JavaScript is disabled in your browser. Please enable JavaScript to view this website.
AB309139

Anti-CUX1+CUX2 antibody [EPR26509-154]

  • BOND RX™ Validated
  • 20ul selling size
  • RabMAb
  • Recombinant
  • What is this?

4

(1 Review)

|

(3 Publications)

Rabbit Recombinant Monoclonal CUX2 antibody. Suitable for IHC-P, WB, IHC-Fr, Flow Cyt (Intra) and reacts with Transfected cell line - Mouse, Mouse, Rat, Transfected cell lysate - Human, Human samples. Cited in 3 publications.

View Alternative Names

Cutl2, Cux2, Homeobox protein cut-like 2, Homeobox protein Cux-2

15 Images
Immunohistochemistry (Formalin/PFA-fixed paraffin-embedded sections) - Anti-CUX1+CUX2 antibody [EPR26509-154] (AB309139)
  • IHC-P

Supplier Data

Immunohistochemistry (Formalin/PFA-fixed paraffin-embedded sections) - Anti-CUX1+CUX2 antibody [EPR26509-154] (AB309139)

Immunohistochemical analysis of paraffin-embedded Rat small intestine tissue labeling CUX1+CUX2 with ab309139 at 1/500 (4.78 ug/ml) followed by a ready to use LeicaDS9800 (Bond™ Polymer Refine Detection) was used. Low expression tissue : almost no staining on rat small intestine. The section was incubated with ab309139 for 30 mins at room temperature. The immunostaining was performed on a Leica Biosystems BOND® RX instrument Counterstained with Hematoxylin. Secondary antibody only control : Secondary antibody is a ready to use LeicaDS9800 (Bond™ Polymer Refine Detection) was used. Heat mediated antigen retrieval was performed with Tris-EDTA buffer (pH 9.0, Epitope Retrieval Solution2) for 20 mins.

Immunohistochemistry (Frozen sections) - Anti-CUX1+CUX2 antibody [EPR26509-154] (AB309139)
  • IHC-Fr

Supplier Data

Immunohistochemistry (Frozen sections) - Anti-CUX1+CUX2 antibody [EPR26509-154] (AB309139)

Immunohistochemical analysis of 4% PFA-fixed, 0.2% Triton X-100 permeabilized frozen Rat liver (fresh) tissue labeling CUX1+CUX2 with ab309139 at 1/50 (9.56 ug/ml) dilution followed by ab150081 Goat Anti-Rabbit IgG H&L (Alexa Fluor® 488) preadsorbed at 1/1000 2 ug/mL dilution (Green). Negative control : confocal image showing no staining on rat liver (PMID : 8798433). The nuclear counterstain was DAPI (Blue). The section was incubated with ab309139 for 60 mins at room temperature. The section was then mounted using Fluoromount®. The immunostaining was performed on a Leica Biosystems BOND® RX instrument. The image was taken with a confocal microscope (Leica-Microsystems, TCS SP8). is observed. The nuclear counterstain was DAPI (Blue). Secondary antibody control : Secondary antibody is ab150081 Goat Anti-Rabbit IgG H&L (Alexa Fluor® 488) preadsorbed at 1/1000 2 ug/mL dilution.

Immunohistochemistry (Formalin/PFA-fixed paraffin-embedded sections) - Anti-CUX1+CUX2 antibody [EPR26509-154] (AB309139)
  • IHC-P

Supplier Data

Immunohistochemistry (Formalin/PFA-fixed paraffin-embedded sections) - Anti-CUX1+CUX2 antibody [EPR26509-154] (AB309139)

Immunohistochemical analysis of paraffin-embedded Mouse small intestin tissue labeling CUX1+CUX2 with ab309139 at 1/500 (4.78 ug/ml) followed by a ready to use LeicaDS9800 (Bond™ Polymer Refine Detection) was used. Low expression tissue : almost no staining on mouse small intestine (PMID : 8879483). The section was incubated with ab309139 for 30 mins at room temperature. The immunostaining was performed on a Leica Biosystems BOND® RX instrument Counterstained with Hematoxylin. Secondary antibody only control : Secondary antibody is a ready to use LeicaDS9800 (Bond™ Polymer Refine Detection) was used. Heat mediated antigen retrieval was performed with Tris-EDTA buffer (pH 9.0, Epitope Retrieval Solution2) for 20 mins.

