JavaScript is disabled in your browser. Please enable JavaScript to view this website.
AB313645

Anti-Cx40/GJA5 antibody [EPR28370-62] - BSA and Azide free

Be the first to review this product! Submit a review

|

(0 Publication)

Rabbit Recombinant Monoclonal Cx40/GJA5 antibody. Carrier free. Suitable for WB, IP, IHC-P, IHC-Fr and reacts with Mouse samples.

View Alternative Names

Cxn-40, Gja5, Gap junction alpha-5 protein, Connexin-40, Cx40

10 Images
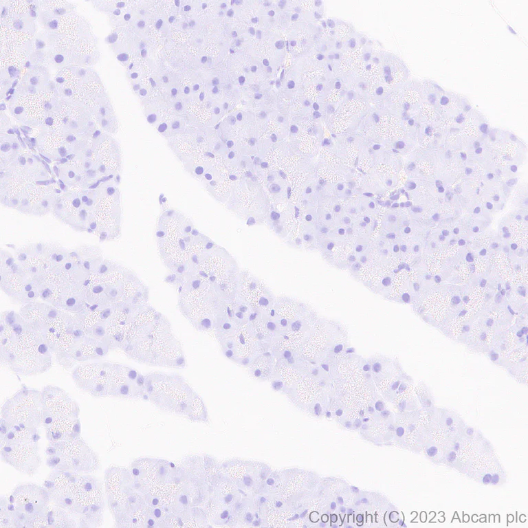
Immunohistochemistry (Formalin/PFA-fixed paraffin-embedded sections) - Anti-Cx40/GJA5 antibody [EPR28370-62] - BSA and Azide free (AB313645)
  • IHC-P

Supplier Data

Immunohistochemistry (Formalin/PFA-fixed paraffin-embedded sections) - Anti-Cx40/GJA5 antibody [EPR28370-62] - BSA and Azide free (AB313645)

This data was developed using ab313644, the same antibody clone in a different buffer formulation. Immunohistochemical analysis of paraffin-embedded Mouse pancreas tissue labeling Cx40/GJA5 with ab313644 at 1/1000 (0.516 ug/ml) followed by a ready to use LeicaDS9800 (Bond™ Polymer Refine Detection). Negative control : no staining on mouse pancreas.The section was incubated with ab313644 for 30 mins at room temperature.The immunostaining was performed on a Leica Biosystems BOND® RX instrument Counterstained with Hematoxylin. Secondary antibody only control : Secondary antibody is a ready to use LeicaDS9800 (Bond™ Polymer Refine Detection). Heat mediated antigen retrieval was performed with Tris-EDTA buffer (pH 9.0, Epitope Retrieval Solution2) for 20 mins

Immunohistochemistry (Frozen sections) - Anti-Cx40/GJA5 antibody [EPR28370-62] - BSA and Azide free (AB313645)
  • IHC-Fr

Supplier Data

Immunohistochemistry (Frozen sections) - Anti-Cx40/GJA5 antibody [EPR28370-62] - BSA and Azide free (AB313645)

This data was developed using ab313644, the same antibody clone in a different buffer formulation. Immunohistochemical analysis of 4% PFA-fixed, 0.2% Triton X-100 permeabilized frozen Mouse colon (fresh) tissue labeling Cx40/GJA5 with ab313644 at 1/50 (10.32 ug/ml) dilution followed by ab150081 Goat Anti-Rabbit IgG H&L (Alexa Fluor® 488) preadsorbed at 1/1000 2 ug/mL dilution (Green). Negative control : confocal image showing no staining on mouse colon. The nuclear counterstain was DAPI (Blue). The section was incubated with ab313644 for 60 mins at room temperature. The section was then mounted using Fluoromount®.The immunostaining was performed on a Leica Biosystems BOND® RX instrument. Image was taken with a confocal microscope (Leica-Microsystems, TCS SP8). is observed. The nuclear counterstain was DAPI (Blue). Secondary antibody control : Secondary antibody is ab150081 Goat Anti-Rabbit IgG H&L (Alexa Fluor® 488) preadsorbedat 1/1000 2 ug/mL dilution.

