JavaScript is disabled in your browser. Please enable JavaScript to view this website.
AB251599

Anti-CTLA4 antibody [CAL49] - BSA and Azide free

4

(4 Reviews)

|

(2 Publications)

Anti-CTLA4 antibody [CAL49] - BSA and Azide free (ab251599) is a rabbit recombinant monoclonal antibody provided in a PBS only buffer for easy conjugation. Suitable for Western Blot, Flow Cytometry, IP, IHC-P in Human, Mouse, Rhesus monkey.

- BSA, sodium azide, and glycerol-free for easy conjugation
- Biophysical QC for unrivalled batch-batch consistency

View Alternative Names

CD152, CTLA4, Cytotoxic T-lymphocyte protein 4, Cytotoxic T-lymphocyte-associated antigen 4, CTLA-4

10 Images
Immunohistochemistry (Formalin/PFA-fixed paraffin-embedded sections) - Anti-CTLA4 antibody [CAL49] - BSA and Azide free (AB251599)
  • IHC-P

Lab

Immunohistochemistry (Formalin/PFA-fixed paraffin-embedded sections) - Anti-CTLA4 antibody [CAL49] - BSA and Azide free (AB251599)

Tissue Microarrays stained for "Anti-CTLA4 antibody [CAL49]" using "ab237712"in immunohistochemical analysis. This table provides a detailed overview of positive (tick mark) and negative (cross mark) staining per sample type tested. The sections were pre-treated using Heat mediated antigen retrieval using Bond™ Epitope Retrieval Solution 2 (pH 9.0) for 30 minutes. The sections were incubated with ab237712 for 30 mins at room temperature followed by a ready to use LeicaDS9800 (Bond™ Polymer Refine Detection). The immunostaining was performed on a Leica Biosystems BOND® RX instrument.

Immunohistochemistry (Formalin/PFA-fixed paraffin-embedded sections) - Anti-CTLA4 antibody [CAL49] - BSA and Azide free (AB251599)
  • IHC-P

Lab

Immunohistochemistry (Formalin/PFA-fixed paraffin-embedded sections) - Anti-CTLA4 antibody [CAL49] - BSA and Azide free (AB251599)

This data was developed using ab237712 the same antibody clone in a different buffer formulation.

Immunohistochemical analysis of formalin fixed paraffin embedded human tonsil labelling CTLA4 with ab237712 at a concentration of 1µg/ml. The immunostaining was performed on a Ventana DISCOVERY ULTRA (Roche Tissue Diagnostics) instrument with a OptiView DAB IHC Detection Kit. Heat mediated antigen retrieval was performed with DISCOVERY cell conditioning solution (CC1) 100°C, pH8.5 for 32mins. ab237712 Anti-CTLA4 antibody [CAL49] was incubated for 16mins at 37°C. Sections were counterstained with Hematoxylin II. Image inset shows absence of staining in secondary antibody only control. Customers are encouraged to optimise antigen retrieval conditions, antibody concentration, incubation times and temperature for best results in their own IHC assay workflow (automated and manual).

Flow Cytometry (Intracellular) - Anti-CTLA4 antibody [CAL49] - BSA and Azide free (AB251599)
  • Flow Cyt (Intra)

Lab

Flow Cytometry (Intracellular) - Anti-CTLA4 antibody [CAL49] - BSA and Azide free (AB251599)

This data was developed using the same antibody clone in a different buffer formulation containing PBS, BSA, glycerol, and sodium azide (ab237712).

Flow cytometry staining of human peripheral blood mononuclear cells (PBMCs) (top) or PBMCs treated with 5µg/ml PHA for 48 Hours with ab237712 (right) or Recombinant Rabbit IgG, monoclonal [EPR25A] - Isotype Control (left). PBMCs were incubated for 30 min on ice in 1x PBS containing 10 µg/ml human IgG and 10 % normal goat serum to block FC receptors and non-specific protein-protein interaction. Cells were then fixed and permeabilised with BD Cytofix/Cytoperm™ for 20 min followed by the antibody ab237712 or Recombinant Rabbit IgG, monoclonal [EPR25A] - Isotype Control (1x 106 in 100 µl at 0.2 μg/ml (1/10,300)) for 30 min at 22°C.

