JavaScript is disabled in your browser. Please enable JavaScript to view this website.
AB308613

Anti-CX3CR1 antibody [EPR24267-2]

  • BOND RX™ Validated
  • 20ul selling size
  • RabMAb
  • Recombinant
  • KO Validated
  • What is this?

Be the first to review this product! Submit a review

|

(0 Publication)

Anti-CX3CR1 antibody [EPR24267-2] (ab308613) is a rabbit monoclonal antibody detecting CX3CR1 in Western Blot, IP, IHC-P. Suitable for Mouse, Rat.

- Biophysical QC for unrivalled batch-batch consistency

View Alternative Names

CMKBRL1, GPR13, CX3CR1, CX3C chemokine receptor 1, C-X3-C CKR-1, Beta chemokine receptor-like 1, Fractalkine receptor, G-protein coupled receptor 13, V28, CMK-BRL-1, CMK-BRL1

8 Images
Immunohistochemistry (Formalin/PFA-fixed paraffin-embedded sections) - Anti-CX3CR1 antibody [EPR24267-2] (AB308613)
  • IHC-P

Supplier Data

Immunohistochemistry (Formalin/PFA-fixed paraffin-embedded sections) - Anti-CX3CR1 antibody [EPR24267-2] (AB308613)

Immunohistochemical analysis of paraffin-embedded Mouse skeletal muscl tissue labelling CX3CR1 with ab308613 at 1/1000 (0.479 ug/ml) followed by a ready to use LeicaDS9800 (Bond™ Polymer Refine Detection). Negative control : no staining on mouse skeletal muscle. The section was incubated with ab308613 for 30 mins at room temperature. The immunostaining was performed on a Leica Biosystems BOND® RX instrumentIncubate slides with 3% Hydrogen Peroxide for 10 mins at room temperature after secondary antibody incubation to reduce the background Counterstained with Hematoxylin. Secondary antibody only control : Secondary antibody is a ready to use LeicaDS9800 (Bond™ Polymer Refine Detection). Heat mediated antigen retrieval was performed with Citrate buffer (pH 6.0, Epitope Retrieval Solution 1) for 20 mins

Immunohistochemistry (Formalin/PFA-fixed paraffin-embedded sections) - Anti-CX3CR1 antibody [EPR24267-2] (AB308613)
  • IHC-P

Supplier Data

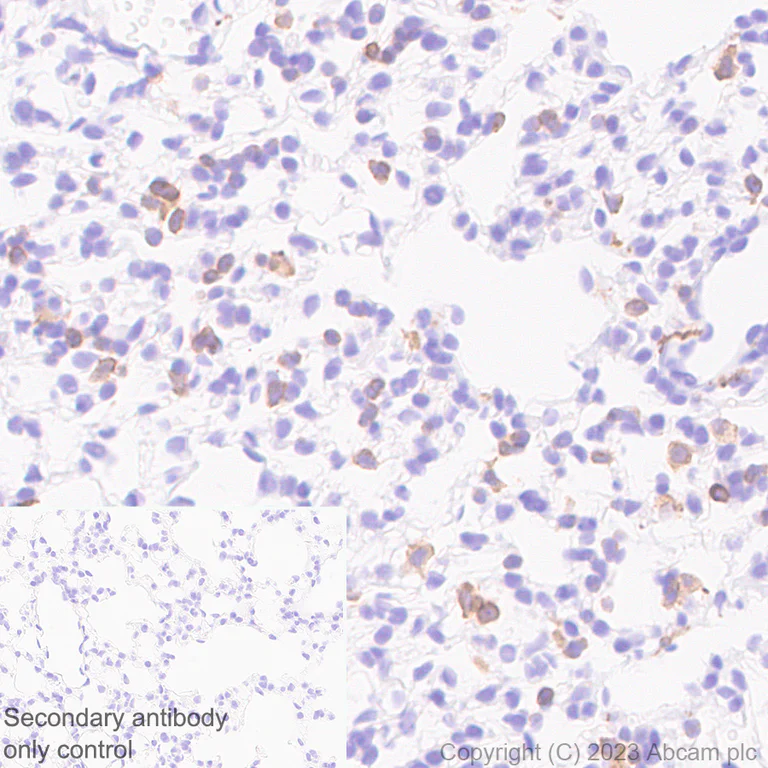
Immunohistochemistry (Formalin/PFA-fixed paraffin-embedded sections) - Anti-CX3CR1 antibody [EPR24267-2] (AB308613)