Immunohistochemistry (Frozen sections) - Anti-Cx40/GJA5 antibody [EPR28370-62] - BSA and Azide free (AB313645)
  • IHC-Fr

Supplier Data

Immunohistochemistry (Frozen sections) - Anti-Cx40/GJA5 antibody [EPR28370-62] - BSA and Azide free (AB313645)

This data was developed using ab313644, the same antibody clone in a different buffer formulation. Immunohistochemical analysis of 4% PFA-fixed, 0.2% Triton X-100 permeabilized frozen Mouse pancreas (fresh) tissue labeling Cx40/GJA5 with ab313644 at 1/50 (10.32 ug/ml) dilution followed by ab150081 Goat Anti-Rabbit IgG H&L (Alexa Fluor® 488) preadsorbed at 1/1000 2 ug/mL dilution (Green). Negative control : confocal image showing no staining on mouse pancreas. The nuclear counterstain was DAPI (Blue). The section was incubated with ab313644 for 60 mins at room temperature. The section was then mounted using Fluoromount®.The immunostaining was performed on a Leica Biosystems BOND® RX instrument. Image was taken with a confocal microscope (Leica-Microsystems, TCS SP8). is observed. The nuclear counterstain was DAPI (Blue). Secondary antibody control : Secondary antibody is ab150081 Goat Anti-Rabbit IgG H&L (Alexa Fluor® 488) preadsorbedat 1/1000 2 ug/mL dilution.

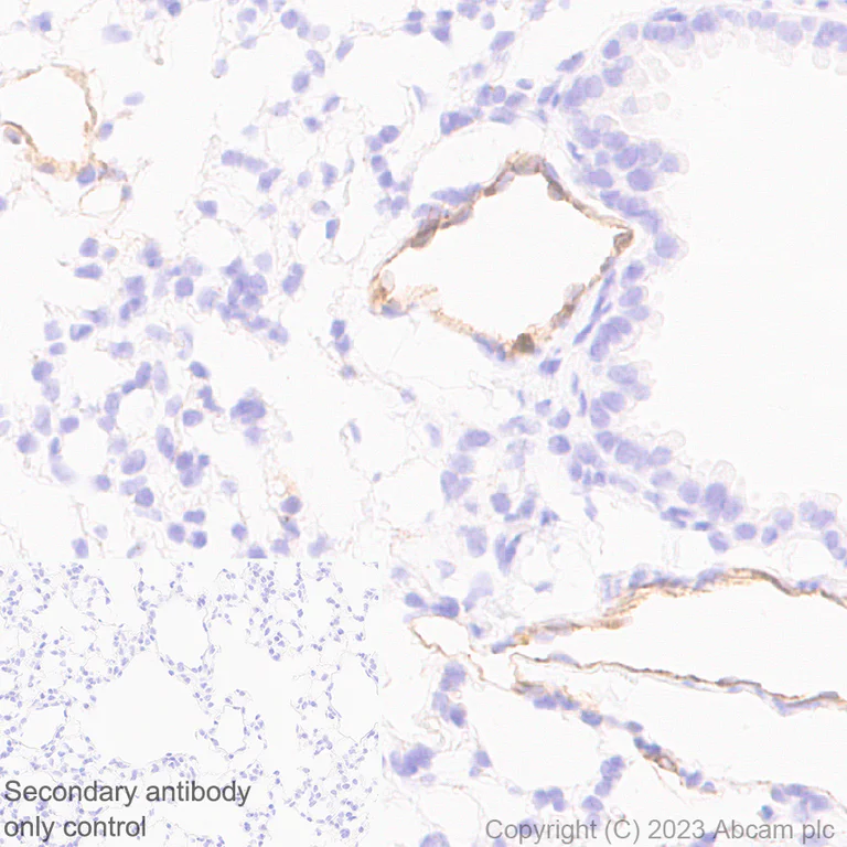
Immunohistochemistry (Formalin/PFA-fixed paraffin-embedded sections) - Anti-Cx40/GJA5 antibody [EPR28370-62] - BSA and Azide free (AB313645)
  • IHC-P

