JavaScript is disabled in your browser. Please enable JavaScript to view this website.
AB318282

Anti-CXCL10/IP-10 antibody [RM2054]

  • BOND RX™ Validated
  • 20ul selling size
  • Recombinant
  • RabMAb
  • KO Validated
  • What is this?

Be the first to review this product! Submit a review

|

(0 Publication)

Knockout Tested Rabbit Recombinant Multiclonal IP10 antibody. Suitable for IHC-P, WB, ICC/IF, IP, Flow Cyt (Intra) and reacts with Human samples.

View Alternative Names

INP10, SCYB10, CXCL10, C-X-C motif chemokine 10, 10 kDa interferon gamma-induced protein, Small-inducible cytokine B10, Gamma-IP10, IP-10

10 Images
Immunohistochemistry (Formalin/PFA-fixed paraffin-embedded sections) - Anti-CXCL10/IP-10 antibody [RM2054] (AB318282)
  • IHC-P

Supplier Data

Immunohistochemistry (Formalin/PFA-fixed paraffin-embedded sections) - Anti-CXCL10/IP-10 antibody [RM2054] (AB318282)

Immunohistochemical analysis of paraffin-embedded (A) THP-1 (human monocytic leukemia monocyte) treated with 200ng/ml IFN-y (ab259377) for 24 hours and 50ng/ml LPS for 24 hours, and 5ug/ml Brefeldin A for the last 21 hours cell pellet (B) Untreated THP-1 cell pellet tissue labeling CXCL10/IP-10 with ab318282 at 1/2000 (0.25 ug/ml) dilution, followed by a ready to use LeicaDS9800 (Bond™ Polymer Refine Detection).

Positive staining on (A) THP-1 (human monocytic leukemia monocyte) treated with 200ng/ml IFN-y for 24 hours and 50ng/ml LPS for 24 hours, and 5ug/ml Brefeldin A for the last 21 hours cell pellet. No staining on (B) Untreated THP-1 cell pellet.
The section was incubated with ab318282 for 30 mins at room temperature.
The immunostaining was performed on a Leica Biosystems BOND® RX instrument

Counterstained with Hematoxylin.

Secondary antibody only control : Secondary antibody is a ready to use LeicaDS9800 (Bond™ Polymer Refine Detection).

Heat mediated antigen retrieval was performed with citrate buffer (pH 9.0, epitope retrieval solution 2) for 20 mins

Immunohistochemistry (Formalin/PFA-fixed paraffin-embedded sections) - Anti-CXCL10/IP-10 antibody [RM2054] (AB318282)
  • IHC-P

Supplier Data

Immunohistochemistry (Formalin/PFA-fixed paraffin-embedded sections) - Anti-CXCL10/IP-10 antibody [RM2054] (AB318282)

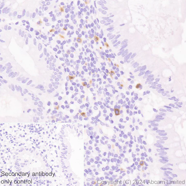
Immunohistochemical analysis of paraffin-embedded Human appendix tissue labeling CXCL10/IP-10 with ab318282 at 1/2000 (0.25 ug/ml) dilution, followed by a ready to use LeicaDS9800 (Bond™ Polymer Refine Detection).

Positive staining on human appendix immune cells (PMID : 10433925; PMID : 24748971).
The section was incubated with ab318282 for 30 mins at room temperature.
The immunostaining was performed on a Leica Biosystems BOND® RX instrument

Counterstained with Hematoxylin.

Secondary antibody only control : Secondary antibody is a ready to use LeicaDS9800 (Bond™ Polymer Refine Detection).