Immunohistochemical analysis of paraffin-embedded Mouse lung tissue labelling CX3CR1 with ab308613 at 1/1000 (0.479 ug/ml) followed by a ready to use LeicaDS9800 (Bond™ Polymer Refine Detection). Positive staining on immune cells of mouse lung. The section was incubated with ab308613 for 30 mins at room temperature. The immunostaining was performed on a Leica Biosystems BOND® RX instrumentIncubate slides with 3% Hydrogen Peroxide for 10 mins at room temperature after secondary antibody incubation to reduce the background Counterstained with Hematoxylin. Secondary antibody only control : Secondary antibody is a ready to use LeicaDS9800 (Bond™ Polymer Refine Detection). Heat mediated antigen retrieval was performed with Citrate buffer (pH 6.0, Epitope Retrieval Solution 1) for 20 mins

Immunohistochemistry (Formalin/PFA-fixed paraffin-embedded sections) - Anti-CX3CR1 antibody [EPR24267-2] (AB308613)
  • IHC-P

Supplier Data

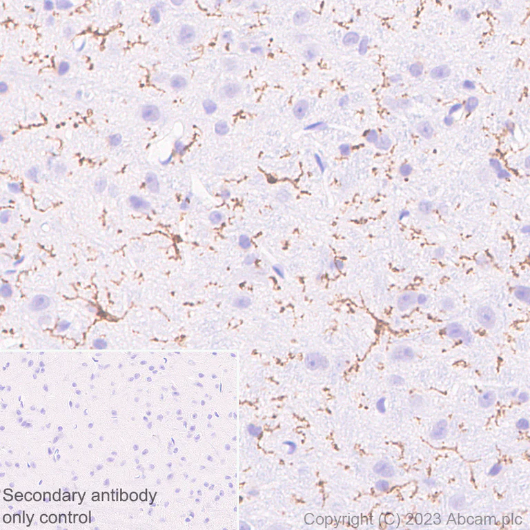
Immunohistochemistry (Formalin/PFA-fixed paraffin-embedded sections) - Anti-CX3CR1 antibody [EPR24267-2] (AB308613)

Immunohistochemical analysis of paraffin-embedded Mouse cerebrum tissue labelling CX3CR1 with ab308613 at 1/1000 (0.479 ug/ml) followed by a ready to use LeicaDS9800 (Bond™ Polymer Refine Detection). Positive staining on microglial cells of mouse cerebrum. The section was incubated with ab308613 for 30 mins at room temperature. The immunostaining was performed on a Leica Biosystems BOND® RX instrumentIncubate slides with 3% Hydrogen Peroxide for 10 mins at room temperature after secondary antibody incubation to reduce the background Counterstained with Hematoxylin. Secondary antibody only control : Secondary antibody is a ready to use LeicaDS9800 (Bond™ Polymer Refine Detection). Heat mediated antigen retrieval was performed with Citrate buffer (pH 6.0, Epitope Retrieval Solution 1) for 20 mins

Immunohistochemistry (Formalin/PFA-fixed paraffin-embedded sections) - Anti-CX3CR1 antibody [EPR24267-2] (AB308613)
  • IHC-P

Supplier Data

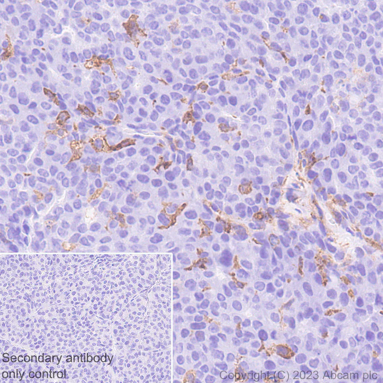
Immunohistochemistry (Formalin/PFA-fixed paraffin-embedded sections) - Anti-CX3CR1 antibody [EPR24267-2] (AB308613)

Immunohistochemical analysis of paraffin-embedded Mouse breast cancer tissue labelling CX3CR1 with ab308613 at 1/1000 (0.479 ug/ml) followed by a ready to use LeicaDS9800 (Bond™ Polymer Refine Detection). Positive staining on immune cells of mouse breast cancer. The section was incubated with ab308613 for 30 mins at room temperature. The immunostaining was performed on a Leica Biosystems BOND® RX instrumentIncubate slides with 3% Hydrogen Peroxide for 10 mins at room temperature after secondary antibody incubation to reduce the background Counterstained with Hematoxylin. Secondary antibody only control : Secondary antibody is a ready to use LeicaDS9800 (Bond™ Polymer Refine Detection). Heat mediated antigen retrieval was performed with Citrate buffer (pH 6.0, Epitope Retrieval Solution 1) for 20 mins