Immunohistochemistry (Frozen sections) - Anti-CUX1+CUX2 antibody [EPR26509-154] (AB309139)
  • IHC-Fr

Supplier Data

Immunohistochemistry (Frozen sections) - Anti-CUX1+CUX2 antibody [EPR26509-154] (AB309139)

Immunohistochemical analysis of 4% PFA-fixed, 0.2% Triton X-100 permeabilized frozen Mouse liver (fresh) tissue labeling CUX1+CUX2 with ab309139 at 1/50 (9.56 ug/ml) dilution followed by ab150081 Goat Anti-Rabbit IgG H&L (Alexa Fluor® 488) preadsorbed at 1/1000 2 ug/mL dilution (Green). Negative control : confocal image showing no staining on mouse liver (PMID : 8798433). The nuclear counterstain was DAPI (Blue). The section was incubated with ab309139 for 60 mins at room temperature. The section was then mounted using Fluoromount®. The immunostaining was performed on a Leica Biosystems BOND® RX instrument. The image was taken with a confocal microscope (Leica-Microsystems, TCS SP8). The nuclear counterstain was DAPI (Blue). Secondary antibody control : Secondary antibody is ab150081 Goat Anti-Rabbit IgG H&L (Alexa Fluor® 488) preadsorbed at 1/1000 2 ug/mL dilution.

Immunohistochemistry (Formalin/PFA-fixed paraffin-embedded sections) - Anti-CUX1+CUX2 antibody [EPR26509-154] (AB309139)
  • IHC-P

Supplier Data

Immunohistochemistry (Formalin/PFA-fixed paraffin-embedded sections) - Anti-CUX1+CUX2 antibody [EPR26509-154] (AB309139)

Immunohistochemical analysis of paraffin-embedded Mouse cerebrum tissue labeling CUX1+CUX2 with ab309139 at 1/500 (4.78 ug/ml) followed by a ready to use LeicaDS9800 (Bond™ Polymer Refine Detection) was used. Positive staining on mouse cerebrum with intense staining on superficial cortical layers. (A) Low‑powered (magnification, x40) and (B) high‑powered (magnification, x100) microscopic images. The section was incubated with ab309139 for 30 mins at room temperature. The immunostaining was performed on a Leica Biosystems BOND® RX instrument Counterstained with Hematoxylin. Secondary antibody only control : Secondary antibody is a ready to use LeicaDS9800 (Bond™ Polymer Refine Detection) was used. Heat mediated antigen retrieval was performed with Tris-EDTA buffer (pH 9.0, Epitope Retrieval Solution2) for 20 mins

Immunohistochemistry (Formalin/PFA-fixed paraffin-embedded sections) - Anti-CUX1+CUX2 antibody [EPR26509-154] (AB309139)
  • IHC-P

Supplier Data

Immunohistochemistry (Formalin/PFA-fixed paraffin-embedded sections) - Anti-CUX1+CUX2 antibody [EPR26509-154] (AB309139)

Immunohistochemical analysis of paraffin-embedded Rat cerebrum tissue labeling CUX1+CUX2 with ab309139 at 1/500 (4.78 ug/ml) followed by a ready to use LeicaDS9800 (Bond™ Polymer Refine Detection) was used. Positive staining on rat cerebrum with intense staining on superficial cortical layers. (A) Low‑powered (magnification, x40) and (B) high‑powered (magnification, x100) microscopic images. The section was incubated with ab309139 for 30 mins at room temperature.The immunostaining was performed on a Leica Biosystems BOND® RX instrument Counterstained with Hematoxylin. Secondary antibody only control : Secondary antibody is a ready to use LeicaDS9800 (Bond™ Polymer Refine Detection) was used. Heat mediated antigen retrieval was performed with Tris-EDTA buffer (pH 9.0, Epitope Retrieval Solution2) for 20 mins.

