JavaScript is disabled in your browser. Please enable JavaScript to view this website.
AB251456

Anti-CXCL1/GRO alpha antibody [EPR19892] - BSA and Azide free

Be the first to review this product! Submit a review

|

(1 Publication)

Rabbit Recombinant Monoclonal CXCL1/GRO alpha antibody. Carrier free. Suitable for IP, WB and reacts with Human, Recombinant fragment - Human samples. Cited in 1 publication.

View Alternative Names

GRO, GRO1, GROA, MGSA, SCYB1, CXCL1, Growth-regulated alpha protein, C-X-C motif chemokine 1, GRO-alpha(1-73), Melanoma growth stimulatory activity, Neutrophil-activating protein 3, NAP-3

4 Images
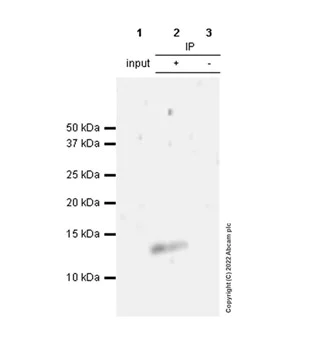
Immunoprecipitation - Anti-CXCL1/GRO alpha antibody [EPR19892] - BSA and Azide free (AB251456)
  • IP

Lab

Immunoprecipitation - Anti-CXCL1/GRO alpha antibody [EPR19892] - BSA and Azide free (AB251456)

11 kDa CXCL1/GRO alpha was immunoprecipitated from 0.35mg of HUVEC (human umbilical vein endothelial cell) whole cell lysate with ab206411 at 1/30 dilution. Western blot was performed from the immunoprecipitate using ab206411 at 1/1000 dilution. VeriBlot for IP Detection Reagent (HRP) (ab131366) was used at 1/5000 dilution. Lane 1 (Input) : HUVEC treated with 0.5 μg/ml LPS for 4 hours, then added 300 ng/ml BFA for another 20 hours whole cell lysate 10 μg. Lane 2 (+) : HUVEC treated with 0.5 μg/ml LPS for 4 hours, then added 300 ng/ml BFA for another 20 hours whole cell lysate. Lane 3 (-) : Rabbit monoclonal IgG (ab172730) instead of ab206411 in HUVEC treated as above whole cell lysate. Blocking buffer and concentration : 5% NFDM/TBST. Diluting buffer and concentration : 5% NFDM/TBST. Exposure time : 180 seconds. This data was developed using ab206411, the same antibody clone in a different buffer formulation.

All lanes:

Immunoprecipitation - Anti-CXCL1/GRO alpha antibody [EPR19892] (<a href='/en-us/products/primary-antibodies/cxcl1-gro-alpha-antibody-epr19892-ab206411'>ab206411</a>)

Lane 1:

HUVEC (human umbilical vein endothelial cell) treated with 0.5 μg/ml LPS for 4 hours, then added 300 ng/ml BFA for another 20 hours whole cell lysate at 10 µg

Lane 2:

HUVEC (human umbilical vein endothelial cell) treated with 0.5 μg/ml LPS for 4 hours, then added 300 ng/ml BFA for another 20 hours whole cell lysate

Secondary

All lanes:

Immunoprecipitation - VeriBlot for IP Detection Reagent (HRP) (<a href='/en-us/products/reagents/veriblot-for-ip-detection-reagent-hrp-ab131366'>ab131366</a>) at 1/5000 dilution

Predicted band size: 11 kDa

Observed band size: 11 kDa

false

Western blot - Anti-CXCL1/GRO alpha antibody [EPR19892] - BSA and Azide free (AB251456)
  • WB

Supplier Data

Western blot - Anti-CXCL1/GRO alpha antibody [EPR19892] - BSA and Azide free (AB251456)

This data was developed using ab206411, the same antibody clone in a different buffer formulation.

Blocking and dilution buffer : 5% NFDM/TBST.

All lanes:

Western blot - Anti-CXCL1/GRO alpha antibody [EPR19892] (<a href='/en-us/products/primary-antibodies/cxcl1-gro-alpha-antibody-epr19892-ab206411'>ab206411</a>) at 1/100 dilution

All lanes:

Human fetal lung lysate at 10 µg

Secondary

All lanes:

Western blot - Goat Anti-Rabbit IgG H&L (HRP) (<a href='/en-us/products/secondary-antibodies/goat-rabbit-igg-h-l-hrp-ab97051'>ab97051</a>) at 1/100000 dilution

Predicted band size: 11 kDa

Observed band size: 11 kDa

false

Exposure time: 3min

Western blot - Anti-CXCL1/GRO alpha antibody [EPR19892] - BSA and Azide free (AB251456)
  • WB

Supplier Data

Western blot - Anti-CXCL1/GRO alpha antibody [EPR19892] - BSA and Azide free (AB251456)

This data was developed using ab206411, the same antibody clone in a different buffer formulation.

