JavaScript is disabled in your browser. Please enable JavaScript to view this website.
AB248644

Anti-CUTC antibody [EPR7929] - BSA and Azide free

Be the first to review this product! Submit a review

|

(1 Publication)

Rabbit Recombinant Monoclonal CUTC antibody. Carrier free. Suitable for WB and reacts with Human, Mouse, Rat samples. Cited in 1 publication.

View Alternative Names

CGI-32, CUTC, Copper homeostasis protein cutC homolog

4 Images
Western blot - Anti-CUTC antibody [EPR7929] - BSA and Azide free (AB248644)
  • WB

Unknown

Western blot - Anti-CUTC antibody [EPR7929] - BSA and Azide free (AB248644)

This data was developed using ab133762, the same antibody clone in a different buffer formulation.

All lanes:

Western blot - Anti-CUTC antibody [EPR7929] (<a href='/en-us/products/primary-antibodies/cutc-antibody-epr7929-ab133762'>ab133762</a>) at 1/1000 dilution

Lane 1:

Jurkat cell lysate at 10 µg

Lane 2:

HeLa cell lysate at 10 µg

Lane 3:

A431 cell lysate at 10 µg

Secondary

All lanes:

Goat anti-rabbit HRP conjugated antibody at 1/2000 dilution

Predicted band size: 29 kDa

Observed band size: 29 kDa

false

Western blot - Anti-CUTC antibody [EPR7929] - BSA and Azide free (AB248644)
  • WB

Lab

Western blot - Anti-CUTC antibody [EPR7929] - BSA and Azide free (AB248644)

This data was developed using ab133762, the same antibody clone in a different buffer formulation.

Lanes 1-5 : Merged signal (red and green). Green - ab133762 observed at 29 kDa. Red - loading control ab8245 observed at 36 kDa.

ab133762 Anti-CUTC antibody [EPR7929] was shown to specifically react with CUTC in wild-type HeLa cells. Loss of signal was observed when knockout cell line ab265860 (knockout cell lysate ab258388) was used. Wild-type and CUTC knockout samples were subjected to SDS-PAGE. ab133762 and Anti-GAPDH antibody [6C5] - Loading Control (ab8245) were incubated overnight at 4°C at 1 in 1000 dilution and 1 in 20000 dilution respectively. Blots were developed with Goat anti-Rabbit IgG H&L (IRDye® 800CW) preadsorbed (ab216773) and Goat anti-Mouse IgG H&L (IRDye® 680RD) preadsorbed (ab216776) secondary antibodies at 1 in 20000 dilution for 1 hour at room temperature before imaging.

All lanes:

Western blot - Anti-CUTC antibody [EPR7929] (<a href='/en-us/products/primary-antibodies/cutc-antibody-epr7929-ab133762'>ab133762</a>) at 1/1000 dilution

Lane 1:

Wild-type HeLa cell lysate at 20 µg

Lane 2:

CUTC knockout HeLa cell lysate at 20 µg

Lane 2:

Western blot - Human CUTC knockout HeLa cell line (<a href='/en-us/products/cell-lines/human-cutc-knockout-hela-cell-line-ab265860'>ab265860</a>)

Lane 3:

Jurkat cell lysate at 20 µg

Lane 4:

SH-SY5Y cell lysate at 20 µg

Secondary

All lanes:

Western blot - Goat anti-Rabbit IgG H&L (IRDye® 800CW) preadsorbed (<a href='/en-us/products/secondary-antibodies/goat-rabbit-igg-h-l-irdye-800cw-preadsorbed-ab216773'>ab216773</a>) at 1/10000 dilution

Predicted band size: 29 kDa

Observed band size: 29 kDa

false

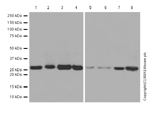
Western blot - Anti-CUTC antibody [EPR7929] - BSA and Azide free (AB248644)
  • WB

Supplier Data

Western blot - Anti-CUTC antibody [EPR7929] - BSA and Azide free (AB248644)

This data was developed using ab133762, the same antibody clone in a different buffer formulation. Blocking and diluting buffer and concentration : 5% NFDM /TBST

All lanes:

Western blot - Anti-CUTC antibody [EPR7929] (<a href='/en-us/products/primary-antibodies/cutc-antibody-epr7929-ab133762'>ab133762</a>) at 1/2000 dilution

