JavaScript is disabled in your browser. Please enable JavaScript to view this website.
AB284752

Anti-CTNNBL1 antibody [EP2669Y] - BSA and Azide free

Be the first to review this product! Submit a review

|

(0 Publication)

Rabbit Monoclonal CTNNBL1 antibody. Carrier free. Suitable for WB, IHC-P, ICC/IF, Flow Cyt and reacts with Human samples.

View Alternative Names

C20orf33, PP8304, CTNNBL1, Beta-catenin-like protein 1, Nuclear-associated protein, Testis development protein NYD-SP19, NAP

7 Images
Immunocytochemistry/ Immunofluorescence - Anti-CTNNBL1 antibody [EP2669Y] - BSA and Azide free (AB284752)
  • ICC/IF

Supplier Data

Immunocytochemistry/ Immunofluorescence - Anti-CTNNBL1 antibody [EP2669Y] - BSA and Azide free (AB284752)

This data was developed using ab76243, the same antibody clone in a different buffer formulation.

Immunofluorescent staining of CTNNBL1 in HeLa cells using ab76243 at a 1/100 dilution.

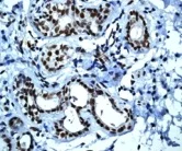
Immunohistochemistry (Formalin/PFA-fixed paraffin-embedded sections) - Anti-CTNNBL1 antibody [EP2669Y] - BSA and Azide free (AB284752)
  • IHC-P

Supplier Data

Immunohistochemistry (Formalin/PFA-fixed paraffin-embedded sections) - Anti-CTNNBL1 antibody [EP2669Y] - BSA and Azide free (AB284752)

This data was developed using ab76243, the same antibody clone in a different buffer formulation. Immunohistochemical analysis of human breast tissue staining CTNNBL1 with ab76243 at 1/100 dilution. The human breast sections were performed by LeicaDS9800 (Bond™ Polymer Refine Detection). The sections were using Heat mediated antigen retrieval with Tris-EDTA buffer (pH 9.0, epitope retrieval solution2) for 20 mins, then labeling ab76243 at 1/100 dilution for 30 mins at room temperature. Counterstained with hematoxylin. The immunostaining was performed on a Leica Biosystems BOND® RX instrument.

Flow Cytometry - Anti-CTNNBL1 antibody [EP2669Y] - BSA and Azide free (AB284752)
  • Flow Cyt

Supplier Data

Flow Cytometry - Anti-CTNNBL1 antibody [EP2669Y] - BSA and Azide free (AB284752)

This data was developed using ab76243, the same antibody clone in a different buffer formulation. Flow cytometry analysis showing positive staining in HeLa cells using ab76243 at 1 : 20 dilution, 5 µg/mL. Cells were fixed with 100μl 4% PFA for 10 min at RT, then permeabilized with 100μl 90% methanol for 30 min (-20° C) followed by blocking with 10% goat serum for 1h at room temperature. Incubate ab76243 for 30 min at room temperature (RT) and then incubate Goat Anti-Rabbit IgG H&L (Alexa Fluor® 488) (ab150081) for 30 min at room temperature.

Immunocytochemistry - Anti-CTNNBL1 antibody [EP2669Y] - BSA and Azide free (AB284752)
  • ICC

Supplier Data

Immunocytochemistry - Anti-CTNNBL1 antibody [EP2669Y] - BSA and Azide free (AB284752)

This data was developed using ab76243, the same antibody clone in a different buffer formulation. HeLa cells were fixed in 4% PFA and permeabilized with 0.1% Triton X-100. Primary antibody, ab76243 at 1 : 50 was incubated overnight at 4° C, followed by Goat Anti-Rabbit IgG H&L (Alexa Fluor® 488) preadsorbed (ab150081) at 1/1000 dilution at RT for 45 min. Alexa Fluor® 594 Anti-alpha Tubulin antibody [DM1A] - Microtubule Marker (ab195889) at 1/200 dilution, was co-incubated with ab76243 overnight at 4° C. Nucleus were visualized using DAPI.

