JavaScript is disabled in your browser. Please enable JavaScript to view this website.
AB269367

Anti-Ctip2 antibody [EPR23120-25] - BSA and Azide free

Be the first to review this product! Submit a review

|

(0 Publication)

Rabbit Recombinant Monoclonal Ctip2 antibody. Carrier free. Suitable for IHC-P, IP, WB, ICC/IF, Flow Cyt (Intra) and reacts with Human, Mouse, Rat samples.

View Alternative Names

CTIP2, RIT1, BCL11B, B-cell lymphoma/leukemia 11B, BCL-11B, B-cell CLL/lymphoma 11B, COUP-TF-interacting protein 2, Radiation-induced tumor suppressor gene 1 protein, hRit1

13 Images
Immunohistochemistry (Formalin/PFA-fixed paraffin-embedded sections) - Anti-Ctip2 antibody [EPR23120-25] - BSA and Azide free (AB269367)
  • IHC-P

Supplier Data

Immunohistochemistry (Formalin/PFA-fixed paraffin-embedded sections) - Anti-Ctip2 antibody [EPR23120-25] - BSA and Azide free (AB269367)

Negative control image : IHC image of Ctip2 staining in a section of formalin-fixed paraffin-embedded human cerebellum* performed on a Leica Biosystems BOND® RX instrument. The section was pre-treated using heat mediated antigen retrieval with sodium citrate buffer (pH6, epitope retrieval solution 1) for 20mins. The section was then incubated with ab240636, 1ug/ml, for 15 mins at room temperature and detected using an HRP conjugated compact polymer system. DAB was used as the chromogen. The section was then counterstained with haematoxylin and mounted with DPX. The inset secondary-only control image is taken from an identical assay without primary antibody. For other IHC staining systems (automated and non-automated) customers should optimize variable parameters such as antigen retrieval conditions, primary antibody concentration and antibody incubation times. *Tissue obtained from the Human Research Tissue Bank, supported by the NIHR Cambridge Biomedical Research Centre This data was developed using the same antibody clone in a different buffer formulation containing PBS, BSA, glycerol, and sodium azide (ab240636).

Immunocytochemistry/ Immunofluorescence - Anti-Ctip2 antibody [EPR23120-25] - BSA and Azide free (AB269367)
  • ICC/IF

Unknown

Immunocytochemistry/ Immunofluorescence - Anti-Ctip2 antibody [EPR23120-25] - BSA and Azide free (AB269367)

Immunofluorescent analysis of 4% Paraformaldehyde-fixed, 0.1% TritonX-100 permeabilized Jurkat (human T cell leukemia T lymphocyte) and Daudi (human Burkitt's lymphoma lymphoblast) cells labeling Ctip2 with ab240636 at 1/100 dilution, followed by ab150077 AlexaFluor®488 Goat anti-Rabbit secondary antibody at 1/1000 dilution (Green). Confocal image showing nuclear staining in Jurkat cells.

Negative control : Daudi (PMID : 23383087).

ab195889 Anti-alpha Tubulin antibody [DM1A] - Microtubule Marker (Alexa Fluor® 594) was used to counterstain tubulin at 1/200 (Red). The nuclear counterstain was DAPI (Blue).

Secondary antibody only control : Secondary antibody is ab150077 AlexaFluor®488 Goat anti-Rabbit secondary at 1/1000 dilution.

This data was developed using the same antibody clone in a different buffer formulation containing PBS, BSA, glycerol, and sodium azide (ab240636).

Immunohistochemistry (Formalin/PFA-fixed paraffin-embedded sections) - Anti-Ctip2 antibody [EPR23120-25] - BSA and Azide free (AB269367)
  • IHC-P

Unknown

Immunohistochemistry (Formalin/PFA-fixed paraffin-embedded sections) - Anti-Ctip2 antibody [EPR23120-25] - BSA and Azide free (AB269367)

Immunohistochemical analysis of paraffin-embedded human spleen tissue labeling Ctip2 with ab240636 at 1/500 dilution (0.96 μg/ml) followed by a ready to use Goat Anti-Rabbit IgG H&L (HRP Polymer). Nuclear staining on human spleen (PMID : 30089823) is observed. The section was incubated with ab240636 for 30 mins at RT. The immunostaining staining was performed on a Leica Biosystems BOND® RX instrument. Counterstained with hematoxylin.

