JavaScript is disabled in your browser. Please enable JavaScript to view this website.
AB259269

Anti-CTHRC1 antibody [EPR22851-145] - BSA and Azide free

Be the first to review this product! Submit a review

|

(0 Publication)

Rabbit Recombinant Monoclonal CTHRC1 antibody. Carrier free. Suitable for IP, WB, IHC-P and reacts with Human samples.

View Alternative Names

UNQ762/PRO1550, CTHRC1, Collagen triple helix repeat-containing protein 1

4 Images
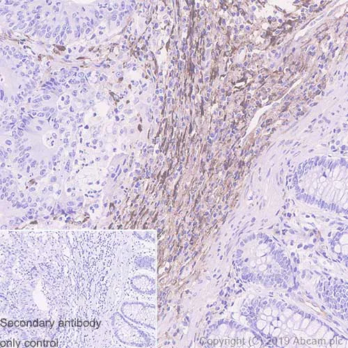
Immunohistochemistry (Formalin/PFA-fixed paraffin-embedded sections) - Anti-CTHRC1 antibody [EPR22851-145] - BSA and Azide free (AB259269)
  • IHC-P

Unknown

Immunohistochemistry (Formalin/PFA-fixed paraffin-embedded sections) - Anti-CTHRC1 antibody [EPR22851-145] - BSA and Azide free (AB259269)

Immunohistochemical analysis of paraffin-embedded Human colon carcinoma tissue labeling CTHRC1 with ab256458 at 1/500 dilution (1.19 ug/ml) followed by a ready to use Rabbit specific IHC polymer detection kit HRP/DAB (ab209101). Positive staining on the stromal cells in the human colon carcinoma, nearly no staining on the paracancerous colon tissues (PMID : 24945147). The section was incubated with ab256458 for 15 mins at room temperature. The immunostaining was performed on a Leica Biosystems BOND® RX instrument. Counterstained with Hematoxylin.

Secondary antibody only control/ Secondary antibody is a ready to use Rabbit specific IHC polymer detection kit HRP/DAB (ab209101).

Heat mediated antigen retrieval with Tris-EDTA buffer (pH 9.0, epitope retrieval solution 2) for 20 mins.

.

This data was developed using the same antibody clone in a different buffer formulation containing PBS, BSA, glycerol, and sodium azide (ab256458).

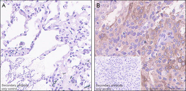
Immunohistochemistry (Formalin/PFA-fixed paraffin-embedded sections) - Anti-CTHRC1 antibody [EPR22851-145] - BSA and Azide free (AB259269)
  • IHC-P

Unknown

Immunohistochemistry (Formalin/PFA-fixed paraffin-embedded sections) - Anti-CTHRC1 antibody [EPR22851-145] - BSA and Azide free (AB259269)

Immunohistochemical analysis of paraffin-embedded Human breast and breast carcinoma tissue labeling CTHRC1 with ab256458 at 1/500 dilution (1.19 ug/ml) followed by a ready to use Rabbit specific IHC polymer detection kit HRP/DAB (ab209101). No staining on the paracancerous human breast tissue (panel A). Positive staining on the stromal cells in the human breast carcinoma (panel B; PMID : 24945147). The section was incubated with ab256458 for 15 mins at room temperature. The immunostaining was performed on a Leica Biosystems BOND® RX instrument. Counterstained with Hematoxylin.

Secondary antibody only control/ Secondary antibody is a ready to use Rabbit specific IHC polymer detection kit HRP/DAB (ab209101).

Heat mediated antigen retrieval with Tris-EDTA buffer (pH 9.0, epitope retrieval solution 2) for 20 mins.

This data was developed using the same antibody clone in a different buffer formulation containing PBS, BSA, glycerol, and sodium azide (ab256458).

