JavaScript is disabled in your browser. Please enable JavaScript to view this website.
AB306588

Anti-CXCL10/IP-10 antibody [EPR24674-84] - BSA and Azide free

  • BOND RX™ Validated
  • RabMAb
  • KO Validated
  • Recombinant
  • What is this?

5

(1 Review)

|

(0 Publication)

Rabbit Recombinant Monoclonal IP10 antibody. Carrier free. Suitable for IHC-P, WB, IP and reacts with Human samples.

View Alternative Names

INP10, SCYB10, CXCL10, C-X-C motif chemokine 10, 10 kDa interferon gamma-induced protein, Small-inducible cytokine B10, Gamma-IP10, IP-10

5 Images
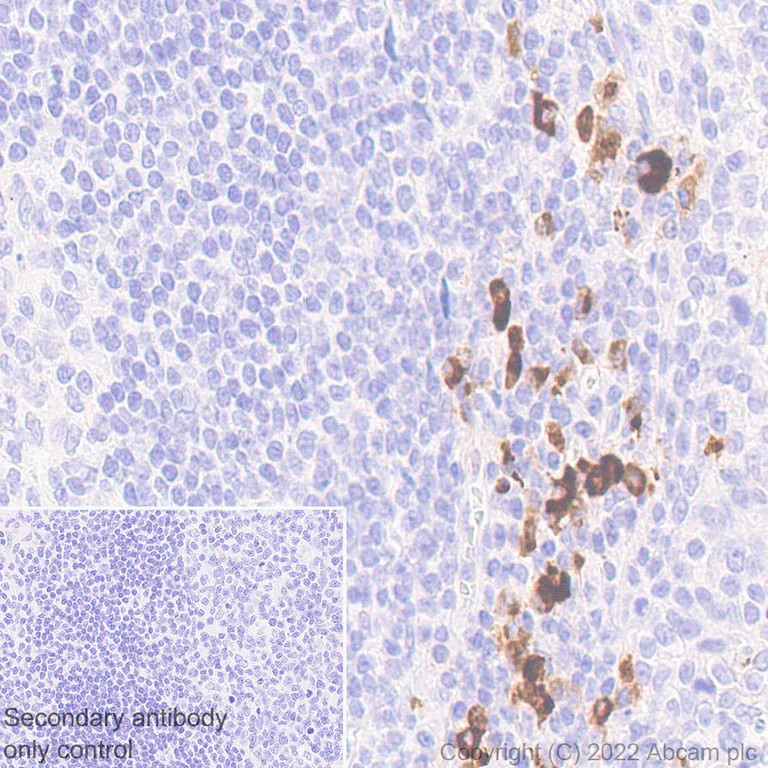
Immunohistochemistry (Formalin/PFA-fixed paraffin-embedded sections) - Anti-CXCL10/IP-10 antibody [EPR24674-84] - BSA and Azide free (AB306588)
  • IHC-P

Supplier Data

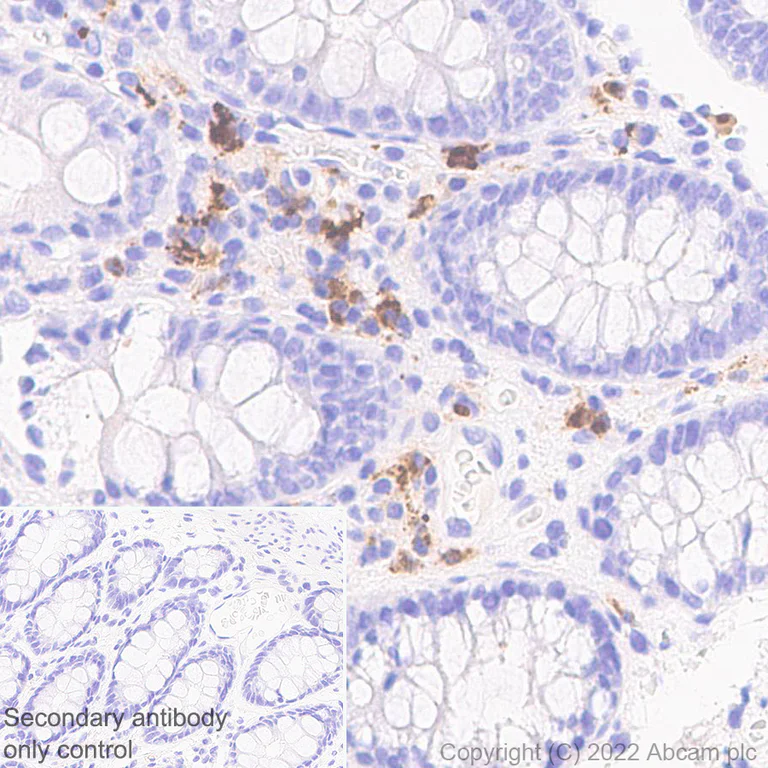
Immunohistochemistry (Formalin/PFA-fixed paraffin-embedded sections) - Anti-CXCL10/IP-10 antibody [EPR24674-84] - BSA and Azide free (AB306588)
Immunohistochemistry (Formalin/PFA-fixed paraffin-embedded sections) - Anti-CXCL10/IP-10 antibody [EPR24674-84] - BSA and Azide free (AB306588)
  • IHC-P

