JavaScript is disabled in your browser. Please enable JavaScript to view this website.
AB237712

Anti-CTLA4 antibody [CAL49]

4

(5 Reviews)

|

(24 Publications)

Anti-CTLA4 antibody [CAL49] (ab237712) is a rabbit monoclonal antibody detecting CTLA4 in Western Blot, Flow Cytometry (Intra), Flow Cytometry, IP, IHC-P. Suitable for Human, Mouse, Rhesus monkey.

- Biophysical QC for unrivalled batch-batch consistency
- Over 20 publications

View Alternative Names

CD152, CTLA4, Cytotoxic T-lymphocyte protein 4, Cytotoxic T-lymphocyte-associated antigen 4, CTLA-4

11 Images
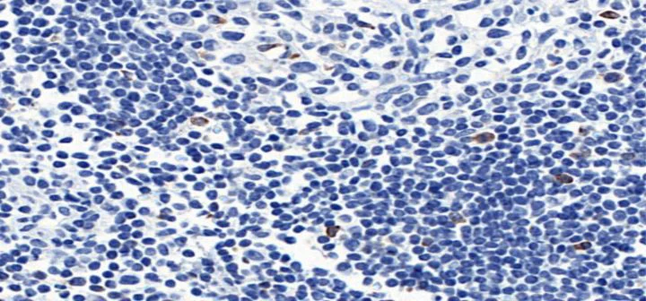
Immunohistochemistry (Formalin/PFA-fixed paraffin-embedded sections) - Anti-CTLA4 antibody [CAL49] (AB237712)
  • IHC-P

Lab

Immunohistochemistry (Formalin/PFA-fixed paraffin-embedded sections) - Anti-CTLA4 antibody [CAL49] (AB237712)

Immunohistochemical analysis of formalin fixed paraffin embedded human tonsil labelling CTLA4 with ab237712 at a concentration of 1µg/ml. The immunostaining was performed on a Ventana DISCOVERY ULTRA (Roche Tissue Diagnostics) instrument with a OptiView DAB IHC Detection Kit. Heat mediated antigen retrieval was performed with DISCOVERY cell conditioning solution (CC1) 100°C, pH8.5 for 32mins. ab237712 Anti-CTLA4 antibody [CAL49] was incubated for 16mins at 37°C. Sections were counterstained with Hematoxylin II. Image inset shows absence of staining in secondary antibody only control. Customers are encouraged to optimise antigen retrieval conditions, antibody concentration, incubation times and temperature for best results in their own IHC assay workflow (automated and manual).

Flow Cytometry (Intracellular) - Anti-CTLA4 antibody [CAL49] (AB237712)
  • Flow Cyt (Intra)

Lab

Flow Cytometry (Intracellular) - Anti-CTLA4 antibody [CAL49] (AB237712)

Flow cytometry staining of human peripheral blood mononuclear cells (PBMCs) (top) or PBMCs treated with 5µg/ml PHA for 48 Hours with ab237712 (right) or Recombinant Rabbit IgG, monoclonal [EPR25A] - Isotype Control (left). PBMCs were incubated for 30 min on ice in 1x PBS containing 10 µg/ml human IgG and 10 % normal goat serum to block FC receptors and non-specific protein-protein interaction. Cells were then fixed and permeabilised with BD Cytofix/Cytoperm™ for 20 min followed by the antibody ab237712 or Recombinant Rabbit IgG, monoclonal [EPR25A] - Isotype Control (1x 106 in 100 µl at 0.2 μg/ml (1/10,300)) for 30 min at 22°C.

The secondary antibody Goat Anti-Rabbit IgG H&L (Alexa Fluor® 488) preadsorbed was incubated at 1/2000 for 30min at 22°C.

Acquisition of >30000 events were collected using a 50 mW Blue laser (488nm) and 525/40 bandpass filter. Events were gated on live cells.