Immunohistochemistry (Formalin/PFA-fixed paraffin-embedded sections) - Anti-CUX1+CUX2 antibody [EPR26509-154] (AB309139)
  • IHC-P

Supplier Data

Immunohistochemistry (Formalin/PFA-fixed paraffin-embedded sections) - Anti-CUX1+CUX2 antibody [EPR26509-154] (AB309139)

Immunohistochemical analysis of paraffin-embedded (A) HEK-293T (human tissue labeling CUX1+CUX2 with ab309139 at 1/8000 (0.06 ug/ml) followed by a ready to use LeicaDS9800 (Bond™ Polymer Refine Detection) was used. Positive staining on HEK-293T transfected with a His-tagged mouse CUX2 construct (image A). Positive staining on HEK-293T transfected with a His-tagged mouse CUX1 construct (image B). No staining on HEK-293T transfected with empty plasmid (image C). The section was incubated with ab309139 for 30 mins at room temperature.The immunostaining was performed on a Leica Biosystems BOND® RX instrument Counterstained with Hematoxylin. Secondary antibody only control : Secondary antibody is a ready to use LeicaDS9800 (Bond™ Polymer Refine Detection) was used. Heat mediated antigen retrieval was performed with Tris-EDTA buffer (pH 9.0, Epitope Retrieval Solution2) for 20 mins.

Flow Cytometry (Intracellular) - Anti-CUX1+CUX2 antibody [EPR26509-154] (AB309139)
  • Flow Cyt (Intra)

Supplier Data

Flow Cytometry (Intracellular) - Anti-CUX1+CUX2 antibody [EPR26509-154] (AB309139)

Flow cytometric analysis of 4% paraformaldehyde fixed 90% methanol permeabilized mouse primary neuron cells labeling CUX1+CUX2 with ab309139 at 1/50 dilution (1 ug)/Red (Red) compared with a Rabbit monoclonal IgG (ab172730) (Black) isotype control and an unlabelled control (cells without incubation with primary antibody and secondary antibody) (Blue). A Goat Anti-Rabbit IgG (Alexa Fluor® 488, ab150081) at 1/5000 dilution was used as the secondary antibody.

Immunohistochemistry (Frozen sections) - Anti-CUX1+CUX2 antibody [EPR26509-154] (AB309139)
  • IHC-Fr

Supplier Data

Immunohistochemistry (Frozen sections) - Anti-CUX1+CUX2 antibody [EPR26509-154] (AB309139)

Immunohistochemical analysis of 4% PFA-fixed, 0.2% Triton X-100 permeabilized frozen Mouse cortex (fresh) tissue labeling CUX1+CUX2 with ab309139 at 1/50 (9.56 ug/ml) dilution followed by ab150081 Goat Anti-Rabbit IgG H&L (Alexa Fluor® 488) preadsorbed at 1/1000 2 ug/mL dilution (Green). Panel A : merged staining of anti-CUX1+CUX2 (ab309139, green) and anti-NeuN (ab190565, red) on mouse cortex. Panel B : anti-CUX1+CUX2 stained on the mouse cortex. Panel C : anti-NeuN stained in neurons of mouse cortex. The section was incubated in two rounds of staining : in the order of ab309139 and ab190565 for 1 hr at room temperature. The nuclear counterstain was DAPI (Blue). The section was then mounted using Fluoromount®. The immunostaining was performed on a Leica Biosystems BOND® RX instrument. The image was taken with a confocal microscope (Leica-Microsystems, TCS SP8). is observed. The nuclear counterstain was DAPI (Blue). Secondary antibody control : Secondary antibody is ab150081 Goat Anti-Rabbit IgG H&L (Alexa Fluor® 488) preadsorbed at 1/1000 2 ug/mL dilution.

Immunohistochemistry (Frozen sections) - Anti-CUX1+CUX2 antibody [EPR26509-154] (AB309139)
  • IHC-Fr

Supplier Data

Immunohistochemistry (Frozen sections) - Anti-CUX1+CUX2 antibody [EPR26509-154] (AB309139)

