JavaScript is disabled in your browser. Please enable JavaScript to view this website.
AB242406

Anti-Ctip1/BCL-11A antibody [EPR14943-44] - BSA and Azide free

  • Advanced Validation
  • RabMAb
  • Recombinant
  • KO Validated
  • What is this?

Be the first to review this product! Submit a review

|

(2 Publications)

Rabbit Recombinant Monoclonal Ctip1/BCL-11A antibody. Carrier free. Suitable for IP, WB, ICC/IF, Flow Cyt (Intra), IHC-P, ChIC/CUT&RUN-seq and reacts with Human, Rat samples. Cited in 2 publications.

View Alternative Names

CTIP1, EVI9, KIAA1809, ZNF856, BCL11A, B-cell lymphoma/leukemia 11A, BCL-11A, B-cell CLL/lymphoma 11A, COUP-TF-interacting protein 1, Ecotropic viral integration site 9 protein homolog, Zinc finger protein 856, EVI-9

9 Images
Flow Cytometry (Intracellular) - Anti-Ctip1/BCL-11A antibody [EPR14943-44] - BSA and Azide free (AB242406)
  • Flow Cyt (Intra)

Unknown

Flow Cytometry (Intracellular) - Anti-Ctip1/BCL-11A antibody [EPR14943-44] - BSA and Azide free (AB242406)

Intracellular Flow Cytometry analysis of Jurkat (human acute T cell leukemia) labelling Ctip1/BCL-11A with purified ab191401 at 1/200 (red). Cells were fixed with 4% paraformaldehyde and permeabilised with 90% methanol. Alexa Fluor® 488 goat anti-rabbit IgG (1/2000) was used as the secondary antibody. Black - Isotype control, rabbit monoclonal IgG. Blue - Unlabelled control, cells without incubation with primary and secondary antibodies.

This data was developed using the same antibody clone in a different buffer formulation containing PBS, BSA, glycerol, and sodium azide (ab191401)

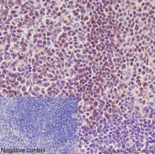
Immunohistochemistry (Formalin/PFA-fixed paraffin-embedded sections) - Anti-Ctip1/BCL-11A antibody [EPR14943-44] - BSA and Azide free (AB242406)
  • IHC-P

Supplier Data

Immunohistochemistry (Formalin/PFA-fixed paraffin-embedded sections) - Anti-Ctip1/BCL-11A antibody [EPR14943-44] - BSA and Azide free (AB242406)

Immunohistochemical analysis of paraffin-embedded, Human tonsil tissue labeling Ctip1/BCL-11A with ab191401 at a 1/100 dilution (19 μg/ml). Counter stained with hematoxylin. In the negative control PBS was used instead of primary antibody.

This data was developed using the same antibody clone in a different buffer formulation containing PBS, BSA, glycerol, and sodium azide (ab191401)

Perform heat mediated antigen retrieval with Tris/EDTA buffer pH 9.0 before commencing with IHC staining protocol.

Immunoprecipitation - Anti-Ctip1/BCL-11A antibody [EPR14943-44] - BSA and Azide free (AB242406)
  • IP

Unknown

Immunoprecipitation - Anti-Ctip1/BCL-11A antibody [EPR14943-44] - BSA and Azide free (AB242406)

ab191401 (purified) at 1/500 dilution (2.1 μg/ml) immunoprecipitating Ctip1/BCL-11A in Raji whole cell lysate.

Lane 1 (input) : Raji (Human Burkitt's lymphoma B lymphocyte) whole cell lysate 10μg
Lane 2 (+) : ab191401 & Raji whole cell lysate
Lane 3 (-) : Rabbit monoclonal IgG (ab172730) instead of ab191401 in Raji whole cell lysate

For western blotting, VeriBlot for IP Detection Reagent (HRP) (ab131366) was used for detection at 1/1000 dilution.

Blocking and diluting buffer : 5% NFDM /TBST.

This data was developed using the same antibody clone in a different buffer formulation containing PBS, BSA, glycerol, and sodium azide (ab191401).