Immunohistochemistry (Formalin/PFA-fixed paraffin-embedded sections) - Anti-CX3CR1 antibody [EPR24267-2] (AB308613)
  • IHC-P

Lab

Immunohistochemistry (Formalin/PFA-fixed paraffin-embedded sections) - Anti-CX3CR1 antibody [EPR24267-2] (AB308613)

Immunohistochemical analysis of paraffin-embedded (A) Cerebrum tissue from wild-type C57BL/6J mice and (B) Cerebrum tissue from Cx3cr1 knockout mice tissue labeling CX3CR1 with ab308613 at 1/2000 dilution.

Positive staining on (A) Cerebrum tissue from wild-type C57BL/6J mice, and no staining on (B) Cerebrum tissue from Cx3cr1 knockout mice.

The primary antibody was incubated for 30 mins at room temperature. Incubate slides with 3% Hydrogen Peroxide for 10 mins at room temperature after secondary antibody incubation to reduce the background.

The immunostaining was performed on a Leica Biosystems BOND® RX instrument.

Counterstained with Hematoxylin.

Heat mediated antigen retrieval was performed with Citrate buffer (pH 6.0, Epitope Retrieval Solution 1) for 20 mins.

The tissue samples were kindly provided by GemPharmatech. C57BL/6JGpt wildtype mice and Cx3cr1-KO homozygous mice (Strain ID : T006121).

Immunoprecipitation - Anti-CX3CR1 antibody [EPR24267-2] (AB308613)
  • IP

Supplier Data

Immunoprecipitation - Anti-CX3CR1 antibody [EPR24267-2] (AB308613)

CX3CR1 was immunoprecipitated from 0.35 mg Mouse spinal cord tissue lysate with ab308613 at 1/30 dilution (2ug in 0.35mg lysates). Western blot was performed on the immunoprecipitate using ab308613 at 1/1000 dilution. VeriBlot for IP secondary antibody(HRP)(ab131366) was used at 1/5000 dilution. Lane 1 : Mouse spinal cord tissue lysate Lane 2 : abAB308613 IP in Mouse spinal cord tissue lysate Lane 3 : Rabbit monoclonal IgG (ab172730) instead of ab308613 in Mouse spinal cord tissue lysate Blocking and dilution buffer and concentration : 5% NFDM/TBST. Exposure time : 41 seconds Input is non-boiled as boiling may cause protein aggregates.

All lanes:

Immunoprecipitation - Anti-CX3CR1 antibody [EPR24267-2] (ab308613) at 1/30 dilution

All lanes:

Mouse spinal cord tissue lysate at 10 µg

Secondary

All lanes:

Immunoprecipitation - VeriBlot for IP Detection Reagent (HRP) (<a href='/en-us/products/reagents/veriblot-for-ip-detection-reagent-hrp-ab131366'>ab131366</a>) at 1/5000 dilution

Observed band size: 36 kDa

false

Exposure time: 41s

Western blot - Anti-CX3CR1 antibody [EPR24267-2] (AB308613)
  • WB

Supplier Data

Western blot - Anti-CX3CR1 antibody [EPR24267-2] (AB308613)

Blocking and diluting buffer and concentration : 5% NFDM/TBST. Negative control : Skeletal muscle (PMID : 12881312). Lanes 4-5 of the blot were freshly made and used for Western blotting immediately to minimize protein degradation. Samples are non-boiled as boiling may cause protein aggregation. In Western blot, anti-GAPDH antibody (ab181602) loading control staining at 1/200000 dilution. Exposure time : 180 seconds

All lanes:

Western blot - Anti-CX3CR1 antibody [EPR24267-2] (ab308613) at 1/1000 dilution

Lanes 1 and 4:

Mouse brain tissue lysate at 20 µg

Lane 2:

Mouse spinal cord tissue lysate at 20 µg

Lane 3:

Mouse skeletal muscle tissue lysate at 20 µg

Lane 5:

Rat brain tissue lysate at 20 µg

Secondary

All lanes:

Western blot - Goat Anti-Rabbit IgG H&L (HRP) (<a href='/en-us/products/secondary-antibodies/goat-rabbit-igg-h-l-hrp-ab97051'>ab97051</a>) at 1/100000 dilution

Predicted band size: 40 kDa

Observed band size: 36 kDa

false

Exposure time: 180s

Western blot - Anti-CX3CR1 antibody [EPR24267-2] (AB308613)
  • WB

Lab

Western blot - Anti-CX3CR1 antibody [EPR24267-2] (AB308613)

Blocking and diluting buffer and concentration : 5% NFDM/TBST.

