JavaScript is disabled in your browser. Please enable JavaScript to view this website.
AB84487

Anti-CTR9 antibody

5

(2 Reviews)

|

(3 Publications)

Rabbit Polyclonal CTR9 antibody. Suitable for IHC-P and reacts with Mouse, Human samples. Cited in 3 publications. Immunogen corresponding to Synthetic Peptide within Human CTR9 aa 1100 to C-terminus.

View Alternative Names

KIAA0155, SH2BP1, CTR9, RNA polymerase-associated protein CTR9 homolog, SH2 domain-binding protein 1

3 Images
Immunohistochemistry (Formalin/PFA-fixed paraffin-embedded sections) - Anti-CTR9 antibody (AB84487)
  • IHC-P

Unknown

Immunohistochemistry (Formalin/PFA-fixed paraffin-embedded sections) - Anti-CTR9 antibody (AB84487)

ab 84487 at 1/250 dilution staining formalin-fixed, paraffin-embedded section of human breast carcinoma by immunohistochemistry.
Detection : DAB staining

Immunohistochemistry (Formalin/PFA-fixed paraffin-embedded sections) - Anti-CTR9 antibody (AB84487)
  • IHC-P

Unknown

Immunohistochemistry (Formalin/PFA-fixed paraffin-embedded sections) - Anti-CTR9 antibody (AB84487)

ab84487 at 1/250 dilution staining formalin-fixed, paraffin-embedded section of human breast carcinoma by immunohistochemistry.
Detection : DAB staining.

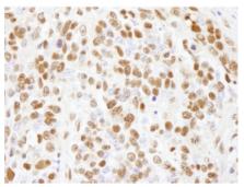
Immunohistochemistry (Formalin/PFA-fixed paraffin-embedded sections) - Anti-CTR9 antibody (AB84487)
  • IHC-P

Unknown

Immunohistochemistry (Formalin/PFA-fixed paraffin-embedded sections) - Anti-CTR9 antibody (AB84487)

ab 84487 at 1/250 dilution staining formalin-fixed, paraffin-embedded section of mouse teratoma by immunohistochemistry.
Detection : DAB staining

Key facts

Host species

Rabbit

Clonality

Polyclonal

Isotype

IgG

Carrier free

No

Reacts with

Mouse, Human

Applications

IHC-P

applications

Immunogen

Synthetic Peptide within Human CTR9 aa 1100 to C-terminus. The exact immunogen used to generate this antibody is proprietary information.

Q6PD62

Reactivity data

{ "title": "Reactivity Data", "filters": { "stats": ["", "Species", "Dilution Info", "Notes"], "tabs": { "all-applications": {"fullname" : "All Applications", "shortname": "All Applications"}, "IHCP" : {"fullname" : "Immunohistochemistry (Formalin/PFA-fixed paraffin-embedded sections)", "shortname":"IHC-P"} }, "product-promise": { "all": "all", "testedAndGuaranteed": "tested", "guaranteed": "expected", "predicted": "predicted", "notRecommended": "not-recommended" } }, "values": { "Human": { "IHCP-species-checked": "testedAndGuaranteed", "IHCP-species-dilution-info": "1/100 - 1/500", "IHCP-species-notes": "<p>Antigen retrieval is recommended: retrieval with citrate buffer will enhance staining.Likely to work with frozen sections</p>" }, "Mouse": { "IHCP-species-checked": "testedAndGuaranteed", "IHCP-species-dilution-info": "1/100 - 1/500", "IHCP-species-notes": "<p>Antigen retrieval is recommended: retrieval with citrate buffer will enhance staining.Likely to work with frozen sections</p>" }, "Rat": { "IHCP-species-checked": "predicted", "IHCP-species-dilution-info": "", "IHCP-species-notes": "" }, "Chimpanzee": { "IHCP-species-checked": "predicted", "IHCP-species-dilution-info": "", "IHCP-species-notes": "" }, "Chinese hamster": { "IHCP-species-checked": "predicted", "IHCP-species-dilution-info": "", "IHCP-species-notes": "" }, "Elephant": { "IHCP-species-checked": "predicted", "IHCP-species-dilution-info": "", "IHCP-species-notes": "" }, "Gorilla": { "IHCP-species-checked": "predicted", "IHCP-species-dilution-info": "", "IHCP-species-notes": "" }, "Orangutan": { "IHCP-species-checked": "predicted", "IHCP-species-dilution-info": "", "IHCP-species-notes": "" }, "Rhesus monkey": { "IHCP-species-checked": "predicted", "IHCP-species-dilution-info": "", "IHCP-species-notes": "" } } }

Properties and storage information

Form
Liquid
Purification technique
Affinity purification Immunogen
Purification notes
Antibody was affinity purified using an epitope specific to CTR9 immobilized on solid support.
Storage buffer
pH: 6.8 - 7.4 Preservative: 0.09% Sodium azide Constituents: Tris buffered saline, 0.1% BSA
Shipped at conditions
Blue Ice
Appropriate short-term storage conditions
+4°C
Appropriate long-term storage conditions
+4°C
Aliquoting information
Upon delivery aliquot
Storage information
Avoid freeze / thaw cycle

Supplementary information

This supplementary information is collated from multiple sources and compiled automatically.