Supplier Data

Immunohistochemistry (Formalin/PFA-fixed paraffin-embedded sections) - Anti-Cx40/GJA5 antibody [EPR28370-62] - BSA and Azide free (AB313645)

This data was developed using ab313644, the same antibody clone in a different buffer formulation. Immunohistochemical analysis of paraffin-embedded Mouse lung tissue labeling Cx40/GJA5 with ab313644 at 1/1000 (0.516 ug/ml) followed by a ready to use LeicaDS9800 (Bond™ Polymer Refine Detection). Positive staining on endothelium of mouse lung (PMID : 17483738).The section was incubated with ab313644 for 30 mins at room temperature.The immunostaining was performed on a Leica Biosystems BOND® RX instrument Counterstained with Hematoxylin. Secondary antibody only control : Secondary antibody is a ready to use LeicaDS9800 (Bond™ Polymer Refine Detection). Heat mediated antigen retrieval was performed with Tris-EDTA buffer (pH 9.0, Epitope Retrieval Solution2) for 20 mins

Immunohistochemistry (Formalin/PFA-fixed paraffin-embedded sections) - Anti-Cx40/GJA5 antibody [EPR28370-62] - BSA and Azide free (AB313645)
  • IHC-P

Supplier Data

Immunohistochemistry (Formalin/PFA-fixed paraffin-embedded sections) - Anti-Cx40/GJA5 antibody [EPR28370-62] - BSA and Azide free (AB313645)

This data was developed using ab313644, the same antibody clone in a different buffer formulation. Immunohistochemical analysis of paraffin-embedded Mouse atrium cardiac tissue labeling Cx40/GJA5 with ab313644 at 1/1000 (0.516 ug/ml) followed by a ready to use LeicaDS9800 (Bond™ Polymer Refine Detection). Positive staining on mouse atrium cardiac muscle (PMID : 30564139, 17122196).The section was incubated with ab313644 for 30 mins at room temperature.The immunostaining was performed on a Leica Biosystems BOND® RX instrument Counterstained with Hematoxylin. Secondary antibody only control : Secondary antibody is a ready to use LeicaDS9800 (Bond™ Polymer Refine Detection). Heat mediated antigen retrieval was performed with Tris-EDTA buffer (pH 9.0, Epitope Retrieval Solution2) for 20 mins

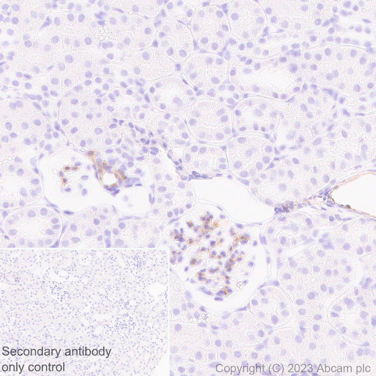
Immunohistochemistry (Formalin/PFA-fixed paraffin-embedded sections) - Anti-Cx40/GJA5 antibody [EPR28370-62] - BSA and Azide free (AB313645)
  • IHC-P

Supplier Data

Immunohistochemistry (Formalin/PFA-fixed paraffin-embedded sections) - Anti-Cx40/GJA5 antibody [EPR28370-62] - BSA and Azide free (AB313645)

This data was developed using ab313644, the same antibody clone in a different buffer formulation. Immunohistochemical analysis of paraffin-embedded Mouse kidney tissue labeling Cx40/GJA5 with ab313644 at 1/1000 (0.516 ug/ml) followed by a ready to use LeicaDS9800 (Bond™ Polymer Refine Detection). Positive staining on mouse kidney juxtaglomerulus (PMID : 29427253).The section was incubated with ab313644 for 30 mins at room temperature.The immunostaining was performed on a Leica Biosystems BOND® RX instrument Counterstained with Hematoxylin. Secondary antibody only control : Secondary antibody is a ready to use LeicaDS9800 (Bond™ Polymer Refine Detection). Heat mediated antigen retrieval was performed with Tris-EDTA buffer (pH 9.0, Epitope Retrieval Solution2) for 20 mins

