JavaScript is disabled in your browser. Please enable JavaScript to view this website.
AB226010

Anti-CTNNA1 antibody [EP1793Y] - Low endotoxin, Azide free

  • BOND RX™ Validated
  • RabMAb
  • Recombinant
  • KO Validated
  • What is this?

Be the first to review this product! Submit a review

|

(11 Publications)

Rabbit Recombinant Monoclonal CTNNA1 antibody. Carrier free. Suitable for IHC-P, IP, WB and reacts with Mouse, Rat, Human samples. Cited in 11 publications.

View Alternative Names

Catenin alpha-1, Alpha E-catenin, Cadherin-associated protein, Renal carcinoma antigen NY-REN-13, CTNNA1

6 Images
Immunohistochemistry (Formalin/PFA-fixed paraffin-embedded sections) - Anti-CTNNA1 antibody [EP1793Y] - Low endotoxin, Azide free (AB226010)
  • IHC-P

Unknown

Immunohistochemistry (Formalin/PFA-fixed paraffin-embedded sections) - Anti-CTNNA1 antibody [EP1793Y] - Low endotoxin, Azide free (AB226010)

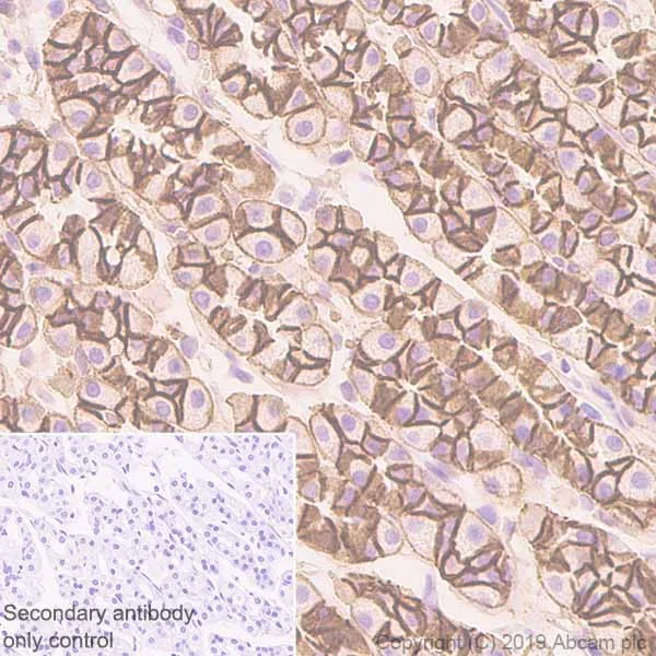
Paraffin-embedded human stomach tissue stained for CTNNA1 with ab51032 at a 1/100 dilution in immunohistochemical analysis. Rabbit specific IHC polymer detection kit HRP/DAB (ab209101) was used as a secondary antibody and Hematoxylin used as a counterstain. Heat mediated antigen retrieval with Tris-EDTA buffer (pH 9.0, epitope retrieval solution 2) was performed for 20 minutes.

Positive staining was seen on human stomach.

The section was incubated with ab51032 for 30 minutes at room temperature.

The immunostaining staining was performed on a Leica Biosystems BOND® RX instrument.

This data was developed using the same antibody clone in a different buffer formulation containing PBS, BSA, glycerol, and sodium azide (ab51032).

Immunoprecipitation - Anti-CTNNA1 antibody [EP1793Y] - Low endotoxin, Azide free (AB226010)
  • IP

Unknown

Immunoprecipitation - Anti-CTNNA1 antibody [EP1793Y] - Low endotoxin, Azide free (AB226010)

