JavaScript is disabled in your browser. Please enable JavaScript to view this website.
AB300639

Anti-CTCF antibody [RM1044]

  • BOND RX™ Validated
  • 20ul selling size
  • RabMAb
  • Recombinant
  • What is this?

Be the first to review this product! Submit a review

|

(2 Publications)

Rabbit Recombinant Multiclonal CTCF antibody. Suitable for WB, IHC-P, IHC-Fr, ICC/IF, Flow Cyt (Intra), IP, ChIP and reacts with Human, Mouse, Rat samples. Cited in 2 publications.

View Alternative Names

Transcriptional repressor CTCF, 11-zinc finger protein, CCCTC-binding factor, CTCFL paralog, CTCF

8 Images
Flow Cytometry (Intracellular) - Anti-CTCF antibody [RM1044] (AB300639)
  • Flow Cyt (Intra)

Supplier Data

Flow Cytometry (Intracellular) - Anti-CTCF antibody [RM1044] (AB300639)

Intracellular flow cytometric analysis of 4% paraformaldehyde fixed and 90% methanol permeabilized HeLa (human cervix adenocarcinoma epithelial cell) cells labelling CTCF with ab300639 at 1/500 dilution (0.1µg) (red) compared with a Rabbit monoclonal IgG (ab172730) (black) isotype control and an unlabelled control (cells without incubation with primary antibody and secondary antibody) (blue). Goat Anti-Rabbit IgG (Alexa Fluor® 488, ab150081) at 1/2000 dilution was used as the secondary antibody.

Immunohistochemistry (Formalin/PFA-fixed paraffin-embedded sections) - Anti-CTCF antibody [RM1044] (AB300639)
  • IHC-P

Supplier Data

Immunohistochemistry (Formalin/PFA-fixed paraffin-embedded sections) - Anti-CTCF antibody [RM1044] (AB300639)

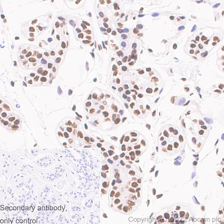
Immunohistochemical analysis of paraffin-embedded human breast tissue labelling CTCF with ab300639 at 1/10000 (0.053 µg/ml) followed by a ready to use LeicaDS9800 (BOND™ Polymer Refine Detection). Nuclear staining on human breast is observed. The section was incubated with ab300639 for 30 mins at room temperature. The immunostaining was performed on a Leica Biosystems BOND® RX instrument. Counterstained with Hematoxylin.

Secondary antibody only control : PBS was used instead of primary antibody followed by ready to use secondary antibody LeicaDS9800 (BOND™ Polymer Refine Detection).

Immunocytochemistry/ Immunofluorescence - Anti-CTCF antibody [RM1044] (AB300639)
  • ICC/IF

Supplier Data

Immunocytochemistry/ Immunofluorescence - Anti-CTCF antibody [RM1044] (AB300639)

Immunofluorescent analysis of 4% paraformaldehyde fixed and 0.1% TritonX-100 permeabilized HeLa (human cervix adenocarcinoma epithelial cell) labeling CTCF with ab300639 at 1/2000 dilution (0.266 μg/ml), followed by ab150081 Goat Anti-Rabbit IgG H&L (Alexa Fluor® 488, green) preadsorbed at 1 : 1000 (2 μg/mL). Confocal image showing nuclear staining in HeLa cell line.

ab195889 anti-alpha Tubulin mouse monoclonal antibody - Microtubule Marker (Alexa Fluor® 594) (red) was used as a counterstain at 1 : 200 dilution (2.5 μg/ml). Nuclear counter satin is DAPI.

Immunoprecipitation - Anti-CTCF antibody [RM1044] (AB300639)
  • IP

Supplier Data

Immunoprecipitation - Anti-CTCF antibody [RM1044] (AB300639)

CTCF was immunoprecipitated from 0.35 mg HeLa (human cervical adenocarcinoma epithelial cell) whole cell lysate with ab300639 at 1/30 dilution (2µg in 0.35 mg lysates). Western blot was performed on the immunoprecipitate using ab300639 at 1/1000 dilution. VeriBlot for IP secondary antibody(HRP) (ab131366) was used at 1/5000 dilution.

