JavaScript is disabled in your browser. Please enable JavaScript to view this website.
AB19487

Anti-Ctip1/BCL-11A antibody [14B5]

3

(2 Reviews)

|

(40 Publications)

Anti-Ctip1/BCL-11A antibody [14B5] (ab19487) is a mouse monoclonal antibody detecting Ctip1/BCL-11A in Western Blot, Flow Cytometry. Suitable for Human, Mouse.

- KO validated for confirmed specificity
- Over 40 publications
- Trusted since 2005

View Alternative Names

CTIP1, EVI9, KIAA1809, ZNF856, BCL11A, B-cell lymphoma/leukemia 11A, BCL-11A, B-cell CLL/lymphoma 11A, COUP-TF-interacting protein 1, Ecotropic viral integration site 9 protein homolog, Zinc finger protein 856, EVI-9

4 Images
Western blot - Anti-Ctip1/BCL-11A antibody [14B5] (AB19487)
  • WB

Lab

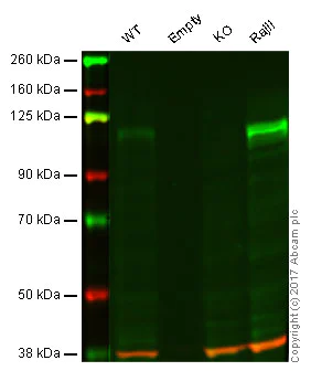
Western blot - Anti-Ctip1/BCL-11A antibody [14B5] (AB19487)

Lane 1 : Wild-type HAP1 whole cell lysate (20 μg)
Lane 2 : Empty (0 μg)
Lane 3 : BCL11A (Ctip1) knockout HAP1 whole cell lysate (20 μg)
Lane 4 : Raji whole cell lysate (20 μg)

Lanes 1 - 4 : Merged signal (red and green). Green - ab19487 observed at 91 kDa. Red - loading control, ab181602, observed at 37 kDa.

ab19487 was shown to specifically react with BCL11A (Ctip1) in HAP1 wild type cells. No band was observed when BCL11A (Ctip1) knockout cells were examined. Wild-type and BCL11A (Ctip1) knockout samples were subjected to SDS-PAGE. ab19487 and ab181602 (Rabbit anti GAPDH loading control) were incubated overnight at 4°C at 1/1000 dilution and 1/10,000 dilution respectively. Blots were developed with Goat anti-Mouse IgG H&L (IRDye® 800CW) preabsorbed (ab216772) and Goat anti-Rabbit IgG H&L (IRDye® 680RD) preabsorbed (ab216777) secondary antibodies at 1/10,000 dilution for 1 hour at room temperature before imaging.

All lanes:

Western blot - Anti-Ctip1/BCL-11A antibody [14B5] (ab19487)

Predicted band size: 91 kDa

false

Western blot - Anti-Ctip1/BCL-11A antibody [14B5] (AB19487)
  • WB

Supplier Data

Western blot - Anti-Ctip1/BCL-11A antibody [14B5] (AB19487)

The CTIP1 / BCL-11A protein band is indicated at 92 kDa. This antibody also identified a 55 kDa protein band in Western blotting, principally in mouse fibroblasts (MEF), but this is unrelated to.

Blocking was performed in 5% milk (in PBS). The primary antibody was diluted in 1% milk (in PBS) and incubated overnight at 4°C.

All lanes:

Western blot - Anti-Ctip1/BCL-11A antibody [14B5] (ab19487)

Lane 1:

C6 Cell Line at 20 µg

Lane 2:

MEF Cell Line at 20 µg

Lane 3:

HDFn Cell LIne at 20 µg

Lane 4:

Jurkat Cell Line at 20 µg

Lane 5:

HEK293T Cell Line at 20 µg

Predicted band size: 91 kDa

true

Flow Cytometry - Anti-Ctip1/BCL-11A antibody [14B5] (AB19487)
  • Flow Cyt

Unknown

Flow Cytometry - Anti-Ctip1/BCL-11A antibody [14B5] (AB19487)

Overlay histogram showing Ramos cells stained with ab19487 (red line). The cells were fixed with 4% paraformaldehyde (10 min) and then permeabilized with 0.1% PBS-Tween for 20 min. The cells were then incubated in 1x PBS / 10% normal goat serum / 0.3M glycine to block non-specific protein-protein interactions followed by the antibody (ab19487, 0.1μg/1x106 cells) for 30 min at 22°C. The secondary antibody used was Alexa Fluor® 488 goat anti-mouse IgG (H+L) (ab150113) at 1/2000 dilution for 30 min at 22°C. Isotype control antibody (black line) was mouse IgG1 [ICIGG1] (ab91353, 1μg/1x106 cells) used under the same conditions. Unlabelled sample (blue line) was also used as a control. Acquisition of >5,000 events were collected using a 20mW Argon ion laser (488nm) and 525/30 bandpass filter. This antibody gave a positive signal in Ramos cells fixed with 80% methanol (5 min)/permeabilized with 0.1% PBS-Tween for 20 min used under the same conditions.

