JavaScript is disabled in your browser. Please enable JavaScript to view this website.
AB72548

Anti-Cullin 4A/CUL-4A antibody

5

(3 Reviews)

|

(25 Publications)

Rabbit Polyclonal Cullin 4A/CUL-4A antibody. Suitable for IHC-P, IP, WB and reacts with Mouse, Human samples. Cited in 25 publications. Immunogen corresponding to Synthetic Peptide within Human Cullin-4A.

View Alternative Names

Cullin-4A, CUL-4A, CUL4A

4 Images
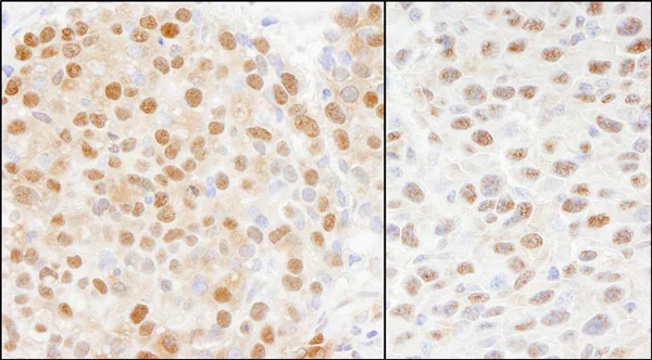
Immunohistochemistry (Formalin/PFA-fixed paraffin-embedded sections) - Anti-Cullin 4A/CUL-4A antibody (AB72548)
  • IHC-P

Unknown

Immunohistochemistry (Formalin/PFA-fixed paraffin-embedded sections) - Anti-Cullin 4A/CUL-4A antibody (AB72548)

Immunohistochemistry (Formalin/PFA-fixed paraffin-embedded sections) analysis of human breast carcinoma (left) and mouse squamous cell carcinoma (right) tissues labelling Cullin 4A/CUL-4A with ab72548 at 1/1000 (1μg/ml). Detection : DAB.

Immunohistochemistry (Formalin/PFA-fixed paraffin-embedded sections) - Anti-Cullin 4A/CUL-4A antibody (AB72548)
  • IHC-P

Unknown

Immunohistochemistry (Formalin/PFA-fixed paraffin-embedded sections) - Anti-Cullin 4A/CUL-4A antibody (AB72548)

IHC image of ab72548 staining in human normal cervix formalin fixed paraffin embedded tissue section, performed on a Leica BondTM system using the standard protocol F. The section was pre-treated using heat mediated antigen retrieval with EDTA (pH9, epitope retrieval solution 2) for 20 mins. The section was then incubated with ab72548, 1µg/ml, for 15 mins at room temperature and detected using an HRP conjugated compact polymer system. DAB was used as the chromogen. The section was then counterstained with haematoxylin and mounted with DPX.

For other IHC staining systems (automated and non-automated) customers should optimize variable parameters such as antigen retrieval conditions, primary antibody concentration and antibody incubation times.

Immunoprecipitation - Anti-Cullin 4A/CUL-4A antibody (AB72548)
  • IP

Unknown

Immunoprecipitation - Anti-Cullin 4A/CUL-4A antibody (AB72548)

Detection of Human Cullin 4A/CUL-4A by Immunoprecipitation from Whole cell lysate from HeLa cells (1 mg for IP, 20% of IP loaded), using ab72548 at 3 μg/mg lysate for IP and at 1 μg/ml for subsequent Western blot detection.

All lanes:

Immunoprecipitation - Anti-Cullin 4A/CUL-4A antibody (ab72548)

Predicted band size: 88 kDa

false

Western blot - Anti-Cullin 4A/CUL-4A antibody (AB72548)
  • WB

Unknown

Western blot - Anti-Cullin 4A/CUL-4A antibody (AB72548)

All lanes:

Western blot - Anti-Cullin 4A/CUL-4A antibody (ab72548) at 0.1 µg/mL

Lane 1:

HeLa whole cell lysate at 50 µg

Lane 2:

HeLa whole cell lysate at 15 µg

Lane 3:

HeLa whole cell lysate at 5 µg

Lane 4:

293T whole cell lysate at 50 µg

Lane 5:

NIH3T3 whole cell lysate at 50 µg

Predicted band size: 88 kDa

Observed band size: 117 kDa,88 kDa

false

Key facts

Host species

Rabbit

Clonality

Polyclonal

Isotype

IgG

Carrier free

No

Reacts with

Mouse, Human

Applications

IHC-P, IP, WB

applications

Immunogen

Synthetic Peptide within Human Cullin-4A. The exact immunogen used to generate this antibody is proprietary information.