The secondary antibody Goat Anti-Rabbit IgG H&L (Alexa Fluor® 488) preadsorbed was incubated at 1/2000 for 30min at 22°C.

Acquisition of >30000 events were collected using a 50 mW Blue laser (488nm) and 525/40 bandpass filter. Events were gated on live cells.

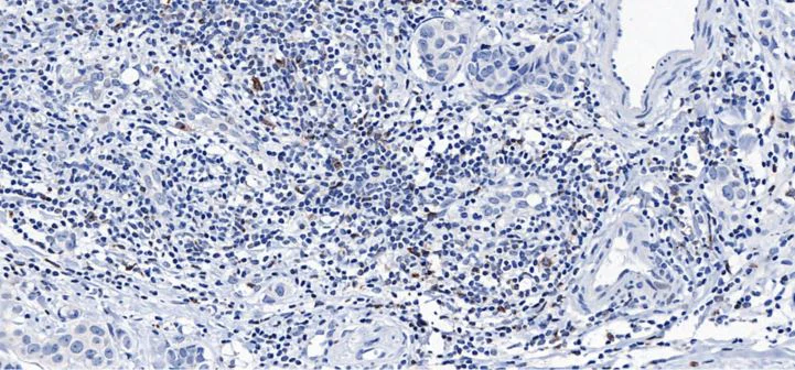
Immunohistochemistry (Formalin/PFA-fixed paraffin-embedded sections) - Anti-CTLA4 antibody [CAL49] - BSA and Azide free (AB251599)
  • IHC-P

Collaborator

Immunohistochemistry (Formalin/PFA-fixed paraffin-embedded sections) - Anti-CTLA4 antibody [CAL49] - BSA and Azide free (AB251599)

Immunohistochemical analysis of paraffin-embeded Rhesus monkey tonsil tissue labeling CTLA4 with ab251599 followed by Polink 1 Polymer HRP anti-Rabbit IgG.

Heat mediated antigen retrieval-Buffer/Enzyme Used : Dako pH9.

This image is courtesy of Dr. Chi Ngai Chan

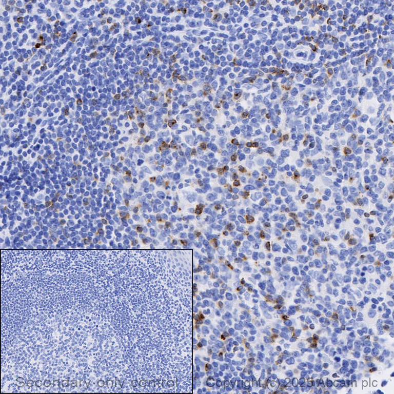
Immunohistochemistry (Formalin/PFA-fixed paraffin-embedded sections) - Anti-CTLA4 antibody [CAL49] - BSA and Azide free (AB251599)
  • IHC-P

Supplier Data

Immunohistochemistry (Formalin/PFA-fixed paraffin-embedded sections) - Anti-CTLA4 antibody [CAL49] - BSA and Azide free (AB251599)

Formalin-fixed, paraffin-embedded human lymph node tissue stained for CTLA4 using ab237712 at 0.25 μg/ml in immunohistochemical analysis.

Incubate with primary antibody for 75 minutes at room temperature.

This data was developed using the same antibody clone in a different buffer formulation containing PBS and sodium azide (ab237712).

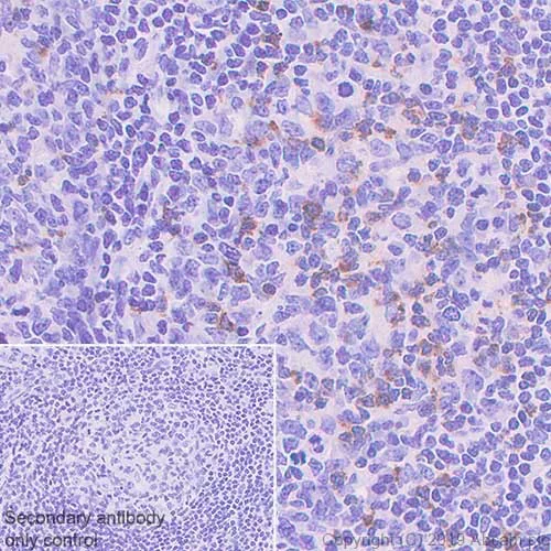
Immunohistochemistry (Formalin/PFA-fixed paraffin-embedded sections) - Anti-CTLA4 antibody [CAL49] - BSA and Azide free (AB251599)
  • IHC-P

