JavaScript is disabled in your browser. Please enable JavaScript to view this website.
AB240636

Anti-Ctip2 antibody [EPR23120-25]

  • BOND RX™ Validated
  • RabMAb
  • Recombinant
  • 20ul selling size
  • What is this?

5

(1 Review)

|

(9 Publications)

Anti-Ctip2 antibody [EPR23120-25] (ab240636) is a rabbit monoclonal antibody detecting Ctip2 in Western Blot, Flow Cytometry (Intra), Flow Cytometry, IP, IHC-P, ICC/IF. Suitable for Human, Mouse, Rat.

- Biophysical QC for unrivalled batch-batch consistency

View Alternative Names

CTIP2, RIT1, BCL11B, B-cell lymphoma/leukemia 11B, BCL-11B, B-cell CLL/lymphoma 11B, COUP-TF-interacting protein 2, Radiation-induced tumor suppressor gene 1 protein, hRit1

15 Images
Immunohistochemistry (Formalin/PFA-fixed paraffin-embedded sections) - Anti-Ctip2 antibody [EPR23120-25] (AB240636)
  • IHC-P

Unknown

Immunohistochemistry (Formalin/PFA-fixed paraffin-embedded sections) - Anti-Ctip2 antibody [EPR23120-25] (AB240636)

Immunohistochemical analysis of paraffin-embedded human tonsil tissue labeling Ctip2 with ab240636 at 1/500 dilution (0.96 μg/ml) followed by a ready to use Goat Anti-Rabbit IgG H&L (HRP Polymer). Nuclear staining on human tonsil (PMID : 30089823) is observed. The section was incubated with ab240636 for 30 mins at RT. The immunostaining staining was performed on a Leica Biosystems BOND® RX instrument. Counterstained with hematoxylin.

Secondary antibody only control : Secondary antibody is a ready to use Goat Anti-Rabbit IgG H&L (HRP Polymer).

Heat mediated antigen retrieval with Tris-EDTA buffer (pH 9.0, epitope retrieval solution 2) for 20 mins.

Immunohistochemistry (Formalin/PFA-fixed paraffin-embedded sections) - Anti-Ctip2 antibody [EPR23120-25] (AB240636)
  • IHC-P

Supplier Data

Immunohistochemistry (Formalin/PFA-fixed paraffin-embedded sections) - Anti-Ctip2 antibody [EPR23120-25] (AB240636)

IHC image of Ctip2 staining in a section of formalin-fixed paraffin-embedded human hippocampus* performed on a Leica Biosystems BOND® RX instrument. The section was pre-treated using heat mediated antigen retrieval with sodium citrate buffer (pH6, epitope retrieval solution 1) for 20mins. The section was then incubated with ab240636, 1ug/ml, for 15 mins at room temperature and detected using an HRP conjugated compact polymer system. DAB was used as the chromogen. The section was then counterstained with haematoxylin and mounted with DPX. The inset secondary-only control image is taken from an identical assay without primary antibody. For other IHC staining systems (automated and non-automated) customers should optimize variable parameters such as antigen retrieval conditions, primary antibody concentration and antibody incubation times. *Tissue obtained from the Human Research Tissue Bank, supported by the NIHR Cambridge Biomedical Research Centre

Immunohistochemistry (Formalin/PFA-fixed paraffin-embedded sections) - Anti-Ctip2 antibody [EPR23120-25] (AB240636)
  • IHC-P

Unknown

Immunohistochemistry (Formalin/PFA-fixed paraffin-embedded sections) - Anti-Ctip2 antibody [EPR23120-25] (AB240636)

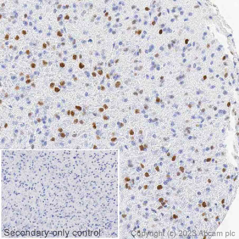
Immunohistochemical analysis of paraffin-embedded human spleen tissue labeling Ctip2 with ab240636 at 1/500 dilution (0.96 μg/ml) followed by a ready to use Goat Anti-Rabbit IgG H&L (HRP Polymer). Nuclear staining on human spleen (PMID : 30089823) is observed. The section was incubated with ab240636 for 30 mins at RT. The immunostaining staining was performed on a Leica Biosystems BOND® RX instrument. Counterstained with hematoxylin.

Secondary antibody only control : Secondary antibody is a ready to use Goat Anti-Rabbit IgG H&L (HRP Polymer).