Secondary antibody only control : Secondary antibody is a ready to use Goat Anti-Rabbit IgG H&L (HRP Polymer).

Heat mediated antigen retrieval with Tris-EDTA buffer (pH 9.0, epitope retrieval solution 2) for 20 mins.

This data was developed using the same antibody clone in a different buffer formulation containing PBS, BSA, glycerol, and sodium azide (ab240636).

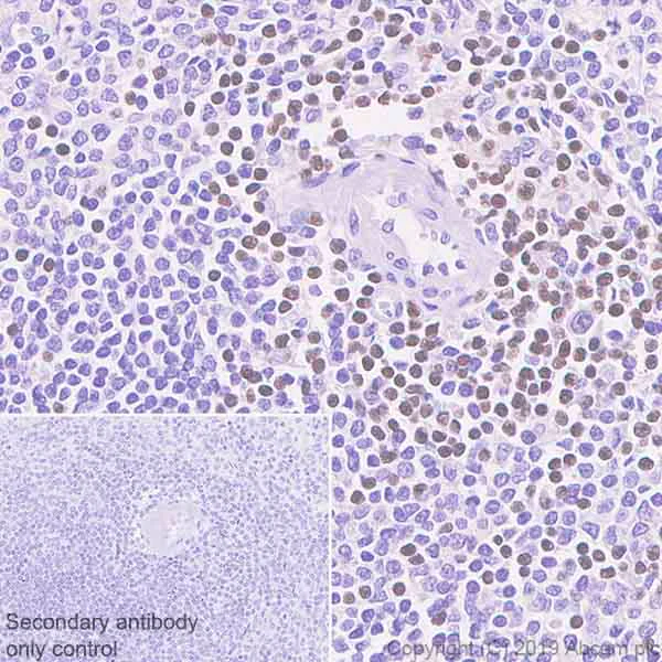
Immunohistochemistry (Formalin/PFA-fixed paraffin-embedded sections) - Anti-Ctip2 antibody [EPR23120-25] - BSA and Azide free (AB269367)
  • IHC-P

Unknown

Immunohistochemistry (Formalin/PFA-fixed paraffin-embedded sections) - Anti-Ctip2 antibody [EPR23120-25] - BSA and Azide free (AB269367)

Immunohistochemical analysis of paraffin-embedded human tonsil tissue labeling Ctip2 with ab240636 at 1/500 dilution (0.96 μg/ml) followed by a ready to use Goat Anti-Rabbit IgG H&L (HRP Polymer). Nuclear staining on human tonsil (PMID : 30089823) is observed. The section was incubated with ab240636 for 30 mins at RT. The immunostaining staining was performed on a Leica Biosystems BOND® RX instrument. Counterstained with hematoxylin.

Secondary antibody only control : Secondary antibody is a ready to use Goat Anti-Rabbit IgG H&L (HRP Polymer).

Heat mediated antigen retrieval with Tris-EDTA buffer (pH 9.0, epitope retrieval solution 2) for 20 mins.

This data was developed using the same antibody clone in a different buffer formulation containing PBS, BSA, glycerol, and sodium azide (ab240636).

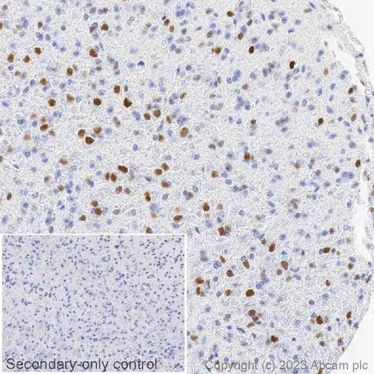
Immunohistochemistry (Formalin/PFA-fixed paraffin-embedded sections) - Anti-Ctip2 antibody [EPR23120-25] - BSA and Azide free (AB269367)
  • IHC-P

Supplier Data

Immunohistochemistry (Formalin/PFA-fixed paraffin-embedded sections) - Anti-Ctip2 antibody [EPR23120-25] - BSA and Azide free (AB269367)

IHC image of Ctip2 staining in a section of formalin-fixed paraffin-embedded human hippocampus* performed on a Leica Biosystems BOND® RX instrument. The section was pre-treated using heat mediated antigen retrieval with sodium citrate buffer (pH6, epitope retrieval solution 1) for 20mins. The section was then incubated with ab240636, 1ug/ml, for 15 mins at room temperature and detected using an HRP conjugated compact polymer system. DAB was used as the chromogen. The section was then counterstained with haematoxylin and mounted with DPX. The inset secondary-only control image is taken from an identical assay without primary antibody. For other IHC staining systems (automated and non-automated) customers should optimize variable parameters such as antigen retrieval conditions, primary antibody concentration and antibody incubation times. *Tissue obtained from the Human Research Tissue Bank, supported by the NIHR Cambridge Biomedical Research Centre This data was developed using the same antibody clone in a different buffer formulation containing PBS, BSA, glycerol, and sodium azide (ab240636).