Immunohistochemistry (Formalin/PFA-fixed paraffin-embedded sections) - Anti-CTLA4 antibody [CAL49] (AB237712)
  • IHC-P

Lab

Immunohistochemistry (Formalin/PFA-fixed paraffin-embedded sections) - Anti-CTLA4 antibody [CAL49] (AB237712)

Tissue Microarrays stained for "Anti-CTLA4 antibody [CAL49]" using "ab237712"in immunohistochemical analysis. This table provides a detailed overview of positive (tick mark) and negative (cross mark) staining per sample type tested. The sections were pre-treated using Heat mediated antigen retrieval using Bond™ Epitope Retrieval Solution 2 (pH 9.0) for 30 minutes. The sections were incubated with ab237712 for 30 mins at room temperature followed by a ready to use LeicaDS9800 (Bond™ Polymer Refine Detection). The immunostaining was performed on a Leica Biosystems BOND® RX instrument.

Immunohistochemistry (Formalin/PFA-fixed paraffin-embedded sections) - Anti-CTLA4 antibody [CAL49] (AB237712)
  • IHC-P

Collaborator

Immunohistochemistry (Formalin/PFA-fixed paraffin-embedded sections) - Anti-CTLA4 antibody [CAL49] (AB237712)

Immunohistochemical analysis of paraffin-embeded Rhesus monkey tonsil tissue labeling CTLA4 with ab251599 followed by Polink 1 Polymer HRP anti-Rabbit IgG.

Heat mediated antigen retrieval-Buffer/Enzyme Used : Dako pH9.

This data was developed using the same antibody clone in a different buffer formulation (ab251599).

This image is courtesy of Dr. Chi Ngai Chan

Immunohistochemistry (Formalin/PFA-fixed paraffin-embedded sections) - Anti-CTLA4 antibody [CAL49] (AB237712)
  • IHC-P

Supplier Data

Immunohistochemistry (Formalin/PFA-fixed paraffin-embedded sections) - Anti-CTLA4 antibody [CAL49] (AB237712)

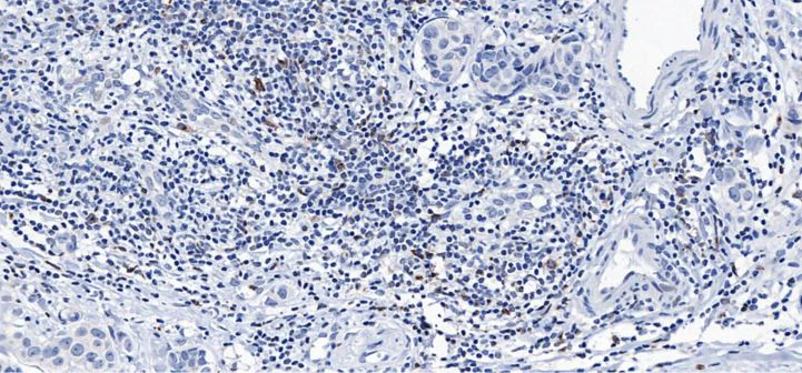
Formalin-fixed, paraffin-embedded human lymph node tissue stained for CTLA4 using ab237712 at 0.25 μg/ml in immunohistochemical analysis.

Incubate with primary antibody for 75 minutes at room temperature.

Flow Cytometry (Intracellular) - Anti-CTLA4 antibody [CAL49] (AB237712)
  • Flow Cyt (Intra)

Supplier Data

Flow Cytometry (Intracellular) - Anti-CTLA4 antibody [CAL49] (AB237712)

Intracellular flow cytometric analysis of2% paraformaldehyde-fixed, 0.1% Tween 20 permeabilized mouse splenocytes (treated with 2.5μg/ml Concanavalin A (ConA) for 3 days) cells labeling CTLA4 with ab237712 at 1/400 (Right) compared with a Rabbit IgG, monoclonal [EPR25A] - Isotype Control (ab172730) (Left).

Cells were surface stained with anti-CD3 conjugated to Alexa Fluor® 647. Then fixed with 2% PFA for 10min followed by intracellular staining with rabbit IgG (Left) and ab237712 (Right).

Goat Anti-Rabbit IgG Fc (Alexa Fluor® 488) preadsorbed (ab150097), at 1/2000 dilution was used as the secondary antibody.

Immunohistochemistry (Formalin/PFA-fixed paraffin-embedded sections) - Anti-CTLA4 antibody [CAL49] (AB237712)
  • IHC-P

Supplier Data

Immunohistochemistry (Formalin/PFA-fixed paraffin-embedded sections) - Anti-CTLA4 antibody [CAL49] (AB237712)

Formalin-fixed, paraffin-embedded human breast carcinoma tissue stained for CTLA4 using ab237712 at 0.25 μg/ml in immunohistochemical analysis.