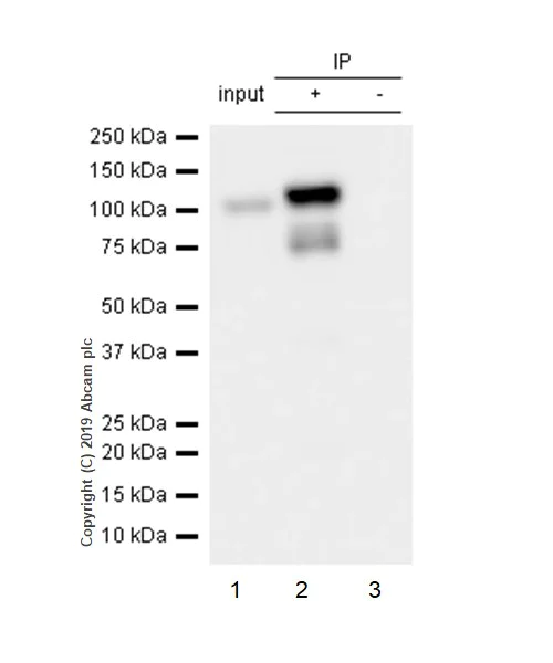
ab190685 at 1/100 dilution immunoprecipitating CTNNA1 in Jurkat HeLa (human cervix adenocarcinoma epithelial cell) whole cell lysates
Lane 1 (input) : HeLa (human cervix adenocarcinoma epithelial cell) whole cell lysate 10μg
Lane 2 (+) : HeLa whole cell lysate
Lane 3 (-) : Rabbit monoclonal IgG (ab172730) instead of ab51032 in HeLa whole cell lysate
For western blotting, ab51032 at 1/500 dilution and VeriBlot for IP Detection Reagent (HRP)(ab131366) at 1/1000 dilution were used.

Blocking and diluting buffer : 5% NFDM /TBST.

This data was developed using the same antibody clone in a different buffer formulation containing PBS, BSA, glycerol, and sodium azide (ab51032).

All lanes:

Immunoprecipitation - Anti-CTNNA1 antibody [EP1793Y] (<a href='/en-us/products/primary-antibodies/ctnna1-antibody-ep1793y-ab51032'>ab51032</a>)

Predicted band size: 100 kDa

false

Immunohistochemistry (Formalin/PFA-fixed paraffin-embedded sections) - Anti-CTNNA1 antibody [EP1793Y] - Low endotoxin, Azide free (AB226010)
  • IHC-P

Unknown

Immunohistochemistry (Formalin/PFA-fixed paraffin-embedded sections) - Anti-CTNNA1 antibody [EP1793Y] - Low endotoxin, Azide free (AB226010)

Paraffin-embedded rat stomach tissue stained for CTNNA1 with ab51032 at a 1/100 dilution in immunohistochemical analysis. Rabbit specific IHC polymer detection kit HRP/DAB (ab209101) was used as a secondary antibody and Hematoxylin used as a counterstain. Heat mediated antigen retrieval with Tris-EDTA buffer (pH 9.0, epitope retrieval solution 2) was performed for 20 minutes.

Positive staining was seen on rat stomach.

The section was incubated with ab51032 for 30 minutes at room temperature.

The immunostaining staining was performed on a Leica Biosystems BOND® RX instrument.

This data was developed using the same antibody clone in a different buffer formulation containing PBS, BSA, glycerol, and sodium azide (ab51032).

Immunohistochemistry (Formalin/PFA-fixed paraffin-embedded sections) - Anti-CTNNA1 antibody [EP1793Y] - Low endotoxin, Azide free (AB226010)
  • IHC-P

Unknown

Immunohistochemistry (Formalin/PFA-fixed paraffin-embedded sections) - Anti-CTNNA1 antibody [EP1793Y] - Low endotoxin, Azide free (AB226010)

Paraffin-embedded mouse liver tissue stained for CTNNA1 with ab51032 at a 1/100 dilution in immunohistochemical analysis. Rabbit specific IHC polymer detection kit HRP/DAB (ab209101) was used as a secondary antibody and Hematoxylin used as a counterstain. Heat mediated antigen retrieval with Tris-EDTA buffer (pH 9.0, epitope retrieval solution 2) was performed for 20 minutes.

Positive staining was seen on mouse liver.

The section was incubated with ab51032 for 30 minutes at room temperature.

The immunostaining staining was performed on a Leica Biosystems BOND® RX instrument.

This data was developed using the same antibody clone in a different buffer formulation containing PBS, BSA, glycerol, and sodium azide (ab51032).