Immunoprecipitation - Anti-Ctip2 antibody [EPR23120-25] - BSA and Azide free (AB269367)
  • IP

Unknown

Immunoprecipitation - Anti-Ctip2 antibody [EPR23120-25] - BSA and Azide free (AB269367)

Ctip2 was immunoprecipitated from 0.35 mg Jurkat (human T cell leukemia T lymphocyte) whole cell lysate with ab240636 at 1/30 dilution (2μg in 0.35mg lysates). Western blot was performed on the immunoprecipitate using ab240636 at 1/1000 dilution. VeriBlot for IP Detection Reagent (HRP) (ab131366) was used at 1/5000 dilution.

Lane 1 : Jurkat whole cell lysate 10μg

Lane 2 : ab240636 IP in Jurkat whole cell lysate

Lane 3 : Rabbit monoclonal IgG (ab172730) instead of ab240636 in Jurkat whole cell lysate

Blocking and dilution buffer and concentration : 5% NFDM/TBST.

Exposure time : 1 second.

This data was developed using the same antibody clone in a different buffer formulation containing PBS, BSA, glycerol, and sodium azide (ab240636).

All lanes:

Immunoprecipitation - Anti-Ctip2 antibody [EPR23120-25] (<a href='/en-us/products/primary-antibodies/ctip2-antibody-epr23120-25-ab240636'>ab240636</a>)

Predicted band size: 96 kDa

Observed band size: 120 kDa

false

Immunohistochemistry (Formalin/PFA-fixed paraffin-embedded sections) - Anti-Ctip2 antibody [EPR23120-25] - BSA and Azide free (AB269367)
  • IHC-P

Supplier Data

Immunohistochemistry (Formalin/PFA-fixed paraffin-embedded sections) - Anti-Ctip2 antibody [EPR23120-25] - BSA and Azide free (AB269367)

Negative control image : IHC image of Ctip2 staining in a section of formalin-fixed paraffin-embedded mouse cerebellum performed on a Leica Biosystems BOND® RX instrument. The section was pre-treated using heat mediated antigen retrieval with sodium citrate buffer (pH6, epitope retrieval solution 1) for 20mins. The section was then incubated with ab240636, 1ug/ml, for 15 mins at room temperature and detected using an HRP conjugated compact polymer system. DAB was used as the chromogen. The section was then counterstained with haematoxylin and mounted with DPX. The inset secondary-only control image is taken from an identical assay without primary antibody. For other IHC staining systems (automated and non-automated) customers should optimize variable parameters such as antigen retrieval conditions, primary antibody concentration and antibody incubation times. This data was developed using the same antibody clone in a different buffer formulation containing PBS, BSA, glycerol, and sodium azide (ab240636).

Immunohistochemistry (Formalin/PFA-fixed paraffin-embedded sections) - Anti-Ctip2 antibody [EPR23120-25] - BSA and Azide free (AB269367)
  • IHC-P

Unknown

Immunohistochemistry (Formalin/PFA-fixed paraffin-embedded sections) - Anti-Ctip2 antibody [EPR23120-25] - BSA and Azide free (AB269367)

Immunohistochemical analysis of paraffin-embedded mouse spleen tissue labeling Ctip2 with ab240636 at 1/500 dilution (0.96 μg/ml) followed by a ready to use Goat Anti-Rabbit IgG H&L (HRP Polymer). Nuclear staining on mouse spleen (PMID : 30089823) is observed. The section was incubated with ab240636 for 30 mins at RT. The immunostaining staining was performed on a Leica Biosystems BOND® RX instrument. Counterstained with hematoxylin.

Secondary antibody only control : Secondary antibody is a ready to use Goat Anti-Rabbit IgG H&L (HRP Polymer).

