JavaScript is disabled in your browser. Please enable JavaScript to view this website.
AB269939

Anti-CXCL1/GRO alpha antibody

Be the first to review this product! Submit a review

|

(6 Publications)

Rabbit Polyclonal CXCL1/GRO alpha antibody. Suitable for IHC-P, WB and reacts with Mouse samples. Cited in 6 publications.

View Alternative Names

Gro, Gro1, Mgsa, Scyb1, Cxcl1, Growth-regulated alpha protein, C-X-C motif chemokine 1, Platelet-derived growth factor-inducible protein KC, Secretory protein N51

3 Images
Immunohistochemistry (Formalin/PFA-fixed paraffin-embedded sections) - Anti-CXCL1/GRO alpha antibody (AB269939)
  • IHC-P

Supplier Data

Immunohistochemistry (Formalin/PFA-fixed paraffin-embedded sections) - Anti-CXCL1/GRO alpha antibody (AB269939)

Immunohistochemistry Formalin/PFA-fixed paraffin-embedded mouse lung tissue stained for CXCL1/GRO alpha using ab269939 at a 1/100 dilution for 30 mins at RT. Secondary was a ready to use anti-rabbit polyclonal-HRP, 8 mins at RT. Counterstained with hematoxylin. Antigen retrieval was performed using HIER citrate buffer for 20 mins.

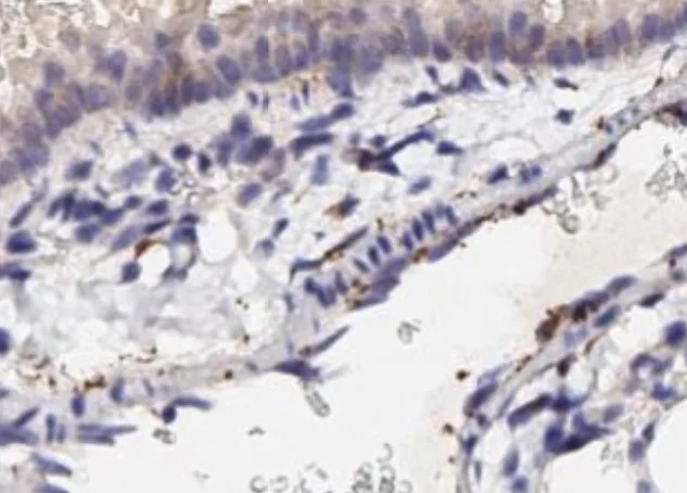
Immunohistochemistry (Formalin/PFA-fixed paraffin-embedded sections) - Anti-CXCL1/GRO alpha antibody (AB269939)
  • IHC-P

Supplier Data

Immunohistochemistry (Formalin/PFA-fixed paraffin-embedded sections) - Anti-CXCL1/GRO alpha antibody (AB269939)

Immunohistochemistry Formalin/PFA-fixed paraffin-embedded mouse spleen tissue stained for CXCL1/GRO alpha using ab269939 at a 1/100 dilution for 30 mins at RT. Secondary was a ready to use anti-rabbit polyclonal-HRP, 8 mins at RT. Counterstained with hematoxylin. Antigen retrieval was performed using HIER citrate buffer for 20 mins.

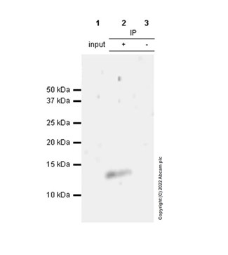
Western blot - Anti-CXCL1/GRO alpha antibody (AB269939)
  • WB

Supplier Data

Western blot - Anti-CXCL1/GRO alpha antibody (AB269939)

All lanes:

Western blot - Anti-CXCL1/GRO alpha antibody (ab269939)

Lane 1:

Mouse spleen lysate at 35 µg

Lane 2:

Mouse lung lysate at 35 µg

Lane 3:

Mouse testis lysate at 35 µg

Secondary

All lanes:

Rabbit IgG [H&L] HRP at 1/70000 dilution

Predicted band size: 11 kDa

false

Exposure time: 55s

Key facts

Host species

Rabbit

Clonality

Polyclonal

Isotype

IgG

Carrier free

No

Reacts with

Mouse

Applications

WB, IHC-P

applications

Immunogen

The exact immunogen used to generate this antibody is proprietary information.

Reactivity data

{ "title": "Reactivity Data", "filters": { "stats": ["", "Species", "Dilution Info", "Notes"], "tabs": { "all-applications": {"fullname" : "All Applications", "shortname": "All Applications"}, "IHCP" : {"fullname" : "Immunohistochemistry (Formalin/PFA-fixed paraffin-embedded sections)", "shortname":"IHC-P"}, "WB" : {"fullname" : "Western blot", "shortname":"WB"} }, "product-promise": { "all": "all", "testedAndGuaranteed": "tested", "guaranteed": "expected", "predicted": "predicted", "notRecommended": "not-recommended" } }, "values": { "Mouse": { "IHCP-species-checked": "testedAndGuaranteed", "IHCP-species-dilution-info": "1/100 - 1/200", "IHCP-species-notes": "<p></p> Perform heat-mediated antigen retrieval with citrate buffer pH 6 before commencing with IHC staining protocol.", "WB-species-checked": "testedAndGuaranteed", "WB-species-dilution-info": "", "WB-species-notes": "<p></p>" } } }

Properties and storage information

Form
Liquid
Purification technique
Affinity purification
Storage buffer
Preservative: 0.01% Sodium azide Constituents: PBS
Shipped at conditions
Blue Ice
Appropriate short-term storage duration
1-2 weeks
Appropriate short-term storage conditions
+4°C
Appropriate long-term storage conditions
-20°C
Aliquoting information
Upon delivery aliquot
Storage information
Avoid freeze / thaw cycle

Supplementary information

This supplementary information is collated from multiple sources and compiled automatically.