Western blot - Anti-CTNNA1 antibody [EP1793Y] - Low endotoxin, Azide free (AB226010)
  • WB

Unknown

Western blot - Anti-CTNNA1 antibody [EP1793Y] - Low endotoxin, Azide free (AB226010)

This WB data was generated using the same anti-CTNNA1 antibody clone [EP1793Y] in a different buffer formulation (cat# ab51032).

Lane 1 : Wild-type HAP1 whole cell lysate (20 μg)
Lane 2 : CTNNA1 HAP1 whole cell lysate (20 μg)
Lane 3 : HeLa whole cell lysate (20 μg)
Lane 4 : HEK293 whole cell lysate (20 μg)

Lanes 1 - 4 : Merged signal (red and green). Green - ab51032 observed at 100 kDa. Red - loading control, ab9484, observed at 37 kDa.

ab51032 was shown to recognize CTNNA1 in wild-type cells as signal was lost at the expected MW in CTNNA1 knockout cells. Additional cross-reactive bands were observed in the wild-type and knockout cells. Wild-type and CTNNA1 knockout samples were subjected to SDS-PAGE. ab51032 and ab9484 (Mouse anti-GAPDH loading control) were incubated overnight at 4°C at 1/50000 dilution and 1/20000 dilution respectively. Blots were developed with Goat anti-Rabbit IgG H&L (IRDye® 800CW) preabsorbed ab216773 and Goat anti-Mouse IgG H&L (IRDye® 680RD) preabsorbed ab216776 secondary antibodies at 1/20000 dilution for 1 hour at room temperature before imaging.

All lanes:

Western blot - Anti-CTNNA1 antibody [EP1793Y] (<a href='/en-us/products/primary-antibodies/ctnna1-antibody-ep1793y-ab51032'>ab51032</a>)

Predicted band size: 100 kDa

false

Western blot - Anti-CTNNA1 antibody [EP1793Y] - Low endotoxin, Azide free (AB226010)
  • WB

Unknown

Western blot - Anti-CTNNA1 antibody [EP1793Y] - Low endotoxin, Azide free (AB226010)

Expsure times

Lane 1-4 : 180 seconds

Lane 5,7 : 40 seconds

Lane 6 : 5 seconds

Blocking/diluting buffer and concentration : 5% NFDM/TBST

This data was developed using the same antibody clone in a different buffer formulation containing PBS, BSA, glycerol, and sodium azide (ab51032).

All lanes:

Western blot - Anti-CTNNA1 antibody [EP1793Y] (<a href='/en-us/products/primary-antibodies/ctnna1-antibody-ep1793y-ab51032'>ab51032</a>) at 1/10000 dilution

Lane 1:

Mouse heart lysate at 20 µg

Lane 2:

Mouse kidney lysate at 20 µg

Lane 3:

Rat brain lysate at 20 µg

Lane 4:

Rat kidney lysate at 20 µg

Lane 5:

HeLa (Human cervix adenocarcinoma epithelial cell) whole cell lysate at 20 µg

Lane 6:

A431 (Human epidermoid carcinoma epithelial cell) whole cell lysate at 20 µg

Lane 7:

HUVEC (Human umbilical vein endothelial cell) whole cell lysate at 20 µg

Secondary

All lanes:

Western blot - Goat Anti-Rabbit IgG H&L (HRP) (<a href='/en-us/products/secondary-antibodies/goat-rabbit-igg-h-l-hrp-ab97051'>ab97051</a>) at 1/20000 dilution

Predicted band size: 100 kDa

Observed band size: 100 kDa

false

Key facts

Host species

Rabbit

Clonality

Monoclonal

Clone number

EP1793Y

Isotype

IgG

Carrier free

Yes

Reacts with

Mouse, Rat, Human

Applications

WB, IHC-P, IP

applications

Immunogen

The exact immunogen used to generate this antibody is proprietary information.

