JavaScript is disabled in your browser. Please enable JavaScript to view this website.
AB206411

Anti-CXCL1/GRO alpha antibody [EPR19892]

Be the first to review this product! Submit a review

|

(9 Publications)

Rabbit Recombinant Monoclonal CXCL1/GRO alpha antibody. Suitable for IP, WB and reacts with Human, Recombinant fragment - Human samples. Cited in 9 publications.

View Alternative Names

GRO, GRO1, GROA, MGSA, SCYB1, CXCL1, Growth-regulated alpha protein, C-X-C motif chemokine 1, GRO-alpha(1-73), Melanoma growth stimulatory activity, Neutrophil-activating protein 3, NAP-3

4 Images
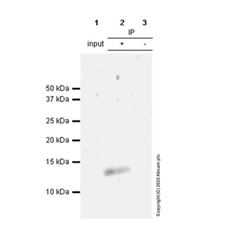
Immunoprecipitation - Anti-CXCL1/GRO alpha antibody [EPR19892] (AB206411)
  • IP

Lab

Immunoprecipitation - Anti-CXCL1/GRO alpha antibody [EPR19892] (AB206411)

11 kDa CXCL1/GRO alpha was immunoprecipitated from 0.35mg of HUVEC (human umbilical vein endothelial cell) whole cell lysate with ab206411 at 1/30 dilution. Western blot was performed from the immunoprecipitate using ab206411 at 1/1000 dilution. VeriBlot for IP Detection Reagent (HRP) (ab131366) was used at 1/5000 dilution. Lane 1 (Input) : HUVEC treated with 0.5 μg/ml LPS for 4 hours, then added 300 ng/ml BFA for another 20 hours whole cell lysate 10 μg. Lane 2 (+) : ab206411-IP in HUVEC treated with 0.5 μg/ml LPS for 4 hours, then added 300 ng/ml BFA for another 20 hours whole cell lysate. Lane 3 (-) : Rabbit monoclonal IgG (ab172730) instead of ab206411 in HUVEC treated as above whole cell lysate. Blocking buffer and concentration : 5% NFDM/TBST. Diluting buffer and concentration : 5% NFDM/TBST. Exposure time : 180 seconds.

All lanes:

Immunoprecipitation - Anti-CXCL1/GRO alpha antibody [EPR19892] (ab206411)

Lane 1:

HUVEC (human umbilical vein endothelial cell) treated with 0.5 μg/ml LPS for 4 hours, then added 300 ng/ml BFA for another 20 hours whole cell lysate at 10 µg

Lane 2:

HUVEC (human umbilical vein endothelial cell) treated with 0.5 μg/ml LPS for 4 hours, then added 300 ng/ml BFA for another 20 hours whole cell lysate

Secondary

All lanes:

Immunoprecipitation - VeriBlot for IP Detection Reagent (HRP) (<a href='/en-us/products/reagents/veriblot-for-ip-detection-reagent-hrp-ab131366'>ab131366</a>) at 1/5000 dilution

Predicted band size: 11 kDa

Observed band size: 11 kDa

false

Western blot - Anti-CXCL1/GRO alpha antibody [EPR19892] (AB206411)
  • WB

Supplier Data

Western blot - Anti-CXCL1/GRO alpha antibody [EPR19892] (AB206411)

Blocking/Dilution buffer : 5% NFDM/TBST.

All lanes:

Western blot - Anti-CXCL1/GRO alpha antibody [EPR19892] (ab206411) at 1/100 dilution

All lanes:

Human fetal lung lysate at 10 µg

Secondary

All lanes:

Western blot - Goat Anti-Rabbit IgG H&L (HRP) (<a href='/en-us/products/secondary-antibodies/goat-rabbit-igg-h-l-hrp-ab97051'>ab97051</a>) at 1/100000 dilution

Predicted band size: 11 kDa

Observed band size: 11 kDa

false

Exposure time: 3min

Western blot - Anti-CXCL1/GRO alpha antibody [EPR19892] (AB206411)
  • WB

Supplier Data

Western blot - Anti-CXCL1/GRO alpha antibody [EPR19892] (AB206411)

Blocking/Dilution buffer : 5% NFDM/TBST.