Immunohistochemistry (Frozen sections) - Anti-Cx40/GJA5 antibody [EPR28370-62] - BSA and Azide free (AB313645)
  • IHC-Fr

Supplier Data

Immunohistochemistry (Frozen sections) - Anti-Cx40/GJA5 antibody [EPR28370-62] - BSA and Azide free (AB313645)

This data was developed using ab313644, the same antibody clone in a different buffer formulation. Immunohistochemical analysis of 4% PFA-fixed, 0.2% Triton X-100 permeabilized frozen Mouse lung (fresh) tissue labeling Cx40/GJA5 with ab313644 at 1/50 (10.32 ug/ml) dilution followed by ab150081 Goat Anti-Rabbit IgG H&L (Alexa Fluor® 488) preadsorbed at 1/1000 2 ug/mL dilution (Green). Confocal image showing positive staining on endothelium of mouse lung. The nuclear counterstain was DAPI (Blue). The section was incubated with ab313644 for 60 mins at room temperature. The section was then mounted using Fluoromount®.The immunostaining was performed on a Leica Biosystems BOND® RX instrument. Image was taken with a confocal microscope (Leica-Microsystems, TCS SP8). is observed. The nuclear counterstain was DAPI (Blue). Secondary antibody control : Secondary antibody is ab150081 Goat Anti-Rabbit IgG H&L (Alexa Fluor® 488) preadsorbedat 1/1000 2 ug/mL dilution.

Immunoprecipitation - Anti-Cx40/GJA5 antibody [EPR28370-62] - BSA and Azide free (AB313645)
  • IP

Supplier Data

Immunoprecipitation - Anti-Cx40/GJA5 antibody [EPR28370-62] - BSA and Azide free (AB313645)

This data was developed using ab313644, the same antibody clone in a different buffer formulation. Cx40/GJA5 was immunoprecipitated from 0.35 mg Mouse lung tissue lysate with ab313644 at 1/30 dilution (2ug in 0.35mg lysates). Western blot was performed on the immunoprecipitate using ab313644 at 1/1000 dilution. VeriBlot for IP secondary antibody(HRP)(ab131366) was used at 1/5000 dilution. Lane 1 : Mouse lung tissue lysate Lane 2 : ab313644 IP in Mouse lung tissue lysate Lane 3 : Rabbit monoclonal IgG (ab172730) instead of ab313644 in mouse lung tissue lysate Blocking and dilution buffer and concentration : 5% NFDM/TBST. Exposure time : 24 seconds

All lanes:

Immunoprecipitation - Anti-Cx40/GJA5 antibody [EPR28370-62] (<a href='/en-us/products/primary-antibodies/cx40-gja5-antibody-epr28370-62-ab313644'>ab313644</a>) at 1/30 dilution

All lanes:

Mouse lung tissue lysate

Secondary

All lanes:

Immunoprecipitation - VeriBlot for IP Detection Reagent (HRP) (<a href='/en-us/products/reagents/veriblot-for-ip-detection-reagent-hrp-ab131366'>ab131366</a>) at 1/1000 dilution

false

Exposure time: 24s

Western blot - Anti-Cx40/GJA5 antibody [EPR28370-62] - BSA and Azide free (AB313645)
  • WB

Supplier Data

Western blot - Anti-Cx40/GJA5 antibody [EPR28370-62] - BSA and Azide free (AB313645)

This data was developed using ab313644, the same antibody clone in a different buffer formulation.

Blocking and diluting buffer and concentration : 5% NFDM/TBST.

Negative control : colon, stomach.

The molecular weight observed is consistent with what has been described in the literature (PMID : 29285063, 19726871).

Samples are non-boiled as boiling may cause protein aggregation.

In Western blot, anti-GAPDH antibody (ab181602) loading control staining at 1/200000 dilution.

Exposure time : Lane 1-3 : 37 seconds; Lane 4 : 10 seconds.