Blocking and dilution buffer and concentration : 5% NFDM/TBST.

All lanes:

Immunoprecipitation - Anti-CTCF antibody [RM1044] (ab300639) at 1/30 dilution

All lanes:

HeLa (human cervical adenocarcinoma epithelial cell) whole cell lysate

Secondary

All lanes:

Immunoprecipitation - VeriBlot for IP Detection Reagent (HRP) (<a href='/en-us/products/reagents/veriblot-for-ip-detection-reagent-hrp-ab131366'>ab131366</a>) at 1/5000 dilution

Predicted band size: 83 kDa

Observed band size: 40 kDa,130 kDa,97 kDa,80 kDa,73 kDa,55 kDa,45 kDa

false

Exposure time: 10s

Immunohistochemistry (Formalin/PFA-fixed paraffin-embedded sections) - Anti-CTCF antibody [RM1044] (AB300639)
  • IHC-P

Supplier Data

Immunohistochemistry (Formalin/PFA-fixed paraffin-embedded sections) - Anti-CTCF antibody [RM1044] (AB300639)

Immunohistochemical analysis of paraffin-embedded mouse colon tissue labelling CTCF with ab300639 at 1/10000 (0.053 µg/ml) followed by a ready to use LeicaDS9800 (BOND™ Polymer Refine Detection). Nuclear staining on mouse colon. The section was incubated with ab300639 for 30 mins at room temperature. The immunostaining was performed on a Leica Biosystems BOND® RX instrument. Counterstained with Hematoxylin.

Secondary antibody only control : PBS was used instead of primary antibody followed by ready to use secondary antibody LeicaDS9800 (BOND™ Polymer Refine Detection).

Heat mediated antigen retrieval with Tris-EDTA buffer (pH 9.0, epitope retrieval solution2) for 20 mins was used.

Immunohistochemistry (Frozen sections) - Anti-CTCF antibody [RM1044] (AB300639)
  • IHC-Fr

Supplier Data

Immunohistochemistry (Frozen sections) - Anti-CTCF antibody [RM1044] (AB300639)

Immunohistochemical analysis of 4% PFA-fixed, 0.2% Triton X-100 permeabilized frozen rat colon (fresh) tissue labeling CCTF with ab300639 at 1/2000 dilution (0.266 µg/ml)  followed by ab150081 Goat Anti-Rabbit IgG H&L (Alexa Fluor® 488) preabsorbed at 1/1000 dilution (2 µg/mL) (Green). Positive staining on rat colon is observed. The nuclear counterstain was DAPI (Blue).

Immunohistochemistry (Formalin/PFA-fixed paraffin-embedded sections) - Anti-CTCF antibody [RM1044] (AB300639)
  • IHC-P

Supplier Data

Immunohistochemistry (Formalin/PFA-fixed paraffin-embedded sections) - Anti-CTCF antibody [RM1044] (AB300639)

Immunohistochemical analysis of paraffin-embedded rat colon tissue labelling CTCF with ab300639 at 1/10000 (0.053 µg/ml) followed by a ready to use LeicaDS9800 (BOND™ Polymer Refine Detection). Nuclear staining on rat colon. The section was incubated with ab300639 for 30 mins at room temperature. The immunostaining was performed on a Leica Biosystems BOND® RX instrument. Counterstained with Hematoxylin.

Secondary antibody only control : PBS was used instead of primary antibody followed by ready to use secondary antibody LeicaDS9800 (BOND™ Polymer Refine Detection).

Heat mediated antigen retrieval with Tris-EDTA buffer (pH 9.0, epitope retrieval solution2) for 20 mins was used.

Western blot - Anti-CTCF antibody [RM1044] (AB300639)
  • WB

Supplier Data

Western blot - Anti-CTCF antibody [RM1044] (AB300639)

Blocking and diluting buffer and concentration : 5% NFDM/TBST.

The multiples bands observed in the WB have been reported in literature (PMID : 12878173, PMID : 8246978).

