JavaScript is disabled in your browser. Please enable JavaScript to view this website.
AB256127

Anti-Ctip1/BCL-11A antibody [123] - BSA and Azide free

Be the first to review this product! Submit a review

|

(5 Publications)

Mouse Recombinant Monoclonal Ctip1/BCL-11A antibody. Carrier free. Suitable for IHC-P and reacts with Mouse, Rat, Human samples. Cited in 5 publications.

View Alternative Names

CTIP1, EVI9, KIAA1809, ZNF856, BCL11A, B-cell lymphoma/leukemia 11A, BCL-11A, B-cell CLL/lymphoma 11A, COUP-TF-interacting protein 1, Ecotropic viral integration site 9 protein homolog, Zinc finger protein 856, EVI-9

4 Images
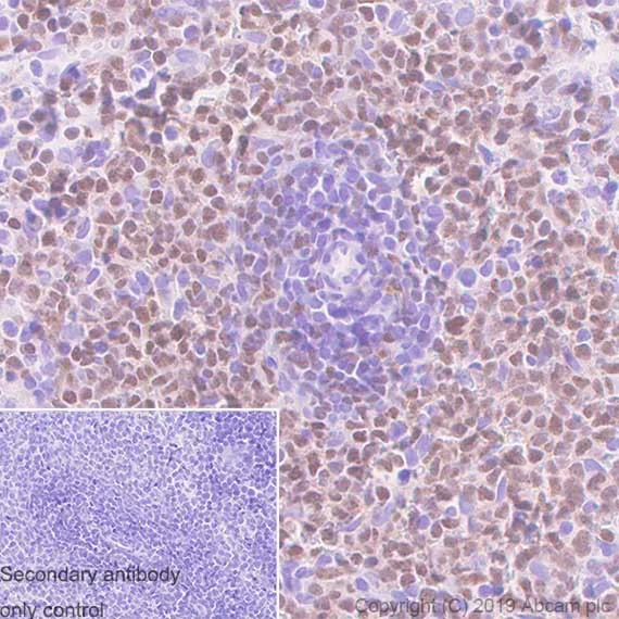
Immunohistochemistry (Formalin/PFA-fixed paraffin-embedded sections) - Anti-Ctip1/BCL-11A antibody [123] - BSA and Azide free (AB256127)
  • IHC-P

Supplier Data

Immunohistochemistry (Formalin/PFA-fixed paraffin-embedded sections) - Anti-Ctip1/BCL-11A antibody [123] - BSA and Azide free (AB256127)

Immunohistochemical analysis of paraffin-embedded human tonsil tissue labeling Ctip1/BCL-11A with ab119275 at 5.26μg/ml, followed by a ready to use secondary antibody. Nuclear staining on human tonsil is observed. Counter stained with hematoxylin.

Secondary antibody only control : Used PBS instead of primary antibody, secondary antibody is ready to use secondary antibody.

The section was incubated with ab119275 for 30 mins at room temperature.

Heat mediated antigen retrieval with Tris-EDTA buffer (pH 9.0, epitope retrieval solution 2) for 20 mins.

The immunostaining staining was performed on a Leica Biosystems BOND® RX instrument.

This data was developed using the same antibody clone in a different buffer formulation containing PBS, BSA, glycerol, and sodium azide (ab119275).

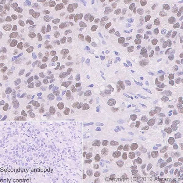
Immunohistochemistry (Formalin/PFA-fixed paraffin-embedded sections) - Anti-Ctip1/BCL-11A antibody [123] - BSA and Azide free (AB256127)
  • IHC-P

Supplier Data

Immunohistochemistry (Formalin/PFA-fixed paraffin-embedded sections) - Anti-Ctip1/BCL-11A antibody [123] - BSA and Azide free (AB256127)

Immunohistochemical analysis of paraffin-embedded human breast carcinoma tissue labeling Ctip1/BCL-11A with ab119275 at 5.26, followed by a ready to use secondary antibody. Nuclear staining on human breast carcinoma is observed. Counter stained with hematoxylin.

Secondary antibody only control : Used PBS instead of primary antibody, secondary antibody is ready to use secondary antibody.

The section was incubated with ab119275 for 30 mins at room temperature.