Supplier Data

Immunohistochemistry (Formalin/PFA-fixed paraffin-embedded sections) - Anti-CTLA4 antibody [CAL49] - BSA and Azide free (AB251599)

Immunohistochemical analysis of paraffin-embedded human tonsil tissue labeling CTLA4 with ab237712 at 1/500 dilution, followed by Goat Anti-Rabbit IgG H&L (HRP) ready to use. Positive staining on human tonsil is observed. Counter stained with hematoxylin.

Secondary antibody only control : Used PBS instead of primary antibody, secondary antibody is Goat Anti-Rabbit IgG H&L (HRP) ready to use.

Heat mediated antigen retrieval with Tris-EDTA buffer (pH 9.0) for 30 mins.

The section was incubated with ab237712 for 30 mins at room temperature.

The immunostaining was performed on a Leica Biosystems BOND® RX instrument.

This data was developed using the same antibody clone in a different buffer formulation containing PBS and sodium azide (ab237712).

Flow Cytometry (Intracellular) - Anti-CTLA4 antibody [CAL49] - BSA and Azide free (AB251599)
  • Flow Cyt (Intra)

Supplier Data

Flow Cytometry (Intracellular) - Anti-CTLA4 antibody [CAL49] - BSA and Azide free (AB251599)

Intracellular flow cytometric analysis of 2% paraformaldehyde-fixed, 0.1% Tween 20 permeabilized human PBMC (peripheral blood mononuclear cell) (treated with 10μg/ml PHA for 2 days) cells labeling CTLA4 with ab237712 at 1/400 (Right) compared with a Rabbit IgG, monoclonal [EPR25A] - Isotype Control (ab172730) (Left).

Cells were surface stained with anti-CD3 conjugated to Alexa Fluor® 647. Then fixed with 2% PFA for 10min followed by intracellular staining with rabbit IgG (Left) and ab237712 (Right).

Goat Anti-Rabbit IgG Fc (Alexa Fluor® 488) preadsorbed (ab150097), at 1/2000 dilution was used as the secondary antibody.

This data was developed using the same antibody clone in a different buffer formulation containing PBS and sodium azide (ab237712).

Flow Cytometry (Intracellular) - Anti-CTLA4 antibody [CAL49] - BSA and Azide free (AB251599)
  • Flow Cyt (Intra)

Supplier Data

Flow Cytometry (Intracellular) - Anti-CTLA4 antibody [CAL49] - BSA and Azide free (AB251599)

Intracellular flow cytometric analysis of2% paraformaldehyde-fixed, 0.1% Tween 20 permeabilized mouse splenocytes (treated with 2.5μg/ml Concanavalin A (ConA) for 3 days) cells labeling CTLA4 with ab237712 at 1/400 (Right) compared with a Rabbit IgG, monoclonal [EPR25A] - Isotype Control (ab172730) (Left).

Cells were surface stained with anti-CD3 conjugated to Alexa Fluor®647. Then fixed with 2% PFA for 10min followed by intracellular staining with rabbit IgG (Left) and ab237712 (Right).

Goat Anti-Rabbit IgG Fc (Alexa Fluor®488) preadsorbed (ab150097), at 1/2000 dilution was used as the secondary antibody.

This data was developed using the same antibody clone in a different buffer formulation containing PBS and sodium azide (ab237712).

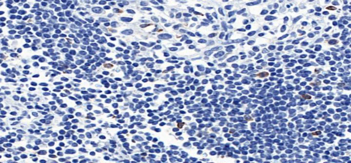
Immunohistochemistry (Formalin/PFA-fixed paraffin-embedded sections) - Anti-CTLA4 antibody [CAL49] - BSA and Azide free (AB251599)
  • IHC-P

Supplier Data

Immunohistochemistry (Formalin/PFA-fixed paraffin-embedded sections) - Anti-CTLA4 antibody [CAL49] - BSA and Azide free (AB251599)

Formalin-fixed, paraffin-embedded human breast carcinoma tissue stained for CTLA4 using ab237712 at 0.25 μg/ml in immunohistochemical analysis.

Incubate with primary antibody for 75 minutes at room temperature.