Incubate with primary antibody for 75 minutes at room temperature.

Immunohistochemistry (Formalin/PFA-fixed paraffin-embedded sections) - Anti-CTLA4 antibody [CAL49] (AB237712)
  • IHC-P

Supplier Data

Immunohistochemistry (Formalin/PFA-fixed paraffin-embedded sections) - Anti-CTLA4 antibody [CAL49] (AB237712)

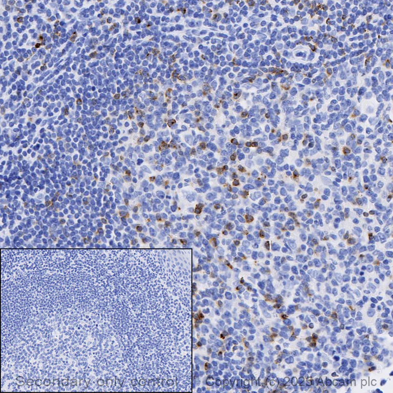
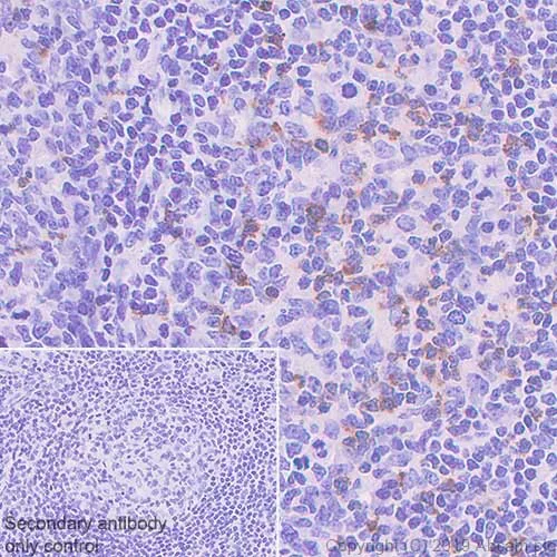
Immunohistochemical analysis of paraffin-embedded human tonsil tissue labeling CTLA4 with ab237712 at 1/500 dilution, followed by Goat Anti-Rabbit IgG H&L (HRP) ready to use. Positive staining on human tonsil is observed. Counter stained with hematoxylin.

Secondary antibody only control : Used PBS instead of primary antibody, secondary antibody is Goat Anti-Rabbit IgG H&L (HRP) ready to use.

Heat mediated antigen retrieval with Tris-EDTA buffer (pH 9.0) for 30 mins.

The section was incubated with ab237712 for 30 mins at room temperature.

The immunostaining was performed on a Leica Biosystems BOND® RX instrument.

Flow Cytometry (Intracellular) - Anti-CTLA4 antibody [CAL49] (AB237712)
  • Flow Cyt (Intra)

Supplier Data

Flow Cytometry (Intracellular) - Anti-CTLA4 antibody [CAL49] (AB237712)

Intracellular flow cytometric analysis of 2% paraformaldehyde-fixed, 0.1% Tween 20 permeabilized human PBMC (peripheral blood mononuclear cell) (treated with 10μg/ml PHA for 2 days) cells labeling CTLA4 with ab237712 at 1/400 (Right) compared with a Rabbit IgG, monoclonal [EPR25A] - Isotype Control (ab172730) (Left).

Cells were surface stained with anti-CD3 conjugated to Alexa Fluor® 647. Then fixed with 2% PFA for 10min followed by intracellular staining with rabbit IgG (Left) and ab237712 (Right).

Goat Anti-Rabbit IgG Fc (Alexa Fluor® 488) preadsorbed (ab150097), at 1/2000 dilution was used as the secondary antibody.

Immunoprecipitation - Anti-CTLA4 antibody [CAL49] (AB237712)
  • IP

Supplier Data

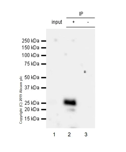
Immunoprecipitation - Anti-CTLA4 antibody [CAL49] (AB237712)

CTLA4 was immunoprecipitated from 0.35 mh human tonsil lysate with ab237712 at 1/30 dilution. Western blot was performed from the immunoprecipitate using ab237712 at 1/500 dilution. VeriBlot for IP Detection Reagent (HRP) (ab131366), was used as secondary antibody at 1/1000 dilution.