All lanes:

Western blot - Anti-Cx40/GJA5 antibody [EPR28370-62] (<a href='/en-us/products/primary-antibodies/cx40-gja5-antibody-epr28370-62-ab313644'>ab313644</a>) at 1/1000 dilution

Lane 1:

Mouse heart tissue lysate at 20 µg

Lane 2:

Mouse colon tissue lysate at 20 µg

Lane 3:

Mouse stomach tissue lysate at 20 µg

Lane 4:

Mouse lung tissue lysate at 20 µg

Secondary

All lanes:

Western blot - Goat Anti-Rabbit IgG H&L (HRP) (<a href='/en-us/products/secondary-antibodies/goat-rabbit-igg-h-l-hrp-ab97051'>ab97051</a>) at 1/100000 dilution

Observed band size: 40 kDa,36 kDa

false

Western blot - Anti-Cx40/GJA5 antibody [EPR28370-62] - BSA and Azide free (AB313645)
  • WB

Supplier Data

Western blot - Anti-Cx40/GJA5 antibody [EPR28370-62] - BSA and Azide free (AB313645)

This data was developed using ab313644, the same antibody clone in a different buffer formulation.

Blocking and diluting buffer and concentration : 5% NFDM/TBST.

The molecular weight observed is consistent with what has been described in the literature (PMID : 29285063, 19726871).

Samples are non-boiled as boiling may cause protein aggregation.

In Western blot, anti-GAPDH antibody (ab181602) loading control staining at 1/200000 dilution. Anti-Integrin alpha V (ab179475) control staining at 1/5000 dilution.

All lanes:

Western blot - Anti-Cx40/GJA5 antibody [EPR28370-62] (<a href='/en-us/products/primary-antibodies/cx40-gja5-antibody-epr28370-62-ab313644'>ab313644</a>) at 1/1000 dilution

Lane 1:

Mouse lung non-membrane fraction at 20 µg

Lane 2:

Mouse lung membrane fraction at 20 µg

Secondary

All lanes:

Western blot - Goat Anti-Rabbit IgG H&L (HRP) (<a href='/en-us/products/secondary-antibodies/goat-rabbit-igg-h-l-hrp-ab97051'>ab97051</a>) at 1/100000 dilution

Observed band size: 40 kDa,36 kDa

false

Exposure time: 37s

Key facts

Host species

Rabbit

Clonality

Monoclonal

Clone number

EPR28370-62

Isotype

IgG

Carrier free

Yes

Reacts with

Mouse

Applications

WB, IHC-Fr, IP, IHC-P

applications

Immunogen

The exact immunogen used to generate this antibody is proprietary information.

