JavaScript is disabled in your browser. Please enable JavaScript to view this website.
AB124731

Anti-CXCL1/GRO alpha + CXCL2 + GRO gamma antibody [EPR4903]

Be the first to review this product! Submit a review

|

(2 Publications)

Rabbit Recombinant Monoclonal CXCL1/GRO alpha antibody. Suitable for WB and reacts with Recombinant fragment - Human samples. Cited in 2 publications.

View Alternative Names

GRO, GRO1, GROA, MGSA, SCYB1, CXCL1, Growth-regulated alpha protein, C-X-C motif chemokine 1, GRO-alpha(1-73), Melanoma growth stimulatory activity, Neutrophil-activating protein 3, NAP-3

3 Images
Western blot - Anti-CXCL1/GRO alpha + CXCL2 + GRO gamma antibody [EPR4903] (AB124731)
  • WB

Unknown

Western blot - Anti-CXCL1/GRO alpha + CXCL2 + GRO gamma antibody [EPR4903] (AB124731)

All lanes:

Western blot - Anti-CXCL1/GRO alpha + CXCL2 + GRO gamma antibody [EPR4903] (ab124731) at 1/10000 dilution

All lanes:

CXCL1/GRO alpha recombinant protein at 0.005 µg

false

Western blot - Anti-CXCL1/GRO alpha + CXCL2 + GRO gamma antibody [EPR4903] (AB124731)
  • WB

Supplier Data

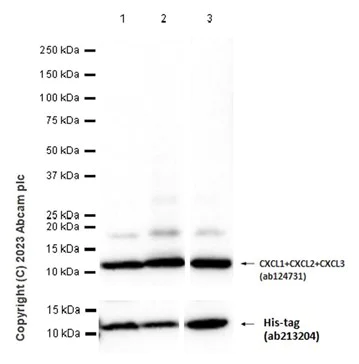
Western blot - Anti-CXCL1/GRO alpha + CXCL2 + GRO gamma antibody [EPR4903] (AB124731)

Blocking and diluting buffer : 5% NFDM/TBST

All lanes:

Western blot - Anti-CXCL1/GRO alpha + CXCL2 + GRO gamma antibody [EPR4903] (ab124731) at 1/1000 dilution

Lane 1:

His-tagged Human CXCL1(GRO alpha) recombinant protein (aa35-107) at 10 ng

Lane 2:

His-tagged Human CXCL2(GRO beta) recombinant protein (aa35-107) at 10 ng

Lane 3:

His-tagged Human CXCL3(GRO gamma) recombinant protein (aa35-107) at 50 ng

Secondary

All lanes:

Western blot - Goat Anti-Rabbit IgG H&L (HRP) (<a href='/en-us/products/secondary-antibodies/goat-rabbit-igg-h-l-hrp-ab97051'>ab97051</a>) at 1/20000 dilution

false

Exposure time: 7s

OI-RD Scanning - Anti-CXCL1/GRO alpha + CXCL2 + GRO gamma antibody [EPR4903] (AB124731)
  • OI-RD Scanning

Unknown

OI-RD Scanning - Anti-CXCL1/GRO alpha + CXCL2 + GRO gamma antibody [EPR4903] (AB124731)

We have systematically measured KD (the equilibrium dissociation constant between the antibody and its antigen), of more than 840 recombinant antibodies to assess not only their individual KD values but also to see the average affinity of antibody. Based on the comparison with published literature values for mouse monoclonal antibodies, Recombinant antibodies appear to be on average 1-2 order of magnitude higher affinity.

  • Carrier free

    Anti-CXCL1/GRO alpha + CXCL2 + GRO gamma antibody [EPR4903] - BSA and Azide free

Key facts

Host species

Rabbit

Clonality

Monoclonal

Clone number

EPR4903

Isotype

IgG

Carrier free

No

Reacts with

Human

Applications

WB

applications

Immunogen

The exact immunogen used to generate this antibody is proprietary information.

Specificity

This antibody cross-reacts with recombinant human CXCL2 and CXCL3 protein.

Reactivity data

{ "title": "Reactivity Data", "filters": { "stats": ["", "Species", "Dilution Info", "Notes"], "tabs": { "all-applications": {"fullname" : "All Applications", "shortname": "All Applications"}, "WB" : {"fullname" : "Western blot", "shortname":"WB"}, "IHCP" : {"fullname" : "Immunohistochemistry (Formalin/PFA-fixed paraffin-embedded sections)", "shortname":"IHC-P"}, "IP" : {"fullname" : "Immunoprecipitation", "shortname":"IP"}, "ICCIF" : {"fullname" : "Immunocytochemistry/ Immunofluorescence", "shortname":"ICC/IF"} }, "product-promise": { "all": "all", "testedAndGuaranteed": "tested", "guaranteed": "expected", "predicted": "predicted", "notRecommended": "not-recommended" } }, "values": { "Human": { "WB-species-checked": "predicted", "WB-species-dilution-info": "", "WB-species-notes": "", "IHCP-species-checked": "notRecommended", "IHCP-species-dilution-info": "", "IHCP-species-notes": "<p></p>", "IP-species-checked": "notRecommended", "IP-species-dilution-info": "", "IP-species-notes": "<p></p>", "ICCIF-species-checked": "notRecommended", "ICCIF-species-dilution-info": "", "ICCIF-species-notes": "<p></p>" }, "Recombinant fragment - Human": { "WB-species-checked": "testedAndGuaranteed", "WB-species-dilution-info": "1/10000 - 1/50000", "WB-species-notes": "<p></p>", "IHCP-species-checked": "notRecommended", "IHCP-species-dilution-info": "", "IHCP-species-notes": "", "IP-species-checked": "notRecommended", "IP-species-dilution-info": "", "IP-species-notes": "", "ICCIF-species-checked": "notRecommended", "ICCIF-species-dilution-info": "", "ICCIF-species-notes": "" } } }

Product details

Species reactivity
Mouse, Rat: We have preliminary internal testing data to indicate this antibody may not react with these species.
Please contact us for more information.