Lane 1 : Human tonsil lysate 10 μg (Input).
Lane 2 : ab237712 IP in human tonsil lysate.
Lane 3 : Rabbit monoclonal IgG (ab172730) instead of ab237712 in human tonsil lysate.

Blocking and dilution buffer and concentration : 5% NFDM/TBST.
Exposure time : 30 seconds.

All lanes:

Immunoprecipitation - Anti-CTLA4 antibody [CAL49] (ab237712)

Predicted band size: 24 kDa

Observed band size: 25 kDa

false

Western blot - Anti-CTLA4 antibody [CAL49] (AB237712)
  • WB

Lab

Western blot - Anti-CTLA4 antibody [CAL49] (AB237712)

Blocking and dilution buffer : 5% NFDM/TBST.

All lanes:

Western blot - Anti-CTLA4 antibody [CAL49] (ab237712) at 1/1000 dilution

Lane 1:

Untreated human PBMC (human peripheral blood mononuclear cell) whole cell lysate at 20 µg

Lane 2:

Human PBMC (treated with 10μg/ml PHA for 2 days) whole cell lysate at 20 µg

Lane 3:

Untreated mouse splenocyte whole cell lysate at 20 µg

Lane 4:

Mouse splenocyte (treated with 2.5μg/ml Concanavalin A (ConA) for 3 days) whole cell lysate at 20 µg

Secondary

All lanes:

Western blot - Goat Anti-Rabbit IgG H&L (HRP) (<a href='/en-us/products/secondary-antibodies/goat-rabbit-igg-h-l-hrp-ab97051'>ab97051</a>) at 1/100000 dilution

Predicted band size: 24 kDa

Observed band size: 25 kDa

false

Exposure time: 3min

Key facts

Host species

Rabbit

Clonality

Monoclonal

Clone number

CAL49

Isotype

IgG

Carrier free

No

Reacts with

Mouse, Human, Rhesus monkey

Applications

IHC-P, WB, IP, Flow Cyt (Intra)

applications

Immunogen

The exact immunogen used to generate this antibody is proprietary information.

Reactivity data

{ "title": "Reactivity Data", "filters": { "stats": ["", "Species", "Dilution Info", "Notes"], "tabs": { "all-applications": {"fullname" : "All Applications", "shortname": "All Applications"}, "IP" : {"fullname" : "Immunoprecipitation", "shortname":"IP"}, "WB" : {"fullname" : "Western blot", "shortname":"WB"}, "ICCIF" : {"fullname" : "Immunocytochemistry/ Immunofluorescence", "shortname":"ICC/IF"}, "FlowCytIntra" : {"fullname" : "Flow Cytometry (Intracellular)", "shortname":"Flow Cyt (Intra)"}, "IHCP" : {"fullname" : "Immunohistochemistry (Formalin/PFA-fixed paraffin-embedded sections)", "shortname":"IHC-P"} }, "product-promise": { "all": "all", "testedAndGuaranteed": "tested", "guaranteed": "expected", "predicted": "predicted", "notRecommended": "not-recommended" } }, "values": { "Human": { "IP-species-checked": "testedAndGuaranteed", "IP-species-dilution-info": "1/30", "IP-species-notes": "<p></p>", "WB-species-checked": "testedAndGuaranteed", "WB-species-dilution-info": "1/1000", "WB-species-notes": "<p></p>", "ICCIF-species-checked": "notRecommended", "ICCIF-species-dilution-info": "", "ICCIF-species-notes": "<p></p>", "FlowCytIntra-species-checked": "testedAndGuaranteed", "FlowCytIntra-species-dilution-info": "1/400", "FlowCytIntra-species-notes": "<p></p>", "IHCP-species-checked": "testedAndGuaranteed", "IHCP-species-dilution-info": "1/500", "IHCP-species-notes": "<p></p> Perform heat-mediated antigen retrieval with Tris/EDTA buffer pH 9.0 before commencing with IHC staining protocol." }, "Mouse": { "IP-species-checked": "guaranteed", "IP-species-dilution-info": "", "IP-species-notes": "", "WB-species-checked": "testedAndGuaranteed", "WB-species-dilution-info": "1/1000", "WB-species-notes": "<p></p>", "ICCIF-species-checked": "notRecommended", "ICCIF-species-dilution-info": "", "ICCIF-species-notes": "<p></p>", "FlowCytIntra-species-checked": "testedAndGuaranteed", "FlowCytIntra-species-dilution-info": "1/400", "FlowCytIntra-species-notes": "<p></p>", "IHCP-species-checked": "guaranteed", "IHCP-species-dilution-info": "", "IHCP-species-notes": "" }, "Rhesus monkey": { "IP-species-checked": "guaranteed", "IP-species-dilution-info": "", "IP-species-notes": "", "WB-species-checked": "guaranteed", "WB-species-dilution-info": "", "WB-species-notes": "", "ICCIF-species-checked": "notRecommended", "ICCIF-species-dilution-info": "", "ICCIF-species-notes": "<p></p>", "FlowCytIntra-species-checked": "guaranteed", "FlowCytIntra-species-dilution-info": "", "FlowCytIntra-species-notes": "", "IHCP-species-checked": "testedAndGuaranteed", "IHCP-species-dilution-info": "1/500", "IHCP-species-notes": "<p></p> Perform heat-mediated antigen retrieval with Tris/EDTA buffer pH 9.0 before commencing with IHC staining protocol." } } }