Heat mediated antigen retrieval with Tris-EDTA buffer (pH 9.0, epitope retrieval solution 2) for 20 mins.

This data was developed using the same antibody clone in a different buffer formulation containing PBS, BSA, glycerol, and sodium azide (ab240636).

Immunohistochemistry (Formalin/PFA-fixed paraffin-embedded sections) - Anti-Ctip2 antibody [EPR23120-25] - BSA and Azide free (AB269367)
  • IHC-P

Unknown

Immunohistochemistry (Formalin/PFA-fixed paraffin-embedded sections) - Anti-Ctip2 antibody [EPR23120-25] - BSA and Azide free (AB269367)

Immunohistochemical analysis of paraffin-embedded mouse hippocampus tissue labeling Ctip2 with ab240636 at 1/500 dilution (0.96 μg/ml) followed by a ready to use Goat Anti-Rabbit IgG H&L (HRP Polymer). Nuclear staining on mouse hippocampus (PMID : 19955470, PMID : 25757017) is observed. The section was incubated with ab240636 for 30 mins at RT. The immunostaining staining was performed on a Leica Biosystems BOND® RX instrument. Counterstained with hematoxylin.

Secondary antibody only control : Secondary antibody is a ready to use Goat Anti-Rabbit IgG H&L (HRP Polymer).

Heat mediated antigen retrieval with Tris-EDTA buffer (pH 9.0, epitope retrieval solution 2) for 20 mins.

This data was developed using the same antibody clone in a different buffer formulation containing PBS, BSA, glycerol, and sodium azide (ab240636).

Immunohistochemistry (Formalin/PFA-fixed paraffin-embedded sections) - Anti-Ctip2 antibody [EPR23120-25] - BSA and Azide free (AB269367)
  • IHC-P

Unknown

Immunohistochemistry (Formalin/PFA-fixed paraffin-embedded sections) - Anti-Ctip2 antibody [EPR23120-25] - BSA and Azide free (AB269367)

Immunohistochemical analysis of paraffin-embedded rat hippocampus tissue labeling Ctip2 with ab240636 at 1/500 dilution (0.96 μg/ml) followed by a ready to use Goat Anti-Rabbit IgG H&L (HRP Polymer). Nuclear staining on rat hippocampus (PMID : 19955470, PMID : 25757017) is observed. The section was incubated with ab240636 for 30 mins at RT. The immunostaining staining was performed on a Leica Biosystems BOND® RX instrument. Counterstained with hematoxylin.

Secondary antibody only control : Secondary antibody is a ready to use Goat Anti-Rabbit IgG H&L (HRP Polymer).

Heat mediated antigen retrieval with Tris-EDTA buffer (pH 9.0, epitope retrieval solution 2) for 20 mins.

This data was developed using the same antibody clone in a different buffer formulation containing PBS, BSA, glycerol, and sodium azide (ab240636).

Immunohistochemistry (Formalin/PFA-fixed paraffin-embedded sections) - Anti-Ctip2 antibody [EPR23120-25] - BSA and Azide free (AB269367)
  • IHC-P

Unknown

Immunohistochemistry (Formalin/PFA-fixed paraffin-embedded sections) - Anti-Ctip2 antibody [EPR23120-25] - BSA and Azide free (AB269367)

Immunohistochemical analysis of paraffin-embedded rat spleen tissue labeling Ctip2 with ab240636 at 1/500 dilution (0.96 μg/ml) followed by a ready to use Goat Anti-Rabbit IgG H&L (HRP Polymer). Nuclear staining on rat spleen (PMID : 30089823) is observed. The section was incubated with ab240636 for 30 mins at RT. The immunostaining staining was performed on a Leica Biosystems BOND® RX instrument. Counterstained with hematoxylin.

Secondary antibody only control : Secondary antibody is a ready to use Goat Anti-Rabbit IgG H&L (HRP Polymer).

Heat mediated antigen retrieval with Tris-EDTA buffer (pH 9.0, epitope retrieval solution 2) for 20 mins.

This data was developed using the same antibody clone in a different buffer formulation containing PBS, BSA, glycerol, and sodium azide (ab240636).

