JavaScript is disabled in your browser. Please enable JavaScript to view this website.
AB324777

Anti-CXCL1/GRO alpha antibody [EPR28745-123] - BSA and Azide free

Be the first to review this product! Submit a review

|

(0 Publication)

Rabbit Recombinant Monoclonal CXCL1/GRO alpha antibody. Carrier free. Suitable for WB, IHC-P and reacts with Transfected cell lysate - Mouse, Mouse, Transfected cell line - Mouse samples.

View Alternative Names

Gro, Gro1, Mgsa, Scyb1, Cxcl1, Growth-regulated alpha protein, C-X-C motif chemokine 1, Platelet-derived growth factor-inducible protein KC, Secretory protein N51

5 Images
Immunohistochemistry (Formalin/PFA-fixed paraffin-embedded sections) - Anti-CXCL1/GRO alpha antibody [EPR28745-123] - BSA and Azide free (AB324777)
  • IHC-P

Supplier Data

Immunohistochemistry (Formalin/PFA-fixed paraffin-embedded sections) - Anti-CXCL1/GRO alpha antibody [EPR28745-123] - BSA and Azide free (AB324777)

This data was developed using ab322200, the same antibody clone in a different buffer formulation.

Immunohistochemical analysis of paraffin-embedded (A) HEK-293T (human embryonic kidney epithelial cell) transfected with a mouse CXCL1 expression vector containing a Myc-His tag. (B) HEK-293T transfected with a mouse CXCL2 expression vector containing a Myc-His tag. (C) HEK-293T transfected with empty vector containing a Myc-His tag. tissue labeling CXCL1/GRO alpha with ab322200 at 1/2000 (0.261 ug/ml) dilution followed by a ready to use LeicaDS9800 (Bond™ Polymer Refine Detection).

Positive staining on HEK-293T transfected with a Myc-His-tagged mouse CXCL1 construct (image A). No staining on HEK-293T transfected with a Myc-His-tagged mouse CXCL2 construct (image B). No staining on HEK-293T transfected with empty plasmid (image C). The section was incubated with ab322200 for 30 mins at room temperature.
The immunostaining was performed on a Leica Biosystems BOND® RX instrument

Counterstained with Hematoxylin.

Secondary antibody only control : Secondary antibody is a ready to use LeicaDS9800 (Bond™ Polymer Refine Detection).

Heat mediated antigen retrieval was performed with Tris-EDTA buffer (pH 9.0 Epitope Retrieval Solution2) for 20 mins

Immunohistochemistry (Formalin/PFA-fixed paraffin-embedded sections) - Anti-CXCL1/GRO alpha antibody [EPR28745-123] - BSA and Azide free (AB324777)
  • IHC-P

Supplier Data

Immunohistochemistry (Formalin/PFA-fixed paraffin-embedded sections) - Anti-CXCL1/GRO alpha antibody [EPR28745-123] - BSA and Azide free (AB324777)

This data was developed using ab322200, the same antibody clone in a different buffer formulation.

