JavaScript is disabled in your browser. Please enable JavaScript to view this website.
AB307590

Anti-CXCL1/GRO alpha antibody [EPR23533-315] - BSA and Azide free

Be the first to review this product! Submit a review

|

(0 Publication)

Rabbit Recombinant Monoclonal CXCL1/GRO alpha antibody. Carrier free. Suitable for IP, WB and reacts with Human samples.

View Alternative Names

GRO, GRO1, GROA, MGSA, SCYB1, CXCL1, Growth-regulated alpha protein, C-X-C motif chemokine 1, GRO-alpha(1-73), Melanoma growth stimulatory activity, Neutrophil-activating protein 3, NAP-3

3 Images
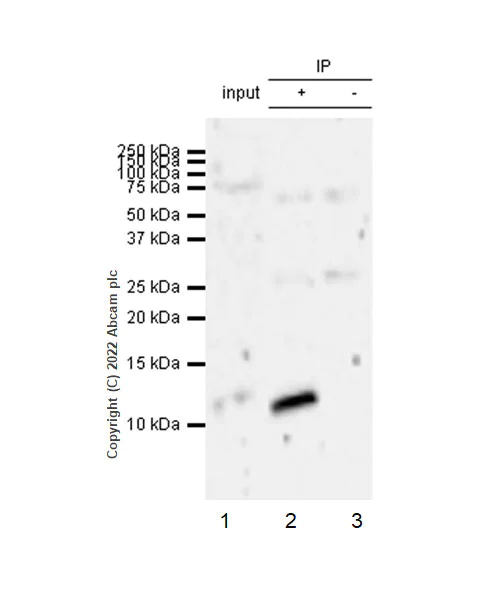
Immunoprecipitation - Anti-CXCL1/GRO alpha antibody [EPR23533-315] - BSA and Azide free (AB307590)
  • IP

Supplier Data

Immunoprecipitation - Anti-CXCL1/GRO alpha antibody [EPR23533-315] - BSA and Azide free (AB307590)

This data was developed using ab307589, the same antibody clone in a different buffer formulation. CXCL1/GRO alpha was immunoprecipitated from 0.35 mg HUVEC (human umbilical vein endothelial cell) treated with 0.5µg/ml Lipopolysaccharides(LPS) for 24 hours and then added 300 ng/ml Brefeldin A for another 20 hours, whole cell lysate 10 µg with ab307589 at 1/30 dilution (2 µg in 0.35 mg lysates). Western blot was performed on the immunoprecipitate using ab307589 at 1/1000 dilution. VeriBlot for IP secondary antibody(HRP)(ab131366) was used at 1/5000 dilution. Lane 1 : HUVEC treated with 0.5µg/ml Lipopolysaccharides(LPS) for 24 hours and then added 300 ng/ml Brefeldin A for another 20 hours, whole cell lysate 10 µg Lane 2 : ab307589 IP in HUVEC treated with 0.5µg/ml Lipopolysaccharides(LPS) for 24 hours and then added 300 ng/ml Brefeldin A for another 20 hours, whole cell lysate Lane 3 : Rabbit monoclonal IgG (ab172730) instead of ab307589 in HUVEC treated with 0.5µg/ml Lipopolysaccharides(LPS) for 24 hours and then added 300 ng/ml Brefeldin A for another 20 hours, whole cell lysate Blocking and dilution buffer and concentration : 5% NFDM/TBST. Exposure time : 180 seconds.

All lanes:

Immunoprecipitation - Anti-CXCL1/GRO alpha antibody [EPR23533-315] (<a href='/en-us/products/primary-antibodies/cxcl1-gro-alpha-antibody-epr23533-315-ab307589'>ab307589</a>) at 1/30 dilution

All lanes:

HUVEC treated with 0.5ug/ml Lipopolysaccharides

Secondary

All lanes:

Immunoprecipitation - VeriBlot for IP Detection Reagent (HRP) (<a href='/en-us/products/reagents/veriblot-for-ip-detection-reagent-hrp-ab131366'>ab131366</a>) at 1/5000 dilution

Observed band size: 11 kDa

false

Exposure time: 180s

Western blot - Anti-CXCL1/GRO alpha antibody [EPR23533-315] - BSA and Azide free (AB307590)
  • WB

Supplier Data

Western blot - Anti-CXCL1/GRO alpha antibody [EPR23533-315] - BSA and Azide free (AB307590)

This data was developed using ab307589, the same antibody clone in a different buffer formulation. Blocking and diluting buffer and concentration : 5% NFDM/TBST. This antibody does not cross-react with human CXCL2 and CXCL3. Exposure time : 180 seconds.

