JavaScript is disabled in your browser. Please enable JavaScript to view this website.
AB213688

Anti-Cx40/GJA5 antibody

Be the first to review this product! Submit a review

|

(10 Publications)

Rabbit Polyclonal Cx40/GJA5 antibody. Suitable for IHC-P and reacts with Rat, Human samples. Cited in 10 publications. Immunogen corresponding to Synthetic Peptide within Human GJA5 aa 300 to C-terminus conjugated to Keyhole Limpet Haemocyanin.

View Alternative Names

Gap junction alpha-5 protein, Connexin-40, Cx40, GJA5

2 Images
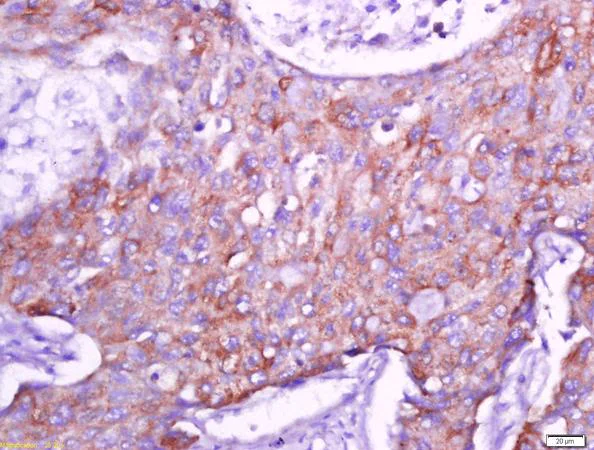
Immunohistochemistry (Formalin/PFA-fixed paraffin-embedded sections) - Anti-Cx40/GJA5 antibody (AB213688)
  • IHC-P

Supplier Data

Immunohistochemistry (Formalin/PFA-fixed paraffin-embedded sections) - Anti-Cx40/GJA5 antibody (AB213688)

IImmunohistochemical analysis of formalin-fixed, paraffin-embedded Human lung carcinoma tissue labeling Cx40/GJA5 with ab213688 at 1/200 dilution followed by a conjugated secondary antibody and DAB staining.

Immunohistochemistry (Formalin/PFA-fixed paraffin-embedded sections) - Anti-Cx40/GJA5 antibody (AB213688)
  • IHC-P

Supplier Data

Immunohistochemistry (Formalin/PFA-fixed paraffin-embedded sections) - Anti-Cx40/GJA5 antibody (AB213688)

Immunohistochemical analysis of formalin-fixed, paraffin-embedded Rat myocardium tissue labeling Cx40/GJA5 with ab213688 at 1/200 dilution, followed by conjugation to a secondary antibody and DAB staining.

Key facts

Host species

Rabbit

Clonality

Polyclonal

Isotype

IgG

Carrier free

No

Reacts with

Rat, Human

Applications

IHC-P

applications

Immunogen

Synthetic Peptide within Human GJA5 aa 300 to C-terminus conjugated to Keyhole Limpet Haemocyanin. The exact immunogen used to generate this antibody is proprietary information.

P36382

Reactivity data

{ "title": "Reactivity Data", "filters": { "stats": ["", "Species", "Dilution Info", "Notes"], "tabs": { "all-applications": {"fullname" : "All Applications", "shortname": "All Applications"}, "IHCP" : {"fullname" : "Immunohistochemistry (Formalin/PFA-fixed paraffin-embedded sections)", "shortname":"IHC-P"} }, "product-promise": { "all": "all", "testedAndGuaranteed": "tested", "guaranteed": "expected", "predicted": "predicted", "notRecommended": "not-recommended" } }, "values": { "Human": { "IHCP-species-checked": "testedAndGuaranteed", "IHCP-species-dilution-info": "1/200 - 1/400", "IHCP-species-notes": "<p></p> Perform heat-mediated antigen retrieval with citrate buffer pH 6 before commencing with IHC staining protocol." }, "Mouse": { "IHCP-species-checked": "predicted", "IHCP-species-dilution-info": "", "IHCP-species-notes": "" }, "Rat": { "IHCP-species-checked": "testedAndGuaranteed", "IHCP-species-dilution-info": "1/200 - 1/400", "IHCP-species-notes": "<p></p> Perform heat-mediated antigen retrieval with citrate buffer pH 6 before commencing with IHC staining protocol." }, "Dog": { "IHCP-species-checked": "predicted", "IHCP-species-dilution-info": "", "IHCP-species-notes": "" } } }

Properties and storage information

Form
Liquid
Purification technique
Affinity purification Protein A
Storage buffer
pH: 7.4 Preservative: 0.02% Proclin 300 Constituents: 50% Glycerol (glycerin, glycerine), 48.98% TBS, 1X, 1% BSA
Shipped at conditions
Blue Ice
Appropriate short-term storage duration
1-2 weeks
Appropriate short-term storage conditions
+4°C
Appropriate long-term storage conditions
-20°C
Aliquoting information
Upon delivery aliquot
Storage information
Avoid freeze / thaw cycle

Product protocols

For this product, it's our understanding that no specific protocols are required. You can visit:

Target data

One gap junction consists of a cluster of closely packed pairs of transmembrane channels, the connexons, through which materials of low MW diffuse from one cell to a neighboring cell.
See full target information GJA5

Publications (10)

Recent publications for all applications. Explore the full list and refine your search

Genes 14: PubMed36833374

2023

Expression of Connexins 37, 40 and 45, Pannexin 1 and Vimentin in Laryngeal Squamous Cell Carcinomas.