You may be interested in:

AB264616

Human CTLA-4 ELISA Kit

0

0 Reviews

View product

We recommend this product because it’s often used in the same experiment or related research.

We advise that you always check the datasheet to ensure it fits your experiments, or contact ourtechnical teamfor help.

Product details

Properties and storage information

Form
Liquid
Purification technique
Affinity purification Protein A
Purification notes
Purity >99%.
Storage buffer
pH: 7.2 - 7.4 Preservative: 0.05% Sodium azide Constituents: PBS
Shipped at conditions
Blue Ice
Appropriate short-term storage duration
1-2 weeks
Appropriate short-term storage conditions
+4°C
Appropriate long-term storage conditions
-20°C
Aliquoting information
Upon delivery aliquot
Storage information
Avoid freeze / thaw cycle

Supplementary information

This supplementary information is collated from multiple sources and compiled automatically.

CTLA-4 also known as CD152 is an immune checkpoint receptor with a molecular weight of approximately 34 kDa. This protein is expressed on the surface of T-cells especially after activation and sometimes on regulatory T-cells (Tregs). CTLA-4 competes with CD28 for binding to the same ligands CD80 and CD86 on antigen-presenting cells. Unlike CD28 which stimulates T-cell activation CTLA-4 sends inhibitory signals to downregulate immune responses. By doing this CTLA-4 helps maintain immune system homeostasis and prevents autoimmune reactions.
Biological function summary

The CTLA-4 protein functions as a critical regulator of the immune system. It interacts with CD80/CD86 in a complex that effectively transmits inhibitory signals to T-cells. CTLA-4 controls the amplitude of the initial activation of T-cells ensuring that the body's immune responses are kept under control. In regulatory T-cells CTLA-4 engagement contributes to their immunosuppressive functions through which they maintain tolerance to self-antigens and prevent overactive immune reactions.

Pathways

CTLA-4 involves itself in the adaptive immune response pathways specifically the regulation of T-cell activity. CTLA-4's interaction with CD80/CD86 modulates pathways associated with TCR (T-cell receptor) signaling. When CTLA-4 binds its ligands it recruits phosphatases such as SHP-2 that dephosphorylate signaling proteins leading to the downregulation of T-cell interaction. This pathway interaction exemplifies how CTLA-4 acts in concert with proteins like CD28 to finely tune immune responses.

CTLA-4 plays a role in autoimmune diseases and cancer. The dysregulation of CTLA-4 function can lead to autoimmune disorders where the immune system attacks the body's own tissue. In cancer tumor cells may manipulate CTLA-4 pathways to evade immune surveillance. Targeted therapies like anti-CTLA-4 antibodies such as ipilimumab have been developed to block CTLA-4 aiming to enhance the immune system's ability to attack cancer cells. These treatments highlight the role of CTLA-4 in balancing immune activity and the potential to alter this balance for therapeutic benefit.