This data was developed using the same antibody clone in a different buffer formulation containing PBS and sodium azide (ab237712).

Immunoprecipitation - Anti-CTLA4 antibody [CAL49] - BSA and Azide free (AB251599)
  • IP

Supplier Data

Immunoprecipitation - Anti-CTLA4 antibody [CAL49] - BSA and Azide free (AB251599)

CTLA4 was immunoprecipitated from 0.35 mh human tonsil lysate with ab237712 at 1/30 dilution. Western blot was performed from the immunoprecipitate using ab237712 at 1/500 dilution. VeriBlot for IP Detection Reagent (HRP) (ab131366), was used as secondary antibody at 1/1000 dilution.

Lane 1 : Human tonsil lysate 10 μg (Input).
Lane 2 : ab237712 IP in human tonsil lysate.
Lane 3 : Rabbit monoclonal IgG (ab172730) instead of ab237712 in human tonsil lysate.

Blocking and dilution buffer and concentration : 5% NFDM/TBST.
Exposure time : 30 seconds.

This data was developed using the same antibody clone in a different buffer formulation containing PBS and sodium azide (ab237712).

All lanes:

Immunoprecipitation - Anti-CTLA4 antibody [CAL49] (<a href='/en-us/products/primary-antibodies/ctla4-antibody-cal49-ab237712'>ab237712</a>)

Predicted band size: 24 kDa

Observed band size: 25 kDa

false

Key facts

Host species

Rabbit

Clonality

Monoclonal

Clone number

CAL49

Isotype

IgG

Carrier free

Yes

Reacts with

Mouse, Human, Rhesus monkey

Applications

IHC-P, WB, IP, Flow Cyt (Intra)

applications

Immunogen

The exact immunogen used to generate this antibody is proprietary information.

Reactivity data

{ "title": "Reactivity Data", "filters": { "stats": ["", "Species", "Dilution Info", "Notes"], "tabs": { "all-applications": {"fullname" : "All Applications", "shortname": "All Applications"}, "IP" : {"fullname" : "Immunoprecipitation", "shortname":"IP"}, "WB" : {"fullname" : "Western blot", "shortname":"WB"}, "ICCIF" : {"fullname" : "Immunocytochemistry/ Immunofluorescence", "shortname":"ICC/IF"}, "FlowCytIntra" : {"fullname" : "Flow Cytometry (Intracellular)", "shortname":"Flow Cyt (Intra)"}, "IHCP" : {"fullname" : "Immunohistochemistry (Formalin/PFA-fixed paraffin-embedded sections)", "shortname":"IHC-P"} }, "product-promise": { "all": "all", "testedAndGuaranteed": "tested", "guaranteed": "expected", "predicted": "predicted", "notRecommended": "not-recommended" } }, "values": { "Human": { "IP-species-checked": "testedAndGuaranteed", "IP-species-dilution-info": "", "IP-species-notes": "<p></p>", "WB-species-checked": "testedAndGuaranteed", "WB-species-dilution-info": "", "WB-species-notes": "<p></p>", "ICCIF-species-checked": "notRecommended", "ICCIF-species-dilution-info": "", "ICCIF-species-notes": "<p></p>", "FlowCytIntra-species-checked": "testedAndGuaranteed", "FlowCytIntra-species-dilution-info": "", "FlowCytIntra-species-notes": "<p></p>", "IHCP-species-checked": "testedAndGuaranteed", "IHCP-species-dilution-info": "", "IHCP-species-notes": "<p></p> Perform heat-mediated antigen retrieval with Tris/EDTA buffer pH 9.0 before commencing with IHC staining protocol." }, "Mouse": { "IP-species-checked": "guaranteed", "IP-species-dilution-info": "", "IP-species-notes": "", "WB-species-checked": "testedAndGuaranteed", "WB-species-dilution-info": "", "WB-species-notes": "<p></p>", "ICCIF-species-checked": "notRecommended", "ICCIF-species-dilution-info": "", "ICCIF-species-notes": "<p></p>", "FlowCytIntra-species-checked": "testedAndGuaranteed", "FlowCytIntra-species-dilution-info": "", "FlowCytIntra-species-notes": "<p></p>", "IHCP-species-checked": "guaranteed", "IHCP-species-dilution-info": "", "IHCP-species-notes": "" }, "Rhesus monkey": { "IP-species-checked": "guaranteed", "IP-species-dilution-info": "", "IP-species-notes": "", "WB-species-checked": "guaranteed", "WB-species-dilution-info": "", "WB-species-notes": "", "ICCIF-species-checked": "notRecommended", "ICCIF-species-dilution-info": "", "ICCIF-species-notes": "<p></p>", "FlowCytIntra-species-checked": "guaranteed", "FlowCytIntra-species-dilution-info": "", "FlowCytIntra-species-notes": "", "IHCP-species-checked": "testedAndGuaranteed", "IHCP-species-dilution-info": "", "IHCP-species-notes": "<p></p> Perform heat-mediated antigen retrieval with Tris/EDTA buffer pH 9.0 before commencing with IHC staining protocol." } } }