CXCL1 also known as GRO alpha or KC in certain species is a chemokine with a molecular mass of around 7.8 kDa. This protein is primarily secreted by macrophages neutrophils and endothelial cells. It plays a critical role in the recruitment of neutrophils during inflammation and acts by binding to the CXCR2 receptor. CXCL1 is expressed in many tissues including lungs liver and skin where it regulates the immune response and facilitates tissue repair.
Biological function summary

CXCL1 functions as a significant mediator in inflammatory processes. It does not form a complex but acts independently to exert its effects. By attracting neutrophils to sites of injury or infection CXCL1 supports the body's defense mechanisms. This chemokine also influences angiogenesis contributing to the formation of new blood vessels which is essential in wound healing and tissue regeneration.

Pathways

CXCL1 plays a role in both the NF-kB signaling and MAPK signaling pathways. These pathways are pivotal for the regulation of immune and inflammatory responses. CXCL1 acts alongside proteins such as IL-8 another chemokine that also binds to the CXCR2 receptor. Through these pathways CXCL1 influences the activation and migration of immune cells facilitating a rapid response to inflammatory stimuli.

CXCL1 has a significant association with conditions such as chronic obstructive pulmonary disease (COPD) and rheumatoid arthritis. In COPD elevated levels of CXCL1 contribute to persistent inflammation and neutrophil infiltration. In rheumatoid arthritis CXCL1 participates in joint inflammation and damage interacting with proteins like TNF-alpha which amplifies inflammatory responses. Understanding the role of CXCL1 in these conditions could help guide the development of targeted therapies to mitigate inflammation and tissue damage.

Product protocols

For this product, it's our understanding that no specific protocols are required. You can visit:

Target data

Has chemotactic activity for neutrophils. Contributes to neutrophil activation during inflammation (By similarity). Hematoregulatory chemokine, which, in vitro, suppresses hematopoietic progenitor cell proliferation. KC(5-72) shows a highly enhanced hematopoietic activity.
See full target information Cxcl1

Publications (6)

Recent publications for all applications. Explore the full list and refine your search

International journal of molecular sciences 26: PubMed40430063

2025

Exploring the Bone-Liver Axis: Impact of Acute Ethanol Intoxication on Post-Traumatic Liver Inflammation and Damage Following Femur Fracture.

Applications

Unspecified application

Species

Unspecified reactive species

Jasmin Maria Bülow,Helen Rinderknecht,Nils Becker,Kernt Köhler,Alessa Wagner,Yuntao Yang,Katrin Bundkirchen,Claudia Neunaber,Borna Relja

Cellular and molecular biology (Noisy-le-Grand, France) 70:78-84 PubMed38836678

2024

M2 macrophages regulate KDM6B/PFKFB2 metabolic reprogramming of cervical squamous cell carcinoma through CXCL1.

Applications

Unspecified application

Species

Unspecified reactive species

Jing Yu,Longzhang Huang,Lihua Cao

Frontiers in immunology 14:1239145 PubMed37691959

2023

Impact of age on liver damage, inflammation, and molecular signaling pathways in response to femoral fracture and hemorrhage.

Applications

Unspecified application

Species

Unspecified reactive species

Fanshuai Meng,Yuzhuo Zhou,Alessa Wagner,Jasmin Maria Bülow,Kernt Köhler,Claudia Neunaber,Katrin Bundkirchen,Borna Relja

Frontiers in immunology 14:1125948 PubMed37063917

2023

Targeting CXCL1 chemokine signaling for treating cisplatin ototoxicity.

Applications

Unspecified application

Species

Unspecified reactive species

Raheem F H Al Aameri,Entkhab M A Alanisi,Adu Oluwatosin,Dheyaa Al Sallami,Sandeep Sheth,Ian Alberts,Shree Patel,Leonard P Rybak,Vickram Ramkumar

Frontiers in immunology 12:786602 PubMed34899755

2021

Fpr2/CXCL1/2 Controls Rapid Neutrophil Infiltration to Inhibit Infection.

Applications

Unspecified application

Species

Unspecified reactive species

Zeyu Sun,Wenhua Huang,Yuling Zheng,Peng Liu,Wenbo Yang,Zinan Guo,Decong Kong,Qingyu Lv,Xinyu Zhou,Zongmin Du,Hua Jiang,Yongqiang Jiang

Frontiers in physiology 12:700338 PubMed34385934

2021

Blockage of C-X-C Motif Chemokine Receptor 2 (CXCR2) Suppressed Uric Acid (UA)-Induced Cardiac Remodeling.

Applications

Unspecified application

Species

Unspecified reactive species

Mingxi Xu,Xu Zheng,Dongxia Wang,Xiaodan Fu,Yida Xing,Yu Liu,Hongjiang Wang,Xiaodan Kong
View all publications

Product promise

We are committed to supporting your work with high-quality reagents, and we're here for you every step of the way. In the unlikely event that one of our products does not perform as expected, you're protected by our Product Promise.
For full details, please see our Terms & Conditions

Please note: All products are 'FOR RESEARCH USE ONLY. NOT FOR USE IN DIAGNOSTIC OR THERAPEUTIC PROCEDURES'.

For licensing inquiries, please contact partnerships@abcam.com