Reactivity data

{ "title": "Reactivity Data", "filters": { "stats": ["", "Species", "Dilution Info", "Notes"], "tabs": { "all-applications": {"fullname" : "All Applications", "shortname": "All Applications"}, "IHCP" : {"fullname" : "Immunohistochemistry (Formalin/PFA-fixed paraffin-embedded sections)", "shortname":"IHC-P"}, "IP" : {"fullname" : "Immunoprecipitation", "shortname":"IP"}, "FlowCyt" : {"fullname" : "Flow Cytometry", "shortname":"Flow Cyt"}, "WB" : {"fullname" : "Western blot", "shortname":"WB"}, "ICCIF" : {"fullname" : "Immunocytochemistry/ Immunofluorescence", "shortname":"ICC/IF"} }, "product-promise": { "all": "all", "testedAndGuaranteed": "tested", "guaranteed": "expected", "predicted": "predicted", "notRecommended": "not-recommended" } }, "values": { "Human": { "IHCP-species-checked": "testedAndGuaranteed", "IHCP-species-dilution-info": "", "IHCP-species-notes": "<p></p>", "IP-species-checked": "testedAndGuaranteed", "IP-species-dilution-info": "", "IP-species-notes": "<p></p>", "FlowCyt-species-checked": "notRecommended", "FlowCyt-species-dilution-info": "", "FlowCyt-species-notes": "<p><a href='/en-us/products/primary-antibodies/rabbit-igg-monoclonal-epr25a-isotype-control-low-endotoxin-azide-free-ab199376'>ab199376</a> - Rabbit monoclonal IgG, is suitable for use as an isotype control with this antibody.</p>", "WB-species-checked": "testedAndGuaranteed", "WB-species-dilution-info": "", "WB-species-notes": "<p></p>", "ICCIF-species-checked": "notRecommended", "ICCIF-species-dilution-info": "", "ICCIF-species-notes": "<p></p>" }, "Mouse": { "IHCP-species-checked": "testedAndGuaranteed", "IHCP-species-dilution-info": "", "IHCP-species-notes": "<p></p>", "IP-species-checked": "guaranteed", "IP-species-dilution-info": "", "IP-species-notes": "", "FlowCyt-species-checked": "notRecommended", "FlowCyt-species-dilution-info": "", "FlowCyt-species-notes": "<p><a href='/en-us/products/primary-antibodies/rabbit-igg-monoclonal-epr25a-isotype-control-low-endotoxin-azide-free-ab199376'>ab199376</a> - Rabbit monoclonal IgG, is suitable for use as an isotype control with this antibody.</p>", "WB-species-checked": "testedAndGuaranteed", "WB-species-dilution-info": "", "WB-species-notes": "<p></p>", "ICCIF-species-checked": "notRecommended", "ICCIF-species-dilution-info": "", "ICCIF-species-notes": "<p></p>" }, "Rat": { "IHCP-species-checked": "testedAndGuaranteed", "IHCP-species-dilution-info": "", "IHCP-species-notes": "<p></p>", "IP-species-checked": "guaranteed", "IP-species-dilution-info": "", "IP-species-notes": "", "FlowCyt-species-checked": "notRecommended", "FlowCyt-species-dilution-info": "", "FlowCyt-species-notes": "<p><a href='/en-us/products/primary-antibodies/rabbit-igg-monoclonal-epr25a-isotype-control-low-endotoxin-azide-free-ab199376'>ab199376</a> - Rabbit monoclonal IgG, is suitable for use as an isotype control with this antibody.</p>", "WB-species-checked": "testedAndGuaranteed", "WB-species-dilution-info": "", "WB-species-notes": "<p></p>", "ICCIF-species-checked": "notRecommended", "ICCIF-species-dilution-info": "", "ICCIF-species-notes": "<p></p>" } } }

Product details

ab226010 is the carrier-free version of ab51032.

Patented technology
Our RabMAb® technology is a patented hybridoma-based technology for making rabbit monoclonal antibodies. For details on our patents, please refer to RabMAb® patents.

Conjugation ready
Our carrier-free antibodies are typically supplied in a PBS-only formulation, purified and free of BSA, sodium azide and glycerol. This conjugation-ready format is designed for use with fluorochromes, metal isotopes, oligonucleotides, and enzymes, which makes them ideal for antibody labelling, functional and cell-based assays, flow-based assays (e.g. mass cytometry) and Multiplex Imaging applications.