Heat mediated antigen retrieval with Tris-EDTA buffer (pH 9.0, epitope retrieval solution 2) for 20 mins.

Immunohistochemistry (Formalin/PFA-fixed paraffin-embedded sections) - Anti-Ctip2 antibody [EPR23120-25] (AB240636)
  • IHC-P

Supplier Data

Immunohistochemistry (Formalin/PFA-fixed paraffin-embedded sections) - Anti-Ctip2 antibody [EPR23120-25] (AB240636)

Negative control image : IHC image of Ctip2 staining in a section of formalin-fixed paraffin-embedded human cerebellum* performed on a Leica Biosystems BOND® RX instrument. The section was pre-treated using heat mediated antigen retrieval with sodium citrate buffer (pH6, epitope retrieval solution 1) for 20mins. The section was then incubated with ab240636, 1ug/ml, for 15 mins at room temperature and detected using an HRP conjugated compact polymer system. DAB was used as the chromogen. The section was then counterstained with haematoxylin and mounted with DPX. The inset secondary-only control image is taken from an identical assay without primary antibody. For other IHC staining systems (automated and non-automated) customers should optimize variable parameters such as antigen retrieval conditions, primary antibody concentration and antibody incubation times. *Tissue obtained from the Human Research Tissue Bank, supported by the NIHR Cambridge Biomedical Research Centre

Immunocytochemistry/ Immunofluorescence - Anti-Ctip2 antibody [EPR23120-25] (AB240636)
  • ICC/IF

Unknown

Immunocytochemistry/ Immunofluorescence - Anti-Ctip2 antibody [EPR23120-25] (AB240636)

Immunofluorescent analysis of 4% Paraformaldehyde-fixed, 0.1% TritonX-100 permeabilized Jurkat (human T cell leukemia T lymphocyte) and Daudi (human Burkitt's lymphoma lymphoblast) cells labeling Ctip2 with ab240636 at 1/100 dilution, followed by ab150077 AlexaFluor®488 Goat anti-Rabbit secondary antibody at 1/1000 dilution (Green). Confocal image showing nuclear staining in Jurkat cells.

Negative control : Daudi (PMID : 23383087).

ab195889 Anti-alpha Tubulin antibody [DM1A] - Microtubule Marker (Alexa Fluor® 594) was used to counterstain tubulin at 1/200 (Red). The nuclear counterstain was DAPI (Blue).

Secondary antibody only control : Secondary antibody is ab150077 AlexaFluor®488 Goat anti-Rabbit secondary at 1/1000 dilution.

Immunoprecipitation - Anti-Ctip2 antibody [EPR23120-25] (AB240636)
  • IP

Unknown

Immunoprecipitation - Anti-Ctip2 antibody [EPR23120-25] (AB240636)

Ctip2 was immunoprecipitated from 0.35 mg Jurkat (human T cell leukemia T lymphocyte) whole cell lysate with ab240636 at 1/30 dilution (2μg in 0.35mg lysates). Western blot was performed on the immunoprecipitate using ab240636 at 1/1000 dilution. VeriBlot for IP Detection Reagent (HRP) (ab131366) was used at 1/5000 dilution.

Lane 1 : Jurkat whole cell lysate 10μg

Lane 2 : ab240636 IP in Jurkat whole cell lysate

Lane 3 : Rabbit monoclonal IgG (ab172730) instead of ab240636 in Jurkat whole cell lysate

Blocking and dilution buffer and concentration : 5% NFDM/TBST.

Exposure time : 1 second.

All lanes:

Immunoprecipitation - Anti-Ctip2 antibody [EPR23120-25] (ab240636)

Predicted band size: 96 kDa

Observed band size: 120 kDa

false

Immunohistochemistry (Formalin/PFA-fixed paraffin-embedded sections) - Anti-Ctip2 antibody [EPR23120-25] (AB240636)
  • IHC-P

Supplier Data

Immunohistochemistry (Formalin/PFA-fixed paraffin-embedded sections) - Anti-Ctip2 antibody [EPR23120-25] (AB240636)

IHC image of Ctip2 staining in a section of formalin-fixed paraffin-embedded mouse hippocampus performed on a Leica Biosystems BOND® RX instrument. The section was pre-treated using heat mediated antigen retrieval with sodium citrate buffer (pH6, epitope retrieval solution 1) for 20mins. The section was then incubated with ab240636, 1ug/ml, for 15 mins at room temperature and detected using an HRP conjugated compact polymer system. DAB was used as the chromogen. The section was then counterstained with haematoxylin and mounted with DPX. The inset secondary-only control image is taken from an identical assay without primary antibody. For other IHC staining systems (automated and non-automated) customers should optimize variable parameters such as antigen retrieval conditions, primary antibody concentration and antibody incubation times.