All lanes:

Immunoprecipitation - Anti-Ctip1/BCL-11A antibody [EPR14943-44] (<a href='/en-us/products/primary-antibodies/ctip1-bcl-11a-antibody-epr14943-44-ab191401'>ab191401</a>)

Predicted band size: 91 kDa

false

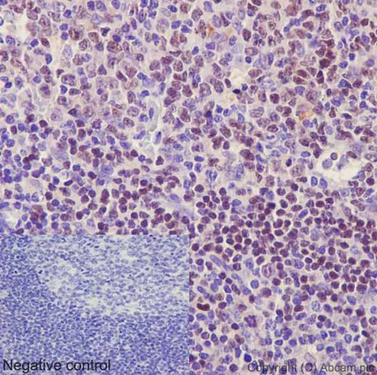
Immunohistochemistry (Formalin/PFA-fixed paraffin-embedded sections) - Anti-Ctip1/BCL-11A antibody [EPR14943-44] - BSA and Azide free (AB242406)
  • IHC-P

Supplier Data

Immunohistochemistry (Formalin/PFA-fixed paraffin-embedded sections) - Anti-Ctip1/BCL-11A antibody [EPR14943-44] - BSA and Azide free (AB242406)

Immunohistochemical analysis of paraffin-embedded, rat spleen tissue labeling Ctip1/BCL-11A with ab191401 at a 1/100 dilution (19 μg/ml). Counter stained with hematoxylin. In the negative control PBS was used instead of primary antibody.

This data was developed using the same antibody clone in a different buffer formulation containing PBS, BSA, glycerol, and sodium azide (ab191401)

Perform heat mediated antigen retrieval with Tris/EDTA buffer pH 9.0 before commencing with IHC staining protocol.

Immunocytochemistry/ Immunofluorescence - Anti-Ctip1/BCL-11A antibody [EPR14943-44] - BSA and Azide free (AB242406)
  • ICC/IF

Supplier Data

Immunocytochemistry/ Immunofluorescence - Anti-Ctip1/BCL-11A antibody [EPR14943-44] - BSA and Azide free (AB242406)

Immunofluorescence analysis of, paraformaldehyde-fixed, rat C6 cells labeling Ctip1/BCL-11A with ab191401 at a 1/450 dilution (4 ug/ml). As secondary antibody goat anti-rabbit IgG (Alexa Fluor®488) ab150077 was used at a 1/200 dilution. In blue DAPI staining. In the negative controls cells were treated with anti-BCL11A at a 1/450 dilution as primary antibody and goat anti-mouse IgG (Alexa Fluor®594) at a 1/400 dilution as secondary antibody.

This data was developed using the same antibody clone in a different buffer formulation containing PBS, BSA, glycerol, and sodium azide (ab191401)

Western blot - Anti-Ctip1/BCL-11A antibody [EPR14943-44] - BSA and Azide free (AB242406)
  • WB

Lab

Western blot - Anti-Ctip1/BCL-11A antibody [EPR14943-44] - BSA and Azide free (AB242406)

Lane 1 : Wild type HAP1 whole cell lysate (20 μg)
Lane 2 : Empty
Lane 3 : BCL11A (Ctip1) knockout HAP1 whole cell lysate (20 μg)
Lane 4 : Raji whole cell lysate (20 μg)

Lanes 1 - 4 : Merged signal (red and green). Green - ab191401 observed at 91 kDa. Red - loading control, ab8245, observed at 37 kDa.

ab191401 was shown to recognize BCL11A (Ctip1) in wild type cells as signal was lost at the expected MW in BCL11A (Ctip1) knockout cells. Additional cross-reactive bands were observed in the wild-type and knockout cells. Wild-type and BCL11A (Ctip1) knockout samples were subjected to SDS-PAGE. ab191401 and ab8245 (Mouse anti-GAPDH loading control) were incubated overnight at 4°C at 1000 dilution and 1/10000 dilution respectively. Blots were developed with Goat anti-Rabbit IgG H&L (IRDye® 800CW) preabsorbed ab216773 and Goat anti-Mouse IgG H&L (IRDye® 680RD) preabsorbed ab216776 secondary antibodies at 1/10000 dilution for 1 hour at room temperature before imaging.