In Western blot, Anti-GAPDH antibody [EPR16891] - Loading Control (ab181602) staining at 1/200000 dilution.

Samples are non-boiled as boiling may cause protein aggregation. The tissue samples were kindly provided by GemPharmatech. C57BL/6JGpt wildtype mice and Cx3cr1-KO homozygous mice (Strain ID : T006121).

All lanes:

Western blot - Anti-CX3CR1 antibody [EPR24267-2] (ab308613) at 1/1000 dilution

Lane 1:

Wild-type mouse brain tissue lysate (male) at 20 µg

Lane 2:

Cx3cr1 knockout mouse brain tissue lysate (male case1) at 20 µg

Lane 3:

Cx3cr1 knockout mouse brain tissue lysate (male case2) at 20 µg

Secondary

All lanes:

Western blot - Goat Anti-Rabbit IgG H&L (HRP) (<a href='/en-us/products/secondary-antibodies/goat-rabbit-igg-h-l-hrp-ab97051'>ab97051</a>) at 1/100000 dilution

Observed band size: 36 kDa

false

Exposure time: 180s

  • Carrier free

    Anti-CX3CR1 antibody [EPR24267-2] - BSA and Azide free

  • 565 Alexa Fluor® 555

    Alexa Fluor® 555 Anti-CX3CR1 antibody [EPR24267-2]

  • 578 PE

    PE Anti-CX3CR1 antibody [EPR24267-2]

  • 665 Alexa Fluor® 647

    Alexa Fluor® 647 Anti-CX3CR1 antibody [EPR24267-2]

  • 519 Alexa Fluor® 488

    Alexa Fluor® 488 Anti-CX3CR1 antibody [EPR24267-2]

  • 617 Alexa Fluor® 594

    Alexa Fluor® 594 Anti-CX3CR1 antibody [EPR24267-2]

  • 660 APC

    APC Anti-CX3CR1 antibody [EPR24267-2]

  • 775 Alexa Fluor® 750

    Alexa Fluor® 750 Anti-CX3CR1 antibody [EPR24267-2]

Key facts

Host species

Rabbit

Clonality

Monoclonal

Clone number

EPR24267-2

Isotype

IgG

Carrier free

No

Reacts with

Mouse, Rat

Applications

IHC-P, WB, IP

applications

Immunogen

The exact immunogen used to generate this antibody is proprietary information.

Reactivity data

{ "title": "Reactivity Data", "filters": { "stats": ["", "Species", "Dilution Info", "Notes"], "tabs": { "all-applications": {"fullname" : "All Applications", "shortname": "All Applications"}, "WB" : {"fullname" : "Western blot", "shortname":"WB"}, "IHCP" : {"fullname" : "Immunohistochemistry (Formalin/PFA-fixed paraffin-embedded sections)", "shortname":"IHC-P"}, "IP" : {"fullname" : "Immunoprecipitation", "shortname":"IP"}, "ICCIF" : {"fullname" : "Immunocytochemistry/ Immunofluorescence", "shortname":"ICC/IF"}, "FlowCytIntra" : {"fullname" : "Flow Cytometry (Intracellular)", "shortname":"Flow Cyt (Intra)"} }, "product-promise": { "all": "all", "testedAndGuaranteed": "tested", "guaranteed": "expected", "predicted": "predicted", "notRecommended": "not-recommended" } }, "values": { "Human": { "WB-species-checked": "notRecommended", "WB-species-dilution-info": "", "WB-species-notes": "<p></p>", "IHCP-species-checked": "notRecommended", "IHCP-species-dilution-info": "", "IHCP-species-notes": "<p></p>", "IP-species-checked": "notRecommended", "IP-species-dilution-info": "", "IP-species-notes": "", "ICCIF-species-checked": "notRecommended", "ICCIF-species-dilution-info": "", "ICCIF-species-notes": "", "FlowCytIntra-species-checked": "notRecommended", "FlowCytIntra-species-dilution-info": "", "FlowCytIntra-species-notes": "" }, "Mouse": { "WB-species-checked": "testedAndGuaranteed", "WB-species-dilution-info": "1/1000", "WB-species-notes": "<p></p>", "IHCP-species-checked": "testedAndGuaranteed", "IHCP-species-dilution-info": "1/1000 - 1/2000", "IHCP-species-notes": "<p>Not recommended for use with fluorescent secondary antibodies in IHC-P application.</p> Perform heat-mediated antigen retrieval with citrate buffer pH 6 before commencing with IHC staining protocol.", "IP-species-checked": "testedAndGuaranteed", "IP-species-dilution-info": "1/30", "IP-species-notes": "<p></p>", "ICCIF-species-checked": "notRecommended", "ICCIF-species-dilution-info": "", "ICCIF-species-notes": "<p></p>", "FlowCytIntra-species-checked": "notRecommended", "FlowCytIntra-species-dilution-info": "", "FlowCytIntra-species-notes": "<p></p>" }, "Rat": { "WB-species-checked": "testedAndGuaranteed", "WB-species-dilution-info": "1/1000", "WB-species-notes": "<p></p>", "IHCP-species-checked": "notRecommended", "IHCP-species-dilution-info": "", "IHCP-species-notes": "<p></p>", "IP-species-checked": "guaranteed", "IP-species-dilution-info": "", "IP-species-notes": "", "ICCIF-species-checked": "notRecommended", "ICCIF-species-dilution-info": "", "ICCIF-species-notes": "", "FlowCytIntra-species-checked": "notRecommended", "FlowCytIntra-species-dilution-info": "", "FlowCytIntra-species-notes": "" } } }