Immunohistochemical analysis of 4% PFA-fixed, 0.2% Triton X-100 permeabilized frozen Rat cortex (fresh) tissue labeling CUX1+CUX2 with ab309139 at 1/50 (9.56 ug/ml) dilution followed by ab150081 Goat Anti-Rabbit IgG H&L (Alexa Fluor® 488) preadsorbed at 1/1000 2 ug/mL dilution (Green). Panel A : merged staining of anti-CUX1+CUX2 (ab309139, green) and anti-NeuN (ab190565, red) on rat cortex. Panel B : anti-CUX1+CUX2 stained on the rat cortex. Panel C : anti-NeuN stained in neurons of rat cortex. The section was incubated in two rounds of staining : in the order of ab309139 and ab190565 for 1 hr at room temperature. The nuclear counterstain was DAPI (Blue). The section was then mounted using Fluoromount®. The immunostaining was performed on a Leica Biosystems BOND® RX instrument. The image was taken with a confocal microscope (Leica-Microsystems, TCS SP8). is observed. The nuclear counterstain was DAPI (Blue). Secondary antibody control : Secondary antibody is ab150081 Goat Anti-Rabbit IgG H&L (Alexa Fluor® 488) preadsorbed at 1/1000 2 ug/mL dilution.

Western blot - Anti-CUX1+CUX2 antibody [EPR26509-154] (AB309139)
  • WB

Supplier Data

Western blot - Anti-CUX1+CUX2 antibody [EPR26509-154] (AB309139)

Blocking and diluting buffer and concentration : 5% NFDM/TBST

Lysates were freshly made and used for Western blotting immediately to minimize protein degradation.

This blot was developed using a high sensitivity ECL substrate. The high-sensitivity ECL substrate used allows for the detection of proteins in the mid-femtogram range.

The bands beneath the target band (200 kDa) are expected to be degradation products.

In Western blot, anti- Vinculin antibody (ab129002) loading control staining at 1/10000 dilution.

All lanes:

Western blot - Anti-CUX1+CUX2 antibody [EPR26509-154] (ab309139) at 1/1000 dilution

Lane 1:

C6 (rat glial tumor glial cell) whole cell lysate at 20 µg

Lane 2:

Neuro-2a (mouse neuroblastoma neuroblast) whole cell lysate at 20 µg

Lane 3:

U-87 MG (human glioblastoma-astrocytoma epithelial cell) whole cell lysate at 20 µg

Lane 4:

SH-SY5Y (human neuroblastoma epithelial cell) whole cell lysate at 20 µg

Secondary

All lanes:

Western blot - Goat Anti-Rabbit IgG H&L (HRP) (<a href='/en-us/products/secondary-antibodies/goat-rabbit-igg-h-l-hrp-ab97051'>ab97051</a>) at 1/100000 dilution

Observed band size: 200 kDa

true

Exposure time: 180s

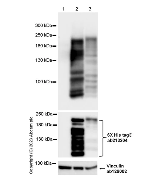
Western blot - Anti-CUX1+CUX2 antibody [EPR26509-154] (AB309139)
  • WB

Supplier Data

Western blot - Anti-CUX1+CUX2 antibody [EPR26509-154] (AB309139)

Blocking and diluting buffer and concentration : 5% NFDM/TBST In Western blot, anti-His antibody (ab213204) staining at 1/5000 dilution. In Western blot, anti- Vinculin antibody (ab129002) loading control staining at 1/10000 dilution.

All lanes:

Western blot - Anti-CUX1+CUX2 antibody [EPR26509-154] (ab309139) at 1/1000 dilution

Lane 1:

293T cells transfected with an empty vector containi a His-tag whole cell lysate at 20 µg

Lane 2:

293T cells transfected with a human CUX1 expression vector containi a His-tag whole cell lysate at 20 µg

Lane 3:

293T cells transfected with a human CUX2 expression vector containi a His-tag whole cell lysate at 20 µg

Secondary

All lanes:

Western blot - Goat Anti-Rabbit IgG H&L (HRP) (<a href='/en-us/products/secondary-antibodies/goat-rabbit-igg-h-l-hrp-ab97051'>ab97051</a>) at 1/100000 dilution

Observed band size: 200 kDa

false

Exposure time: 6s

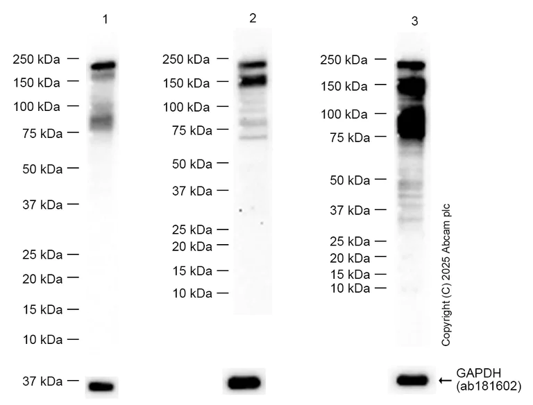
Western blot - Anti-CUX1+CUX2 antibody [EPR26509-154] (AB309139)
  • WB