Western blot - Anti-Ctip1/BCL-11A antibody [14B5] (AB19487)
  • WB

Unknown

Western blot - Anti-Ctip1/BCL-11A antibody [14B5] (AB19487)

The 120 kDa band observed is comparable to the molecular weight seen with other commercially available antibodies to Ctip1 / BCL-11A.

All lanes:

Western blot - Anti-Ctip1/BCL-11A antibody [14B5] (ab19487) at 1 µg/mL

All lanes:

Raji (Human Burkitt's lymphoma cell line) Whole Cell Lysate at 10 µg

Secondary

All lanes:

Western blot - Goat Anti-Mouse IgG H&L (HRP) preadsorbed (<a href='/en-us/products/secondary-antibodies/goat-mouse-igg-h-l-hrp-preadsorbed-ab97040'>ab97040</a>) at 1/5000 dilution

Predicted band size: 91 kDa

Observed band size: 120 kDa,37 kDa,42 kDa,62 kDa

true

Exposure time: 20min

Key facts

Host species

Mouse

Clonality

Monoclonal

Clone number

14B5

Isotype

IgG1

Light chain type

kappa

Carrier free

No

Reacts with

Mouse, Human

Applications

WB, Flow Cyt

applications

Immunogen

Recombinant Protein within Human BCL11A. The exact immunogen used to generate this antibody is proprietary information.

Q9H165

Epitope

Epitope is in core of CTIP1/Bcl11a (aa's 172-434).

Specificity

Some optimisation may be required for detection of the target protein due to low levels of endogenous expression in some samples. Please see images below for suitable positive controls.

Reactivity data

{ "title": "Reactivity Data", "filters": { "stats": ["", "Species", "Dilution Info", "Notes"], "tabs": { "all-applications": {"fullname" : "All Applications", "shortname": "All Applications"}, "FlowCyt" : {"fullname" : "Flow Cytometry", "shortname":"Flow Cyt"}, "WB" : {"fullname" : "Western blot", "shortname":"WB"} }, "product-promise": { "all": "all", "testedAndGuaranteed": "tested", "guaranteed": "expected", "predicted": "predicted", "notRecommended": "not-recommended" } }, "values": { "Human": { "FlowCyt-species-checked": "testedAndGuaranteed", "FlowCyt-species-dilution-info": "0.1 µg for 10^6 Cells", "FlowCyt-species-notes": "<p><a href='/en-us/products/primary-antibodies/mouse-igg1-kappa-monoclonal-15-6e10a7-isotype-control-ab170190'>ab170190</a> - Mouse monoclonal IgG1, is suitable for use as an isotype control with this antibody.</p>", "WB-species-checked": "testedAndGuaranteed", "WB-species-dilution-info": "1/1000", "WB-species-notes": "<p></p>" }, "Mouse": { "FlowCyt-species-checked": "guaranteed", "FlowCyt-species-dilution-info": "", "FlowCyt-species-notes": "", "WB-species-checked": "testedAndGuaranteed", "WB-species-dilution-info": "1/1000", "WB-species-notes": "<p></p>" } } }

Product details

What is this antibody validated in?
Anti-Ctip1/BCL-11A antibody [14B5] (ab19487) is a mouse monoclonal antibody and is validated for use in Western Blot (WB), Flow Cytometry (Flow Cyt) in Human, Mouse samples.

What is the molecular weight of Ctip1/BCL-11A?
Anti-Ctip1/BCL-11A [14B5] (ab19487) specifically detects a band for Ctip1/BCL-11A (UniProt: Q9H165) at a molecular weight of 91kDa.

Trusted by the scientific community
Anti-Ctip1/BCL-11A [14B5] (ab19487) was first used in a scientific publication in 2005 and has been cited over 40 times in peer-reviewed journals.

Specificity confirmed
The specificity of Anti-Ctip1/BCL-11A antibody [14B5] (ab19487) has been confirmed by Western blot testing in BCL11A Knockout HAP1 cells.