Western blot - Anti-CTNNBL1 antibody [EP2669Y] - BSA and Azide free (AB284752)
  • WB

Supplier Data

Western blot - Anti-CTNNBL1 antibody [EP2669Y] - BSA and Azide free (AB284752)

This data was developed using ab76243, the same antibody clone in a different buffer formulation.   Blocking and diluting buffer and concentration : 5% NFDM/TBST, Primary antibody : incubated for 1h at room temperature. Secondary antibody : incubated for 1h at 1 : 20,000 at room temperature (ab97051)

All lanes:

Western blot - Anti-CTNNBL1 antibody [EP2669Y] (<a href='/en-us/products/primary-antibodies/ctnnbl1-antibody-ep2669y-ab76243'>ab76243</a>) at 1/5000 dilution

Lane 1:

HeLa (Human cervix adenocarcinoma epithelial cell) whole lysate at 15 µg

Lane 2:

MCF7 (Human breast adenocarcinoma epithelial cell) whole lysate at 15 µg

false

Exposure time: 180s

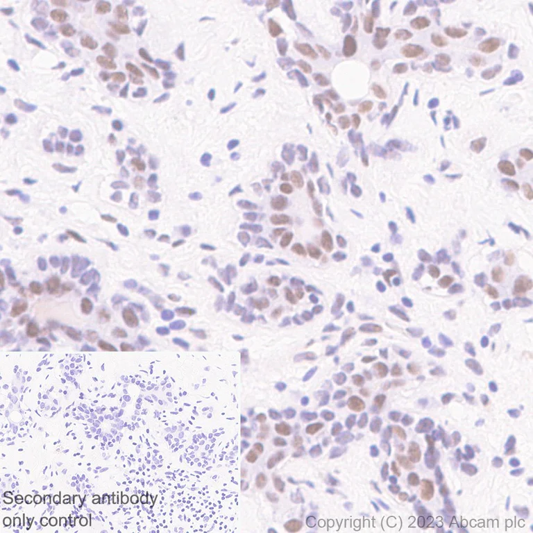
Immunohistochemistry (Formalin/PFA-fixed paraffin-embedded sections) - Anti-CTNNBL1 antibody [EP2669Y] - BSA and Azide free (AB284752)
  • IHC-P

Supplier Data

Immunohistochemistry (Formalin/PFA-fixed paraffin-embedded sections) - Anti-CTNNBL1 antibody [EP2669Y] - BSA and Azide free (AB284752)

This data was developed using ab76243, the same antibody clone in a different buffer formulation.Immunohistochemical analysis of CTNNBL1 in paraffin embedded human mammary gland using ab76243 at a 1/100 dilution.

Perform heat mediated antigen retrieval before commencing with IHC staining protocol.

Western blot - Anti-CTNNBL1 antibody [EP2669Y] - BSA and Azide free (AB284752)
  • WB

Unknown

Western blot - Anti-CTNNBL1 antibody [EP2669Y] - BSA and Azide free (AB284752)

This data was developed using ab76243, the same antibody clone in a different buffer formulation.

All lanes:

Western blot - Anti-CTNNBL1 antibody [EP2669Y] - BSA and Azide free (ab284752) at 1/2000 dilution

All lanes:

HeLa cell lysate at 10 µg

Secondary

All lanes:

HRP labelled goat anti-rabbit at 1/2000 dilution

Predicted band size: 65 kDa

Observed band size: 65 kDa

false

Key facts

Host species

Rabbit

Clonality

Monoclonal

Clone number

EP2669Y

Isotype

IgG

Carrier free

Yes

Reacts with

Human

Applications

ICC/IF, Flow Cyt, IHC-P, WB

applications

Immunogen

The exact immunogen used to generate this antibody is proprietary information.

Reactivity data

{ "title": "Reactivity Data", "filters": { "stats": ["", "Species", "Dilution Info", "Notes"], "tabs": { "all-applications": {"fullname" : "All Applications", "shortname": "All Applications"}, "WB" : {"fullname" : "Western blot", "shortname":"WB"}, "IHCP" : {"fullname" : "Immunohistochemistry (Formalin/PFA-fixed paraffin-embedded sections)", "shortname":"IHC-P"}, "ICCIF" : {"fullname" : "Immunocytochemistry/ Immunofluorescence", "shortname":"ICC/IF"}, "FlowCyt" : {"fullname" : "Flow Cytometry", "shortname":"Flow Cyt"} }, "product-promise": { "all": "all", "testedAndGuaranteed": "tested", "guaranteed": "expected", "predicted": "predicted", "notRecommended": "not-recommended" } }, "values": { "Human": { "WB-species-checked": "testedAndGuaranteed", "WB-species-dilution-info": "", "WB-species-notes": "<p></p>", "IHCP-species-checked": "testedAndGuaranteed", "IHCP-species-dilution-info": "", "IHCP-species-notes": "<p></p> Perform heat-mediated antigen retrieval before commencing with IHC staining protocol.", "ICCIF-species-checked": "testedAndGuaranteed", "ICCIF-species-dilution-info": "", "ICCIF-species-notes": "<p></p>", "FlowCyt-species-checked": "testedAndGuaranteed", "FlowCyt-species-dilution-info": "", "FlowCyt-species-notes": "<p></p>" } } }

