JavaScript is disabled in your browser. Please enable JavaScript to view this website.
AB36893

Anti-CTRP5 antibody

5

(3 Reviews)

|

(1 Publication)

Rabbit Polyclonal CTRP5 antibody. Suitable for WB, IHC-P and reacts with Human samples. Cited in 1 publication. Immunogen corresponding to Synthetic Peptide within Human C1QTNF5.

View Alternative Names

CTRP5, UNQ303/PRO344, C1QTNF5, Complement C1q tumor necrosis factor-related protein 5

3 Images
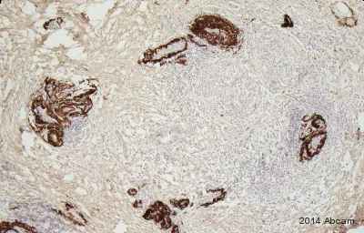
Immunohistochemistry (Formalin/PFA-fixed paraffin-embedded sections) - Anti-CTRP5 antibody (AB36893)
  • IHC-P

AbReview41750****

Immunohistochemistry (Formalin/PFA-fixed paraffin-embedded sections) - Anti-CTRP5 antibody (AB36893)

ab36893 staining CTRP5 in human pancreas carcinoma tissue sections by Immunohistochemistry (IHC-P - paraformaldehyde-fixed, paraffin-embedded sections). Tissue was fixed with formaldehyde, permeabilized with 0.2% Triton X-100 in PBS and blocked with 5% milk for 30 minutes at room temperature; antigen retrieval was by heat mediation in 10mM sodium citrate + 0.05% Tween. Samples were incubated with primary antibody (1/750 in PBS) for 16 hours at 4°C. An undiluted Biotin-conjugated goat anti-rabbit IgG polyclonal was used as the secondary antibody.

This image is courtesy of an Abreview submitted by Steffen Rickelt

Immunohistochemistry (Formalin/PFA-fixed paraffin-embedded sections) - Anti-CTRP5 antibody (AB36893)
  • IHC-P

Unknown

Immunohistochemistry (Formalin/PFA-fixed paraffin-embedded sections) - Anti-CTRP5 antibody (AB36893)

ab36993 at 10μg/ml staining CTRP5 in human brain tissue by IHC

Western blot - Anti-CTRP5 antibody (AB36893)
  • WB

Unknown

Western blot - Anti-CTRP5 antibody (AB36893)

Lanes read from left to right, 1-3. These proteins are often highly modified post-translationally and may migrate in SDS-PAGE at positions other than their predicted size.

Lane 1:

Western blot - Anti-CTRP5 antibody (ab36893) at 1 µg/mL

Lane 2:

Western blot - Anti-CTRP5 antibody (ab36893) at 2 µg/mL

Lane 3:

Western blot - Anti-CTRP5 antibody (ab36893) at 4 µg/mL

All lanes:

Human brain cell lysate at 15 µg/mL

Secondary

All lanes:

Anti-rabbit IgG HRP at 1/10000 dilution

Predicted band size: 25 kDa

Observed band size: 39 kDa

false

Key facts

Host species

Rabbit

Clonality

Polyclonal

Isotype

IgG

Carrier free

No

Reacts with

Human

Applications

IHC-P, WB

applications

Immunogen

Synthetic Peptide within Human C1QTNF5. The exact immunogen used to generate this antibody is proprietary information.

Q9BXJ0

Reactivity data

{ "title": "Reactivity Data", "filters": { "stats": ["", "Species", "Dilution Info", "Notes"], "tabs": { "all-applications": {"fullname" : "All Applications", "shortname": "All Applications"}, "WB" : {"fullname" : "Western blot", "shortname":"WB"}, "IHCP" : {"fullname" : "Immunohistochemistry (Formalin/PFA-fixed paraffin-embedded sections)", "shortname":"IHC-P"} }, "product-promise": { "all": "all", "testedAndGuaranteed": "tested", "guaranteed": "expected", "predicted": "predicted", "notRecommended": "not-recommended" } }, "values": { "Human": { "WB-species-checked": "testedAndGuaranteed", "WB-species-dilution-info": "1-4 µg/mL", "WB-species-notes": "<p></p>", "IHCP-species-checked": "testedAndGuaranteed", "IHCP-species-dilution-info": "10 µg/mL", "IHCP-species-notes": "<p></p>" } } }

Properties and storage information

Form
Liquid
Purification technique
Affinity purification Immunogen
Storage buffer
pH: 7.2 Preservative: 0.02% Sodium azide Constituents: PBS
Shipped at conditions
Blue Ice
Appropriate short-term storage conditions
+4°C
Appropriate long-term storage conditions
+4°C

Supplementary information

This supplementary information is collated from multiple sources and compiled automatically.

C1q/tumor necrosis factor-related protein 5 (CTRP5) also known as cysteine-rich with epidermal growth factor-like domains 1 (C1qLF) or hCTRP5 is a secreted protein with a molecular mass of approximately 25 kDa. It belongs to the CTRP family and exhibits a similar domain architecture to adiponectin. CTRP5 is expressed mainly in ocular tissues such as the retina and choroid as well as in adipose tissue. Its secreted nature suggests an involvement in intercellular communication.
Biological function summary

The CTRP5 protein regulates metabolic processes and immune responses. It functions as part of a homotrimeric complex interacting with other proteins to modulate tissue homeostasis. CTRP5 plays a role in lipid metabolism contributing to cholesterol and fatty acid handling. In immune response modulation it influences inflammation acting as a signal modulator in macrophages and other immune cells. Its presence in eye tissue suggests it has a specific role in maintaining ocular health.

Pathways

The CTRP5 protein integrates into the complement and inflammation pathways. It participates in the complement cascade influencing immune responses. CTRP5 interacts with proteins such as C1q and complement receptors indicating its involvement in regulating inflammation through the classical pathway. It also contributes to metabolic pathways related to adiponectin signaling highlighting its connection to lipid regulation and energy balance in tissues.

The CTRP5 protein has connections to age-related macular degeneration (AMD) and late-onset retinal degeneration (L-ORMD). Mutations in CTRP5 are associated with these ocular conditions affecting visual function. In AMD CTRP5 interactions with C1q and other complement components indicate a role in aberrant immune activation within the retina. Understanding CTRP5 in these contexts could provide insights into potential therapeutic strategies for these vision-threatening disorders.

Product protocols

For this product, it's our understanding that no specific protocols are required. You can visit:

Publications (1)

Recent publications for all applications. Explore the full list and refine your search

Marine environmental research 65:427-36 PubMed18342364

2008

Quantitative immunochemical evaluation of fish metallothionein upon exposure to cadmium.

Applications

Unspecified application

Species

Unspecified reactive species

Yana Yudkovski,Adelina Rogowska-Wrzesinska,Irena Yankelevich,Edna Shefer,Barak Herut,Moshe Tom
View all publications

Product promise

We are committed to supporting your work with high-quality reagents, and we're here for you every step of the way. In the unlikely event that one of our products does not perform as expected, you're protected by our Product Promise.
For full details, please see our Terms & Conditions

Please note: All products are 'FOR RESEARCH USE ONLY. NOT FOR USE IN DIAGNOSTIC OR THERAPEUTIC PROCEDURES'.

For licensing inquiries, please contact partnerships@abcam.com