Reactivity data

{ "title": "Reactivity Data", "filters": { "stats": ["", "Species", "Dilution Info", "Notes"], "tabs": { "all-applications": {"fullname" : "All Applications", "shortname": "All Applications"}, "WB" : {"fullname" : "Western blot", "shortname":"WB"}, "IP" : {"fullname" : "Immunoprecipitation", "shortname":"IP"}, "IHCP" : {"fullname" : "Immunohistochemistry (Formalin/PFA-fixed paraffin-embedded sections)", "shortname":"IHC-P"}, "IHCFr" : {"fullname" : "Immunohistochemistry (Frozen sections)", "shortname":"IHC-Fr"}, "FlowCytIntra" : {"fullname" : "Flow Cytometry (Intracellular)", "shortname":"Flow Cyt (Intra)"}, "ICCIF" : {"fullname" : "Immunocytochemistry/ Immunofluorescence", "shortname":"ICC/IF"} }, "product-promise": { "all": "all", "testedAndGuaranteed": "tested", "guaranteed": "expected", "predicted": "predicted", "notRecommended": "not-recommended" } }, "values": { "Human": { "WB-species-checked": "notRecommended", "WB-species-dilution-info": "", "WB-species-notes": "<p></p>", "IP-species-checked": "notRecommended", "IP-species-dilution-info": "", "IP-species-notes": "", "IHCP-species-checked": "notRecommended", "IHCP-species-dilution-info": "", "IHCP-species-notes": "<p></p>", "IHCFr-species-checked": "notRecommended", "IHCFr-species-dilution-info": "", "IHCFr-species-notes": "", "FlowCytIntra-species-checked": "notRecommended", "FlowCytIntra-species-dilution-info": "", "FlowCytIntra-species-notes": "", "ICCIF-species-checked": "notRecommended", "ICCIF-species-dilution-info": "", "ICCIF-species-notes": "" }, "Mouse": { "WB-species-checked": "testedAndGuaranteed", "WB-species-dilution-info": "", "WB-species-notes": "<p></p>", "IP-species-checked": "testedAndGuaranteed", "IP-species-dilution-info": "", "IP-species-notes": "<p></p>", "IHCP-species-checked": "testedAndGuaranteed", "IHCP-species-dilution-info": "", "IHCP-species-notes": "<p></p>", "IHCFr-species-checked": "testedAndGuaranteed", "IHCFr-species-dilution-info": "", "IHCFr-species-notes": "<p></p>", "FlowCytIntra-species-checked": "notRecommended", "FlowCytIntra-species-dilution-info": "", "FlowCytIntra-species-notes": "", "ICCIF-species-checked": "notRecommended", "ICCIF-species-dilution-info": "", "ICCIF-species-notes": "" }, "Rat": { "WB-species-checked": "notRecommended", "WB-species-dilution-info": "", "WB-species-notes": "<p></p>", "IP-species-checked": "notRecommended", "IP-species-dilution-info": "", "IP-species-notes": "<p></p>", "IHCP-species-checked": "notRecommended", "IHCP-species-dilution-info": "", "IHCP-species-notes": "<p></p>", "IHCFr-species-checked": "notRecommended", "IHCFr-species-dilution-info": "", "IHCFr-species-notes": "", "FlowCytIntra-species-checked": "notRecommended", "FlowCytIntra-species-dilution-info": "", "FlowCytIntra-species-notes": "<p></p>", "ICCIF-species-checked": "notRecommended", "ICCIF-species-dilution-info": "", "ICCIF-species-notes": "<p></p>" } } }

Product details

Patented technology
Our RabMAb® technology is a patented hybridoma-based technology for making rabbit monoclonal antibodies. For details on our patents, please refer to RabMAb® patents.

What are the advantages of a recombinant monoclonal antibody?
This product is a recombinant monoclonal antibody, which offers several advantages including:

  • - High batch-to-batch consistency and reproducibility
  • - Improved sensitivity and specificity
  • - Long-term security of supply
  • - Animal-free batch production

For more information, read more on recombinant antibodies.

Conjugation ready
Our carrier-free antibodies are typically supplied in a PBS-only formulation, purified and free of BSA, sodium azide and glycerol. This conjugation-ready format is designed for use with fluorochromes, metal isotopes, oligonucleotides, and enzymes, which makes them ideal for antibody labelling, functional and cell-based assays, flow-based assays (e.g. mass cytometry) and Multiplex Imaging applications.

Use our conjugation kits for antibody conjugates that are ready-to-use in as little as 20 minutes with 1 minute hands-on-time and 100% antibody recovery: available for fluorescent dyes, HRP, biotin and gold.

Compatibility
This product is compatible with the Maxpar® Antibody Labeling Kit from Fluidigm, without the need for antibody preparation. Maxpar® is a trademark of Fluidigm Canada Inc.

Properties and storage information

Form
Liquid
Purification technique
Affinity purification Protein A
Storage buffer
pH: 7.2 - 7.4 Constituents: PBS
Shipped at conditions
Blue Ice
Appropriate short-term storage conditions
+4°C
Appropriate long-term storage conditions
+4°C

Product protocols

For this product, it's our understanding that no specific protocols are required. You can visit:

Target data

One gap junction consists of a cluster of closely packed pairs of transmembrane channels, the connexons, through which materials of low MW diffuse from one cell to a neighboring cell.
See full target information Gja5

Product promise

We are committed to supporting your work with high-quality reagents, and we're here for you every step of the way. In the unlikely event that one of our products does not perform as expected, you're protected by our Product Promise.
For full details, please see our Terms & Conditions

Please note: All products are 'FOR RESEARCH USE ONLY. NOT FOR USE IN DIAGNOSTIC OR THERAPEUTIC PROCEDURES'.

For licensing inquiries, please contact partnerships@abcam.com