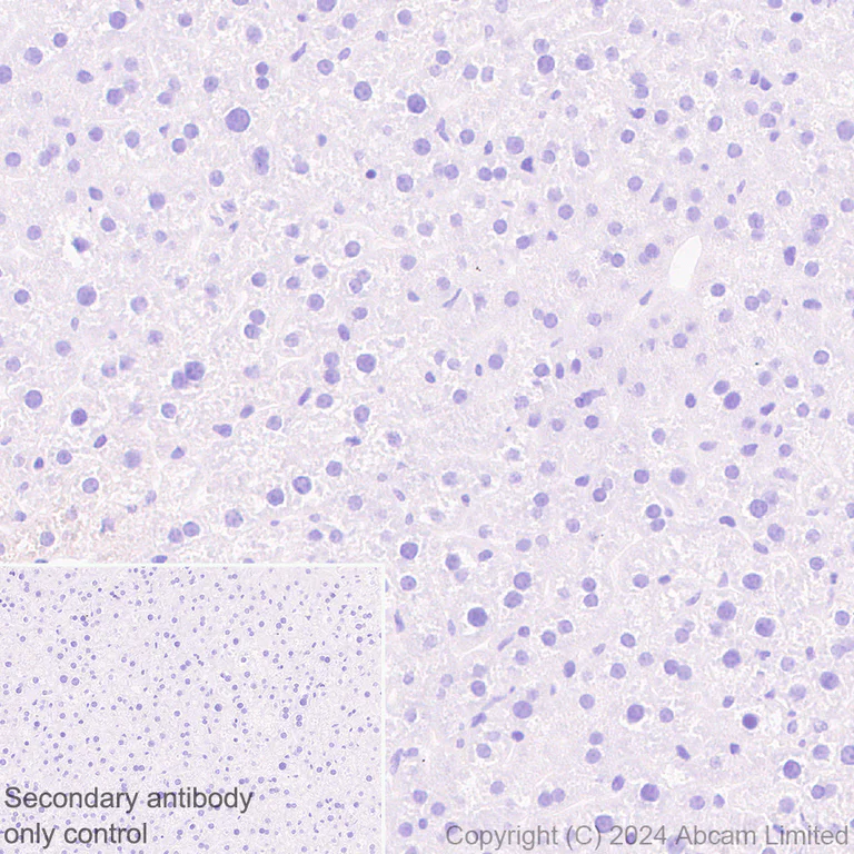
Immunohistochemical analysis of paraffin-embedded Mouse liver tissue labeling CXCL1/GRO alpha with ab322200 at 1/2000 (0.261 ug/ml) dilution followed by a ready to use LeicaDS9800 (Bond™ Polymer Refine Detection).

Low expression tissue : no staining on mouse liver. The section was incubated with ab322200 for 30 mins at room temperature.
The immunostaining was performed on a Leica Biosystems BOND® RX instrument

Counterstained with Hematoxylin.

Secondary antibody only control : Secondary antibody is a ready to use LeicaDS9800 (Bond™ Polymer Refine Detection).

Heat mediated antigen retrieval was performed with Tris-EDTA buffer (pH 9.0 Epitope Retrieval Solution2) for 20 mins

Immunohistochemistry (Formalin/PFA-fixed paraffin-embedded sections) - Anti-CXCL1/GRO alpha antibody [EPR28745-123] - BSA and Azide free (AB324777)
  • IHC-P

Supplier Data

Immunohistochemistry (Formalin/PFA-fixed paraffin-embedded sections) - Anti-CXCL1/GRO alpha antibody [EPR28745-123] - BSA and Azide free (AB324777)

This data was developed using ab322200, the same antibody clone in a different buffer formulation.

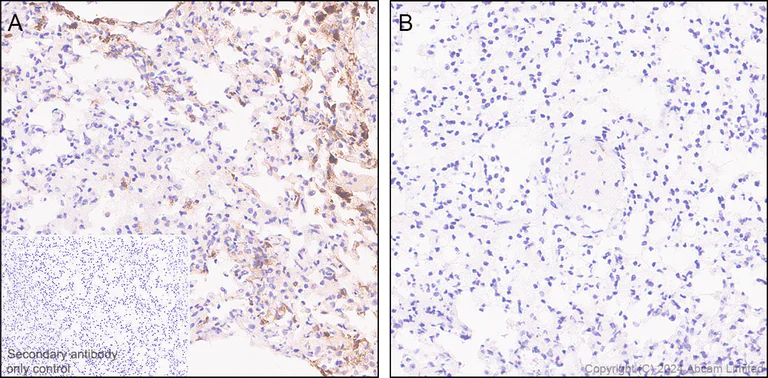
Immunohistochemical analysis of paraffin-embedded (A) Mouse lung treated with lipopolysaccharide (LPS 1 ug/mL) and Brefeldin A (1 ug/mL) for 16 hours. (B) Untreated mouse lung. tissue labeling CXCL1/GRO alpha with ab322200 at 1/2000 (0.261 ug/ml) dilution followed by a ready to use LeicaDS9800 (Bond™ Polymer Refine Detection).

Positive staining in mouse lung treated lipopolysaccharide (LPS 1 ug/mL) and Brefeldin A (1 ug/mL) for 16 hours. No staining in (B) untreated mouse lung. The section was incubated with ab322200 for 30 mins at room temperature.
The immunostaining was performed on a Leica Biosystems BOND® RX instrument

Counterstained with Hematoxylin.

