JavaScript is disabled in your browser. Please enable JavaScript to view this website.
AB251050

Anti-Cubilin antibody [EPR16259-27] - BSA and Azide free

Be the first to review this product! Submit a review

|

(1 Publication)

Rabbit Recombinant Monoclonal Cubilin antibody. Carrier free. Suitable for WB, IHC-P and reacts with Human samples. Cited in 1 publication.

View Alternative Names

IFCR, CUBN, Cubilin, 460 kDa receptor, Intestinal intrinsic factor receptor, Intrinsic factor-cobalamin receptor, Intrinsic factor-vitamin B12 receptor

2 Images
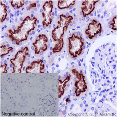
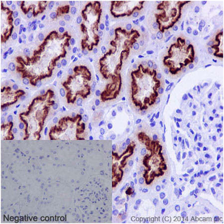
Immunohistochemistry (Formalin/PFA-fixed paraffin-embedded sections) - Anti-Cubilin antibody [EPR16259-27] - BSA and Azide free (AB251050)
  • IHC-P

Supplier Data

Immunohistochemistry (Formalin/PFA-fixed paraffin-embedded sections) - Anti-Cubilin antibody [EPR16259-27] - BSA and Azide free (AB251050)

This data was developed using ab191073, the same antibody clone in a different buffer formulation.

Immunohistochemical analysis of paraffin-embedded Human kidney tissue labeling Cubilin with ab191073 at a 1/500 dilution.

Secondary antibody Goat Anti-Rabbit IgG, (H+L), Peroxidase conjugated at a 1/1000 dilution. Counter stain Hematoxylin. Negative control also shown.

Perform heat mediated antigen retrieval with EDTA buffer pH 9 before commencing with IHC staining protocol.

Western blot - Anti-Cubilin antibody [EPR16259-27] - BSA and Azide free (AB251050)
  • WB

Supplier Data

Western blot - Anti-Cubilin antibody [EPR16259-27] - BSA and Azide free (AB251050)

This data was developed using ab191073, the same antibody clone in a different buffer formulation.

All lanes:

Western blot - Anti-Cubilin antibody [EPR16259-27] - C-terminal (<a href='/en-us/products/primary-antibodies/cubilin-antibody-epr16259-27-c-terminal-ab191073'>ab191073</a>) at 1/50000 dilution

All lanes:

Human fetal kidney tissue lysate at 20 µg

Secondary

All lanes:

Goat Anti-Rabbit IgG, (H+L), Peroxidase conjugated at 1/1000 dilution

Predicted band size: 399 kDa

Observed band size: 399 kDa

false

  • Unconjugated

    Anti-Cubilin antibody [EPR16259-27] - C-terminal

  • 519 Alexa Fluor® 488

    Alexa Fluor® 488 Anti-Cubilin antibody [EPR16259-27] - C-terminal

Key facts

Host species

Rabbit

Clonality

Monoclonal

Clone number

EPR16259-27

Isotype

IgG

Carrier free

Yes

Reacts with

Human

Applications

WB, IHC-P

applications

Immunogen

The exact immunogen used to generate this antibody is proprietary information.

Reactivity data

{ "title": "Reactivity Data", "filters": { "stats": ["", "Species", "Dilution Info", "Notes"], "tabs": { "all-applications": {"fullname" : "All Applications", "shortname": "All Applications"}, "WB" : {"fullname" : "Western blot", "shortname":"WB"}, "IHCP" : {"fullname" : "Immunohistochemistry (Formalin/PFA-fixed paraffin-embedded sections)", "shortname":"IHC-P"} }, "product-promise": { "all": "all", "testedAndGuaranteed": "tested", "guaranteed": "expected", "predicted": "predicted", "notRecommended": "not-recommended" } }, "values": { "Human": { "WB-species-checked": "testedAndGuaranteed", "WB-species-dilution-info": "", "WB-species-notes": "<p></p>", "IHCP-species-checked": "testedAndGuaranteed", "IHCP-species-dilution-info": "", "IHCP-species-notes": "<p></p>" } } }

Product details

ab251050 is the carrier-free version of ab191073.