Use our conjugation kits for antibody conjugates that are ready-to-use in as little as 20 minutes with 1 minute hands-on-time and 100% antibody recovery: available for fluorescent dyes, HRP, biotin and gold.

What does low endotoxin mean?
Our low endotoxin, azide-free formats have low endotoxin level (1 EU/mg, determined by the TAL assay) and are free from azide, to achieve consistent experimental results in functional assays.

Properties and storage information

Form
Liquid
Purification technique
Affinity purification Protein A
Storage buffer
pH: 7.2 - 7.4 Constituents: PBS
Shipped at conditions
Blue Ice
Appropriate short-term storage conditions
+4°C
Appropriate long-term storage conditions
+4°C
Storage information
Do Not Freeze

Supplementary information

This supplementary information is collated from multiple sources and compiled automatically.

CTNNA1 also known as alpha-Catenin is an important protein that is involved in cell adhesion. With a molecular weight of about 100 kDa CTNNA1 functions mechanically by linking cadherins which are transmembrane proteins to the actin cytoskeleton in cells. This linkage strengthens cellular junctions and maintains the integrity of tissue architecture. CTNNA1 is widely expressed in epithelial tissues where strong cell-cell adhesion is important for maintaining tissue structure.
Biological function summary

CTNNA1 is important for maintaining cellular integrity and function. It is a part of the adherens junction complex which is critical for the creation of stable cell-cell junctions in tissues. Through the adherens junction it directly associates with E-cadherin and indirectly interacts with the actin cytoskeleton. This structural configuration allows epithelial cells to remain tightly connected facilitating signal transmission between cells for coordinated tissue functioning.

Pathways

CTNNA1 plays a significant role in the Wnt signaling pathway and the regulation of actin dynamics. In the Wnt pathway CTNNA1 is associated with cell fate determination and is known to interact with beta-catenin an important component of this signaling cascade. Additionally by influencing actin cytoskeleton organization CTNNA1 affects cell movement and signal transduction essential for processes like embryogenesis and wound healing.

Disruptions in CTNNA1 function have been linked to cancer and cardiomyopathy. The loss or mutation of CTNNA1 can lead to diminished cell adhesion promoting cancer cell invasion and metastasis often seen in gastric and breast cancers. Moreover its interaction with genes like KIF7 influences cardiomyopathy where structural cardiac tissue changes impair heart function. Understanding CTNNA1's role in these conditions can provide insight for potential therapeutic targets.

Product protocols

For this product, it's our understanding that no specific protocols are required. You can visit:

Target data

Associates with the cytoplasmic domain of a variety of cadherins. The association of catenins to cadherins produces a complex which is linked to the actin filament network, and which seems to be of primary importance for cadherins cell-adhesion properties. Can associate with both E- and N-cadherins. Originally believed to be a stable component of E-cadherin/catenin adhesion complexes and to mediate the linkage of cadherins to the actin cytoskeleton at adherens junctions. In contrast, cortical actin was found to be much more dynamic than E-cadherin/catenin complexes and CTNNA1 was shown not to bind to F-actin when assembled in the complex suggesting a different linkage between actin and adherens junctions components. The homodimeric form may regulate actin filament assembly and inhibit actin branching by competing with the Arp2/3 complex for binding to actin filaments. Involved in the regulation of WWTR1/TAZ, YAP1 and TGFB1-dependent SMAD2 and SMAD3 nuclear accumulation (By similarity). May play a crucial role in cell differentiation.
See full target information Catenin alpha-1

Publications (11)

Recent publications for all applications. Explore the full list and refine your search

Scientific reports 7:44688 PubMed28425477

2017

MicroRNA-27a-3p Modulates the Wnt/β-Catenin Signaling Pathway to Promote Epithelial-Mesenchymal Transition in Oral Squamous Carcinoma Stem Cells by Targeting SFRP1.

Applications

WB

Species

Human

Bin Qiao,Bao-Xia He,Jing-Hua Cai,Qian Tao,Alfred King-Yin Lam

OncoTargets and therapy 9:7563-7571 PubMed28008274

2016

Lipopolysaccharide-induced α-catenin downregulation enhances the motility of human colorectal cancer cells in an NF-κB signaling-dependent manner.