Human GRO beta fragment recombinant protein contain aa35-107 with a GST-Tag. Human GRO gamma fragment recombinant protein contain aa35-107 with a His-Tag®. These two protein were made in house.

All lanes:

Western blot - Anti-CXCL1/GRO alpha antibody [EPR19892] (ab206411) at 1/1000 dilution

Lane 1:

Human CXCL1/GRO alpha active protein at 0.01 µg

Lane 2:

Human GRO beta fragment recombinant protein at 0.01 µg

Lane 3:

Human GRO gamma fragment recombinant protein at 0.01 µg

Secondary

All lanes:

Western blot - Goat Anti-Rabbit IgG H&L (HRP) (<a href='/en-us/products/secondary-antibodies/goat-rabbit-igg-h-l-hrp-ab97051'>ab97051</a>) at 1/100000 dilution

Predicted band size: 11 kDa

Observed band size: 10 kDa,36 kDa

false

Exposure time: 3min

Western blot - Anti-CXCL1/GRO alpha antibody [EPR19892] (AB206411)
  • WB

Lab

Western blot - Anti-CXCL1/GRO alpha antibody [EPR19892] (AB206411)

False colour image of Western blot : Anti-CXCL1/GRO alpha antibody [EPR19892] staining at 1/100 dilution, shown in black; Mouse anti-Alpha Tubulin [DM1A] (ab7291) loading control staining at 1/20000 dilution, shown in red. In Western blot, ab206411 was shown to bind specifically to CXCL1/GRO alpha. A band was observed at 8 kDa in treated wild-type HeLa cell lysates with no signal observed at this size in CXCL1 knockout cell line ab261774 (knockout cell lysate ab257079). To generate this image, wild-type and CXCL1 knockout HeLa cell lysates were analysed. First, samples were run on an SDS-PAGE gel then transferred onto a nitrocellulose membrane. Membranes were blocked in 3 % milk in TBS-0.1 % Tween® 20 (TBS-T) before incubation with primary antibodies overnight at 4 °C. Blots were washed four times in TBS-T, incubated with secondary antibodies for 1 h at room temperature, washed again four times before development with Optiblot (ECL reagent ab133456) and imaged with 20 minutes exposure time. Secondary antibodies used were Goat anti-Rabbit IgG H&L (IRDye® 800CW) preabsorbed (ab216773) and HRP conjugated Goat anti-Mouse (H+L) at 1/20000 dilution.

All lanes:

Western blot - Anti-CXCL1/GRO alpha antibody [EPR19892] (ab206411) at 1/100 dilution

Lane 1:

Wild-type HeLa Treated TNF alpha (5 ng/mL, 6 h) + BFA (5 ug/mL, 6 h) cell lysate at 20 µg

Lane 2:

CXCL1 knockout HeLa Treated TNF alpha (5 ng/mL, 6 h) + BFA (5 ug/mL, 6 h) cell lysate at 20 µg

Lane 2:

Western blot - Human CXCL1 (GRO alpha) knockout HeLa cell line (<a href='/en-us/products/cell-lines/human-cxcl1-gro-alpha-knockout-hela-cell-line-ab261774'>ab261774</a>)

Predicted band size: 11 kDa

Observed band size: 8 kDa

false

  • Carrier free

    Anti-CXCL1/GRO alpha antibody [EPR19892] - BSA and Azide free

Key facts

Host species

Rabbit

Clonality

Monoclonal

Clone number

EPR19892

Isotype

IgG

Carrier free

No

Reacts with

Human

Applications

IP, WB

applications

Immunogen

The exact immunogen used to generate this antibody is proprietary information.

Specificity

This antibody cross-reacts with recombinant human CXCL2 and CXCL3 protein.