Product protocols

For this product, it's our understanding that no specific protocols are required. You can visit:

Target data

Inhibitory receptor acting as a major negative regulator of T-cell responses. The affinity of CTLA4 for its natural B7 family ligands, CD80 and CD86, is considerably stronger than the affinity of their cognate stimulatory coreceptor CD28.
See full target information CTLA4

Publications (24)

Recent publications for all applications. Explore the full list and refine your search

Nature communications 14:5534 PubMed37749092

2023

THBS1-producing tumor-infiltrating monocyte-like cells contribute to immunosuppression and metastasis in colorectal cancer.

Applications

Unspecified application

Species

Unspecified reactive species

Mayuki Omatsu,Yuki Nakanishi,Kosuke Iwane,Naoki Aoyama,Angeles Duran,Yu Muta,Anxo Martinez-Ordoñez,Qixiu Han,Nobukazu Agatsuma,Kenta Mizukoshi,Munenori Kawai,Go Yamakawa,Mio Namikawa,Kensuke Hamada,Yuichi Fukunaga,Takahiro Utsumi,Makoto Sono,Tomonori Masuda,Akitaka Hata,Osamu Araki,Munemasa Nagao,Takaaki Yoshikawa,Satoshi Ogawa,Yukiko Hiramatsu,Motoyuki Tsuda,Takahisa Maruno,Toshiaki Kogame,Hiroaki Kasashima,Nobuyuki Kakiuchi,Masahiro M Nakagawa,Kenji Kawada,Masakazu Yashiro,Kiyoshi Maeda,Yasuyuki Saito,Takashi Matozaki,Akihisa Fukuda,Kenji Kabashima,Kazutaka Obama,Seishi Ogawa,Nader Sheibani,Maria T Diaz-Meco,Jorge Moscat,Hiroshi Seno

iScience 26:107722 PubMed37694141

2023

A cancer-associated fibroblast subtypes-based signature enables the evaluation of immunotherapy response and prognosis in bladder cancer.

Applications

Unspecified application

Species

Unspecified reactive species

Yiming Qin,Xiongbing Zu,Yin Li,Ying Han,Jun Tan,Changjing Cai,Edward Shen,Ping Liu,Ganlu Deng,Ziyang Feng,Wantao Wu,Yinghui Peng,Yongting Liu,Jiayao Ma,Shan Zeng,Yihong Chen,Hong Shen

Journal of neuro-oncology 163:663-674 PubMed37418134

2023

Tumor immune microenvironment in pituitary neuroendocrine tumors (PitNETs): increased M2 macrophage infiltration and PD-L1 expression in PIT1-lineage subset.

Applications

Unspecified application

Species

Unspecified reactive species

Mei Luo,Rui Tang,Haijun Wang

Journal of experimental & clinical cancer research : CR 42:136 PubMed37254126

2023

Spatial analysis of stromal signatures identifies invasive front carcinoma-associated fibroblasts as suppressors of anti-tumor immune response in esophageal cancer.

Applications

Unspecified application

Species

Unspecified reactive species

Jian-Zhong He,Yang Chen,Fa-Min Zeng,Qing-Feng Huang,Hai-Feng Zhang,Shao-Hong Wang,Shuai-Xia Yu,Xiao-Xiao Pang,Ye Liu,Xiu-E Xu,Jian-Yi Wu,Wen-Jun Shen,Zhan-Yu Li,En-Min Li,Li-Yan Xu

Hepatology international 17:927-941 PubMed37031334

2023

Development of a deep pathomics score for predicting hepatocellular carcinoma recurrence after liver transplantation.

Applications

Unspecified application

Species

Unspecified reactive species

Wei-Feng Qu,Meng-Xin Tian,Hong-Wei Lu,Yu-Fu Zhou,Wei-Ren Liu,Zheng Tang,Zhao Yao,Run Huang,Gui-Qi Zhu,Xi-Fei Jiang,Chen-Yang Tao,Yuan Fang,Jun Gao,Xiao-Ling Wu,Jia-Feng Chen,Qian-Fu Zhao,Rui Yang,Tian-Hao Chu,Jian Zhou,Jia Fan,Jin-Hua Yu,Ying-Hong Shi

Diagnostic pathology 18:36 PubMed36894965

2023

B7-H3 expression is associated with high PD-L1 expression in clear cell renal cell carcinoma and predicts poor prognosis.