Patented technology
Our RabMAb® technology is a patented hybridoma-based technology for making rabbit monoclonal antibodies. For details on our patents, please refer to RabMAb® patents.

What are the advantages of a recombinant monoclonal antibody?
This product is a recombinant monoclonal antibody, which offers several advantages including:

  • - High batch-to-batch consistency and reproducibility
  • - Improved sensitivity and specificity
  • - Long-term security of supply
  • - Animal-free batch production

For more information, read more on recombinant antibodies.

Properties and storage information

Form
Liquid
Purification technique
Affinity purification Protein A
Storage buffer
pH: 7.2 - 7.4 Preservative: 0.05% Sodium azide Constituents: 50% Tissue culture supernatant, 40% Glycerol (glycerin, glycerine), 9.85% Tris glycine
Shipped at conditions
Blue Ice
Appropriate short-term storage conditions
+4°C
Appropriate long-term storage conditions
-20°C
Storage information
Stable for 12 months at -20°C

Supplementary information

This supplementary information is collated from multiple sources and compiled automatically.

CXCL1 also known as GRO alpha CXCL2 and GRO gamma refers to chemokines that are important in immune response. These chemokines are small proteins with a mass of about 8 kDa. They signal through the activation of the chemokine receptor CXCR2. CXCL1/GRO alpha CXCL2 and GRO gamma express in various tissues including epithelial cells and immune cells like neutrophils. They function by recruiting these immune cells to sites of inflammation or injury.
Biological function summary

CXCL1/GRO alpha CXCL2 and GRO gamma are involved in the recruitment and activation of neutrophils. Neutrophils are the first responders in the immune response. These chemokines play a role in angiogenesis and wound healing by stimulating the migration and proliferation of endothelial cells. They do not function as part of a larger protein complex but operate independently in signaling pathways. Their chemotactic activities are essential for proper immune surveillance and response to infections.

Pathways

These chemokines are integral to the NF-kB signaling pathway and MAPK pathway. Through these pathways they mediate inflammatory responses and cellular proliferation. CXCL1/GRO alpha and its family members interact with proteins such as CXCR2 and MAPK which help relay signals for gene expression related to inflammation and cell survival. Their interaction with these pathways highlights their role in initiating and modulating inflammatory processes.

CXCL1/GRO alpha CXCL2 and GRO gamma have associations with inflammatory diseases like rheumatoid arthritis and cancer especially melanoma. In rheumatoid arthritis these chemokines contribute to the recruitment of neutrophils and other immune cells to the joints leading to chronic inflammation. In cancer particularly melanoma they can promote tumor growth by enhancing angiogenesis and suppressing immune response due to the involvement of CXCR2 signaling. Understanding these chemokines involves examining proteins like CXCR2 which play a direct role in disease progression through these inflammatory and cancer pathways.

Product protocols

For this product, it's our understanding that no specific protocols are required. You can visit:

Target data

Has chemotactic activity for neutrophils. May play a role in inflammation and exerts its effects on endothelial cells in an autocrine fashion. In vitro, the processed forms GRO-alpha(4-73), GRO-alpha(5-73) and GRO-alpha(6-73) show a 30-fold higher chemotactic activity.
See full target information CXCL1

Additional targets

CXCL2,CXCL3

Publications (2)

Recent publications for all applications. Explore the full list and refine your search

International journal of molecular sciences 25: PubMed39408697

2024

Transcriptome Profiling Associated with Overexpression in Colorectal Cancer Implicates a Potential Role for Tumor Immune Microenvironment and Cancer Pathways Modulation via NF-κB.

Applications

Unspecified application

Species

Unspecified reactive species

Faisal Alhosani,Burcu Yener Ilce,Reem Sami Alhamidi,Poorna Manasa Bhamidimarri,Alaa Mohamed Hamad,Noura Alkhayyal,Axel Künstner,Cyrus Khandanpour,Hauke Busch,Basel Al-Ramadi,Kadria Sayed,Ali AlFazari,Riyad Bendardaf,Rifat Hamoudi

Inflammopharmacology 30:2345-2357 PubMed36131109

2022

Melatonin ameliorates lung cell inflammation and apoptosis caused by Klebsiella pneumoniae via AMP-activated protein kinase.

Applications

Unspecified application

Species

Unspecified reactive species

Wei Jiang,Jun Liu,Xuequn Zhao,Wenjie Yang
View all publications

Product promise

We are committed to supporting your work with high-quality reagents, and we're here for you every step of the way. In the unlikely event that one of our products does not perform as expected, you're protected by our Product Promise.
For full details, please see our Terms & Conditions

Please note: All products are 'FOR RESEARCH USE ONLY. NOT FOR USE IN DIAGNOSTIC OR THERAPEUTIC PROCEDURES'.

For licensing inquiries, please contact partnerships@abcam.com