Heat mediated antigen retrieval was performed with citrate buffer (pH 9.0, epitope retrieval solution 2) for 20 mins

Immunocytochemistry/ Immunofluorescence - Anti-CXCL10/IP-10 antibody [RM2054] (AB318282)
  • ICC/IF

Supplier Data

Immunocytochemistry/ Immunofluorescence - Anti-CXCL10/IP-10 antibody [RM2054] (AB318282)

Immunofluorescent analysis of 4% Paraformaldehyde-fixed, 0.1% TritonX-100 permeabilized CXCL10 KO A549 (human lung carcinoma epithelial cell) cells labelling CXCL10/IP-10 with ab318282 at 1/50 (9.98 ug/ml) dilution, followed by ab150081 Goat Anti-Rabbit IgG H&L (Alexa Fluor® 488) preadsorbed antibody at 1/1000 2 ug/mL dilution (Green).

Confocal image showing cytoplasmic staining in parental A549 cells treated with INF-γ (100 ng/mL) and TNF-α (10 ng/mL) for 32 h, with addition of brefeldin A (5 μg/mL) for the last 6 h (shown in green), and negative staining in CXCL10 knockout A549 cells with the same condition. The counterstain was observed in magenta. Nuclear DNA was labeled with DAPI (shown in blue).
Image was taken with a confocal microscope(Leica-Microsystems, TCS SP8).

ab195889 Anti-alpha Tubulin mouse monoclonal antibody - Microtubule Marker (Alexa Fluor® 594) was used to counterstain tubulin at 1/200 2.5ug/ml dilution (Magenta). The Nuclear counterstain was DAPI (Blue).

Secondary antibody only control : Secondary antibody is ab150081 Goat Anti-Rabbit IgG H&L (Alexa Fluor® 488) preadsorbed at 1/1000 2 ug/mL dilution.

Immunocytochemistry/ Immunofluorescence - Anti-CXCL10/IP-10 antibody [RM2054] (AB318282)
  • ICC/IF

Supplier Data

Immunocytochemistry/ Immunofluorescence - Anti-CXCL10/IP-10 antibody [RM2054] (AB318282)

Immunofluorescent analysis of 4% Paraformaldehyde-fixed, 0.1% TritonX-100 permeabilized THP-1 (human monocytic leukemia monocyte) cells labelling CXCL10/IP-10 with ab318282 at 1/50 (9.98 ug/ml) dilution, followed by ab150081 Goat Anti-Rabbit IgG H&L (Alexa Fluor® 488) preadsorbed antibody at 1/1000 2 ug/mL dilution (Green).

Confocal image showing cytoplasmic staining in THP-1 cells treated with INF-γ (200 ng/mL) and Lipopolysaccharides (50 ng/mL) for 24 h add Brefeldin A (1μg/ml) for 21 h (shown in green). The counterstain was observed in magenta. Nuclear DNA was labeled with DAPI (shown in blue).
Image was taken with a confocal microscope(Leica-Microsystems, TCS SP8).

ab195889 Anti-alpha Tubulin mouse monoclonal antibody - Microtubule Marker (Alexa Fluor® 594) was used to counterstain tubulin at 1/200 2.5ug/ml dilution (Magenta). The Nuclear counterstain was DAPI (Blue).

Secondary antibody only control : Secondary antibody is ab150081 Goat Anti-Rabbit IgG H&L (Alexa Fluor® 488) preadsorbed at 1/1000 2 ug/mL dilution.

Immunohistochemistry (Formalin/PFA-fixed paraffin-embedded sections) - Anti-CXCL10/IP-10 antibody [RM2054] (AB318282)
  • IHC-P

Supplier Data

Immunohistochemistry (Formalin/PFA-fixed paraffin-embedded sections) - Anti-CXCL10/IP-10 antibody [RM2054] (AB318282)

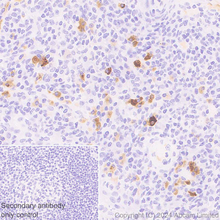
Immunohistochemical analysis of paraffin-embedded Human tonsil tissue labeling CXCL10/IP-10 with ab318282 at 1/2000 (0.25 ug/ml) dilution, followed by a ready to use LeicaDS9800 (Bond™ Polymer Refine Detection).