Immunohistochemistry (Formalin/PFA-fixed paraffin-embedded sections) - Anti-Ctip2 antibody [EPR23120-25] - BSA and Azide free (AB269367)
  • IHC-P

Supplier Data

Immunohistochemistry (Formalin/PFA-fixed paraffin-embedded sections) - Anti-Ctip2 antibody [EPR23120-25] - BSA and Azide free (AB269367)

IHC image of Ctip2 staining in a section of formalin-fixed paraffin-embedded mouse hippocampus performed on a Leica Biosystems BOND® RX instrument. The section was pre-treated using heat mediated antigen retrieval with sodium citrate buffer (pH6, epitope retrieval solution 1) for 20mins. The section was then incubated with ab240636, 1ug/ml, for 15 mins at room temperature and detected using an HRP conjugated compact polymer system. DAB was used as the chromogen. The section was then counterstained with haematoxylin and mounted with DPX. The inset secondary-only control image is taken from an identical assay without primary antibody. For other IHC staining systems (automated and non-automated) customers should optimize variable parameters such as antigen retrieval conditions, primary antibody concentration and antibody incubation times. This data was developed using the same antibody clone in a different buffer formulation containing PBS, BSA, glycerol, and sodium azide (ab240636).

Flow Cytometry (Intracellular) - Anti-Ctip2 antibody [EPR23120-25] - BSA and Azide free (AB269367)
  • Flow Cyt (Intra)

Unknown

Flow Cytometry (Intracellular) - Anti-Ctip2 antibody [EPR23120-25] - BSA and Azide free (AB269367)

Intracellular flow cytometric analysis of 4% paraformaldehyde fixed, 90% methanol permeabilized Daudi (human Burkitt's lymphoma lymphoblast, Left) / Jurkat (human T cell leukemia T lymphocyte, Right) cells labeling Ctip2 with ab240636 at 1/500 dilution (Red) compared with a Rabbit monoclonal IgG (ab172730) (Black) isotype control and an unlabeled control (cells without incubation with primary antibody and secondary antibody) (Blue). A Goat anti rabbit IgG (Alexa Fluor® 488, ab150077) at 1/2000 dilution was used as the secondary antibody.

Negative control : Daudi (PMID : 23383087).

This data was developed using the same antibody clone in a different buffer formulation containing PBS, BSA, glycerol, and sodium azide (ab240636).

Key facts

Host species

Rabbit

Clonality

Monoclonal

Clone number

EPR23120-25

Isotype

IgG

Carrier free

Yes

Reacts with

Mouse, Rat, Human

Applications

IP, ICC/IF, Flow Cyt (Intra), WB, IHC-P

applications

Immunogen

The exact immunogen used to generate this antibody is proprietary information.

Reactivity data

{ "title": "Reactivity Data", "filters": { "stats": ["", "Species", "Dilution Info", "Notes"], "tabs": { "all-applications": {"fullname" : "All Applications", "shortname": "All Applications"}, "IHCP" : {"fullname" : "Immunohistochemistry (Formalin/PFA-fixed paraffin-embedded sections)", "shortname":"IHC-P"}, "IP" : {"fullname" : "Immunoprecipitation", "shortname":"IP"}, "WB" : {"fullname" : "Western blot", "shortname":"WB"}, "ICCIF" : {"fullname" : "Immunocytochemistry/ Immunofluorescence", "shortname":"ICC/IF"}, "FlowCytIntra" : {"fullname" : "Flow Cytometry (Intracellular)", "shortname":"Flow Cyt (Intra)"} }, "product-promise": { "all": "all", "testedAndGuaranteed": "tested", "guaranteed": "expected", "predicted": "predicted", "notRecommended": "not-recommended" } }, "values": { "Human": { "IHCP-species-checked": "testedAndGuaranteed", "IHCP-species-dilution-info": "", "IHCP-species-notes": "<p></p> Perform heat-mediated antigen retrieval before commencing with IHC staining protocol.", "IP-species-checked": "testedAndGuaranteed", "IP-species-dilution-info": "", "IP-species-notes": "<p></p>", "WB-species-checked": "testedAndGuaranteed", "WB-species-dilution-info": "", "WB-species-notes": "<p></p>", "ICCIF-species-checked": "testedAndGuaranteed", "ICCIF-species-dilution-info": "", "ICCIF-species-notes": "<p></p>", "FlowCytIntra-species-checked": "testedAndGuaranteed", "FlowCytIntra-species-dilution-info": "", "FlowCytIntra-species-notes": "<p></p>" }, "Mouse": { "IHCP-species-checked": "testedAndGuaranteed", "IHCP-species-dilution-info": "", "IHCP-species-notes": "<p></p> Perform heat-mediated antigen retrieval before commencing with IHC staining protocol.", "IP-species-checked": "guaranteed", "IP-species-dilution-info": "", "IP-species-notes": "", "WB-species-checked": "testedAndGuaranteed", "WB-species-dilution-info": "", "WB-species-notes": "<p></p>", "ICCIF-species-checked": "guaranteed", "ICCIF-species-dilution-info": "", "ICCIF-species-notes": "", "FlowCytIntra-species-checked": "guaranteed", "FlowCytIntra-species-dilution-info": "", "FlowCytIntra-species-notes": "" }, "Rat": { "IHCP-species-checked": "testedAndGuaranteed", "IHCP-species-dilution-info": "", "IHCP-species-notes": "<p></p> Perform heat-mediated antigen retrieval before commencing with IHC staining protocol.", "IP-species-checked": "guaranteed", "IP-species-dilution-info": "", "IP-species-notes": "", "WB-species-checked": "testedAndGuaranteed", "WB-species-dilution-info": "", "WB-species-notes": "<p></p>", "ICCIF-species-checked": "guaranteed", "ICCIF-species-dilution-info": "", "ICCIF-species-notes": "", "FlowCytIntra-species-checked": "guaranteed", "FlowCytIntra-species-dilution-info": "", "FlowCytIntra-species-notes": "" } } }