Lab

Western blot - Anti-CUX1+CUX2 antibody [EPR26509-154] (AB309139)

Exposure time : Lane 1 : 10 seconds; Lane 2-3 : 40 seconds

In Western blot, Anti-GAPDH antibody [EPR16891] - Loading Control (ab181602) staining at 1/1000000 dilution.

All lanes:

Western blot - Anti-CUX1+CUX2 antibody [EPR26509-154] (ab309139) at 1/1000 dilution

Lane 1:

SH-SY5Y (human neuroblastoma epithelial cell) whole cell lysate at 20 µg

Lane 2:

Neuro-2a (mouse neuroblastoma neuroblast) whole cell lysate at 20 µg

Lane 3:

Rat cerebellum tissue lysate at 20 µg

Secondary

All lanes:

Western blot - Goat Anti-Rabbit IgG H&L (HRP) (<a href='/en-us/products/secondary-antibodies/goat-rabbit-igg-h-l-hrp-ab97051'>ab97051</a>) at 1/20000 dilution

Observed band size: 200 kDa

false

Western blot - Anti-CUX1+CUX2 antibody [EPR26509-154] (AB309139)
  • WB

Supplier Data

Western blot - Anti-CUX1+CUX2 antibody [EPR26509-154] (AB309139)

Blocking and diluting buffer and concentration : 5% NFDM/TBST Low expression : small intestine tissue(PMID : 8879483). Lysates were freshly made and used for Western blotting immediately to minimize protein degradation. In Western blot, anti- Vinculin antibody (ab129002) loading control staining at 1/10000 dilution.

All lanes:

Western blot - Anti-CUX1+CUX2 antibody [EPR26509-154] (ab309139) at 1/1000 dilution

Lane 1:

Mouse cerebral cortex tissue lysate at 20 µg

Lane 2:

Mouse small intestine tissue lysate at 20 µg

Lane 3:

Rat cerebral cortex tissue lysate at 20 µg

Secondary

All lanes:

Western blot - Goat Anti-Rabbit IgG H&L (HRP) (<a href='/en-us/products/secondary-antibodies/goat-rabbit-igg-h-l-hrp-ab97051'>ab97051</a>) at 1/100000 dilution

Observed band size: 200 kDa

false

Exposure time: 180s

Western blot - Anti-CUX1+CUX2 antibody [EPR26509-154] (AB309139)
  • WB

Supplier Data

Western blot - Anti-CUX1+CUX2 antibody [EPR26509-154] (AB309139)

Blocking and diluting buffer and concentration : 5% NFDM/TBST

Low expression : Liver tissue(PMID : 8879483).

This blot was developed using a high sensitivity ECL substrate. The high-sensitivity ECL substrate used allows for the detection of proteins in the mid-femtogram range.

Lysates were freshly made and used for Western blotting immediately to minimize protein degradation.

In Western blot, anti- Vinculin antibody (ab129002) loading control staining at 1/10000 dilution.

All lanes:

Western blot - Anti-CUX1+CUX2 antibody [EPR26509-154] (ab309139) at 1/1000 dilution

Lane 1:

Mouse liver tissue lysate at 20 µg

Lane 2:

Mouse testis tissue lysate at 20 µg

Secondary

All lanes:

Western blot - Goat Anti-Rabbit IgG H&L (HRP) (<a href='/en-us/products/secondary-antibodies/goat-rabbit-igg-h-l-hrp-ab97051'>ab97051</a>) at 1/100000 dilution

Observed band size: 200 kDa

true

Exposure time: 180s

  • Carrier free

    Anti-CUX1+CUX2 antibody [EPR26509-154] - BSA and Azide free

Key facts

Host species

Rabbit

Clonality

Monoclonal

Clone number

EPR26509-154

Isotype

IgG

Carrier free

No

Reacts with

Human, Mouse, Rat

Applications

IHC-P, IHC-Fr, WB, Flow Cyt (Intra)

applications

Immunogen

The exact immunogen used to generate this antibody is proprietary information.