Heat mediated antigen retrieval with Tris-EDTA buffer (pH 9.0, epitope retrieval solution 2) for 20 mins.

The immunostaining staining was performed on a Leica Biosystems BOND® RX instrument.

This data was developed using the same antibody clone in a different buffer formulation containing PBS, BSA, glycerol, and sodium azide (ab119275).

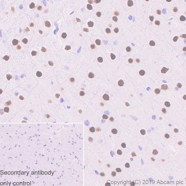
Immunohistochemistry (Formalin/PFA-fixed paraffin-embedded sections) - Anti-Ctip1/BCL-11A antibody [123] - BSA and Azide free (AB256127)
  • IHC-P

Supplier Data

Immunohistochemistry (Formalin/PFA-fixed paraffin-embedded sections) - Anti-Ctip1/BCL-11A antibody [123] - BSA and Azide free (AB256127)

Immunohistochemical analysis of paraffin-embedded mouse cerebrum tissue labeling Ctip1/BCL-11A with ab119275 at 0.526μg/ml, followed by a ready to use secondary antibody. Nuclear staining on mouse cerebrum is observed. Counter stained with hematoxylin.

Secondary antibody only control : Used PBS instead of primary antibody, secondary antibody is ready to use secondary antibody.

The section was incubated with ab119275 for 30 mins at room temperature.

Heat mediated antigen retrieval with Tris-EDTA buffer (pH 9.0, epitope retrieval solution 2) for 20 mins.

The immunostaining staining was performed on a Leica Biosystems BOND® RX instrument.

This data was developed using the same antibody clone in a different buffer formulation containing PBS, BSA, glycerol, and sodium azide (ab119275).

Immunohistochemistry (Formalin/PFA-fixed paraffin-embedded sections) - Anti-Ctip1/BCL-11A antibody [123] - BSA and Azide free (AB256127)
  • IHC-P

Supplier Data

Immunohistochemistry (Formalin/PFA-fixed paraffin-embedded sections) - Anti-Ctip1/BCL-11A antibody [123] - BSA and Azide free (AB256127)

Immunohistochemical analysis of paraffin-embedded rat spleen tissue labeling Ctip1/BCL-11A with ab119275 at 0.526μg/ml, followed by a ready to use secondary antibody. Nuclear staining on rat spleen is observed. Counter stained with hematoxylin.

Secondary antibody only control : Used PBS instead of primary antibody, secondary antibody is ready to use secondary antibody.

The section was incubated with ab119275 for 30 mins at room temperature.

Heat mediated antigen retrieval with Tris-EDTA buffer (pH 9.0, epitope retrieval solution 2) for 20 mins.

The immunostaining staining was performed on a Leica Biosystems BOND® RX instrument.

This data was developed using the same antibody clone in a different buffer formulation containing PBS, BSA, glycerol, and sodium azide (ab119275).

Key facts

Host species

Mouse

Clonality

Monoclonal

Clone number

123

Isotype

IgG1

Carrier free

Yes

Reacts with

Mouse, Rat, Human

Applications

IHC-P

applications

Immunogen

The exact immunogen used to generate this antibody is proprietary information.