Positive staining on human tonsil (PMID : 12949239).
The section was incubated with ab318282 for 30 mins at room temperature.
The immunostaining was performed on a Leica Biosystems BOND® RX instrument

Counterstained with Hematoxylin.

Secondary antibody only control : Secondary antibody is a ready to use LeicaDS9800 (Bond™ Polymer Refine Detection).

Heat mediated antigen retrieval was performed with citrate buffer (pH 9.0, epitope retrieval solution 2) for 20 mins

Flow Cytometry (Intracellular) - Anti-CXCL10/IP-10 antibody [RM2054] (AB318282)
  • Flow Cyt (Intra)

Supplier Data

Flow Cytometry (Intracellular) - Anti-CXCL10/IP-10 antibody [RM2054] (AB318282)

Flow cytometric analysis of 4% paraformaldehyde fixed 90% methanol permeabilized THP-1 (human monocytic leukemia monocyte) treated with 200ng/ml 3+21h and 50ng/ml 3+21h IFN-r, LPS then add 1ug/ml 21h BFA (green) /Untreated with THP-1 (magenta) cells labelling CXCL10/IP-10 with ab318282 at 1/50 dilution (1ug) / Green and magenta compared with a Rabbit monoclonal IgG (ab172730) (Black) isotype control and an unlabelled control (cells without incubation with primary antibody and secondary antibody).

Goat Anti-Rabbit IgG (Alexa Fluor® 488, ab150081) at 1/5000 dilution was used as the secondary antibody.

Immunoprecipitation - Anti-CXCL10/IP-10 antibody [RM2054] (AB318282)
  • IP

Supplier Data

Immunoprecipitation - Anti-CXCL10/IP-10 antibody [RM2054] (AB318282)

CXCL10/IP-10 was immunoprecipitated from 0.35 mg THP-1(human monocytic leukemia monocyte) treated with 200 ng/ml INF gamma (ab259377) and 50 ng/ml LPS for 24 hours, and 5 ug/ml Brefeldin A (ab120299) for the last 21 hours whole cell lysate with ab318282 at 1/30 dilution (2ug in 0.35mg lysates). Western blot was performed on the immunoprecipitate using ab318282 at 1/1000 dilution. VeriBlot for IP secondary antibody(HRP)(ab131366) was used at 1/5000 dilution.

Lane 1 : THP-1(human monocytic leukemia monocyte) treated with 200 ng/ml INF gamma (ab259377) and 50 ng/ml LPS for 24 hours, and 5 ug/ml Brefeldin A (ab120299) for the last 21 hours whole cell lysate
Lane 2 : ab318282 IP in THP-1(human monocytic leukemia monocyte) treated with 200 ng/ml INF gamma (ab259377) and 50 ng/ml LPS for 24 hours, and 5 ug/ml Brefeldin A (ab120299) for the last 21 hours whole cell lysate
Lane 3 : Rabbit monoclonal IgG (ab172730) instead of ab318282 in THP-1 treated with 200 ng/ml INF gamma (ab259377) and 50 ng/ml LPS for 24 hours, and 5 ug/ml Brefeldin A (ab120299) for the last 21 hours whole cell lysate

Blocking and dilution buffer and concentration : 5% NFDM/TBST

All lanes:

Immunoprecipitation - Anti-CXCL10/IP-10 antibody [RM2054] (ab318282) at 1/30 dilution

All lanes:

THP-1(human monocytic leukemia monocyte) treated with 200 ng/ml INF gamma (<a href='/en-us/products/proteins-peptides/recombinant-human-interferon-gamma-protein-active-ab259377'>ab259377</a>) and 50 ng/ml LPS for 24 hours, and 5 ug/ml Brefeldin A (<a href='/en-us/products/biochemicals/brefeldin-a-inhibitor-of-adp-ribosylation-factor-ab120299'>ab120299</a>) for the last 21 hours whole cell lysate

Secondary

All lanes:

Immunoprecipitation - VeriBlot for IP Detection Reagent (HRP) (<a href='/en-us/products/reagents/veriblot-for-ip-detection-reagent-hrp-ab131366'>ab131366</a>) at 1/5000 dilution

false

Exposure time: 119s

Western blot - Anti-CXCL10/IP-10 antibody [RM2054] (AB318282)
  • WB

Supplier Data

Western blot - Anti-CXCL10/IP-10 antibody [RM2054] (AB318282)

Blocking and diluting buffer and concentration : 5% NFDM/TBST.