Reactivity data

{ "title": "Reactivity Data", "filters": { "stats": ["", "Species", "Dilution Info", "Notes"], "tabs": { "all-applications": {"fullname" : "All Applications", "shortname": "All Applications"}, "IHCP" : {"fullname" : "Immunohistochemistry (Formalin/PFA-fixed paraffin-embedded sections)", "shortname":"IHC-P"}, "WB" : {"fullname" : "Western blot", "shortname":"WB"}, "IHCFr" : {"fullname" : "Immunohistochemistry (Frozen sections)", "shortname":"IHC-Fr"}, "FlowCytIntra" : {"fullname" : "Flow Cytometry (Intracellular)", "shortname":"Flow Cyt (Intra)"}, "ICCIF" : {"fullname" : "Immunocytochemistry/ Immunofluorescence", "shortname":"ICC/IF"} }, "product-promise": { "all": "all", "testedAndGuaranteed": "tested", "guaranteed": "expected", "predicted": "predicted", "notRecommended": "not-recommended" } }, "values": { "Human": { "IHCP-species-checked": "notRecommended", "IHCP-species-dilution-info": "", "IHCP-species-notes": "<p></p>", "WB-species-checked": "testedAndGuaranteed", "WB-species-dilution-info": "1/1000", "WB-species-notes": "<p></p>", "IHCFr-species-checked": "guaranteed", "IHCFr-species-dilution-info": "", "IHCFr-species-notes": "", "FlowCytIntra-species-checked": "guaranteed", "FlowCytIntra-species-dilution-info": "", "FlowCytIntra-species-notes": "", "ICCIF-species-checked": "notRecommended", "ICCIF-species-dilution-info": "", "ICCIF-species-notes": "" }, "Mouse": { "IHCP-species-checked": "testedAndGuaranteed", "IHCP-species-dilution-info": "1/500", "IHCP-species-notes": "<p></p> Perform heat-mediated antigen retrieval with Tris/EDTA buffer pH 9.0 before commencing with IHC staining protocol.", "WB-species-checked": "testedAndGuaranteed", "WB-species-dilution-info": "1/1000", "WB-species-notes": "<p></p>", "IHCFr-species-checked": "testedAndGuaranteed", "IHCFr-species-dilution-info": "1/50", "IHCFr-species-notes": "<p></p>", "FlowCytIntra-species-checked": "testedAndGuaranteed", "FlowCytIntra-species-dilution-info": "1/50", "FlowCytIntra-species-notes": "<p></p>", "ICCIF-species-checked": "notRecommended", "ICCIF-species-dilution-info": "", "ICCIF-species-notes": "<p></p>" }, "Rat": { "IHCP-species-checked": "testedAndGuaranteed", "IHCP-species-dilution-info": "1/500", "IHCP-species-notes": "<p></p> Perform heat-mediated antigen retrieval with Tris/EDTA buffer pH 9.0 before commencing with IHC staining protocol.", "WB-species-checked": "testedAndGuaranteed", "WB-species-dilution-info": "1/1000", "WB-species-notes": "<p></p>", "IHCFr-species-checked": "testedAndGuaranteed", "IHCFr-species-dilution-info": "1/50", "IHCFr-species-notes": "<p></p>", "FlowCytIntra-species-checked": "notRecommended", "FlowCytIntra-species-dilution-info": "", "FlowCytIntra-species-notes": "<p></p>", "ICCIF-species-checked": "notRecommended", "ICCIF-species-dilution-info": "", "ICCIF-species-notes": "<p></p>" }, "Transfected cell line - Mouse": { "IHCP-species-checked": "testedAndGuaranteed", "IHCP-species-dilution-info": "1/8000", "IHCP-species-notes": "<p></p> Perform heat-mediated antigen retrieval with Tris/EDTA buffer pH 9.0 before commencing with IHC staining protocol.", "WB-species-checked": "notRecommended", "WB-species-dilution-info": "", "WB-species-notes": "", "IHCFr-species-checked": "notRecommended", "IHCFr-species-dilution-info": "", "IHCFr-species-notes": "", "FlowCytIntra-species-checked": "notRecommended", "FlowCytIntra-species-dilution-info": "", "FlowCytIntra-species-notes": "", "ICCIF-species-checked": "notRecommended", "ICCIF-species-dilution-info": "", "ICCIF-species-notes": "" }, "Transfected cell lysate - Human": { "IHCP-species-checked": "notRecommended", "IHCP-species-dilution-info": "", "IHCP-species-notes": "", "WB-species-checked": "testedAndGuaranteed", "WB-species-dilution-info": "1/1000", "WB-species-notes": "<p></p>", "IHCFr-species-checked": "notRecommended", "IHCFr-species-dilution-info": "", "IHCFr-species-notes": "", "FlowCytIntra-species-checked": "notRecommended", "FlowCytIntra-species-dilution-info": "", "FlowCytIntra-species-notes": "", "ICCIF-species-checked": "notRecommended", "ICCIF-species-dilution-info": "", "ICCIF-species-notes": "" } } }