Immunohistochemistry (Formalin/PFA-fixed paraffin-embedded sections) - Anti-Ctip2 antibody [EPR23120-25] (AB240636)
  • IHC-P

Unknown

Immunohistochemistry (Formalin/PFA-fixed paraffin-embedded sections) - Anti-Ctip2 antibody [EPR23120-25] (AB240636)

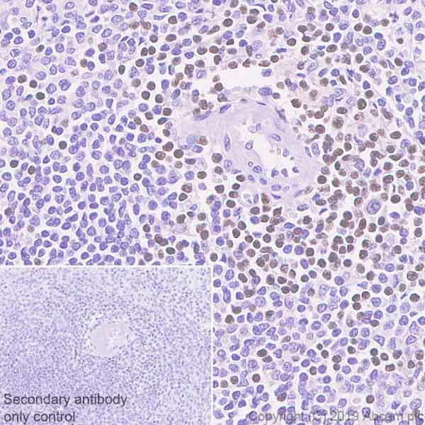
Immunohistochemical analysis of paraffin-embedded rat spleen tissue labeling Ctip2 with ab240636 at 1/500 dilution (0.96 μg/ml) followed by a ready to use Goat Anti-Rabbit IgG H&L (HRP Polymer). Nuclear staining on rat spleen (PMID : 30089823) is observed. The section was incubated with ab240636 for 30 mins at RT. The immunostaining staining was performed on a Leica Biosystems BOND® RX instrument. Counterstained with hematoxylin.

Secondary antibody only control : Secondary antibody is a ready to use Goat Anti-Rabbit IgG H&L (HRP Polymer).

Heat mediated antigen retrieval with Tris-EDTA buffer (pH 9.0, epitope retrieval solution 2) for 20 mins.

Immunohistochemistry (Formalin/PFA-fixed paraffin-embedded sections) - Anti-Ctip2 antibody [EPR23120-25] (AB240636)
  • IHC-P

Unknown

Immunohistochemistry (Formalin/PFA-fixed paraffin-embedded sections) - Anti-Ctip2 antibody [EPR23120-25] (AB240636)

Immunohistochemical analysis of paraffin-embedded rat hippocampus tissue labeling Ctip2 with ab240636 at 1/500 dilution (0.96 μg/ml) followed by a ready to use Goat Anti-Rabbit IgG H&L (HRP Polymer). Nuclear staining on rat hippocampus (PMID : 19955470, PMID : 25757017) is observed. The section was incubated with ab240636 for 30 mins at RT. The immunostaining staining was performed on a Leica Biosystems BOND® RX instrument. Counterstained with hematoxylin.

Secondary antibody only control : Secondary antibody is a ready to use Goat Anti-Rabbit IgG H&L (HRP Polymer).

Heat mediated antigen retrieval with Tris-EDTA buffer (pH 9.0, epitope retrieval solution 2) for 20 mins.

Immunohistochemistry (Formalin/PFA-fixed paraffin-embedded sections) - Anti-Ctip2 antibody [EPR23120-25] (AB240636)
  • IHC-P

Unknown

Immunohistochemistry (Formalin/PFA-fixed paraffin-embedded sections) - Anti-Ctip2 antibody [EPR23120-25] (AB240636)

Immunohistochemical analysis of paraffin-embedded mouse hippocampus tissue labeling Ctip2 with ab240636 at 1/500 dilution (0.96 μg/ml) followed by a ready to use Goat Anti-Rabbit IgG H&L (HRP Polymer). Nuclear staining on mouse hippocampus (PMID : 19955470, PMID : 25757017) is observed. The section was incubated with ab240636 for 30 mins at RT. The immunostaining staining was performed on a Leica Biosystems BOND® RX instrument. Counterstained with hematoxylin.

Secondary antibody only control : Secondary antibody is a ready to use Goat Anti-Rabbit IgG H&L (HRP Polymer).