Blocking and dilution buffer : 5% NFDM/TBST.

Human GRO beta fragment recombinant protein contain aa35-107 with a GST-Tag. Human GRO gamma fragment recombinant protein contain aa35-107 with a His-Tag®. These two protein were made in house.

All lanes:

Western blot - Anti-CXCL1/GRO alpha antibody [EPR19892] (<a href='/en-us/products/primary-antibodies/cxcl1-gro-alpha-antibody-epr19892-ab206411'>ab206411</a>) at 1/1000 dilution

Lane 1:

Human CXCL1/GRO alpha active protein at 0.01 µg

Lane 2:

Human GRO beta fragment recombinant protein at 0.01 µg

Lane 3:

Human GRO gamma fragment recombinant protein at 0.01 µg

Secondary

All lanes:

Western blot - Goat Anti-Rabbit IgG H&L (HRP) (<a href='/en-us/products/secondary-antibodies/goat-rabbit-igg-h-l-hrp-ab97051'>ab97051</a>) at 1/100000 dilution

Predicted band size: 11 kDa

Observed band size: 10 kDa,36 kDa

false

Exposure time: 3min

Western blot - Anti-CXCL1/GRO alpha antibody [EPR19892] - BSA and Azide free (AB251456)
  • WB

Lab

Western blot - Anti-CXCL1/GRO alpha antibody [EPR19892] - BSA and Azide free (AB251456)

False colour image of Western blot : Anti-CXCL1/GRO alpha antibody [EPR19892] staining at 1/100 dilution, shown in black; Mouse anti-Alpha Tubulin [DM1A] (ab7291) loading control staining at 1/20000 dilution, shown in red. In Western blot, ab206411 was shown to bind specifically to CXCL1/GRO alpha. A band was observed at 8 kDa in treated wild-type HeLa cell lysates with no signal observed at this size in CXCL1 knockout cell line ab261774 (knockout cell lysate ab257079). To generate this image, wild-type and CXCL1 knockout HeLa cell lysates were analysed. First, samples were run on an SDS-PAGE gel then transferred onto a nitrocellulose membrane. Membranes were blocked in 3 % milk in TBS-0.1 % Tween® 20 (TBS-T) before incubation with primary antibodies overnight at 4 °C. Blots were washed four times in TBS-T, incubated with secondary antibodies for 1 h at room temperature, washed again four times before development with Optiblot (ECL reagent ab133456) and imaged with 20 minutes exposure time. Secondary antibodies used were Goat anti-Rabbit IgG H&L (IRDye® 800CW) preabsorbed (ab216773) and HRP conjugated Goat anti-Mouse (H+L) at 1/20000 dilution.

All lanes:

Western blot - Anti-CXCL1/GRO alpha antibody [EPR19892] (<a href='/en-us/products/primary-antibodies/cxcl1-gro-alpha-antibody-epr19892-ab206411'>ab206411</a>) at 1/100 dilution

Lane 1:

Wild-type HeLa Treated TNF alpha (5 ng/mL, 6 h) + BFA (5 ug/mL, 6 h) cell lysate at 20 µg

Lane 2:

CXCL1 knockout HeLa Treated TNF alpha (5 ng/mL, 6 h) + BFA (5 ug/mL, 6 h) cell lysate at 20 µg

Lane 2:

Western blot - Human CXCL1 (GRO alpha) knockout HeLa cell line (<a href='/en-us/products/cell-lines/human-cxcl1-gro-alpha-knockout-hela-cell-line-ab261774'>ab261774</a>)

Predicted band size: 11 kDa

Observed band size: 8 kDa

false

Key facts

Host species

Rabbit

Clonality

Monoclonal

Clone number

EPR19892

Isotype

IgG

Carrier free

Yes

Reacts with

Human

Applications

WB, IP

applications

Immunogen

The exact immunogen used to generate this antibody is proprietary information.

Specificity

This antibody cross-reacts with recombinant human CXCL2 and CXCL3 protein.

Reactivity data

{ "title": "Reactivity Data", "filters": { "stats": ["", "Species", "Dilution Info", "Notes"], "tabs": { "all-applications": {"fullname" : "All Applications", "shortname": "All Applications"}, "IP" : {"fullname" : "Immunoprecipitation", "shortname":"IP"}, "WB" : {"fullname" : "Western blot", "shortname":"WB"} }, "product-promise": { "all": "all", "testedAndGuaranteed": "tested", "guaranteed": "expected", "predicted": "predicted", "notRecommended": "not-recommended" } }, "values": { "Human": { "IP-species-checked": "testedAndGuaranteed", "IP-species-dilution-info": "1/30", "IP-species-notes": "<p></p>", "WB-species-checked": "testedAndGuaranteed", "WB-species-dilution-info": "", "WB-species-notes": "<p></p>" }, "Recombinant fragment - Human": { "IP-species-checked": "notRecommended", "IP-species-dilution-info": "", "IP-species-notes": "", "WB-species-checked": "testedAndGuaranteed", "WB-species-dilution-info": "", "WB-species-notes": "<p></p>" } } }

Product details

ab251456 is the carrier-free version of ab206411.