Q13619

Reactivity data

{ "title": "Reactivity Data", "filters": { "stats": ["", "Species", "Dilution Info", "Notes"], "tabs": { "all-applications": {"fullname" : "All Applications", "shortname": "All Applications"}, "IHCP" : {"fullname" : "Immunohistochemistry (Formalin/PFA-fixed paraffin-embedded sections)", "shortname":"IHC-P"}, "IP" : {"fullname" : "Immunoprecipitation", "shortname":"IP"}, "WB" : {"fullname" : "Western blot", "shortname":"WB"} }, "product-promise": { "all": "all", "testedAndGuaranteed": "tested", "guaranteed": "expected", "predicted": "predicted", "notRecommended": "not-recommended" } }, "values": { "Human": { "IHCP-species-checked": "testedAndGuaranteed", "IHCP-species-dilution-info": "1 µg/mL", "IHCP-species-notes": "<p></p> Perform heat-mediated antigen retrieval before commencing with IHC staining protocol.", "IP-species-checked": "testedAndGuaranteed", "IP-species-dilution-info": "2-5 µg/mg of lysate", "IP-species-notes": "<p></p>", "WB-species-checked": "testedAndGuaranteed", "WB-species-dilution-info": "1/1000 - 1/10000", "WB-species-notes": "<p></p>" }, "Mouse": { "IHCP-species-checked": "testedAndGuaranteed", "IHCP-species-dilution-info": "1 µg/mL", "IHCP-species-notes": "<p></p> Perform heat-mediated antigen retrieval before commencing with IHC staining protocol.", "IP-species-checked": "guaranteed", "IP-species-dilution-info": "", "IP-species-notes": "", "WB-species-checked": "guaranteed", "WB-species-dilution-info": "", "WB-species-notes": "" }, "Chicken": { "IHCP-species-checked": "predicted", "IHCP-species-dilution-info": "", "IHCP-species-notes": "", "IP-species-checked": "predicted", "IP-species-dilution-info": "", "IP-species-notes": "", "WB-species-checked": "predicted", "WB-species-dilution-info": "", "WB-species-notes": "" }, "Chimpanzee": { "IHCP-species-checked": "predicted", "IHCP-species-dilution-info": "", "IHCP-species-notes": "", "IP-species-checked": "predicted", "IP-species-dilution-info": "", "IP-species-notes": "", "WB-species-checked": "predicted", "WB-species-dilution-info": "", "WB-species-notes": "" }, "Dog": { "IHCP-species-checked": "predicted", "IHCP-species-dilution-info": "", "IHCP-species-notes": "", "IP-species-checked": "predicted", "IP-species-dilution-info": "", "IP-species-notes": "", "WB-species-checked": "predicted", "WB-species-dilution-info": "", "WB-species-notes": "" }, "Gorilla": { "IHCP-species-checked": "predicted", "IHCP-species-dilution-info": "", "IHCP-species-notes": "", "IP-species-checked": "predicted", "IP-species-dilution-info": "", "IP-species-notes": "", "WB-species-checked": "predicted", "WB-species-dilution-info": "", "WB-species-notes": "" }, "Horse": { "IHCP-species-checked": "predicted", "IHCP-species-dilution-info": "", "IHCP-species-notes": "", "IP-species-checked": "predicted", "IP-species-dilution-info": "", "IP-species-notes": "", "WB-species-checked": "predicted", "WB-species-dilution-info": "", "WB-species-notes": "" }, "Platypus": { "IHCP-species-checked": "predicted", "IHCP-species-dilution-info": "", "IHCP-species-notes": "", "IP-species-checked": "predicted", "IP-species-dilution-info": "", "IP-species-notes": "", "WB-species-checked": "predicted", "WB-species-dilution-info": "", "WB-species-notes": "" }, "Rabbit": { "IHCP-species-checked": "predicted", "IHCP-species-dilution-info": "", "IHCP-species-notes": "", "IP-species-checked": "predicted", "IP-species-dilution-info": "", "IP-species-notes": "", "WB-species-checked": "predicted", "WB-species-dilution-info": "", "WB-species-notes": "" }, "Rhesus monkey": { "IHCP-species-checked": "predicted", "IHCP-species-dilution-info": "", "IHCP-species-notes": "", "IP-species-checked": "predicted", "IP-species-dilution-info": "", "IP-species-notes": "", "WB-species-checked": "predicted", "WB-species-dilution-info": "", "WB-species-notes": "" }, "Sea urchin": { "IHCP-species-checked": "predicted", "IHCP-species-dilution-info": "", "IHCP-species-notes": "", "IP-species-checked": "predicted", "IP-species-dilution-info": "", "IP-species-notes": "", "WB-species-checked": "predicted", "WB-species-dilution-info": "", "WB-species-notes": "" }, "Turkey": { "IHCP-species-checked": "predicted", "IHCP-species-dilution-info": "", "IHCP-species-notes": "", "IP-species-checked": "predicted", "IP-species-dilution-info": "", "IP-species-notes": "", "WB-species-checked": "predicted", "WB-species-dilution-info": "", "WB-species-notes": "" } } }