Secondary antibody only control : Secondary antibody is a ready to use LeicaDS9800 (Bond™ Polymer Refine Detection).

Heat mediated antigen retrieval was performed with Tris-EDTA buffer (pH 9.0 Epitope Retrieval Solution2) for 20 mins

Western blot - Anti-CXCL1/GRO alpha antibody [EPR28745-123] - BSA and Azide free (AB324777)
  • WB

Supplier Data

Western blot - Anti-CXCL1/GRO alpha antibody [EPR28745-123] - BSA and Azide free (AB324777)

This data was developed using ab322200, the same antibody clone in a different buffer formulation.

Blocking and diluting buffer and concentration : 5% NFDM/TBST.

In Western blot Anti-GAPDH antibody [EPR16891] - Loading Control (ab181602) staining at 1/200000 dilution.

All lanes:

Western blot - Anti-CXCL1/GRO alpha antibody [EPR28745-123] (<a href='/en-us/products/primary-antibodies/cxcl1-gro-alpha-antibody-epr28745-123-ab322200'>ab322200</a>) at 1/1000 dilution

Lane 1:

Untreated mouse lung tissue lysate at 20 µg

Lane 2:

Mouse lung tissue treated with 1 ug/ml LPS(Lipopolysaccharide) and 1 ug/ml BFA(Brefeldin A) lysate at 20 µg

Secondary

All lanes:

Western blot - Goat Anti-Rabbit IgG H&L (HRP) (<a href='/en-us/products/secondary-antibodies/goat-rabbit-igg-h-l-hrp-ab97051'>ab97051</a>) at 1/20000 dilution

Observed band size: 10 kDa,36 kDa

false

Exposure time: 81s

Western blot - Anti-CXCL1/GRO alpha antibody [EPR28745-123] - BSA and Azide free (AB324777)
  • WB

Supplier Data

Western blot - Anti-CXCL1/GRO alpha antibody [EPR28745-123] - BSA and Azide free (AB324777)

This data was developed using ab322200, the same antibody clone in a different buffer formulation.

Blocking and diluting buffer and concentration : 5% NFDM/TBST.

This antibody does not cross-react with overexpressed mouse CXCL2 or CXCL3 by western blot.

In Western blot Anti-GAPDH antibody [EPR16891] - Loading Control (ab181602) staining at 1/200000 dilution.

In Western blot Anti-6X His tag® antibody [EPR20547] - ChIP Grade (ab213204) staining at 1/5000 dilution.

All lanes:

Western blot - Anti-CXCL1/GRO alpha antibody [EPR28745-123] (<a href='/en-us/products/primary-antibodies/cxcl1-gro-alpha-antibody-epr28745-123-ab322200'>ab322200</a>) at 1/1000 dilution

Lane 1:

293T (human embryonic kidney epithelial cell) cells transfected with an empty vector containing a myc-His-tag®, whole cell lysate at 10 µg

Lane 2:

293T cells transfected with a mouse CXCL1 containing a myc-His-tag®, whole cell lysate at 10 µg

Lane 3:

293T cells transfected with a mouse CXCL2 containing a myc-His-tag®, whole cell lysate at 10 µg

Lane 4:

293T cells transfected with a mouse CXCL3 containing a myc-His-tag®, whole cell lysate at 10 µg

Secondary

All lanes:

Western blot - Goat Anti-Rabbit IgG H&L (HRP) (<a href='/en-us/products/secondary-antibodies/goat-rabbit-igg-h-l-hrp-ab97051'>ab97051</a>) at 1/100000 dilution

Observed band size: 10 kDa,36 kDa

false

Exposure time: 81s

Key facts

Host species

Rabbit

Clonality

Monoclonal

Clone number

EPR28745-123

Isotype

IgG

Carrier free

Yes

Reacts with

Mouse

Applications

IHC-P, WB

applications

Immunogen

The exact immunogen used to generate this antibody is proprietary information.