In Western blot, ab318282 was shown to bind specifically to CXCL10/IP-10. Target of interest was observed at 11 kDa in wild-type A549 cell lysates treated with 100 ng/ml IFN gamma (ab259377) for 32 hours and 10 ng/m TNF alpha (ab259410) for 32 hours, and 5 ug/ml Brefeldin A (ab120299) for the last 6 hours (lane 2) with no signal observed at this size in CXCL10/IP-10 knockout cell line (lane 3-4) (lane 3, knockout cell line ab266971 / knockout cell lysate ab256888).

The identity of the bands between 35 kDa and 75 kDa are unknown.

In Western blot, Anti-GAPDH antibody [EPR16891] - Loading Control (ab181602) staining at 1/200000 dilution.

All lanes:

Western blot - Anti-CXCL10/IP-10 antibody [RM2054] (ab318282) at 1/1000 dilution

Lane 1:

Untreated Wild-type A549 (human lung carcinoma epithelial cell) whole cell lysate at 50 µg

Lane 2:

Wild-type A549 treated with 100 ng/ml IFN gamma (<a href='/en-us/products/proteins-peptides/recombinant-human-interferon-gamma-protein-active-ab259377'>ab259377</a>) for 32 hours and 10 ng/m TNF alpha (<a href='/en-us/products/proteins-peptides/recombinant-human-tnf-alpha-protein-active-ab259410'>ab259410</a>) for 32 hours, and 5 µg/ml Brefeldin A (<a href='/en-us/products/biochemicals/brefeldin-a-inhibitor-of-adp-ribosylation-factor-ab120299'>ab120299</a>) for the last 6 hours whole cell lysate at 50 µg

Lane 3:

Untreated CXCL10/IP-10 knockout A549 whole cell lysate at 50 µg

Lane 4:

CXCL10/IP-10 knockout A549 treated with 100 ng/ml IFN gamma (<a href='/en-us/products/proteins-peptides/recombinant-human-interferon-gamma-protein-active-ab259377'>ab259377</a>) for 32 hours and 10 ng/m TNF alpha (<a href='/en-us/products/proteins-peptides/recombinant-human-tnf-alpha-protein-active-ab259410'>ab259410</a>) for 32 hours, and 5 µg/ml Brefeldin A (<a href='/en-us/products/biochemicals/brefeldin-a-inhibitor-of-adp-ribosylation-factor-ab120299'>ab120299</a>) for the last 6 hours whole cell lysate at 50 µg

Secondary

All lanes:

Western blot - Goat Anti-Rabbit IgG H&L (HRP) (<a href='/en-us/products/secondary-antibodies/goat-rabbit-igg-h-l-hrp-ab97051'>ab97051</a>) at 1/20000 dilution

Observed band size: 11 kDa,36 kDa

false

Exposure time: 180s

Western blot - Anti-CXCL10/IP-10 antibody [RM2054] (AB318282)
  • WB

Supplier Data

Western blot - Anti-CXCL10/IP-10 antibody [RM2054] (AB318282)

Blocking and diluting buffer and concentration : 5% NFDM/TBST.

In Western blot, Anti-GAPDH antibody [EPR16891] - Loading Control (ab181602) staining at 1/200000 dilution.