Properties and storage information

Form
Liquid
Purification technique
Affinity purification Immunogen
Storage buffer
pH: 7 - 8 Preservative: 0.09% Sodium azide Constituents: PBS, 1.815% Tris, 1.764% Sodium citrate
Shipped at conditions
Blue Ice
Appropriate short-term storage duration
1-2 weeks
Appropriate short-term storage conditions
+4°C
Appropriate long-term storage conditions
-20°C
Aliquoting information
Upon delivery aliquot
Storage information
Avoid freeze / thaw cycle

Product protocols

For this product, it's our understanding that no specific protocols are required. You can visit:

Target data

Core component of multiple cullin-RING-based E3 ubiquitin-protein ligase complexes which mediate the ubiquitination of target proteins (PubMed : 14578910, PubMed : 14739464, PubMed : 15448697, PubMed : 15548678, PubMed : 15811626, PubMed : 16678110, PubMed : 17041588, PubMed : 24209620, PubMed : 30166453, PubMed : 33854232, PubMed : 33854239). As a scaffold protein may contribute to catalysis through positioning of the substrate and the ubiquitin-conjugating enzyme (PubMed : 14578910, PubMed : 14739464, PubMed : 15448697, PubMed : 15548678, PubMed : 15811626, PubMed : 16678110, PubMed : 17041588, PubMed : 24209620). The E3 ubiquitin-protein ligase activity of the complex is dependent on the neddylation of the cullin subunit and is inhibited by the association of the deneddylated cullin subunit with TIP120A/CAND1 (PubMed : 14578910, PubMed : 14739464, PubMed : 15448697, PubMed : 15548678, PubMed : 15811626, PubMed : 16678110, PubMed : 17041588, PubMed : 24209620). The functional specificity of the E3 ubiquitin-protein ligase complex depends on the variable substrate recognition component (PubMed : 14578910, PubMed : 14739464, PubMed : 15448697, PubMed : 15548678, PubMed : 15811626, PubMed : 16678110, PubMed : 17041588, PubMed : 24209620). DCX(DET1-COP1) directs ubiquitination of JUN (PubMed : 14739464). DCX(DDB2) directs ubiquitination of XPC (PubMed : 15811626). DCX(DDB2) ubiquitinates histones H3-H4 and is required for efficient histone deposition during replication-coupled (H3.1) and replication-independent (H3.3) nucleosome assembly, probably by facilitating the transfer of H3 from ASF1A/ASF1B to other chaperones involved in histone deposition (PubMed : 16678110, PubMed : 17041588, PubMed : 24209620). DCX(DTL) plays a role in PCNA-dependent polyubiquitination of CDT1 and MDM2-dependent ubiquitination of p53/TP53 in response to radiation-induced DNA damage and during DNA replication (PubMed : 14578910, PubMed : 15448697, PubMed : 15548678). DCX(DTL) directs autoubiquitination of DTL (PubMed : 23478445). In association with DDB1 and SKP2 probably is involved in ubiquitination of CDKN1B/p27kip (PubMed : 16537899). Is involved in ubiquitination of HOXA9 (PubMed : 14609952). The DDB1-CUL4A-DTL E3 ligase complex regulates the circadian clock function by mediating the ubiquitination and degradation of CRY1 (PubMed : 26431207). A number of DCX complexes (containing either TRPC4AP or DCAF12 as substrate-recognition component) are part of the DesCEND (destruction via C-end degrons) pathway, which recognizes a C-degron located at the extreme C terminus of target proteins, leading to their ubiquitination and degradation (PubMed : 29779948). The DCX(AMBRA1) complex is a master regulator of the transition from G1 to S cell phase by mediating ubiquitination of phosphorylated cyclin-D (CCND1, CCND2 and CCND3) (PubMed : 33854232, PubMed : 33854239). The DCX(AMBRA1) complex also acts as a regulator of Cul5-RING (CRL5) E3 ubiquitin-protein ligase complexes by mediating ubiquitination and degradation of Elongin-C (ELOC) component of CRL5 complexes (PubMed : 30166453). With CUL4B, contributes to ribosome biogenesis (PubMed : 26711351).
See full target information Cullin-4A

Publications (25)

Recent publications for all applications. Explore the full list and refine your search

iScience 27:111399 PubMed39687025

2024

Increased CSN5 expression enhances the sensitivity to lenalidomide in multiple myeloma cells.