Product details

ab284752 is the carrier-free version of ab76243

Patented technology
Our RabMAb® technology is a patented hybridoma-based technology for making rabbit monoclonal antibodies. For details on our patents, please refer to RabMAb® patents.

Conjugation ready
Our carrier-free antibodies are typically supplied in a PBS-only formulation, purified and free of BSA, sodium azide and glycerol. This conjugation-ready format is designed for use with fluorochromes, metal isotopes, oligonucleotides, and enzymes, which makes them ideal for antibody labelling, functional and cell-based assays, flow-based assays (e.g. mass cytometry) and Multiplex Imaging applications.

Use our conjugation kits for antibody conjugates that are ready-to-use in as little as 20 minutes with 1 minute hands-on-time and 100% antibody recovery: available for fluorescent dyes, HRP, biotin and gold.

Compatibility
This product is compatible with the Maxpar® Antibody Labeling Kit from Fluidigm, without the need for antibody preparation. Maxpar® is a trademark of Fluidigm Canada Inc.

Properties and storage information

Form
Liquid
Purification technique
Affinity purification Protein A
Storage buffer
pH: 7.2 - 7.4 Constituents: 100% PBS
Shipped at conditions
Blue Ice
Appropriate short-term storage conditions
+4°C
Appropriate long-term storage conditions
+4°C

Supplementary information

This supplementary information is collated from multiple sources and compiled automatically.

CTNNBL1 also known as Catenin beta-like protein 1 is a protein involved in cellular processes with a molecular mass of approximately 62 kDa. The protein shows a wide expression pattern across various tissues including the heart liver and kidney but it is especially present in the nucleus and cytoplasm of cells. CTNNBL1 belongs to the armadillo/beta-catenin family which implies a role in intracellular signaling and structural functions within cells.
Biological function summary

CTNNBL1 plays a role in mRNA processing and the regulation of gene expression. It is a component of the spliceosomal complex which is essential in the process of splicing precursor mRNA into mature mRNA. This indicates its involvement in the control of mRNA stability and accurate gene expression. By participating in these molecular processes CTNNBL1 contributes to efficient protein synthesis and cellular regulation.

Pathways

CTNNBL1 influences several signaling cascades notably its role in the Wnt signaling and RNA splicing pathways. In the Wnt signaling pathway CTNNBL1 interacts with other proteins such as beta-catenin to regulate gene transcription related to cell proliferation and differentiation. Furthermore its involvement in the spliceosomal pathway connects it with proteins essential in mRNA splicing including components like small nuclear ribonucleoproteins.

CTNNBL1 has been associated with conditions such as cancer and neurodegenerative disorders. Its interaction with beta-catenin and the Wnt pathway suggests a potential role in tumorigenesis given the pathway's importance in cell proliferation and survival. Additionally disruptions in RNA splicing and processing can link CTNNBL1 to neurological conditions where precise gene regulation is critical. These associations indicate its possible involvement in both promoting abnormal cell growth and contributing to neural dysfunction.

Product protocols

For this product, it's our understanding that no specific protocols are required. You can visit:

Target data

Component of the PRP19-CDC5L complex that forms an integral part of the spliceosome and is required for activating pre-mRNA splicing. Participates in AID/AICDA-mediated somatic hypermutation (SHM) and class-switch recombination (CSR), 2 processes resulting in the production of high-affinity, mutated isotype-switched antibodies (PubMed : 32484799).
See full target information CTNNBL1

Product promise

We are committed to supporting your work with high-quality reagents, and we're here for you every step of the way. In the unlikely event that one of our products does not perform as expected, you're protected by our Product Promise.
For full details, please see our Terms & Conditions

Please note: All products are 'FOR RESEARCH USE ONLY. NOT FOR USE IN DIAGNOSTIC OR THERAPEUTIC PROCEDURES'.

For licensing inquiries, please contact partnerships@abcam.com