All lanes:

Western blot - Anti-CXCL10/IP-10 antibody [RM2054] (ab318282) at 1/1000 dilution

Lane 1:

Untreated THP-1 (human monocytic leukemia monocyte) whole cell lysate at 20 µg

Lane 2:

THP-1 treated with 200 ng/ml INF gamma (<a href='/en-us/products/proteins-peptides/recombinant-human-interferon-gamma-protein-active-ab259377'>ab259377</a>) and 50 ng/ml LPS for 24 hours, and 5 μg/ml Brefeldin A (<a href='/en-us/products/biochemicals/brefeldin-a-inhibitor-of-adp-ribosylation-factor-ab120299'>ab120299</a>) for the last 21 hours whole cell lysate at 20 µg

Secondary

All lanes:

Western blot - Goat Anti-Rabbit IgG H&L (HRP) (<a href='/en-us/products/secondary-antibodies/goat-rabbit-igg-h-l-hrp-ab97051'>ab97051</a>) at 1/100000 dilution

Observed band size: 11 kDa,36 kDa

false

Exposure time: 180s

Immunohistochemistry (Formalin/PFA-fixed paraffin-embedded sections) - Anti-CXCL10/IP-10 antibody [RM2054] (AB318282)
  • IHC-P

Supplier Data

Immunohistochemistry (Formalin/PFA-fixed paraffin-embedded sections) - Anti-CXCL10/IP-10 antibody [RM2054] (AB318282)

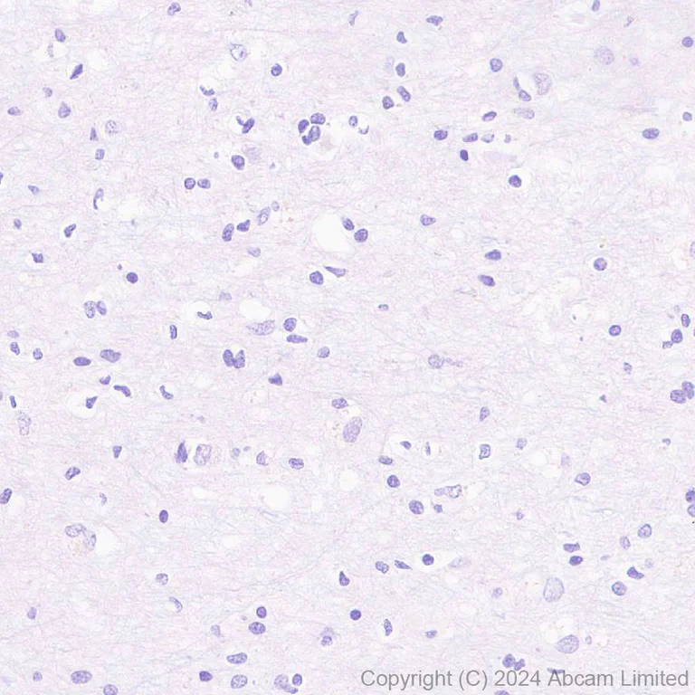
Immunohistochemical analysis of paraffin-embedded Human cerebrum tissue labeling CXCL10/IP-10 with ab318282 at 1/2000 (0.25 ug/ml) dilution, followed by a ready to use LeicaDS9800 (Bond™ Polymer Refine Detection).

Negative control : No staining on human cerebrum (PMID : 14507644).
The section was incubated with ab318282 for 30 mins at room temperature.
The immunostaining was performed on a Leica Biosystems BOND® RX instrument

Counterstained with Hematoxylin.

Secondary antibody only control : Secondary antibody is a ready to use LeicaDS9800 (Bond™ Polymer Refine Detection).

Heat mediated antigen retrieval was performed with citrate buffer (pH 9.0, epitope retrieval solution 2) for 20 mins

  • Carrier free

    Anti-CXCL10/IP-10 antibody [RM2054] - BSA and Azide free

Key facts

Host species

Rabbit

Clonality

Multiclonal

Clone number

RM2054

Isotype

IgG

Carrier free

No

Reacts with

Human

Applications

WB, Flow Cyt (Intra), IHC-P, ICC/IF, IP

applications

Immunogen

The exact immunogen used to generate this antibody is proprietary information.