Heat mediated antigen retrieval with Tris-EDTA buffer (pH 9.0, epitope retrieval solution 2) for 20 mins.

Immunohistochemistry (Formalin/PFA-fixed paraffin-embedded sections) - Anti-Ctip2 antibody [EPR23120-25] (AB240636)
  • IHC-P

Unknown

Immunohistochemistry (Formalin/PFA-fixed paraffin-embedded sections) - Anti-Ctip2 antibody [EPR23120-25] (AB240636)

Immunohistochemical analysis of paraffin-embedded mouse spleen tissue labeling Ctip2 with ab240636 at 1/500 dilution (0.96 μg/ml) followed by a ready to use Goat Anti-Rabbit IgG H&L (HRP Polymer). Nuclear staining on mouse spleen (PMID : 30089823) is observed. The section was incubated with ab240636 for 30 mins at RT. The immunostaining staining was performed on a Leica Biosystems BOND® RX instrument. Counterstained with hematoxylin.

Secondary antibody only control : Secondary antibody is a ready to use Goat Anti-Rabbit IgG H&L (HRP Polymer).

Heat mediated antigen retrieval with Tris-EDTA buffer (pH 9.0, epitope retrieval solution 2) for 20 mins.

Immunohistochemistry (Formalin/PFA-fixed paraffin-embedded sections) - Anti-Ctip2 antibody [EPR23120-25] (AB240636)
  • IHC-P

Supplier Data

Immunohistochemistry (Formalin/PFA-fixed paraffin-embedded sections) - Anti-Ctip2 antibody [EPR23120-25] (AB240636)

Negative control image : IHC image of Ctip2 staining in a section of formalin-fixed paraffin-embedded mouse cerebellum performed on a Leica Biosystems BOND® RX instrument. The section was pre-treated using heat mediated antigen retrieval with sodium citrate buffer (pH6, epitope retrieval solution 1) for 20mins. The section was then incubated with ab240636, 1ug/ml, for 15 mins at room temperature and detected using an HRP conjugated compact polymer system. DAB was used as the chromogen. The section was then counterstained with haematoxylin and mounted with DPX. The inset secondary-only control image is taken from an identical assay without primary antibody. For other IHC staining systems (automated and non-automated) customers should optimize variable parameters such as antigen retrieval conditions, primary antibody concentration and antibody incubation times.

Western blot - Anti-Ctip2 antibody [EPR23120-25] (AB240636)
  • WB

Unknown

Western blot - Anti-Ctip2 antibody [EPR23120-25] (AB240636)

Blocking and dilution buffer : 5% NFDM/TBST.

Exposure time : 5.5 seconds.

Negative control : Daudi (PMID : 23383087).

Fresh lysates are recommended.

The expression profile/ molecular weight observed is consistent with what has been described in the literature (PMID : 23383087, 24407555).

All lanes:

Western blot - Anti-Ctip2 antibody [EPR23120-25] (ab240636) at 1/1000 dilution

Lane 1:

Jurkat (human T cell leukemia T lymphocyte), whole cell lysate at 20 µg

Lane 2:

Daudi (human Burkitt's lymphoma lymphoblast), whole cell lysate at 20 µg

Secondary

All lanes:

Western blot - Goat Anti-Rabbit IgG H&L (HRP) (<a href='/en-us/products/secondary-antibodies/goat-rabbit-igg-h-l-hrp-ab97051'>ab97051</a>) at 1/100000 dilution

Predicted band size: 96 kDa

Observed band size: 120 kDa

false

Western blot - Anti-Ctip2 antibody [EPR23120-25] (AB240636)
  • WB

Unknown

Western blot - Anti-Ctip2 antibody [EPR23120-25] (AB240636)

Blocking and dilution buffer : 5% NFDM/TBST.

Exposure time : 3 minutes.

The expression profile/ molecular weight observed is consistent with what has been described in the literature (PMID : 23383087, 24407555).