Lane 1:

Mouse brain tissue lysate at 20 µg

Lane 2:

Mouse heart tissue lysate at 20 µg

Lane 3:

Mouse kidney tissue lysate at 20 µg

Lane 4:

Mouse spleen tissue lysate at 20 µg

Lane 5:

Rat brain tissue lysate at 20 µg

Lane 6:

Rat heart tissue lysate at 20 µg

Lane 7:

Rat kidney tissue lysate at 20 µg

Lane 8:

Rat spleen tissue lysate at 20 µg

Secondary

All lanes:

Western blot - Goat Anti-Rabbit IgG H&L (HRP) (<a href='/en-us/products/secondary-antibodies/goat-rabbit-igg-h-l-hrp-ab97051'>ab97051</a>) at 1/20000 dilution

Predicted band size: 29 kDa

Observed band size: 29 kDa

false

Exposure time: 180s

OI-RD Scanning - Anti-CUTC antibody [EPR7929] - BSA and Azide free (AB248644)
  • OI-RD Scanning

Unknown

OI-RD Scanning - Anti-CUTC antibody [EPR7929] - BSA and Azide free (AB248644)

We have systematically measured KD (the equilibrium dissociation constant between the antibody and its antigen), of more than 840 recombinant antibodies to assess not only their individual KD values but also to see the average affinity of antibody. Based on the comparison with published literature values for mouse monoclonal antibodies, Recombinant antibodies appear to be on average 1-2 order of magnitude higher affinity.

Key facts

Host species

Rabbit

Clonality

Monoclonal

Clone number

EPR7929

Isotype

IgG

Carrier free

Yes

Reacts with

Mouse, Rat, Human

Applications

WB

applications

Immunogen

The exact immunogen used to generate this antibody is proprietary information.

Reactivity data

{ "title": "Reactivity Data", "filters": { "stats": ["", "Species", "Dilution Info", "Notes"], "tabs": { "all-applications": {"fullname" : "All Applications", "shortname": "All Applications"}, "ICCIF" : {"fullname" : "Immunocytochemistry/ Immunofluorescence", "shortname":"ICC/IF"}, "FlowCyt" : {"fullname" : "Flow Cytometry", "shortname":"Flow Cyt"}, "WB" : {"fullname" : "Western blot", "shortname":"WB"}, "IHCP" : {"fullname" : "Immunohistochemistry (Formalin/PFA-fixed paraffin-embedded sections)", "shortname":"IHC-P"} }, "product-promise": { "all": "all", "testedAndGuaranteed": "tested", "guaranteed": "expected", "predicted": "predicted", "notRecommended": "not-recommended" } }, "values": { "Human": { "ICCIF-species-checked": "notRecommended", "ICCIF-species-dilution-info": "", "ICCIF-species-notes": "<p></p>", "FlowCyt-species-checked": "notRecommended", "FlowCyt-species-dilution-info": "", "FlowCyt-species-notes": "<p></p>", "WB-species-checked": "testedAndGuaranteed", "WB-species-dilution-info": "", "WB-species-notes": "<p></p>", "IHCP-species-checked": "notRecommended", "IHCP-species-dilution-info": "", "IHCP-species-notes": "<p></p>" }, "Mouse": { "ICCIF-species-checked": "notRecommended", "ICCIF-species-dilution-info": "", "ICCIF-species-notes": "", "FlowCyt-species-checked": "notRecommended", "FlowCyt-species-dilution-info": "", "FlowCyt-species-notes": "", "WB-species-checked": "testedAndGuaranteed", "WB-species-dilution-info": "", "WB-species-notes": "<p></p>", "IHCP-species-checked": "notRecommended", "IHCP-species-dilution-info": "", "IHCP-species-notes": "" }, "Rat": { "ICCIF-species-checked": "notRecommended", "ICCIF-species-dilution-info": "", "ICCIF-species-notes": "", "FlowCyt-species-checked": "notRecommended", "FlowCyt-species-dilution-info": "", "FlowCyt-species-notes": "", "WB-species-checked": "testedAndGuaranteed", "WB-species-dilution-info": "", "WB-species-notes": "<p></p>", "IHCP-species-checked": "notRecommended", "IHCP-species-dilution-info": "", "IHCP-species-notes": "" } } }

Product details

ab248644 is the carrier-free version of ab133762.