This data was developed using the same antibody clone in a different buffer formulation containing PBS, BSA, glycerol, and sodium azide (ab191401)

All lanes:

Western blot - Anti-Ctip1/BCL-11A antibody [EPR14943-44] (<a href='/en-us/products/primary-antibodies/ctip1-bcl-11a-antibody-epr14943-44-ab191401'>ab191401</a>)

Predicted band size: 91 kDa

false

ChIC/CUT&RUN sequencing - Anti-Ctip1/BCL-11A antibody [EPR14943-44] - BSA and Azide free (AB242406)
  • ChIC/CUT&RUN-seq

Lab

ChIC/CUT&RUN sequencing - Anti-Ctip1/BCL-11A antibody [EPR14943-44] - BSA and Azide free (AB242406)

This data was developed using the same antibody clone in a different buffer formulation containing PBS, BSA, glycerol, and sodium azide (,ab191401).

ChIC/CUT&RUN was performed using a pAG-MNase at a final concentration of 700 ng/mL, 2.5 x 10^5 Raji (human Burkitt's lymphoma B lymphocyte) cells and 5 µg of ab191401 [EPR14943-44]. The resulting DNA was sequenced on the Illumina NovaSeq 6000 to a depth of 10 million reads. The negative IgG control ab172730 is also shown.
The University of Geneva owns patents relevant to ChIC (Chromatin Immuno-Cleavage) methods.

ChIC/CUT&RUN sequencing - Anti-Ctip1/BCL-11A antibody [EPR14943-44] - BSA and Azide free (AB242406)
  • ChIC/CUT&RUN-seq

Lab

ChIC/CUT&RUN sequencing - Anti-Ctip1/BCL-11A antibody [EPR14943-44] - BSA and Azide free (AB242406)

This data was developed using the same antibody clone in a different buffer formulation containing PBS, BSA, glycerol, and sodium azide (,ab191401).

ChIC/CUT&RUN was performed using a pAG-MNase at a final concentration of 700 ng/mL, 2.5 x 10^5 Raji (human Burkitt's lymphoma B lymphocyte) cells and 5 µg of ab191401 [EPR14943-44]. The resulting DNA was sequenced on the Illumina NovaSeq 6000 to a depth of 10 million reads. The negative IgG control ab172730 is also shown.
The University of Geneva owns patents relevant to ChIC (Chromatin Immuno-Cleavage) methods.

ChIC/CUT&RUN sequencing - Anti-Ctip1/BCL-11A antibody [EPR14943-44] - BSA and Azide free (AB242406)
  • ChIC/CUT&RUN-seq

Lab

ChIC/CUT&RUN sequencing - Anti-Ctip1/BCL-11A antibody [EPR14943-44] - BSA and Azide free (AB242406)

This data was developed using the same antibody clone in a different buffer formulation containing PBS, BSA, glycerol, and sodium azide (,ab191401).

ChIC/CUT&RUN was performed using a pAG-MNase at a final concentration of 700 ng/mL, 2.5 x 10^5 Raji (human Burkitt's lymphoma B lymphocyte) cells and 5 µg of ab191401 [EPR14943-44]. The resulting DNA was sequenced on the Illumina NovaSeq 6000 to a depth of 10 million reads. The negative IgG control ab172730 is also shown.
The University of Geneva owns patents relevant to ChIC (Chromatin Immuno-Cleavage) methods.

Key facts

Host species

Rabbit

Clonality

Monoclonal

Clone number

EPR14943-44

Isotype

IgG

Carrier free

Yes

Reacts with

Rat, Human

Applications

IHC-P, ICC/IF, ChIC/CUT&RUN-seq, WB, IP, Flow Cyt (Intra)

applications

Immunogen

The exact immunogen used to generate this antibody is proprietary information.