Supplier Data

Immunohistochemistry (Formalin/PFA-fixed paraffin-embedded sections) - Anti-CXCL10/IP-10 antibody [EPR24674-84] - BSA and Azide free (AB306588)
Immunohistochemistry (Formalin/PFA-fixed paraffin-embedded sections) - Anti-CXCL10/IP-10 antibody [EPR24674-84] - BSA and Azide free (AB306588)
  • IHC-P

Supplier Data

Immunohistochemistry (Formalin/PFA-fixed paraffin-embedded sections) - Anti-CXCL10/IP-10 antibody [EPR24674-84] - BSA and Azide free (AB306588)

This data was developed using ab306587, the same antibody clone in a different buffer formulation. Immunohistochemical analysis of paraffin-embedded (A) THP-1 (human mon tissue labeling CXCL10/IP-10 with ab306587 at 1/2000 (0.248 ug/ml) followed by a ready to use LeicaDS9800 (Bond™ Polymer Refine Detection) was used. Positive staining on (A) THP-1 (human monocytic leukemia monocyte) treated with 200ng/ml IFN-y (ab259377) for 24 hours and 50ng/ml LPS for 24 hours, and 5ug/ml Brefeldin A for the last 21 hours cell pellet. No staining on (B) Untreated THP-1 cell pellet.The section was incubated with ab306587 for 30 mins at room temperature.The immunostaining was performed on a Leica Biosystems BOND® RX instrument Counterstained with Hematoxylin. Secondary antibody only control : Secondary antibody is a ready to use LeicaDS9800 (Bond™ Polymer Refine Detection) was used. Heat mediated antigen retrieval was performed with Tris-EDTA buffer (pH 9.0, Epitope Retrieval Solution2) for 20 mins

Immunoprecipitation - Anti-CXCL10/IP-10 antibody [EPR24674-84] - BSA and Azide free (AB306588)
  • IP

Supplier Data

Immunoprecipitation - Anti-CXCL10/IP-10 antibody [EPR24674-84] - BSA and Azide free (AB306588)

This data was developed using ab306587, the same antibody clone in a different buffer formulation. CXCL10/IP-10 was immunoprecipitated from 0.35 mg THP-1 treated with 200ng/ml IFN-y (ab259377) for 24 hours and 50ng/ml LPS for 24 hours, and 5μg/ml Brefeldin A for the last 21 hours whole cell lysate 20 μg with ab306587 at 1/30 dilution (2μg in 0.35mg lysates). Western blot was performed on the immunoprecipitate using ab306587. VeriBlot for IP secondary antibody(HRP)(ab131366) was used at 1/5000 dilution. Lane 1 : THP-1 treated with 200ng/ml IFN-y (ab259377) for 24 hours and 50ng/ml LPS for 24 hours, and 5μg/ml Brefeldin A for the last 21 hours whole cell lysate 20 μg Lane 2 : ab306587 IP in THP-1 treated with 200ng/ml IFN-y (ab259377) for 24 hours and 50ng/ml LPS for 24 hours, and 5μg/ml Brefeldin A for the last 21 hours Lane 3 : Rabbit monoclonal IgG (ab172730) instead of ab*** in THP-1 treated with 200ng/ml IFN-y (ab259377) for 24 hours and 50ng/ml LPS for 24 hours, and 5μg/ml Brefeldin A for the last 21 hours whole cell lysate 20 μg Blocking and dilution buffer and concentration : 5% NFDM/TBST. Exposure time : 180 seconds

All lanes:

Immunoprecipitation - Anti-CXCL10/IP-10 antibody [EPR24674-84] (<a href='/en-us/products/primary-antibodies/cxcl10-ip-10-antibody-epr24674-84-ab306587'>ab306587</a>) at 1/30 dilution

All lanes:

THP-1

Secondary

All lanes:

Immunoprecipitation - VeriBlot for IP Detection Reagent (HRP) (<a href='/en-us/products/reagents/veriblot-for-ip-detection-reagent-hrp-ab131366'>ab131366</a>) at 1/5000 dilution