Applications

Unspecified application

Species

Unspecified reactive species

Ivan Mizdrak,Maja Mizdrak,Anita Racetin,Braco Bošković,Benjamin Benzon,Merica Glavina Durdov,Katarina Vukojević,Natalija Filipović

International journal of molecular sciences 23: PubMed35682927

2022

A Lack of GD3 Synthase Leads to Impaired Renal Expression of Connexins and Pannexin1 in Knockout Mice.

Applications

Unspecified application

Species

Unspecified reactive species

Diana Meter,Anita Racetin,Katarina Vukojević,Marta Balog,Vedrana Ivić,Milorad Zjalić,Marija Heffer,Natalija Filipović

International journal of molecular sciences 23: PubMed35682601

2022

The Expression of Connexin 37, 40, 43, 45 and Pannexin 1 in the Early Human Retina and Choroid Development and Tumorigenesis.

Applications

Unspecified application

Species

Unspecified reactive species

Matea Žužul,Mirela Lozić,Natalija Filipović,Samir Čanović,Ana Didović Pavičić,Joško Petričević,Nenad Kunac,Violeta Šoljić,Mirna Saraga-Babić,Suzana Konjevoda,Katarina Vukojevic

Biomedicines 10: PubMed35327391

2022

The Interplay of Cx26, Cx32, Cx37, Cx40, Cx43, Cx45, and Panx1 in Inner-Ear Development of Yotari (dab1-/-) Mice and Humans.

Applications

Unspecified application

Species

Unspecified reactive species

Josip Lesko,Pejana Rastović,Josip Mišković,Violeta Šoljić,Vlatka Paštar,Zdenka Zovko,Natalija Filipović,Yu Katsuyama,Mirna Saraga-Babić,Katarina Vukojević

Life (Basel, Switzerland) 11: PubMed34947861

2021

Chronic Stress and Gonadectomy Affect the Expression of Cx37, Cx40 and Cx43 in the Spinal Cord.

Applications

Unspecified application

Species

Unspecified reactive species

Marija Jurić,Marta Balog,Vedrana Ivić,Benjamin Benzon,Anita Racetin,Ivana Bočina,Nives Kević,Suzana Konjevoda,Kálmán F Szűcs,Róbert Gáspár,Marija Heffer,Katarina Vukojević,Sandor G Vari,Natalija Filipović

International journal of molecular sciences 22: PubMed34639052

2021

Connexin Expression Is Altered in Liver Development of () Mice.

Applications

Unspecified application

Species

Unspecified reactive species

Vlatka Paštar,Mirela Lozić,Nela Kelam,Natalija Filipović,Branka Bernard,Yu Katsuyama,Katarina Vukojević

International journal of molecular sciences 22: PubMed33525532

2021

Alteration of Cx37, Cx40, Cx43, Cx45, Panx1, and Renin Expression Patterns in Postnatal Kidneys of Dab1-/- () Mice.

Applications

Unspecified application

Species

Unspecified reactive species

Mirela Lozić,Natalija Filipović,Marija Jurić,Ivona Kosović,Benjamin Benzon,Ivana Šolić,Nela Kelam,Anita Racetin,Koichiro Watanabe,Yu Katsuyama,Masaki Ogata,Mirna Saraga-Babić,Katarina Vukojević

International journal of molecular sciences 21: PubMed33172216

2020

Connexin Signaling in the Juxtaglomerular Apparatus (JGA) of Developing, Postnatal Healthy and Nephrotic Human Kidneys.

Applications

Unspecified application

Species

Unspecified reactive species

Ivona Kosovic,Natalija Filipovic,Benjamin Benzon,Ivana Bocina,Merica Glavina Durdov,Katarina Vukojevic,Marijan Saraga,Mirna Saraga-Babic

Scientific reports 10:8756 PubMed32471989

2020

Spatio-temporal patterning of different connexins in developing and postnatal human kidneys and in nephrotic syndrome of the Finnish type (CNF).

Applications

Unspecified application

Species

Unspecified reactive species

Ivona Kosovic,Natalija Filipovic,Benjamin Benzon,Katarina Vukojevic,Marijan Saraga,Merica Glavina Durdov,Ivana Bocina,Mirna Saraga-Babic

Experimental and therapeutic medicine 16:2960-2968 PubMed30233668

2018

Propofol-induced vasodilation of mesenteric arterioles via BK channel and gap junction.

Applications

Unspecified application

Species

Unspecified reactive species

Hui-Juan Wan,Yang Wang,Jun-Qiang Si,Li Li
View all publications

Product promise

We are committed to supporting your work with high-quality reagents, and we're here for you every step of the way. In the unlikely event that one of our products does not perform as expected, you're protected by our Product Promise.
For full details, please see our Terms & Conditions

Please note: All products are 'FOR RESEARCH USE ONLY. NOT FOR USE IN DIAGNOSTIC OR THERAPEUTIC PROCEDURES'.

For licensing inquiries, please contact partnerships@abcam.com