JavaScript is disabled in your browser. Please enable JavaScript to view this website.
AB191073

Anti-Cubilin antibody [EPR16259-27] - C-terminal

5

(2 Reviews)

|

(9 Publications)

Rabbit Recombinant Monoclonal Cubilin antibody. C-terminal. Suitable for WB, IHC-P and reacts with Human samples. Cited in 9 publications.

View Alternative Names

IFCR, CUBN, Cubilin, 460 kDa receptor, Intestinal intrinsic factor receptor, Intrinsic factor-cobalamin receptor, Intrinsic factor-vitamin B12 receptor

2 Images
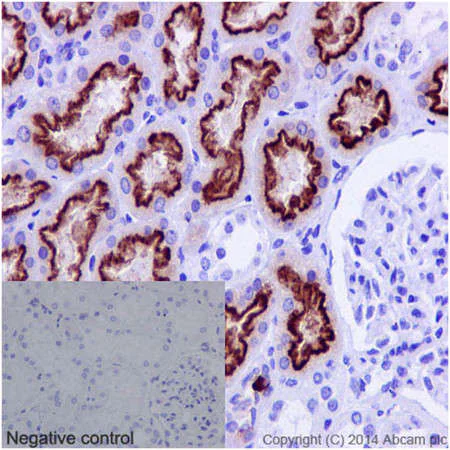
Immunohistochemistry (Formalin/PFA-fixed paraffin-embedded sections) - Anti-Cubilin antibody [EPR16259-27] - C-terminal (AB191073)
  • IHC-P

Supplier Data

Immunohistochemistry (Formalin/PFA-fixed paraffin-embedded sections) - Anti-Cubilin antibody [EPR16259-27] - C-terminal (AB191073)

Immunohistochemical analysis of paraffin-embedded Human kidney tissue labeling Cubilin with ab191073 at a 1/500 dilution.

Secondary antibody Goat Anti-Rabbit IgG (H+L) Peroxidase conjugated at a 1/1000 dilution. Counter stain Hematoxylin. Negative control also shown.

Perform heat mediated antigen retrieval with EDTA buffer pH 9 before commencing with IHC staining protocol.

Western blot - Anti-Cubilin antibody [EPR16259-27] - C-terminal (AB191073)
  • WB

Supplier Data

Western blot - Anti-Cubilin antibody [EPR16259-27] - C-terminal (AB191073)

All lanes:

Western blot - Anti-Cubilin antibody [EPR16259-27] - C-terminal (ab191073) at 1/50000 dilution

All lanes:

Human fetal kidney tissue lysate at 20 µg

Secondary

All lanes:

Goat Anti-Rabbit IgG, (H+L), Peroxidase conjugated at 1/1000 dilution

Predicted band size: 399 kDa

Observed band size: 399 kDa

false

  • Carrier free

    Anti-Cubilin antibody [EPR16259-27] - BSA and Azide free

  • 519 Alexa Fluor® 488

    Alexa Fluor® 488 Anti-Cubilin antibody [EPR16259-27] - C-terminal

Key facts

Host species

Rabbit

Clonality

Monoclonal

Clone number

EPR16259-27

Isotype

IgG

Carrier free

No

Reacts with

Human

Applications

IHC-P, WB

applications

Immunogen

The exact immunogen used to generate this antibody is proprietary information.

Reactivity data

{ "title": "Reactivity Data", "filters": { "stats": ["", "Species", "Dilution Info", "Notes"], "tabs": { "all-applications": {"fullname" : "All Applications", "shortname": "All Applications"}, "WB" : {"fullname" : "Western blot", "shortname":"WB"}, "IHCP" : {"fullname" : "Immunohistochemistry (Formalin/PFA-fixed paraffin-embedded sections)", "shortname":"IHC-P"} }, "product-promise": { "all": "all", "testedAndGuaranteed": "tested", "guaranteed": "expected", "predicted": "predicted", "notRecommended": "not-recommended" } }, "values": { "Human": { "WB-species-checked": "testedAndGuaranteed", "WB-species-dilution-info": "1/10000 - 1/50000", "WB-species-notes": "<p></p>", "IHCP-species-checked": "testedAndGuaranteed", "IHCP-species-dilution-info": "1/500", "IHCP-species-notes": "<p></p> Perform heat-mediated antigen retrieval with Tris/EDTA buffer pH 9.0 before commencing with IHC staining protocol." } } }

Product details

Patented technology
Our RabMAb® technology is a patented hybridoma-based technology for making rabbit monoclonal antibodies. For details on our patents, please refer to RabMAb® patents.

What are the advantages of a recombinant monoclonal antibody?
This product is a recombinant monoclonal antibody, which offers several advantages including:

  • - High batch-to-batch consistency and reproducibility
  • - Improved sensitivity and specificity
  • - Long-term security of supply
  • - Animal-free batch production

For more information, read more on recombinant antibodies.