All lanes:

Western blot - Anti-Ctip2 antibody [EPR23120-25] (ab240636) at 1/1000 dilution

Lane 1:

Mouse hippocampus tissue lysate at 20 µg

Lane 2:

Mouse brain tissue lysate at 20 µg

Lane 3:

Rat hippocampus tissue lysate at 20 µg

Lane 4:

Rat brain tissue lysate at 20 µg

Secondary

All lanes:

Western blot - Goat Anti-Rabbit IgG H&L (HRP) (<a href='/en-us/products/secondary-antibodies/goat-rabbit-igg-h-l-hrp-ab97051'>ab97051</a>) at 1/100000 dilution

Predicted band size: 96 kDa

Observed band size: 120 kDa

false

Flow Cytometry (Intracellular) - Anti-Ctip2 antibody [EPR23120-25] (AB240636)
  • Flow Cyt (Intra)

Unknown

Flow Cytometry (Intracellular) - Anti-Ctip2 antibody [EPR23120-25] (AB240636)

Intracellular flow cytometric analysis of 4% paraformaldehyde fixed, 90% methanol permeabilized Daudi (human Burkitt's lymphoma lymphoblast, Left) / Jurkat (human T cell leukemia T lymphocyte, Right) cells labeling Ctip2 with ab240636 at 1/500 dilution (Red) compared with a Rabbit monoclonal IgG (ab172730) (Black) isotype control and an unlabeled control (cells without incubation with primary antibody and secondary antibody) (Blue). A Goat anti rabbit IgG (Alexa Fluor® 488, ab150077) at 1/2000 dilution was used as the secondary antibody.

Negative control : Daudi (PMID : 23383087).

  • Carrier free

    Anti-Ctip2 antibody [EPR23120-25] - BSA and Azide free

Key facts

Host species

Rabbit

Clonality

Monoclonal

Clone number

EPR23120-25

Isotype

IgG

Carrier free

No

Reacts with

Mouse, Rat, Human

Applications

ICC/IF, IHC-P, IP, WB, Flow Cyt (Intra)

applications

Immunogen

The exact immunogen used to generate this antibody is proprietary information.

Reactivity data

{ "title": "Reactivity Data", "filters": { "stats": ["", "Species", "Dilution Info", "Notes"], "tabs": { "all-applications": {"fullname" : "All Applications", "shortname": "All Applications"}, "IHCP" : {"fullname" : "Immunohistochemistry (Formalin/PFA-fixed paraffin-embedded sections)", "shortname":"IHC-P"}, "IP" : {"fullname" : "Immunoprecipitation", "shortname":"IP"}, "WB" : {"fullname" : "Western blot", "shortname":"WB"}, "ICCIF" : {"fullname" : "Immunocytochemistry/ Immunofluorescence", "shortname":"ICC/IF"}, "FlowCytIntra" : {"fullname" : "Flow Cytometry (Intracellular)", "shortname":"Flow Cyt (Intra)"} }, "product-promise": { "all": "all", "testedAndGuaranteed": "tested", "guaranteed": "expected", "predicted": "predicted", "notRecommended": "not-recommended" } }, "values": { "Human": { "IHCP-species-checked": "testedAndGuaranteed", "IHCP-species-dilution-info": "1/500", "IHCP-species-notes": "<p></p> Perform heat-mediated antigen retrieval before commencing with IHC staining protocol.", "IP-species-checked": "testedAndGuaranteed", "IP-species-dilution-info": "1/30", "IP-species-notes": "<p></p>", "WB-species-checked": "testedAndGuaranteed", "WB-species-dilution-info": "1/1000", "WB-species-notes": "<p></p>", "ICCIF-species-checked": "testedAndGuaranteed", "ICCIF-species-dilution-info": "1/100", "ICCIF-species-notes": "<p></p>", "FlowCytIntra-species-checked": "testedAndGuaranteed", "FlowCytIntra-species-dilution-info": "1/500", "FlowCytIntra-species-notes": "<p></p>" }, "Mouse": { "IHCP-species-checked": "testedAndGuaranteed", "IHCP-species-dilution-info": "1/500", "IHCP-species-notes": "<p></p> Perform heat-mediated antigen retrieval before commencing with IHC staining protocol.", "IP-species-checked": "guaranteed", "IP-species-dilution-info": "", "IP-species-notes": "", "WB-species-checked": "testedAndGuaranteed", "WB-species-dilution-info": "1/1000", "WB-species-notes": "<p></p>", "ICCIF-species-checked": "guaranteed", "ICCIF-species-dilution-info": "", "ICCIF-species-notes": "", "FlowCytIntra-species-checked": "guaranteed", "FlowCytIntra-species-dilution-info": "", "FlowCytIntra-species-notes": "" }, "Rat": { "IHCP-species-checked": "testedAndGuaranteed", "IHCP-species-dilution-info": "1/500", "IHCP-species-notes": "<p></p> Perform heat-mediated antigen retrieval before commencing with IHC staining protocol.", "IP-species-checked": "guaranteed", "IP-species-dilution-info": "", "IP-species-notes": "", "WB-species-checked": "testedAndGuaranteed", "WB-species-dilution-info": "1/1000", "WB-species-notes": "<p></p>", "ICCIF-species-checked": "guaranteed", "ICCIF-species-dilution-info": "", "ICCIF-species-notes": "", "FlowCytIntra-species-checked": "guaranteed", "FlowCytIntra-species-dilution-info": "", "FlowCytIntra-species-notes": "" } } }