Reactivity data

{ "title": "Reactivity Data", "filters": { "stats": ["", "Species", "Dilution Info", "Notes"], "tabs": { "all-applications": {"fullname" : "All Applications", "shortname": "All Applications"}, "WB" : {"fullname" : "Western blot", "shortname":"WB"}, "IHCP" : {"fullname" : "Immunohistochemistry (Formalin/PFA-fixed paraffin-embedded sections)", "shortname":"IHC-P"} }, "product-promise": { "all": "all", "testedAndGuaranteed": "tested", "guaranteed": "expected", "predicted": "predicted", "notRecommended": "not-recommended" } }, "values": { "Mouse": { "WB-species-checked": "testedAndGuaranteed", "WB-species-dilution-info": "", "WB-species-notes": "<p></p>", "IHCP-species-checked": "testedAndGuaranteed", "IHCP-species-dilution-info": "", "IHCP-species-notes": "<p></p> Perform heat-mediated antigen retrieval with Tris/EDTA buffer pH 9.0 before commencing with IHC staining protocol." }, "Transfected cell line - Mouse": { "WB-species-checked": "notRecommended", "WB-species-dilution-info": "", "WB-species-notes": "", "IHCP-species-checked": "testedAndGuaranteed", "IHCP-species-dilution-info": "", "IHCP-species-notes": "<p></p> Perform heat-mediated antigen retrieval with Tris/EDTA buffer pH 9.0 before commencing with IHC staining protocol." }, "Transfected cell lysate - Mouse": { "WB-species-checked": "testedAndGuaranteed", "WB-species-dilution-info": "", "WB-species-notes": "<p></p>", "IHCP-species-checked": "notRecommended", "IHCP-species-dilution-info": "", "IHCP-species-notes": "" } } }

Product details

ab324777 is the carrier-free version of ab322200.

Patented technology
Our RabMAb® technology is a patented hybridoma-based technology for making rabbit monoclonal antibodies. For details on our patents, please refer to RabMAb® patents.

What are the advantages of a recombinant monoclonal antibody?
This product is a recombinant monoclonal antibody, which offers several advantages including:

  • - High batch-to-batch consistency and reproducibility
  • - Improved sensitivity and specificity
  • - Long-term security of supply
  • - Animal-free batch production

For more information, read more on recombinant antibodies.

Conjugation ready
Our carrier-free antibodies are typically supplied in a PBS-only formulation, purified and free of BSA, sodium azide and glycerol. This conjugation-ready format is designed for use with fluorochromes, metal isotopes, oligonucleotides, and enzymes, which makes them ideal for antibody labelling, functional and cell-based assays, flow-based assays (e.g. mass cytometry) and Multiplex Imaging applications.

Use our conjugation kits for antibody conjugates that are ready-to-use in as little as 20 minutes with 1 minute hands-on-time and 100% antibody recovery: available for fluorescent dyes, HRP, biotin and gold.

Compatibility
This product is compatible with the Maxpar® Antibody Labeling Kit from Fluidigm, without the need for antibody preparation. Maxpar® is a trademark of Fluidigm Canada Inc.

Properties and storage information

Form
Liquid
Purification technique
Affinity purification Protein A
Storage buffer
pH: 7.2 - 7.4 Constituents: PBS
Shipped at conditions
Blue Ice
Appropriate short-term storage conditions
+4°C
Appropriate long-term storage conditions
+4°C

Product protocols

For this product, it's our understanding that no specific protocols are required. You can visit:

Target data

Has chemotactic activity for neutrophils. Contributes to neutrophil activation during inflammation (By similarity). Hematoregulatory chemokine, which, in vitro, suppresses hematopoietic progenitor cell proliferation. KC(5-72) shows a highly enhanced hematopoietic activity.
See full target information Cxcl1

Product promise

We are committed to supporting your work with high-quality reagents, and we're here for you every step of the way. In the unlikely event that one of our products does not perform as expected, you're protected by our Product Promise.
For full details, please see our Terms & Conditions

Please note: All products are 'FOR RESEARCH USE ONLY. NOT FOR USE IN DIAGNOSTIC OR THERAPEUTIC PROCEDURES'.

For licensing inquiries, please contact partnerships@abcam.com