Properties and storage information

Form
Liquid
Purification technique
Affinity purification Protein A
Storage buffer
pH: 7.2 - 7.4 Preservative: 0.01% Sodium azide Constituents: PBS, 40% Glycerol (glycerin, glycerine), 0.05% BSA
Shipped at conditions
Blue Ice
Appropriate short-term storage duration
1-2 weeks
Appropriate short-term storage conditions
+4°C
Appropriate long-term storage conditions
-20°C
Aliquoting information
Upon delivery aliquot
Storage information
Avoid freeze / thaw cycle

Product protocols

For this product, it's our understanding that no specific protocols are required. You can visit:

Target data

Endocytic receptor which plays a role in lipoprotein, vitamin and iron metabolism by facilitating their uptake (PubMed : 10371504, PubMed : 11606717, PubMed : 11717447, PubMed : 14576052, PubMed : 9572993). Acts together with LRP2 to mediate endocytosis of high-density lipoproteins, GC, hemoglobin, ALB, TF and SCGB1A1. Acts together with AMN to mediate endocytosis of the CBLIF-cobalamin complex (PubMed : 14576052, PubMed : 9572993). Binds to ALB, MB, Kappa and lambda-light chains, TF, hemoglobin, GC, SCGB1A1, APOA1, high density lipoprotein, and the CBLIF-cobalamin complex. Ligand binding requires calcium (PubMed : 9572993). Serves as important transporter in several absorptive epithelia, including intestine, renal proximal tubules and embryonic yolk sac. May play an important role in the development of the peri-implantation embryo through internalization of APOA1 and cholesterol. Binds to LGALS3 at the maternal-fetal interface.
See full target information CUBN

Publications (9)

Recent publications for all applications. Explore the full list and refine your search

Cell reports 44:115169 PubMed39792555

2025

Conserved patterns of transcriptional dysregulation, heterogeneity, and cell states in clear cell kidney cancer.

Applications

Unspecified application

Species

Unspecified reactive species

Olivia Lombardi,Ran Li,Faiz Jabbar,Hannah Evans,Silvia Halim,Joanna D C C Lima,Lisa Browning,Helen M Byrne,Hani Choudhry,Peter J Ratcliffe,David R Mole

Molecular genetics & genomic medicine 11:e2090 PubMed36369907

2022

The compound heterozygous mutations of c.607G>a and c.657delC in the FAH gene are associated with renal damage with hereditary tyrosinemia type 1 (HT1).

Applications

Unspecified application

Species

Unspecified reactive species

Huan Chi,Chun Gan,Yaru Jiang,Dan Chen,Jiawen Qiu,Qing Yang,Yaxi Chen,Mo Wang,Haiping Yang,Wei Jiang,Qiu Li

Journal of translational medicine 20:480 PubMed36266725

2022

Novel pathogenic variants in CUBN uncouple proteinuria from renal function.

Applications

Unspecified application

Species

Unspecified reactive species

Chun Gan,Xindi Zhou,Dan Chen,Huan Chi,Jiawen Qiu,Hui You,Yaxi Chen,Mo Wang,Haiping Yang,Wei Jiang,Qiu Li

The Journal of surgical research 280:371-378 PubMed36037614

2022

Generation of Porcine Ileum Through Spring-Mediated Mechanical Distraction.

Applications

Unspecified application

Species

Unspecified reactive species

Talha A Rafeeqi,Modupeola Diyaolu,Anne-Laure Thomas,Fereshteh Salimi-Jazi,Lauren S Y Wood,James C Y Dunn

Aging 13:18340-18359 PubMed34326275

2021

CircSPIDR acts as a tumour suppressor in cervical adenocarcinoma by sponging miR-431-5p and regulating SORCS1 and CUBN expression.

Applications

Unspecified application

Species

Unspecified reactive species

Junfen Xu,Weiguo Lu

PLoS pathogens 16:e1009053 PubMed33270808

2020

A vector whitefly endocytic receptor facilitates the entry of begomoviruses into its midgut cells via binding to virion capsid proteins.

Applications

Unspecified application

Species

Unspecified reactive species

Jing Zhao,Teng Lei,Xin-Jia Zhang,Tian-Yan Yin,Xiao-Wei Wang,Shu-Sheng Liu

International journal of molecular sciences 20: PubMed31575031

2019

iPSC-Derived Embryoid Bodies as Models of c--Mutated Hereditary Papillary Renal Cell Carcinoma.

Applications

Unspecified application

Species

Unspecified reactive species

Jin Wook Hwang,Christophe Desterke,Olivier Féraud,Stephane Richard,Sophie Ferlicot,Virginie Verkarre,Jean Jacques Patard,Julien Loisel-Duwattez,Adlen Foudi,Frank Griscelli,Annelise Bennaceur-Griscelli,Ali G Turhan

Diabetes, metabolic syndrome and obesity : targets 12:1583-1596 PubMed31695457

2019

The effect of A1 adenosine receptor in diabetic megalin loss with caspase-1/IL18 signaling.

Applications

Unspecified application

Species

Unspecified reactive species

Dongli Tian,Xiaoxiao Shi,Yumo Zhao,Xiaoyan Peng,Linfeng Zou,Lubin Xu,Ying Ma,Yubin Wen,Robert Faulhaber-Walter,Limeng Chen

Journal of diabetes investigation 10:613-625 PubMed30307132

2018

Protein kinase C and protein kinase A are involved in the protection of recombinant human glucagon-like peptide-1 on glomeruli and tubules in diabetic rats.

Applications

Unspecified application

Species

Unspecified reactive species

Weiqin Yin,Yongwei Jiang,Shiqing Xu,Zai Wang,Liang Peng,Qing Fang,Tingting Deng,Wanni Zhao,Wenjian Zhang,Jinning Lou
View all publications

Product promise

We are committed to supporting your work with high-quality reagents, and we're here for you every step of the way. In the unlikely event that one of our products does not perform as expected, you're protected by our Product Promise.
For full details, please see our Terms & Conditions

Please note: All products are 'FOR RESEARCH USE ONLY. NOT FOR USE IN DIAGNOSTIC OR THERAPEUTIC PROCEDURES'.

For licensing inquiries, please contact partnerships@abcam.com