All lanes:

Western blot - Anti-CXCL1/GRO alpha antibody [EPR23533-315] (<a href='/en-us/products/primary-antibodies/cxcl1-gro-alpha-antibody-epr23533-315-ab307589'>ab307589</a>) at 1/1000 dilution

Lane 1:

His-tagged human CXCL1 recombinant protein at 10 ng

Lane 2:

His-tagged human CXCL2 recombinant protein at 10 ng

Lane 3:

His-tagged human CXCL3 recombinant protein at 10 ng

Secondary

All lanes:

Western blot - Goat Anti-Rabbit IgG H&L (HRP) (<a href='/en-us/products/secondary-antibodies/goat-rabbit-igg-h-l-hrp-ab97051'>ab97051</a>) at 1/100000 dilution

Observed band size: 11 kDa

false

Exposure time: 180s

Western blot - Anti-CXCL1/GRO alpha antibody [EPR23533-315] - BSA and Azide free (AB307590)
  • WB

Lab

Western blot - Anti-CXCL1/GRO alpha antibody [EPR23533-315] - BSA and Azide free (AB307590)

This data was developed using ab307589, the same antibody clone in a different buffer formulation.

Blocking and diluting buffer and concentration : 5% NFDM/TBST.

All lanes:

Western blot - Anti-CXCL1/GRO alpha antibody [EPR23533-315] (<a href='/en-us/products/primary-antibodies/cxcl1-gro-alpha-antibody-epr23533-315-ab307589'>ab307589</a>) at 1/1000 dilution

Lane 1:

Untreated HUVEC (human umbilical vein endothelial cell) whole cell lysate at 20 µg

Lane 2:

HUVEC treated with 0.5ug/ml Lipopolysaccharides (LPS) for 4 hours and then added 300 ng/ml Brefeldin A for another 20 hours whole cell lysate at 20 µg

Secondary

All lanes:

Western blot - Goat Anti-Rabbit IgG H&L (HRP) (<a href='/en-us/products/secondary-antibodies/goat-rabbit-igg-h-l-hrp-ab97051'>ab97051</a>)

Predicted band size: 11 kDa

Observed band size: 11 kDa

false

Exposure time: 180s

Key facts

Host species

Rabbit

Clonality

Monoclonal

Clone number

EPR23533-315

Isotype

IgG

Carrier free

Yes

Reacts with

Human

Applications

WB, IP

applications

Immunogen

The exact immunogen used to generate this antibody is proprietary information.

Reactivity data

{ "title": "Reactivity Data", "filters": { "stats": ["", "Species", "Dilution Info", "Notes"], "tabs": { "all-applications": {"fullname" : "All Applications", "shortname": "All Applications"}, "IP" : {"fullname" : "Immunoprecipitation", "shortname":"IP"}, "WB" : {"fullname" : "Western blot", "shortname":"WB"}, "FlowCytIntra" : {"fullname" : "Flow Cytometry (Intracellular)", "shortname":"Flow Cyt (Intra)"}, "IHCP" : {"fullname" : "Immunohistochemistry (Formalin/PFA-fixed paraffin-embedded sections)", "shortname":"IHC-P"}, "ICCIF" : {"fullname" : "Immunocytochemistry/ Immunofluorescence", "shortname":"ICC/IF"} }, "product-promise": { "all": "all", "testedAndGuaranteed": "tested", "guaranteed": "expected", "predicted": "predicted", "notRecommended": "not-recommended" } }, "values": { "Human": { "IP-species-checked": "testedAndGuaranteed", "IP-species-dilution-info": "", "IP-species-notes": "<p></p>", "WB-species-checked": "testedAndGuaranteed", "WB-species-dilution-info": "", "WB-species-notes": "<p></p>", "FlowCytIntra-species-checked": "notRecommended", "FlowCytIntra-species-dilution-info": "", "FlowCytIntra-species-notes": "<p></p>", "IHCP-species-checked": "notRecommended", "IHCP-species-dilution-info": "", "IHCP-species-notes": "<p></p>", "ICCIF-species-checked": "notRecommended", "ICCIF-species-dilution-info": "", "ICCIF-species-notes": "<p></p>" }, "Mouse": { "IP-species-checked": "notRecommended", "IP-species-dilution-info": "", "IP-species-notes": "", "WB-species-checked": "notRecommended", "WB-species-dilution-info": "", "WB-species-notes": "<p></p>", "FlowCytIntra-species-checked": "notRecommended", "FlowCytIntra-species-dilution-info": "", "FlowCytIntra-species-notes": "", "IHCP-species-checked": "notRecommended", "IHCP-species-dilution-info": "", "IHCP-species-notes": "<p></p>", "ICCIF-species-checked": "notRecommended", "ICCIF-species-dilution-info": "", "ICCIF-species-notes": "" }, "Rat": { "IP-species-checked": "notRecommended", "IP-species-dilution-info": "", "IP-species-notes": "", "WB-species-checked": "notRecommended", "WB-species-dilution-info": "", "WB-species-notes": "<p></p>", "FlowCytIntra-species-checked": "notRecommended", "FlowCytIntra-species-dilution-info": "", "FlowCytIntra-species-notes": "", "IHCP-species-checked": "notRecommended", "IHCP-species-dilution-info": "", "IHCP-species-notes": "<p></p>", "ICCIF-species-checked": "notRecommended", "ICCIF-species-dilution-info": "", "ICCIF-species-notes": "" } } }