CTR9 often referred to as a component of the polymerase-associated factor 1 complex (PAF1C) is a 133 kDa protein. It plays a mechanical role in transcription regulation functioning through interactions with RNA polymerase II. CTR9 is widely expressed across multiple tissues including the heart and lungs. While there is limited tissue specificity it maintains a consistent expression in these regions making it an interesting target for further study.
Biological function summary

CTR9 participates in chromatin modification and transcription elongation within PAF1C. This complex influences various nuclear processes including the modification of histones and regulation of gene expression. CTR9's involvement assists in facilitating the transition between transcriptional initiation and elongation phases aiding in the overall gene expression.

Pathways

CTR9 integrates into the transcriptional regulation pathway and the NOTCH signaling pathway. In these pathways CTR9 acts by interacting with other components such as components of RNA polymerase II ensuring proper gene transcription and regulation. Its interactions with NOTCH receptors highlight its involvement in processes like cell differentiation and development.

CTR9 is implicated in colorectal and breast cancer. Dysregulation of its function often contributes to the progression of these malignant conditions. Proteins such as BRCA1 connect with CTR9 through pathways implicated in breast cancer demonstrating its vital role in maintaining cellular homeostasis and genomic integrity.

Product protocols

For this product, it's our understanding that no specific protocols are required. You can visit:

Target data

Component of the PAF1 complex (PAF1C) which has multiple functions during transcription by RNA polymerase II and is implicated in regulation of development and maintenance of embryonic stem cell pluripotency. PAF1C associates with RNA polymerase II through interaction with POLR2A CTD non-phosphorylated and 'Ser-2'- and 'Ser-5'-phosphorylated forms and is involved in transcriptional elongation, acting both independently and synergistically with TCEA1 and in cooperation with the DSIF complex and HTATSF1. PAF1C is required for transcription of Hox and Wnt target genes. PAF1C is involved in hematopoiesis and stimulates transcriptional activity of KMT2A/MLL1; it promotes leukemogenesis through association with KMT2A/MLL1-rearranged oncoproteins, such as KMT2A/MLL1-MLLT3/AF9 and KMT2A/MLL1-MLLT1/ENL. PAF1C is involved in histone modifications such as ubiquitination of histone H2B and methylation on histone H3 'Lys-4' (H3K4me3). PAF1C recruits the RNF20/40 E3 ubiquitin-protein ligase complex and the E2 enzyme UBE2A or UBE2B to chromatin which mediate monoubiquitination of 'Lys-120' of histone H2B (H2BK120ub1); UB2A/B-mediated H2B ubiquitination is proposed to be coupled to transcription. PAF1C is involved in mRNA 3' end formation probably through association with cleavage and poly(A) factors. In case of infection by influenza A strain H3N2, PAF1C associates with viral NS1 protein, thereby regulating gene transcription. Required for mono- and trimethylation on histone H3 'Lys-4' (H3K4me3) and dimethylation on histone H3 'Lys-79' (H3K4me3). Required for Hox gene transcription. Required for the trimethylation of histone H3 'Lys-4' (H3K4me3) on genes involved in stem cell pluripotency; this function is synergistic with CXXC1 indicative for an involvement of the SET1 complex. Involved in transcriptional regulation of IL6-responsive genes and in JAK-STAT pathway; may regulate DNA-association of STAT3 (By similarity).
See full target information CTR9

Publications (3)

Recent publications for all applications. Explore the full list and refine your search

Scientific reports 13:19885 PubMed37963940

2023

SETD5 regulates the OGT-catalyzed O-GlcNAcylation of RNA polymerase II, which is involved in the stemness of colorectal cancer cells.

Applications

Unspecified application

Species

Unspecified reactive species

Hye In Cho,Sora Jo,Min Seong Kim,Han Byeol Kim,Xingzhe Liu,Yanhua Xuan,Jin Won Cho,Yeun Kyu Jang

Cell systems 1:141-51 PubMed27135800

2015

Systems Analyses Reveal Shared and Diverse Attributes of Oct4 Regulation in Pluripotent Cells.

Applications

Unspecified application

Species

Unspecified reactive species

Li Ding,Maciej Paszkowski-Rogacz,Maria Winzi,Debojyoti Chakraborty,Mirko Theis,Sukhdeep Singh,Giovanni Ciotta,Ina Poser,Assen Roguev,Wai Kit Chu,Chunaram Choudhary,Matthias Mann,A Francis Stewart,Nevan Krogan,Frank Buchholz

Developmental biology 383:15-27 PubMed24036311

2013

CTR9/PAF1c regulates molecular lineage identity, histone H3K36 trimethylation and genomic imprinting during preimplantation development.

Applications

Unspecified application

Species

Unspecified reactive species

Kun Zhang,Jocelyn M Haversat,Jesse Mager
View all publications

Product promise

We are committed to supporting your work with high-quality reagents, and we're here for you every step of the way. In the unlikely event that one of our products does not perform as expected, you're protected by our Product Promise.
For full details, please see our Terms & Conditions

Please note: All products are 'FOR RESEARCH USE ONLY. NOT FOR USE IN DIAGNOSTIC OR THERAPEUTIC PROCEDURES'.

For licensing inquiries, please contact partnerships@abcam.com