Product details

What is this antibody validated in?
Anti-CTLA4 antibody [CAL49] - BSA and Azide free (ab251599) is a rabbit recombinant monoclonal antibody and is validated for use in Western Blot (WB), Flow Cytometry (Intra), Flow Cytometry (Flow Cyt), Immunoprecipitation (IP), Immunohistochemistry (IHC-P) in Human, Mouse, Rhesus monkey samples.

What is the molecular weight of CTLA4?
Anti-CTLA4 [CAL49] - BSA and Azide free (ab251599) specifically detects a band for CTLA4 (UniProt: P16410) at a molecular weight of 25kDa.

Other related products
We have a range of other formats of antibody clone [CAL49] also available for your convenience: ab237712, Carrier free - ab251599, Alexa Fluor® 647 - ab270127, PE - ab270128, Alexa Fluor® 555 - ab283489

Conjugation ready
Our carrier-free antibodies are typically supplied in a PBS-only formulation, purified and free of BSA, sodium azide and glycerol. This conjugation-ready format is designed for use with fluorochromes, metal isotopes, oligonucleotides, and enzymes, which makes them ideal for antibody labelling, functional and cell-based assays, flow-based assays (e.g. mass cytometry) and Multiplex Imaging applications.

Use our conjugation kits for antibody conjugates that are ready-to-use in as little as 20 minutes with 1 minute hands-on-time and 100% antibody recovery: available for fluorescent dyes, HRP, biotin and gold.

Compatibility
This product is compatible with the Maxpar® Antibody Labeling Kit from Fluidigm, without the need for antibody preparation. Maxpar® is a trademark of Fluidigm Canada Inc.

Properties and storage information

Form
Liquid
Purification technique
Affinity purification Protein A
Purification notes
Purity is greater than 99%.
Storage buffer
pH: 7.2 - 7.4 Constituents: PBS
Shipped at conditions
Blue Ice
Appropriate short-term storage conditions
+4°C
Appropriate long-term storage conditions
+4°C
Storage information
Do Not Freeze

Supplementary information

This supplementary information is collated from multiple sources and compiled automatically.

CTLA-4 also known as CD152 is an immune checkpoint receptor with a molecular weight of approximately 34 kDa. This protein is expressed on the surface of T-cells especially after activation and sometimes on regulatory T-cells (Tregs). CTLA-4 competes with CD28 for binding to the same ligands CD80 and CD86 on antigen-presenting cells. Unlike CD28 which stimulates T-cell activation CTLA-4 sends inhibitory signals to downregulate immune responses. By doing this CTLA-4 helps maintain immune system homeostasis and prevents autoimmune reactions.
Biological function summary

The CTLA-4 protein functions as a critical regulator of the immune system. It interacts with CD80/CD86 in a complex that effectively transmits inhibitory signals to T-cells. CTLA-4 controls the amplitude of the initial activation of T-cells ensuring that the body's immune responses are kept under control. In regulatory T-cells CTLA-4 engagement contributes to their immunosuppressive functions through which they maintain tolerance to self-antigens and prevent overactive immune reactions.

Pathways

CTLA-4 involves itself in the adaptive immune response pathways specifically the regulation of T-cell activity. CTLA-4's interaction with CD80/CD86 modulates pathways associated with TCR (T-cell receptor) signaling. When CTLA-4 binds its ligands it recruits phosphatases such as SHP-2 that dephosphorylate signaling proteins leading to the downregulation of T-cell interaction. This pathway interaction exemplifies how CTLA-4 acts in concert with proteins like CD28 to finely tune immune responses.