Properties and storage information

Form
Liquid
Purification technique
Multi-step chromatography
Storage buffer
pH: 7.5 Preservative: 0.02% Sodium azide Constituents: HEPES
Shipped at conditions
Blue Ice
Appropriate short-term storage conditions
+4°C
Appropriate long-term storage conditions
+4°C

Product protocols

For this product, it's our understanding that no specific protocols are required. You can visit:

Target data

Transcription factor (PubMed : 16704730, PubMed : 29606353). Associated with the BAF SWI/SNF chromatin remodeling complex (PubMed : 23644491). Binds to the 5'-TGACCA-3' sequence motif in regulatory regions of target genes, including a distal promoter of the HBG1 hemoglobin subunit gamma-1 gene (PubMed : 29606353). Involved in regulation of the developmental switch from gamma- to beta-globin, probably via direct repression of HBG1; hence indirectly repressing fetal hemoglobin (HbF) level (PubMed : 26375765, PubMed : 29606353). Involved in brain development (PubMed : 27453576). May play a role in hematopoiesis (By similarity). Essential factor in lymphopoiesis required for B-cell formation in fetal liver (By similarity). May function as a modulator of the transcriptional repression activity of NR2F2 (By similarity).
See full target information BCL11A

Publications (40)

Recent publications for all applications. Explore the full list and refine your search

Nature communications 14:6260 PubMed37803026

2023

Human cellular model systems of β-thalassemia enable in-depth analysis of disease phenotype.

Applications

Unspecified application

Species

Unspecified reactive species

Deborah E Daniels,Ivan Ferrer-Vicens,Joseph Hawksworth,Tatyana N Andrienko,Elizabeth M Finnie,Natalie S Bretherton,Daniel C J Ferguson,A Sofia F Oliveira,Jenn-Yeu A Szeto,Marieangela C Wilson,John N Brewin,Jan Frayne

Molecular therapy. Nucleic acids 32:229-246 PubMed37090420

2023

Novel lentiviral vectors for gene therapy of sickle cell disease combining gene addition and gene silencing strategies.

Applications

Unspecified application

Species

Unspecified reactive species

Mégane Brusson,Anne Chalumeau,Pierre Martinucci,Oriana Romano,Tristan Felix,Valentina Poletti,Samantha Scaramuzza,Sophie Ramadier,Cecile Masson,Giuliana Ferrari,Fulvio Mavilio,Marina Cavazzana,Mario Amendola,Annarita Miccio

Nature communications 14:23 PubMed36635268

2023

A specific G9a inhibitor unveils BGLT3 lncRNA as a universal mediator of chemically induced fetal globin gene expression.

Applications

Unspecified application

Species

Unspecified reactive species

Shohei Takase,Takashi Hiroyama,Fumiyuki Shirai,Yuki Maemoto,Akiko Nakata,Mayumi Arata,Seiji Matsuoka,Takeshi Sonoda,Hideaki Niwa,Shin Sato,Takashi Umehara,Mikako Shirouzu,Yosuke Nishigaya,Tatsunobu Sumiya,Noriaki Hashimoto,Ryosuke Namie,Masaya Usui,Tomokazu Ohishi,Shun-Ichi Ohba,Manabu Kawada,Yoshihiro Hayashi,Hironori Harada,Tokio Yamaguchi,Yoichi Shinkai,Yukio Nakamura,Minoru Yoshida,Akihiro Ito

Journal of cancer research and clinical oncology 149:3951-3963 PubMed36030436

2022

Deciphering clinical significance of BCL11A isoforms and protein expression roles in triple-negative breast cancer subtype.

Applications

Unspecified application

Species

Unspecified reactive species

Andrea Angius,Giovanna Pira,Paolo Cossu-Rocca,Giovanni Sotgiu,Laura Saderi,Maria Rosaria Muroni,Patrizia Virdis,Daniela Piras,Rallo Vincenzo,Ciriaco Carru,Donatella Coradduzza,Maria Gabriela Uras,Pierina Cottu,Alessandro Fancellu,Sandra Orrù,Paolo Uva,Maria Rosaria De Miglio

Cell chemical biology 29:1273-1287.e8 PubMed35839780

2022

Temporal resolution of gene derepression and proteome changes upon PROTAC-mediated degradation of BCL11A protein in erythroid cells.