Specificity

Some optimisation may be required for detection of the target protein due to low levels of endogenous expression in some samples. Please see images below for suitable positive controls.

Reactivity data

{ "title": "Reactivity Data", "filters": { "stats": ["", "Species", "Dilution Info", "Notes"], "tabs": { "all-applications": {"fullname" : "All Applications", "shortname": "All Applications"}, "IP" : {"fullname" : "Immunoprecipitation", "shortname":"IP"}, "WB" : {"fullname" : "Western blot", "shortname":"WB"}, "ICCIF" : {"fullname" : "Immunocytochemistry/ Immunofluorescence", "shortname":"ICC/IF"}, "FlowCytIntra" : {"fullname" : "Flow Cytometry (Intracellular)", "shortname":"Flow Cyt (Intra)"}, "IHCP" : {"fullname" : "Immunohistochemistry (Formalin/PFA-fixed paraffin-embedded sections)", "shortname":"IHC-P"}, "ChICCUTRUNseq" : {"fullname" : "ChIC/CUT&RUN sequencing", "shortname":"ChIC/CUT&RUN-seq"} }, "product-promise": { "all": "all", "testedAndGuaranteed": "tested", "guaranteed": "expected", "predicted": "predicted", "notRecommended": "not-recommended" } }, "values": { "Human": { "IP-species-checked": "testedAndGuaranteed", "IP-species-dilution-info": "", "IP-species-notes": "<p></p>", "WB-species-checked": "testedAndGuaranteed", "WB-species-dilution-info": "", "WB-species-notes": "<p></p>", "ICCIF-species-checked": "guaranteed", "ICCIF-species-dilution-info": "", "ICCIF-species-notes": "", "FlowCytIntra-species-checked": "testedAndGuaranteed", "FlowCytIntra-species-dilution-info": "", "FlowCytIntra-species-notes": "<p><a href='/en-us/products/primary-antibodies/rabbit-igg-monoclonal-epr25a-isotype-control-ab172730'>ab172730</a> - Rabbit monoclonal IgG, is suitable for use as an isotype control with this antibody.</p>", "IHCP-species-checked": "testedAndGuaranteed", "IHCP-species-dilution-info": "", "IHCP-species-notes": "<p></p>", "ChICCUTRUNseq-species-checked": "testedAndGuaranteed", "ChICCUTRUNseq-species-dilution-info": "", "ChICCUTRUNseq-species-notes": "<p></p>" }, "Mouse": { "IP-species-checked": "predicted", "IP-species-dilution-info": "", "IP-species-notes": "", "WB-species-checked": "predicted", "WB-species-dilution-info": "", "WB-species-notes": "", "ICCIF-species-checked": "predicted", "ICCIF-species-dilution-info": "", "ICCIF-species-notes": "", "FlowCytIntra-species-checked": "predicted", "FlowCytIntra-species-dilution-info": "", "FlowCytIntra-species-notes": "", "IHCP-species-checked": "predicted", "IHCP-species-dilution-info": "", "IHCP-species-notes": "", "ChICCUTRUNseq-species-checked": "predicted", "ChICCUTRUNseq-species-dilution-info": "", "ChICCUTRUNseq-species-notes": "" }, "Rat": { "IP-species-checked": "guaranteed", "IP-species-dilution-info": "", "IP-species-notes": "", "WB-species-checked": "guaranteed", "WB-species-dilution-info": "", "WB-species-notes": "", "ICCIF-species-checked": "testedAndGuaranteed", "ICCIF-species-dilution-info": "", "ICCIF-species-notes": "<p></p>", "FlowCytIntra-species-checked": "guaranteed", "FlowCytIntra-species-dilution-info": "", "FlowCytIntra-species-notes": "", "IHCP-species-checked": "testedAndGuaranteed", "IHCP-species-dilution-info": "", "IHCP-species-notes": "<p></p>", "ChICCUTRUNseq-species-checked": "guaranteed", "ChICCUTRUNseq-species-dilution-info": "", "ChICCUTRUNseq-species-notes": "" } } }

Product details

ab242406 is the carrier-free version of ab191401.