Patented technology
Our RabMAb® technology is a patented hybridoma-based technology for making rabbit monoclonal antibodies. For details on our patents, please refer to RabMAb® patents.

What are the advantages of a recombinant monoclonal antibody?
This product is a recombinant monoclonal antibody, which offers several advantages including:

  • - High batch-to-batch consistency and reproducibility
  • - Improved sensitivity and specificity
  • - Long-term security of supply
  • - Animal-free batch production

For more information, read more on recombinant antibodies.

Conjugation ready
Our carrier-free antibodies are typically supplied in a PBS-only formulation, purified and free of BSA, sodium azide and glycerol. This conjugation-ready format is designed for use with fluorochromes, metal isotopes, oligonucleotides, and enzymes, which makes them ideal for antibody labelling, functional and cell-based assays, flow-based assays (e.g. mass cytometry) and Multiplex Imaging applications.

Use our conjugation kits for antibody conjugates that are ready-to-use in as little as 20 minutes with 1 minute hands-on-time and 100% antibody recovery: available for fluorescent dyes, HRP, biotin and gold.

Compatibility
This product is compatible with the Maxpar® Antibody Labeling Kit from Fluidigm, without the need for antibody preparation. Maxpar® is a trademark of Fluidigm Canada Inc.

Properties and storage information

Form
Liquid
Purification technique
Affinity purification Protein A
Storage buffer
pH: 7.2 - 7.4 Constituents: PBS
Shipped at conditions
Blue Ice
Appropriate short-term storage conditions
+4°C
Appropriate long-term storage conditions
+4°C
Storage information
Do Not Freeze

Product protocols

For this product, it's our understanding that no specific protocols are required. You can visit:

Target data

Endocytic receptor which plays a role in lipoprotein, vitamin and iron metabolism by facilitating their uptake (PubMed : 10371504, PubMed : 11606717, PubMed : 11717447, PubMed : 14576052, PubMed : 9572993). Acts together with LRP2 to mediate endocytosis of high-density lipoproteins, GC, hemoglobin, ALB, TF and SCGB1A1. Acts together with AMN to mediate endocytosis of the CBLIF-cobalamin complex (PubMed : 14576052, PubMed : 9572993). Binds to ALB, MB, Kappa and lambda-light chains, TF, hemoglobin, GC, SCGB1A1, APOA1, high density lipoprotein, and the CBLIF-cobalamin complex. Ligand binding requires calcium (PubMed : 9572993). Serves as important transporter in several absorptive epithelia, including intestine, renal proximal tubules and embryonic yolk sac. May play an important role in the development of the peri-implantation embryo through internalization of APOA1 and cholesterol. Binds to LGALS3 at the maternal-fetal interface.
See full target information CUBN

Publications (1)

Recent publications for all applications. Explore the full list and refine your search

Experimental and therapeutic medicine 25:84 PubMed36684657

2023

Effect of nicotine on cholesterol gallstone formation in C57BL/6J mice fed on a lithogenic diet.

Applications

Unspecified application

Species

Unspecified reactive species

Qian Gao,Pinduan Bi,Qili Mi,Ying Guan,Jiarui Jiang,Xuemei Li,Bin Yang
View all publications

Product promise

We are committed to supporting your work with high-quality reagents, and we're here for you every step of the way. In the unlikely event that one of our products does not perform as expected, you're protected by our Product Promise.
For full details, please see our Terms & Conditions

Please note: All products are 'FOR RESEARCH USE ONLY. NOT FOR USE IN DIAGNOSTIC OR THERAPEUTIC PROCEDURES'.

For licensing inquiries, please contact partnerships@abcam.com