tumor suppressor (PubMed : 12191639).
See full target information CTCF

Publications (42)

Recent publications for all applications. Explore the full list and refine your search

Nature communications 16:5313 PubMed40537528

2025

Herpes simplex virus type 1 reshapes host chromatin architecture via transcription machinery hijacking.

Applications

Unspecified application

Species

Unspecified reactive species

Esther González-Almela,Alvaro Castells-Garcia,François Le Dily,Manuel Fernández Merino,Davide Carnevali,Pol Cusco,Luciano Di Croce,Maria Pia Cosma

Nature communications 16:1833 PubMed39979259

2025

Increasingly efficient chromatin binding of cohesin and CTCF supports chromatin architecture formation during zebrafish embryogenesis.

Applications

Unspecified application

Species

Unspecified reactive species

Jonas Coßmann,Pavel I Kos,Vassiliki Varamogianni-Mamatsi,Devin S Assenheimer,Tobias A Bischof,Timo Kuhn,Thomas Vomhof,Argyris Papantonis,Luca Giorgetti,J Christof M Gebhardt

Cancer cell international 24:392 PubMed39623397

2024

Immune alterations and overexpression of CTCF in endometrial carcinoma: insights from molecular subtyping.

Applications

Unspecified application

Species

Unspecified reactive species

Caiping Wei,Guowei Chen,Kun Chen,Shuang Fang,Hongying He

Cellular and molecular life sciences : CMLS 81:307 PubMed39048814

2024

CircARAP2 controls sMICA-induced NK cell desensitization by erasing CTCF/PRC2-induced suppression in early endosome marker RAB5A.

Applications

Unspecified application

Species

Unspecified reactive species

Feifei Guo,Nawen Du,Xue Wen,Zhaozhi Li,Yantong Guo,Lei Zhou,Andrew R Hoffman,Lingyu Li,Ji-Fan Hu,Jiuwei Cui

General physiology and biophysics 43:231-242 PubMed38774923

2024

CCCTC-binding factor suppresses alpha-2-macroglobulin transcription to improve vascular endothelial cell functions in lower extremity arteriosclerosis obliterans.

Applications

Unspecified application

Species

Unspecified reactive species

Tianmin He,Mengqiang You,Huixin Zhu,Peng Chen,Shanhong Fang

iScience 27:109744 PubMed38711442

2024

AKAP8 promotes ovarian cancer progression and antagonizes PARP inhibitor sensitivity through regulating hnRNPUL1 transcription.

Applications

Unspecified application

Species

Unspecified reactive species

Youchaou Mobet,Haocheng Wang,Qinglv Wei,Xiaoyi Liu,Dan Yang,Hongyan Zhao,Yu Yang,Rosalie Anne Ngono Ngane,Jacob Souopgui,Jing Xu,Tao Liu,Ping Yi

Molecular cell 84:1826-1841.e5 PubMed38657614

2024

Principles of chromosome organization for meiotic recombination.

Applications

Unspecified application

Species

Unspecified reactive species

Mathilde Biot,Attila Toth,Christine Brun,Leon Guichard,Bernard de Massy,Corinne Grey

Nucleic acids research 52:5698-5719 PubMed38587186

2024

ARID1A regulates DNA repair through chromatin organization and its deficiency triggers DNA damage-mediated anti-tumor immune response.

Applications

Unspecified application

Species

Unspecified reactive species

Ali Bakr,Giuditta Della Corte,Olivera Veselinov,Simge Kelekçi,Mei-Ju May Chen,Yu-Yu Lin,Gianluca Sigismondo,Marika Iacovone,Alice Cross,Rabail Syed,Yunhee Jeong,Etienne Sollier,Chun-Shan Liu,Pavlo Lutsik,Jeroen Krijgsveld,Dieter Weichenhan,Christoph Plass,Odilia Popanda,Peter Schmezer

BMC genomics 25:206 PubMed38395755

2024

Alteration of chromosome structure impacts gene expressions implicated in pancreatic ductal adenocarcinoma cells.

Applications

Unspecified application

Species

Unspecified reactive species

Wenrui Han,Detong Shi,Qiu Yang,Xinxin Li,Jian Zhang,Cheng Peng,Fang Yan

Nucleic acids research 52:3654-3666 PubMed38300758

2024

Tet-mediated DNA methylation dynamics affect chromosome organization.

Applications

Unspecified application

Species

Unspecified reactive species

Hao Tian,Pengfei Luan,Yaping Liu,Guoqiang Li
View all publications
chicCutRunSequencingBooklet
en

Product promise

We are committed to supporting your work with high-quality reagents, and we're here for you every step of the way. In the unlikely event that one of our products does not perform as expected, you're protected by our Product Promise.
For full details, please see our Terms & Conditions

Please note: All products are 'FOR RESEARCH USE ONLY. NOT FOR USE IN DIAGNOSTIC OR THERAPEUTIC PROCEDURES'.

For licensing inquiries, please contact partnerships@abcam.com