Patented technology
Our RabMAb® technology is a patented hybridoma-based technology for making rabbit monoclonal antibodies. For details on our patents, please refer to RabMAb® patents.

What are the advantages of a recombinant monoclonal antibody?
This product is a recombinant monoclonal antibody, which offers several advantages including:

  • - High batch-to-batch consistency and reproducibility
  • - Improved sensitivity and specificity
  • - Long-term security of supply
  • - Animal-free batch production

For more information, read more on recombinant antibodies.

Conjugation ready
Our carrier-free antibodies are typically supplied in a PBS-only formulation, purified and free of BSA, sodium azide and glycerol. This conjugation-ready format is designed for use with fluorochromes, metal isotopes, oligonucleotides, and enzymes, which makes them ideal for antibody labelling, functional and cell-based assays, flow-based assays (e.g. mass cytometry) and Multiplex Imaging applications.

Use our conjugation kits for antibody conjugates that are ready-to-use in as little as 20 minutes with 1 minute hands-on-time and 100% antibody recovery: available for fluorescent dyes, HRP, biotin and gold.

Compatibility
This product is compatible with the Maxpar® Antibody Labeling Kit from Fluidigm, without the need for antibody preparation. Maxpar® is a trademark of Fluidigm Canada Inc.

Properties and storage information

Form
Liquid
Purification technique
Affinity purification Protein A
Storage buffer
pH: 7.2 - 7.4 Constituents: PBS
Shipped at conditions
Blue Ice
Appropriate short-term storage conditions
+4°C
Appropriate long-term storage conditions
+4°C
Storage information
Do Not Freeze

Supplementary information

This supplementary information is collated from multiple sources and compiled automatically.

CXCL1 also known as GRO alpha or KC in certain species is a chemokine with a molecular mass of around 7.8 kDa. This protein is primarily secreted by macrophages neutrophils and endothelial cells. It plays a critical role in the recruitment of neutrophils during inflammation and acts by binding to the CXCR2 receptor. CXCL1 is expressed in many tissues including lungs liver and skin where it regulates the immune response and facilitates tissue repair.
Biological function summary

CXCL1 functions as a significant mediator in inflammatory processes. It does not form a complex but acts independently to exert its effects. By attracting neutrophils to sites of injury or infection CXCL1 supports the body's defense mechanisms. This chemokine also influences angiogenesis contributing to the formation of new blood vessels which is essential in wound healing and tissue regeneration.

Pathways

CXCL1 plays a role in both the NF-kB signaling and MAPK signaling pathways. These pathways are pivotal for the regulation of immune and inflammatory responses. CXCL1 acts alongside proteins such as IL-8 another chemokine that also binds to the CXCR2 receptor. Through these pathways CXCL1 influences the activation and migration of immune cells facilitating a rapid response to inflammatory stimuli.

CXCL1 has a significant association with conditions such as chronic obstructive pulmonary disease (COPD) and rheumatoid arthritis. In COPD elevated levels of CXCL1 contribute to persistent inflammation and neutrophil infiltration. In rheumatoid arthritis CXCL1 participates in joint inflammation and damage interacting with proteins like TNF-alpha which amplifies inflammatory responses. Understanding the role of CXCL1 in these conditions could help guide the development of targeted therapies to mitigate inflammation and tissue damage.

Product protocols

For this product, it's our understanding that no specific protocols are required. You can visit:

Target data

Has chemotactic activity for neutrophils. May play a role in inflammation and exerts its effects on endothelial cells in an autocrine fashion. In vitro, the processed forms GRO-alpha(4-73), GRO-alpha(5-73) and GRO-alpha(6-73) show a 30-fold higher chemotactic activity.
See full target information CXCL1

Publications (1)

Recent publications for all applications. Explore the full list and refine your search

Scientific reports 14:26521 PubMed39489850

2024

GABPA inhibits tumorigenesis in clear cell renal cell carcinoma by regulating ferroptosis through ACSL4.

Applications

Unspecified application

Species

Unspecified reactive species

Yaqian Wu,Zonglong Wu,Mengfei Yao,Li Liu,Yimeng Song,Lulin Ma,Cheng Liu
View all publications

Product promise

We are committed to supporting your work with high-quality reagents, and we're here for you every step of the way. In the unlikely event that one of our products does not perform as expected, you're protected by our Product Promise.
For full details, please see our Terms & Conditions

Please note: All products are 'FOR RESEARCH USE ONLY. NOT FOR USE IN DIAGNOSTIC OR THERAPEUTIC PROCEDURES'.

For licensing inquiries, please contact partnerships@abcam.com