Product details

What is this antibody validated in?
Anti-Ctip2 antibody [EPR23120-25] (ab240636) is a rabbit recombinant monoclonal antibody and is validated for use in Western Blot (WB), Flow Cytometry (Intra), Flow Cytometry (Flow Cyt), Immunoprecipitation (IP), Immunohistochemistry (IHC-P), Immunocytochemistry/immunofluorescence (ICC/IF) in Human, Mouse, Rat samples.

What is the molecular weight of Ctip2?
Anti-Ctip2 [EPR23120-25] (ab240636) specifically detects a band for Ctip2 (UniProt: Q9C0K0) at a molecular weight of 96kDa.

Trial sizes available!
Test your antibody or perform pre-screening before committing to a larger quantity. Sold in 10µl. Discover our selection of trial-size antibodies.

Other related products
We have a range of other formats of antibody clone [EPR23120-25] also available for your convenience: ab240636, Carrier free - ab269367, ab322910

Patented technology
Our RabMAb® technology is a patented hybridoma-based technology for making rabbit monoclonal antibodies. For details on our patents, please refer to RabMAb® patents.

What are the advantages of a recombinant monoclonal antibody?
This product is a recombinant monoclonal antibody, which offers several advantages including:

  • - High batch-to-batch consistency and reproducibility
  • - Improved sensitivity and specificity
  • - Long-term security of supply
  • - Animal-free batch production

For more information, read more on recombinant antibodies.

Properties and storage information

Form
Liquid
Purification technique
Affinity purification Protein A
Storage buffer
pH: 7.2 - 7.4 Preservative: 0.01% Sodium azide Constituents: PBS, 40% Glycerol (glycerin, glycerine), 0.05% BSA
Shipped at conditions
Blue Ice
Appropriate short-term storage duration
1-2 weeks
Appropriate short-term storage conditions
+4°C
Appropriate long-term storage conditions
-20°C
Aliquoting information
Upon delivery aliquot
Storage information
Avoid freeze / thaw cycle

Product protocols

For this product, it's our understanding that no specific protocols are required. You can visit:

Target data

Key regulator of both differentiation and survival of T-lymphocytes during thymocyte development in mammals. Essential in controlling the responsiveness of hematopoietic stem cells to chemotactic signals by modulating the expression of the receptors CCR7 and CCR9, which direct the movement of progenitor cells from the bone marrow to the thymus (PubMed : 27959755). Is a regulator of IL2 promoter and enhances IL2 expression in activated CD4(+) T-lymphocytes (PubMed : 16809611). Tumor-suppressor that represses transcription through direct, TFCOUP2-independent binding to a GC-rich response element (By similarity). May also function in the P53-signaling pathway (By similarity).
See full target information BCL11B

Publications (9)

Recent publications for all applications. Explore the full list and refine your search

International journal of molecular sciences 26: PubMed40332055

2025

A Comparative Study of a Potent CNS-Permeable RARβ-Modulator, Ellorarxine, in Neurons, Glia and Microglia Cells In Vitro.

Applications

Unspecified application

Species

Unspecified reactive species

Yunxi Zhang,Lilie Gailloud,Alexander Shin,Jessica Fewkes,Rosella Pinckney,Andrew Whiting,Paul Chazot

Nature communications 16:3312 PubMed40204713

2025

GRAMD1B is a regulator of lipid homeostasis, autophagic flux and phosphorylated tau.