Reactivity data

{ "title": "Reactivity Data", "filters": { "stats": ["", "Species", "Dilution Info", "Notes"], "tabs": { "all-applications": {"fullname" : "All Applications", "shortname": "All Applications"}, "IP" : {"fullname" : "Immunoprecipitation", "shortname":"IP"}, "WB" : {"fullname" : "Western blot", "shortname":"WB"} }, "product-promise": { "all": "all", "testedAndGuaranteed": "tested", "guaranteed": "expected", "predicted": "predicted", "notRecommended": "not-recommended" } }, "values": { "Human": { "IP-species-checked": "testedAndGuaranteed", "IP-species-dilution-info": "1/30", "IP-species-notes": "<p></p>", "WB-species-checked": "testedAndGuaranteed", "WB-species-dilution-info": "1/100", "WB-species-notes": "<p></p>" }, "Recombinant fragment - Human": { "IP-species-checked": "notRecommended", "IP-species-dilution-info": "", "IP-species-notes": "", "WB-species-checked": "testedAndGuaranteed", "WB-species-dilution-info": "1/100", "WB-species-notes": "<p></p>" } } }

Product details

Patented technology
Our RabMAb® technology is a patented hybridoma-based technology for making rabbit monoclonal antibodies. For details on our patents, please refer to RabMAb® patents.

What are the advantages of a recombinant monoclonal antibody?
This product is a recombinant monoclonal antibody, which offers several advantages including:

  • - High batch-to-batch consistency and reproducibility
  • - Improved sensitivity and specificity
  • - Long-term security of supply
  • - Animal-free batch production

For more information, read more on recombinant antibodies.

Properties and storage information

Form
Liquid
Purification technique
Affinity purification Protein A
Storage buffer
pH: 7.2 - 7.4 Preservative: 0.01% Sodium azide Constituents: PBS, 40% Glycerol (glycerin, glycerine), 0.05% BSA
Shipped at conditions
Blue Ice
Appropriate short-term storage duration
1-2 weeks
Appropriate short-term storage conditions
+4°C
Appropriate long-term storage conditions
-20°C
Aliquoting information
Upon delivery aliquot
Storage information
Avoid freeze / thaw cycle

Supplementary information

This supplementary information is collated from multiple sources and compiled automatically.

CXCL1 also known as GRO alpha or KC in certain species is a chemokine with a molecular mass of around 7.8 kDa. This protein is primarily secreted by macrophages neutrophils and endothelial cells. It plays a critical role in the recruitment of neutrophils during inflammation and acts by binding to the CXCR2 receptor. CXCL1 is expressed in many tissues including lungs liver and skin where it regulates the immune response and facilitates tissue repair.
Biological function summary

CXCL1 functions as a significant mediator in inflammatory processes. It does not form a complex but acts independently to exert its effects. By attracting neutrophils to sites of injury or infection CXCL1 supports the body's defense mechanisms. This chemokine also influences angiogenesis contributing to the formation of new blood vessels which is essential in wound healing and tissue regeneration.

Pathways

CXCL1 plays a role in both the NF-kB signaling and MAPK signaling pathways. These pathways are pivotal for the regulation of immune and inflammatory responses. CXCL1 acts alongside proteins such as IL-8 another chemokine that also binds to the CXCR2 receptor. Through these pathways CXCL1 influences the activation and migration of immune cells facilitating a rapid response to inflammatory stimuli.

CXCL1 has a significant association with conditions such as chronic obstructive pulmonary disease (COPD) and rheumatoid arthritis. In COPD elevated levels of CXCL1 contribute to persistent inflammation and neutrophil infiltration. In rheumatoid arthritis CXCL1 participates in joint inflammation and damage interacting with proteins like TNF-alpha which amplifies inflammatory responses. Understanding the role of CXCL1 in these conditions could help guide the development of targeted therapies to mitigate inflammation and tissue damage.

Product protocols

For this product, it's our understanding that no specific protocols are required. You can visit:

Target data

Has chemotactic activity for neutrophils. May play a role in inflammation and exerts its effects on endothelial cells in an autocrine fashion. In vitro, the processed forms GRO-alpha(4-73), GRO-alpha(5-73) and GRO-alpha(6-73) show a 30-fold higher chemotactic activity.
See full target information CXCL1

Publications (9)

Recent publications for all applications. Explore the full list and refine your search

Biomedical reports 23:111 PubMed40386306

2025

Notch signaling pathway regulates the progression of fetal growth restriction through mediating immune dysfunction.