Reactivity data

{ "title": "Reactivity Data", "filters": { "stats": ["", "Species", "Dilution Info", "Notes"], "tabs": { "all-applications": {"fullname" : "All Applications", "shortname": "All Applications"}, "IP" : {"fullname" : "Immunoprecipitation", "shortname":"IP"}, "FlowCyt" : {"fullname" : "Flow Cytometry", "shortname":"Flow Cyt"}, "WB" : {"fullname" : "Western blot", "shortname":"WB"}, "ICCIF" : {"fullname" : "Immunocytochemistry/ Immunofluorescence", "shortname":"ICC/IF"}, "IHCP" : {"fullname" : "Immunohistochemistry (Formalin/PFA-fixed paraffin-embedded sections)", "shortname":"IHC-P"} }, "product-promise": { "all": "all", "testedAndGuaranteed": "tested", "guaranteed": "expected", "predicted": "predicted", "notRecommended": "not-recommended" } }, "values": { "Human": { "IP-species-checked": "notRecommended", "IP-species-dilution-info": "", "IP-species-notes": "<p></p>", "FlowCyt-species-checked": "notRecommended", "FlowCyt-species-dilution-info": "", "FlowCyt-species-notes": "<p></p>", "WB-species-checked": "notRecommended", "WB-species-dilution-info": "", "WB-species-notes": "<p></p>", "ICCIF-species-checked": "notRecommended", "ICCIF-species-dilution-info": "", "ICCIF-species-notes": "<p></p>", "IHCP-species-checked": "testedAndGuaranteed", "IHCP-species-dilution-info": "0.526-5.26 µg/mL", "IHCP-species-notes": "<p>Human: Use at 5.26μg/ml.</p><p>Mouse and rat: Use at 0.526μg/ml.</p> Perform heat-mediated antigen retrieval with Tris/EDTA buffer pH 9.0 before commencing with IHC staining protocol." }, "Mouse": { "IP-species-checked": "notRecommended", "IP-species-dilution-info": "", "IP-species-notes": "<p></p>", "FlowCyt-species-checked": "notRecommended", "FlowCyt-species-dilution-info": "", "FlowCyt-species-notes": "<p></p>", "WB-species-checked": "notRecommended", "WB-species-dilution-info": "", "WB-species-notes": "<p></p>", "ICCIF-species-checked": "notRecommended", "ICCIF-species-dilution-info": "", "ICCIF-species-notes": "<p></p>", "IHCP-species-checked": "testedAndGuaranteed", "IHCP-species-dilution-info": "0.526-5.26 µg/mL", "IHCP-species-notes": "<p>Human: Use at 5.26μg/ml.</p><p>Mouse and rat: Use at 0.526μg/ml.</p> Perform heat-mediated antigen retrieval with Tris/EDTA buffer pH 9.0 before commencing with IHC staining protocol." }, "Rat": { "IP-species-checked": "notRecommended", "IP-species-dilution-info": "", "IP-species-notes": "<p></p>", "FlowCyt-species-checked": "notRecommended", "FlowCyt-species-dilution-info": "", "FlowCyt-species-notes": "<p></p>", "WB-species-checked": "notRecommended", "WB-species-dilution-info": "", "WB-species-notes": "<p></p>", "ICCIF-species-checked": "notRecommended", "ICCIF-species-dilution-info": "", "ICCIF-species-notes": "<p></p>", "IHCP-species-checked": "testedAndGuaranteed", "IHCP-species-dilution-info": "0.526-5.26 µg/mL", "IHCP-species-notes": "<p>Human: Use at 5.26μg/ml.</p><p>Mouse and rat: Use at 0.526μg/ml.</p> Perform heat-mediated antigen retrieval with Tris/EDTA buffer pH 9.0 before commencing with IHC staining protocol." } } }

Product details

ab256127 is the carrier-free version of ab119275.

What are the advantages of a recombinant monoclonal antibody?
This product is a recombinant monoclonal antibody, which offers several advantages including:

  • - High batch-to-batch consistency and reproducibility
  • - Improved sensitivity and specificity
  • - Long-term security of supply
  • - Animal-free batch production

For more information, read more on recombinant antibodies.

Want a custom formulation?
This antibody clone is manufactured by Abcam. If you require a custom buffer formulation or conjugation for your experiments, please contact orders@abcam.com

Conjugation ready
Our carrier-free antibodies are typically supplied in a PBS-only formulation, purified and free of BSA, sodium azide and glycerol. This conjugation-ready format is designed for use with fluorochromes, metal isotopes, oligonucleotides, and enzymes, which makes them ideal for antibody labelling, functional and cell-based assays, flow-based assays (e.g. mass cytometry) and Multiplex Imaging applications.

Use our conjugation kits for antibody conjugates that are ready-to-use in as little as 20 minutes with 1 minute hands-on-time and 100% antibody recovery: available for fluorescent dyes, HRP, biotin and gold.

Compatibility
This product is compatible with the Maxpar® Antibody Labeling Kit from Fluidigm, without the need for antibody preparation. Maxpar® is a trademark of Fluidigm Canada Inc.