Applications

Unspecified application

Species

Unspecified reactive species

Jung Hee Lee,Yong Jun Kim,Hyun Woo Ryu,Seung Won Shin,Eun Ji Kim,So Hyun Shin,Joon Young Park,So Young Kim,Chung Su Hwang,Joo-Young Na,Dong Hoon Shin,Jee Yeon Kim,Hyun Jung Lee

mAbs 14:2139886 PubMed36334035

2022

A mouse pancreatic organoid model to compare PD-L1 blocking antibodies.

Applications

Unspecified application

Species

Unspecified reactive species

Guangyuan Li,Susmita Ghosh,JuMe Park,Hyunsu Shin,Mamatha Garige,Gregory Reaman,Carole Sourbier

Cancers 14: PubMed36230846

2022

Spatial Profiling of the Prostate Cancer Tumor Microenvironment Reveals Multiple Differences in Gene Expression and Correlation with Recurrence Risk.

Applications

Unspecified application

Species

Unspecified reactive species

Vinay Kumar,Pavneet Randhawa,Robert Bilodeau,Dan Mercola,Michael McClelland,Anshu Agrawal,James Nguyen,Patricia Castro,Michael M Ittmann,Farah Rahmatpanah

Frontiers in immunology 13:951529 PubMed36159831

2022

Prognostic stratification based on mC regulators acts as a novel biomarker for immunotherapy in hepatocellular carcinoma.

Applications

Unspecified application

Species

Unspecified reactive species

Ping Liu,Ziqing Zhu,Jiayao Ma,Le Wei,Ying Han,Edward Shen,Xiao Tan,Yihong Chen,Changjing Cai,Cao Guo,Yinghui Peng,Yan Gao,Yongting Liu,Qiaoqiao Huang,Le Gao,Yin Li,Zhaohui Jiang,Wantao Wu,Yihan Liu,Shan Zeng,Wei Li,Ziyang Feng,Hong Shen

Frontiers in genetics 13:951243 PubMed36061211

2022

Construction, bioinformatics analysis, and validation of competitive endogenous RNA networks in ulcerative colitis.

Applications

Unspecified application

Species

Unspecified reactive species

Longcong Dong,Ruibin Zhang,Qin Huang,Yuan Shen,Hongying Li,Shuguang Yu,Qiaofeng Wu
View all publications

Product promise

We are committed to supporting your work with high-quality reagents, and we're here for you every step of the way. In the unlikely event that one of our products does not perform as expected, you're protected by our Product Promise.
For full details, please see our Terms & Conditions

Associated Products

Select an associated product type
Alternative Product
Primary Antibodies

AB224295

Anti-CTLA4 antibody [EPR21972-205]

primary-antibodies

ctla4-antibody-epr21972-205-ab224295

0

(0 reviews)

Alternative Product
Primary Antibodies

AB216338

Anti-CTLA4 antibody [EPR22860-65]

primary-antibodies

ctla4-antibody-epr22860-65-ab216338

0

(0 reviews)

Alternative Product
Assay Kits

AB255720

Mouse CTLA-4 ELISA Kit

elisa-kits

mouse-ctla-4-elisa-kit-ab255720

0

(0 reviews)

Alternative Product
Primary Antibodies

AB237017

Anti-CTLA4 antibody [EPR21972-205] - BSA and Azide free

primary-antibodies

ctla4-antibody-epr21972-205-bsa-and-azide-free-ab237017

0

(0 reviews)

Alternative Product
Primary Antibodies

AB269954

Anti-CTLA4 antibody [EPR22860-65] - BSA and Azide free

primary-antibodies

ctla4-antibody-epr22860-65-bsa-and-azide-free-ab269954

0

(0 reviews)

Please note: All products are 'FOR RESEARCH USE ONLY. NOT FOR USE IN DIAGNOSTIC OR THERAPEUTIC PROCEDURES'.

For licensing inquiries, please contact partnerships@abcam.com