All lanes:

Western blot - Anti-CTCF antibody [RM1044] (ab300639) at 1/1000 dilution

Lane 1:

Human spleen lysate at 20 µg

Lane 2:

Mouse heart lysate at 20 µg

Lane 3:

Mouse spleen lysate at 20 µg

Lane 4:

Mouse colon lysate at 20 µg

Lane 5:

Rat heart lysate at 20 µg

Lane 6:

Rat spleen lysate at 20 µg

Lane 7:

Rat colon lysate at 20 µg

Secondary

All lanes:

Western blot - Goat Anti-Rabbit IgG H&L (HRP) (<a href='/en-us/products/secondary-antibodies/goat-rabbit-igg-h-l-hrp-ab97051'>ab97051</a>) at 1/100000 dilution

Predicted band size: 83 kDa

Observed band size: 140 kDa,130 kDa,97 kDa,80 kDa,73 kDa,55 kDa,45 kDa

false

  • Carrier free

    Anti-CTCF antibody [RM1044] (BSA and Azide free)

Key facts

Host species

Rabbit

Clonality

Multiclonal

Clone number

RM1044

Isotype

IgG

Carrier free

No

Reacts with

Human, Mouse, Rat

Applications

ChIP, ICC/IF, IHC-P, IP, WB, IHC-Fr, Flow Cyt (Intra)

applications

Immunogen

The exact immunogen used to generate this antibody is proprietary information.

Reactivity data

{ "title": "Reactivity Data", "filters": { "stats": ["", "Species", "Dilution Info", "Notes"], "tabs": { "all-applications": {"fullname" : "All Applications", "shortname": "All Applications"}, "WB" : {"fullname" : "Western blot", "shortname":"WB"}, "IHCP" : {"fullname" : "Immunohistochemistry (Formalin/PFA-fixed paraffin-embedded sections)", "shortname":"IHC-P"}, "IHCFr" : {"fullname" : "Immunohistochemistry (Frozen sections)", "shortname":"IHC-Fr"}, "ICCIF" : {"fullname" : "Immunocytochemistry/ Immunofluorescence", "shortname":"ICC/IF"}, "FlowCytIntra" : {"fullname" : "Flow Cytometry (Intracellular)", "shortname":"Flow Cyt (Intra)"}, "IP" : {"fullname" : "Immunoprecipitation", "shortname":"IP"}, "ChIP" : {"fullname" : "ChIP", "shortname":"ChIP"} }, "product-promise": { "all": "all", "testedAndGuaranteed": "tested", "guaranteed": "expected", "predicted": "predicted", "notRecommended": "not-recommended" } }, "values": { "Human": { "WB-species-checked": "testedAndGuaranteed", "WB-species-dilution-info": "1/1000", "WB-species-notes": "<p></p>", "IHCP-species-checked": "testedAndGuaranteed", "IHCP-species-dilution-info": "1/10000", "IHCP-species-notes": "<p></p>", "IHCFr-species-checked": "guaranteed", "IHCFr-species-dilution-info": "", "IHCFr-species-notes": "", "ICCIF-species-checked": "testedAndGuaranteed", "ICCIF-species-dilution-info": "1/2000", "ICCIF-species-notes": "<p></p>", "FlowCytIntra-species-checked": "testedAndGuaranteed", "FlowCytIntra-species-dilution-info": "1/500", "FlowCytIntra-species-notes": "<p></p>", "IP-species-checked": "testedAndGuaranteed", "IP-species-dilution-info": "1/30", "IP-species-notes": "<p></p>", "ChIP-species-checked": "testedAndGuaranteed", "ChIP-species-dilution-info": "", "ChIP-species-notes": "<p></p>" }, "Mouse": { "WB-species-checked": "testedAndGuaranteed", "WB-species-dilution-info": "1/1000", "WB-species-notes": "<p></p>", "IHCP-species-checked": "testedAndGuaranteed", "IHCP-species-dilution-info": "1/10000", "IHCP-species-notes": "<p></p>", "IHCFr-species-checked": "testedAndGuaranteed", "IHCFr-species-dilution-info": "1/2000", "IHCFr-species-notes": "<p></p>", "ICCIF-species-checked": "testedAndGuaranteed", "ICCIF-species-dilution-info": "1/2000", "ICCIF-species-notes": "<p></p>", "FlowCytIntra-species-checked": "testedAndGuaranteed", "FlowCytIntra-species-dilution-info": "1/500", "FlowCytIntra-species-notes": "<p></p>", "IP-species-checked": "guaranteed", "IP-species-dilution-info": "", "IP-species-notes": "", "ChIP-species-checked": "guaranteed", "ChIP-species-dilution-info": "", "ChIP-species-notes": "" }, "Rat": { "WB-species-checked": "testedAndGuaranteed", "WB-species-dilution-info": "1/1000", "WB-species-notes": "<p></p>", "IHCP-species-checked": "testedAndGuaranteed", "IHCP-species-dilution-info": "1/10000", "IHCP-species-notes": "<p></p>", "IHCFr-species-checked": "testedAndGuaranteed", "IHCFr-species-dilution-info": "1/2000", "IHCFr-species-notes": "<p></p>", "ICCIF-species-checked": "guaranteed", "ICCIF-species-dilution-info": "", "ICCIF-species-notes": "", "FlowCytIntra-species-checked": "guaranteed", "FlowCytIntra-species-dilution-info": "", "FlowCytIntra-species-notes": "", "IP-species-checked": "guaranteed", "IP-species-dilution-info": "", "IP-species-notes": "", "ChIP-species-checked": "guaranteed", "ChIP-species-dilution-info": "", "ChIP-species-notes": "" } } }