Applications

Unspecified application

Species

Unspecified reactive species

Liyan Ye,Xiujuan Zheng,Yali Yang,Ying Lyu

Journal of inflammation research 17:6863-6874 PubMed39372590

2024

Comprehensive Analysis of scRNA-Seq and Bulk RNA-Seq Reveals Transcriptional Signatures of Macrophages in Intrahepatic Cholestasis of Pregnancy.

Applications

Unspecified application

Species

Unspecified reactive species

Mi Tang,Liling Xiong,Jianghui Cai,Xuejia Gong,Li Fan,Xiaoyu Zhou,Shasha Xing,Xiao Yang

Discover oncology 15:145 PubMed38713320

2024

Crosstalk between cancer cells and macrophages promotes OSCC cell migration and invasion through a CXCL1/EGF positive feedback loop.

Applications

Unspecified application

Species

Unspecified reactive species

Wei Huang,Mingjing Jiang,Ying Lin,Ying Qi,Bo Li

Immunity, inflammation and disease 12:e1157 PubMed38415976

2024

Effects of myeloperoxidase on inflammatory responses with hypoxia in Citrobacter rodentium-infectious mice.

Applications

Unspecified application

Species

Unspecified reactive species

Xiang Gao,Yu Zhang,Qinfang Zhu,Ying Han,Ruhan Jia,Wei Zhang

Cell death discovery 9:253 PubMed37468464

2023

circRNF13, a novel N-methyladenosine-modified circular RNA, enhances radioresistance in cervical cancer by increasing CXCL1 mRNA stability.

Applications

Unspecified application

Species

Unspecified reactive species

Junyu Shi,Xiaohui Rui,Chunxiao Han,Chaoping Wang,Lei Xu,Xiping Jiang

Asian Pacific journal of cancer prevention : APJCP 23:3843-3849 PubMed36444597

2022

A Comparison of the Characteristics of Cytokine Storm between Lichen Planus and Oral Squamous Cell Carcinoma.

Applications

Unspecified application

Species

Unspecified reactive species

Salmeh Kalbassi,Lida Radfar,Mohammadreza Azimi,Simin Shadanpoor,Ali Ghorbani Ranjbary

Journal of clinical laboratory analysis 36:e24232 PubMed34995016

2022

A combined biomarker panel shows improved sensitivity and specificity for detection of ovarian cancer.

Applications

Unspecified application

Species

Unspecified reactive species

Lu Mao,Yong Tang,Ming-Jing Deng,Chun-Tao Huang,Dong Lan,Wen-Zheng Nong,Li Li,Qi Wang

Bioengineered 12:9909-9917 PubMed34860147

2021

MicroRNA miR-145-5p regulates cell proliferation and cell migration in colon cancer by inhibiting chemokine (C-X-C motif) ligand 1 and integrin α2.

Applications

Unspecified application

Species

Unspecified reactive species

Wei Zhuang,Tao Niu,Zhen Li

Frontiers in oncology 11:665080 PubMed34123826

2021

Bioinformatics, Molecular Docking and Experiments Analyze the Prognostic Value of CXC Chemokines in Breast Cancer.

Applications

Unspecified application

Species

Unspecified reactive species

Fei Wang,Chong Yuan,He-Zhen Wu,Bo Liu,Yan-Fang Yang
View all publications

Product promise

We are committed to supporting your work with high-quality reagents, and we're here for you every step of the way. In the unlikely event that one of our products does not perform as expected, you're protected by our Product Promise.
For full details, please see our Terms & Conditions

Please note: All products are 'FOR RESEARCH USE ONLY. NOT FOR USE IN DIAGNOSTIC OR THERAPEUTIC PROCEDURES'.

For licensing inquiries, please contact partnerships@abcam.com