CTLA-4 plays a role in autoimmune diseases and cancer. The dysregulation of CTLA-4 function can lead to autoimmune disorders where the immune system attacks the body's own tissue. In cancer tumor cells may manipulate CTLA-4 pathways to evade immune surveillance. Targeted therapies like anti-CTLA-4 antibodies such as ipilimumab have been developed to block CTLA-4 aiming to enhance the immune system’s ability to attack cancer cells. These treatments highlight the role of CTLA-4 in balancing immune activity and the potential to alter this balance for therapeutic benefit.

Product protocols

For this product, it's our understanding that no specific protocols are required. You can visit:

Target data

Inhibitory receptor acting as a major negative regulator of T-cell responses. The affinity of CTLA4 for its natural B7 family ligands, CD80 and CD86, is considerably stronger than the affinity of their cognate stimulatory coreceptor CD28.
See full target information CTLA4

Publications (2)

Recent publications for all applications. Explore the full list and refine your search

Nature communications 14:3728 PubMed37349339

2023

NBEAL2 deficiency in humans leads to low CTLA-4 expression in activated conventional T cells.

Applications

Unspecified application

Species

Unspecified reactive species

Laure Delage,Francesco Carbone,Quentin Riller,Jean-Luc Zachayus,Erwan Kerbellec,Armelle Buzy,Marie-Claude Stolzenberg,Marine Luka,Camille de Cevins,Georges Kalouche,Rémi Favier,Alizée Michel,Sonia Meynier,Aurélien Corneau,Caroline Evrard,Nathalie Neveux,Sébastien Roudières,Brieuc P Pérot,Mathieu Fusaro,Christelle Lenoir,Olivier Pellé,Mélanie Parisot,Marc Bras,Sébastien Héritier,Guy Leverger,Anne-Sophie Korganow,Capucine Picard,Sylvain Latour,Bénédicte Collet,Alain Fischer,Bénédicte Neven,Aude Magérus,Mickaël Ménager,Benoit Pasquier,Frédéric Rieux-Laucat

Cell reports 39:110639 PubMed35385730

2022

Global evolution of the tumor microenvironment associated with progression from preinvasive invasive to invasive human lung adenocarcinoma.

Applications

Unspecified application

Species

Unspecified reactive species

Nasser K Altorki,Alain C Borczuk,Sebron Harrison,Lauren K Groner,Bhavneet Bhinder,Vivek Mittal,Olivier Elemento,Timothy E McGraw
View all publications

Product promise

We are committed to supporting your work with high-quality reagents, and we're here for you every step of the way. In the unlikely event that one of our products does not perform as expected, you're protected by our Product Promise.
For full details, please see our Terms & Conditions

Associated Products

Select an associated product type
Alternative Product
Primary Antibodies

AB224295

Anti-CTLA4 antibody [EPR21972-205]

primary-antibodies

ctla4-antibody-epr21972-205-ab224295

0

(0 reviews)

Alternative Product
Primary Antibodies

AB216338

Anti-CTLA4 antibody [EPR22860-65]

primary-antibodies

ctla4-antibody-epr22860-65-ab216338

0

(0 reviews)

Alternative Product
Assay Kits

AB255720

Mouse CTLA-4 ELISA Kit

elisa-kits

mouse-ctla-4-elisa-kit-ab255720

0

(0 reviews)

Alternative Product
Primary Antibodies

AB270128

PE Anti-CTLA4 antibody [CAL49]

primary-antibodies

pe-ctla4-antibody-cal49-ab270128

0

(0 reviews)

Alternative Product
Primary Antibodies

AB269954

Anti-CTLA4 antibody [EPR22860-65] - BSA and Azide free

primary-antibodies

ctla4-antibody-epr22860-65-bsa-and-azide-free-ab269954

0

(0 reviews)

Alternative Version
Primary Antibodies

AB270127

Alexa Fluor® 647 Anti-CTLA4 antibody [CAL49]

primary-antibodies

alexa-fluor-647-ctla4-antibody-cal49-ab270127

0

(0 reviews)

Please note: All products are 'FOR RESEARCH USE ONLY. NOT FOR USE IN DIAGNOSTIC OR THERAPEUTIC PROCEDURES'.

For licensing inquiries, please contact partnerships@abcam.com