Observed band size: 11 kDa

false

Exposure time: 180s

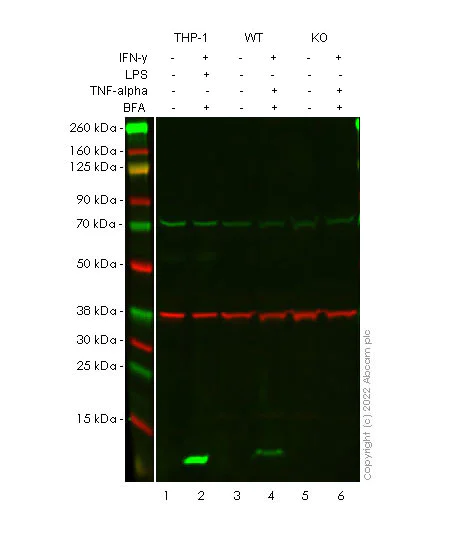
Western blot - Anti-CXCL10/IP-10 antibody [EPR24674-84] - BSA and Azide free (AB306588)
  • WB

Supplier Data

Western blot - Anti-CXCL10/IP-10 antibody [EPR24674-84] - BSA and Azide free (AB306588)

This data was developed using ab306587, the same antibody clone in a different buffer formulation. Blocking and diluting buffer and concentration : Intercept® (TBS) Blocking Buffer diluted with an equal volume of 0.1% TBS False colour image of Western blot : Anti-CXCL10/IP-10 antibody [EPR24674-84] (ab306587) staining at 1/1000 dilution, shown in green; Mouse anti-GAPDH antibody [6C5] (ab8245) loading control staining at 1/20000 dilution, shown in red. In Western blot, ab306587 was shown to bind specifically to CXCL10/IP-10. A band was observed at 11 kDa in wild-type A549 cell lysates with no signal observed at this size in CXCL10/IP-10 knockout cell line ab266971 (knockout cell lysate ab256888). To generate this image, wild-type and CXCL10/IP-10 knockout A549 cell lysates were analysed. First, samples were run on an SDS-PAGE gel then transferred onto a nitrocellulose membrane. Membranes were blocked in 3 % milk in TBS-0.1 % Tween® 20 (TBS-T) before incubation with primary antibodies overnight at 4 °C. Blots were washed four times in TBS-T, incubated with secondary antibodies for 1 h at room temperature, washed again four times then imaged. Secondary antibodies used were Goat anti-Rabbit IgG H&L (IRDye® 800CW) preabsorbed (ab216773) and Goat anti-Mouse IgG H&L (IRDye® 680RD) preabsorbed (ab216776) at 1/10000 dilution.

All lanes:

Western blot - Anti-CXCL10/IP-10 antibody [EPR24674-84] (<a href='/en-us/products/primary-antibodies/cxcl10-ip-10-antibody-epr24674-84-ab306587'>ab306587</a>) at 1/1000 dilution

Lane 1:

Untreated THP-1 (human monocytic leukemia monocyte) whole cell lysate at 20 µg

Lane 2:

THP-1 treated with /ml IFN-y (<a href='/en-us/products/proteins-peptides/recombinant-human-interferon-gamma-protein-active-ab259377'>ab259377</a>) for 24 hours and 50ng/ml LPS for 24 hours, and 5ug/ml Brefeldin A for the last 21 hours whole cell lysate at 20 µg

Lane 3:

Untreated Wild-type A549 (human lu carcinoma epithelial cell) whole cell lysate 40 at 40 µg

Lane 4:

Wild-type A549 treated with /ml IFN-y (<a href='/en-us/products/proteins-peptides/recombinant-human-interferon-gamma-protein-active-ab259377'>ab259377</a>) for 32 hours and 10 ng/m TNF-alpha (<a href='/en-us/products/proteins-peptides/recombinant-human-tnf-alpha-protein-active-ab259410'>ab259410</a>) for 32 hours, and 5ug/ml Brefeldin A (<a href='/en-us/products/biochemicals/brefeldin-a-inhibitor-of-adp-ribosylation-factor-ab120299'>ab120299</a>) for the last 6 hours whole cell lysate 40 at 40 µg

Lane 5:

Untreated CXCL10/IP-10 knockout A549 whole cell lysate at 40 µg

Lane 6:

CXCL10/IP-10 knockout A549 treated with /ml IFN-y (<a href='/en-us/products/proteins-peptides/recombinant-human-interferon-gamma-protein-active-ab259377'>ab259377</a>) for 32 hours and 10 ng/m TNF-alpha (<a href='/en-us/products/proteins-peptides/recombinant-human-tnf-alpha-protein-active-ab259410'>ab259410</a>) for 32 hours, and 5ug/ml Brefeldin A (<a href='/en-us/products/biochemicals/brefeldin-a-inhibitor-of-adp-ribosylation-factor-ab120299'>ab120299</a>) for the last 6 hours whole cell lys at 40 µg

Secondary

Lanes 1 - 6:

Western blot - Goat anti-Rabbit IgG H&L (IRDye® 800CW) preadsorbed (<a href='/en-us/products/secondary-antibodies/goat-rabbit-igg-h-l-irdye-800cw-preadsorbed-ab216773'>ab216773</a>) at 1/10000 dilution

Lanes 1 - 6:

Western blot - Goat anti-Mouse IgG H&L (IRDye® 680RD) preadsorbed (<a href='/en-us/products/secondary-antibodies/goat-mouse-igg-h-l-irdye-680rd-preadsorbed-ab216776'>ab216776</a>) at 1/10000 dilution

Observed band size: 11 kDa

false

Key facts

Host species

Rabbit

Clonality

Monoclonal

Clone number

EPR24674-84

Isotype

IgG

Carrier free

Yes

Reacts with

Human

Applications

IP, WB, IHC-P

applications

Immunogen

The exact immunogen used to generate this antibody is proprietary information.

Reactivity data

{ "title": "Reactivity Data", "filters": { "stats": ["", "Species", "Dilution Info", "Notes"], "tabs": { "all-applications": {"fullname" : "All Applications", "shortname": "All Applications"}, "IHCP" : {"fullname" : "Immunohistochemistry (Formalin/PFA-fixed paraffin-embedded sections)", "shortname":"IHC-P"}, "WB" : {"fullname" : "Western blot", "shortname":"WB"}, "FlowCytIntra" : {"fullname" : "Flow Cytometry (Intracellular)", "shortname":"Flow Cyt (Intra)"}, "ICCIF" : {"fullname" : "Immunocytochemistry/ Immunofluorescence", "shortname":"ICC/IF"}, "IP" : {"fullname" : "Immunoprecipitation", "shortname":"IP"} }, "product-promise": { "all": "all", "testedAndGuaranteed": "tested", "guaranteed": "expected", "predicted": "predicted", "notRecommended": "not-recommended" } }, "values": { "Human": { "IHCP-species-checked": "testedAndGuaranteed", "IHCP-species-dilution-info": "", "IHCP-species-notes": "<p></p>", "WB-species-checked": "testedAndGuaranteed", "WB-species-dilution-info": "", "WB-species-notes": "<p></p>", "FlowCytIntra-species-checked": "notRecommended", "FlowCytIntra-species-dilution-info": "", "FlowCytIntra-species-notes": "<p></p>", "ICCIF-species-checked": "notRecommended", "ICCIF-species-dilution-info": "", "ICCIF-species-notes": "<p></p>", "IP-species-checked": "testedAndGuaranteed", "IP-species-dilution-info": "", "IP-species-notes": "<p></p>" }, "Mouse": { "IHCP-species-checked": "notRecommended", "IHCP-species-dilution-info": "", "IHCP-species-notes": "<p></p>", "WB-species-checked": "notRecommended", "WB-species-dilution-info": "", "WB-species-notes": "<p></p>", "FlowCytIntra-species-checked": "notRecommended", "FlowCytIntra-species-dilution-info": "", "FlowCytIntra-species-notes": "", "ICCIF-species-checked": "notRecommended", "ICCIF-species-dilution-info": "", "ICCIF-species-notes": "", "IP-species-checked": "notRecommended", "IP-species-dilution-info": "", "IP-species-notes": "" }, "Rat": { "IHCP-species-checked": "notRecommended", "IHCP-species-dilution-info": "", "IHCP-species-notes": "<p></p>", "WB-species-checked": "notRecommended", "WB-species-dilution-info": "", "WB-species-notes": "<p></p>", "FlowCytIntra-species-checked": "notRecommended", "FlowCytIntra-species-dilution-info": "", "FlowCytIntra-species-notes": "", "ICCIF-species-checked": "notRecommended", "ICCIF-species-dilution-info": "", "ICCIF-species-notes": "", "IP-species-checked": "notRecommended", "IP-species-dilution-info": "", "IP-species-notes": "" } } }

Product details

Conjugation ready
Our carrier-free antibodies are typically supplied in a PBS-only formulation, purified and free of BSA, sodium azide and glycerol. This conjugation-ready format is designed for use with fluorochromes, metal isotopes, oligonucleotides, and enzymes, which makes them ideal for antibody labelling, functional and cell-based assays, flow-based assays (e.g. mass cytometry) and Multiplex Imaging applications.