Reactivity data

{ "title": "Reactivity Data", "filters": { "stats": ["", "Species", "Dilution Info", "Notes"], "tabs": { "all-applications": {"fullname" : "All Applications", "shortname": "All Applications"}, "IHCP" : {"fullname" : "Immunohistochemistry (Formalin/PFA-fixed paraffin-embedded sections)", "shortname":"IHC-P"}, "WB" : {"fullname" : "Western blot", "shortname":"WB"}, "ICCIF" : {"fullname" : "Immunocytochemistry/ Immunofluorescence", "shortname":"ICC/IF"}, "IP" : {"fullname" : "Immunoprecipitation", "shortname":"IP"}, "FlowCytIntra" : {"fullname" : "Flow Cytometry (Intracellular)", "shortname":"Flow Cyt (Intra)"}, "IHCFr" : {"fullname" : "Immunohistochemistry (Frozen sections)", "shortname":"IHC-Fr"} }, "product-promise": { "all": "all", "testedAndGuaranteed": "tested", "guaranteed": "expected", "predicted": "predicted", "notRecommended": "not-recommended" } }, "values": { "Human": { "IHCP-species-checked": "testedAndGuaranteed", "IHCP-species-dilution-info": "1/2000", "IHCP-species-notes": "<p></p> Perform heat-mediated antigen retrieval with citrate buffer pH 6 before commencing with IHC staining protocol.", "WB-species-checked": "testedAndGuaranteed", "WB-species-dilution-info": "1/1000", "WB-species-notes": "<p></p>", "ICCIF-species-checked": "testedAndGuaranteed", "ICCIF-species-dilution-info": "1/50", "ICCIF-species-notes": "<p></p>", "IP-species-checked": "testedAndGuaranteed", "IP-species-dilution-info": "1/30", "IP-species-notes": "<p></p>", "FlowCytIntra-species-checked": "testedAndGuaranteed", "FlowCytIntra-species-dilution-info": "1/50", "FlowCytIntra-species-notes": "<p></p>", "IHCFr-species-checked": "notRecommended", "IHCFr-species-dilution-info": "", "IHCFr-species-notes": "" }, "Mouse": { "IHCP-species-checked": "notRecommended", "IHCP-species-dilution-info": "", "IHCP-species-notes": "<p></p>", "WB-species-checked": "notRecommended", "WB-species-dilution-info": "", "WB-species-notes": "<p></p>", "ICCIF-species-checked": "notRecommended", "ICCIF-species-dilution-info": "", "ICCIF-species-notes": "<p></p>", "IP-species-checked": "notRecommended", "IP-species-dilution-info": "", "IP-species-notes": "", "FlowCytIntra-species-checked": "notRecommended", "FlowCytIntra-species-dilution-info": "", "FlowCytIntra-species-notes": "", "IHCFr-species-checked": "notRecommended", "IHCFr-species-dilution-info": "", "IHCFr-species-notes": "<p></p>" }, "Rat": { "IHCP-species-checked": "notRecommended", "IHCP-species-dilution-info": "", "IHCP-species-notes": "<p></p>", "WB-species-checked": "notRecommended", "WB-species-dilution-info": "", "WB-species-notes": "<p></p>", "ICCIF-species-checked": "notRecommended", "ICCIF-species-dilution-info": "", "ICCIF-species-notes": "<p></p>", "IP-species-checked": "notRecommended", "IP-species-dilution-info": "", "IP-species-notes": "", "FlowCytIntra-species-checked": "notRecommended", "FlowCytIntra-species-dilution-info": "", "FlowCytIntra-species-notes": "", "IHCFr-species-checked": "notRecommended", "IHCFr-species-dilution-info": "", "IHCFr-species-notes": "<p></p>" } } }

You may be interested in:

AB173194

Human IP-10 ELISA Kit

5

1 Reviews

View product

We recommend this product because it’s often used in the same experiment or related research.