Product details

Patented technology
Our RabMAb® technology is a patented hybridoma-based technology for making rabbit monoclonal antibodies. For details on our patents, please refer to RabMAb® patents.

Properties and storage information

Form
Liquid
Purification technique
Affinity purification Protein A
Storage buffer
pH: 7.2 - 7.4 Preservative: 0.01% Sodium azide Constituents: PBS, 40% Glycerol (glycerin, glycerine), 0.05% BSA
Shipped at conditions
Blue Ice
Appropriate short-term storage duration
1-2 weeks
Appropriate short-term storage conditions
+4°C
Appropriate long-term storage conditions
-20°C
Aliquoting information
Upon delivery aliquot
Storage information
Avoid freeze / thaw cycle

Supplementary information

This supplementary information is collated from multiple sources and compiled automatically.

CTCF also known as the CCCTC-binding factor is a highly conserved zinc finger protein involved in transcriptional regulation and chromatin organization. It has a molecular weight of approximately 82 kDa. The CTCF protein plays a critical mechanical role in controlling the three-dimensional architecture of the genome by binding to specific DNA sequences and forming chromatin loops. It is widely expressed in various cell types across tissues where it acts as a transcriptional repressor and activator depending on the context. CTCF immunofluorescence techniques enable the visualization of its dynamic distribution and expression within the nucleus.
Biological function summary

The multipurpose CTCF protein acts in coordinating the spatial organization of the genome. It functions as an insulator by regulating the boundaries between different chromosomal domains and controlling gene expression. CTCF operates within various complexes interacting with cohesin a vital protein complex that facilitates loop formation and influences genome architecture. This interaction helps in maintaining the integrity of the genome structure and proper chromatin insulation which are essential for normal gene function.

Pathways

CTCF plays significant roles in epigenetic regulatory networks and transcriptional pathways. In the epigenetic landscape it influences gene expression through modulation of DNA methylation states at CpG islands interacting with proteins like DNA methyltransferases. In transcriptional pathways CTCF interacts with nuclear factor Y (NF-Y) which contributes to cell cycle regulation by modulating the expression of cell cycle genes. These pathways reflect CTCF's versatility in gene regulation and its influence on maintaining cellular homeostasis.

CTCF disruptions have been implicated in cancer and intellectual disabilities. Mutations or altered expression of CTCF can lead to tumorigenesis as CTCF acts as a tumor suppressor by controlling oncogene and tumor suppressor gene expression. In intellectual disabilities CTCF mutations affect brain development by disrupting the expression of neuronal genes. The protein's interaction with cohesin has links to disorders such as Cornelia de Lange syndrome where cohesin complex dysfunction parallels the phenotypes seen with CTCF aberrations.