Use our conjugation kits for antibody conjugates that are ready-to-use in as little as 20 minutes with 1 minute hands-on-time and 100% antibody recovery: available for fluorescent dyes, HRP, biotin and gold.

Compatibility
This product is compatible with the Maxpar® Antibody Labeling Kit from Fluidigm, without the need for antibody preparation. Maxpar® is a trademark of Fluidigm Canada Inc.

Patented technology
Our RabMAb® technology is a patented hybridoma-based technology for making rabbit monoclonal antibodies. For details on our patents, please refer to RabMAb® patents.

What are the advantages of a recombinant monoclonal antibody?
This product is a recombinant monoclonal antibody, which offers several advantages including:

  • - High batch-to-batch consistency and reproducibility
  • - Improved sensitivity and specificity
  • - Long-term security of supply
  • - Animal-free batch production

For more information, read more on recombinant antibodies.

Properties and storage information

Form
Liquid
Purification technique
Affinity purification Protein A
Storage buffer
pH: 7.2 - 7.4 Constituents: PBS
Shipped at conditions
Blue Ice
Appropriate short-term storage conditions
+4°C
Appropriate long-term storage conditions
+4°C

Supplementary information

This supplementary information is collated from multiple sources and compiled automatically.

IP10 also known as CXCL10 is a small cytokine belonging to the CXC chemokine family. It has a molecular mass of approximately 8.7 kDa. IP10 is secreted by several cell types such as monocytes endothelial cells and fibroblasts in response to interferon-gamma (IFN-γ). This protein is involved in immune responses and exhibits various roles especially in chemoattracting cells. Researchers often measure IP10 concentrations using ELISA kits such as the IP-10 ELISA to study its expression levels in different biological contexts.
Biological function summary

IP10 plays a role in modulating the activities of immune cells. It attracts T cells eosinophils monocytes and natural killer (NK) cells by binding to the CXCR3 receptor. IP10 is not part of a larger complex but interacts with other cytokines to influence cell migration and the immune response. High levels of IP10 can reflect strong immune activation which is why it is often measured in inflammatory conditions using standard assays like the IP-10 ELISA kits.

Pathways

The role of IP10 lies within the Th1-type immune response pathway. In this pathway IP10 works alongside other chemokines to recruit and activate immune cells to sites of inflammation or infection. It synergizes with IFN-γ to propagate immune signals. IP10 is also linked with the CXCR3 receptor which plays a critical role in these pathways providing a connection to other proteins such as CXCL9 and CXCL11 which have similar functions in cell-mediated immunity.

IP10 is associated with conditions like multiple sclerosis and rheumatoid arthritis. Elevated IP10 levels often correlate with disease activity in these disorders making it a potential biomarker for disease progression. The protein interacts with other inflammatory mediators such as TNF-α in regulating immune activity within these disease contexts. IP10's involvement in recruiting immune cells contributes to the pathogenic inflammation observed in these conditions.

Product protocols

For this product, it's our understanding that no specific protocols are required. You can visit:

Target data

Pro-inflammatory cytokine that is involved in a wide variety of processes such as chemotaxis, differentiation, and activation of peripheral immune cells, regulation of cell growth, apoptosis and modulation of angiostatic effects (PubMed : 11157474, PubMed : 22652417, PubMed : 7540647). Plays thereby an important role during viral infections by stimulating the activation and migration of immune cells to the infected sites (By similarity). Mechanistically, binding of CXCL10 to the CXCR3 receptor activates G protein-mediated signaling and results in downstream activation of phospholipase C-dependent pathway, an increase in intracellular calcium production and actin reorganization (PubMed : 12750173, PubMed : 19151743). In turn, recruitment of activated Th1 lymphocytes occurs at sites of inflammation (PubMed : 12663757, PubMed : 12750173). Activation of the CXCL10/CXCR3 axis also plays an important role in neurons in response to brain injury for activating microglia, the resident macrophage population of the central nervous system, and directing them to the lesion site. This recruitment is an essential element for neuronal reorganization (By similarity).
See full target information CXCL10

Product promise

We are committed to supporting your work with high-quality reagents, and we're here for you every step of the way. In the unlikely event that one of our products does not perform as expected, you're protected by our Product Promise.
For full details, please see our Terms & Conditions

Please note: All products are 'FOR RESEARCH USE ONLY. NOT FOR USE IN DIAGNOSTIC OR THERAPEUTIC PROCEDURES'.

For licensing inquiries, please contact partnerships@abcam.com