Applications

Unspecified application

Species

Unspecified reactive species

Takumi Yamamoto,Arisu Furukawa,Yue Zhou,Nobuaki Kono,Shojiro Kitajima,Hiroto Ohguchi,Yawara Kawano,Shingo Ito,Norie Araki,Sumio Ohtsuki,Takeshi Masuda

Acta pharmaceutica Sinica. B 14:729-750 PubMed38322326

2024

Trilogy of drug repurposing for developing cancer and chemotherapy-induced heart failure co-therapy agent.

Applications

Unspecified application

Species

Unspecified reactive species

Xin Chen,Xianggang Mu,Lele Ding,Xi Wang,Fei Mao,Jinlian Wei,Qian Liu,Yixiang Xu,Shuaishuai Ni,Lijun Jia,Jian Li

iScience 27:108933 PubMed38318354

2024

Cullin-RING E3 ubiquitin ligase 4 regulates neurite morphogenesis during neurodevelopment.

Applications

Unspecified application

Species

Unspecified reactive species

Tammy Shim,Jae Yeon Kim,WonCheol Kim,Yun-Il Lee,Bongki Cho,Cheil Moon

Life science alliance 7: PubMed37940188

2023

DCAF14 regulates CDT2 to promote SET8-dependent replication fork protection.

Applications

Unspecified application

Species

Unspecified reactive species

Neysha Tirado-Class,Caitlin Hathaway,Anthony Nelligan,Thuan Nguyen,Huzefa Dungrawala

Journal of biochemical and molecular toxicology 37:e23373 PubMed37253097

2023

CUL4A-mediated ZEB1/microRNA-340-5p/HMGB1 axis promotes the development of osteoporosis.

Applications

Unspecified application

Species

Unspecified reactive species

Hongliang Chen,Qiang Zheng,You Lv,Zhongfeng Yang,Qin Fu

Science advances 9:eade9944 PubMed37027467

2023

Small-molecule PIK-93 modulates the tumor microenvironment to improve immune checkpoint blockade response.

Applications

Unspecified application

Species

Unspecified reactive species

Chia-Yi Lin,Kuo-Yen Huang,Shih-Han Kao,Ming-Shiu Lin,Chih-Chien Lin,Shuenn-Chen Yang,Wei-Chia Chung,Ya-Hsuan Chang,Rong-Jie Chein,Pan-Chyr Yang

iScience 26:106468 PubMed37091236

2023

Latent CSN-CRL complexes are crucial for curcumin-induced apoptosis and recruited during adipogenesis to lipid droplets via small GTPase RAB18.

Applications

Unspecified application

Species

Unspecified reactive species

Dawadschargal Dubiel,Jing Wang,Roland Hartig,Supattra Chaithongyot,Wolfgang Dubiel,Michael Naumann

Nature communications 13:974 PubMed35190564

2022

Global and transcription-coupled repair of 8-oxoG is initiated by nucleotide excision repair proteins.

Applications

Unspecified application

Species

Unspecified reactive species

Namrata Kumar,Arjan F Theil,Vera Roginskaya,Yasmin Ali,Michael Calderon,Simon C Watkins,Ryan P Barnes,Patricia L Opresko,Alex Pines,Hannes Lans,Wim Vermeulen,Bennett Van Houten

Nature communications 12:2461 PubMed33911083

2021

IP-assisted CSN-COP1 competition regulates a CRL4-ETV5 proteolytic checkpoint to safeguard glucose-induced insulin secretion.

Applications

Unspecified application

Species

Unspecified reactive species

Hong Lin,Yuan Yan,Yifan Luo,Wing Yan So,Xiayun Wei,Xiaozhe Zhang,Xiaoli Yang,Jun Zhang,Yang Su,Xiuyan Yang,Bobo Zhang,Kangjun Zhang,Nan Jiang,Billy Kwok Chong Chow,Weiping Han,Fengchao Wang,Feng Rao

Cell reports 34:108669 PubMed33503431

2021

DCAF14 promotes stalled fork stability to maintain genome integrity.

Applications

Unspecified application

Species

Unspecified reactive species

Arik Townsend,Gabriella Lora,Justin Engel,Neysha Tirado-Class,Huzefa Dungrawala
View all publications

Product promise

We are committed to supporting your work with high-quality reagents, and we're here for you every step of the way. In the unlikely event that one of our products does not perform as expected, you're protected by our Product Promise.
For full details, please see our Terms & Conditions

Please note: All products are 'FOR RESEARCH USE ONLY. NOT FOR USE IN DIAGNOSTIC OR THERAPEUTIC PROCEDURES'.

For licensing inquiries, please contact partnerships@abcam.com