Properties and storage information

Form
Liquid
Purification technique
Affinity purification Protein A
Storage buffer
pH: 7.2 - 7.4 Constituents: PBS
Shipped at conditions
Blue Ice
Appropriate short-term storage conditions
+4°C
Appropriate long-term storage conditions
+4°C
Storage information
Do Not Freeze

Product protocols

For this product, it's our understanding that no specific protocols are required. You can visit:

Target data

Transcription factor (PubMed : 16704730, PubMed : 29606353). Associated with the BAF SWI/SNF chromatin remodeling complex (PubMed : 23644491). Binds to the 5'-TGACCA-3' sequence motif in regulatory regions of target genes, including a distal promoter of the HBG1 hemoglobin subunit gamma-1 gene (PubMed : 29606353). Involved in regulation of the developmental switch from gamma- to beta-globin, probably via direct repression of HBG1; hence indirectly repressing fetal hemoglobin (HbF) level (PubMed : 26375765, PubMed : 29606353). Involved in brain development (PubMed : 27453576). May play a role in hematopoiesis (By similarity). Essential factor in lymphopoiesis required for B-cell formation in fetal liver (By similarity). May function as a modulator of the transcriptional repression activity of NR2F2 (By similarity).
See full target information BCL11A

Publications (5)

Recent publications for all applications. Explore the full list and refine your search

Blood 113:2765-3775 PubMed19096012

2008

Molecular profiling of classical Hodgkin lymphoma tissues uncovers variations in the tumor microenvironment and correlations with EBV infection and outcome.

Applications

Unspecified application

Species

Unspecified reactive species

Bruno Chetaille,François Bertucci,Pascal Finetti,Benjamin Esterni,Aspasia Stamatoullas,Jean Michel Picquenot,Marie Christine Copin,Frank Morschhauser,Olivier Casasnovas,Tony Petrella,Thierry Molina,Anne Vekhoff,Pierre Feugier,Reda Bouabdallah,Daniel Birnbaum,Daniel Olive,Luc Xerri

Blood 111:3778-92 PubMed18218851

2008

Novel markers of normal and neoplastic human plasmacytoid dendritic cells.

Applications

Unspecified application

Species

Unspecified reactive species

Teresa Marafioti,Jennifer C Paterson,Erica Ballabio,Kaaren K Reichard,Sara Tedoldi,Kevin Hollowood,Michael Dictor,Martin-Leo Hansmann,Stefano A Pileri,Martin J Dyer,Silvano Sozzani,Ivan Dikic,Andrey S Shaw,Tony Petrella,Harald Stein,Peter G Isaacson,Fabio Facchetti,David Y Mason

Leukemia 20:1880-2 PubMed16871282

2006

Gains of the proto-oncogene BCL11A and nuclear accumulation of BCL11A(XL) protein are frequent in primary mediastinal B-cell lymphoma.

Applications

Unspecified application

Species

Unspecified reactive species

M A Weniger,K Pulford,S Gesk,S Ehrlich,A H Banham,L Lyne,J I Martin-Subero,R Siebert,M J S Dyer,P Möller,T F E Barth

Leukemia 20:1439-41 PubMed16710303

2006

The BCL11AXL transcription factor: its distribution in normal and malignant tissues and use as a marker for plasmacytoid dendritic cells.

Applications

Unspecified application

Species

Unspecified reactive species

K Pulford,A H Banham,L Lyne,M Jones,G C Ippolito,H Liu,P W Tucker,G Roncador,E Lucas,S Ashe,L Stockwin,R Walewska,L Karran,R D Gascoyne,D Y Mason,M J S Dyer

Molecular cancer 5:18 PubMed16704730

2006

Functional studies of BCL11A: characterization of the conserved BCL11A-XL splice variant and its interaction with BCL6 in nuclear paraspeckles of germinal center B cells.

Applications

Unspecified application

Species

Unspecified reactive species

Hui Liu,Gregory C Ippolito,Jason K Wall,Teresa Niu,Loren Probst,Baeck-Seung Lee,Karen Pulford,Alison H Banham,Luke Stockwin,Arthur L Shaffer,Louis M Staudt,Chhaya Das,Martin J S Dyer,Philip W Tucker
View all publications

Product promise

We are committed to supporting your work with high-quality reagents, and we're here for you every step of the way. In the unlikely event that one of our products does not perform as expected, you're protected by our Product Promise.
For full details, please see our Terms & Conditions

Please note: All products are 'FOR RESEARCH USE ONLY. NOT FOR USE IN DIAGNOSTIC OR THERAPEUTIC PROCEDURES'.

For licensing inquiries, please contact partnerships@abcam.com