Applications

Unspecified application

Species

Unspecified reactive species

Guoping Cheng,Shifeng Yang,Gu Zhang,Yanxia Xu,Xiaoling Liu,Wenyong Sun,Liang Zhu

International journal of molecular medicine 38:1734-1742 PubMed27748839

2016

TRIM16 suppresses the progression of prostate tumors by inhibiting the Snail signaling pathway.

Applications

WB

Species

Human

Li Qi,Zhong Lu,Yong-Hong Sun,Hai-Tao Song,Wei-Kang Xu

The Journal of cell biology 211:1177-92 PubMed26668327

2015

The actin-binding protein EPS8 binds VE-cadherin and modulates YAP localization and signaling.

Applications

Unspecified application

Species

Unspecified reactive species

Costanza Giampietro,Andrea Disanza,Luca Bravi,Miriam Barrios-Rodiles,Monica Corada,Emanuela Frittoli,Cecilia Savorani,Maria Grazia Lampugnani,Barbara Boggetti,Carien Niessen,Jeff L Wrana,Giorgio Scita,Elisabetta Dejana

EMBO reports 16:1005-21 PubMed26142281

2015

Venus trap in the mouse embryo reveals distinct molecular dynamics underlying specification of first embryonic lineages.

Applications

Unspecified application

Species

Unspecified reactive species

Jens-Erik Dietrich,Laura Panavaite,Stefan Gunther,Sebastian Wennekamp,Anna C Groner,Anton Pigge,Stefanie Salvenmoser,Didier Trono,Lars Hufnagel,Takashi Hiiragi

The Journal of clinical investigation 123:4390-404 PubMed23999427

2013

Epithelial stem cell mutations that promote squamous cell carcinoma metastasis.

Applications

WB, IHC-P

Species

Mouse, Mouse

Ruth A White,Jill M Neiman,Anand Reddi,Gangwen Han,Stanca Birlea,Doyel Mitra,Laikuan Dionne,Pam Fernandez,Kazutoshi Murao,Li Bian,Stephen B Keysar,Nathaniel B Goldstein,Ningjing Song,Sophia Bornstein,Zheyi Han,Xian Lu,Joshua Wisell,Fulun Li,John Song,Shi-Long Lu,Antonio Jimeno,Dennis R Roop,Xiao-Jing Wang

Biology of reproduction 86:141, 1-10 PubMed22378759

2012

CDH1 is essential for endometrial differentiation, gland development, and adult function in the mouse uterus.

Applications

IHC-P

Species

Mouse

Sarah N Reardon,Mandy L King,James A MacLean,Jordan L Mann,Francesco J DeMayo,John P Lydon,Kanako Hayashi

Development (Cambridge, England) 139:2040-9 PubMed22535408

2012

Nf1 limits epicardial derivative expansion by regulating epithelial to mesenchymal transition and proliferation.

Applications

IHC-FoFr

Species

Mouse

Seung Tae Baek,Michelle D Tallquist

Science signaling 4:ra33 PubMed21610251

2011

α-catenin is a tumor suppressor that controls cell accumulation by regulating the localization and activity of the transcriptional coactivator Yap1.

Applications

Unspecified application

Species

Unspecified reactive species

Mark R Silvis,Bridget T Kreger,Wen-Hui Lien,Olga Klezovitch,G Marianna Rudakova,Fernando D Camargo,Dan M Lantz,John T Seykora,Valeri Vasioukhin

Developmental cell 19:114-25 PubMed20643355

2010

Epicardial spindle orientation controls cell entry into the myocardium.

Applications

IHC-P

Species

Mouse

Mingfu Wu,Christopher L Smith,James A Hall,Ivy Lee,Kate Luby-Phelps,Michelle D Tallquist
View all publications

Product promise

We are committed to supporting your work with high-quality reagents, and we're here for you every step of the way. In the unlikely event that one of our products does not perform as expected, you're protected by our Product Promise.
For full details, please see our Terms & Conditions

Please note: All products are 'FOR RESEARCH USE ONLY. NOT FOR USE IN DIAGNOSTIC OR THERAPEUTIC PROCEDURES'.

For licensing inquiries, please contact partnerships@abcam.com