Applications

Unspecified application

Species

Unspecified reactive species

Stuti Mehta,Altantsetseg Buyanbat,Yan Kai,Ozge Karayel,Seth Raphael Goldman,Davide Seruggia,Kevin Zhang,Yuko Fujiwara,Katherine A Donovan,Qian Zhu,Huan Yang,Behnam Nabet,Nathanael S Gray,Matthias Mann,Eric S Fischer,Karen Adelman,Stuart H Orkin

EMBO reports 23:e54104 PubMed35766181

2022

Developmental cell death of cortical projection neurons is controlled by a Bcl11a/Bcl6-dependent pathway.

Applications

Unspecified application

Species

Unspecified reactive species

Christoph Wiegreffe,Tobias Wahl,Natalie Sophie Joos,Jerome Bonnefont,Pentao Liu,Stefan Britsch

Nature genetics 54:874-884 PubMed35618846

2022

Dual function NFI factors control fetal hemoglobin silencing in adult erythroid cells.

Applications

Unspecified application

Species

Unspecified reactive species

Kunhua Qin,Peng Huang,Ruopeng Feng,Cheryl A Keller,Scott A Peslak,Eugene Khandros,Megan S Saari,Xianjiang Lan,Thiyagaraj Mayuranathan,Phillip A Doerfler,Osheiza Abdulmalik,Belinda Giardine,Stella T Chou,Junwei Shi,Ross C Hardison,Mitchell J Weiss,Gerd A Blobel

Cerebral cortex (New York, N.Y. : 1991) 32:3611-3632 PubMed34963132

2021

Transcription factors Bcl11a and Bcl11b are required for the production and differentiation of cortical projection neurons.

Applications

Unspecified application

Species

Unspecified reactive species

Heng Du,Ziwu Wang,Rongliang Guo,Lin Yang,Guoping Liu,Zhuangzhi Zhang,Zhejun Xu,Yu Tian,Zhengang Yang,Xiaosu Li,Bin Chen

PLoS genetics 17:e1009835 PubMed34634037

2021

Pathogenic BCL11A variants provide insights into the mechanisms of human fetal hemoglobin silencing.

Applications

Unspecified application

Species

Unspecified reactive species

Yong Shen,Rick Li,Kristian Teichert,Kara E Montbleau,Jeffrey M Verboon,Richard A Voit,Vijay G Sankaran

Nucleic acids research 49:9711-9723 PubMed34379783

2021

Transcriptional silencing of fetal hemoglobin expression by NonO.

Applications

Unspecified application

Species

Unspecified reactive species

Xinyu Li,Mengxia Chen,Biru Liu,Peifen Lu,Xiang Lv,Xiang Zhao,Shuaiying Cui,Peipei Xu,Yukio Nakamura,Ryo Kurita,Bing Chen,David C S Huang,De-Pei Liu,Ming Liu,Quan Zhao
View all publications

Product promise

We are committed to supporting your work with high-quality reagents, and we're here for you every step of the way. In the unlikely event that one of our products does not perform as expected, you're protected by our Product Promise.
For full details, please see our Terms & Conditions

Associated Products

Select an associated product type
Alternative Product
Primary Antibodies

AB19489

Anti-Ctip1/BCL-11A antibody [18B12DE6]

primary-antibodies

ctip1-bcl-11a-antibody-18b12de6-ab19489

4

(3 reviews)

Alternative Product
Primary Antibodies

AB242406

Anti-Ctip1/BCL-11A antibody [EPR14943-44] - BSA and Azide free

primary-antibodies

ctip1-bcl-11a-antibody-epr14943-44-bsa-and-azide-free-ab242406

0

(0 reviews)

Alternative Product
Primary Antibodies

AB191401

Anti-Ctip1/BCL-11A antibody [EPR14943-44]

primary-antibodies

ctip1-bcl-11a-antibody-epr14943-44-ab191401

0

(0 reviews)

Alternative Product
Primary Antibodies

AB264423

Anti-Ctip1/BCL-11A antibody [BLR073G] - BSA free

primary-antibodies

ctip1-bcl-11a-antibody-blr073g-bsa-free-ab264423

0

(0 reviews)

Alternative Product
Primary Antibodies

AB256127

Anti-Ctip1/BCL-11A antibody [123] - BSA and Azide free

primary-antibodies

ctip1-bcl-11a-antibody-123-bsa-and-azide-free-ab256127

0

(0 reviews)

Please note: All products are 'FOR RESEARCH USE ONLY. NOT FOR USE IN DIAGNOSTIC OR THERAPEUTIC PROCEDURES'.

For licensing inquiries, please contact partnerships@abcam.com