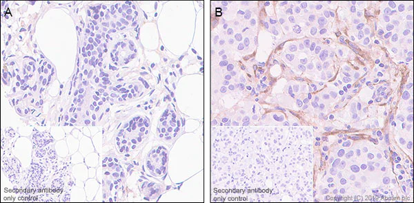
Immunohistochemistry (Formalin/PFA-fixed paraffin-embedded sections) - Anti-CTHRC1 antibody [EPR22851-145] - BSA and Azide free (AB259269)
  • IHC-P

Unknown

Immunohistochemistry (Formalin/PFA-fixed paraffin-embedded sections) - Anti-CTHRC1 antibody [EPR22851-145] - BSA and Azide free (AB259269)

Immunohistochemical analysis of paraffin-embedded Human lung and lung carcinoma tissue labeling CTHRC1 with ab256458 at 1/500 dilution (1.19 ug/ml) followed by a ready to use Rabbit specific IHC polymer detection kit HRP/DAB (ab209101). No staining on the paracancerous human lung tissue (panel A). Positive staining on human lung carcinoma (panel B; PMID : 29631554). The section was incubated with ab256458 for 15 mins at room temperature. The immunostaining was performed on a Leica Biosystems BOND® RX instrument. Counterstained with Hematoxylin.

Secondary antibody only control/ Secondary antibody is a ready to use Rabbit specific IHC polymer detection kit HRP/DAB (ab209101).

Heat mediated antigen retrieval with Tris-EDTA buffer (pH 9.0, epitope retrieval solution 2) for 20 mins.

This data was developed using the same antibody clone in a different buffer formulation containing PBS, BSA, glycerol, and sodium azide (ab256458).

Immunoprecipitation - Anti-CTHRC1 antibody [EPR22851-145] - BSA and Azide free (AB259269)
  • IP

Unknown

Immunoprecipitation - Anti-CTHRC1 antibody [EPR22851-145] - BSA and Azide free (AB259269)

CTHRC1 was immunoprecipitated from 0.35 mg SK-MEL-28 (Human malignant melanoma) whole cell lysate with ab256458 at 1/30 dilution (2ug in 0.35mg lysates). Western blot was performed on the immunoprecipitate using ab256458 at 1/1000 dilution. VeriBlot for IP Detection Reagent (HRP) (ab131366) was used at 1/5000 dilution.

Lane 1 : SK-MEL-28 (Human malignant melanoma) whole cell lysate 10ug

Lane 2 : ab256458 IP in SK-MEL-28 whole cell lysate

Lane 3 : Rabbit monoclonal IgG (ab172730) instead of ab256458 in SK-MEL-28 whole cell lysate.

Blocking and dilution buffer and concentration : 5% NFDM/TBST.

Exposure time : 30 seconds.

This data was developed using the same antibody clone in a different buffer formulation containing PBS, BSA, glycerol, and sodium azide (ab256458).

All lanes:

Immunoprecipitation - Anti-CTHRC1 antibody [EPR22851-145] (<a href='/en-us/products/primary-antibodies/cthrc1-antibody-epr22851-145-ab256458'>ab256458</a>)

Predicted band size: 26 kDa

Observed band size: 26 kDa

false

Key facts

Host species

Rabbit

Clonality

Monoclonal

Clone number

EPR22851-145

Isotype

IgG

Carrier free

Yes

Reacts with

Human

Applications

WB, IP, IHC-P

applications

Immunogen

The exact immunogen used to generate this antibody is proprietary information.

Reactivity data

{ "title": "Reactivity Data", "filters": { "stats": ["", "Species", "Dilution Info", "Notes"], "tabs": { "all-applications": {"fullname" : "All Applications", "shortname": "All Applications"}, "IP" : {"fullname" : "Immunoprecipitation", "shortname":"IP"}, "FlowCyt" : {"fullname" : "Flow Cytometry", "shortname":"Flow Cyt"}, "WB" : {"fullname" : "Western blot", "shortname":"WB"}, "ICCIF" : {"fullname" : "Immunocytochemistry/ Immunofluorescence", "shortname":"ICC/IF"}, "IHCP" : {"fullname" : "Immunohistochemistry (Formalin/PFA-fixed paraffin-embedded sections)", "shortname":"IHC-P"} }, "product-promise": { "all": "all", "testedAndGuaranteed": "tested", "guaranteed": "expected", "predicted": "predicted", "notRecommended": "not-recommended" } }, "values": { "Human": { "IP-species-checked": "testedAndGuaranteed", "IP-species-dilution-info": "", "IP-species-notes": "<p></p>", "FlowCyt-species-checked": "notRecommended", "FlowCyt-species-dilution-info": "", "FlowCyt-species-notes": "<p></p>", "WB-species-checked": "guaranteed", "WB-species-dilution-info": "", "WB-species-notes": "<p></p>", "ICCIF-species-checked": "notRecommended", "ICCIF-species-dilution-info": "", "ICCIF-species-notes": "<p></p>", "IHCP-species-checked": "testedAndGuaranteed", "IHCP-species-dilution-info": "", "IHCP-species-notes": "<p></p>" } } }

Product details

ab259269 is the carrier-free version of ab256458.