Product details

ab269367 is the carrier-free version of ab240636.

Patented technology
Our RabMAb® technology is a patented hybridoma-based technology for making rabbit monoclonal antibodies. For details on our patents, please refer to RabMAb® patents.

What are the advantages of a recombinant monoclonal antibody?
This product is a recombinant monoclonal antibody, which offers several advantages including:

  • - High batch-to-batch consistency and reproducibility
  • - Improved sensitivity and specificity
  • - Long-term security of supply
  • - Animal-free batch production

For more information, read more on recombinant antibodies.

Conjugation ready
Our carrier-free antibodies are typically supplied in a PBS-only formulation, purified and free of BSA, sodium azide and glycerol. This conjugation-ready format is designed for use with fluorochromes, metal isotopes, oligonucleotides, and enzymes, which makes them ideal for antibody labelling, functional and cell-based assays, flow-based assays (e.g. mass cytometry) and Multiplex Imaging applications.

Use our conjugation kits for antibody conjugates that are ready-to-use in as little as 20 minutes with 1 minute hands-on-time and 100% antibody recovery: available for fluorescent dyes, HRP, biotin and gold.

Compatibility
This product is compatible with the Maxpar® Antibody Labeling Kit from Fluidigm, without the need for antibody preparation. Maxpar® is a trademark of Fluidigm Canada Inc.

Properties and storage information

Form
Liquid
Purification technique
Affinity purification Protein A
Storage buffer
pH: 7.2 - 7.4 Constituents: PBS
Shipped at conditions
Blue Ice
Appropriate short-term storage conditions
+4°C
Appropriate long-term storage conditions
+4°C
Storage information
Do Not Freeze

Product protocols

For this product, it's our understanding that no specific protocols are required. You can visit:

Target data

Key regulator of both differentiation and survival of T-lymphocytes during thymocyte development in mammals. Essential in controlling the responsiveness of hematopoietic stem cells to chemotactic signals by modulating the expression of the receptors CCR7 and CCR9, which direct the movement of progenitor cells from the bone marrow to the thymus (PubMed : 27959755). Is a regulator of IL2 promoter and enhances IL2 expression in activated CD4(+) T-lymphocytes (PubMed : 16809611). Tumor-suppressor that represses transcription through direct, TFCOUP2-independent binding to a GC-rich response element (By similarity). May also function in the P53-signaling pathway (By similarity).
See full target information BCL11B

Product promise

We are committed to supporting your work with high-quality reagents, and we're here for you every step of the way. In the unlikely event that one of our products does not perform as expected, you're protected by our Product Promise.
For full details, please see our Terms & Conditions

Please note: All products are 'FOR RESEARCH USE ONLY. NOT FOR USE IN DIAGNOSTIC OR THERAPEUTIC PROCEDURES'.

For licensing inquiries, please contact partnerships@abcam.com