Patented technology
Our RabMAb® technology is a patented hybridoma-based technology for making rabbit monoclonal antibodies. For details on our patents, please refer to RabMAb® patents.

What are the advantages of a recombinant monoclonal antibody?
This product is a recombinant monoclonal antibody, which offers several advantages including:

  • - High batch-to-batch consistency and reproducibility
  • - Improved sensitivity and specificity
  • - Long-term security of supply
  • - Animal-free batch production

For more information, read more on recombinant antibodies.

Conjugation ready
Our carrier-free antibodies are typically supplied in a PBS-only formulation, purified and free of BSA, sodium azide and glycerol. This conjugation-ready format is designed for use with fluorochromes, metal isotopes, oligonucleotides, and enzymes, which makes them ideal for antibody labelling, functional and cell-based assays, flow-based assays (e.g. mass cytometry) and Multiplex Imaging applications.

Use our conjugation kits for antibody conjugates that are ready-to-use in as little as 20 minutes with 1 minute hands-on-time and 100% antibody recovery: available for fluorescent dyes, HRP, biotin and gold.

Compatibility
This product is compatible with the Maxpar® Antibody Labeling Kit from Fluidigm, without the need for antibody preparation. Maxpar® is a trademark of Fluidigm Canada Inc.

Properties and storage information

Form
Liquid
Purification technique
Affinity purification Protein A
Storage buffer
pH: 7.2 - 7.4 Constituents: PBS
Shipped at conditions
Blue Ice
Appropriate short-term storage conditions
+4°C
Appropriate long-term storage conditions
+4°C
Storage information
Do Not Freeze

Product protocols

For this product, it's our understanding that no specific protocols are required. You can visit:

Target data

Transcription factor (PubMed : 16704730, PubMed : 29606353). Associated with the BAF SWI/SNF chromatin remodeling complex (PubMed : 23644491). Binds to the 5'-TGACCA-3' sequence motif in regulatory regions of target genes, including a distal promoter of the HBG1 hemoglobin subunit gamma-1 gene (PubMed : 29606353). Involved in regulation of the developmental switch from gamma- to beta-globin, probably via direct repression of HBG1; hence indirectly repressing fetal hemoglobin (HbF) level (PubMed : 26375765, PubMed : 29606353). Involved in brain development (PubMed : 27453576). May play a role in hematopoiesis (By similarity). Essential factor in lymphopoiesis required for B-cell formation in fetal liver (By similarity). May function as a modulator of the transcriptional repression activity of NR2F2 (By similarity).
See full target information BCL11A

Publications (2)

Recent publications for all applications. Explore the full list and refine your search

Molecular neurodegeneration 19:97 PubMed39696466

2024

The UFMylation pathway is impaired in Alzheimer's disease.

Applications

Unspecified application

Species

Unspecified reactive species

Tingxiang Yan,Michael G Heckman,Emily C Craver,Chia-Chen Liu,Bailey D Rawlinson,Xue Wang,Melissa E Murray,Dennis W Dickson,Nilufer Ertekin-Taner,Zhenkun Lou,Guojun Bu,Wolfdieter Springer,Fabienne C Fiesel

Frontiers in pharmacology 11:820 PubMed32625084

2020

BCL11A Is Oncogenic and Predicts Poor Outcomes in Natural Killer/T-Cell Lymphoma.

Applications

Unspecified application

Species

Unspecified reactive species

Hongyun Shi,Chun Li,Wei Feng,Jianjun Yue,Jingfang Song,Aizhi Peng,Hua Wang
View all publications

Product promise

We are committed to supporting your work with high-quality reagents, and we're here for you every step of the way. In the unlikely event that one of our products does not perform as expected, you're protected by our Product Promise.
For full details, please see our Terms & Conditions

Please note: All products are 'FOR RESEARCH USE ONLY. NOT FOR USE IN DIAGNOSTIC OR THERAPEUTIC PROCEDURES'.

For licensing inquiries, please contact partnerships@abcam.com