Product details

What is this antibody validated in?
Anti-CX3CR1 antibody [EPR24267-2] (ab308613) is a rabbit recombinant monoclonal antibody and is validated for use in Western Blot (WB), Immunoprecipitation (IP), Immunohistochemistry (IHC-P) in Mouse, Rat samples.

What is the molecular weight of CX3CR1?
Anti-CX3CR1 [EPR24267-2] (ab308613) specifically detects a band for CX3CR1 (UniProt: Q9Z0D9) at a molecular weight of 40kDa.

Trial sizes available!
Test your antibody or perform pre-screening before committing to a larger quantity. Sold in 10µl. Discover our selection of trial-size antibodies.

Other related products
We have a range of other formats of antibody clone [EPR24267-2] also available for your convenience: ab308613, Carrier free - ab308614, PE - ab318397, APC - ab318500, Alexa Fluor® 488 - ab318603, Alexa Fluor® 647 - ab318706, Alexa Fluor® 594 - ab318809, Alexa Fluor® 555 - ab318909, Alexa Fluor® 750 - ab321555

Patented technology
Our RabMAb® technology is a patented hybridoma-based technology for making rabbit monoclonal antibodies. For details on our patents, please refer to RabMAb® patents.

What are the advantages of a recombinant monoclonal antibody?
This product is a recombinant monoclonal antibody, which offers several advantages including:

  • - High batch-to-batch consistency and reproducibility
  • - Improved sensitivity and specificity
  • - Long-term security of supply
  • - Animal-free batch production

For more information, read more on recombinant antibodies.

Properties and storage information

Form
Liquid
Purification technique
Affinity purification Protein A
Storage buffer
pH: 7.2 - 7.4 Preservative: 0.01% Sodium azide Constituents: PBS, 40% Glycerol (glycerin, glycerine), 0.05% BSA
Shipped at conditions
Blue Ice
Appropriate short-term storage duration
1-2 weeks
Appropriate short-term storage conditions
+4°C
Appropriate long-term storage conditions
-20°C
Aliquoting information
Upon delivery aliquot
Storage information
Avoid freeze / thaw cycle

Supplementary information

This supplementary information is collated from multiple sources and compiled automatically.

CX3CR1 also known as fractalkine receptor is a seven-transmembrane G protein-coupled receptor. It has a molecular weight of about 40 kDa. This receptor is expressed in various tissues particularly on immune cells like monocytes natural killer cells T cells and microglia. CX3CR1 binds to its ligand CX3CL1 or fractalkine which is a chemokine involved in directing cell movement. The receptor-ligand interaction is critical for the adhesion and migration of leukocytes to inflammatory sites.
Biological function summary

CX3CR1 plays a significant role in immune regulation and cellular migration. It is not part of a larger protein complex but interacts directly with monocyte and microglia cells influencing their activity. CX3CR1 is recognized as a marker for microglia in flow cytometry applications assisting in the identification of these brain-resident immune cells. The receptor is frequently studied using monoclonal antibodies like anti-CX3CR1 and is subject to inhibition by CX3CR1 antagonists such as 8e10 affecting its function in immune responses.