Applications

Unspecified application

Species

Unspecified reactive species

Diana Acosta Ingram,Emir Turkes,Tae Yeon Kim,Sheeny Vo,Nicholas Sweeney,Marie-Amandine Bonte,Ryan Rutherford,Dominic L Julian,Meixia Pan,Jacob Marsh,Andrea R Argouarch,Min Wu,Douglas W Scharre,Erica H Bell,Lawrence S Honig,Jean Paul Vonsattel,Geidy E Serrano,Thomas G Beach,Celeste M Karch,Aimee W Kao,Mark E Hester,Xianlin Han,Hongjun Fu

Bioactive materials 46:386-405 PubMed39850018

2025

bFGF-Chitosan "brain glue" promotes functional recovery after cortical ischemic stroke.

Applications

Unspecified application

Species

Unspecified reactive species

Jiao Mu,Xiang Zou,Xinjie Bao,Zhaoyang Yang,Peng Hao,Hongmei Duan,Wen Zhao,Yudan Gao,Jinting Wu,Kun Miao,Kwok-Fai So,Liang Chen,Ying Mao,Xiaoguang Li

Science advances 10:eadj9911 PubMed38728406

2024

Early cortical GABAergic interneurons determine the projection patterns of L4 excitatory neurons.

Applications

Unspecified application

Species

Unspecified reactive species

Lorena Bragg-Gonzalo,Alfonso Aguilera,Candela González-Arias,Noelia S De León Reyes,Alonso Sánchez-Cruz,Paula Carballeira,Félix Leroy,Gertrudis Perea,Marta Nieto

Neural regeneration research 19:636-641 PubMed37721295

2023

Visualizing Wallerian degeneration in the corticospinal tract after sensorimotor cortex ischemia in mice.

Applications

Unspecified application

Species

Unspecified reactive species

Jiao Mu,Liufang Hao,Zijue Wang,Xuyang Fu,Yusen Li,Fei Hao,Hongmei Duan,Zhaoyang Yang,Xiaoguang Li

Journal of virology 97:e0031323 PubMed37097169

2023

Human Cytomegalovirus IE1 Impairs Neuronal Migration by Downregulating Connexin 43.

Applications

Unspecified application

Species

Unspecified reactive species

Sheng-Nan Huang,Yu-Ting Pan,Yue-Peng Zhou,Xian-Zhang Wang,Meng-Jie Mei,Bo Yang,Dong Li,Wen-Bo Zeng,Shuang Cheng,Jin-Yan Sun,Han Cheng,Fei Zhao,Min-Hua Luo

JCI insight 8: PubMed36602874

2023

Role of the caspase-8/RIPK3 axis in Alzheimer's disease pathogenesis and Aβ-induced NLRP3 inflammasome activation.

Applications

Unspecified application

Species

Unspecified reactive species

Sushanth Kumar,Sakar Budhathoki,Christopher B Oliveira,August D Kahle,O Yipkin Calhan,John R Lukens,Christopher D Deppmann

JCI insight 7: PubMed35014624

2022

A congenital CMV infection model for follow-up studies of neurodevelopmental disorders, neuroimaging abnormalities, and treatment.

Applications

Unspecified application

Species

Unspecified reactive species

Yue-Peng Zhou,Meng-Jie Mei,Xian-Zhang Wang,Sheng-Nan Huang,Lin Chen,Ming Zhang,Xin-Yan Li,Hai-Bin Qin,Xiao Dong,Shuang Cheng,Le Wen,Bo Yang,Xue-Fang An,Ao-Di He,Bing Zhang,Wen-Bo Zeng,Xiao-Jun Li,Youming Lu,Hong-Chuang Li,Haidong Li,Wei-Guo Zou,Alec J Redwood,Simon Rayner,Han Cheng,Michael A McVoy,Qiyi Tang,William J Britt,Xin Zhou,Xuan Jiang,Min-Hua Luo

Oncology letters 21:119 PubMed33376550

2020

miR-21-5p promotes cell proliferation by targeting BCL11B in Thp-1 cells.

Applications

Unspecified application

Species

Unspecified reactive species

Liang Zhang,Li Yu,Yiran Liu,Shasha Wang,Zhenfeng Hou,Jun Zhou
View all publications

Product promise

We are committed to supporting your work with high-quality reagents, and we're here for you every step of the way. In the unlikely event that one of our products does not perform as expected, you're protected by our Product Promise.
For full details, please see our Terms & Conditions

Please note: All products are 'FOR RESEARCH USE ONLY. NOT FOR USE IN DIAGNOSTIC OR THERAPEUTIC PROCEDURES'.

For licensing inquiries, please contact partnerships@abcam.com