Product protocols

For this product, it's our understanding that no specific protocols are required. You can visit:

Target data

Chromatin binding factor that binds to DNA sequence specific sites and regulates the 3D structure of chromatin (PubMed : 18347100, PubMed : 18654629, PubMed : 19322193). Binds together strands of DNA, thus forming chromatin loops, and anchors DNA to cellular structures, such as the nuclear lamina (PubMed : 18347100, PubMed : 18654629, PubMed : 19322193). Defines the boundaries between active and heterochromatic DNA via binding to chromatin insulators, thereby preventing interaction between promoter and nearby enhancers and silencers (PubMed : 18347100, PubMed : 18654629, PubMed : 19322193). Plays a critical role in the epigenetic regulation (PubMed : 16949368). Participates in the allele-specific gene expression at the imprinted IGF2/H19 gene locus (PubMed : 16107875, PubMed : 16815976, PubMed : 17827499). On the maternal allele, binding within the H19 imprinting control region (ICR) mediates maternally inherited higher-order chromatin conformation to restrict enhancer access to IGF2 (By similarity). Mediates interchromosomal association between IGF2/H19 and WSB1/NF1 and may direct distant DNA segments to a common transcription factory (By similarity). Regulates asynchronous replication of IGF2/H19 (By similarity). Plays a critical role in gene silencing over considerable distances in the genome (By similarity). Preferentially interacts with unmethylated DNA, preventing spreading of CpG methylation and maintaining methylation-free zones (PubMed : 18413740). Inversely, binding to target sites is prevented by CpG methylation (PubMed : 18413740). Plays an important role in chromatin remodeling (PubMed : 18413740). Can dimerize when it is bound to different DNA sequences, mediating long-range chromatin looping (PubMed : 12191639). Causes local loss of histone acetylation and gain of histone methylation in the beta-globin locus, without affecting transcription (PubMed : 12191639). When bound to chromatin, it provides an anchor point for nucleosomes positioning (PubMed : 12191639). Seems to be essential for homologous X-chromosome pairing (By similarity). May participate with Tsix in establishing a regulatable epigenetic switch for X chromosome inactivation (PubMed : 11743158). May play a role in preventing the propagation of stable methylation at the escape genes from X-inactivation (PubMed : 11743158). Involved in sister chromatid cohesion (PubMed : 12191639). Associates with both centromeres and chromosomal arms during metaphase and required for cohesin localization to CTCF sites (PubMed : 18550811). Plays a role in the recruitment of CENPE to the pericentromeric/centromeric regions of the chromosome during mitosis (PubMed : 26321640). Acts as a transcriptional repressor binding to promoters of vertebrate MYC gene and BAG1 gene (PubMed : 18413740, PubMed : 8649389, PubMed : 9591631). Also binds to the PLK and PIM1 promoters (PubMed : 12191639). Acts as a transcriptional activator of APP (PubMed : 9407128). Regulates APOA1/C3/A4/A5 gene cluster and controls MHC class II gene expression (PubMed : 18347100, PubMed : 19322193). Plays an essential role in oocyte and preimplantation embryo development by activating or repressing transcription (By similarity). Seems to act as tumor suppressor (PubMed : 12191639).
See full target information CTCF

Publications (2)

Recent publications for all applications. Explore the full list and refine your search

Cell biochemistry and function 43:e70064 PubMed40103178

2025

HDAC4-AS1/CTCF Transcriptionally Represses HDAC4 Under Stress, Whereas HDAC4 Inhibits Stress-Induced Syncytiotrophoblast Cellular Pyroptosis by Deacetylating NLRP3 and GSDMD.

Applications

Unspecified application

Species

Unspecified reactive species

Juan Du,Qinghong Ji,Lihua Dong,Lanlan Wang,Gang Xin

The Kaohsiung journal of medical sciences 40:722-731 PubMed38757482

2024

METTL3 aggravates cell damage induced by Streptococcus pneumoniae via the NEAT1/CTCF/MUC19 axis.

Applications

Unspecified application

Species

Unspecified reactive species

Dong-Bo Ma,Hui Zhang,Xi-Ling Wang,Qiu-Ge Wu
View all publications

Product promise

We are committed to supporting your work with high-quality reagents, and we're here for you every step of the way. In the unlikely event that one of our products does not perform as expected, you're protected by our Product Promise.
For full details, please see our Terms & Conditions

Please note: All products are 'FOR RESEARCH USE ONLY. NOT FOR USE IN DIAGNOSTIC OR THERAPEUTIC PROCEDURES'.

For licensing inquiries, please contact partnerships@abcam.com