Pathways

CX3CR1 involves itself heavily in the chemokine signaling pathway and the inflammatory response pathway. Its interaction with CX3CL1 influences the PI3K-Akt signaling pathway modulating cell survival and proliferation. The receptor works in conjunction with CCR2 in monocyte navigation impacting the inflammatory cascade during immune response. Their coordinated action is important for cellular trafficking to sites requiring immune intervention.

CX3CR1 has associations with neurodegenerative diseases such as Alzheimer's disease as well as with atherosclerosis. Changes in its expression and function can exacerbate these conditions. In Alzheimer's disease microglial CX3CR1 may mediate neuroinflammatory processes affecting plaque buildup. In atherosclerosis the receptor is involved in monocyte recruitment to plaques influenced by the related protein fractalkine. Understanding these relationships provides insights into potential therapeutic targets for modulating disease progression.

Product protocols

For this product, it's our understanding that no specific protocols are required. You can visit:

Target data

Receptor for the C-X3-C chemokine fractalkine (CX3CL1) present on many early leukocyte cells; CX3CR1-CX3CL1 signaling exerts distinct functions in different tissue compartments, such as immune response, inflammation, cell adhesion and chemotaxis (PubMed : 12055230, PubMed : 23125415, PubMed : 9390561, PubMed : 9782118). CX3CR1-CX3CL1 signaling mediates cell migratory functions (By similarity). Responsible for the recruitment of natural killer (NK) cells to inflamed tissues (By similarity). Acts as a regulator of inflammation process leading to atherogenesis by mediating macrophage and monocyte recruitment to inflamed atherosclerotic plaques, promoting cell survival (By similarity). Involved in airway inflammation by promoting interleukin 2-producing T helper (Th2) cell survival in inflamed lung (By similarity). Involved in the migration of circulating monocytes to non-inflamed tissues, where they differentiate into macrophages and dendritic cells (By similarity). Acts as a negative regulator of angiogenesis, probably by promoting macrophage chemotaxis (PubMed : 14581400, PubMed : 18971423). Plays a key role in brain microglia by regulating inflammatory response in the central nervous system (CNS) and regulating synapse maturation (By similarity). Required to restrain the microglial inflammatory response in the CNS and the resulting parenchymal damage in response to pathological stimuli (By similarity). Involved in brain development by participating in synaptic pruning, a natural process during which brain microglia eliminates extra synapses during postnatal development (By similarity). Synaptic pruning by microglia is required to promote the maturation of circuit connectivity during brain development (By similarity). Acts as an important regulator of the gut microbiota by controlling immunity to intestinal bacteria and fungi (By similarity). Expressed in lamina propria dendritic cells in the small intestine, which form transepithelial dendrites capable of taking up bacteria in order to provide defense against pathogenic bacteria (By similarity). Required to initiate innate and adaptive immune responses against dissemination of commensal fungi (mycobiota) component of the gut : expressed in mononuclear phagocytes (MNPs) and acts by promoting induction of antifungal IgG antibodies response to confer protection against disseminated C.albicans or C.auris infection (PubMed : 29326275). Also acts as a receptor for C-C motif chemokine CCL26, inducing cell chemotaxis (PubMed : 20974991).. Isoform 1. (Microbial infection) Acts as a coreceptor with CD4 for HIV-1 virus envelope protein.. Isoform 2. (Microbial infection) Acts as a coreceptor with CD4 for HIV-1 virus envelope protein (PubMed : 14607932). May have more potent HIV-1 coreceptothr activity than isoform 1 (PubMed : 14607932).. Isoform 3. (Microbial infection) Acts as a coreceptor with CD4 for HIV-1 virus envelope protein (PubMed : 14607932). May have more potent HIV-1 coreceptor activity than isoform 1 (PubMed : 14607932).
See full target information CX3CR1

Product promise

We are committed to supporting your work with high-quality reagents, and we're here for you every step of the way. In the unlikely event that one of our products does not perform as expected, you're protected by our Product Promise.
For full details, please see our Terms & Conditions

Please note: All products are 'FOR RESEARCH USE ONLY. NOT FOR USE IN DIAGNOSTIC OR THERAPEUTIC PROCEDURES'.

For licensing inquiries, please contact partnerships@abcam.com