Product details

Patented technology
Our RabMAb® technology is a patented hybridoma-based technology for making rabbit monoclonal antibodies. For details on our patents, please refer to RabMAb® patents.

What are the advantages of a recombinant monoclonal antibody?
This product is a recombinant monoclonal antibody, which offers several advantages including:

  • - High batch-to-batch consistency and reproducibility
  • - Improved sensitivity and specificity
  • - Long-term security of supply
  • - Animal-free batch production

For more information, read more on recombinant antibodies.

Properties and storage information

Form
Liquid
Purification technique
Affinity purification Protein A
Storage buffer
pH: 7.2 - 7.4 Preservative: 0.01% Sodium azide Constituents: PBS, 40% Glycerol (glycerin, glycerine), 0.05% BSA
Shipped at conditions
Blue Ice
Appropriate short-term storage duration
1-2 weeks
Appropriate short-term storage conditions
+4°C
Appropriate long-term storage conditions
-20°C
Aliquoting information
Upon delivery aliquot
Storage information
Avoid freeze / thaw cycle

Product protocols

For this product, it's our understanding that no specific protocols are required. You can visit:

Target data

Transcription factor involved in the control of neuronal proliferation and differentiation in the brain (PubMed : 18033766, PubMed : 20510857). Regulates dendrite development and branching, dendritic spine formation, and synaptogenesis in cortical layers II-III (PubMed : 20510857). Binds to DNA in a sequence-specific manner.
See full target information Cux2

Additional targets

CUX1

Publications (3)

Recent publications for all applications. Explore the full list and refine your search

Frontiers in neuroscience 19:1546397 PubMed40370659

2025

Laminar organization of the anterior olfactory nucleus-the interplay between neurogenesis timing and neuroblast migration.

Applications

Unspecified application

Species

Unspecified reactive species

Eduardo Martin-Lopez,Bowen Brennan,Marion Lefèvre,Natalie J Spence,Kimberly Han,Charles A Greer

Glia 72:1663-1673 PubMed38924630

2024

Neuroinflammatory reactive astrocyte formation correlates with adverse outcomes in perinatal white matter injury.

Applications

Unspecified application

Species

Unspecified reactive species

Patricia Renz,Marel Steinfort,Valérie Haesler,Vera Tscherrig,Eric J Huang,Manideep Chavali,Shane Liddelow,David H Rowitch,Daniel Surbek,Andreina Schoeberlein,Amanda Brosius Lutz

BMC nephrology 25:192 PubMed38849771

2024

CUX1 attenuates the apoptosis of renal tubular epithelial cells induced by contrast media through activating the PI3K/AKT signaling pathway.

Applications

Unspecified application

Species

Unspecified reactive species

Rong-Zheng Yue,Jing Wang,Feng Lin,Cong-Jun Li,Bai-Hai Su,Rui Zeng
View all publications

Product promise

We are committed to supporting your work with high-quality reagents, and we're here for you every step of the way. In the unlikely event that one of our products does not perform as expected, you're protected by our Product Promise.
For full details, please see our Terms & Conditions

Please note: All products are 'FOR RESEARCH USE ONLY. NOT FOR USE IN DIAGNOSTIC OR THERAPEUTIC PROCEDURES'.

For licensing inquiries, please contact partnerships@abcam.com