Product details

Patented technology
Our RabMAb® technology is a patented hybridoma-based technology for making rabbit monoclonal antibodies. For details on our patents, please refer to RabMAb® patents.

What are the advantages of a recombinant monoclonal antibody?
This product is a recombinant monoclonal antibody, which offers several advantages including:

  • - High batch-to-batch consistency and reproducibility
  • - Improved sensitivity and specificity
  • - Long-term security of supply
  • - Animal-free batch production

For more information, read more on recombinant antibodies.

Conjugation ready
Our carrier-free antibodies are typically supplied in a PBS-only formulation, purified and free of BSA, sodium azide and glycerol. This conjugation-ready format is designed for use with fluorochromes, metal isotopes, oligonucleotides, and enzymes, which makes them ideal for antibody labelling, functional and cell-based assays, flow-based assays (e.g. mass cytometry) and Multiplex Imaging applications.

Use our conjugation kits for antibody conjugates that are ready-to-use in as little as 20 minutes with 1 minute hands-on-time and 100% antibody recovery: available for fluorescent dyes, HRP, biotin and gold.

Compatibility
This product is compatible with the Maxpar® Antibody Labeling Kit from Fluidigm, without the need for antibody preparation. Maxpar® is a trademark of Fluidigm Canada Inc.

Properties and storage information

Form
Liquid
Purification technique
Affinity purification Protein A
Storage buffer
pH: 7.2 - 7.4 Constituents: PBS
Shipped at conditions
Blue Ice
Appropriate short-term storage conditions
+4°C
Appropriate long-term storage conditions
+4°C

Supplementary information

This supplementary information is collated from multiple sources and compiled automatically.

CXCL1 also known as GRO alpha or KC in certain species is a chemokine with a molecular mass of around 7.8 kDa. This protein is primarily secreted by macrophages neutrophils and endothelial cells. It plays a critical role in the recruitment of neutrophils during inflammation and acts by binding to the CXCR2 receptor. CXCL1 is expressed in many tissues including lungs liver and skin where it regulates the immune response and facilitates tissue repair.
Biological function summary

CXCL1 functions as a significant mediator in inflammatory processes. It does not form a complex but acts independently to exert its effects. By attracting neutrophils to sites of injury or infection CXCL1 supports the body's defense mechanisms. This chemokine also influences angiogenesis contributing to the formation of new blood vessels which is essential in wound healing and tissue regeneration.

Pathways

CXCL1 plays a role in both the NF-kB signaling and MAPK signaling pathways. These pathways are pivotal for the regulation of immune and inflammatory responses. CXCL1 acts alongside proteins such as IL-8 another chemokine that also binds to the CXCR2 receptor. Through these pathways CXCL1 influences the activation and migration of immune cells facilitating a rapid response to inflammatory stimuli.

CXCL1 has a significant association with conditions such as chronic obstructive pulmonary disease (COPD) and rheumatoid arthritis. In COPD elevated levels of CXCL1 contribute to persistent inflammation and neutrophil infiltration. In rheumatoid arthritis CXCL1 participates in joint inflammation and damage interacting with proteins like TNF-alpha which amplifies inflammatory responses. Understanding the role of CXCL1 in these conditions could help guide the development of targeted therapies to mitigate inflammation and tissue damage.

Product protocols

For this product, it's our understanding that no specific protocols are required. You can visit:

Target data

Has chemotactic activity for neutrophils. May play a role in inflammation and exerts its effects on endothelial cells in an autocrine fashion. In vitro, the processed forms GRO-alpha(4-73), GRO-alpha(5-73) and GRO-alpha(6-73) show a 30-fold higher chemotactic activity.
See full target information CXCL1

Product promise

We are committed to supporting your work with high-quality reagents, and we're here for you every step of the way. In the unlikely event that one of our products does not perform as expected, you're protected by our Product Promise.
For full details, please see our Terms & Conditions

Please note: All products are 'FOR RESEARCH USE ONLY. NOT FOR USE IN DIAGNOSTIC OR THERAPEUTIC PROCEDURES'.

For licensing inquiries, please contact partnerships@abcam.com