Patented technology
Our RabMAb® technology is a patented hybridoma-based technology for making rabbit monoclonal antibodies. For details on our patents, please refer to RabMAb® patents.

What are the advantages of a recombinant monoclonal antibody?
This product is a recombinant monoclonal antibody, which offers several advantages including:

  • - High batch-to-batch consistency and reproducibility
  • - Improved sensitivity and specificity
  • - Long-term security of supply
  • - Animal-free batch production

For more information, read more on recombinant antibodies.

Conjugation ready
Our carrier-free antibodies are typically supplied in a PBS-only formulation, purified and free of BSA, sodium azide and glycerol. This conjugation-ready format is designed for use with fluorochromes, metal isotopes, oligonucleotides, and enzymes, which makes them ideal for antibody labelling, functional and cell-based assays, flow-based assays (e.g. mass cytometry) and Multiplex Imaging applications.

Use our conjugation kits for antibody conjugates that are ready-to-use in as little as 20 minutes with 1 minute hands-on-time and 100% antibody recovery: available for fluorescent dyes, HRP, biotin and gold.

Compatibility
This product is compatible with the Maxpar® Antibody Labeling Kit from Fluidigm, without the need for antibody preparation. Maxpar® is a trademark of Fluidigm Canada Inc.

Properties and storage information

Form
Liquid
Purification technique
Affinity purification
Storage buffer
pH: 7.2 - 7.4 Constituents: PBS
Shipped at conditions
Blue Ice
Appropriate short-term storage conditions
+4°C
Appropriate long-term storage conditions
+4°C
Storage information
Do Not Freeze

Supplementary information

This supplementary information is collated from multiple sources and compiled automatically.

CUTC also known as copper homeostasis protein CUTC plays a role in copper transport and homeostasis. It has a molecular mass of approximately 30 kDa. CUTC expression occurs mainly in the liver kidney and intestines suggesting its importance in managing systemic copper levels. CUTC contains several copper-binding motifs that help it in coordinating and potentially transporting copper ions across cellular compartments.
Biological function summary

Copper homeostasis protein CUTC functions in the regulation of intracellular copper levels and may interact with copper chaperones. The protein does not work in isolation but instead might form complexes with other copper-binding proteins to facilitate efficient copper regulation. Proper function of CUTC is necessary for various copper-dependent enzymatic activities highlighting its role in maintaining cellular copper sufficiency.

Pathways

CUTC is engaged in the copper homeostasis pathway that ensures adequate copper distribution and detoxification. This protein is associated with other copper-related proteins like ATP7A/B which transport copper across cellular membranes. Through these interactions CUTC assists in protecting cells from copper toxicity and supports essential biological functions requiring copper.

CUTC relates to Wilson's disease and Menkes disease which are disorders of copper metabolism. CUTC interacts with proteins such as ATP7B in Wilson's disease and ATP7A in Menkes disease. Understanding CUTC's function and interactions is key for developing therapeutic strategies aimed at alleviating symptoms associated with impaired copper homeostasis in these conditions.

Product protocols

For this product, it's our understanding that no specific protocols are required. You can visit:

Target data

May play a role in copper homeostasis. Can bind one Cu(1+) per subunit.
See full target information CUTC

Publications (1)

Recent publications for all applications. Explore the full list and refine your search

Immunity, inflammation and disease 10:e727 PubMed36301031

2022

Forkhead box M1 recruits FoxP3 Treg cells to induce immune escape in hilar cholangiocarcinoma.

Applications

Unspecified application

Species

Unspecified reactive species

Kai Ma,Zhaowei Sun,Xueliang Li,Jingyun Guo,Qinlei Wang,Mujian Teng
View all publications

Product promise

We are committed to supporting your work with high-quality reagents, and we're here for you every step of the way. In the unlikely event that one of our products does not perform as expected, you're protected by our Product Promise.
For full details, please see our Terms & Conditions

Please note: All products are 'FOR RESEARCH USE ONLY. NOT FOR USE IN DIAGNOSTIC OR THERAPEUTIC PROCEDURES'.

For licensing inquiries, please contact partnerships@abcam.com