Patented technology
Our RabMAb® technology is a patented hybridoma-based technology for making rabbit monoclonal antibodies. For details on our patents, please refer to RabMAb® patents.

What are the advantages of a recombinant monoclonal antibody?
This product is a recombinant monoclonal antibody, which offers several advantages including:

  • - High batch-to-batch consistency and reproducibility
  • - Improved sensitivity and specificity
  • - Long-term security of supply
  • - Animal-free batch production

For more information, read more on recombinant antibodies.

Conjugation ready
Our carrier-free antibodies are typically supplied in a PBS-only formulation, purified and free of BSA, sodium azide and glycerol. This conjugation-ready format is designed for use with fluorochromes, metal isotopes, oligonucleotides, and enzymes, which makes them ideal for antibody labelling, functional and cell-based assays, flow-based assays (e.g. mass cytometry) and Multiplex Imaging applications.

Use our conjugation kits for antibody conjugates that are ready-to-use in as little as 20 minutes with 1 minute hands-on-time and 100% antibody recovery: available for fluorescent dyes, HRP, biotin and gold.

Compatibility
This product is compatible with the Maxpar® Antibody Labeling Kit from Fluidigm, without the need for antibody preparation. Maxpar® is a trademark of Fluidigm Canada Inc.

Properties and storage information

Form
Liquid
Purification technique
Affinity purification Protein A
Storage buffer
pH: 7.2 - 7.4 Constituents: PBS
Shipped at conditions
Blue Ice
Appropriate short-term storage conditions
+4°C
Appropriate long-term storage conditions
+4°C
Storage information
Do Not Freeze

Supplementary information

This supplementary information is collated from multiple sources and compiled automatically.

The CTHRC1 protein also known as Collagen Triple Helix Repeat Containing 1 is a secreted protein with a mass of approximately 28 kDa. It plays a mechanical role in the extracellular matrix by modulating collagen fibrillogenesis and cross-linking. Increased expression of CTHRC1 protein often appears in areas undergoing active remodeling like those around wound healing sites fibrotic lesions and certain tumor tissues. The expression is not uniform across tissues and often corresponds to areas requiring structural reorganization or repair.
Biological function summary

CTHRC1 impacts cell migration and invasion. It associates with several extracellular matrix components influencing cellular response through cytoskeletal reorganization. There is no evidence for its participation as a part of a larger protein complex. The modulation of collagen interactions by CTHRC1 enables it to play a significant role in angiogenesis and tissue repair processes affecting endothelial and fibroblast cell functions.

Pathways

CTHRC1 participates in signaling pathways related to Transforming Growth Factor-beta (TGF-β) and Wnt. In the TGF-β pathway it impacts cellular responses to growth signals enhancing remodeling and repair mechanisms. Through the Wnt signaling pathway CTHRC1 interacts with Dishevelled proteins assisting in regulation and pathway activation related to cell proliferation and migration. These pathways highlight its involvement in important biological processes that influence tissue structure and cell communication.

CTHRC1 has relevance to both cancer progression and fibrotic diseases. Its overexpression is often noted in breast cancer where it drives tumor growth and metastasis interacting with other matrix components. Similarly in fibrosis CTHRC1 contributes to excessive collagen deposition and tissue stiffness. Proteins like TGF-β intersect with CTHRC1 functions further modulating disease pathway outcomes. Understanding CTHRC1's role in these disorders could inform therapeutic targets for modulating matrix dynamics.

Product protocols

For this product, it's our understanding that no specific protocols are required. You can visit:

Target data

May act as a negative regulator of collagen matrix deposition.
See full target information CTHRC1

Product promise

We are committed to supporting your work with high-quality reagents, and we're here for you every step of the way. In the unlikely event that one of our products does not perform as expected, you're protected by our Product Promise.
For full details, please see our Terms & Conditions

Please note: All products are 'FOR RESEARCH USE ONLY. NOT FOR USE IN DIAGNOSTIC OR THERAPEUTIC PROCEDURES'.

For licensing inquiries, please contact partnerships@abcam.com