We advise that you always check the datasheet to ensure it fits your experiments, or contact ourtechnical teamfor help.

Product details

Properties and storage information

Form
Liquid
Purification technique
Affinity purification Protein A
Storage buffer
pH: 7.2 - 7.4 Preservative: 0.01% Sodium azide Constituents: PBS, 40% Glycerol (glycerin, glycerine), 0.05% BSA
Shipped at conditions
Blue Ice
Appropriate short-term storage duration
1-2 weeks
Appropriate short-term storage conditions
+4°C
Appropriate long-term storage conditions
-20°C
Aliquoting information
Upon delivery aliquot
Storage information
Avoid freeze / thaw cycle

Supplementary information

This supplementary information is collated from multiple sources and compiled automatically.

CXCL10 also known as Interferon Gamma-Induced Protein 10 (IP-10) is a chemokine with a molecular mass of about 10 kDa. This protein functions by binding to its receptor CXCR3 and plays a central role in the immune response by modulating the migration of immune cells particularly T cells NK cells and macrophages to inflamed tissues. CXCL10 is highly expressed in a variety of cell types including monocytes fibroblasts endothelial cells and various epithelial cells especially following stimulation by interferons or lipopolysaccharides.
Biological function summary

This chemokine mediates the effects of immune responses through its ability to attract and activate leukocytes. It does not form part of larger protein complexes functioning independently to influence inflammation and tissue damage repair processes. Its activity largely influences the immune surveillance system facilitating the body's ability to combat pathogens and abnormal cells by directing immune cells to sites that need a defense.

Pathways

CXCL10 functions in the context of the JAK-STAT signaling pathway which regulates gene expression in response to cytokines. It also plays a role in the NF-kB pathway a critical regulator of immune responses inflammation and cell proliferation. Through these pathways CXCL10 interacts with other chemokines and cytokines such as CXCL9 and CXCL11 affecting the recruitment and activation of CXCR3-expressing cells.

CXCL10 relates closely to autoimmune conditions and chronic inflammation such as rheumatoid arthritis and inflammatory bowel disease. It collaborates with CXCL9 in the inflammatory cascade contributing to the pathology of these diseases by maintaining a cycle of immune cell recruitment and sustained tissue damage. Understanding the role of CXCL10 in these diseases can help develop therapeutic strategies that modulate its expression or block its interaction with its receptor CXCR3 to control excessive inflammation and tissue damage.

Product protocols

For this product, it's our understanding that no specific protocols are required. You can visit:

Target data

Pro-inflammatory cytokine that is involved in a wide variety of processes such as chemotaxis, differentiation, and activation of peripheral immune cells, regulation of cell growth, apoptosis and modulation of angiostatic effects (PubMed : 11157474, PubMed : 22652417, PubMed : 7540647). Plays thereby an important role during viral infections by stimulating the activation and migration of immune cells to the infected sites (By similarity). Mechanistically, binding of CXCL10 to the CXCR3 receptor activates G protein-mediated signaling and results in downstream activation of phospholipase C-dependent pathway, an increase in intracellular calcium production and actin reorganization (PubMed : 12750173, PubMed : 19151743). In turn, recruitment of activated Th1 lymphocytes occurs at sites of inflammation (PubMed : 12663757, PubMed : 12750173). Activation of the CXCL10/CXCR3 axis also plays an important role in neurons in response to brain injury for activating microglia, the resident macrophage population of the central nervous system, and directing them to the lesion site. This recruitment is an essential element for neuronal reorganization (By similarity).
See full target information CXCL10

Product promise

We are committed to supporting your work with high-quality reagents, and we're here for you every step of the way. In the unlikely event that one of our products does not perform as expected, you're protected by our Product Promise.
For full details, please see our Terms & Conditions

Please note: All products are 'FOR RESEARCH USE ONLY. NOT FOR USE IN DIAGNOSTIC OR THERAPEUTIC PROCEDURES'.

For licensing inquiries, please contact partnerships@abcam.com